JavaScript is disabled in your browser. Please enable JavaScript to view this website.
AB208776

重组Anti-SLC7A5/LAT1抗体[EPR17573]

Anti-SLC7A5/LAT1 antibody [EPR17573]

Be the first to review this product! Submit a review

|

(16 Publications)

Rabbit Recombinant Monoclonal SLC7A5/LAT1 antibody. Suitable for IHC-P and reacts with Human samples. Cited in 16 publications.

查看别名

CD98LC, LAT1, MPE16, SLC7A5, Large neutral amino acids transporter small subunit 1, 4F2 light chain, CD98 light chain, Integral membrane protein E16, L-type amino acid transporter 1, Solute carrier family 7 member 5, y+ system cationic amino acid transporter, 4F2 LC, 4F2LC, E16, hLAT1

4 Images
Immunohistochemistry (Formalin/PFA-fixed paraffin-embedded sections) - Anti-SLC7A5/LAT1 antibody [EPR17573] (AB208776)
  • IHC-P

Supplier Data

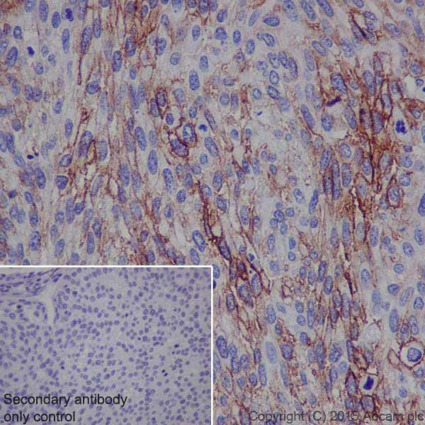
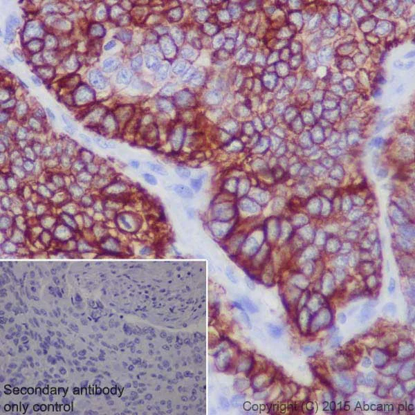
Immunohistochemistry (Formalin/PFA-fixed paraffin-embedded sections) - Anti-SLC7A5/LAT1 antibody [EPR17573] (AB208776)

Immunohistochemical analysis of paraffin-embedded human cervix cancer tissue labeling SLC7A5/LAT1 with ab208776 at 1/500 dilution, followed by Goat Anti-Rabbit IgG H&L (HRP) (ab97051) at 1/500 dilution.

Membrane staining on tumor cells of human cervix cancer is observed.

Counter stained with Hematoxylin.

Secondary antibody only control : Used PBS instead of primary antibody, secondary antibody is Goat Anti-Rabbit IgG H&L (HRP) (ab97051) at 1/500 dilution.

Perform heat mediated antigen retrieval with Tris/EDTA buffer pH 9.0 before commencing with IHC staining protocol.

Immunohistochemistry (Formalin/PFA-fixed paraffin-embedded sections) - Anti-SLC7A5/LAT1 antibody [EPR17573] (AB208776)
  • IHC-P

Supplier Data

Immunohistochemistry (Formalin/PFA-fixed paraffin-embedded sections) - Anti-SLC7A5/LAT1 antibody [EPR17573] (AB208776)

Immunohistochemical analysis of paraffin-embedded human lung squamous carcinoma tissue labeling SLC7A5/LAT1 with ab208776 at 1/500 dilution, followed by Goat Anti-Rabbit IgG H&L (HRP) (ab97051) at 1/500 dilution.

Membrane and cytoplasm staining on tumor cells of human lung squamous carcinoma is observed.

Counter stained with Hematoxylin.

Secondary antibody only control : Used PBS instead of primary antibody, secondary antibody is Goat Anti-Rabbit IgG H&L (HRP) (ab97051) at 1/500 dilution.

Perform heat mediated antigen retrieval with Tris/EDTA buffer pH 9.0 before commencing with IHC staining protocol.

