JavaScript is disabled in your browser. Please enable JavaScript to view this website.
AB53281

Anti-Sonic Hedgehog 抗体 [EP1190Y]

Anti-Sonic Hedgehog antibody [EP1190Y]

5

(6 Reviews)

|

(107 Publications)

Anti-Sonic Hedgehog antibody [EP1190Y] (ab53281) is a rabbit monoclonal antibody detecting Sonic Hedgehog in Western Blot, Flow Cytometry (Intra), Flow Cytometry, IHC-P, ICC/IF. Suitable for Human.

- Biophysical QC for unrivalled batch-batch consistency
- Over 80 publications
- Trusted since 2007

查看别名

Sonic hedgehog protein, SHH, HHG-1, Shh unprocessed N-terminal signaling and C-terminal autoprocessing domains, ShhNC

13 Images
Immunohistochemistry (Formalin/PFA-fixed paraffin-embedded sections) - Anti-Sonic Hedgehog antibody [EP1190Y] (AB53281)
  • IHC-P

Unknown

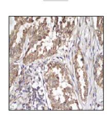
Immunohistochemistry (Formalin/PFA-fixed paraffin-embedded sections) - Anti-Sonic Hedgehog antibody [EP1190Y] (AB53281)

Immunohistochemical analysis of Formalin fixed paraffin-embedded human kidney cancerous tissue labeling Sonic Hedgehog with unpurified ab53281 at 1/100 dilution.

Flow Cytometry (Intracellular) - Anti-Sonic Hedgehog antibody [EP1190Y] (AB53281)
  • Flow Cyt (Intra)

Unknown

Flow Cytometry (Intracellular) - Anti-Sonic Hedgehog antibody [EP1190Y] (AB53281)

Overlay histogram showing HepG2 cells stained with unpurified ab53281 (red line). The cells were fixed with 4% paraformaldehyde (10 min) and then permeabilized with 0.1% PBS-Tween for 20 min. The cells were then incubated in 1x PBS / 10% normal goat serum / 0.3M glycine to block non-specific protein-protein interactions followed by the antibody (ab53281, 1/100 dilution) for 30 min at 22°C. The secondary antibody used was DyLight® 488 goat anti-rabbit IgG (H+L) (ab96899) at 1/500 dilution for 30 min at 22°C. Isotype control antibody (black line) was rabbit IgG (monoclonal) (1μg/1x106 cells) used under the same conditions. Acquisition of >5,000 events was performed. This antibody gave a positive signal in HepG2 cells fixed with 80% methanol (5 min)/permeabilized with 0.1% PBS-Tween for 20 min used under the same conditions.

Immunohistochemistry (Formalin/PFA-fixed paraffin-embedded sections) - Anti-Sonic Hedgehog antibody [EP1190Y] (AB53281)
  • IHC-P

PubMed

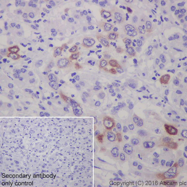
Immunohistochemistry (Formalin/PFA-fixed paraffin-embedded sections) - Anti-Sonic Hedgehog antibody [EP1190Y] (AB53281)

Immunohistochemical analysis of Formalin fixed paraffin embedded human ovarian cancer tissue, staining Sonic Hedgehog with unpurified ab53281.

Antigen retrieval was carried out in citrate buffer using a pressure cooker for 40 minutes. Sections were blocked with blocking agent before incubating with primary antibody (1/2000) for 90 minutes at room temperature. Staining was detected using DAB.

Image from McCann CK et al. PLoS One. 2011;6(11):e28077. Epub 2011 Nov 29. Fig 1.; doi:10.1371/journal.pone.0028077; November 29 2011 PLoS ONE 6(11): e28077.

Flow Cytometry (Intracellular) - Anti-Sonic Hedgehog antibody [EP1190Y] (AB53281)
  • Flow Cyt (Intra)

Unknown

Flow Cytometry (Intracellular) - Anti-Sonic Hedgehog antibody [EP1190Y] (AB53281)

Intracellular Flow Cytometry analysis of HeLa (human cervix adenocarcinoma) cells labelling Sonic Hedgehog with unpurified ab53281 at 1/20 (red). Cells were fixed with 4% paraformaldehyde and permeabilised with 90% methanol. An Alexa Fluorr®488-conjugated goat anti-rabbit IgG (1/2000) was used as the secondary antibody. Black - Isotype control, rabbit monoclonal IgG. Blue - Unlabelled control, cells without incubation with primary and secondary antibodies.

