JavaScript is disabled in your browser. Please enable JavaScript to view this website.
AB31369

Anti-STAT1抗体

Anti-STAT1 antibody

Be the first to review this product! Submit a review

|

(36 Publications)

Rabbit Polyclonal STAT1 antibody. Suitable for WB, IHC-P and reacts with Human samples. Cited in 36 publications. Immunogen corresponding to Synthetic Peptide within Human STAT1 aa 650 to C-terminus.

查看别名

Signal transducer and activator of transcription 1-alpha/beta, Transcription factor ISGF-3 components p91/p84, STAT1

2 Images
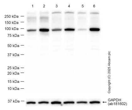
Western blot - Anti-STAT1 antibody (AB31369)
  • WB

Unknown

Western blot - Anti-STAT1 antibody (AB31369)

All lanes:

Western blot - Anti-STAT1 antibody (ab31369) at 1/1000 dilution

Lane 1:

COLO205 cells extract

Lane 2:

COLO205 cells extract with synthetic phosphopeptide

Predicted band size: 87 kDa

Observed band size: 87 kDa

false

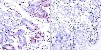
Immunohistochemistry (Formalin/PFA-fixed paraffin-embedded sections) - Anti-STAT1 antibody (AB31369)
  • IHC-P

Unknown

Immunohistochemistry (Formalin/PFA-fixed paraffin-embedded sections) - Anti-STAT1 antibody (AB31369)

Immunohistochemical analysis of paraffin-embedded breast carcinoma. Left : Using STAT1 antibody(ab31369, diluted 1 : 100); Right : The same antibody preincubated with synthesized peptide.

关键信息

宿主种属

Rabbit

克隆

Polyclonal

亚型

IgG

不含载体蛋白

No

反应种属

Human

应用

WB, IHC-P

applications

免疫原

Synthetic Peptide within Human STAT1 aa 650 to C-terminus. The exact immunogen used to generate this antibody is proprietary information.

P42224

特异性

ab31369 detects endogenous levels of STAT1 protein around Tyrosine 701.

反应性数据

{ "title": "Reactivity Data", "filters": { "stats": ["", "Species", "Dilution Info", "Notes"], "tabs": { "all-applications": {"fullname" : "All Applications", "shortname": "All Applications"}, "WB" : {"fullname" : "Western blot", "shortname":"WB"}, "IHCP" : {"fullname" : "Immunohistochemistry (Formalin/PFA-fixed paraffin-embedded sections)", "shortname":"IHC-P"} }, "product-promise": { "all": "all", "testedAndGuaranteed": "tested", "guaranteed": "expected", "predicted": "predicted", "notRecommended": "not-recommended" } }, "values": { "Human": { "WB-species-checked": "testedAndGuaranteed", "WB-species-dilution-info": "1/500 - 1/1000", "WB-species-notes": "<p></p>", "IHCP-species-checked": "testedAndGuaranteed", "IHCP-species-dilution-info": "", "IHCP-species-notes": "<p></p>" } } }

性能和储存信息

形式
Liquid
纯化工艺
Affinity purification Immunogen
存储溶液
pH: 7.4 Preservative: 0.02% Sodium azide Constituents: PBS, 50% Glycerol (glycerin, glycerine), 0.87% Sodium chloride
运输条件
Blue Ice
推荐的短期储存条件
+4°C
推荐的长期储存条件
-20°C
分装信息
Upon delivery aliquot
储存信息
Avoid freeze / thaw cycle

补充信息

This supplementary information is collated from multiple sources and compiled automatically.

Signal Transducer and Activator of Transcription 1 (STAT1) is a protein of about 91 kDa commonly known simply as STAT1. It belongs to the STAT protein family which is involved in gene regulation. STAT1 expresses widely in many tissues including the immune system where it plays a major role. As an important player in cellular responses to cytokines and growth factors STAT1 becomes activated through phosphorylation often referred to as phospho-STAT1. This phosphorylation promotes dimerization an important step for its function.
Biological function summary

The STAT1 protein influences cell survival and immune responses. It functions as a transcription factor and participates in the interferon signaling pathway. In this setting it forms a complex with other STAT proteins such as STAT2 and STAT3 to regulate gene expression. By binding to specific DNA sequences in the nucleus STAT1 alters transcription in response to extracellular signals. It contributes to antiviral defense mechanisms and antiproliferative activities in various cells.

