JavaScript is disabled in your browser. Please enable JavaScript to view this website.
AB248908

重组Anti-SOS1抗体[EPR7480] - BSA and Azide free

Anti-SOS1 antibody [EPR7480] - BSA and Azide free

Be the first to review this product! Submit a review

|

(0 Publication)

Knockout Tested Rabbit Recombinant Monoclonal SOS1 antibody. Carrier free. Suitable for IHC-P, WB, ICC/IF and reacts with Human samples.

查看别名

Son of sevenless homolog 1, SOS-1, SOS1

10 Images
Immunohistochemistry (Formalin/PFA-fixed paraffin-embedded sections) - Anti-SOS1 antibody [EPR7480] - BSA and Azide free (AB248908)
  • IHC-P

Unknown

Immunohistochemistry (Formalin/PFA-fixed paraffin-embedded sections) - Anti-SOS1 antibody [EPR7480] - BSA and Azide free (AB248908)

This data was developed using ab140621, the same antibody clone in a different buffer formulation.

Immunohistochemical analysis of paraffin embedded Human Cervical carcinoma tissue using ab140621 showing +ve staining.

Perform heat mediated antigen retrieval with citrate buffer pH 6 before commencing with IHC staining protocol.

Immunohistochemistry (Formalin/PFA-fixed paraffin-embedded sections) - Anti-SOS1 antibody [EPR7480] - BSA and Azide free (AB248908)
  • IHC-P

Unknown

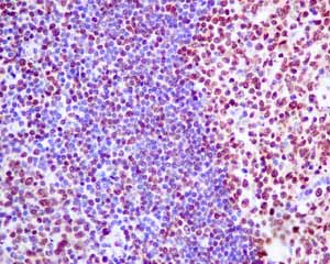
Immunohistochemistry (Formalin/PFA-fixed paraffin-embedded sections) - Anti-SOS1 antibody [EPR7480] - BSA and Azide free (AB248908)

This data was developed using ab140621, the same antibody clone in a different buffer formulation.

Immunohistochemical analysis of paraffin embedded normal Human tonsil tissue using ab140621 showing +ve staining.

Perform heat mediated antigen retrieval with citrate buffer pH 6 before commencing with IHC staining protocol.

Immunocytochemistry/ Immunofluorescence - Anti-SOS1 antibody [EPR7480] - BSA and Azide free (AB248908)
  • ICC/IF

Unknown

Immunocytochemistry/ Immunofluorescence - Anti-SOS1 antibody [EPR7480] - BSA and Azide free (AB248908)

This data was developed using ab140621, the same antibody clone in a different buffer formulation.Immunofluorescent staining of Raji cells labelling SOS1 with ab140621 at 1/250 dilution.

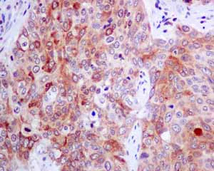
Immunohistochemistry (Formalin/PFA-fixed paraffin-embedded sections) - Anti-SOS1 antibody [EPR7480] - BSA and Azide free (AB248908)
  • IHC-P

Unknown

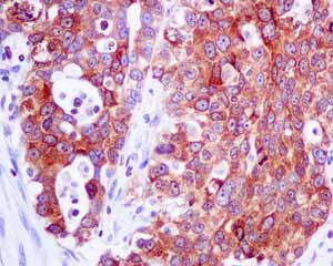
Immunohistochemistry (Formalin/PFA-fixed paraffin-embedded sections) - Anti-SOS1 antibody [EPR7480] - BSA and Azide free (AB248908)

This data was developed using ab140621, the same antibody clone in a different buffer formulation.

Immunohistochemical analysis of paraffin-embedded Human ovarian carcinoma tissue labelling SOS1 with ab140621 at 1/100 dilution.

Perform heat mediated antigen retrieval with citrate buffer pH 6 before commencing with IHC staining protocol.