Immunocytochemistry/ Immunofluorescence - Anti-Sonic Hedgehog antibody [EP1190Y] (AB53281)
  • ICC/IF

Unknown

Immunocytochemistry/ Immunofluorescence - Anti-Sonic Hedgehog antibody [EP1190Y] (AB53281)

Immunocytochemistry/Immunofluorescence analysis of HeLa (human cervix adenocarcinoma) labelling Sonic Hedgehog with purified ab53281 at 1/500. Cells were fixed with 4% Paraformaldehyde and permeabilised by 0.1% tritonX-100. An Alexa Fluor® 488-conjugated goat anti-rabbit IgG (1/1000) was used as the secondary antibody (ab150077). Nuclei counterstained with DAPI (blue).

Immunocytochemistry/ Immunofluorescence - Anti-Sonic Hedgehog antibody [EP1190Y] (AB53281)
  • ICC/IF

Unknown

Immunocytochemistry/ Immunofluorescence - Anti-Sonic Hedgehog antibody [EP1190Y] (AB53281)

Immunocytochemistry/ Immunofluorescence analysis of HeLa (Human epithelial cell line from cervix adenocarcinoma) cells labeling Sonic Hedgehog with purified ab53281 at 1/250 dilution (0.8μg/ml). Cells were fixed in 4% Paraformaldehyde and permeabilized with 0.1% tritonX-100. Cells were counterstained with ab195889, Anti-alpha Tubulin antibody [DM1A] - Microtubule Marker (Alexa Fluor® 594) 1/200 (2.5 μg/ml). ab150077 Goat anti rabbit IgG(Alexa Fluor® 488) was used as the secondary antibody at 1/1000 dilution. DAPI nuclear counterstain. PBS instead of the primary antibody was used as the secondary antibody only control.

Immunohistochemistry (Formalin/PFA-fixed paraffin-embedded sections) - Anti-Sonic Hedgehog antibody [EP1190Y] (AB53281)
  • IHC-P

Unknown

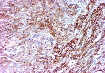
Immunohistochemistry (Formalin/PFA-fixed paraffin-embedded sections) - Anti-Sonic Hedgehog antibody [EP1190Y] (AB53281)

Immunohistochemistry (Formalin/PFA-fixed paraffin-embedded sections) analysis of human pancreatic carcinoma tissue sections labeling Sonic Hedgehog with purified ab53281 at 1/2000 dilution (0.097 μg/ml). Heat mediated antigen retrieval was performed using EDTA Buffer, PH9. Tissue was counterstained with Hematoxylin. ab97051 Goat Anti-Rabbit IgG H&L (HRP) secondary antibody was used at 1/500 dilution. PBS instead of the primary antibody was used as the negative control.

Immunocytochemistry/ Immunofluorescence - Anti-Sonic Hedgehog antibody [EP1190Y] (AB53281)
  • ICC/IF

Unknown

Immunocytochemistry/ Immunofluorescence - Anti-Sonic Hedgehog antibody [EP1190Y] (AB53281)

Immunocytochemistry/Immunofluorescence analysis of HepG2 cells labelling Sonic Hedgehog with unpurified ab53281.

Flow Cytometry (Intracellular) - Anti-Sonic Hedgehog antibody [EP1190Y] (AB53281)
  • Flow Cyt (Intra)

Unknown

Flow Cytometry (Intracellular) - Anti-Sonic Hedgehog antibody [EP1190Y] (AB53281)

Intracellular Flow Cytometry analysis of HeLa (Human epithelial cell line from cervix adenocarcinoma) cells labeling Sonic Hedgehog with purified ab53281 at 1/20 dilution (10 ug/ml) (red). Cells were fixed with 4% Paraformaldehyde. A Goat anti rabbit IgG (Alexa Fluorr® 488) secondary antibody was used at 1/2000 dilution. Isotype control - Rabbit monoclonal IgG (Black). Unlabeled control - cells without incubation with primary antibody and secondary antibody (Blue).

