JavaScript is disabled in your browser. Please enable JavaScript to view this website.
AB92506

重组Anti-STAT1 alpha抗体[EPYR2154]

Anti-STAT1 alpha antibody [EPYR2154]

  • BOND RX™ Validated
  • 20ul selling size
  • RabMAb
  • Recombinant
  • KO Validated
  • Advanced Validation
  • 了解详情

4

(2 Reviews)

|

(32 Publications)

Rabbit Recombinant Monoclonal STAT1 antibody. Suitable for ChIC/CUT&RUN-seq, IP, WB, IHC-P and reacts with Human, Mouse samples. Cited in 32 publications.

查看别名

Signal transducer and activator of transcription 1-alpha/beta, Transcription factor ISGF-3 components p91/p84, STAT1

12 Images
Immunoprecipitation - Anti-STAT1 alpha antibody [EPYR2154] (AB92506)
  • IP

Unknown

Immunoprecipitation - Anti-STAT1 alpha antibody [EPYR2154] (AB92506)

ab92506 (purified) at 1/20 dilution (0.5ug) immunoprecipitating STAT1 alpha in A431 whole cell lysate. A431 (Human epidermoid carcinoma epithelial cell) whole cell lysate 10ug
Lane 2 (+) : ab92506 & A431 whole cell lysate
Lane 3 (-) : Rabbit monoclonal IgG (ab172730) instead of ab92506 in A431 whole cell lysate
For western blotting, VeriBlot for IP secondary antibody (HRP) (ab131366) was used at 1/2000 dilution.
Blocking and diluting buffer : 5% NFDM/TBST.

All lanes:

Immunoprecipitation - Anti-STAT1 alpha antibody [EPYR2154] (ab92506)

Predicted band size: 87 kDa

false

Immunohistochemistry (Formalin/PFA-fixed paraffin-embedded sections) - Anti-STAT1 alpha antibody [EPYR2154] (AB92506)
  • IHC-P

Lab

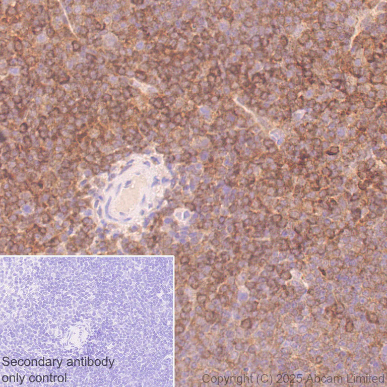
Immunohistochemistry (Formalin/PFA-fixed paraffin-embedded sections) - Anti-STAT1 alpha antibody [EPYR2154] (AB92506)

Immunohistochemical analysis of paraffin-embedded Mouse spleen tissue labeling STAT1 alpha with ab92506 at 1/5000 dilution.

Positive staining on mouse spleen

The primary antibody was incubated for 30 mins at room temperature.

The immunostaining was performed on a Leica Biosystems BOND® RX instrument

Counterstained with Hematoxylin.

Heat mediated antigen retrieval was performed with Tris-EDTA buffer (pH 9.0, Epitope Retrieval Solution2) for 20 mins.

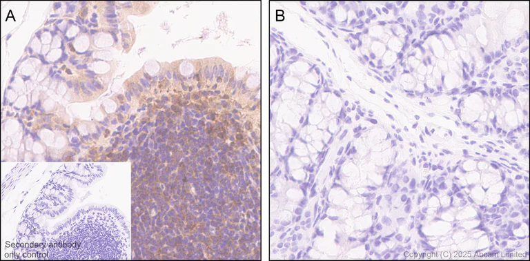
Immunohistochemistry (Formalin/PFA-fixed paraffin-embedded sections) - Anti-STAT1 alpha antibody [EPYR2154] (AB92506)
  • IHC-P

Lab

Immunohistochemistry (Formalin/PFA-fixed paraffin-embedded sections) - Anti-STAT1 alpha antibody [EPYR2154] (AB92506)

Immunohistochemical analysis of paraffin-embedded (A) Colon tissue from wild-type C57BL/6JGpt mice and (B) Colon tissue from Stat1 konckout mice tissue labeling STAT1 alpha with ab92506 at 1/5000 dilution, followed by a ready to use LeicaDS9800 (Bond Polymer Refine Detection).

