JavaScript is disabled in your browser. Please enable JavaScript to view this website.
AB140621

Anti-SOS1 抗体 [EPR7480]

Anti-SOS1 antibody [EPR7480]

  • RabMAb
  • Recombinant
  • KO Validated
  • 20ul selling size
  • 了解详情

5

(3 Reviews)

|

(13 Publications)

Knockout Tested Rabbit Recombinant Monoclonal SOS1 antibody. Suitable for IHC-P, WB, ICC/IF and reacts with Human samples. Cited in 13 publications.

查看别名

Son of sevenless homolog 1, SOS-1, SOS1

10 Images
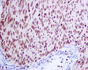
Immunohistochemistry (Formalin/PFA-fixed paraffin-embedded sections) - Anti-SOS1 antibody [EPR7480] (AB140621)
  • IHC-P

Unknown

Immunohistochemistry (Formalin/PFA-fixed paraffin-embedded sections) - Anti-SOS1 antibody [EPR7480] (AB140621)

Immunohistochemical analysis of paraffin embedded Human Cervical carcinoma tissue using ab140621 showing +ve staining.

Perform heat mediated antigen retrieval with citrate buffer pH 6 before commencing with IHC staining protocol.

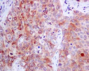
Immunohistochemistry (Formalin/PFA-fixed paraffin-embedded sections) - Anti-SOS1 antibody [EPR7480] (AB140621)
  • IHC-P

Unknown

Immunohistochemistry (Formalin/PFA-fixed paraffin-embedded sections) - Anti-SOS1 antibody [EPR7480] (AB140621)

Immunohistochemical analysis of paraffin embedded Human Breast carcinoma tissue using ab140621 showing +ve staining.

Perform heat mediated antigen retrieval with citrate buffer pH 6 before commencing with IHC staining protocol.

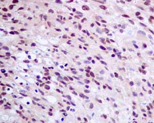
Immunohistochemistry (Formalin/PFA-fixed paraffin-embedded sections) - Anti-SOS1 antibody [EPR7480] (AB140621)
  • IHC-P

Unknown

Immunohistochemistry (Formalin/PFA-fixed paraffin-embedded sections) - Anti-SOS1 antibody [EPR7480] (AB140621)

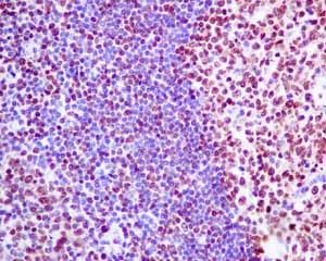
Immunohistochemical analysis of paraffin embedded normal Human tonsil tissue using ab140621 showing +ve staining.

Perform heat mediated antigen retrieval with citrate buffer pH 6 before commencing with IHC staining protocol.

Immunocytochemistry/ Immunofluorescence - Anti-SOS1 antibody [EPR7480] (AB140621)
  • ICC/IF

Unknown

Immunocytochemistry/ Immunofluorescence - Anti-SOS1 antibody [EPR7480] (AB140621)

Immunofluorescent staining of Raji cells labelling SOS1 with ab140621 at 1/250 dilution.

Immunohistochemistry (Formalin/PFA-fixed paraffin-embedded sections) - Anti-SOS1 antibody [EPR7480] (AB140621)
  • IHC-P

Unknown

Immunohistochemistry (Formalin/PFA-fixed paraffin-embedded sections) - Anti-SOS1 antibody [EPR7480] (AB140621)

Immunohistochemical analysis of paraffin-embedded Human ovarian carcinoma tissue labelling SOS1 with ab140621 at 1/100 dilution.

Perform heat mediated antigen retrieval with citrate buffer pH 6 before commencing with IHC staining protocol.