Immunohistochemistry (Formalin/PFA-fixed paraffin-embedded sections) - Anti-SLC7A5/LAT1 antibody [EPR17573] (AB208776)
  • IHC-P

Supplier Data

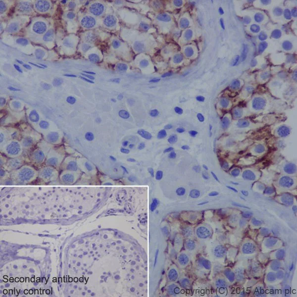
Immunohistochemistry (Formalin/PFA-fixed paraffin-embedded sections) - Anti-SLC7A5/LAT1 antibody [EPR17573] (AB208776)

Immunohistochemical analysis of paraffin-embedded human testis tissue labeling SLC7A5/LAT1 with ab208776 at 1/500 dilution, followed by Goat Anti-Rabbit IgG H&L (HRP) (ab97051) at 1/500 dilution.

Membrane staining on human testis is observed.

Counter stained with Hematoxylin.

Secondary antibody only control : Used PBS instead of primary antibody, secondary antibody is Goat Anti-Rabbit IgG H&L (HRP) (ab97051) at 1/500 dilution.

Perform heat mediated antigen retrieval with Tris/EDTA buffer pH 9.0 before commencing with IHC staining protocol.

Immunohistochemistry (Formalin/PFA-fixed paraffin-embedded sections) - Anti-SLC7A5/LAT1 antibody [EPR17573] (AB208776)
  • IHC-P

Supplier Data

Immunohistochemistry (Formalin/PFA-fixed paraffin-embedded sections) - Anti-SLC7A5/LAT1 antibody [EPR17573] (AB208776)

Immunohistochemical analysis of paraffin-embedded human cerebral cortex tissue labeling SLC7A5/LAT1 with ab208776 at 1/500 dilution, followed by Goat Anti-Rabbit IgG H&L (HRP) (ab97051) at 1/500 dilution.

Membrane staining on blood vessel of human cerebral cortex is observed.

Counter stained with Hematoxylin.

Secondary antibody only control : Used PBS instead of primary antibody, secondary antibody is Goat Anti-Rabbit IgG H&L (HRP) (ab97051) at 1/500 dilution.

Perform heat mediated antigen retrieval with Tris/EDTA buffer pH 9.0 before commencing with IHC staining protocol.

不同偶联物与剂型 (2)

  • Carrier free

    Anti-SLC7A5/LAT1 antibody [EPR17573] - BSA and Azide free

  • Biotin

    Biotin Anti-SLC7A5/LAT1 antibody [EPR17573]

关键信息

宿主种属

Rabbit

克隆

Monoclonal

克隆号

EPR17573

亚型

IgG

不含载体蛋白

No

反应种属

Human

应用

IHC-P

applications

免疫原

The exact immunogen used to generate this antibody is proprietary information.

反应性数据

{ "title": "Reactivity Data", "filters": { "stats": ["", "Species", "Dilution Info", "Notes"], "tabs": { "all-applications": {"fullname" : "All Applications", "shortname": "All Applications"}, "IHCP" : {"fullname" : "Immunohistochemistry (Formalin/PFA-fixed paraffin-embedded sections)", "shortname":"IHC-P"} }, "product-promise": { "all": "all", "testedAndGuaranteed": "tested", "guaranteed": "expected", "predicted": "predicted", "notRecommended": "not-recommended" } }, "values": { "Human": { "IHCP-species-checked": "testedAndGuaranteed", "IHCP-species-dilution-info": "1/500", "IHCP-species-notes": "<p></p>" } } }

您可能对以下产品感兴趣:

AB211098

Tryptophan Assay Kit (Fluorometric)

0

0 Reviews

查看产品
为什么推荐这个?

我们推荐这个产品,因为它经常被用于相同的实验或相关的研究。

我们建议您务必查阅产品说明书,以确认其是否符合您的实验需求;若有疑问,也可联系我们的技术团队获取协助。

产品详情

性能和储存信息

形式
Liquid
纯化工艺
Affinity purification Protein A
存储溶液
pH: 7.2 - 7.4 Preservative: 0.01% Sodium azide Constituents: 59% PBS, 40% Glycerol (glycerin, glycerine), 0.05% BSA
运输条件
Blue Ice
推荐的短期储存时间
1-2 weeks
推荐的短期储存条件
+4°C
推荐的长期储存条件
-20°C
分装信息
Upon delivery aliquot
储存信息
Avoid freeze / thaw cycle

补充信息

This supplementary information is collated from multiple sources and compiled automatically.

The SLC7A5/LAT1 or LAT1 transporter also known as the large neutral amino acid transporter small subunit 1 plays an important role in facilitating the transport of large neutral amino acids across cell membranes. LAT1 is a heterodimer with a heavy chain known usually as SLC3A2 forming a functional transporter which is around 40-50 kDa in mass. LAT1 is highly expressed in tissues with high metabolic rates like the brain placenta and some cancer cells making it important for nutrient transport in these areas.
Biological function summary

The LAT1 transporter mediates the uptake of essential amino acids which are critical for protein synthesis and cellular metabolism. It functions as part of the LAT1-SLC3A2 heterodimer complex ensuring effective transport across the blood-brain barrier and into other metabolically active tissues. This activity supports cellular growth and proliferation underlining its importance in rapidly dividing cells such as in cancer.

