JavaScript is disabled in your browser. Please enable JavaScript to view this website.
AB199719

重组Anti-SLC27A4 / FATP4抗体[EPR17319] - C-terminal

Anti-SLC27A4 / FATP4 antibody [EPR17319] - C-terminal

5

(1 Review)

|

(11 Publications)

Rabbit Recombinant Monoclonal SLC27A4 / FATP4 antibody. C-terminal. Suitable for IP, WB, ICC/IF, IHC-P and reacts with Human samples. Cited in 11 publications.

查看别名

ACSVL4, FATP4, SLC27A4, Long-chain fatty acid transport protein 4, FATP-4, Fatty acid transport protein 4, Arachidonate--CoA ligase, Long-chain-fatty-acid--CoA ligase, Solute carrier family 27 member 4, Very long-chain acyl-CoA synthetase 4

7 Images
Immunohistochemistry (Formalin/PFA-fixed paraffin-embedded sections) - Anti-SLC27A4 / FATP4 antibody [EPR17319] - C-terminal (AB199719)
  • IHC-P

Supplier Data

Immunohistochemistry (Formalin/PFA-fixed paraffin-embedded sections) - Anti-SLC27A4 / FATP4 antibody [EPR17319] - C-terminal (AB199719)

Immunohistochemical analysis of paraffin-embedded Human kidney tissue labeling SLC27A4 / FATP4 with ab199719 at 1/100 dilution followed by Goat Anti-Rabbit IgG H&L (HRP) (ab97051) at 1/500 dilution. Cytoplasm staining on Human kidney tissue is observed. Counter stained with Hematoxylin.
Negative control : Used PBS instead of primary antibody secondary antibody is Goat Anti-Rabbit IgG H&L (HRP) (ab97051).

Perform heat mediated antigen retrieval with Tris/EDTA buffer pH 9.0 before commencing with IHC staining protocol.

Immunocytochemistry/ Immunofluorescence - Anti-SLC27A4 / FATP4 antibody [EPR17319] - C-terminal (AB199719)
  • ICC/IF

Lab

Immunocytochemistry/ Immunofluorescence - Anti-SLC27A4 / FATP4 antibody [EPR17319] - C-terminal (AB199719)

Immunofluorescent analysis of 4% paraformaldehyde-fixed, 0.1% Triton X-100 permeabilized HepG2 (Human liver hepatocellular carcinoma) cells labeling SLC27A4 / FATP4 with ab199719 at 1/100 dilution, followed by Goat anti-rabbit IgG (Alexa Fluor® 488) (ab150077) secondary antibody at 1/500 dilution (green). Cytoplasm staining on HepG2 cell line is observed. The nuclear counterstain is DAPI (blue). Tubulin is detected with ab7291 (anti-Tubulin mouse mAb) at 1/1000 dilution and ab150120 (AlexaFluor®594 Goat anti-Mouse secondary) at 1/500 dilution (red).
The negative controls are as follows : -
-ve control 1 : ab199719 at 1/100 dilution followed by ab150120 (AlexaFluor®594 Goat anti-Mouse secondary) at 1/500 dilution.
-ve control 2 : ab7291 (anti-Tubulin mouse mAb) at 1/1000 dilution followed by ab150077 (Alexa Fluor®488 Goat Anti-Rabbit IgG H&L) at 1/500 dilution.

Immunoprecipitation - Anti-SLC27A4 / FATP4 antibody [EPR17319] - C-terminal (AB199719)
  • IP

Supplier Data

Immunoprecipitation - Anti-SLC27A4 / FATP4 antibody [EPR17319] - C-terminal (AB199719)

SLC27A4 / FATP4 was immunoprecipitated from 1mg of HEK293 (Human embryonic kidney) whole cell lysate with ab199719 at 1/50 dilution. Western blot was performed from the immunoprecipitate using ab199719 at 1/5000 dilution. Anti-Rabbit IgG (HRP), specific to the non-reduced form of IgG, was used as secondary antibody at 1/1500 dilution.