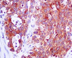
Immunohistochemistry (Formalin/PFA-fixed paraffin-embedded sections) - Anti-SOS1 antibody [EPR7480] (AB140621)
  • IHC-P

Unknown

Immunohistochemistry (Formalin/PFA-fixed paraffin-embedded sections) - Anti-SOS1 antibody [EPR7480] (AB140621)

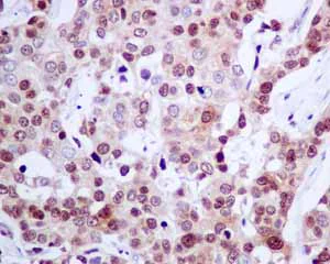
Immunohistochemical analysis of paraffin embedded Human Lung adenocarcinoma tissue using ab140621 showing +ve staining.

Perform heat mediated antigen retrieval with citrate buffer pH 6 before commencing with IHC staining protocol.

Immunohistochemistry (Formalin/PFA-fixed paraffin-embedded sections) - Anti-SOS1 antibody [EPR7480] (AB140621)
  • IHC-P

Unknown

Immunohistochemistry (Formalin/PFA-fixed paraffin-embedded sections) - Anti-SOS1 antibody [EPR7480] (AB140621)

Immunohistochemical analysis of paraffin embedded Human Glioma tissue using ab140621 showing +ve staining.

Perform heat mediated antigen retrieval with citrate buffer pH 6 before commencing with IHC staining protocol.

Western blot - Anti-SOS1 antibody [EPR7480] (AB140621)
  • WB

Lab

Western blot - Anti-SOS1 antibody [EPR7480] (AB140621)

Anti-SOS1 antibody [EPR7480] (ab140621) staining at 1/1000 dilution, shown in green; Mouse anti-CANX [CANX/1543] (ab238078) loading control staining at 1/20000 dilution, shown in red. In Western blot, ab140621 was shown to bind specifically to SOS1. A band was observed at 165 kDa in wild-type A549 cell lysates with no signal observed at this size in SOS1 knockout cell line. To generate this image, wild-type and SOS1 knockout A549 cell lysates were analysed. First, samples were run on an SDS-PAGE gel then transferred onto a nitrocellulose membrane. Membranes were blocked in 3 % milk in TBS-0.1 % Tween® 20 (TBS-T) before incubation with primary antibodies overnight at 4 °C. Blots were washed four times in TBS-T, incubated with secondary antibodies for 1 h at room temperature, washed again four times then imaged. Secondary antibodies used were Goat anti-Rabbit IgG H&L 800CW and Goat anti-Mouse IgG H&L 680RD at 1/20000 dilution.

All lanes:

Western blot - Anti-SOS1 antibody [EPR7480] (ab140621) at 1/1000 dilution

Lanes 1 - 3:

Western blot at 20 µg

Lane 2:

Western blot - Human SOS1 knockout A549 cell line (<a href='/products/cell-lines/human-sos1-knockout-a549-cell-line-ab286377'>ab286377</a>)

Secondary

All lanes:

Goat anti-Rabbit IgG H&L 800CW and Goat anti-Mouse IgG H&L 680RD at 1/20000 dilution

Predicted band size: 152 kDa

Observed band size: 165 kDa

false

Western blot - Anti-SOS1 antibody [EPR7480] (AB140621)
  • WB

Unknown

Western blot - Anti-SOS1 antibody [EPR7480] (AB140621)

All lanes:

Western blot - Anti-SOS1 antibody [EPR7480] (ab140621) at 1/1000 dilution

Lane 1:

Raji cell lysate at 10 µg

Lane 2:

K562 cell lysate at 10 µg

Lane 3:

HeLa cell lysate at 10 µg

Lane 4:

THP1 cell lysate at 10 µg

Predicted band size: 152 kDa

false

Western blot - Anti-SOS1 antibody [EPR7480] (AB140621)
  • WB

Lab

Western blot - Anti-SOS1 antibody [EPR7480] (AB140621)