Western blot - Anti-Sonic Hedgehog antibody [EP1190Y] (AB53281)
  • WB

Unknown

Western blot - Anti-Sonic Hedgehog antibody [EP1190Y] (AB53281)

All lanes:

Western blot - Anti-Sonic Hedgehog antibody [EP1190Y] (ab53281) at 1/2000 dilution

All lanes:

Fetal liver membrane at 10 µg

Secondary

All lanes:

Goat anti-rabbit HRP at 1/2000 dilution

Predicted band size: 49 kDa

Observed band size: 27 kDa,49 kDa,51 kDa

false

Western blot - Anti-Sonic Hedgehog antibody [EP1190Y] (AB53281)
  • WB

Lab

Western blot - Anti-Sonic Hedgehog antibody [EP1190Y] (AB53281)

Blocking and diluting buffer : 5% NFDM /TBST .

27KDa : C-terminal product.

All lanes:

Western blot - Anti-Sonic Hedgehog antibody [EP1190Y] (ab53281) at 1/1000 dilution

All lanes:

Human fetal kidney lysate at 15 µg

Secondary

All lanes:

Anti-Rabbit IgG (HRP), specific to the non-reduced form of IgG at 1/2000 dilution

Predicted band size: 49 kDa

Observed band size: 27 kDa

false

Western blot - Anti-Sonic Hedgehog antibody [EP1190Y] (AB53281)
  • WB

Lab

Western blot - Anti-Sonic Hedgehog antibody [EP1190Y] (AB53281)

Blocking and diluting buffer : 5% NFDM/TBST.

50kDa : Full-length SHH; 27KDa : C-terminal product

All lanes:

Western blot - Anti-Sonic Hedgehog antibody [EP1190Y] (ab53281) at 1/2000 dilution

All lanes:

Human fetal liver lysate at 15 µg

Secondary

All lanes:

Western blot - Goat Anti-Rabbit IgG H&L (HRP) (<a href='/products/secondary-antibodies/goat-rabbit-igg-h-l-hrp-ab97051'>ab97051</a>) at 1/20000 dilution

Predicted band size: 49 kDa

Observed band size: 27 kDa,50 kDa

false

Western blot - Anti-Sonic Hedgehog antibody [EP1190Y] (AB53281)
  • WB

CiteAb

Western blot - Anti-Sonic Hedgehog antibody [EP1190Y] (AB53281)

Sonic Hedgehog western blot using anti-Sonic Hedgehog antibody [EP1190Y] ab53281. Publication image and figure legend from Wang, Z., Jiang, J., et al., 2019, J Cell Mol Med, PubMed 30761741.

ab53281 was used in this publication in western blot. This may not be the same as the application(s) guaranteed by Abcam. For a full list of applications guaranteed by Abcam for ab53281 please see the product overview.

The expression of EIF5A controls the sHH signalling pathway in PC cells. The Western blot showed that EIF5A knockdown can decrease the protein expression of sHH signalling factors in Panc-1 cells (A) and BxPc-3 cells (B). Graphs showed the EIF5A knockdown obviously reduced the expressions of sHH and Gli-1 in Panc-1 cells (C) and BxPc-3 cells (D). To decide whether activation of sHH signalling pathway depends on sHH factor, we used recombinant sHH or neutralizing antibody to treat the PC cells with Si-EIF5A. The Western blot results showed the low expression level of Gli-1 for Panc-1 cells (E) and for BxPc-3 cells (F). *p < 0.05 as determined by the Student's t test

false

不同偶联物与剂型 (8)

  • 578 PE

    PE Anti-Sonic Hedgehog antibody [EP1190Y]

  • 660 APC

    APC Anti-Sonic Hedgehog antibody [EP1190Y]

  • 603 Alexa Fluor® 568

    Alexa Fluor® 568 Anti-Sonic Hedgehog antibody [EP1190Y]

  • 565 Alexa Fluor® 555

    Alexa Fluor® 555 Anti-Sonic Hedgehog antibody [EP1190Y]

  • 519 Alexa Fluor® 488

    Alexa Fluor® 488 Anti-Sonic Hedgehog antibody [EP1190Y]

  • Carrier free

    Anti-Sonic Hedgehog antibody [EP1190Y] - BSA and Azide free

  • HRP

    HRP Anti-Sonic Hedgehog antibody [EP1190Y]

  • 665 Alexa Fluor® 647

    Alexa Fluor® 647 Anti-Sonic Hedgehog antibody [EP1190Y]

关键信息

宿主种属

Rabbit

克隆

Monoclonal

克隆号

EP1190Y

亚型

IgG

不含载体蛋白

No

反应种属

Human

应用

WB, IHC-P, Flow Cyt (Intra), ICC/IF

applications

免疫原

The exact immunogen used to generate this antibody is proprietary information.

