JavaScript is disabled in your browser. Please enable JavaScript to view this website.
AB200219

Anti-SMOC1 抗体

Anti-SMOC1 antibody

Be the first to review this product! Submit a review

|

(5 Publications)

Rabbit Polyclonal SMOC1 antibody. Suitable for WB, IHC-P and reacts with Human samples. Cited in 5 publications. Immunogen corresponding to Recombinant Fragment Protein within Human SPARC-related modular calcium-binding protein 1 aa 150-400.

查看别名

SPARC-related modular calcium-binding protein 1, Secreted modular calcium-binding protein 1, SMOC-1, SMOC1

2 Images
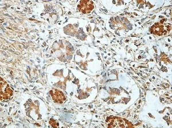
Immunohistochemistry (Formalin/PFA-fixed paraffin-embedded sections) - Anti-SMOC1 antibody (AB200219)
  • IHC-P

Supplier Data

Immunohistochemistry (Formalin/PFA-fixed paraffin-embedded sections) - Anti-SMOC1 antibody (AB200219)

Immunohistochemical analysis of formalin fixed, paraffin embedded human fetal stomach tissue labeling SMOC1 with ab200291 at 1/100.

Western blot - Anti-SMOC1 antibody (AB200219)
  • WB

Supplier Data

Western blot - Anti-SMOC1 antibody (AB200219)

All lanes:

Western blot - Anti-SMOC1 antibody (ab200219) at 1/500 dilution

All lanes:

OV2008 cell lysate

Predicted band size: 48 kDa

false

关键信息

宿主种属

Rabbit

克隆

Polyclonal

亚型

IgG

不含载体蛋白

No

反应种属

Human

应用

WB, IHC-P

applications

免疫原

Recombinant Fragment Protein within Human SPARC-related modular calcium-binding protein 1 aa 150-400. The exact immunogen used to generate this antibody is proprietary information.

Q9H4F8

反应性数据

{ "title": "Reactivity Data", "filters": { "stats": ["", "Species", "Dilution Info", "Notes"], "tabs": { "all-applications": {"fullname" : "All Applications", "shortname": "All Applications"}, "WB" : {"fullname" : "Western blot", "shortname":"WB"}, "IHCP" : {"fullname" : "Immunohistochemistry (Formalin/PFA-fixed paraffin-embedded sections)", "shortname":"IHC-P"} }, "product-promise": { "all": "all", "testedAndGuaranteed": "tested", "guaranteed": "expected", "predicted": "predicted", "notRecommended": "not-recommended" } }, "values": { "Human": { "WB-species-checked": "testedAndGuaranteed", "WB-species-dilution-info": "1/200 - 1/1000", "WB-species-notes": "<p></p>", "IHCP-species-checked": "testedAndGuaranteed", "IHCP-species-dilution-info": "1/100 - 1/500", "IHCP-species-notes": "<p></p>" }, "Mouse": { "WB-species-checked": "predicted", "WB-species-dilution-info": "", "WB-species-notes": "", "IHCP-species-checked": "predicted", "IHCP-species-dilution-info": "", "IHCP-species-notes": "" } } }

性能和储存信息

形式
Lyophilized
复溶
reconstitute with water at 200µL
纯化工艺
Affinity purification Protein A
存储溶液
pH: 7.2 Preservative: 0.02% Sodium azide Constituents: PBS, 1% BSA
运输条件
Blue Ice
推荐的短期储存时间
1-2 weeks
推荐的短期储存条件
+4°C
推荐的长期储存条件
-20°C
分装信息
Upon delivery aliquot
储存信息
Avoid freeze / thaw cycle

补充信息

This supplementary information is collated from multiple sources and compiled automatically.