Positive staining on (A) Colon tissue from wild-type C57BL/6JGpt mice, no staining on (B) Colon tissue from Stat1 konckout mice.

The primary antibody was incubated for 30 mins at room temperature.

The immunostaining was performed on a Leica Biosystems BOND® RX instrument.

Counterstained with Hematoxylin.

Secondary antibody only control : Secondary antibody is a ready to use LeicaDS9800 (Bond Polymer Refine Detection).

Heat mediated antigen retrieval was performed with Tris-EDTA buffer (pH 9.0, Epitope Retrieval Solution2) for 20 mins.

The tissue samples were kindly provided by GemPharmatech. C57BL/6JGpt wildtype mice and Stat1-KO homozygous mice (Strain ID : T006005).

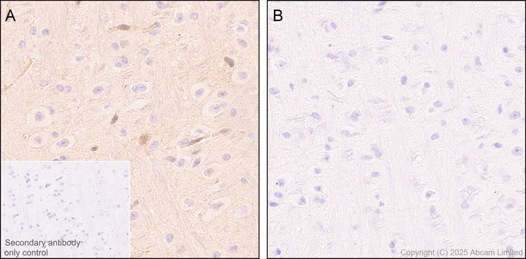
Immunohistochemistry (Formalin/PFA-fixed paraffin-embedded sections) - Anti-STAT1 alpha antibody [EPYR2154] (AB92506)
  • IHC-P

Lab

Immunohistochemistry (Formalin/PFA-fixed paraffin-embedded sections) - Anti-STAT1 alpha antibody [EPYR2154] (AB92506)

Immunohistochemical analysis of paraffin-embedded (A) Cerebrum tissue from wild-type C57BL/6JGpt mice and (B) Cerebrum tissue from Stat1 konckout mice tissue labeling STAT1 alpha with ab92506 at 1/5000 dilution, followed by a ready to use LeicaDS9800 (Bond Polymer Refine Detection).

Positive staining on (A) Cerebrum tissue from wild-type C57BL/6JGpt mice, no staining on (B) Cerebrum tissue from Stat1 konckout mice.

The primary antibody was incubated for 30 mins at room temperature.

The immunostaining was performed on a Leica Biosystems BOND® RX instrument.

Counterstained with Hematoxylin.

Secondary antibody only control : Secondary antibody is a ready to use LeicaDS9800 (Bond Polymer Refine Detection).

Heat mediated antigen retrieval was performed with Tris-EDTA buffer (pH 9.0, Epitope Retrieval Solution2) for 20 mins.

The tissue samples were kindly provided by GemPharmatech. C57BL/6JGpt wildtype mice and Stat1-KO homozygous mice (Strain ID : T006005).

Western blot - Anti-STAT1 alpha antibody [EPYR2154] (AB92506)
  • WB

Lab

Western blot - Anti-STAT1 alpha antibody [EPYR2154] (AB92506)

Phospho STAT1 protein is revealed by ab109461, anti-STAT1 (phospho S727) antibody. ab92506 is used as pan control which detects total STAT1.

Blocking and dilution buffer : 5% NFDM/TBST.

