JavaScript is disabled in your browser. Please enable JavaScript to view this website.
AB244370

Anti-Smad4抗体

Anti-Smad4 antibody

Be the first to review this product! Submit a review

|

(2 Publications)

Rabbit Polyclonal SMAD4 antibody. Suitable for IHC-P, ICC/IF, WB and reacts with Human, Mouse samples. Cited in 2 publications. Immunogen corresponding to Recombinant Fragment Protein within Human SMAD4 aa 100-250.

查看别名

DPC4, MADH4, SMAD4, Mothers against decapentaplegic homolog 4, MAD homolog 4, Mothers against DPP homolog 4, Deletion target in pancreatic carcinoma 4, SMAD family member 4, SMAD 4, Smad4, hSMAD4

7 Images
Immunocytochemistry/ Immunofluorescence - Anti-Smad4 antibody (AB244370)
  • ICC/IF

Supplier Data

Immunocytochemistry/ Immunofluorescence - Anti-Smad4 antibody (AB244370)

Immunofluorescent staining of human cell line A-431 shows Smad4 localization to nucleoplasm, cytosol & centrosome.

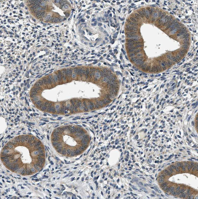
Immunohistochemistry (Formalin/PFA-fixed paraffin-embedded sections) - Anti-Smad4 antibody (AB244370)
  • IHC-P

Supplier Data

Immunohistochemistry (Formalin/PFA-fixed paraffin-embedded sections) - Anti-Smad4 antibody (AB244370)

Immunohistochemistry (Formalin/PFA-fixed paraffin-embedded sections) analysis of human endometrium tissue labelling Smad4 with ab244370 at 1/50 dilution. Heat mediated antigen retrieval performed with citrate buffer pH 6 before commencing with IHC staining protocol.

Western blot - Anti-Smad4 antibody (AB244370)
  • WB

Unknown

Western blot - Anti-Smad4 antibody (AB244370)

All lanes:

Western blot - Anti-Smad4 antibody (ab244370) at 0.04 µg/mL

All lanes:

NIH-3T3 mouse cell line

Predicted band size: 60 kDa

false

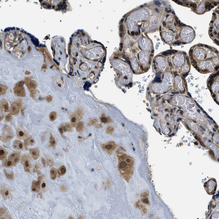
Immunohistochemistry (Formalin/PFA-fixed paraffin-embedded sections) - Anti-Smad4 antibody (AB244370)
  • IHC-P

Unknown

Immunohistochemistry (Formalin/PFA-fixed paraffin-embedded sections) - Anti-Smad4 antibody (AB244370)

Immunohistochemistry (Formalin/PFA-fixed paraffin-embedded sections) analysis of human placenta tissue labelling Smad4 with ab244370 at 1/50 dilution. Heat mediated antigen retrieval performed with citrate buffer pH 6 before commencing with IHC staining protocol.

Immunohistochemistry (Formalin/PFA-fixed paraffin-embedded sections) - Anti-Smad4 antibody (AB244370)
  • IHC-P

Unknown

Immunohistochemistry (Formalin/PFA-fixed paraffin-embedded sections) - Anti-Smad4 antibody (AB244370)

Immunohistochemistry (Formalin/PFA-fixed paraffin-embedded sections) analysis of human testis tissue labelling Smad4 with ab244370 at 1/50 dilution. Heat mediated antigen retrieval performed with citrate buffer pH 6 before commencing with IHC staining protocol.

Western blot - Anti-Smad4 antibody (AB244370)
  • WB

Unknown

Western blot - Anti-Smad4 antibody (AB244370)

All lanes:

Western blot - Anti-Smad4 antibody (ab244370) at 0.4 µg/mL

All lanes:

SCLC-21H cell lysate

Predicted band size: 60 kDa

false

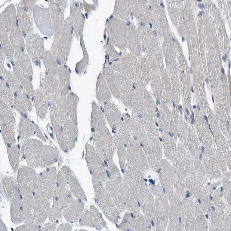
Immunohistochemistry (Formalin/PFA-fixed paraffin-embedded sections) - Anti-Smad4 antibody (AB244370)
  • IHC-P

Supplier Data

Immunohistochemistry (Formalin/PFA-fixed paraffin-embedded sections) - Anti-Smad4 antibody (AB244370)

Immunohistochemistry (Formalin/PFA-fixed paraffin-embedded sections) analysis of human skeletal muscle tissue labelling Smad4 with ab244370 at 1/50 dilution. Heat mediated antigen retrieval performed with citrate buffer pH 6 before commencing with IHC staining protocol.

