JavaScript is disabled in your browser. Please enable JavaScript to view this website.
AB315159

重组Anti-SPTLC1抗体[EPR26226-221] - BSA and Azide free

Anti-SPTLC1 antibody [EPR26226-221] - BSA and Azide free

Be the first to review this product! Submit a review

|

(0 Publication)

Rabbit Recombinant Monoclonal SPTLC1 antibody. Carrier free. Suitable for WB, IHC-P, IP, ICC/IF, Flow Cyt (Intra) and reacts with Human, Recombinant fragment - Human samples.

查看别名

LCB1, SPTLC1, Serine palmitoyltransferase 1, Long chain base biosynthesis protein 1, Serine-palmitoyl-CoA transferase 1, LCB 1, SPT 1, SPT1

12 Images
Immunohistochemistry (Formalin/PFA-fixed paraffin-embedded sections) - Anti-SPTLC1 antibody [EPR26226-221] - BSA and Azide free (AB315159)
  • IHC-P

Supplier Data

Immunohistochemistry (Formalin/PFA-fixed paraffin-embedded sections) - Anti-SPTLC1 antibody [EPR26226-221] - BSA and Azide free (AB315159)

This data was developed using ab315158, the same antibody clone in a different buffer formulation.

Immunohistochemical analysis of paraffin-embedded Human skeletal muscle tissue labeling SPTLC1 with ab315158 at 1/2000 (0.249 ug/ml) dilution, followed by a ready to use LeicaDS9800 (Bond™ Polymer Refine Detection).

Negative control : No staining on human skeletal muscle. The section was incubated with ab315158 for 30 mins at room temperature. The immunostaining was performed on a Leica Biosystems BOND® RX instrument Counterstained with Hematoxylin.

Secondary antibody only control : Secondary antibody is a ready to use LeicaDS9800 (Bond™ Polymer Refine Detection).

Heat mediated antigen retrieval was performed with Tris-EDTA buffer (pH 9.0, Epitope Retrieval Solution2) for 20 mins

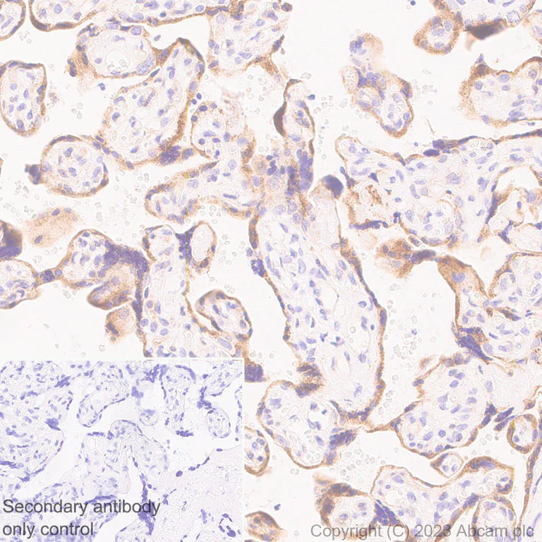
Immunohistochemistry (Formalin/PFA-fixed paraffin-embedded sections) - Anti-SPTLC1 antibody [EPR26226-221] - BSA and Azide free (AB315159)
  • IHC-P

Supplier Data

Immunohistochemistry (Formalin/PFA-fixed paraffin-embedded sections) - Anti-SPTLC1 antibody [EPR26226-221] - BSA and Azide free (AB315159)

This data was developed using ab315158, the same antibody clone in a different buffer formulation.

Immunohistochemical analysis of paraffin-embedded Human placenta tissue labeling SPTLC1 with ab315158 at 1/2000 (0.249 ug/ml) dilution, followed by a ready to use LeicaDS9800 (Bond™ Polymer Refine Detection).

Positive staining on human placenta. The section was incubated with ab315158 for 30 mins at room temperature. The immunostaining was performed on a Leica Biosystems BOND® RX instrument Counterstained with Hematoxylin.

Secondary antibody only control : Secondary antibody is a ready to use LeicaDS9800 (Bond™ Polymer Refine Detection).

Heat mediated antigen retrieval was performed with Tris-EDTA buffer (pH 9.0, Epitope Retrieval Solution2) for 20 mins

Immunocytochemistry/ Immunofluorescence - Anti-SPTLC1 antibody [EPR26226-221] - BSA and Azide free (AB315159)
  • ICC/IF

Supplier Data

Immunocytochemistry/ Immunofluorescence - Anti-SPTLC1 antibody [EPR26226-221] - BSA and Azide free (AB315159)

This data was developed using ab315158, the same antibody clone in a different buffer formulation.