All lanes:

Western blot - Anti-STAT1 alpha antibody [EPYR2154] (ab92506) at 1/2000 dilution

Lane 1:

Untreated HeLa (human cervix adenocarcinoma) membrane at 10 µg

Lane 2:

HeLa (human cervix adenocarcinoma) membrane treated with Alkaline Phosphatase at 10 µg

Secondary

All lanes:

Goat Anti-Rabbit IgG, (H+L), Peroxidase conjugated at 1/1500 dilution

Predicted band size: 87 kDa

Observed band size: 91 kDa

true

Exposure time: 3min

Western blot - Anti-STAT1 alpha antibody [EPYR2154] (AB92506)
  • WB

Lab

Western blot - Anti-STAT1 alpha antibody [EPYR2154] (AB92506)

Lane 1 : Wild type HAP1 whole cell lysate (20 μg)
Lane 2 : STAT1 alpha knockout HAP1 whole cell lysate (20 μg)
Lane 3 : HeLa whole cell lysate (20 μg)
Lane 4 : A431 whole cell lysate (20 μg)

Lanes 1 - 4 : Merged signal (red and green). Green - ab92506 (unpurified) observed at 90 kDa. Red - loading control, ab8245, observed at 37 kDa.

ab92506 was shown to specifically react with STAT1 alpha when STAT1 alpha knockout samples were used. Wild-type and STAT1 alpha knockout samples were subjected to SDS-PAGE. ab92506 and ab8245 (Mouse anti GAPDH loading control) were incubated overnight at 4°C at 1/500 dilution and 1/10000 dilution respectively. Blots were developed with Goat anti-Rabbit IgG H&L (IRDye® 800CW) preabsorbed ab216773 and Goat anti-Mouse IgG H&L (IRDye® 680RD) preabsorbed ab216776 secondary antibodies at 1/10000 dilution for 1 hour at room temperature before imaging.

All lanes:

Western blot - Anti-STAT1 alpha antibody [EPYR2154] (ab92506)

Predicted band size: 87 kDa

false

Western blot - Anti-STAT1 alpha antibody [EPYR2154] (AB92506)
  • WB

Lab

Western blot - Anti-STAT1 alpha antibody [EPYR2154] (AB92506)

Lanes 1 - 2 : Merged signal (red and green). Green - ab92506 observed at 85 kDa. Red - loading control ab7291 (Mouse anti-Alpha Tubulin [DM1A]) observed at 55 kDa.

ab92506 was shown to react with STAT1 alpha in wild-type HeLa cells in Western blot with loss of signal observed in STAT1 knockout cell line ab255346 (STAT1 knockout cell lysate ab263837). Wild-type HeLa and STAT1 knockout cell lysates were subjected to SDS-PAGE. Membranes were blocked in 3 % milk in TBS-T (0.1 % Tween®) before incubation with ab92506 and ab7291 (Mouse anti-Alpha Tubulin [DM1A]) overnight at 4 °C at a 1 in 1000 dilution and a 1 in 20000 dilution respectively. Blots were incubated with Goat anti-Rabbit IgG H&L (IRDye® 800CW) preabsorbed (ab216773) and Goat anti-Mouse IgG H&L (IRDye® 680RD) preabsorbed (ab216776) secondary antibodies at 1 in 20000 dilution for 1 h at room temperature before imaging.

All lanes:

Western blot - Anti-STAT1 alpha antibody [EPYR2154] (ab92506) at 1/1000 dilution

Lane 1:

Wild-type HeLa cell lysate at 20 µg

Lane 2:

STAT1 knockout HeLa cell lysate at 20 µg

Lane 2:

Western blot - Human STAT1 knockout HeLa cell line (<a href='/products/cell-lines/human-stat1-knockout-hela-cell-line-ab255346'>ab255346</a>)

Predicted band size: 87 kDa

Observed band size: 85 kDa

false

ChIC/CUT&RUN sequencing - Anti-STAT1 alpha antibody [EPYR2154] (AB92506)
  • ChIC/CUT&RUN-seq

Supplier Data

ChIC/CUT&RUN sequencing - Anti-STAT1 alpha antibody [EPYR2154] (AB92506)