Lane 1 : HEK293 whole cell lysate 10μg (Input). Lane 2 : HEK293 whole cell lysate following IP. Lane 3 : Rabbit monoclonal IgG (ab172730) instead of ab199719 in HEK293 whole cell lysate.

Blocking and dilution buffer and concentration : 5% NFDM/TBST.

Exposure is 3 minutes.

All lanes:

Immunoprecipitation - Anti-SLC27A4 / FATP4 antibody [EPR17319] - C-terminal (ab199719)

Predicted band size: 72 kDa

Observed band size: 72 kDa

false

Western blot - Anti-SLC27A4 / FATP4 antibody [EPR17319] - C-terminal (AB199719)
  • WB

Supplier Data

Western blot - Anti-SLC27A4 / FATP4 antibody [EPR17319] - C-terminal (AB199719)

Lane 1 : Wild-type HAP1 cell lysate (20 μg)
Lane 2 : SLC27A4/FATP4 knockout HAP1 cell lysate (20 μg)
Lane 3 : HEK293 cell lysate (20 μg)
Lane 4 : HepG2 cell lysate (20 μg)
Lanes 1 - 4 : Merged signal (red and green). Green - ab199719 observed at 70 kDa. Red - loading control, ab8245, observed at 37 kDa.
ab199719 was shown to specifically react with SLC27A4/FATP4 when SLC27A4/FATP4 knockout samples were used. Wild-type and SLC27A4/FATP4 knockout samples were subjected to SDS-PAGE. ab199719 and ab8245 (loading control to GAPDH) were diluted 1/2000 and 1/10000 respectively and incubated overnight at 4°C. Blots were developed with Goat anti-Rabbit IgG H&L (IRDye® 800CW) preadsorbed (ab216773) and Goat anti-Mouse IgG H&L (IRDye® 680RD) preadsorbed (ab216776) secondary antibodies at 1/10000 dilution for 1 h at room temperature before imaging.

All lanes:

Western blot - Anti-SLC27A4 / FATP4 antibody [EPR17319] - C-terminal (ab199719)

Predicted band size: 72 kDa

false

Western blot - Anti-SLC27A4 / FATP4 antibody [EPR17319] - C-terminal (AB199719)
  • WB

Supplier Data

Western blot - Anti-SLC27A4 / FATP4 antibody [EPR17319] - C-terminal (AB199719)

Blocking/dilution buffer : 5% NFDM/TBST.

All lanes:

Western blot - Anti-SLC27A4 / FATP4 antibody [EPR17319] - C-terminal (ab199719) at 1/10000 dilution

Lane 1:

HeLa (Human epithelial cells from cervix adenocarcinoma) whole cell lysate at 10 µg

Lane 2:

HepG2 (Human liver hepatocellular carcinoma) whole cell lysate at 10 µg

Lane 3:

HEK293 (Human embryonic kidney) whole cell lysate at 10 µg

Secondary

All lanes:

Goat Anti-Rabbit IgG, (H+L), Peroxidase conjugated at 1/1000 dilution

Predicted band size: 72 kDa

Observed band size: 72 kDa

false

Exposure time: 1min

Western blot - Anti-SLC27A4 / FATP4 antibody [EPR17319] - C-terminal (AB199719)
  • WB

Lab

Western blot - Anti-SLC27A4 / FATP4 antibody [EPR17319] - C-terminal (AB199719)

Lanes 1-4 : Merged signal (red and green). Green - ab199719 observed at 72 kDa. Red - loading control ab8245 observed at 36 kDa.

ab199719 Anti-SLC27A4 / FATP4 antibody [EPR17319] - C-terminal was shown to specifically react with SLC27A4 / FATP4 in wild-type HEK293T cells. Loss of signal was observed when knockout cell line ab266114 (knockout cell lysate ab257677) was used. Wild-type and SLC27A4 / FATP4 knockout samples were subjected to SDS-PAGE. ab199719 and Anti-GAPDH antibody [6C5] - Loading Control (ab8245) were incubated overnight at 4°C at 1 in 1000 dilution and 1 in 20000 dilution respectively. Blots were developed with Goat anti-Rabbit IgG H&L (IRDye® 800CW) preadsorbed (ab216773) and Goat anti-Mouse IgG H&L (IRDye® 680RD) preadsorbed (ab216776) secondary antibodies at 1 in 20000 dilution for 1 hour at room temperature before imaging.