特异性

Specific for both full length (51kDa) and c-product subunit (27kDa) of human Sonic Hedgehog protein

反应性数据

{ "title": "Reactivity Data", "filters": { "stats": ["", "Species", "Dilution Info", "Notes"], "tabs": { "all-applications": {"fullname" : "All Applications", "shortname": "All Applications"}, "WB" : {"fullname" : "Western blot", "shortname":"WB"}, "ICCIF" : {"fullname" : "Immunocytochemistry/ Immunofluorescence", "shortname":"ICC/IF"}, "FlowCytIntra" : {"fullname" : "Flow Cytometry (Intracellular)", "shortname":"Flow Cyt (Intra)"}, "IHCP" : {"fullname" : "Immunohistochemistry (Formalin/PFA-fixed paraffin-embedded sections)", "shortname":"IHC-P"} }, "product-promise": { "all": "all", "testedAndGuaranteed": "tested", "guaranteed": "expected", "predicted": "predicted", "notRecommended": "not-recommended" } }, "values": { "Human": { "WB-species-checked": "testedAndGuaranteed", "WB-species-dilution-info": "1/1000 - 1/10000", "WB-species-notes": "<p></p>", "ICCIF-species-checked": "testedAndGuaranteed", "ICCIF-species-dilution-info": "1/250 - 1/500", "ICCIF-species-notes": "<p></p>", "FlowCytIntra-species-checked": "testedAndGuaranteed", "FlowCytIntra-species-dilution-info": "1/10 - 1/100", "FlowCytIntra-species-notes": "<p><a href='/products/primary-antibodies/rabbit-igg-monoclonal-epr25a-isotype-control-ab172730'>ab172730</a> - Rabbit monoclonal IgG, is suitable for use as an isotype control with this antibody.</p>", "IHCP-species-checked": "testedAndGuaranteed", "IHCP-species-dilution-info": "1/2000", "IHCP-species-notes": "<p><strong>For unpurified use at 1/100.</strong></p> Perform heat-mediated antigen retrieval with Tris/EDTA buffer pH 9.0 before commencing with IHC staining protocol." } } }

产品详情

What is this antibody validated in?
Anti-Sonic Hedgehog antibody [EP1190Y] (ab53281) is a rabbit recombinant monoclonal antibody and is validated for use in Western Blot (WB), Flow Cytometry (Intra), Flow Cytometry (Flow Cyt), Immunohistochemistry (IHC-P), Immunocytochemistry/immunofluorescence (ICC/IF) in Human samples.

What is the molecular weight of Sonic Hedgehog?
Anti-Sonic Hedgehog [EP1190Y] (ab53281) specifically detects a band for Sonic Hedgehog (UniProt: Q15465) at a molecular weight of 51kDa.

Trusted by the scientific community
Anti-Sonic Hedgehog [EP1190Y] (ab53281) was first used in a scientific publication in 2007 and has been cited over 80 times in peer-reviewed journals.

Reviewed by scientists
Anti-Sonic Hedgehog [EP1190Y] (ab53281) has over 5 independent reviews from customers.

Trial sizes available!
Test your antibody or perform pre-screening before committing to a larger quantity. Sold in 10µl. Discover our selection of trial-size antibodies.

Other related products
We have a range of other formats of antibody clone [EP1190Y] also available for your convenience: ab53281, Carrier free - ab175180, Alexa Fluor® 488 - ab203961, PE - ab305737, APC - ab305738, HRP - ab305739, Alkaline Phosphatase - ab308815, Alexa Fluor® 647 - ab310129, Alexa Fluor® 555 - ab312076, Alexa Fluor® 568 - ab312553

Patented technology
Our RabMAb® technology is a patented hybridoma-based technology for making rabbit monoclonal antibodies. For details on our patents, please refer to RabMAb® patents.