CUT&RUN profiling with STAT1 alpha antibody demonstrates robust genome-wide enrichment in cells. Heatmaps of genome-wide signal flanking annotated transcription start sites (TSSs, +/- 2 kbp) display CUT&RUN data generated using the CUTANA™ CUT&RUN Kit (EpiCypher 14-1048) with STAT1 alpha antibody (Abcam ab92506, 0.5 µg). 500,000 HeLa cells were used per reaction. IgG antibody was included as a negative control to assess non-specific background. Libraries were prepared using the CUTANA™ CUT&RUN Library Prep Kit (EpiCypher 14-1001). Sequencing was performed with paired-end 50 bp reads, and data were processed on CUTANA™ Cloud (cloud.epicypher.com) by alignment to the hg38 genome. Heatmaps were generated using deepTools (Ramнrez et al., Nucleic Acids Res. 2014; PMID : 24799436). Row-linked data are ranked by intensity relative to STAT1 alpha, with red indicating high localized enrichment and blue denoting background.

ChIC/CUT&RUN sequencing - Anti-STAT1 alpha antibody [EPYR2154] (AB92506)
  • ChIC/CUT&RUN-seq

Supplier Data

ChIC/CUT&RUN sequencing - Anti-STAT1 alpha antibody [EPYR2154] (AB92506)

CUT&RUN profiling with STAT1 alpha antibody reveals the expected genomic enrichment pattern in cells. Representative genome browser tracks show CUT&RUN data generated using the CUTANA™ CUT&RUN Kit (EpiCypher 14-1048) with STAT1 alpha antibody (Abcam ab92506, 0.5 µg). 500,000 HeLa cells were used per reaction. IgG, H3K4me3, and H3K27me3 antibodies were included as controls to assess non-specific background, active promoters, and repressed chromatin, respectively. Libraries were prepared using the CUTANA™ CUT&RUN Library Prep Kit (EpiCypher 14-1001). Sequencing was performed with paired-end 50 bp reads, and data were processed on CUTANA™ Cloud (cloud.epicypher.com) by alignment to the hg38 genome. Images were generated using Integrative Genomics Viewer (IGV, Broad Institute).

Western blot - Anti-STAT1 alpha antibody [EPYR2154] (AB92506)
  • WB

Lab

Western blot - Anti-STAT1 alpha antibody [EPYR2154] (AB92506)

Exposure time : Lane 1-4 : 6 second; Lane 5-8 : 15.

Blocking and diluting buffer and concentration : 5% NFDM/TBST.

In Western blot, Anti-GAPDH antibody [EPR16891] - Loading Control (ab181602) staining at 1/200000 dilution.

The tissue samples were kindly provided by GemPharmatech. C57BL/6JGpt wildtype mice and Stat1-KO homozygous mice (Strain ID : T006005).

All lanes:

Western blot - Anti-STAT1 alpha antibody [EPYR2154] (ab92506) at 1/1000 dilution

Lane 1:

Wild-type mouse colon tissue lysate (male) at 20 µg

Lane 2:

Wild-type mouse colon tissue lysate (female) at 20 µg

Lane 3:

Stat1 knockout mouse colon tissue lysate (male) at 20 µg

Lane 4:

Stat1 knockout mouse colon tissue lysate (female) at 20 µg

Lane 5:

Wild-type mouse brain tissue lysate (male) at 20 µg

Lane 6:

Wild-type mouse brain tissue lysate (female) at 20 µg

Lane 7:

Stat1 knockout mouse brain tissue lysate (male) at 20 µg

Lane 8:

Stat1 knockout mouse brain tissue lysate (female) at 20 µg

Secondary

All lanes:

Western blot - Goat Anti-Rabbit IgG H&L (HRP) (<a href='/products/secondary-antibodies/goat-rabbit-igg-h-l-hrp-ab97051'>ab97051</a>) at 1/20000 dilution

Observed band size: 91 kDa

false

Western blot - Anti-STAT1 alpha antibody [EPYR2154] (AB92506)
  • WB

Unknown

Western blot - Anti-STAT1 alpha antibody [EPYR2154] (AB92506)

