JavaScript is disabled in your browser. Please enable JavaScript to view this website.
AB97959

Anti-SOX2 抗体

Anti-SOX2 antibody

4

(75 Reviews)

|

(954 Publications)

Anti-SOX2 antibody (ab97959) is a rabbit polyclonal antibody detecting SOX2 in Western Blot, IHC-P, ICC/IF. Suitable for Human, Mouse, Rat.

- Over 730 publications
- Trusted since 2010

查看别名

Transcription factor SOX-2, SOX2

9 Images
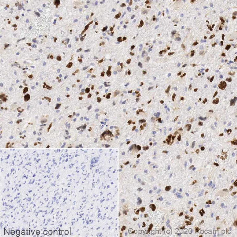
Immunohistochemistry (Formalin/PFA-fixed paraffin-embedded sections) - Anti-SOX2 antibody (AB97959)
  • IHC-P

Unknown

Immunohistochemistry (Formalin/PFA-fixed paraffin-embedded sections) - Anti-SOX2 antibody (AB97959)

IHC image of SOX2 staining in Human brain glioma formalin fixed paraffin embedded tissue section, performed on a Leica Bond™ system using the standard protocol F. The section was pre-treated using heat mediated antigen retrieval with sodium citrate buffer (pH6, epitope retrieval solution 1) for 20 mins. The section was then incubated with ab97959, 1μg/ml, for 15 mins at room temperature and detected using an HRP conjugated compact polymer system. DAB was used as the chromogen. The section was then counterstained with haematoxylin and mounted with DPX.

For other IHC staining systems (automated and non-automated) customers should optimize variable parameters such as antigen retrieval conditions, primary antibody concentration and antibody incubation times.

Immunocytochemistry/ Immunofluorescence - Anti-SOX2 antibody (AB97959)
  • ICC/IF

PubMed

Immunocytochemistry/ Immunofluorescence - Anti-SOX2 antibody (AB97959)

ICC/IF analysis of dissociated induced pluripotent stem cells from mouse embryonic fibroblasts stained for SOX-2 (Red) using ab97959. TOPRO (purple). Scale bar=100 μm

Muratore CR et al. Comparison and Optimization of hiPSC Forebrain Cortical Differentiation Protocols. PLoS One 9:e105807 (2014). Reproduced under the Creative Commons license http://creativecommons.org/licenses/by/4.0/

Immunocytochemistry/ Immunofluorescence - Anti-SOX2 antibody (AB97959)
  • ICC/IF

Unknown

Immunocytochemistry/ Immunofluorescence - Anti-SOX2 antibody (AB97959)

Cell line : NCCIT (human pluripotent embryonal carcinoma)

Target AbID : ab97959 anti-Sox2, Goat Anti-Rabbit IgG H&L (Alexa Fluor® 488) (ab150077) secondary antibody was used.

Counterstain AbID : ab7291 anti-Tubulin (Rabbit mAb), 97959

Fixative : 4% PFA

Permeabilisation : 0.1% Triton-X

Nuclear counter stain : DAPI

Comments : Confocal image showing negative staining on NCCIT cells

Target primary antibody dilution : 1 : 500

Target secondary antibody dilution : 1 : 1000 (2ug/mL)

Counterstain primary antibody dilution : 1 : 1000 (1ug/mL)

Counterstain secondary antibody dilution : 1 : 1000 (2ug/mL)

Negative control 1 primary antibody dilution : 1 : 500 (ab97959)

Negative control 1 secondary antibody dilution : 1 : 1000 (2ug/mL) (ab150120)

Negative control 2 primary antibody dilution : 1 : 1000 (1ug/mL) (ab7291)

Negative control 2 secondary antibody dilution : 1 : 1000 (2ug/mL) (ab150077)

Immunocytochemistry/ Immunofluorescence - Anti-SOX2 antibody (AB97959)
  • ICC/IF

Unknown

Immunocytochemistry/ Immunofluorescence - Anti-SOX2 antibody (AB97959)

Cell line : NIH/3T3 (mouse embryonic fibroblast cell line)

Target AbID : ab97959 anti-Sox2, used Goat Anti-Rabbit IgG H&L (Alexa Fluor® 488) (ab150077) secondary antibody

Counterstain AbID : ab7291 anti-Tubulin (Rabbit mAb), ab150120 AlexaFluor®594 Goat anti-Mouse secondary