Immunohistochemistry (Formalin/PFA-fixed paraffin-embedded sections) - Anti-SOS1 antibody [EPR7480] - BSA and Azide free (AB248908)
  • IHC-P

Unknown

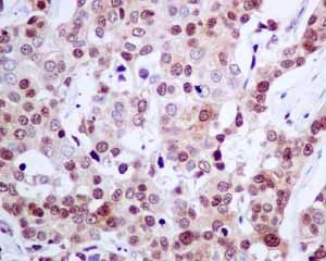
Immunohistochemistry (Formalin/PFA-fixed paraffin-embedded sections) - Anti-SOS1 antibody [EPR7480] - BSA and Azide free (AB248908)

This data was developed using ab140621, the same antibody clone in a different buffer formulation.

Immunohistochemical analysis of paraffin embedded Human Lung adenocarcinoma tissue using ab140621 showing +ve staining.

Perform heat mediated antigen retrieval with citrate buffer pH 6 before commencing with IHC staining protocol.

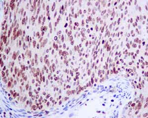
Immunohistochemistry (Formalin/PFA-fixed paraffin-embedded sections) - Anti-SOS1 antibody [EPR7480] - BSA and Azide free (AB248908)
  • IHC-P

Unknown

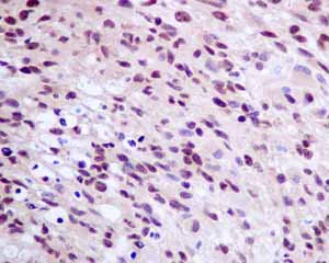
Immunohistochemistry (Formalin/PFA-fixed paraffin-embedded sections) - Anti-SOS1 antibody [EPR7480] - BSA and Azide free (AB248908)

This data was developed using ab140621, the same antibody clone in a different buffer formulation.

Immunohistochemical analysis of paraffin embedded Human Glioma tissue using ab140621 showing +ve staining.

Perform heat mediated antigen retrieval with citrate buffer pH 6 before commencing with IHC staining protocol.

Immunohistochemistry (Formalin/PFA-fixed paraffin-embedded sections) - Anti-SOS1 antibody [EPR7480] - BSA and Azide free (AB248908)
  • IHC-P

Unknown

Immunohistochemistry (Formalin/PFA-fixed paraffin-embedded sections) - Anti-SOS1 antibody [EPR7480] - BSA and Azide free (AB248908)

This data was developed using ab140621, the same antibody clone in a different buffer formulation.

Immunohistochemical analysis of paraffin embedded Human Breast carcinoma tissue using ab140621 showing +ve staining.

Perform heat mediated antigen retrieval with citrate buffer pH 6 before commencing with IHC staining protocol.

Western blot - Anti-SOS1 antibody [EPR7480] - BSA and Azide free (AB248908)
  • WB

Unknown

Western blot - Anti-SOS1 antibody [EPR7480] - BSA and Azide free (AB248908)

This data was developed using ab140621, the same antibody clone in a different buffer formulation.

All lanes:

Western blot - Anti-SOS1 antibody [EPR7480] (<a href='/products/primary-antibodies/sos1-antibody-epr7480-ab140621'>ab140621</a>) at 1/1000 dilution

Lane 1:

Raji cell lysate at 10 µg

Lane 2:

K562 cell lysate at 10 µg

Lane 3:

HeLa cell lysate at 10 µg

Lane 4:

THP1 cell lysate at 10 µg

Predicted band size: 152 kDa

false

Western blot - Anti-SOS1 antibody [EPR7480] - BSA and Azide free (AB248908)
  • WB

Lab

Western blot - Anti-SOS1 antibody [EPR7480] - BSA and Azide free (AB248908)

This data was developed using ab140621, the same antibody clone in a different buffer formulation. Anti-SOS1 antibody [EPR7480] (ab140621) staining at 1/1000 dilution, shown in green; Mouse anti-CANX [CANX/1543] (ab238078) loading control staining at 1/20000 dilution, shown in red. In Western blot, ab140621 was shown to bind specifically to SOS1. A band was observed at 165 kDa in wild-type A549 cell lysates with no signal observed at this size in SOS1 knockout cell line. To generate this image, wild-type and SOS1 knockout A549 cell lysates were analysed. First, samples were run on an SDS-PAGE gel then transferred onto a nitrocellulose membrane. Membranes were blocked in 3 % milk in TBS-0.1 % Tween® 20 (TBS-T) before incubation with primary antibodies overnight at 4 °C. Blots were washed four times in TBS-T, incubated with secondary antibodies for 1 h at room temperature, washed again four times then imaged. Secondary antibodies used were Goat anti-Rabbit IgG H&L 800CW and Goat anti-Mouse IgG H&L 680RD at 1/20000 dilution.