All lanes:

Western blot - Anti-STAT1 alpha antibody [EPYR2154] (ab92506) at 1/1000 dilution

Lane 1:

HeLa cell lysate at 10 µg

Lane 2:

293 cell lysate at 10 µg

Lane 3:

NIH-3T3 cell lysate at 10 µg

Lane 4:

A431 cell lysate at 10 µg

Secondary

All lanes:

HRP labelled goat anti-rabbit IgG at 1/2000 dilution

Predicted band size: 87 kDa

Observed band size: 91 kDa

false

Western blot - Anti-STAT1 alpha antibody [EPYR2154] (AB92506)
  • WB

Lab

Western blot - Anti-STAT1 alpha antibody [EPYR2154] (AB92506)

All lanes:

Western blot - Anti-STAT1 alpha antibody [EPYR2154] (ab92506) at 1/1000 dilution

Lane 1:

A431 (Human epidermoid carcinoma epithelial cell) whole cell lysate at 20 µg

Lane 2:

Mouse brain lysate at 20 µg

Lane 3:

NIH/3T3 (Mouse embryonic fibroblast) whole cell lysates at 20 µg

Secondary

All lanes:

Western blot - Goat Anti-Rabbit IgG H&L (HRP) (<a href='/products/secondary-antibodies/goat-rabbit-igg-h-l-hrp-ab97051'>ab97051</a>) at 1/20000 dilution

Predicted band size: 87 kDa

Observed band size: 91 kDa

false

不同偶联物与剂型 (2)

  • HRP

    HRP Anti-STAT1 alpha antibody [EPYR2154]

  • Carrier free

    Anti-STAT1 alpha antibody [EPYR2154] - BSA and Azide free

关键信息

宿主种属

Rabbit

克隆

Monoclonal

克隆号

EPYR2154

亚型

IgG

不含载体蛋白

No

反应种属

Human, Mouse

应用

WB, IP, IHC-P, ChIC/CUT&RUN-seq

applications

免疫原

The exact immunogen used to generate this antibody is proprietary information.

特异性

Based on Blast results using the immunogen sequence, this antibody should recognise the alpha but not the beta form (only 30% homology) of Stat1.

反应性数据

{ "title": "Reactivity Data", "filters": { "stats": ["", "Species", "Dilution Info", "Notes"], "tabs": { "all-applications": {"fullname" : "All Applications", "shortname": "All Applications"}, "ChICCUTRUNseq" : {"fullname" : "ChIC/CUT&RUN sequencing", "shortname":"ChIC/CUT&RUN-seq"}, "IP" : {"fullname" : "Immunoprecipitation", "shortname":"IP"}, "FlowCyt" : {"fullname" : "Flow Cytometry", "shortname":"Flow Cyt"}, "WB" : {"fullname" : "Western blot", "shortname":"WB"}, "IHCP" : {"fullname" : "Immunohistochemistry (Formalin/PFA-fixed paraffin-embedded sections)", "shortname":"IHC-P"} }, "product-promise": { "all": "all", "testedAndGuaranteed": "tested", "guaranteed": "expected", "predicted": "predicted", "notRecommended": "not-recommended" } }, "values": { "Human": { "ChICCUTRUNseq-species-checked": "testedAndGuaranteed", "ChICCUTRUNseq-species-dilution-info": "", "ChICCUTRUNseq-species-notes": "<p></p>", "IP-species-checked": "testedAndGuaranteed", "IP-species-dilution-info": "1/20 - 1/50", "IP-species-notes": "<p></p>", "FlowCyt-species-checked": "notRecommended", "FlowCyt-species-dilution-info": "1/50", "FlowCyt-species-notes": "<p><a href='/products/primary-antibodies/rabbit-igg-monoclonal-epr25a-isotype-control-ab172730'>ab172730</a> - Rabbit monoclonal IgG, is suitable for use as an isotype control with this antibody.</p>", "WB-species-checked": "testedAndGuaranteed", "WB-species-dilution-info": "1/1000 - 1/2000", "WB-species-notes": "<p></p>", "IHCP-species-checked": "guaranteed", "IHCP-species-dilution-info": "", "IHCP-species-notes": "" }, "Mouse": { "ChICCUTRUNseq-species-checked": "guaranteed", "ChICCUTRUNseq-species-dilution-info": "", "ChICCUTRUNseq-species-notes": "", "IP-species-checked": "guaranteed", "IP-species-dilution-info": "", "IP-species-notes": "", "FlowCyt-species-checked": "notRecommended", "FlowCyt-species-dilution-info": "1/50", "FlowCyt-species-notes": "<p><a href='/products/primary-antibodies/rabbit-igg-monoclonal-epr25a-isotype-control-ab172730'>ab172730</a> - Rabbit monoclonal IgG, is suitable for use as an isotype control with this antibody.</p>", "WB-species-checked": "testedAndGuaranteed", "WB-species-dilution-info": "1/1000 - 1/2000", "WB-species-notes": "<p></p>", "IHCP-species-checked": "testedAndGuaranteed", "IHCP-species-dilution-info": "1/5000", "IHCP-species-notes": "<p></p>" } } }