Fixative : 4% PFA

Permeabilisation : 0.1% Triton-X

Nuclear counter stain : DAPI

Comments : Confocal image showing negative staining on NIH/3T3 cells

Target primary antibody dilution : 1 : 500

Target secondary antibody dilution : 1 : 1000 (2ug/mL)

Counterstain primary antibody dilution : 1 : 1000 (1ug/mL)

Counterstain secondary antibody dilution : 1 : 1000 (2ug/mL)

Negative control 1 primary antibody dilution : 1 : 500 (ab97959)

Negative control 1 secondary antibody dilution : 1 : 1000 (2ug/mL) (ab150120)

Negative control 2 primary antibody dilution : 1 : 1000 (1ug/mL) (ab7291)

Negative control 2 secondary antibody dilution : 1 : 1000 (2ug/mL) (ab150077)

Immunocytochemistry/ Immunofluorescence - Anti-SOX2 antibody (AB97959)
  • ICC/IF

Lab

Immunocytochemistry/ Immunofluorescence - Anti-SOX2 antibody (AB97959)

ab97959 staining SOX2 in primary hippocampal rat neurons/glia, (obtained from Neuromics, cat. no. PC35101), DIV14. The cells were fixed with 4% paraformaldehyde (10 min), permeabilized with 0.1% PBS-Triton X-100 for 5 minutes and then blocked with 1% BSA/10% normal goat serum/0.3M glycine in 0.1%PBS-Tween for 1h. The cells were then incubated overnight at 4°C with ab97959 at 0.1μg/ml and ab7291, Mouse monoclonal [DM1A] to alpha Tubulin - Loading Control. Cells were then incubated with ab150081, Goat polyclonal Secondary Antibody to Rabbit IgG - H&L (Alexa Fluor® 488), pre-adsorbed at 1/1000 dilution (shown in green) and ab150120, Goat polyclonal Secondary Antibody to Mouse IgG - H&L (Alexa Fluor® 594), pre-adsorbed at 1/1000 dilution (shown in pseudocolour red). Nuclear DNA was labelled with DAPI (shown in blue).

Image was acquired with a high-content analyser (Operetta CLS, Perkin Elmer) and a maximum intensity projection of confocal sections is shown.

Immunocytochemistry/ Immunofluorescence - Anti-SOX2 antibody (AB97959)
  • ICC/IF

Lab

Immunocytochemistry/ Immunofluorescence - Anti-SOX2 antibody (AB97959)

ab97959 staining SOX2 in mES cells. The cells were fixed with 4% paraformaldehyde (10 min), permeabilized with 0.1% PBS-Tween for 5 minutes and then blocked with 1% BSA/10% normal goat serum/0.3M glycine in 0.1% PBS-Tween for 1h. The cells were then incubated overnight at 4°C with ab97959 at 1µg/ml and ab7291, Mouse monoclonal [DM1A] to alpha Tubulin - Loading Control. Cells were then incubated with ab150081, Goat polyclonal Secondary Antibody to Rabbit IgG - H&L (Alexa Fluor® 488), pre-adsorbed at 1/1000 dilution (shown in green) and ab150120, Goat polyclonal Secondary Antibody to Mouse IgG - H&L (Alexa Fluor® 594), pre-adsorbed at 1/1000 dilution (shown in pseudocolour red). Nuclear DNA was labelled with DAPI (shown in blue).

Also suitable in cells fixed with 100% methanol (5 min).

Image was acquired with a confocal microscope (Leica-Microsystems TCS SP8) and a single confocal section is shown.

Western blot - Anti-SOX2 antibody (AB97959)
  • WB

Ap22478****

Western blot - Anti-SOX2 antibody (AB97959)

Green signal from target - ab97959 observed at 40 kDa
Red signal from loading control ab9484 (GAPDH) observed at 37 kDa

All lanes:

Western blot - Anti-SOX2 antibody (ab97959) at 1 µg

Lane 1:

NCCIT (Human embryonic carcinoma cell line) Whole Cell Lysate at 10 µg

Lane 2:

F9 (Mouse embryonic carcinoma cell line) Whole Cell Lysate at 10 µg

Lane 3:

MCF7 (Human breast adenocarcinoma cell line) Whole Cell Lysate at 10 µg

Lane 4:

C6 (Rat glial tumor cell line) Whole Cell Lysate at 10 µg

Lane 5:

Hippocampus (Rat) Tissue Lysate at 10 µg

Lane 6:

Spinal Cord (Rat) Tissue Lysate at 10 µg

Secondary

All lanes:

Blots were developed with goat anti-rabbit IgG (H+L) and goat anti-mouse IgG (H+L) secondary antibodies at 1/10,000 dilution for 1 h at room temperature before imaging.