Immunofluorescent analysis of 4% Paraformaldehyde-fixed, 0.1% TritonX-100 permeabilized 293T (human embryonic kidney epithelial cell) cells labelling SPTLC1 with ab315158 at 1/50 (9.94 ug/ml) dilution, followed by ab150081 Goat Anti-Rabbit IgG H&L (Alexa Fluor® 488) preadsorbed antibody at 1/1000 (2 ug/ml) dilution (Green).

Confocal image showing cytoplasmic staining in 293T cell line. Image was taken with a confocal microscope (Leica-Microsystems, TCS SP8).

Anti-KDEL mouse monoclonal antibody was used to counterstain tubulin at 1/100 (1 ug/ml) dilution (Red). The Nuclear counterstain was DAPI (Blue).

Secondary antibody only control : Secondary antibody is ab150081 Goat Anti-Rabbit IgG H&L (Alexa Fluor® 488) preadsorbed at 1/1000 (2 ug/ml) dilution.

Immunocytochemistry/ Immunofluorescence - Anti-SPTLC1 antibody [EPR26226-221] - BSA and Azide free (AB315159)
  • ICC/IF

Supplier Data

Immunocytochemistry/ Immunofluorescence - Anti-SPTLC1 antibody [EPR26226-221] - BSA and Azide free (AB315159)

This data was developed using ab315158, the same antibody clone in a different buffer formulation.

Immunofluorescent analysis of 4% Paraformaldehyde-fixed, 0.1% TritonX-100 permeabilized HeLa (human cervical adenocarcinoma epithelial cell) cells labelling SPTLC1 with ab315158 at 1/50 (9.94 ug/ml) dilution, followed by ab150081 Goat Anti-Rabbit IgG H&L (Alexa Fluor® 488) preadsorbed antibody at 1/1000 (2 ug/ml) dilution (Green).

Confocal image showing cytoplasmic staining in HeLa cell line. Image was taken with a confocal microscope (Leica-Microsystems, TCS SP8).

Anti-KDEL mouse monoclonal antibody was used to counterstain tubulin at 1/100 (1 ug/ml) dilution (Red). The Nuclear counterstain was DAPI (Blue).

Secondary antibody only control : Secondary antibody is ab150081 Goat Anti-Rabbit IgG H&L (Alexa Fluor® 488) preadsorbed at 1/1000 (2 ug/ml) dilution.

Flow Cytometry (Intracellular) - Anti-SPTLC1 antibody [EPR26226-221] - BSA and Azide free (AB315159)
  • Flow Cyt (Intra)

Supplier Data

Flow Cytometry (Intracellular) - Anti-SPTLC1 antibody [EPR26226-221] - BSA and Azide free (AB315159)

This data was developed using ab315158, the same antibody clone in a different buffer formulation.

Flow cytometric analysis of 4% paraformaldehyde fixed 90% methanol permeabilized 293T (human embryonic kidney epithelial cell) cells labelling SPTLC1 with ab315158 at 1/500 dilution (0.1 ug, Red) compared with a Rabbit monoclonal IgG (ab172730) (Black) isotype control and an unlabelled control (cells without incubation with primary antibody and secondary antibody) (Blue).

Goat Anti-Rabbit IgG (Alexa Fluor® 488, ab150081) at 1/5000 dilution was used as the secondary antibody.

Flow Cytometry (Intracellular) - Anti-SPTLC1 antibody [EPR26226-221] - BSA and Azide free (AB315159)
  • Flow Cyt (Intra)

Supplier Data

Flow Cytometry (Intracellular) - Anti-SPTLC1 antibody [EPR26226-221] - BSA and Azide free (AB315159)

This data was developed using ab315158, the same antibody clone in a different buffer formulation.

Flow cytometric analysis of 4% paraformaldehyde fixed 90% methanol permeabilized HeLa (human cervical adenocarcinoma epithelial cell) cells labelling SPTLC1 with ab315158 at 1/500 dilution (0.1 ug, Red) compared with a Rabbit monoclonal IgG (ab172730) (Black) isotype control and an unlabelled control (cells without incubation with primary antibody and secondary antibody) (Blue).

Goat Anti-Rabbit IgG (Alexa Fluor® 488, ab150081) at 1/5000 dilution was used as the secondary antibody.