关键信息

宿主种属

Rabbit

克隆

Polyclonal

亚型

IgG

不含载体蛋白

No

反应种属

Mouse, Human

应用

ICC/IF, WB, IHC-P

applications

免疫原

Recombinant Fragment Protein within Human SMAD4 aa 100-250. The exact immunogen used to generate this antibody is proprietary information.

Q13485

反应性数据

{ "title": "Reactivity Data", "filters": { "stats": ["", "Species", "Dilution Info", "Notes"], "tabs": { "all-applications": {"fullname" : "All Applications", "shortname": "All Applications"}, "IHCP" : {"fullname" : "Immunohistochemistry (Formalin/PFA-fixed paraffin-embedded sections)", "shortname":"IHC-P"}, "ICCIF" : {"fullname" : "Immunocytochemistry/ Immunofluorescence", "shortname":"ICC/IF"}, "WB" : {"fullname" : "Western blot", "shortname":"WB"} }, "product-promise": { "all": "all", "testedAndGuaranteed": "tested", "guaranteed": "expected", "predicted": "predicted", "notRecommended": "not-recommended" } }, "values": { "Human": { "IHCP-species-checked": "testedAndGuaranteed", "IHCP-species-dilution-info": "1/50.00000 - 1/200.00000", "IHCP-species-notes": "<p></p>", "ICCIF-species-checked": "testedAndGuaranteed", "ICCIF-species-dilution-info": "0.25000-2.00000 µg/mL", "ICCIF-species-notes": "<p>Fixation/Permeabilization: PFA/Triton X-100.</p>", "WB-species-checked": "testedAndGuaranteed", "WB-species-dilution-info": "0.04000-0.40000 µg/mL", "WB-species-notes": "<p></p>" }, "Mouse": { "IHCP-species-checked": "guaranteed", "IHCP-species-dilution-info": "", "IHCP-species-notes": "", "ICCIF-species-checked": "testedAndGuaranteed", "ICCIF-species-dilution-info": "0.25000-2.00000 µg/mL", "ICCIF-species-notes": "<p>Fixation/Permeabilization: PFA/Triton X-100.</p>", "WB-species-checked": "testedAndGuaranteed", "WB-species-dilution-info": "0.04000-0.40000 µg/mL", "WB-species-notes": "<p></p>" }, "Cow": { "IHCP-species-checked": "predicted", "IHCP-species-dilution-info": "", "IHCP-species-notes": "", "ICCIF-species-checked": "predicted", "ICCIF-species-dilution-info": "", "ICCIF-species-notes": "", "WB-species-checked": "predicted", "WB-species-dilution-info": "", "WB-species-notes": "" }, "Pig": { "IHCP-species-checked": "predicted", "IHCP-species-dilution-info": "", "IHCP-species-notes": "", "ICCIF-species-checked": "predicted", "ICCIF-species-dilution-info": "", "ICCIF-species-notes": "", "WB-species-checked": "predicted", "WB-species-dilution-info": "", "WB-species-notes": "" } } }

您可能对以下产品感兴趣:

AB253211

Human SMAD4 ELISA Kit

0

0 Reviews

查看产品
为什么推荐这个?

我们推荐这个产品,因为它经常被用于相同的实验或相关的研究。

我们建议您务必查阅产品说明书,以确认其是否符合您的实验需求;若有疑问,也可联系我们的技术团队获取协助。

性能和储存信息

形式
Liquid
纯化工艺
Affinity purification Immunogen
存储溶液
pH: 7.2 Preservative: 0.02% Sodium azide Constituents: PBS, 40% Glycerol (glycerin, glycerine)
运输条件
Blue Ice
推荐的短期储存时间
1-2 weeks
推荐的短期储存条件
+4°C
推荐的长期储存条件
-20°C
分装信息
Upon delivery aliquot
储存信息
Avoid freeze / thaw cycle

补充信息

This supplementary information is collated from multiple sources and compiled automatically.

Smad4 also known as DPC4 or MADH4 is a central protein in the TGF-beta signaling pathway with a molecular mass of approximately 60 kDa. It acts as a signal transducer that facilitates communication from the cell surface to the nucleus. Smad4 is broadly expressed in various tissues playing an important role in the regulation of cellular processes. It forms a complex with receptor-regulated Smads (R-Smads) to translocate to the nucleus where it influences gene transcription.
Biological function summary

Smad4 influences cell proliferation differentiation and apoptosis by mediating signals from TGF-beta cytokines. It is part of the Smad protein family acting as a transcriptional controller. Upon TGF-beta receptor activation Smad4 forms complexes with Smad2 and Smad3 translocating to the nucleus to regulate genes imperative for cellular homeostasis. Its role in cell cycle regulation underlines its contribution to normal cellular functions and its potential involvement in disorders.

Pathways

Smad4 operates within the TGF-beta pathway linking extracellular signals to nuclear transcription alterations. It participates in the regulation of epithelial-mesenchymal transition (EMT) a process important for development and tumor progression. In these pathways Smad4 interacts closely with Smad2 and Smad3 orchestrating various cellular responses to external stimuli through transcriptional management.