Predicted band size: 34 kDa

Observed band size: 40 kDa

false

Western blot - Anti-SOX2 antibody (AB97959)
  • WB

Unknown

Western blot - Anti-SOX2 antibody (AB97959)

All lanes:

Western blot - Anti-SOX2 antibody (ab97959) at 1 µg/mL

Lane 1:

IOUD2 (Mouse embryonic stem cell) Whole Cell Lysate at 10 µg

Lane 2:

HUES7 (Human embryonic stem cell line) Whole Cell Lysate at 10 µg

Secondary

All lanes:

Goat polyclonal to Rabbit IgG - H&L - Pre-Adsorbed (HRP) at 1/3000 dilution

Predicted band size: 34 kDa

Observed band size: 37 kDa,39 kDa,43 kDa

true

Exposure time: 3min

Western blot - Anti-SOX2 antibody (AB97959)
  • WB

Unknown

Western blot - Anti-SOX2 antibody (AB97959)

Secondary antibody - goat anti-rabbit HRP preadsorbed (ab97080)

All lanes:

Western blot - Anti-SOX2 antibody (ab97959) at 1/1000 dilution

All lanes:

Western blot - Recombinant Human SOX2 protein (<a href='/products/proteins-peptides/recombinant-human-sox2-protein-ab79950'>ab79950</a>) at 0.01 µg

Secondary

All lanes:

Western blot - Goat Anti-Rabbit IgG H&L (HRP) preadsorbed (<a href='/products/secondary-antibodies/goat-rabbit-igg-h-l-hrp-preadsorbed-ab97080'>ab97080</a>) at 1/5000 dilution

Predicted band size: 34 kDa

true

Exposure time: 30s

关键信息

宿主种属

Rabbit

克隆

Polyclonal

亚型

IgG

不含载体蛋白

No

反应种属

Mouse, Rat, Human

应用

WB, IHC-P, ICC/IF

applications

免疫原

The exact immunogen used to generate this antibody is proprietary information.