产品详情

Patented technology
Our RabMAb® technology is a patented hybridoma-based technology for making rabbit monoclonal antibodies. For details on our patents, please refer to RabMAb® patents.

What are the advantages of a recombinant monoclonal antibody?
This product is a recombinant monoclonal antibody, which offers several advantages including:

  • - High batch-to-batch consistency and reproducibility
  • - Improved sensitivity and specificity
  • - Long-term security of supply
  • - Animal-free batch production

For more information, read more on recombinant antibodies.

Species reactivity
Rat: We have preliminary internal testing data to indicate this antibody may not react with this species.
Please contact us for more information.

性能和储存信息

形式
Liquid
纯化工艺
Affinity purification Protein A
存储溶液
pH: 7.2 - 7.4 Preservative: 0.01% Sodium azide Constituents: PBS, 40% Glycerol (glycerin, glycerine), 0.05% BSA
运输条件
Blue Ice
推荐的短期储存时间
1-2 weeks
推荐的短期储存条件
+4°C
推荐的长期储存条件
-20°C
分装信息
Upon delivery aliquot
储存信息
Avoid freeze / thaw cycle

补充信息

This supplementary information is collated from multiple sources and compiled automatically.

STAT1 alpha also known as Signal Transducer and Activator of Transcription 1-alpha is a protein with a mass of approximately 91 kDa. It operates in the cell nucleus and cytoplasm to mediate signal transduction and activation of transcription. STAT1 alpha does this by dimerizing following phosphorylation enabling its nuclear translocation. It is broadly expressed in many tissues including immune cells. This expression plays an important role in response to cytokines and other signaling molecules.
Biological function summary

STAT1 alpha functions as a critical component of the interferon signaling pathway. It is part of a transcription factor complex that regulates the expression of genes involved in cell proliferation differentiation and immune response. STAT1 alpha mediates its effects by forming homo- or heterodimers with related proteins and binding to specific DNA sequences. This interaction facilitates the transcription of genes necessary for innate and adaptive immunity highlighting its fundamental role in host defense mechanisms.

Pathways

STAT1 alpha participates in the JAK-STAT signaling pathway and interferon signaling pathways. It interacts with Janus kinases (JAKs) after cytokine stimulation resulting in its phosphorylation and dimerization. This pathway links it with other STAT family members such as STAT2 and STAT3 to regulate gene expression. These pathways ensure proper immune function and cell growth control indicating STAT1 alpha's essential role in various cellular processes.

STAT1 alpha is associated with autoimmune diseases and certain cancers. Its malfunction can result in inadequate immune responses or excessive inflammation. In some cancers altered STAT1 alpha activity contributes to unchecked cell proliferation. STAT1 alpha interacts with various proteins such as IFNGR1 and IRF1 in these disease states affecting their signaling pathways. Its dysregulation indicates a potential target for therapeutic intervention in these disorders making it of interest for medical research.

