JavaScript is disabled in your browser. Please enable JavaScript to view this website.
AB187040

重组Anti-SHP2抗体[EPR17829-9]

Anti-SHP2 antibody [EPR17829-9]

Be the first to review this product! Submit a review

|

(6 Publications)

Rabbit Recombinant Monoclonal SHP2 antibody. Suitable for IP, WB and reacts with Mouse, Human, Rat samples. Cited in 6 publications.

查看别名

PTP2C, SHPTP2, PTPN11, Tyrosine-protein phosphatase non-receptor type 11, Protein-tyrosine phosphatase 1D, Protein-tyrosine phosphatase 2C, SH-PTP2, SH-PTP3, PTP-1D, PTP-2C, SHP-2, Shp2

5 Images
Immunoprecipitation - Anti-SHP2 antibody [EPR17829-9] (AB187040)
  • IP

Supplier Data

Immunoprecipitation - Anti-SHP2 antibody [EPR17829-9] (AB187040)

SHP2 was immunoprecipitated from 1 mg of HeLa (human epithelial cell line from cervix adenocarcinoma) whole cell lysate with ab187040 at 1/40 dilution. Western blot was performed from the immunoprecipitate using ab187040 at 1/1000 dilution. VeriBlot for IP Detection Reagent (HRP) (ab131366), was used for detection at 1/10,000 dilution.

Lane 1 : HeLa whole cell lysate 10 μg (Input).

Lane 2 : ab187040 IP in HeLa whole cell lysate (+).

Lane 3 : Rabbit monoclonal IgG (ab172730) instead of ab187040 in HeLa whole cell lysate (-).

Blocking and dilution buffer and concentration : 5% NFDM/TBST.

Exposure time : 3 minutes.

All lanes:

Immunoprecipitation - Anti-SHP2 antibody [EPR17829-9] (ab187040)

Predicted band size: 43 kDa,68 kDa

Observed band size: 68 kDa

true

Immunoprecipitation - Anti-SHP2 antibody [EPR17829-9] (AB187040)
  • IP

Supplier Data

Immunoprecipitation - Anti-SHP2 antibody [EPR17829-9] (AB187040)

SHP2 was immunoprecipitated from 1 mg of NIH/3T3 (mouse embryo fibroblast cell line) whole cell lysate with ab187040 at 1/40 dilution. Western blot was performed from the immunoprecipitate using ab187040 at 1/1,000 dilution. VeriBlot for IP Detection Reagent (HRP) (ab131366), was used for detection at 1/10,000 dilution.

Lane 1 : NIH/3T3 whole cell lysate 10μg (Input).

Lane 2 : ab187040 IP in NIH/3T3 whole cell lysate (+).

Lane 3 : Rabbit monoclonal IgG (ab172730) instead of ab187040 in NIH/3T3 whole cell lysate (-).

Blocking and dilution buffer and concentration : 5% NFDM/TBST.

Exposure time : 1 second.

All lanes:

Immunoprecipitation - Anti-SHP2 antibody [EPR17829-9] (ab187040)

Predicted band size: 68 kDa

Observed band size: 68 kDa

true

Western blot - Anti-SHP2 antibody [EPR17829-9] (AB187040)
  • WB

Supplier Data

Western blot - Anti-SHP2 antibody [EPR17829-9] (AB187040)

Blocking and dilution buffer : 5% NFDM/TBST.

All lanes:

Western blot - Anti-SHP2 antibody [EPR17829-9] (ab187040) at 1/5000 dilution

Lane 1:

HeLa (human epithelial cell line from cervix adenocarcinoma) whole cell lysate at 5 µg

Lane 2:

Jurkat (human T cell leukemia cell line from peripheral blood) whole cell lysate at 5 µg

Lane 3:

HEK-293 (human epithelial cell line from embryonic kidney) whole cell lysate at 5 µg

Lane 4:

NIH/3T3 (Mouse embryonic fibroblast cell line) whole cell lysate at 5 µg

Lane 5:

Mouse brain tissue lysate at 5 µg

Lane 6:

Mouse heart tissue lysate at 5 µg

Lane 7:

Rat brain tissue lysate at 5 µg

Lane 8:

Rat heart tissue lysate at 5 µg

Secondary

All lanes:

Western blot - Goat Anti-Rabbit IgG H&L (HRP) (<a href='/products/secondary-antibodies/goat-rabbit-igg-h-l-hrp-ab97051'>ab97051</a>) at 1/100000 dilution