Immunoprecipitation - Anti-SPTLC1 antibody [EPR26226-221] - BSA and Azide free (AB315159)
  • IP

Supplier Data

Immunoprecipitation - Anti-SPTLC1 antibody [EPR26226-221] - BSA and Azide free (AB315159)

This data was developed using ab315158, the same antibody clone in a different buffer formulation.

SPTLC1 was immunoprecipitated from 0.35 mg HepG2 (human hepatocellular carcinoma epithelial cell) whole cell lysate with ab315158 at 1/30 dilution (2ug in 0.35mg lysates). Western blot was performed on the immunoprecipitate using ab315158 at 1/1000 dilution. VeriBlot for IP secondary antibody(HRP)(ab131366) was used at 1/5000 dilution.

Lane 1 : HepG2 (human hepatocellular carcinoma epithelial cell) whole cell lysate

Lane 2 : ab315158 IP in HepG2 (human hepatocellular carcinoma epithelial cell) whole cell lysate

Lane 3 : Rabbit monoclonal IgG (ab172730) instead of ab315158 in HepG2 whole cell lysate

Blocking and dilution buffer and concentration : 5% NFDM/TBST.

All lanes:

Immunoprecipitation - Anti-SPTLC1 antibody [EPR26226-221] (<a href='/products/primary-antibodies/sptlc1-antibody-epr26226-221-ab315158'>ab315158</a>) at 1/30 dilution

All lanes:

HepG2 (human hepatocellular carcinoma epithelial cell) whole cell lysate

Secondary

All lanes:

Immunoprecipitation - VeriBlot for IP Detection Reagent (HRP) (<a href='/products/reagents/veriblot-for-ip-detection-reagent-hrp-ab131366'>ab131366</a>) at 1/5000 dilution

false

Exposure time: 24s

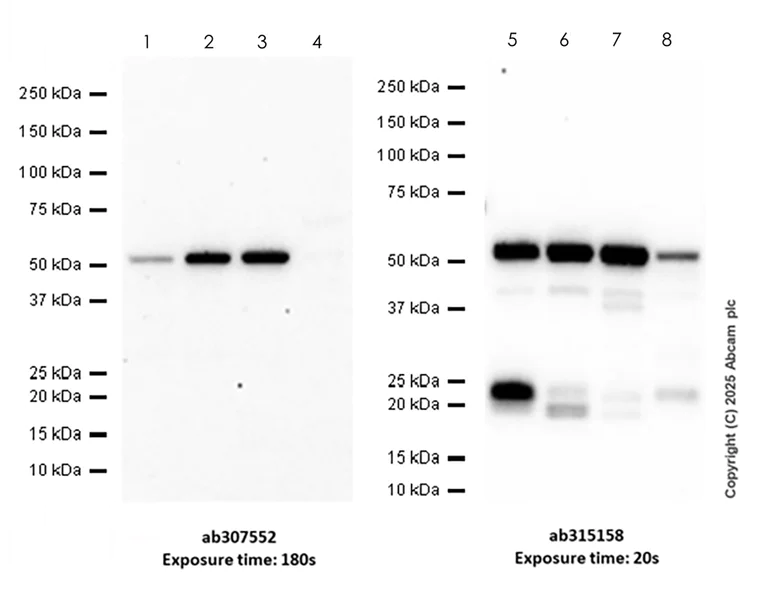
Western blot - Anti-SPTLC1 antibody [EPR26226-221] - BSA and Azide free (AB315159)
  • WB

Lab

Western blot - Anti-SPTLC1 antibody [EPR26226-221] - BSA and Azide free (AB315159)

This data was developed using ab315158, the same antibody clone in a different buffer formulation.

Blocking and diluting buffer and concentration : 5% NFDM/TBST.

Compared with ab307552, ab315158 has higher sensitivity. We recommend ab315158 as an alternative.