False colour image of Western blot : Anti-SOS1 antibody [EPR7480] staining at 1/1000 dilution, shown in green; Mouse anti-Alpha Tubulin [DM1A] (ab7291) loading control staining at 1/20000 dilution, shown in red. In Western blot, ab140621 was shown to bind specifically to SOS1. A band was observed at 171 kDa in wild-type A431 cell lysates with no signal observed at this size in SOS1 knockout cell line ab276087 (knockout cell lysate ab283833). To generate this image, wild-type and SOS1 knockout A431 cell lysates were analysed. First, samples were run on an SDS-PAGE gel then transferred onto a nitrocellulose membrane. Membranes were blocked in 3 % milk in TBS-0.1 % Tween® 20 (TBS-T) before incubation with primary antibodies overnight at 4 °C. Blots were washed four times in TBS-T, incubated with secondary antibodies for 1 h at room temperature, washed again four times then imaged. Secondary antibodies used were Goat anti-Rabbit IgG H&L (IRDye® 800CW) preabsorbed (ab216773) and Goat anti-Mouse IgG H&L (IRDye® 680RD) preabsorbed (ab216776) at 1/20000 dilution.

All lanes:

Western blot - Anti-SOS1 antibody [EPR7480] (ab140621) at 1/1000 dilution

Lane 1:

Wild-type A431 cell lysate at 20 µg

Lane 2:

SOS1 knockout A431 cell lysate at 20 µg

Lane 2:

Western blot - Human SOS1 knockout A-431 cell line (<a href='/products/cell-lines/human-sos1-knockout-a-431-cell-line-ab276087'>ab276087</a>)

Lane 3:

HEK-293 cell lysate at 20 µg

Lane 4:

SK-OV-3 cell lysate at 20 µg

Predicted band size: 152 kDa

Observed band size: 171 kDa

false

不同偶联物与剂型 (1)

  • Carrier free

    Anti-SOS1 antibody [EPR7480] - BSA and Azide free

关键信息

宿主种属

Rabbit

克隆

Monoclonal

克隆号

EPR7480

亚型

IgG

不含载体蛋白

No

反应种属

Human

应用

IHC-P, WB, ICC/IF

applications

免疫原

The exact immunogen used to generate this antibody is proprietary information.

反应性数据

{ "title": "Reactivity Data", "filters": { "stats": ["", "Species", "Dilution Info", "Notes"], "tabs": { "all-applications": {"fullname" : "All Applications", "shortname": "All Applications"}, "IHCP" : {"fullname" : "Immunohistochemistry (Formalin/PFA-fixed paraffin-embedded sections)", "shortname":"IHC-P"}, "IP" : {"fullname" : "Immunoprecipitation", "shortname":"IP"}, "FlowCyt" : {"fullname" : "Flow Cytometry", "shortname":"Flow Cyt"}, "WB" : {"fullname" : "Western blot", "shortname":"WB"}, "ICCIF" : {"fullname" : "Immunocytochemistry/ Immunofluorescence", "shortname":"ICC/IF"} }, "product-promise": { "all": "all", "testedAndGuaranteed": "tested", "guaranteed": "expected", "predicted": "predicted", "notRecommended": "not-recommended" } }, "values": { "Human": { "IHCP-species-checked": "testedAndGuaranteed", "IHCP-species-dilution-info": "1/100 - 1/250", "IHCP-species-notes": "<p></p> Perform heat-mediated antigen retrieval with citrate buffer pH 6 before commencing with IHC staining protocol.", "IP-species-checked": "notRecommended", "IP-species-dilution-info": "", "IP-species-notes": "<p></p>", "FlowCyt-species-checked": "notRecommended", "FlowCyt-species-dilution-info": "", "FlowCyt-species-notes": "<p></p>", "WB-species-checked": "testedAndGuaranteed", "WB-species-dilution-info": "1/1000 - 1/10000", "WB-species-notes": "<p></p>", "ICCIF-species-checked": "testedAndGuaranteed", "ICCIF-species-dilution-info": "1/250 - 1/500", "ICCIF-species-notes": "<p></p>" }, "Mouse": { "IHCP-species-checked": "predicted", "IHCP-species-dilution-info": "", "IHCP-species-notes": "", "IP-species-checked": "notRecommended", "IP-species-dilution-info": "", "IP-species-notes": "", "FlowCyt-species-checked": "notRecommended", "FlowCyt-species-dilution-info": "", "FlowCyt-species-notes": "", "WB-species-checked": "predicted", "WB-species-dilution-info": "", "WB-species-notes": "", "ICCIF-species-checked": "predicted", "ICCIF-species-dilution-info": "", "ICCIF-species-notes": "" }, "Rat": { "IHCP-species-checked": "predicted", "IHCP-species-dilution-info": "", "IHCP-species-notes": "", "IP-species-checked": "notRecommended", "IP-species-dilution-info": "", "IP-species-notes": "", "FlowCyt-species-checked": "notRecommended", "FlowCyt-species-dilution-info": "", "FlowCyt-species-notes": "", "WB-species-checked": "predicted", "WB-species-dilution-info": "", "WB-species-notes": "", "ICCIF-species-checked": "predicted", "ICCIF-species-dilution-info": "", "ICCIF-species-notes": "" } } }