Predicted band size: 68 kDa

Observed band size: 68 kDa

true

Exposure time: 1min

Western blot - Anti-SHP2 antibody [EPR17829-9] (AB187040)
  • WB

Lab

Western blot - Anti-SHP2 antibody [EPR17829-9] (AB187040)

Lanes 1- 2 : Merged signal (red and green). Green - ab187040 observed at 68 kDa. Red - Anti-GAPDH antibody [6C5] - Loading Control (ab8245) observed at 37 kDa.

ab187040 was shown to react with SHP2 in wild-type HEK-293T cells in western blot. Loss of signal was observed when knockout cell line ab266450 (knockout cell lysate ab257618) was used. Wild-type HEK-293T and PTPN11 knockout HEK-293T cell lysates were subjected to SDS-PAGE. Membrane was blocked for 1 hour at room temperature in 0.1% TBST with 3% non-fat dried milk. ab187040 and Anti-GAPDH antibody [6C5] - Loading Control (ab8245) overnight at 4°C at a 1 in 5000 dilution and a 1 in 20000 dilution respectively. Blots were developed with Goat anti-Rabbit IgG H&L (IRDye®800CW) preadsorbed (ab216773) and Goat anti-Mouse IgG H&L (IRDye®680RD) preadsorbed (ab216776) secondary antibodies at 1 in 20000 dilution for 1 hour at room temperature before imaging.

All lanes:

Western blot - Anti-SHP2 antibody [EPR17829-9] (ab187040) at 1/5000 dilution

Lane 1:

Wild-type HEK-293T cell lysate at 20 µg

Lane 2:

PTPN11 knockout HEK-293T cell lysate at 20 µg

Lane 2:

Western blot - Human PTPN11 (SHP2) knockout HEK-293T cell line (<a href='/products/cell-lines/human-ptpn11-shp2-knockout-hek-293t-cell-line-ab266450'>ab266450</a>)

Predicted band size: 68 kDa

Observed band size: 68 kDa

false

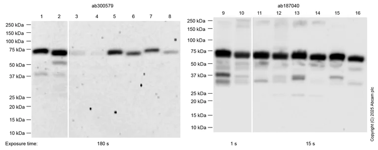
Western blot - Anti-SHP2 antibody [EPR17829-9] (AB187040)
  • WB

Lab

Western blot - Anti-SHP2 antibody [EPR17829-9] (AB187040)

Blocking and diluting buffer and concentration : 5% NFDM/TBST.

Exposure time Lane 1-8 : 180s

Exposure time Lane 9-10 : 1s

Exposure time Lane 11-16 : 15s

ab300579 is less sensitive than ab187040 in WB. We suggest customers choosing ab187040 for WB test.

Lanes 1 - 8:

Western blot - Anti-SHP2 antibody [EPR26539-45] (<a href='/products/primary-antibodies/shp2-antibody-epr26539-45-ab300579'>ab300579</a>) at 1/1000 dilution

Lanes 9 - 16:

Western blot - Anti-SHP2 antibody [EPR17829-9] (ab187040) at 1/1000 dilution

Lanes 1 and 9:

Human cerebellum tissue lysate, 20 μg

Lanes 2 and 10:

Human heart tissue lysate, 20 μg

Lanes 3 and 11:

Mouse ovary tissue lysate, 20 μg

Lanes 4 and 12:

Mouse embryo tissue lysate, 20 μg

Lanes 5 and 13:

Mouse brain tissue lysate, 20 μg

Lanes 6 and 14:

Mouse heart tissue lysate, 20 μg

Lanes 7 and 14:

Rat brain tissue lysate, 20 μg

Lanes 8 and 16:

Rat heart tissue lysate, 20 μg

Secondary

Lanes 1, 2, 9 and 10:

Goat Anti-Rabbit IgG (HRP), minimal cross-reactivity with human IgG at 1/2000 dilution

Lanes 3, 4, 5, 6, 7, 8, 11, 12, 13, 14, 15 and 16:

Western blot - Goat Anti-Rabbit IgG H&L (HRP) (<a href='/products/secondary-antibodies/goat-rabbit-igg-h-l-hrp-ab97051'>ab97051</a>) at 1/100000 dilution

Predicted band size: 68 kDa

Observed band size: 72 kDa

false

不同偶联物与剂型 (2)

  • Carrier free

    Anti-SHP2 antibody [EPR17829-9] - BSA and Azide free

  • Carrier free

    Anti-SHP2 antibody [EPR17829-9] - BSA and Azide free (Detector)

关键信息

宿主种属

Rabbit

克隆

Monoclonal

克隆号

EPR17829-9

亚型

IgG

不含载体蛋白

No

反应种属

Mouse, Rat, Human

应用

WB, IP

applications

免疫原

The exact immunogen used to generate this antibody is proprietary information.