产品实验方案

For this product, it's our understanding that no specific protocols are required. You can visit:

靶点信息

Signal transducer and transcription activator that mediates cellular responses to interferons (IFNs), cytokine KITLG/SCF and other cytokines and other growth factors (PubMed : 12764129, PubMed : 12855578, PubMed : 15322115, PubMed : 23940278, PubMed : 34508746, PubMed : 35568036, PubMed : 9724754). Following type I IFN (IFN-alpha and IFN-beta) binding to cell surface receptors, signaling via protein kinases leads to activation of Jak kinases (TYK2 and JAK1) and to tyrosine phosphorylation of STAT1 and STAT2. The phosphorylated STATs dimerize and associate with ISGF3G/IRF-9 to form a complex termed ISGF3 transcription factor, that enters the nucleus (PubMed : 28753426, PubMed : 35568036). ISGF3 binds to the IFN stimulated response element (ISRE) to activate the transcription of IFN-stimulated genes (ISG), which drive the cell in an antiviral state (PubMed : 28753426, PubMed : 35568036). In response to type II IFN (IFN-gamma), STAT1 is tyrosine- and serine-phosphorylated (PubMed : 26479788). It then forms a homodimer termed IFN-gamma-activated factor (GAF), migrates into the nucleus and binds to the IFN gamma activated sequence (GAS) to drive the expression of the target genes, inducing a cellular antiviral state (PubMed : 8156998). Becomes activated in response to KITLG/SCF and KIT signaling (PubMed : 15526160). May mediate cellular responses to activated FGFR1, FGFR2, FGFR3 and FGFR4 (PubMed : 19088846). Following bacterial lipopolysaccharide (LPS)-induced TLR4 endocytosis, phosphorylated at Thr-749 by IKBKB which promotes binding of STAT1 to the 5'-TTTGAGGC-3' sequence in the ARID5A promoter, resulting in transcriptional activation of ARID5A and subsequent ARID5A-mediated stabilization of IL6 (PubMed : 32209697). Phosphorylation at Thr-749 also promotes binding of STAT1 to the 5'-TTTGAGTC-3' sequence in the IL12B promoter and activation of IL12B transcription (PubMed : 32209697). Involved in food tolerance in small intestine : associates with the Gasdermin-D, p13 cleavage product (13 kDa GSDMD) and promotes transcription of CIITA, inducing type 1 regulatory T (Tr1) cells in upper small intestine (By similarity).
See full target information STAT1

文献 (32)

Recent publications for all applications. Explore the full list and refine your search

iScience 28:112742 PubMed40546938

2025

Interferon gamma induced-ACSL5 shapes the lipidome of kidney tubular cells.

Applications

Unspecified application

Species

Unspecified reactive species

Virginie Poindessous,Julio L Sampaio,Lydia Bouidghaghen,Ivan Nemazanyy,Alexandre Pallet,Maarten Naesens,Thibaut Vaulet,Dany Anglicheau,Nicolas Pallet

CNS neuroscience & therapeutics 31:e70404 PubMed40277259

2025

Balancing Anti-Inflammation and Neurorepair: The Role of Mineralocorticoid Receptor in Regulating Microglial Phenotype Switching After Traumatic Brain Injury.

Applications

Unspecified application

Species

Unspecified reactive species

Bin Zhang,Miao Bai,Mengshi Yang,Yumei Wang,Xueling Zhang,Xiyu Chen,Min Gao,Baiyun Liu,Guangzhi Shi

Cell biology international 49:317-328 PubMed39760338

2025

Glucuronoxylomannan (GXM) modulates macrophage proliferation and apoptosis through the STAT1 signaling pathway.