产品详情

Patented technology
Our RabMAb® technology is a patented hybridoma-based technology for making rabbit monoclonal antibodies. For details on our patents, please refer to RabMAb® patents.

What are the advantages of a recombinant monoclonal antibody?
This product is a recombinant monoclonal antibody, which offers several advantages including:

  • - High batch-to-batch consistency and reproducibility
  • - Improved sensitivity and specificity
  • - Long-term security of supply
  • - Animal-free batch production

For more information, read more on recombinant antibodies.

性能和储存信息

形式
Liquid
纯化工艺
Affinity purification Protein A
存储溶液
pH: 7.2 - 7.4 Preservative: 0.01% Sodium azide Constituents: PBS, 50% Tissue culture supernatant, 40% Glycerol (glycerin, glycerine), 0.05% BSA
运输条件
Blue Ice
推荐的短期储存条件
+4°C
推荐的长期储存条件
-20°C

产品实验方案

For this product, it's our understanding that no specific protocols are required. You can visit:

靶点信息

Promotes the exchange of Ras-bound GDP by GTP (PubMed : 8493579). Probably by promoting Ras activation, regulates phosphorylation of MAP kinase MAPK3 in response to EGF (PubMed : 17339331). Catalytic component of a trimeric complex that participates in transduction of signals from Ras to Rac by promoting the Rac-specific guanine nucleotide exchange factor (GEF) activity (By similarity).
See full target information SOS1

文献 (13)

Recent publications for all applications. Explore the full list and refine your search

Medical oncology (Northwood, London, England) 42:242 PubMed40483367

2025

CEBPB regulates ERK1/2 activity through SOS1 and contributes to ovarian cancer progression.

Applications

Unspecified application

Species

Unspecified reactive species

Jiahong Tan,Daoqi Wang,Aiqing Tu,Qin Xu,Li Zhuan,Xiaodie Wu,Lin Zhao,Wei Dong,Jie Zhang,Yun Feng

PeerJ 13:e18995 PubMed40226549

2025

DLEU2 facilitates bladder cancer progression through miR-103a-2-5p/SOS1 axis.

Applications

Unspecified application

Species

Unspecified reactive species

Yinlong Liu,Jian Hu,Baochun Liao,Zhijian Zhu,Yong Liu,Qinghua Pan

Cancer medicine 14:e70845 PubMed40171874

2025

Cancer Accumulation and Anticancer Activity of "CROX (Cluster Regulation of RUNX)" PIP in HER2-Positive Gastric Cancer Evaluated by Chicken Egg Cancer Model.