反应性数据

{ "title": "Reactivity Data", "filters": { "stats": ["", "Species", "Dilution Info", "Notes"], "tabs": { "all-applications": {"fullname" : "All Applications", "shortname": "All Applications"}, "IP" : {"fullname" : "Immunoprecipitation", "shortname":"IP"}, "WB" : {"fullname" : "Western blot", "shortname":"WB"} }, "product-promise": { "all": "all", "testedAndGuaranteed": "tested", "guaranteed": "expected", "predicted": "predicted", "notRecommended": "not-recommended" } }, "values": { "Human": { "IP-species-checked": "testedAndGuaranteed", "IP-species-dilution-info": "1/40", "IP-species-notes": "<p></p>", "WB-species-checked": "testedAndGuaranteed", "WB-species-dilution-info": "1/5000", "WB-species-notes": "<p></p>" }, "Mouse": { "IP-species-checked": "testedAndGuaranteed", "IP-species-dilution-info": "1/40", "IP-species-notes": "<p></p>", "WB-species-checked": "testedAndGuaranteed", "WB-species-dilution-info": "1/5000", "WB-species-notes": "<p></p>" }, "Rat": { "IP-species-checked": "guaranteed", "IP-species-dilution-info": "", "IP-species-notes": "", "WB-species-checked": "testedAndGuaranteed", "WB-species-dilution-info": "1/5000", "WB-species-notes": "<p></p>" } } }

产品详情

Patented technology
Our RabMAb® technology is a patented hybridoma-based technology for making rabbit monoclonal antibodies. For details on our patents, please refer to RabMAb® patents.

What are the advantages of a recombinant monoclonal antibody?
This product is a recombinant monoclonal antibody, which offers several advantages including:

  • - High batch-to-batch consistency and reproducibility
  • - Improved sensitivity and specificity
  • - Long-term security of supply
  • - Animal-free batch production

For more information, read more on recombinant antibodies.

性能和储存信息

形式
Liquid
纯化工艺
Affinity purification Protein A
存储溶液
pH: 7.2 - 7.4 Preservative: 0.01% Sodium azide Constituents: PBS, 40% Glycerol (glycerin, glycerine), 0.05% BSA
运输条件
Blue Ice
推荐的短期储存时间
1-2 weeks
推荐的短期储存条件
+4°C
推荐的长期储存条件
-20°C
分装信息
Upon delivery aliquot
储存信息
Avoid freeze / thaw cycle

补充信息

This supplementary information is collated from multiple sources and compiled automatically.

SHP2 also known as PTPN11 is a protein tyrosine phosphatase with a molecular mass of approximately 68 kDa. It is expressed in various tissues including the heart liver and immune cells. SHP2 belongs to the non-receptor class of protein tyrosine phosphatases and plays a critical role in cell signaling by acting as a regulator of signal transduction processes. SHP2 mediates these processes by dephosphorylating specific phosphotyrosine residues on target proteins influencing various cellular functions like proliferation differentiation and survival.
Biological function summary

The role of SHP2 extends to involvement in several signaling cascades such as the Ras/MAPK and PI3K/AKT pathways. It functions as an essential component within protein complexes that facilitate cell communication and response to external signals. The protein modulates growth factor signaling and cytokine signaling highlighting its significance in normal cell function and development. SHP2's statement in signaling processes makes it an important regulator of cellular dynamics.

Pathways

SHP2 participates in the Ras/MAPK and PI3K/AKT signaling pathways which are important for regulating cell growth survival and differentiation. Within these pathways SHP2 interacts with various signaling molecules including Grb2 Sos and Gab family adaptors. These interactions coordinate cellular responses to growth factors and other extracellular cues ensuring proper pathway activation and control. By serving as a critical mediator SHP2 integrates signals that are necessary for appropriate cellular outcomes.