Smad4 is highly related to cancer and juvenile polyposis syndrome. Mutations or deletions in Smad4 disrupt its function contributing to the progression of pancreatic cancer and colorectal cancer among others. Within these contexts Smad4 connects strongly to other proteins like p21 and cyclin-dependent kinase inhibitors which are important in cell cycle arrest and impede tumor growth.

产品实验方案

For this product, it's our understanding that no specific protocols are required. You can visit:

靶点信息

In muscle physiology, plays a central role in the balance between atrophy and hypertrophy. When recruited by MSTN, promotes atrophy response via phosphorylated SMAD2/4. MSTN decrease causes SMAD4 release and subsequent recruitment by the BMP pathway to promote hypertrophy via phosphorylated SMAD1/5/8. Acts synergistically with SMAD1 and YY1 in bone morphogenetic protein (BMP)-mediated cardiac-specific gene expression. Binds to SMAD binding elements (SBEs) (5'-GTCT/AGAC-3') within BMP response element (BMPRE) of cardiac activating regions (By similarity). Common SMAD (co-SMAD) is the coactivator and mediator of signal transduction by TGF-beta (transforming growth factor). Component of the heterotrimeric SMAD2/SMAD3-SMAD4 complex that forms in the nucleus and is required for the TGF-mediated signaling (PubMed : 25514493). Promotes binding of the SMAD2/SMAD4/FAST-1 complex to DNA and provides an activation function required for SMAD1 or SMAD2 to stimulate transcription. Component of the multimeric SMAD3/SMAD4/JUN/FOS complex which forms at the AP1 promoter site; required for synergistic transcriptional activity in response to TGF-beta. May act as a tumor suppressor. Positively regulates PDPK1 kinase activity by stimulating its dissociation from the 14-3-3 protein YWHAQ which acts as a negative regulator.
See full target information SMAD4

文献 (2)

Recent publications for all applications. Explore the full list and refine your search

Phytomedicine : international journal of phytotherapy and phytopharmacology 83:153481 PubMed33607460

2021

Apigenin suppresses TGF-β1-induced cardiac fibroblast differentiation and collagen synthesis through the downregulation of HIF-1α expression by miR-122-5p.

Applications

Unspecified application

Species

Unspecified reactive species

Wang Feng,Zhao Ying,Fan Ke,Xie Mei-Lin

Molecular therapy. Nucleic acids 23:200-214 PubMed33376627

2020

SOX2-Upregulated microRNA-30e Promotes the Progression of Esophageal Cancer via Regulation of the USP4/SMAD4/CK2 Axis.

Applications

Unspecified application

Species

Unspecified reactive species

Yang Yang,Xin Fan,Yukai Ren,Kai Wu,Xiangyu Tian,Fengbiao Wen,Donglei Liu,Yuxia Fan,Song Zhao
View all publications

Abcam Product Promise

我们致力于为您的研究提供高质量的试剂,为您科研的每一步提供支持。若我们的产品未能达到预期性能,我们向您提供 Abcam Product Promise 保障。
详情请参阅我们的条款与条件。

关联产品

Select an associated product type
Alternative Product
Primary Antibodies

AB228205

Anti-Smad4 antibody [SP306] - C-terminal, prediluted

primary-antibodies

smad4-antibody-sp306-c-terminal-prediluted-ab228205

0

(0 reviews)

Alternative Product
Primary Antibodies

AB195554

HRP Anti-Smad4 antibody [EP618Y]

primary-antibodies

hrp-smad4-antibody-ep618y-ab195554

0

(0 reviews)

Alternative Product
Primary Antibodies

AB40759

Anti-Smad4 antibody [EP618Y]

primary-antibodies

smad4-antibody-ep618y-ab40759

4

(9 reviews)

Alternative Product
Primary Antibodies

AB215968

Anti-Smad4 antibody [EP618Y] - BSA and Azide free

primary-antibodies

smad4-antibody-ep618y-bsa-and-azide-free-ab215968

0

(0 reviews)

Alternative Product
Primary Antibodies

AB217267

Anti-Smad4 antibody [SP306] - C-terminal

primary-antibodies

smad4-antibody-sp306-c-terminal-ab217267

0

(0 reviews)

Alternative Product
Primary Antibodies

AB243929

Anti-Smad4 antibody [SP306] - BSA and Azide free

primary-antibodies

smad4-antibody-sp306-bsa-and-azide-free-ab243929

0

(0 reviews)

Please note: All products are 'FOR RESEARCH USE ONLY. NOT FOR USE IN DIAGNOSTIC OR THERAPEUTIC PROCEDURES'.

For licensing inquiries, please contact partnerships@abcam.com