What are the advantages of a recombinant monoclonal antibody?
This product is a recombinant monoclonal antibody, which offers several advantages including:

  • - High batch-to-batch consistency and reproducibility
  • - Improved sensitivity and specificity
  • - Long-term security of supply
  • - Animal-free batch production

For more information, read more on recombinant antibodies.

性能和储存信息

形式
Liquid
纯化工艺
Affinity purification Protein A
存储溶液
pH: 7.2 - 7.4 Preservative: 0.01% Sodium azide Constituents: PBS, 40% Glycerol (glycerin, glycerine), 0.05% BSA
运输条件
Blue Ice
推荐的短期储存时间
1-2 weeks
推荐的短期储存条件
+4°C
推荐的长期储存条件
-20°C
分装信息
Upon delivery aliquot
储存信息
Avoid freeze / thaw cycle|Stable for 12 months at -20°C

补充信息

This supplementary information is collated from multiple sources and compiled automatically.

Sonic Hedgehog also known as SHH is a protein that plays an important role in cell signaling during embryonic development. It has alternative names like 'HHG-1' and '5h4'. The Sonic Hedgehog protein is about 45 kDa in mass. Scientists find SHH expression in various tissues including the brain lungs and limb buds. Its activity plays a role in the organization of several tissue structures during development helping to regulate cellular growth and differentiation processes.
Biological function summary

Sonic Hedgehog is critical for the vertebrate embryonic patterning and organogenesis. It functions as a signaling molecule and is part of the Hedgehog signaling complex. The protein acts by binding to the Patched receptor further influencing the Smoothened transducer in cellular signaling cascades. This signaling contributes to the proper formation of limbs central nervous system structures and other vital organs in early development stages.

Pathways

Sonic Hedgehog participates in essential signaling pathways such as the Hedgehog pathway and the Wnt signaling pathway. It interacts with proteins including the Patched and Smoothened to facilitate downstream genetic transcription regulation. Through these pathways Sonic Hedgehog influences the transcription of specific genes that control cell growth. These interactions contribute to the regulation of different cell types and the organization of distinct tissue areas.

Sonic Hedgehog connects to issues like cancer and congenital malformations. Aberrations in its signaling can lead to conditions such as basal cell carcinoma and holoprosencephaly. Sonic Hedgehog through its influence on the Hedgehog signaling pathway implicates interactions with other proteins like GLI transcription factors and Patched. These interactions can dysregulate cellular processes and result in disease states when not functioning correctly.

产品实验方案

For this product, it's our understanding that no specific protocols are required. You can visit:

靶点信息

Sonic hedgehog protein. The C-terminal part of the sonic hedgehog protein precursor displays an autoproteolysis and a cholesterol transferase activity (By similarity). Both activities result in the cleavage of the full-length protein into two parts (ShhN and ShhC) followed by the covalent attachment of a cholesterol moiety to the C-terminal of the newly generated ShhN (By similarity). Both activities occur in the reticulum endoplasmic (By similarity). Once cleaved, ShhC is degraded in the endoplasmic reticulum (By similarity).. Sonic hedgehog protein N-product. The dually lipidated sonic hedgehog protein N-product (ShhNp) is a morphogen which is essential for a variety of patterning events during development. Induces ventral cell fate in the neural tube and somites (PubMed : 24863049). Involved in the patterning of the anterior-posterior axis of the developing limb bud (By similarity). Essential for axon guidance (By similarity). Binds to the patched (PTCH1) receptor, which functions in association with smoothened (SMO), to activate the transcription of target genes (PubMed : 10753901). In the absence of SHH, PTCH1 represses the constitutive signaling activity of SMO (PubMed : 10753901).
See full target information SHH

文献 (107)

Recent publications for all applications. Explore the full list and refine your search

BMC cancer 25:1512 PubMed41053731

2025

NFKBIE as a prognostic biomarker and therapeutic target for GBM: role in Hedgehog signaling activation.

Applications

Unspecified application

Species

Unspecified reactive species

Feng Mo,Yang Li,Ce Dong,Lijun Yang,Xiaoli Ma,Baogen Pan,Zhenzeng Fan

BMC biology 23:268 PubMed40859304

2025

Cranial base synostosis in mice caused by upregulation of Wnt following partial inhibition of Shh.