反应性数据

{ "title": "Reactivity Data", "filters": { "stats": ["", "Species", "Dilution Info", "Notes"], "tabs": { "all-applications": {"fullname" : "All Applications", "shortname": "All Applications"}, "ICCIF" : {"fullname" : "Immunocytochemistry/ Immunofluorescence", "shortname":"ICC/IF"}, "WB" : {"fullname" : "Western blot", "shortname":"WB"}, "IHCP" : {"fullname" : "Immunohistochemistry (Formalin/PFA-fixed paraffin-embedded sections)", "shortname":"IHC-P"} }, "product-promise": { "all": "all", "testedAndGuaranteed": "tested", "guaranteed": "expected", "predicted": "predicted", "notRecommended": "not-recommended" } }, "values": { "Human": { "ICCIF-species-checked": "testedAndGuaranteed", "ICCIF-species-dilution-info": "1 µg/mL", "ICCIF-species-notes": "<p>We recommend Goat Anti-Rabbit IgG H&amp;L (Alexa Fluor<sup>®</sup> 488) (<a href='/products/secondary-antibodies/goat-rabbit-igg-h-l-alexa-fluor-488-ab150077'>ab150077</a>) secondary antibody.</p>", "WB-species-checked": "testedAndGuaranteed", "WB-species-dilution-info": "1 µg/mL", "WB-species-notes": "<p>Recombinant Human SOX2 protein (<a href='/products/proteins-peptides/recombinant-human-sox2-protein-ab80520'>ab80520</a>) can be used as a positive control in WB.</p>", "IHCP-species-checked": "testedAndGuaranteed", "IHCP-species-dilution-info": "1 µg/mL", "IHCP-species-notes": "<p></p>" }, "Mouse": { "ICCIF-species-checked": "testedAndGuaranteed", "ICCIF-species-dilution-info": "1 µg/mL", "ICCIF-species-notes": "<p>We recommend Goat Anti-Rabbit IgG H&amp;L (Alexa Fluor<sup>®</sup> 488) (<a href='/products/secondary-antibodies/goat-rabbit-igg-h-l-alexa-fluor-488-ab150077'>ab150077</a>) secondary antibody.</p>", "WB-species-checked": "testedAndGuaranteed", "WB-species-dilution-info": "1 µg/mL", "WB-species-notes": "<p>Recombinant Human SOX2 protein (<a href='/products/proteins-peptides/recombinant-human-sox2-protein-ab80520'>ab80520</a>) can be used as a positive control in WB.</p>", "IHCP-species-checked": "testedAndGuaranteed", "IHCP-species-dilution-info": "1 µg/mL", "IHCP-species-notes": "<p></p>" }, "Rat": { "ICCIF-species-checked": "testedAndGuaranteed", "ICCIF-species-dilution-info": "1 µg/mL", "ICCIF-species-notes": "<p>We recommend Goat Anti-Rabbit IgG H&amp;L (Alexa Fluor<sup>®</sup> 488) (<a href='/products/secondary-antibodies/goat-rabbit-igg-h-l-alexa-fluor-488-ab150077'>ab150077</a>) secondary antibody.</p>", "WB-species-checked": "testedAndGuaranteed", "WB-species-dilution-info": "1 µg/mL", "WB-species-notes": "<p>Recombinant Human SOX2 protein (<a href='/products/proteins-peptides/recombinant-human-sox2-protein-ab80520'>ab80520</a>) can be used as a positive control in WB.</p>", "IHCP-species-checked": "guaranteed", "IHCP-species-dilution-info": "1 µg/mL", "IHCP-species-notes": "<p></p>" }, "Chicken": { "ICCIF-species-checked": "predicted", "ICCIF-species-dilution-info": "", "ICCIF-species-notes": "", "WB-species-checked": "predicted", "WB-species-dilution-info": "", "WB-species-notes": "", "IHCP-species-checked": "predicted", "IHCP-species-dilution-info": "", "IHCP-species-notes": "" }, "Cow": { "ICCIF-species-checked": "predicted", "ICCIF-species-dilution-info": "", "ICCIF-species-notes": "", "WB-species-checked": "predicted", "WB-species-dilution-info": "", "WB-species-notes": "", "IHCP-species-checked": "predicted", "IHCP-species-dilution-info": "", "IHCP-species-notes": "" }, "Horse": { "ICCIF-species-checked": "predicted", "ICCIF-species-dilution-info": "", "ICCIF-species-notes": "", "WB-species-checked": "predicted", "WB-species-dilution-info": "", "WB-species-notes": "", "IHCP-species-checked": "predicted", "IHCP-species-dilution-info": "", "IHCP-species-notes": "" }, "Oncorhynchus mykiss": { "ICCIF-species-checked": "predicted", "ICCIF-species-dilution-info": "", "ICCIF-species-notes": "", "WB-species-checked": "predicted", "WB-species-dilution-info": "", "WB-species-notes": "", "IHCP-species-checked": "predicted", "IHCP-species-dilution-info": "", "IHCP-species-notes": "" }, "Pig": { "ICCIF-species-checked": "predicted", "ICCIF-species-dilution-info": "", "ICCIF-species-notes": "", "WB-species-checked": "predicted", "WB-species-dilution-info": "", "WB-species-notes": "", "IHCP-species-checked": "predicted", "IHCP-species-dilution-info": "", "IHCP-species-notes": "" }, "Quail": { "ICCIF-species-checked": "predicted", "ICCIF-species-dilution-info": "", "ICCIF-species-notes": "", "WB-species-checked": "predicted", "WB-species-dilution-info": "", "WB-species-notes": "", "IHCP-species-checked": "predicted", "IHCP-species-dilution-info": "", "IHCP-species-notes": "" }, "Rhesus monkey": { "ICCIF-species-checked": "predicted", "ICCIF-species-dilution-info": "", "ICCIF-species-notes": "", "WB-species-checked": "predicted", "WB-species-dilution-info": "", "WB-species-notes": "", "IHCP-species-checked": "predicted", "IHCP-species-dilution-info": "", "IHCP-species-notes": "" }, "Sheep": { "ICCIF-species-checked": "predicted", "ICCIF-species-dilution-info": "", "ICCIF-species-notes": "", "WB-species-checked": "predicted", "WB-species-dilution-info": "", "WB-species-notes": "", "IHCP-species-checked": "predicted", "IHCP-species-dilution-info": "", "IHCP-species-notes": "" }, "Spotted catshark": { "ICCIF-species-checked": "predicted", "ICCIF-species-dilution-info": "", "ICCIF-species-notes": "", "WB-species-checked": "predicted", "WB-species-dilution-info": "", "WB-species-notes": "", "IHCP-species-checked": "predicted", "IHCP-species-dilution-info": "", "IHCP-species-notes": "" }, "Thornback ray": { "ICCIF-species-checked": "predicted", "ICCIF-species-dilution-info": "", "ICCIF-species-notes": "", "WB-species-checked": "predicted", "WB-species-dilution-info": "", "WB-species-notes": "", "IHCP-species-checked": "predicted", "IHCP-species-dilution-info": "", "IHCP-species-notes": "" }, "Xenopus laevis": { "ICCIF-species-checked": "predicted", "ICCIF-species-dilution-info": "", "ICCIF-species-notes": "", "WB-species-checked": "predicted", "WB-species-dilution-info": "", "WB-species-notes": "", "IHCP-species-checked": "predicted", "IHCP-species-dilution-info": "", "IHCP-species-notes": "" }, "Zebrafish": { "ICCIF-species-checked": "predicted", "ICCIF-species-dilution-info": "", "ICCIF-species-notes": "", "WB-species-checked": "predicted", "WB-species-dilution-info": "", "WB-species-notes": "", "IHCP-species-checked": "predicted", "IHCP-species-dilution-info": "", "IHCP-species-notes": "" } } }