Pathways

The STAT1 protein plays essential roles in the JAK-STAT signaling pathway and interferon signaling pathway. It operates closely with proteins such as JAK1 and TYK2 which are involved in the phosphorylation process activating STAT1. During this activation STAT1 helps initiate cellular responses to interferons a type of signaling protein released during viral infections. The JAK-STAT pathway facilitates various physiological processes including immune responses and cell growth regulation.

STAT1 dysregulation often connects to autoimmune diseases and infectious diseases. Elevated STAT1 activity associates with disorders like systemic lupus erythematosus where an imbalanced immune response occurs. Phosphorylation of STAT1 can also relate to chronic infections in cases where proper immune response activation becomes impaired. In certain cancers STAT1 interaction with proteins like SOCS1 might contribute to tumor immune evasion highlighting its vital role in pathology.

产品实验方案

For this product, it's our understanding that no specific protocols are required. You can visit:

靶点信息

Signal transducer and transcription activator that mediates cellular responses to interferons (IFNs), cytokine KITLG/SCF and other cytokines and other growth factors (PubMed : 12764129, PubMed : 12855578, PubMed : 15322115, PubMed : 23940278, PubMed : 34508746, PubMed : 35568036, PubMed : 9724754). Following type I IFN (IFN-alpha and IFN-beta) binding to cell surface receptors, signaling via protein kinases leads to activation of Jak kinases (TYK2 and JAK1) and to tyrosine phosphorylation of STAT1 and STAT2. The phosphorylated STATs dimerize and associate with ISGF3G/IRF-9 to form a complex termed ISGF3 transcription factor, that enters the nucleus (PubMed : 28753426, PubMed : 35568036). ISGF3 binds to the IFN stimulated response element (ISRE) to activate the transcription of IFN-stimulated genes (ISG), which drive the cell in an antiviral state (PubMed : 28753426, PubMed : 35568036). In response to type II IFN (IFN-gamma), STAT1 is tyrosine- and serine-phosphorylated (PubMed : 26479788). It then forms a homodimer termed IFN-gamma-activated factor (GAF), migrates into the nucleus and binds to the IFN gamma activated sequence (GAS) to drive the expression of the target genes, inducing a cellular antiviral state (PubMed : 8156998). Becomes activated in response to KITLG/SCF and KIT signaling (PubMed : 15526160). May mediate cellular responses to activated FGFR1, FGFR2, FGFR3 and FGFR4 (PubMed : 19088846). Following bacterial lipopolysaccharide (LPS)-induced TLR4 endocytosis, phosphorylated at Thr-749 by IKBKB which promotes binding of STAT1 to the 5'-TTTGAGGC-3' sequence in the ARID5A promoter, resulting in transcriptional activation of ARID5A and subsequent ARID5A-mediated stabilization of IL6 (PubMed : 32209697). Phosphorylation at Thr-749 also promotes binding of STAT1 to the 5'-TTTGAGTC-3' sequence in the IL12B promoter and activation of IL12B transcription (PubMed : 32209697). Involved in food tolerance in small intestine : associates with the Gasdermin-D, p13 cleavage product (13 kDa GSDMD) and promotes transcription of CIITA, inducing type 1 regulatory T (Tr1) cells in upper small intestine (By similarity).
See full target information STAT1

文献 (36)

Recent publications for all applications. Explore the full list and refine your search

Pharmaceuticals (Basel, Switzerland) 18: PubMed41011190

2025

Nagilactone C from the Seeds of May Protect Against LPS-Induced Acute Lung Injury via STAT Signaling Pathway Inhibition.

Applications

Unspecified application

Species

Unspecified reactive species

Xiaoxiao Chen,Jing Tang,Shijie Zhan,Yixian Qiu,Jing Li,Weiguang Shan,Youmin Ying

Brain research bulletin 208:110889 PubMed38290590

2024

Valproate attenuates somatic hyperalgesia induced by orofacial inflammation combined with stress through inhibiting spinal IL-6 and STAT1 phosphorylation.