Applications

Unspecified application

Species

Unspecified reactive species

Tatsuya Masuda,Takayoshi Watanabe,Yasutoshi Tatsumi,Jason Lin,Kazuhiro Okumura,Toshinori Ozaki,Hiroshi Sugiyama,Yasuhiko Kamikubo

CytoJournal 21:34 PubMed39563667

2024

The mechanism of L1 cell adhesion molecule interacting with protein tyrosine kinase 2 to regulate the focal adhesion kinase-growth factor receptor-bound protein 2-son of sevenless-rat sarcoma pathway in the identification and treatment of type I high-risk endometrial cancer.

Applications

Unspecified application

Species

Unspecified reactive species

Wei He,Wei Liu,Xiumei Liu,Wenhua Tan

Advanced science (Weinheim, Baden-Wurttemberg, Germany) 10:e2205397 PubMed36727833

2023

Neuronal C-Reactive Protein/FcγRI Positive Feedback Proinflammatory Signaling Contributes to Nerve Injury Induced Neuropathic Pain.

Applications

Unspecified application

Species

Unspecified reactive species

Fan Liu,Li Zhang,Si Su,Yehong Fang,Xiang-Sha Yin,Huan Cui,Jianru Sun,Yikuan Xie,Chao Ma

International journal of molecular sciences 24: PubMed36674593

2023

The Silkworm Carboxypeptidase Inhibitor Prevents Gastric Cancer Cells' Proliferation through the EGF/EGFR Signaling Pathway.

Applications

Unspecified application

Species

Unspecified reactive species

Junhong Ye,Jifu Li,Ping Zhao

Journal of medicinal chemistry 65:16432-16450 PubMed36459180

2022

Development of SOS1 Inhibitor-Based Degraders to Target -Mutant Colorectal Cancer.

Applications

Unspecified application

Species

Unspecified reactive species

Yujia Bian,Diego Alem,Francisca Beato,Tara L Hogenson,Xinrui Yang,Kun Jiang,Jianfeng Cai,Wen Wee Ma,Martin Fernandez-Zapico,Aik Choon Tan,Nicholas J Lawrence,Jason B Fleming,Yu Yuan,Hao Xie

Biochemistry and biophysics reports 29:101191 PubMed34988297

2022

Biochemical characterization of the interaction between KRAS and Argonaute 2.

Applications

Unspecified application

Species

Unspecified reactive species

Jessica J Waninger,Tyler S Beyett,Varun V Gadkari,Ronald F Siebenaler,Carson Kenum,Sunita Shankar,Brandon T Ruotolo,Arul M Chinnaiyan,John J G Tesmer

Circulation. Genomic and precision medicine 13:e002892 PubMed32603605

2020

Gain-of-Function Variants in Dilated Cardiomyopathy.

Applications

Unspecified application

Species

Unspecified reactive species

Jason R Cowan,Lorien Salyer,Nathan T Wright,Daniel D Kinnamon,Pedro Amaya,Elizabeth Jordan,Michael J Bamshad,Deborah A Nickerson,Ray E Hershberger

Antioxidants & redox signaling 30:1621-1634 PubMed30105917

2018

Adaptor Protein p66Shc: A Link Between Cytosolic and Mitochondrial Dysfunction in the Development of Diabetic Retinopathy.

Applications

Unspecified application

Species

Unspecified reactive species

Manish Mishra,Arul J Duraisamy,Sudarshan Bhattacharjee,Renu A Kowluru
View all publications

Abcam Product Promise

我们致力于为您的研究提供高质量的试剂,为您科研的每一步提供支持。若我们的产品未能达到预期性能,我们向您提供 Abcam Product Promise 保障。
详情请参阅我们的条款与条件。

Please note: All products are 'FOR RESEARCH USE ONLY. NOT FOR USE IN DIAGNOSTIC OR THERAPEUTIC PROCEDURES'.

For licensing inquiries, please contact partnerships@abcam.com