SHP2 is associated with several conditions such as Noonan syndrome and various cancers. Mutations in the PTPN11 gene which encodes SHP2 often result in aberrant signaling that leads to developmental anomalies or tumorigenesis. In Noonan syndrome the mutated SHP2 protein results in disrupted Ras/MAPK pathway signaling. As for cancers SHP2 is often found to be overactive leading to enhanced cell proliferation and survival. In these contexts SHP2 is interconnected with other proteins like RAS and RAF which also contribute to oncogenic pathway activation and disease progression.

产品实验方案

For this product, it's our understanding that no specific protocols are required. You can visit:

靶点信息

Acts downstream of various receptor and cytoplasmic protein tyrosine kinases to participate in the signal transduction from the cell surface to the nucleus (PubMed : 10655584, PubMed : 14739280, PubMed : 18559669, PubMed : 18829466, PubMed : 26742426, PubMed : 28074573). Positively regulates MAPK signal transduction pathway (PubMed : 28074573). Dephosphorylates GAB1, ARHGAP35 and EGFR (PubMed : 28074573). Dephosphorylates ROCK2 at 'Tyr-722' resulting in stimulation of its RhoA binding activity (PubMed : 18559669). Dephosphorylates CDC73 (PubMed : 26742426). Dephosphorylates SOX9 on tyrosine residues, leading to inactivate SOX9 and promote ossification (By similarity). Dephosphorylates tyrosine-phosphorylated NEDD9/CAS-L (PubMed : 19275884).
See full target information PTPN11

文献 (6)

Recent publications for all applications. Explore the full list and refine your search

The Journal of biological chemistry 300:107616 PubMed39089586

2024

Bivalent target-binding bioPROTACs induce potent degradation of oncogenic SHP2.

Applications

Unspecified application

Species

Unspecified reactive species

Megan Hoffman,David Krum,K Dane Wittrup

Aging 16:12498-12509 PubMed38747738

2024

SHP2 mediates STAT3/STAT6 signaling pathway in TAM to inhibit proliferation and metastasis of lung adenocarcinoma.

Applications

Unspecified application

Species

Unspecified reactive species

Guojing Chai,Yingbo Nan,Haili Zhao,Qingchuan Hu

Frontiers in oncology 11:674286 PubMed34195079

2021

UBE2D3 Activates SHP-2 Ubiquitination to Promote Glycolysis and Proliferation of Glioma Regulating STAT3 Signaling Pathway.

Applications

Unspecified application

Species

Unspecified reactive species

Zhenjiang Pan,Jing Bao,Liujun Zhang,Shepeng Wei

Cell death & disease 11:709 PubMed32848131

2020

Y772 phosphorylation of EphA2 is responsible for EphA2-dependent NPC nasopharyngeal carcinoma growth by Shp2/Erk-1/2 signaling pathway.

Applications

Unspecified application

Species

Unspecified reactive species

Yi-Ping Xiang,Ta Xiao,Qi-Guang Li,Shan-Shan Lu,Wei Zhu,Yun-Ya Liu,Jie-Ya Qiu,Zheng-Hui Song,Wei Huang,Hong Yi,Yao-Yun Tang,Zhi-Qiang Xiao

Neuroscience bulletin 36:972-984 PubMed32445021

2020

Paired Immunoglobulin-like Receptor B Inhibition in Müller Cells Promotes Neurite Regeneration After Retinal Ganglion Cell Injury in vitro.

Applications

Unspecified application

Species

Unspecified reactive species

Rongdi Yuan,Mei Yang,Wei Fan,Jian Lan,Yuan-Guo Zhou

Journal of proteomics 185:39-50 PubMed29953961

2018

Long-term moderate exercise enhances specific proteins that constitute neurotrophin signaling pathway: A TMT-based quantitative proteomic analysis of rat plasma.

Applications

Unspecified application

Species

Unspecified reactive species

Yuan Wei,Chun-Lu Fang,Shu-Jing Liu,Wen-Qi Yang,Li-Shen Wei,Xiao-Juan Lei,Fei Hu,Hao-Ying Huang,Wei Li,Wei Chen,Liang-Ming Li,Yue-Sheng Long
View all publications

Abcam Product Promise

我们致力于为您的研究提供高质量的试剂,为您科研的每一步提供支持。若我们的产品未能达到预期性能,我们向您提供 Abcam Product Promise 保障。
详情请参阅我们的条款与条件。

Please note: All products are 'FOR RESEARCH USE ONLY. NOT FOR USE IN DIAGNOSTIC OR THERAPEUTIC PROCEDURES'.

For licensing inquiries, please contact partnerships@abcam.com