All lanes:

Western blot - Anti-SOS1 antibody [EPR7480] (<a href='/products/primary-antibodies/sos1-antibody-epr7480-ab140621'>ab140621</a>) at 1/1000 dilution

Lanes 1 - 3:

Western blot at 20 µg

Lane 2:

Western blot - Human SOS1 knockout A549 cell line (<a href='/products/cell-lines/human-sos1-knockout-a549-cell-line-ab286377'>ab286377</a>)

Secondary

All lanes:

Goat anti-Rabbit IgG H&L 800CW and Goat anti-Mouse IgG H&L 680RD at 1/20000 dilution

Predicted band size: 152 kDa

Observed band size: 165 kDa

false

Western blot - Anti-SOS1 antibody [EPR7480] - BSA and Azide free (AB248908)
  • WB

Lab

Western blot - Anti-SOS1 antibody [EPR7480] - BSA and Azide free (AB248908)

False colour image of Western blot : Anti-SOS1 antibody [EPR7480] staining at 1/1000 dilution, shown in green; Mouse anti-Alpha Tubulin [DM1A] (ab7291) loading control staining at 1/20000 dilution, shown in red. In Western blot, ab140621 was shown to bind specifically to SOS1. A band was observed at 171 kDa in wild-type A431 cell lysates with no signal observed at this size in SOS1 knockout cell line ab276087 (knockout cell lysate ab283833). To generate this image, wild-type and SOS1 knockout A431 cell lysates were analysed. First, samples were run on an SDS-PAGE gel then transferred onto a nitrocellulose membrane. Membranes were blocked in 3 % milk in TBS-0.1 % Twee® 20 (TBS-T) before incubation with primary antibodies overnight at 4 °C. Blots were washed four times in TBS-T, incubated with secondary antibodies for 1 h at room temperature, washed again four times then imaged. Secondary antibodies used were Goat anti-Rabbit IgG H&L (IRDye® 800CW) preabsorbed (ab216773) and Goat anti-Mouse IgG H&L (IRDye® 680RD) preabsorbed (ab216776) at 1/20000 dilution.

Lane 1:

Wild-type A431 cell lysate at 20 µg

Lane 2:

SOS1 knockout A431 cell lysate at 20 µg

false

关键信息

宿主种属

Rabbit

克隆

Monoclonal

克隆号

EPR7480

亚型

IgG

不含载体蛋白

Yes

反应种属

Human

应用

ICC/IF, WB, IHC-P

applications

免疫原

The exact immunogen used to generate this antibody is proprietary information.