产品详情

Anti-SOX2 antibody (ab97959) is a rabbit polyclonal antibody and is validated for use in ICC/IF, IHC-P and WB.

Anti-SOX2 antibody (ab97959) was first used in a scientific publication in 2009 and has been cited over 736 times in peer reviewed journals. It's performance in Western blot, immunofluorescence and IHC in human, mouse and rat samples is trusted by the scientific community.

Abcam's high quality validation processes ensure Anti-SOX2 antibody (ab97959) has high sensitivity and specificity.

Anti-SOX2 antibody (ab97959) has 72 independent reviews from customers.

Anti-SOX2 antibody (ab97959) specifically detects SOX2 (UniProt ID: P48431; Molecular weight: 35kDa) and is sold in 100 µg selling sizes.

SOX2 is a crucial transcription factor in neuro research, particularly for its role in maintaining neural stem cell pluripotency and regulating neural development. It is essential for the proliferation and differentiation of neural progenitor cells, influencing brain development and repair. Researchers use SOX2 to study neural stem cell behaviour, neurogenesis and the mechanisms underlying neurodevelopmental disorders, making it vital for understanding brain development and potential regenerative therapies. Additionally, SOX2 plays a significant role in gliomas, particularly glioblastoma (GBM), the most aggressive form of brain cancer. Elevated SOX2 levels are associated with poor prognosis and tumor progression in glioblastoma patients. Targeting SOX2 expression and function is being explored as a potential therapeutic strategy to combat gliomas and improve patient outcomes.

性能和储存信息

形式
Liquid
纯化工艺
Affinity purification Immunogen
存储溶液
pH: 7.4 Preservative: 0.02% Sodium azide Constituents: PBS, 1% BSA
运输条件
Blue Ice
推荐的短期储存时间
1-2 weeks
推荐的短期储存条件
+4°C
推荐的长期储存条件
-20°C
分装信息
Upon delivery aliquot
储存信息
Avoid freeze / thaw cycle

产品实验方案

For this product, it's our understanding that no specific protocols are required. You can visit:

靶点信息

The protein expressed by the gene SOX2 is critical for early embryogenesis and for the pluripotency of embryonic stem cells (PubMed : 18035408). This supplementary information is collated from multiple sources and compiled automatically.
See full target information SOX2

文献 (954)

Recent publications for all applications. Explore the full list and refine your search

Nature communications 16:8684 PubMed41028750

2025

Metal-organic polyhedra maintain the self-renewal of embryonic stem cells.

Applications

Unspecified application

Species

Unspecified reactive species

Ran Wang,Yilin Qi,Jinjin Liu,Yang Li,Hongde An,Heping Wang,Jie Song,Wenzhuo Hu,Shaochun Wu,Leqian Yu,Yao Chen,Xue Xue

Cell reports 44:116342 PubMed41004340

2025

Neuropeptide adrenomedullin remodels stemness and macrophage dynamics in glioblastoma.