Pathways

LAT1 plays a critical role in the mTOR signaling pathway which is central to regulating cell growth and metabolism in response to nutrient availability. LAT1's transport function influences the activation of mTORC1 by ensuring a steady supply of leucine an amino acid that activates this complex. LAT1 is also integral to the cross-pathway interaction with the insulin signaling pathway enhancing nutrient-dependent growth signals in conjunction with other transporters.

Abnormal LAT1 function links closely with cancer and neurological disorders. Its overexpression often marks various tumors where it supports cancer cell survival by sustaining amino acid supply often in conjunction with increased SLC3A2 expression. In neurological contexts LAT1 impairments can contribute to disorders involving neurotransmitter imbalances as it participates in amino acid transport critical for neurotransmitter synthesis.

产品实验方案

For this product, it's our understanding that no specific protocols are required. You can visit:

靶点信息

The heterodimer with SLC3A2 functions as a sodium-independent, high-affinity transporter that mediates uptake of large neutral amino acids such as phenylalanine, tyrosine, leucine, histidine, methionine, tryptophan, valine, isoleucine and alanine (PubMed : 10049700, PubMed : 10574970, PubMed : 11557028, PubMed : 11564694, PubMed : 12117417, PubMed : 12225859, PubMed : 15769744, PubMed : 18262359, PubMed : 25998567, PubMed : 30867591, PubMed : 9751058). The heterodimer with SLC3A2 mediates the uptake of L-DOPA (By similarity). Functions as an amino acid exchanger (PubMed : 11557028, PubMed : 12117417, PubMed : 12225859, PubMed : 30867591). May play a role in the transport of L-DOPA across the blood-brain barrier (By similarity). May act as the major transporter of tyrosine in fibroblasts (Probable). May mediate blood-to-retina L-leucine transport across the inner blood-retinal barrier (By similarity). Can mediate the transport of thyroid hormones diiodothyronine (T2), triiodothyronine (T3) and thyroxine (T4) across the cell membrane (PubMed : 11564694). When associated with LAPTM4B, the heterodimer formed by SLC3A2 and SLC7A5 is recruited to lysosomes to promote leucine uptake into these organelles, and thereby mediates mTORC1 activation (PubMed : 25998567). Involved in the uptake of toxic methylmercury (MeHg) when administered as the L-cysteine or D,L-homocysteine complexes (PubMed : 12117417). Involved in the cellular activity of small molecular weight nitrosothiols, via the stereoselective transport of L-nitrosocysteine (L-CNSO) across the membrane (PubMed : 15769744).. (Microbial infection) In case of hepatitis C virus/HCV infection, the complex formed by SLC3A2 and SLC7A5/LAT1 plays a role in HCV propagation by facilitating viral entry into host cell and increasing L-leucine uptake-mediated mTORC1 signaling activation, thereby contributing to HCV-mediated pathogenesis.
See full target information SLC7A5

文献 (16)

Recent publications for all applications. Explore the full list and refine your search

Nature communications 14:6777 PubMed37880212

2023

Mutant p53 sustains serine-glycine synthesis and essential amino acids intake promoting breast cancer growth.

Applications

Unspecified application

Species

Unspecified reactive species

Camilla Tombari,Alessandro Zannini,Rebecca Bertolio,Silvia Pedretti,Matteo Audano,Luca Triboli,Valeria Cancila,Davide Vacca,Manuel Caputo,Sara Donzelli,Ilenia Segatto,Simone Vodret,Silvano Piazza,Alessandra Rustighi,Fiamma Mantovani,Barbara Belletti,Gustavo Baldassarre,Giovanni Blandino,Claudio Tripodo,Silvio Bicciato,Nico Mitro,Giannino Del Sal

Oncology letters 25:171 PubMed36970606

2023

LAT1 is associated with poor prognosis and radioresistance in head and neck squamous cell carcinoma.

Applications

Unspecified application

Species

Unspecified reactive species

Yohei Kawasaki,Hitomi Suzuki,Masahito Miura,Haruka Hatakeyama,Shinsuke Suzuki,Takechiyo Yamada,Maya Suzuki,Ayumi Ito,Yasufumi Omori

Journal of mammary gland biology and neoplasia 28:3 PubMed36801983

2023

Valine Treatment Enhances Antimicrobial Component Production in Mammary Epithelial Cells and the Milk of Lactating Goats Without Influencing the Tight Junction Barrier.