Applications

Unspecified application

Species

Unspecified reactive species

Jiangping Chen,Chengyan Ren,Chuanqing Mao,Yongzhen Lai,Meng Lu,Yuanjing Jiang,Weihui Chen

BMC pediatrics 25:288 PubMed40221697

2025

Gene proteins, growth factors/their receptors in the wall of chronic calculous cholecystitis-affected gallbladder children.

Applications

Unspecified application

Species

Unspecified reactive species

Darja Derbeneva,Mara Pilmane,Aigars Petersons

Children (Basel, Switzerland) 12: PubMed40003307

2025

Immunomodulatory Tissue Factors in the Gallbladder Walls of Pediatric Patients with Chronic Calculous Cholecystitis.

Applications

Unspecified application

Species

Unspecified reactive species

Kaiva Zīle Zariņa,Māra Pilmane,Aigars Pētersons

iScience 27:111255 PubMed39620128

2024

activates SLFN4MDSCs to accelerate gastric intestinal metaplasia.

Applications

Unspecified application

Species

Unspecified reactive species

Zhihong Zhao,Rui Liu,Ye Peng,Cun Li,Qian Li

International journal of molecular sciences 25: PubMed39518932

2024

7-Ketocholesterol Effects on Osteogenic Differentiation of Adipose Tissue-Derived Mesenchymal Stem Cells.

Applications

Unspecified application

Species

Unspecified reactive species

Beatriz Araújo Oliveira,Débora Levy,Jessica Liliane Paz,Fabio Alessandro de Freitas,Cadiele Oliana Reichert,Alessandro Rodrigues,Sérgio Paulo Bydlowski

Advanced science (Weinheim, Baden-Wurttemberg, Germany) 11:e2310048 PubMed39474995

2024

Cathepsin K-Positive Cell Lineage Promotes In Situ Dentin Formation Controlled by Nociceptive Sonic Hedgehog.

Applications

Unspecified application

Species

Unspecified reactive species

Ruoshi Xu,Xiaohan Zhang,Weimin Lin,Yushun Wang,Danting Zhang,Shuang Jiang,Linfeng Liu,Jiaying Wang,Xutao Luo,Xiao Zhang,Junjun Jing,Quan Yuan,Chenchen Zhou

Molecular therapy. Oncology 32:200875 PubMed39351074

2024

The therapeutic effect of DX2 inhibition in nicotine-induced lung cancer progression.

Applications

Unspecified application

Species

Unspecified reactive species

Soyoung Park,Ah-Young Oh,Byung-Su Hong,Yun-Jeong Shin,Hyewon Jang,Hyunghwan Seo,So-Mi Kang,Tae-Gyun Woo,Hyo-Pin Park,Jiwon Jeong,Hye-Ju Kim,Bae-Hoon Kim,Yonghoon Kwon,Bum-Joon Park

Oncology letters 28:442 PubMed39091582

2024

Sonic hedgehog expression in steatohepatitic hepatocellular carcinoma and its clinicopathological significance.

Applications

Unspecified application

Species

Unspecified reactive species

Hironori Kusano,Sachiko Ogasawara,Minori Omuraya,Masayuki Okudaira,Shinji Mizuochi,Yutaro Mihara,Yoshinao Kinjo,Yuta Yano,Masamichi Nakayama,Reiichiro Kondo,Yoshiki Naito,Jun Akiba,Osamu Nakashima,Hirohisa Yano

Genetics and molecular biology 47:e20230347 PubMed38985013

2024

ΔNp63α promotes cigarette smoke-induced renal cancer stem cell activity via the Sonic Hedgehog pathway.

Applications

Unspecified application

Species

Unspecified reactive species

Yuxiang Zhao,Nannan Ma,Wanngyu Wu,Ying Wu,Wenbo Zhang,Weiwei Qian,Xin Sun,Tao Zhang
View all publications

Abcam Product Promise

我们致力于为您的研究提供高质量的试剂,为您科研的每一步提供支持。若我们的产品未能达到预期性能,我们向您提供 Abcam Product Promise 保障。
详情请参阅我们的条款与条件。

Please note: All products are 'FOR RESEARCH USE ONLY. NOT FOR USE IN DIAGNOSTIC OR THERAPEUTIC PROCEDURES'.

For licensing inquiries, please contact partnerships@abcam.com