JavaScript is disabled in your browser. Please enable JavaScript to view this website.
AB307514

重组Anti-SNX17抗体[EPR26025-45] - BSA and Azide free

Anti-SNX17 antibody [EPR26025-45] - BSA and Azide free

Be the first to review this product! Submit a review

|

(0 Publication)

Rabbit Recombinant Monoclonal SNX17 antibody. Carrier free. Suitable for IP, WB and reacts with Mouse, Human, Rat samples.

查看别名

KIAA0064, SNX17, Sorting nexin-17

4 Images
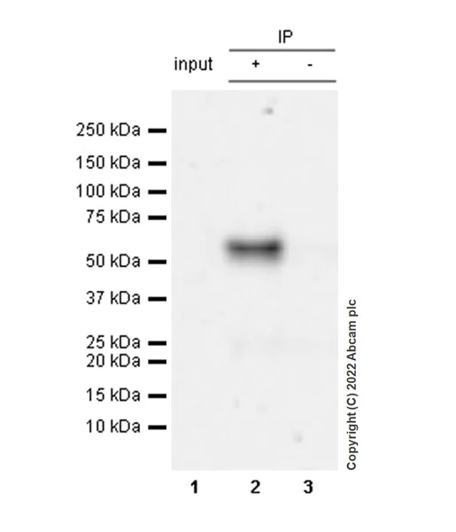
Immunoprecipitation - Anti-SNX17 antibody [EPR26025-45] - BSA and Azide free (AB307514)
  • IP

Supplier Data

Immunoprecipitation - Anti-SNX17 antibody [EPR26025-45] - BSA and Azide free (AB307514)

This data was developed using ab307513, the same antibody clone in a different buffer formulation.

SNX17 was immunoprecipitated from 0.35 mg HeLa (human cervix adenocarcinoma epithelial cell) whole cell lysate 10 ug with ab307513 at 1/30 dilution (2ug in 0.35mg lysates). Western blot was performed on the immunoprecipitate using ab307513 at 1/1000 dilution. VeriBlot for IP secondary antibody (HRP) (ab131366) was used at 1/5000 dilution.

Lane 1 : HeLa (human cervix adenocarcinoma epithelial cell) whole cell lysate 10 ug
Lane 2 : ab307513 IP in HeLa whole cell lysate
Lane 3 : Rabbit monoclonal IgG (ab172730) instead of ab307513 in HeLa whole cell lysate

Blocking and dilution buffer and concentration : 5% NFDM/TBST.

Exposure time : 67 seconds

All lanes:

Immunoprecipitation - Anti-SNX17 antibody [EPR26025-45] (<a href='/products/primary-antibodies/snx17-antibody-epr26025-45-ab307513'>ab307513</a>) at 1/1000 dilution

Lane 1:

HeLa (human cervix adenocarcinoma epithelial cell) whole cell lysate 10 μg

Lane 2:

HeLa whole cell lysate

Secondary

All lanes:

Immunoprecipitation - VeriBlot for IP Detection Reagent (HRP) (<a href='/products/reagents/veriblot-for-ip-detection-reagent-hrp-ab131366'>ab131366</a>) at 1/5000 dilution

Observed band size: 53 kDa

false

Exposure time: 67s

Immunoprecipitation - Anti-SNX17 antibody [EPR26025-45] - BSA and Azide free (AB307514)
  • IP

Supplier Data

Immunoprecipitation - Anti-SNX17 antibody [EPR26025-45] - BSA and Azide free (AB307514)

This data was developed using ab307513, the same antibody clone in a different buffer formulation.

SNX17 was immunoprecipitated from 0.35 mg RAW264.7 (mouse abelson murine leukemia virus-induced tumor macrophage) whole cell lysate 10 ug with ab307513 at 1/30 dilution (2ug in 0.35mg lysates). Western blot was performed on the immunoprecipitate using ab307513 at 1/1000 dilution. VeriBlot for IP secondary antibody (HRP) (ab131366) was used at 1/5000 dilution.

Lane 1 : RAW264.7 (mouse abelson murine leukemia virus-induced tumor macrophage) whole cell lysate 10 ug
Lane 2 : ab307513 IP in RAW264.7 whole cell lysate
Lane 3 : Rabbit monoclonal IgG (ab172730) instead of ab307513 in RAW264.7 whole cell lysate

Blocking and dilution buffer and concentration : 5% NFDM/TBST.

