JavaScript is disabled in your browser. Please enable JavaScript to view this website.
AB140623

重组Anti-SR蛋白repeat/SRSF6抗体[EPR9231]

Anti-SR protein repeat/SRSF6 antibody [EPR9231]

Be the first to review this product! Submit a review

|

(4 Publications)

Rabbit Recombinant Monoclonal SR protein repeat/SRSF6 antibody. Suitable for IHC-P, WB and reacts with Human, Mouse, Rat samples. Cited in 4 publications.

查看别名

SFRS6, SRP55, SRSF6, Serine/arginine-rich splicing factor 6, Pre-mRNA-splicing factor SRP55

7 Images
Immunohistochemistry (Formalin/PFA-fixed paraffin-embedded sections) - Anti-SR protein repeat/SRSF6 antibody [EPR9231] (AB140623)
  • IHC-P

Unknown

Immunohistochemistry (Formalin/PFA-fixed paraffin-embedded sections) - Anti-SR protein repeat/SRSF6 antibody [EPR9231] (AB140623)

Immunohistochemical analysis of paraffin embedded normal Human brain tissue using ab140623 showing +ve staining.

Perform heat mediated antigen retrieval with citrate buffer pH 6 before commencing with IHC staining protocol.

Immunohistochemistry (Formalin/PFA-fixed paraffin-embedded sections) - Anti-SR protein repeat/SRSF6 antibody [EPR9231] (AB140623)
  • IHC-P

Unknown

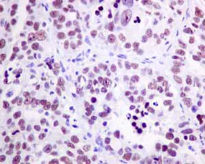
Immunohistochemistry (Formalin/PFA-fixed paraffin-embedded sections) - Anti-SR protein repeat/SRSF6 antibody [EPR9231] (AB140623)

Immunohistochemical analysis of paraffin-embedded Human gastric carcinoma tissue labelling SR protein repeat/SRSF6 with ab140623 at 1/50 dilution.

Perform heat mediated antigen retrieval with citrate buffer pH 6 before commencing with IHC staining protocol.

Immunohistochemistry (Formalin/PFA-fixed paraffin-embedded sections) - Anti-SR protein repeat/SRSF6 antibody [EPR9231] (AB140623)
  • IHC-P

Unknown

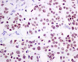
Immunohistochemistry (Formalin/PFA-fixed paraffin-embedded sections) - Anti-SR protein repeat/SRSF6 antibody [EPR9231] (AB140623)

Immunohistochemical analysis of paraffin embedded Human Ovarian carcinoma tissue using ab140623 showing +ve staining.

Perform heat mediated antigen retrieval with citrate buffer pH 6 before commencing with IHC staining protocol.

Immunohistochemistry (Formalin/PFA-fixed paraffin-embedded sections) - Anti-SR protein repeat/SRSF6 antibody [EPR9231] (AB140623)
  • IHC-P

Unknown

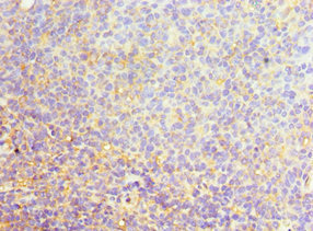
Immunohistochemistry (Formalin/PFA-fixed paraffin-embedded sections) - Anti-SR protein repeat/SRSF6 antibody [EPR9231] (AB140623)

Immunohistochemical analysis of paraffin embedded Human Breast carcinoma tissue using ab140623 showing +ve staining.

Perform heat mediated antigen retrieval with citrate buffer pH 6 before commencing with IHC staining protocol.

Immunohistochemistry (Formalin/PFA-fixed paraffin-embedded sections) - Anti-SR protein repeat/SRSF6 antibody [EPR9231] (AB140623)
  • IHC-P

Unknown

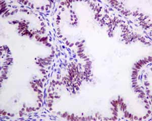
Immunohistochemistry (Formalin/PFA-fixed paraffin-embedded sections) - Anti-SR protein repeat/SRSF6 antibody [EPR9231] (AB140623)

Immunohistochemical analysis of paraffin embedded normal Human uterus tissue using ab140623 showing +ve staining.

Perform heat mediated antigen retrieval with citrate buffer pH 6 before commencing with IHC staining protocol.

Western blot - Anti-SR protein repeat/SRSF6 antibody [EPR9231] (AB140623)
  • WB

Unknown

Western blot - Anti-SR protein repeat/SRSF6 antibody [EPR9231] (AB140623)

All lanes:

Western blot - Anti-SR protein repeat/SRSF6 antibody [EPR9231] (ab140623) at 1/1000 dilution

Lane 1:

K562 cell lysate at 10 µg

Lane 2:

Jurkat cell lysate at 10 µg

Lane 3:

HeLa cell lysate at 10 µg

Predicted band size: 40 kDa

false

Western blot - Anti-SR protein repeat/SRSF6 antibody [EPR9231] (AB140623)
  • WB

Lab

Western blot - Anti-SR protein repeat/SRSF6 antibody [EPR9231] (AB140623)

Lanes 1-4 : Merged signal (red and green). Green - ab140623 observed at 48 kDa. Red - loading control ab8245 observed at 36 kDa.