SPARC-related modular calcium binding 1 (SMOC1) is an extracellular matrix protein coded by the SMOC1 gene. Known also as its full form the protein weighs approximately 59 kDa and consists of several domains including a thyroglobulin type-1 repeat and two EF-hand domains. SMOC1 is widely expressed in various tissues such as the eye bone and skin. Its expression pattern suggests it plays an important role in tissue development and maintenance.
Biological function summary

SMOC1 functions involve regulation of angiogenesis and cellular differentiation. It interacts with the extracellular matrix modulating the assembly and dynamics of structural proteins. SMOC1 sounds interactions with calmodulin and integrins forming part of a larger complex. This complex engagement influences cellular processes like cell migration adhesion and stabilization which are pivotal for development and wound healing.

Pathways

SMOC1 associates with integrin signaling and TGF-beta signaling pathways. These pathways govern processes like cell growth apoptosis and differentiation. SMOC1 modulates the activity of integrins connecting with proteins such as integrin alpha-V beta-3 and transforming growth factor beta (TGF-β). Their relationships indicate SMOC1's involvement in cellular communication and response to environmental changes.

SMOC1 links to conditions like microphthalmia and coloboma as well as bone development disorders. Mutations or dysregulation of SMOC1 impairs normal development indicating its role in ocular and skeletal health. Researchers note connections with proteins like Pax6 which is also involved in eye development. This involvement shows how closely SMOC1 is tied to disorders affecting vision and structural integrity.

产品实验方案

For this product, it's our understanding that no specific protocols are required. You can visit:

靶点信息

Plays essential roles in both eye and limb development. Probable regulator of osteoblast differentiation.
See full target information SPARC-related modular calcium-binding protein 1

文献 (5)

Recent publications for all applications. Explore the full list and refine your search

Acta neuropathologica 148:72 PubMed39585417

2024

SMOC1 colocalizes with Alzheimer's disease neuropathology and delays Aβ aggregation.

Applications

Unspecified application

Species

Unspecified reactive species

Kaleah Balcomb,Caitlin Johnston,Tomas Kavanagh,Dominique Leitner,Julie Schneider,Glenda Halliday,Thomas Wisniewski,Margaret Sunde,Eleanor Drummond

F1000Research 12:1279 PubMed39291144

2024

Identification of high-performing antibodies for SPARC-related modular calcium-binding protein 1 (SMOC-1) for use in Western Blot and immunoprecipitation.

Applications

WB

Species

Human

Riham Ayoubi,Sara González Bolívar,Michael Nicouleau,Kathleen Southern,Carl Laflamme

Acta neuropathologica 148:9 PubMed39039355

2024

Differences in the cerebral amyloid angiopathy proteome in Alzheimer's disease and mild cognitive impairment.

Applications

Unspecified application

Species

Unspecified reactive species

Dominique Leitner,Tomas Kavanagh,Evgeny Kanshin,Kaleah Balcomb,Geoffrey Pires,Manon Thierry,Jianina I Suazo,Julie Schneider,Beatrix Ueberheide,Eleanor Drummond,Thomas Wisniewski

Oncology reports 41:789-800 PubMed30535441

2018

lincRNA‑p21 inhibits the progression of non‑small cell lung cancer via targeting miR‑17‑5p.

Applications

Unspecified application

Species

Unspecified reactive species

Xiang Ao,Ming Jiang,Jie Zhou,Hongling Liang,Haoming Xia,Gang Chen

Oncology letters 16:2903-2910 PubMed30127878

2018

SMOC1 silencing suppresses the angiotensin II-induced myocardial fibrosis of mouse myocardial fibroblasts via affecting the BMP2/Smad pathway.

Applications

Unspecified application

Species

Unspecified reactive species

Yize Wang,Xianming Wu
View all publications

Abcam Product Promise

我们致力于为您的研究提供高质量的试剂,为您科研的每一步提供支持。若我们的产品未能达到预期性能,我们向您提供 Abcam Product Promise 保障。
详情请参阅我们的条款与条件。

Please note: All products are 'FOR RESEARCH USE ONLY. NOT FOR USE IN DIAGNOSTIC OR THERAPEUTIC PROCEDURES'.

For licensing inquiries, please contact partnerships@abcam.com