All lanes:

Western blot - Anti-SLC27A4 / FATP4 antibody [EPR17319] - C-terminal (ab199719) at 1/1000 dilution

Lane 1:

Wild-type HEK293T cell lysate at 20 µg

Lane 2:

SLC27A4 knockout HEK293T cell lysate at 20 µg

Lane 2:

Western blot - Human SLC27A4 (FATP4) knockout HEK-293T cell line (<a href='/products/cell-lines/human-slc27a4-fatp4-knockout-hek-293t-cell-line-ab266114'>ab266114</a>)

Lane 3:

HepG2 cell lysate at 20 µg

Lane 4:

HEK-293 cell lysate at 20 µg

Secondary

All lanes:

Western blot - Goat anti-Rabbit IgG H&L (IRDye® 800CW) preadsorbed (<a href='/products/secondary-antibodies/goat-rabbit-igg-h-l-irdye-800cw-preadsorbed-ab216773'>ab216773</a>) at 1/10000 dilution

Predicted band size: 72 kDa

Observed band size: 72 kDa

false

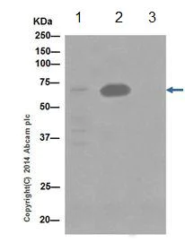
Western blot - Anti-SLC27A4 / FATP4 antibody [EPR17319] - C-terminal (AB199719)
  • WB

Supplier Data

Western blot - Anti-SLC27A4 / FATP4 antibody [EPR17319] - C-terminal (AB199719)

Blocking/dilution buffer : 5% NFDM/TBST.

All lanes:

Western blot - Anti-SLC27A4 / FATP4 antibody [EPR17319] - C-terminal (ab199719) at 1/2000 dilution

Lane 1:

Human fetal brain at 10 µg

Lane 2:

Human fetal kidney at 10 µg

Secondary

All lanes:

Anti-Rabbit IgG (HRP), specific to the non-reduced form of IgG at 1/1000 dilution

Predicted band size: 72 kDa

Observed band size: 72 kDa

false

Exposure time: 1min

不同偶联物与剂型 (1)

  • Carrier free

    Anti-SLC27A4 / FATP4 antibody [EPR17319] - BSA and Azide free

关键信息

宿主种属

Rabbit

克隆

Monoclonal

克隆号

EPR17319

亚型

IgG

不含载体蛋白

No

反应种属

Human

应用

IP, WB, IHC-P, ICC/IF

applications

免疫原

The exact immunogen used to generate this antibody is proprietary information.

反应性数据

{ "title": "Reactivity Data", "filters": { "stats": ["", "Species", "Dilution Info", "Notes"], "tabs": { "all-applications": {"fullname" : "All Applications", "shortname": "All Applications"}, "IP" : {"fullname" : "Immunoprecipitation", "shortname":"IP"}, "WB" : {"fullname" : "Western blot", "shortname":"WB"}, "ICCIF" : {"fullname" : "Immunocytochemistry/ Immunofluorescence", "shortname":"ICC/IF"}, "IHCP" : {"fullname" : "Immunohistochemistry (Formalin/PFA-fixed paraffin-embedded sections)", "shortname":"IHC-P"} }, "product-promise": { "all": "all", "testedAndGuaranteed": "tested", "guaranteed": "expected", "predicted": "predicted", "notRecommended": "not-recommended" } }, "values": { "Human": { "IP-species-checked": "testedAndGuaranteed", "IP-species-dilution-info": "1/50", "IP-species-notes": "<p></p>", "WB-species-checked": "testedAndGuaranteed", "WB-species-dilution-info": "1/2000", "WB-species-notes": "<p></p>", "ICCIF-species-checked": "testedAndGuaranteed", "ICCIF-species-dilution-info": "1/100", "ICCIF-species-notes": "<p></p>", "IHCP-species-checked": "testedAndGuaranteed", "IHCP-species-dilution-info": "1/50", "IHCP-species-notes": "<p></p>" } } }

产品详情

Patented technology
Our RabMAb® technology is a patented hybridoma-based technology for making rabbit monoclonal antibodies. For details on our patents, please refer to RabMAb® patents.