Exposure time : 67 seconds

All lanes:

Immunoprecipitation - Anti-SNX17 antibody [EPR26025-45] (<a href='/products/primary-antibodies/snx17-antibody-epr26025-45-ab307513'>ab307513</a>) at 1/1000 dilution

Lane 1:

RAW264.7 (mouse Abelson murine leukemia virus-induced tumor macrophage) whole cell lysate 10 μg

Lane 2:

RAW264.7 whole cell lysate

Secondary

All lanes:

Immunoprecipitation - VeriBlot for IP Detection Reagent (HRP) (<a href='/products/reagents/veriblot-for-ip-detection-reagent-hrp-ab131366'>ab131366</a>) at 1/5000 dilution

Observed band size: 53 kDa

false

Exposure time: 67s

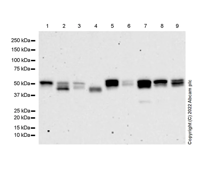
Western blot - Anti-SNX17 antibody [EPR26025-45] - BSA and Azide free (AB307514)
  • WB

Supplier Data

Western blot - Anti-SNX17 antibody [EPR26025-45] - BSA and Azide free (AB307514)

This data was developed using 307513, the same antibody clone in a different buffer formulation. Blocking and diluting buffer and concentration : 180seconds Exposure time :

All lanes:

Western blot - Anti-SNX17 antibody [EPR26025-45] (<a href='/products/primary-antibodies/snx17-antibody-epr26025-45-ab307513'>ab307513</a>) at 1/1000 dilution

Lane 1:

HeLa (human cervix adenocarcinoma epithelial cell) whole cell lysate 20 μg

Lane 2:

HepG2 (human hepatocellar carcinoma epithelial cell) whole cell lysate 20 μg

Lane 3:

A431 (human epidermoid carcinoma epithelial cell) whole cell lysate 20 μg

Lane 4:

MCF7 (human breast adenocarcinoma epithelial cell) whole cell lysate 20 μg

Lane 5:

K562 (human chronic myelogenous leukemia lymphoblast) whole cell lysate 20 μg

Lane 6:

RAW264.7 (mouse elson murine leukemia virus-induced tumor macrophage) whole cell lysate 20 μg

Lane 7:

MEF (mouse embryonic fibroblast ) whole cell lysate 20 μg

Lane 8:

NIH/3T3 (mouse embryonic fibroblast) whole cell lysate 20 μg

Lane 9:

C6 (rat glial tumor glial cell) whole cell lysate 20 μg

Secondary

All lanes:

Western blot - Goat Anti-Rabbit IgG H&L (HRP) (<a href='/products/secondary-antibodies/goat-rabbit-igg-h-l-hrp-ab97051'>ab97051</a>) at 1/100000 dilution

Observed band size: 50 kDa,53 kDa

false

Exposure time: 180s

Western blot - Anti-SNX17 antibody [EPR26025-45] - BSA and Azide free (AB307514)
  • WB

Supplier Data

Western blot - Anti-SNX17 antibody [EPR26025-45] - BSA and Azide free (AB307514)

This data was developed using 307513, the same antibody clone in a different buffer formulation. Blocking and diluting buffer and concentration : The Lanes 2-5 were developed using a high sensitivity ECL substrate. Exposure time :

All lanes:

Western blot - Anti-SNX17 antibody [EPR26025-45] (<a href='/products/primary-antibodies/snx17-antibody-epr26025-45-ab307513'>ab307513</a>) at 1/1000 dilution

Lane 1:

Human heart tissue lysate 20 μg

Lane 2:

Mouse fetal brain tissue lysate 20 μg

Lane 3:

Mouse heart tissue lysate 20 μg

Lane 4:

Rat fetal brain tissue lysate 20 μg

Lane 5:

Rat heart tissue lysate 20 μg

Secondary

All lanes:

Western blot - Goat Anti-Rabbit IgG H&L (HRP) (<a href='/products/secondary-antibodies/goat-rabbit-igg-h-l-hrp-ab97051'>ab97051</a>) at 1/100000 dilution

Observed band size: 50 kDa,53 kDa

true

Exposure time: 37s

关键信息

宿主种属

Rabbit

克隆

Monoclonal

克隆号

EPR26025-45

亚型

IgG

不含载体蛋白

Yes

反应种属

Human, Mouse, Rat

应用

IP, WB

applications

免疫原

The exact immunogen used to generate this antibody is proprietary information.