Applications

Unspecified application

Species

Unspecified reactive species

Yusaku Tsugami,Takahiro Nii,Naoki Isobe

Cancers 14: PubMed35267513

2022

Impact of Exogenous Treatment with Histidine on Hepatocellular Carcinoma Cells.

Applications

Unspecified application

Species

Unspecified reactive species

Yusun Park,Yeonju Han,Dongwoo Kim,Sua Cho,WonJin Kim,Hyemin Hwang,Hye Won Lee,Dai Hoon Han,Kyung Sik Kim,Mijin Yun,Misu Lee

Pflugers Archiv : European journal of physiology 474:397-403 PubMed35048187

2022

Neuronal allodynic mechanisms of Slc7a5 (LAT1) in the spared nerve injury rodent model of neuropathic pain.

Applications

Unspecified application

Species

Unspecified reactive species

Aleyah E Goins,Kimberly Gomez,Dongzhi Ran,Mitra Afaghpour-Becklund,Rajesh Khanna,Sascha R A Alles

Clinical and experimental dermatology 47:910-917 PubMed34856000

2022

Increased expression of LAT1 in basal cell carcinoma: implications for tumour cell survival.

Applications

Unspecified application

Species

Unspecified reactive species

S Prosén,E Tina,A H Sneckenborg,C Loinder,O Seifert,M Lindberg,A G Eremo

Oncology reports 47: PubMed34792178

2021

SLC7A5 is linked to increased expression of genes related to proliferation and hypoxia in estrogen‑receptor‑positive breast cancer.

Applications

Unspecified application

Species

Unspecified reactive species

Rasmus Törnroos,Elisabet Tina,Anna Göthlin Eremo

Molecular cancer therapeutics 20:2110-2116 PubMed34635566

2021

A Novel Brain-Permeant Chemotherapeutic Agent for the Treatment of Brain Metastasis in Triple-Negative Breast Cancer.

Applications

Unspecified application

Species

Unspecified reactive species

Jiaojiao Deng,Sophia B Chernikova,Yuelong Wang,Mirna L Rodriguez,Stephanie J Andersen,Maxine C Umeh-Garcia,Bryanna O Godfrey,Saman S Ahmadian,Wolf-Nicolas Fischer,Kerry J Koller,Bernd Jandeleit,Gordon M Ringold,Melanie Hayden Gephart

Frontiers in endocrinology 12:664839 PubMed34122338

2021

Decreased Expression of Ileal Thyroid Hormone Transporters in a Hypothyroid Patient: A Case Report.

Applications

Unspecified application

Species

Unspecified reactive species

Chae Won Chung,Eun Young Mo,Gyung Seo Jung,Yoo Hyung Kim,Sun Wook Cho,Do Joon Park,Jeong Mo Bae,Young Joo Park

Molecular cell 81:1170-1186.e10 PubMed33571422

2021

The IMiD target CRBN determines HSP90 activity toward transmembrane proteins essential in multiple myeloma.

Applications

Unspecified application

Species

Unspecified reactive species

Michael Heider,Ruth Eichner,Jacob Stroh,Volker Morath,Anna Kuisl,Jana Zecha,Jannis Lawatscheck,Kheewoong Baek,Anne-Kathrin Garz,Martina Rudelius,Friedrich-Christian Deuschle,Ulrich Keller,Simone Lemeer,Mareike Verbeek,Katharina S Götze,Arne Skerra,Wolfgang A Weber,Johannes Buchner,Brenda A Schulman,Bernhard Kuster,Vanesa Fernández-Sáiz,Florian Bassermann
View all publications

Abcam Product Promise

我们致力于为您的研究提供高质量的试剂,为您科研的每一步提供支持。若我们的产品未能达到预期性能,我们向您提供 Abcam Product Promise 保障。
详情请参阅我们的条款与条件。

关联产品

Select an associated product type
Alternative Product
Primary Antibodies

AB99419

Anti-SLC7A5/LAT1 antibody

primary-antibodies

slc7a5-lat1-antibody-ab99419

0

(1 reviews)

Alternative Product
Primary Antibodies

AB140844

Anti-SLC7A5/LAT1 antibody

primary-antibodies

slc7a5-lat1-antibody-ab140844

0

(0 reviews)

Please note: All products are 'FOR RESEARCH USE ONLY. NOT FOR USE IN DIAGNOSTIC OR THERAPEUTIC PROCEDURES'.

For licensing inquiries, please contact partnerships@abcam.com