ab140623 Anti-SR protein repeat/SRSF6 antibody [EPR9231] was shown to specifically react with SR protein repeat/SRSF6 in wild-type HEK293T cells. Loss of signal was observed when knockout cell line ab266529 (knockout cell lysate ab258210) was used. Wild-type and SR protein repeat/SRSF6 knockout samples were subjected to SDS-PAGE. ab140623 and Anti-GAPDH antibody [6C5] - Loading Control (ab8245) were incubated at room temperature for 2.5 hours at 1 in 1000 dilution and 1 in 20000 dilution respectively. Blots were developed with Goat anti-Rabbit IgG H&L (IRDye® 800CW) preadsorbed (ab216773) and Goat anti-Mouse IgG H&L (IRDye® 680RD) preadsorbed (ab216776) secondary antibodies at 1 in 20000 dilution for 1 hour at room temperature before imaging.

All lanes:

Western blot - Anti-SR protein repeat/SRSF6 antibody [EPR9231] (ab140623) at 1/1000 dilution

Lane 1:

Wild-type HEK293T cell lysate at 20 µg

Lane 2:

SRSF6 knockout HEK293T cell lysate at 20 µg

Lane 2:

Western blot - Human SRSF6 (SR protein repeat) knockout HEK-293T cell line (<a href='/products/cell-lines/human-srsf6-sr-protein-repeat-knockout-hek-293t-cell-line-ab266529'>ab266529</a>)

Lane 3:

Jurkat cell lysate at 20 µg

Lane 4:

K-562 cell lysate at 20 µg

Secondary

All lanes:

Western blot - Goat anti-Rabbit IgG H&L (IRDye® 800CW) preadsorbed (<a href='/products/secondary-antibodies/goat-rabbit-igg-h-l-irdye-800cw-preadsorbed-ab216773'>ab216773</a>) at 1/10000 dilution

Predicted band size: 40 kDa

Observed band size: 48 kDa

false

不同偶联物与剂型 (8)

  • Carrier free

    Anti-SR protein repeat/SRSF6 antibody [EPR9231] - BSA and Azide free

  • 565 Alexa Fluor® 555

    Alexa Fluor® 555 Anti-SR protein repeat/SRSF6 antibody [EPR9231]

  • 660 APC

    APC Anti-SR protein repeat/SRSF6 antibody [EPR9231]

  • 519 Alexa Fluor® 488

    Alexa Fluor® 488 Anti-SR protein repeat/SRSF6 antibody [EPR9231]

  • 578 PE

    PE Anti-SR protein repeat/SRSF6 antibody [EPR9231]

  • 617 Alexa Fluor® 594

    Alexa Fluor® 594 Anti-SR protein repeat/SRSF6 antibody [EPR9231]

  • 665 Alexa Fluor® 647

    Alexa Fluor® 647 Anti-SR protein repeat/SRSF6 antibody [EPR9231]

  • 775 Alexa Fluor® 750

    Alexa Fluor® 750 Anti-SR protein repeat/SRSF6 antibody [EPR9231]

关键信息

宿主种属

Rabbit

克隆

Monoclonal

克隆号

EPR9231

亚型

IgG

不含载体蛋白

No

反应种属

Human

应用

WB, IHC-P

applications

免疫原

The exact immunogen used to generate this antibody is proprietary information.

反应性数据

{ "title": "Reactivity Data", "filters": { "stats": ["", "Species", "Dilution Info", "Notes"], "tabs": { "all-applications": {"fullname" : "All Applications", "shortname": "All Applications"}, "IHCP" : {"fullname" : "Immunohistochemistry (Formalin/PFA-fixed paraffin-embedded sections)", "shortname":"IHC-P"}, "ICCIF" : {"fullname" : "Immunocytochemistry/ Immunofluorescence", "shortname":"ICC/IF"}, "IP" : {"fullname" : "Immunoprecipitation", "shortname":"IP"}, "FlowCyt" : {"fullname" : "Flow Cytometry", "shortname":"Flow Cyt"}, "WB" : {"fullname" : "Western blot", "shortname":"WB"} }, "product-promise": { "all": "all", "testedAndGuaranteed": "tested", "guaranteed": "expected", "predicted": "predicted", "notRecommended": "not-recommended" } }, "values": { "Human": { "IHCP-species-checked": "testedAndGuaranteed", "IHCP-species-dilution-info": "1/50 - 1/100", "IHCP-species-notes": "<p></p>", "ICCIF-species-checked": "notRecommended", "ICCIF-species-dilution-info": "", "ICCIF-species-notes": "<p></p>", "IP-species-checked": "notRecommended", "IP-species-dilution-info": "", "IP-species-notes": "<p></p>", "FlowCyt-species-checked": "notRecommended", "FlowCyt-species-dilution-info": "", "FlowCyt-species-notes": "<p></p>", "WB-species-checked": "testedAndGuaranteed", "WB-species-dilution-info": "1/1000 - 1/10000", "WB-species-notes": "<p></p>" }, "Mouse": { "IHCP-species-checked": "predicted", "IHCP-species-dilution-info": "", "IHCP-species-notes": "", "ICCIF-species-checked": "notRecommended", "ICCIF-species-dilution-info": "", "ICCIF-species-notes": "", "IP-species-checked": "notRecommended", "IP-species-dilution-info": "", "IP-species-notes": "", "FlowCyt-species-checked": "notRecommended", "FlowCyt-species-dilution-info": "", "FlowCyt-species-notes": "", "WB-species-checked": "guaranteed", "WB-species-dilution-info": "", "WB-species-notes": "<p></p>" }, "Rat": { "IHCP-species-checked": "predicted", "IHCP-species-dilution-info": "", "IHCP-species-notes": "", "ICCIF-species-checked": "notRecommended", "ICCIF-species-dilution-info": "", "ICCIF-species-notes": "", "IP-species-checked": "notRecommended", "IP-species-dilution-info": "", "IP-species-notes": "", "FlowCyt-species-checked": "notRecommended", "FlowCyt-species-dilution-info": "", "FlowCyt-species-notes": "", "WB-species-checked": "guaranteed", "WB-species-dilution-info": "", "WB-species-notes": "<p></p>" } } }