Lanes 1 - 4:

Western blot - Anti-SPTLC1 antibody [EPR26226-136] (<a href='/products/primary-antibodies/sptlc1-antibody-epr26226-136-ab307552'>ab307552</a>) at 1/1000 dilution

Lanes 5 - 8:

Western blot - Anti-SPTLC1 antibody [EPR26226-221] (<a href='/products/primary-antibodies/sptlc1-antibody-epr26226-221-ab315158'>ab315158</a>) at 1/1000 dilution

Lanes 1 and 5:

HeLa (human cervix adenocarcinoma epithelial cell) whole cell lysate at 20 µg

Lanes 2 and 6:

293T (human embryonic kidney epithelial cell) whole cell lysate

Lanes 3 and 7:

HepG2 (human hepatocellar carcinoma epithelial cell) whole cell lysate at 20 µg

Lanes 4 and 8:

Human small intestine tissue lysate at 20 µg

Secondary

All lanes:

Goat Anti-Rabbit IgG (HRP) with minimal cross-reactivity with human IgG at 1/2000 dilution

Observed band size: 54 kDa

false

Exposure time: 60s

Western blot - Anti-SPTLC1 antibody [EPR26226-221] - BSA and Azide free (AB315159)
  • WB

Supplier Data

Western blot - Anti-SPTLC1 antibody [EPR26226-221] - BSA and Azide free (AB315159)

This data was developed using ab315158, the same antibody clone in a different buffer formulation.

Blocking and diluting buffer and concentration : 5% NFDM/TBST.

Low expression : human small intestine, skeletal muscle (PMID : 17023427).

In Western blot, Anti-GAPDH antibody [EPR16891] - Loading Control (ab181602) staining at 1/200000 dilution.

All lanes:

Western blot - Anti-SPTLC1 antibody [EPR26226-221] (<a href='/products/primary-antibodies/sptlc1-antibody-epr26226-221-ab315158'>ab315158</a>) at 1/1000 dilution

Lane 1:

Human placenta tissue lysate at 20 µg

Lane 2:

Human skeletal muscle tissue lysate at 20 µg

Lane 3:

Human small intestine tissue lysate at 20 µg

Observed band size: 53 kDa,36 kDa

false

Exposure time: 48s

Western blot - Anti-SPTLC1 antibody [EPR26226-221] - BSA and Azide free (AB315159)
  • WB

Supplier Data

Western blot - Anti-SPTLC1 antibody [EPR26226-221] - BSA and Azide free (AB315159)

This data was developed using ab315158, the same antibody clone in a different buffer formulation.

Blocking and diluting buffer and concentration : 5% NFDM/TBST.

In Western blot, Anti-GAPDH antibody [EPR16891] - Loading Control (ab181602) staining at 1/200000 dilution.

All lanes:

Western blot - Anti-SPTLC1 antibody [EPR26226-221] (<a href='/products/primary-antibodies/sptlc1-antibody-epr26226-221-ab315158'>ab315158</a>) at 1/1000 dilution

Lane 1:

HeLa (human cervical adenocarcinoma epithelial cell) transfected with scrambled siRNA control whole cell lysate at 20 µg

Lane 2:

HeLa transfected with siRNA specifically targeting SPTLC1 whole cell lysate at 20 µg

Lane 3:

Jurkat (human t cell leukemia t lymphocyte from peripheral blood) whole cell lysate at 20 µg

Lane 4:

HepG2 (human hepatocellular carcinoma epithelial cell) whole cell lysate at 20 µg

Secondary

All lanes:

Western blot - Goat Anti-Rabbit IgG H&L (HRP) (<a href='/products/secondary-antibodies/goat-rabbit-igg-h-l-hrp-ab97051'>ab97051</a>) at 1/100000 dilution

Observed band size: 53 kDa,36 kDa

false

Exposure time: 180s

Western blot - Anti-SPTLC1 antibody [EPR26226-221] - BSA and Azide free (AB315159)
  • WB

Supplier Data

Western blot - Anti-SPTLC1 antibody [EPR26226-221] - BSA and Azide free (AB315159)

This data was developed using ab315158, the same antibody clone in a different buffer formulation.

Blocking and diluting buffer and concentration : 5% NFDM/TBST.

All lanes:

Western blot - Anti-SPTLC1 antibody [EPR26226-221] (<a href='/products/primary-antibodies/sptlc1-antibody-epr26226-221-ab315158'>ab315158</a>) at 1/1000 dilution

All lanes:

293T (human embryonic kidney epithelial cell) whole cell lysate at 20 µg

Secondary

All lanes:

Western blot - Goat Anti-Rabbit IgG H&L (HRP) (<a href='/products/secondary-antibodies/goat-rabbit-igg-h-l-hrp-ab97051'>ab97051</a>) at 1/20000 dilution

Observed band size: 53 kDa

false

Exposure time: 15s

Western blot - Anti-SPTLC1 antibody [EPR26226-221] - BSA and Azide free (AB315159)
  • WB

Supplier Data

Western blot - Anti-SPTLC1 antibody [EPR26226-221] - BSA and Azide free (AB315159)

This data was developed using ab315158, the same antibody clone in a different buffer formulation.