反应性数据

{ "title": "Reactivity Data", "filters": { "stats": ["", "Species", "Dilution Info", "Notes"], "tabs": { "all-applications": {"fullname" : "All Applications", "shortname": "All Applications"}, "IP" : {"fullname" : "Immunoprecipitation", "shortname":"IP"}, "FlowCytIntra" : {"fullname" : "Flow Cytometry (Intracellular)", "shortname":"Flow Cyt (Intra)"}, "ICCIF" : {"fullname" : "Immunocytochemistry/ Immunofluorescence", "shortname":"ICC/IF"}, "IHCP" : {"fullname" : "Immunohistochemistry (Formalin/PFA-fixed paraffin-embedded sections)", "shortname":"IHC-P"}, "WB" : {"fullname" : "Western blot", "shortname":"WB"} }, "product-promise": { "all": "all", "testedAndGuaranteed": "tested", "guaranteed": "expected", "predicted": "predicted", "notRecommended": "not-recommended" } }, "values": { "Human": { "IP-species-checked": "testedAndGuaranteed", "IP-species-dilution-info": "", "IP-species-notes": "<p></p>", "FlowCytIntra-species-checked": "notRecommended", "FlowCytIntra-species-dilution-info": "", "FlowCytIntra-species-notes": "<p></p>", "ICCIF-species-checked": "notRecommended", "ICCIF-species-dilution-info": "", "ICCIF-species-notes": "<p></p>", "IHCP-species-checked": "notRecommended", "IHCP-species-dilution-info": "", "IHCP-species-notes": "<p></p>", "WB-species-checked": "notRecommended", "WB-species-dilution-info": "", "WB-species-notes": "<p></p>" }, "Mouse": { "IP-species-checked": "testedAndGuaranteed", "IP-species-dilution-info": "", "IP-species-notes": "<p></p>", "FlowCytIntra-species-checked": "notRecommended", "FlowCytIntra-species-dilution-info": "", "FlowCytIntra-species-notes": "<p></p>", "ICCIF-species-checked": "notRecommended", "ICCIF-species-dilution-info": "", "ICCIF-species-notes": "<p></p>", "IHCP-species-checked": "notRecommended", "IHCP-species-dilution-info": "", "IHCP-species-notes": "<p></p>", "WB-species-checked": "testedAndGuaranteed", "WB-species-dilution-info": "", "WB-species-notes": "<p></p>" }, "Rat": { "IP-species-checked": "guaranteed", "IP-species-dilution-info": "", "IP-species-notes": "", "FlowCytIntra-species-checked": "notRecommended", "FlowCytIntra-species-dilution-info": "", "FlowCytIntra-species-notes": "", "ICCIF-species-checked": "notRecommended", "ICCIF-species-dilution-info": "", "ICCIF-species-notes": "", "IHCP-species-checked": "notRecommended", "IHCP-species-dilution-info": "", "IHCP-species-notes": "<p></p>", "WB-species-checked": "testedAndGuaranteed", "WB-species-dilution-info": "", "WB-species-notes": "<p></p>" } } }

产品详情

Patented technology
Our RabMAb® technology is a patented hybridoma-based technology for making rabbit monoclonal antibodies. For details on our patents, please refer to RabMAb® patents.

What are the advantages of a recombinant monoclonal antibody?
This product is a recombinant monoclonal antibody, which offers several advantages including:

  • - High batch-to-batch consistency and reproducibility
  • - Improved sensitivity and specificity
  • - Long-term security of supply
  • - Animal-free batch production

For more information, read more on recombinant antibodies.

Conjugation ready
Our carrier-free antibodies are typically supplied in a PBS-only formulation, purified and free of BSA, sodium azide and glycerol. This conjugation-ready format is designed for use with fluorochromes, metal isotopes, oligonucleotides, and enzymes, which makes them ideal for antibody labelling, functional and cell-based assays, flow-based assays (e.g. mass cytometry) and Multiplex Imaging applications.

Use our conjugation kits for antibody conjugates that are ready-to-use in as little as 20 minutes with 1 minute hands-on-time and 100% antibody recovery: available for fluorescent dyes, HRP, biotin and gold.

Compatibility
This product is compatible with the Maxpar® Antibody Labeling Kit from Fluidigm, without the need for antibody preparation. Maxpar® is a trademark of Fluidigm Canada Inc.

性能和储存信息

形式
Liquid
纯化工艺
Affinity purification Protein A
存储溶液
pH: 7.2 - 7.4 Constituents: PBS
运输条件
Blue Ice
推荐的短期储存条件
+4°C
推荐的长期储存条件
+4°C

产品实验方案

For this product, it's our understanding that no specific protocols are required. You can visit:

靶点信息

Critical regulator of endosomal recycling of numerous surface proteins, including integrins, signaling receptor and channels (PubMed : 15121882, PubMed : 15769472). Binds to NPxY sequences in the cytoplasmic tails of target cargos (PubMed : 21512128). Associates with retriever and CCC complexes to prevent lysosomal degradation and promote cell surface recycling of numerous cargos such as integrins ITGB1, ITGB5 and their associated alpha subunits (PubMed : 22492727, PubMed : 28892079). Also required for maintenance of normal cell surface levels of APP and LRP1 (PubMed : 16712798, PubMed : 19005208). Interacts with membranes containing phosphatidylinositol 3-phosphate (PtdIns(3P)) (PubMed : 16712798).
See full target information SNX17

Abcam Product Promise

我们致力于为您的研究提供高质量的试剂,为您科研的每一步提供支持。若我们的产品未能达到预期性能,我们向您提供 Abcam Product Promise 保障。
详情请参阅我们的条款与条件。

Please note: All products are 'FOR RESEARCH USE ONLY. NOT FOR USE IN DIAGNOSTIC OR THERAPEUTIC PROCEDURES'.

For licensing inquiries, please contact partnerships@abcam.com