Applications

Unspecified application

Species

Unspecified reactive species

Heba Ali,Fatima Khan,Wenjing Xuan,Yang Liu,Yuyun Huang,Donovan Whitfield,Lizhi Pang,Peiwen Chen

Frontiers in oncology 15:1585592 PubMed40958871

2025

MEX3A is a diagnostic, independent prognostic biomarker and a promising therapeutic target in glioblastoma.

Applications

Unspecified application

Species

Unspecified reactive species

Francesca Bufalieri,Daniele Armocida,Antonino Cucinotta,Pietro Familiari,Laura Di Magno,Alessandra Serraino,Gennaro Adabbo,Francesca Agnoli,Ludovica Lospinoso Severini,Manila Antonelli,Alessandro Frati,Gianluca Canettieri,Paola Infante,Antonio Santoro,Luca D'Angelo,Lucia Di Marcotullio

Nature communications 16:7824 PubMed40841542

2025

Changes in cellular composition shape the inductive properties of Hensen's Node.

Applications

Unspecified application

Species

Unspecified reactive species

Tatiane Y Kanno,Megan Rothstein,Marcos Simoes-Costa

Genes & diseases 12:101593 PubMed40837411

2025

Human retinal organoids for modelling dry age-related macular degeneration and screening drugs.

Applications

Unspecified application

Species

Unspecified reactive species

Xiaolu Hao,Lu Du,Guang Liu,Zhaohui Li,Shaojun Wang

World journal of gastrointestinal oncology 17:108535 PubMed40837778

2025

Interleukin-22 promotes cancer stemness and chemotherapy resistance in colorectal cancer epidermal growth factor receptor/extracellular signal-regulated kinase pathway.

Applications

Unspecified application

Species

Unspecified reactive species

Hong-Xun Ruan,Yan-Le Fang,Xiao-Ning Qin,Lin Lin

mBio 16:e0187125 PubMed40823836

2025

Validation of human sensory neurons derived from inducible pluripotent stem cells as a model for latent infection and reactivation by herpes simplex virus 1.

Applications

Unspecified application

Species

Unspecified reactive species

Hyung Suk Oh,Shu-Fan Chou,Priya Raja,Jaehoon Shim,Biswajit Das,Jean M Pesola,Nicolás Romero,Jennifer S Lee,Alex Ng,Elizabeth D Buttermore,George Church,Clifford J Woolf,Donald M Coen,David M Knipe

Nature communications 16:7566 PubMed40813572

2025

Large-scale CRISPR screening in primary human 3D gastric organoids enables comprehensive dissection of gene-drug interactions.

Applications

Unspecified application

Species

Unspecified reactive species

Yuan-Hung Lo,Hudson T Horn,Mo-Fan Huang,Wei-Chieh Yu,Chia-Mei Young,Qing Liu,Madeline Tomaske,Martina Towers,Antonia Dominguez,Michael C Bassik,Dung-Fang Lee,Lei S Qi,Jonathan S Weissman,Jin Chen,Calvin J Kuo

iScience 28:113162 PubMed40799390

2025

Distinct microRNA signatures define sporadic PSP-RS and PD in patient-derived midbrain organoids.

Applications

Unspecified application

Species

Unspecified reactive species

Desirèe Valente,Clara Zannino,Stefania Scalise,Davide Bressan,Valeria Lucchino,Ermes Filomena,Giorgia Lucia Benedetto,Ida Lazzinnaro,Mariagrazia Talarico,Andrea Quattrone,Fulvio Chiacchiera,Graziano Pesole,Aldo Quattrone,Elvira Immacolata Parrotta,Giovanni Cuda

Scientific reports 15:29484 PubMed40796594

2025

Cardamonin inhibits the growth and stemness of osteosarcoma stem cells by inducing autophagy and inhibiting the Wnt/β-catenin signaling pathway.

Applications

Unspecified application

Species

Unspecified reactive species

Lulu Zhang,Yu Jin,Qiannan Ding,Yulei Li,Lixia Yang,Mengyun Li,Zuo Lv,Kaifang Wang,Maowei Yang,Haixin Zhang,Xiucheng Li
View all publications

Abcam Product Promise

我们致力于为您的研究提供高质量的试剂,为您科研的每一步提供支持。若我们的产品未能达到预期性能,我们向您提供 Abcam Product Promise 保障。
详情请参阅我们的条款与条件。

Please note: All products are 'FOR RESEARCH USE ONLY. NOT FOR USE IN DIAGNOSTIC OR THERAPEUTIC PROCEDURES'.

For licensing inquiries, please contact partnerships@abcam.com