Applications

Unspecified application

Species

Unspecified reactive species

Chen-Xi Xu,Xin-Yi Qiu,Yi Guo,Tian-Ming Xu,Richard J Traub,Hai-Nan Feng,Dong-Yuan Cao

Journal of experimental & clinical cancer research : CR 42:194 PubMed37542342

2023

RNA-binding protein CCDC137 activates AKT signaling and promotes hepatocellular carcinoma through a novel non-canonical role of DGCR8 in mRNA localization.

Applications

Unspecified application

Species

Unspecified reactive species

Shuang Tao,Shu-Juan Xie,Li-Ting Diao,Guo Lv,Ya-Rui Hou,Yan-Xia Hu,Wan-Yi Xu,Bin Du,Zhen-Dong Xiao

The journal of gene medicine 25:e3469 PubMed36511295

2023

Inhibition of HIST1H2AB suppresses the proliferation of lung adenocarcinoma.

Applications

Unspecified application

Species

Unspecified reactive species

Xiaojun Chai,Guangxue Wang,Xuan Hong,Minghao Feng,He Wang,Fabing Liu,Wei Yao,Dongyi Zhu,Qinchuan Li

COPD 19:206-215 PubMed35416743

2022

Cigarette Smoke or Motor Vehicle Exhaust Exposure Induces PD-L1 Upregulation in Lung Epithelial Cells in COPD Model Rats.

Applications

Unspecified application

Species

Unspecified reactive species

Chen Rui,Li Defu,Wang Lingling,Dong Jiahui,Xiong Richeng,Ye Yuanyuan,Guo Zhenhui,Huang Wenjie

Journal of biomedical science 28:75 PubMed34758826

2021

Proteasome inhibitors restore the STAT1 pathway and enhance the expression of MHC class I on human colon cancer cells.

Applications

Unspecified application

Species

Unspecified reactive species

Yi-Hsin Liang,Kuo-Hsing Chen,Jia-Huei Tsai,Yung-Ming Cheng,Chang-Cheng Lee,Chiu-Hwa Kao,Kuang-Yu Chan,Yeh-Ting Chen,Wen-Ling Hsu,Kun-Huei Yeh

Allergy, asthma, and clinical immunology : official journal of the Canadian Society of Allergy and Clinical Immunology 17:59 PubMed34147127

2021

Taurine promotes the production of CD4CD25FOXP3 Treg cells through regulating IL-35/STAT1 pathway in a mouse allergic rhinitis model.

Applications

Unspecified application

Species

Unspecified reactive species

Jing Zhou,Yi Lu,Wei Wu,Yunhai Feng

Drug design, development and therapy 15:21-35 PubMed33442234

2021

RASSF1A Enhances Chemosensitivity of NSCLC Cells Through Activating Autophagy by Regulating MAP1S to Inactivate Keap1-Nrf2 Pathway.

Applications

Unspecified application

Species

Unspecified reactive species

Jincai Wang,Xufeng Zhang,Fang Yang,Yuguang Yang,Tianjiao Wang,Wenming Liu,Hongfeng Zhou,Wei Zhao

Translational andrology and urology 9:2251-2261 PubMed33209690

2020

LncRNA CARLo-7 facilitates proliferation, migration, invasion, and EMT of bladder cancer cells by regulating Wnt/β-catenin and JAK2/STAT3 signaling pathways.

Applications

Unspecified application

Species

Unspecified reactive species

Houfeng Huang,Xinrong Fan,Xuebin Zhang,Yi Xie,Zhigang Ji

Journal for immunotherapy of cancer 8: PubMed32581055

2020

IL-6 promotes PD-L1 expression in monocytes and macrophages by decreasing protein tyrosine phosphatase receptor type O expression in human hepatocellular carcinoma.

Applications

Unspecified application

Species

Unspecified reactive species

Wenjie Zhang,Yang Liu,Zhongyi Yan,Hui Yang,Wei Sun,Yongliang Yao,Yun Chen,Runqiu Jiang
View all publications

Abcam Product Promise

我们致力于为您的研究提供高质量的试剂,为您科研的每一步提供支持。若我们的产品未能达到预期性能,我们向您提供 Abcam Product Promise 保障。
详情请参阅我们的条款与条件。

Please note: All products are 'FOR RESEARCH USE ONLY. NOT FOR USE IN DIAGNOSTIC OR THERAPEUTIC PROCEDURES'.

For licensing inquiries, please contact partnerships@abcam.com