反应性数据

{ "title": "Reactivity Data", "filters": { "stats": ["", "Species", "Dilution Info", "Notes"], "tabs": { "all-applications": {"fullname" : "All Applications", "shortname": "All Applications"}, "IHCP" : {"fullname" : "Immunohistochemistry (Formalin/PFA-fixed paraffin-embedded sections)", "shortname":"IHC-P"}, "IP" : {"fullname" : "Immunoprecipitation", "shortname":"IP"}, "FlowCyt" : {"fullname" : "Flow Cytometry", "shortname":"Flow Cyt"}, "WB" : {"fullname" : "Western blot", "shortname":"WB"}, "ICCIF" : {"fullname" : "Immunocytochemistry/ Immunofluorescence", "shortname":"ICC/IF"} }, "product-promise": { "all": "all", "testedAndGuaranteed": "tested", "guaranteed": "expected", "predicted": "predicted", "notRecommended": "not-recommended" } }, "values": { "Human": { "IHCP-species-checked": "testedAndGuaranteed", "IHCP-species-dilution-info": "", "IHCP-species-notes": "<p></p>", "IP-species-checked": "notRecommended", "IP-species-dilution-info": "", "IP-species-notes": "<p></p>", "FlowCyt-species-checked": "notRecommended", "FlowCyt-species-dilution-info": "", "FlowCyt-species-notes": "<p></p>", "WB-species-checked": "testedAndGuaranteed", "WB-species-dilution-info": "", "WB-species-notes": "<p></p>", "ICCIF-species-checked": "testedAndGuaranteed", "ICCIF-species-dilution-info": "", "ICCIF-species-notes": "<p></p>" }, "Mouse": { "IHCP-species-checked": "predicted", "IHCP-species-dilution-info": "", "IHCP-species-notes": "", "IP-species-checked": "notRecommended", "IP-species-dilution-info": "", "IP-species-notes": "", "FlowCyt-species-checked": "notRecommended", "FlowCyt-species-dilution-info": "", "FlowCyt-species-notes": "", "WB-species-checked": "predicted", "WB-species-dilution-info": "", "WB-species-notes": "", "ICCIF-species-checked": "predicted", "ICCIF-species-dilution-info": "", "ICCIF-species-notes": "" }, "Rat": { "IHCP-species-checked": "predicted", "IHCP-species-dilution-info": "", "IHCP-species-notes": "", "IP-species-checked": "notRecommended", "IP-species-dilution-info": "", "IP-species-notes": "", "FlowCyt-species-checked": "notRecommended", "FlowCyt-species-dilution-info": "", "FlowCyt-species-notes": "", "WB-species-checked": "predicted", "WB-species-dilution-info": "", "WB-species-notes": "", "ICCIF-species-checked": "predicted", "ICCIF-species-dilution-info": "", "ICCIF-species-notes": "" } } }

产品详情

ab248908 is the carrier-free version of ab140621.

Patented technology
Our RabMAb® technology is a patented hybridoma-based technology for making rabbit monoclonal antibodies. For details on our patents, please refer to RabMAb® patents.

What are the advantages of a recombinant monoclonal antibody?
This product is a recombinant monoclonal antibody, which offers several advantages including:

  • - High batch-to-batch consistency and reproducibility
  • - Improved sensitivity and specificity
  • - Long-term security of supply
  • - Animal-free batch production

For more information, read more on recombinant antibodies.

Conjugation ready
Our carrier-free antibodies are typically supplied in a PBS-only formulation, purified and free of BSA, sodium azide and glycerol. This conjugation-ready format is designed for use with fluorochromes, metal isotopes, oligonucleotides, and enzymes, which makes them ideal for antibody labelling, functional and cell-based assays, flow-based assays (e.g. mass cytometry) and Multiplex Imaging applications.

Use our conjugation kits for antibody conjugates that are ready-to-use in as little as 20 minutes with 1 minute hands-on-time and 100% antibody recovery: available for fluorescent dyes, HRP, biotin and gold.

Compatibility
This product is compatible with the Maxpar® Antibody Labeling Kit from Fluidigm, without the need for antibody preparation. Maxpar® is a trademark of Fluidigm Canada Inc.

性能和储存信息

形式
Liquid
纯化工艺
Affinity purification Protein A
存储溶液
pH: 7.2 - 7.4 Constituents: PBS
运输条件
Blue Ice
推荐的短期储存条件
+4°C
推荐的长期储存条件
+4°C
储存信息
Do Not Freeze

产品实验方案

For this product, it's our understanding that no specific protocols are required. You can visit:

靶点信息

Promotes the exchange of Ras-bound GDP by GTP (PubMed : 8493579). Probably by promoting Ras activation, regulates phosphorylation of MAP kinase MAPK3 in response to EGF (PubMed : 17339331). Catalytic component of a trimeric complex that participates in transduction of signals from Ras to Rac by promoting the Rac-specific guanine nucleotide exchange factor (GEF) activity (By similarity).
See full target information SOS1

Abcam Product Promise

我们致力于为您的研究提供高质量的试剂,为您科研的每一步提供支持。若我们的产品未能达到预期性能,我们向您提供 Abcam Product Promise 保障。
详情请参阅我们的条款与条件。

Please note: All products are 'FOR RESEARCH USE ONLY. NOT FOR USE IN DIAGNOSTIC OR THERAPEUTIC PROCEDURES'.

For licensing inquiries, please contact partnerships@abcam.com