What are the advantages of a recombinant monoclonal antibody?
This product is a recombinant monoclonal antibody, which offers several advantages including:

  • - High batch-to-batch consistency and reproducibility
  • - Improved sensitivity and specificity
  • - Long-term security of supply
  • - Animal-free batch production

For more information, read more on recombinant antibodies.

性能和储存信息

形式
Liquid
纯化工艺
Affinity purification Protein A
存储溶液
pH: 7.2 - 7.4 Preservative: 0.01% Sodium azide Constituents: PBS, 40% Glycerol (glycerin, glycerine), 0.05% BSA
运输条件
Blue Ice
推荐的短期储存时间
1-2 weeks
推荐的短期储存条件
+4°C
推荐的长期储存条件
-20°C
分装信息
Upon delivery aliquot
储存信息
Avoid freeze / thaw cycle

产品实验方案

For this product, it's our understanding that no specific protocols are required. You can visit:

靶点信息

Mediates the levels of long-chain fatty acids (LCFA) in the cell by facilitating their transport across cell membranes (PubMed : 10518211, PubMed : 12556534, PubMed : 20448275, PubMed : 21395585, PubMed : 22022213). Appears to be the principal fatty acid transporter in small intestinal enterocytes (PubMed : 20448275). Also functions as an acyl-CoA ligase catalyzing the ATP-dependent formation of fatty acyl-CoA using LCFA and very-long-chain fatty acids (VLCFA) as substrates, which prevents fatty acid efflux from cells and might drive more fatty acid uptake (PubMed : 22022213, PubMed : 24269233). Plays a role in the formation of the epidermal barrier. Required for fat absorption in early embryogenesis (By similarity). Probably involved in fatty acid transport across the blood barrier (PubMed : 21395585). Indirectly inhibits RPE65 via substrate competition and via production of VLCFA derivatives like lignoceroyl-CoA. Prevents light-induced degeneration of rods and cones (By similarity).
See full target information SLC27A4

文献 (11)

Recent publications for all applications. Explore the full list and refine your search

Redox biology 73:103207 PubMed38805974

2024

Redistribution of defective mitochondria-mediated dihydroorotate dehydrogenase imparts 5-fluorouracil resistance in colorectal cancer.

Applications

Unspecified application

Species

Unspecified reactive species

Shuohui Dong,Mingguang Zhang,Zhiqiang Cheng,Xiang Zhang,Weili Liang,Songhan Li,Linchuan Li,Qian Xu,Siyi Song,Zitian Liu,Guangwei Yang,Xiang Zhao,Ze Tao,Shuo Liang,Kexin Wang,Guangyong Zhang,Sanyuan Hu

Cell death discovery 9:8 PubMed36646672

2023

Simultaneous blockade of VEGF-B and IL-17A ameliorated diabetic kidney disease by reducing ectopic lipid deposition and alleviating inflammation response.

Applications

Unspecified application

Species

Unspecified reactive species

Zhonglian Cao,Hui Zhao,Jiajun Fan,Yilan Shen,Lei Han,Guangjun Jing,Xian Zeng,Xin Jin,Zeguo Zhu,Qi Bian,Yanyang Nan,Xiaozhi Hu,Xiaobin Mei,Dianwen Ju,Ping Yang

Frontiers in cardiovascular medicine 9:917989 PubMed36072861

2022

Isoprenaline modified the lipidomic profile and reduced β-oxidation in HL-1 cardiomyocytes: model of takotsubo syndrome.