Applications

Unspecified application

Species

Unspecified reactive species

Youming Huang,Sujing Li,Yan Teng,Xiaoxia Ding,Danfeng Xu,Xianhong Yang,Yong Yu,Yibin Fan

Analytical cellular pathology (Amsterdam) 2024:6624283 PubMed39624161

2024

N-Acetylcysteine Treats Spinal Cord Injury by Inhibiting Astrocyte Proliferation.

Applications

Unspecified application

Species

Unspecified reactive species

Dong Zhang,Chaoxi Qin,Fei Meng,Xiaopeng Han,Xing Guo

Acta biochimica et biophysica Sinica 56:1130-1144 PubMed38894685

2024

Macrophages exploit the mannose receptor and JAK-STAT1-MHC-II pathway to drive antigen presentation and the antimycobacterial immune response after BCG vaccination.

Applications

Unspecified application

Species

Unspecified reactive species

Ying Zhang,Dandan Xu,Qi Nie,Jing Wang,Dan Fang,Yan Xie,Huang Xiong,Qin Pan,Xiao-Lian Zhang

Journal of innate immunity 15:893-910 PubMed37926093

2023

Bone Marrow Mesenchymal Stem Cells Release miR-378a-5p-Carried Extracellular Vesicles to Alleviate Rheumatoid Arthritis.

Applications

Unspecified application

Species

Unspecified reactive species

Yaqin Zhang,Ziying Jiao,Shanshan Wang

Neural regeneration research 19:915-922 PubMed37843229

2023

STAT3 ameliorates truncated tau-induced cognitive deficits.

Applications

Unspecified application

Species

Unspecified reactive species

Bingge Zhang,Huali Wan,Maimaitijian Maierwufu,Qian Liu,Ting Li,Ye He,Xin Wang,Gongping Liu,Xiaoyue Hong,Qiong Feng

Journal of orthopaedic translation 40:37-48 PubMed37304218

2023

Metformin attenuates diabetes-induced osteopenia in rats is associated with down-regulation of the RAGE-JAK2-STAT1 signal axis.

Applications

Unspecified application

Species

Unspecified reactive species

Rui Lin,Bilian Xu,Zhiqiang Ye,Yin Gao,Haiping Fang,Jintong Song,Dahong Liang,Lingna Liu,Zilong Hu,Min Zhang,Jinsong Wei,Feifu Deng,Xiangxin Zhong,Liao Cui,Yanzhi Liu

Virus research 326:199065 PubMed36754292

2023

Chicken-derived MERTK protein inhibits Newcastle disease virus replication by increasing STAT1 phosphorylation in DF-1 cells.

Applications

Unspecified application

Species

Unspecified reactive species

Lei Tan,Meizhen Huang,Xusheng Qiu,Xuechun Zhi,Lujing Liang,Yingjie Sun,Ying Liao,Cuiping Song,Tao Ren,Chan Ding

Nature methods 19:959-968 PubMed35927480

2022

PROBER identifies proteins associated with programmable sequence-specific DNA in living cells.

Applications

Unspecified application

Species

Unspecified reactive species

Smarajit Mondal,Muthukumar Ramanathan,Weili Miao,Robin M Meyers,Deepti Rao,Vanessa Lopez-Pajares,Zurab Siprashvili,David L Reynolds,Douglas F Porter,Ian Ferguson,Poornima Neela,Yang Zhao,Lindsey M Meservey,Margaret Guo,Yen-Yu Yang,Lin Li,Yinsheng Wang,Paul A Khavari
View all publications

Abcam Product Promise

我们致力于为您的研究提供高质量的试剂,为您科研的每一步提供支持。若我们的产品未能达到预期性能,我们向您提供 Abcam Product Promise 保障。
详情请参阅我们的条款与条件。

Please note: All products are 'FOR RESEARCH USE ONLY. NOT FOR USE IN DIAGNOSTIC OR THERAPEUTIC PROCEDURES'.

For licensing inquiries, please contact partnerships@abcam.com