Blocking and diluting buffer and concentration : 5% NFDM/TBST.

This antibody does not cross-react with human SPTLC2 and SPTLC3.

In Western blot, Anti-6X His tag® antibody [EPR20547] - ChIP Grade (ab213204) staining at 1/5000 dilution.

All lanes:

Western blot - Anti-SPTLC1 antibody [EPR26226-221] (<a href='/products/primary-antibodies/sptlc1-antibody-epr26226-221-ab315158'>ab315158</a>) at 1/1000 dilution

Lane 1:

His-tagged human SPTLC1 recombinant protein fragment at 10 ng

Lane 2:

His-tagged human SPTLC2 recombinant protein fragment at 10 ng

Lane 3:

His-tagged human SPTLC3 recombinant protein fragment at 10 ng

Secondary

All lanes:

Western blot - Goat Anti-Rabbit IgG H&L (HRP) (<a href='/products/secondary-antibodies/goat-rabbit-igg-h-l-hrp-ab97051'>ab97051</a>) at 1/100000 dilution

Observed band size: 46 kDa

false

Exposure time: 15s

不同偶联物与剂型 (1)

关键信息

宿主种属

Rabbit

克隆

Monoclonal

克隆号

EPR26226-221

亚型

IgG

不含载体蛋白

Yes

反应种属

Human

应用

ICC/IF, WB, IP, IHC-P, Flow Cyt (Intra)

applications

免疫原

The exact immunogen used to generate this antibody is proprietary information.

反应性数据

{ "title": "Reactivity Data", "filters": { "stats": ["", "Species", "Dilution Info", "Notes"], "tabs": { "all-applications": {"fullname" : "All Applications", "shortname": "All Applications"}, "WB" : {"fullname" : "Western blot", "shortname":"WB"}, "IHCP" : {"fullname" : "Immunohistochemistry (Formalin/PFA-fixed paraffin-embedded sections)", "shortname":"IHC-P"}, "IP" : {"fullname" : "Immunoprecipitation", "shortname":"IP"}, "ICCIF" : {"fullname" : "Immunocytochemistry/ Immunofluorescence", "shortname":"ICC/IF"}, "FlowCytIntra" : {"fullname" : "Flow Cytometry (Intracellular)", "shortname":"Flow Cyt (Intra)"} }, "product-promise": { "all": "all", "testedAndGuaranteed": "tested", "guaranteed": "expected", "predicted": "predicted", "notRecommended": "not-recommended" } }, "values": { "Human": { "WB-species-checked": "testedAndGuaranteed", "WB-species-dilution-info": "", "WB-species-notes": "<p></p>", "IHCP-species-checked": "testedAndGuaranteed", "IHCP-species-dilution-info": "", "IHCP-species-notes": "<p></p>", "IP-species-checked": "testedAndGuaranteed", "IP-species-dilution-info": "", "IP-species-notes": "<p></p>", "ICCIF-species-checked": "testedAndGuaranteed", "ICCIF-species-dilution-info": "", "ICCIF-species-notes": "<p></p>", "FlowCytIntra-species-checked": "testedAndGuaranteed", "FlowCytIntra-species-dilution-info": "", "FlowCytIntra-species-notes": "<p></p>" }, "Mouse": { "WB-species-checked": "notRecommended", "WB-species-dilution-info": "", "WB-species-notes": "<p></p>", "IHCP-species-checked": "notRecommended", "IHCP-species-dilution-info": "", "IHCP-species-notes": "<p></p>", "IP-species-checked": "notRecommended", "IP-species-dilution-info": "", "IP-species-notes": "", "ICCIF-species-checked": "notRecommended", "ICCIF-species-dilution-info": "", "ICCIF-species-notes": "<p></p>", "FlowCytIntra-species-checked": "notRecommended", "FlowCytIntra-species-dilution-info": "", "FlowCytIntra-species-notes": "<p></p>" }, "Rat": { "WB-species-checked": "notRecommended", "WB-species-dilution-info": "", "WB-species-notes": "<p></p>", "IHCP-species-checked": "notRecommended", "IHCP-species-dilution-info": "", "IHCP-species-notes": "<p></p>", "IP-species-checked": "notRecommended", "IP-species-dilution-info": "", "IP-species-notes": "", "ICCIF-species-checked": "notRecommended", "ICCIF-species-dilution-info": "", "ICCIF-species-notes": "", "FlowCytIntra-species-checked": "notRecommended", "FlowCytIntra-species-dilution-info": "", "FlowCytIntra-species-notes": "" }, "Recombinant fragment - Human": { "WB-species-checked": "testedAndGuaranteed", "WB-species-dilution-info": "", "WB-species-notes": "<p></p>", "IHCP-species-checked": "notRecommended", "IHCP-species-dilution-info": "", "IHCP-species-notes": "", "IP-species-checked": "notRecommended", "IP-species-dilution-info": "", "IP-species-notes": "", "ICCIF-species-checked": "notRecommended", "ICCIF-species-dilution-info": "", "ICCIF-species-notes": "", "FlowCytIntra-species-checked": "notRecommended", "FlowCytIntra-species-dilution-info": "", "FlowCytIntra-species-notes": "" } } }