产品详情

Patented technology
Our RabMAb® technology is a patented hybridoma-based technology for making rabbit monoclonal antibodies. For details on our patents, please refer to RabMAb® patents.

What are the advantages of a recombinant monoclonal antibody?
This product is a recombinant monoclonal antibody, which offers several advantages including:

  • - High batch-to-batch consistency and reproducibility
  • - Improved sensitivity and specificity
  • - Long-term security of supply
  • - Animal-free batch production

For more information, read more on recombinant antibodies.

性能和储存信息

形式
Liquid
纯化工艺
Affinity purification Protein A
存储溶液
pH: 7.2 - 7.4 Preservative: 0.01% Sodium azide Constituents: PBS, 50% Tissue culture supernatant, 40% Glycerol (glycerin, glycerine), 0.05% BSA
运输条件
Blue Ice
推荐的短期储存条件
+4°C
推荐的长期储存条件
-20°C

产品实验方案

For this product, it's our understanding that no specific protocols are required. You can visit:

靶点信息

Plays a role in constitutive splicing and modulates the selection of alternative splice sites. Plays a role in the alternative splicing of MAPT/Tau exon 10. Binds to alternative exons of TNC pre-mRNA and promotes the expression of alternatively spliced TNC. Plays a role in wound healing and in the regulation of keratinocyte differentiation and proliferation via its role in alternative splicing.
See full target information SRSF6

文献 (4)

Recent publications for all applications. Explore the full list and refine your search

Science advances 10:eado8231 PubMed39356765

2024

SRSF6 modulates histone-chaperone HIRA splicing to orchestrate AR and E2F activity in prostate cancer.

Applications

Unspecified application

Species

Unspecified reactive species

Antonio J Montero-Hidalgo,Juan M Jiménez-Vacas,Enrique Gómez-Gómez,Francisco Porcel-Pastrana,Prudencio Sáez-Martínez,Jesús M Pérez-Gómez,Antonio C Fuentes-Fayos,Ricardo Blázquez-Encinas,Rafael Sánchez-Sánchez,Teresa González-Serrano,Elena Castro,Pablo J López-Soto,Julia Carrasco-Valiente,André Sarmento-Cabral,Antonio J Martinez-Fuentes,Eduardo Eyras,Justo P Castaño,Adam Sharp,David Olmos,Manuel D Gahete,Raúl M Luque

Scientific reports 10:14057 PubMed32820193

2020

Silencing Srsf6 does not modulate incomplete splicing of the huntingtin gene in Huntington's disease models.

Applications

Unspecified application

Species

Unspecified reactive species

Michael A Mason,Casandra Gomez-Paredes,Kirupa Sathasivam,Andreas Neueder,Aikaterini-Smaragdi Papadopoulou,Gillian P Bates

American journal of cancer research 10:38-59 PubMed32064152

2020

miR-193a-5p promotes pancreatic cancer cell metastasis through SRSF6-mediated alternative splicing of OGDHL and ECM1.

Applications

Unspecified application

Species

Unspecified reactive species

Manman Li,Pandi Wu,Zhaocong Yang,Siwei Deng,Lingyu Ni,Yanfeng Zhang,Liang Jin,Yi Pan

Nature communications 9:3955 PubMed30262848

2018

Regulatory mechanisms of incomplete huntingtin mRNA splicing.

Applications

Unspecified application

Species

Unspecified reactive species

Andreas Neueder,Anaelle A Dumas,Agnesska C Benjamin,Gillian P Bates
View all publications

Abcam Product Promise

我们致力于为您的研究提供高质量的试剂,为您科研的每一步提供支持。若我们的产品未能达到预期性能,我们向您提供 Abcam Product Promise 保障。
详情请参阅我们的条款与条件。

Please note: All products are 'FOR RESEARCH USE ONLY. NOT FOR USE IN DIAGNOSTIC OR THERAPEUTIC PROCEDURES'.

For licensing inquiries, please contact partnerships@abcam.com