Applications

Unspecified application

Species

Unspecified reactive species

Ivana Fiserova,Minh Duc Trinh,Moustafa Elkalaf,Lukas Vacek,Marek Heide,Stanislava Martinkova,Kamila Bechynska,Vit Kosek,Jana Hajslova,Ondrej Fiser,Petr Tousek,Jan Polak

The Journal of physiology 598:2469-2489 PubMed32338384

2020

Placental fatty acid transport across late gestation in a baboon model of intrauterine growth restriction.

Applications

Unspecified application

Species

Unspecified reactive species

Stephanie S Chassen,Veronique Ferchaud-Roucher,Claire Palmer,Cun Li,Thomas Jansson,Peter W Nathanielsz,Theresa L Powell

Reproductive sciences (Thousand Oaks, Calif.) 27:1758-1769 PubMed32072607

2020

Changes in Placental Nutrient Transporter Protein Expression and Activity Across Gestation in Normal and Obese Women.

Applications

Unspecified application

Species

Unspecified reactive species

Laura B James-Allan,Stephanie Teal,Theresa L Powell,Thomas Jansson

FASEB journal : official publication of the Federation of American Societies for Experimental Biology 34:4852-4869 PubMed32048347

2020

AMPK facilitates intestinal long-chain fatty acid uptake by manipulating CD36 expression and translocation.

Applications

Unspecified application

Species

Unspecified reactive species

Weiche Wu,Sisi Wang,Qing Liu,Tizhong Shan,Xinxia Wang,Jie Feng,Yizhen Wang

Journal of the American Heart Association 8:e013028 PubMed31711388

2019

Pigment Epithelial-Derived Factor Deficiency Accelerates Atherosclerosis Development via Promoting Endothelial Fatty Acid Uptake in Mice With Hyperlipidemia.

Applications

Unspecified application

Species

Unspecified reactive species

Haiping Wang,Yanfang Yang,Ming Yang,Xinghui Li,Jing Tan,Yandi Wu,Yuling Zhang,Yuanlong Li,Bo Hu,Shijie Deng,Fengmin Yang,Saifei Gao,Hui Li,Zhenyu Yang,Hui Chen,Weibin Cai

Cellular physiology and biochemistry : internation 52:94-108 PubMed30790507

2019

Linoleic Acid Increases Prostaglandin E2 Release and Reduces Mitochondrial Respiration and Cell Viability in Human Trophoblast-Like Cells.

Applications

Unspecified application

Species

Unspecified reactive species

Nirajan Shrestha,James S M Cuffe,Olivia J Holland,Anthony V Perkins,Andrew J McAinch,Deanne H Hryciw

International journal of molecular sciences 19: PubMed30388870

2018

Solute Carrier Family 27 Member 4 (SLC27A4) Enhances Cell Growth, Migration, and Invasion in Breast Cancer Cells.

Applications

Unspecified application

Species

Unspecified reactive species

Meng-Chi Yen,Shih-Kai Chou,Jung-Yu Kan,Po-Lin Kuo,Ming-Feng Hou,Ya-Ling Hsu

The American journal of pathology 188:1419-1429 PubMed29548991

2018

Cellular and Metabolic Basis for the Ichthyotic Phenotype in NIPAL4 (Ichthyin)-Deficient Canines.

Applications

Unspecified application

Species

Unspecified reactive species

Elizabeth A Mauldin,Debra Crumrine,Margret L Casal,Sekyoo Jeong,Lukáš Opálka,Katerina Vavrova,Yoshikazu Uchida,Kyungho Park,Brittany Craiglow,Keith A Choate,Kyong-Oh Shin,Yong-Moon Lee,Gary L Grove,Joan S Wakefield,Denis Khnykin,Peter M Elias
View all publications

Abcam Product Promise

我们致力于为您的研究提供高质量的试剂,为您科研的每一步提供支持。若我们的产品未能达到预期性能,我们向您提供 Abcam Product Promise 保障。
详情请参阅我们的条款与条件。

Please note: All products are 'FOR RESEARCH USE ONLY. NOT FOR USE IN DIAGNOSTIC OR THERAPEUTIC PROCEDURES'.

For licensing inquiries, please contact partnerships@abcam.com