产品详情

ab315159 is the carrier-free version of ab315158.

Patented technology
Our RabMAb® technology is a patented hybridoma-based technology for making rabbit monoclonal antibodies. For details on our patents, please refer to RabMAb® patents.

What are the advantages of a recombinant monoclonal antibody?
This product is a recombinant monoclonal antibody, which offers several advantages including:

  • - High batch-to-batch consistency and reproducibility
  • - Improved sensitivity and specificity
  • - Long-term security of supply
  • - Animal-free batch production

For more information, read more on recombinant antibodies.

Conjugation ready
Our carrier-free antibodies are typically supplied in a PBS-only formulation, purified and free of BSA, sodium azide and glycerol. This conjugation-ready format is designed for use with fluorochromes, metal isotopes, oligonucleotides, and enzymes, which makes them ideal for antibody labelling, functional and cell-based assays, flow-based assays (e.g. mass cytometry) and Multiplex Imaging applications.

Use our conjugation kits for antibody conjugates that are ready-to-use in as little as 20 minutes with 1 minute hands-on-time and 100% antibody recovery: available for fluorescent dyes, HRP, biotin and gold.

Compatibility
This product is compatible with the Maxpar® Antibody Labeling Kit from Fluidigm, without the need for antibody preparation. Maxpar® is a trademark of Fluidigm Canada Inc.

性能和储存信息

形式
Liquid
纯化工艺
Affinity purification Protein A
存储溶液
pH: 7.2 - 7.4 Constituents: PBS
运输条件
Blue Ice
推荐的短期储存条件
+4°C
推荐的长期储存条件
+4°C

产品实验方案

For this product, it's our understanding that no specific protocols are required. You can visit:

靶点信息

Component of the serine palmitoyltransferase multisubunit enzyme (SPT) that catalyzes the initial and rate-limiting step in sphingolipid biosynthesis by condensing L-serine and activated acyl-CoA (most commonly palmitoyl-CoA) to form long-chain bases. The SPT complex is also composed of SPTLC2 or SPTLC3 and SPTSSA or SPTSSB. Within this complex, the heterodimer with SPTLC2 or SPTLC3 forms the catalytic core (PubMed : 19416851, PubMed : 33558762, PubMed : 36170811). The composition of the serine palmitoyltransferase (SPT) complex determines the substrate preference (PubMed : 19416851, PubMed : 33558762). The SPTLC1-SPTLC2-SPTSSA complex shows a strong preference for C16-CoA substrate, while the SPTLC1-SPTLC3-SPTSSA isozyme uses both C14-CoA and C16-CoA as substrates, with a slight preference for C14-CoA (PubMed : 19416851, PubMed : 19648650). The SPTLC1-SPTLC2-SPTSSB complex shows a strong preference for C18-CoA substrate, while the SPTLC1-SPTLC3-SPTSSB isozyme displays an ability to use a broader range of acyl-CoAs, without apparent preference (PubMed : 19416851, PubMed : 19648650, PubMed : 33558761, PubMed : 33558762). Required for adipocyte cell viability and metabolic homeostasis (By similarity).
See full target information SPTLC1

Abcam Product Promise

我们致力于为您的研究提供高质量的试剂,为您科研的每一步提供支持。若我们的产品未能达到预期性能,我们向您提供 Abcam Product Promise 保障。
详情请参阅我们的条款与条件。

Please note: All products are 'FOR RESEARCH USE ONLY. NOT FOR USE IN DIAGNOSTIC OR THERAPEUTIC PROCEDURES'.

For licensing inquiries, please contact partnerships@abcam.com