JavaScript is disabled in your browser. Please enable JavaScript to view this website.
AB186130

Anti-SHMT1抗体

Anti-SHMT1 antibody

Be the first to review this product! Submit a review

|

(9 Publications)

Rabbit Polyclonal SHMT1 antibody. Suitable for IHC-P, IP, WB and reacts with Mouse, Human samples. Cited in 9 publications. Immunogen corresponding to Synthetic Peptide within Human SHMT1 aa 450 to C-terminus.

查看别名

SHMT, Glycine hydroxymethyltransferase, Serine methylase, SHMT1

5 Images
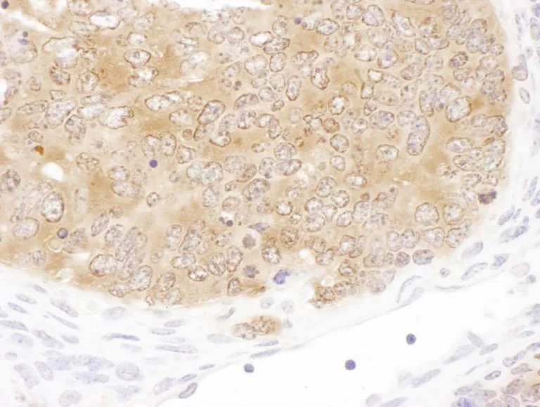
Immunohistochemistry (Formalin/PFA-fixed paraffin-embedded sections) - Anti-SHMT1 antibody (AB186130)
  • IHC-P

Supplier Data

Immunohistochemistry (Formalin/PFA-fixed paraffin-embedded sections) - Anti-SHMT1 antibody (AB186130)

Immunohistochemistry analysis of formalin-fixed, paraffin-embedded human lung cancer tissue labeling SHMT1 with ab186130 at a 1/1000 dilution.

Immunoprecipitation - Anti-SHMT1 antibody (AB186130)
  • IP

Supplier Data

Immunoprecipitation - Anti-SHMT1 antibody (AB186130)

Detection of SHMT1 in immunoprecipitates of Jurkat whole cell lysate (1 mg for IP, 20% of IP loaded) using ab186130 at 6 μg per reaction for IP (Lane 1) and at 1 μg/ml for subsequent Western blot detection. Lane 2 represents control IgG IP.

Detection : Chemiluminescence with an exposure time of 30 seconds.

All lanes:

Immunoprecipitation - Anti-SHMT1 antibody (ab186130)

Predicted band size: 53 kDa

false

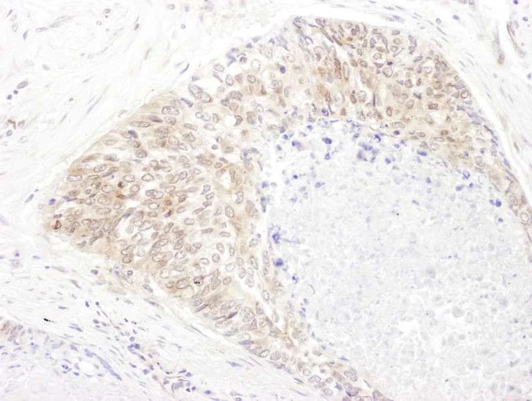
Immunohistochemistry (Formalin/PFA-fixed paraffin-embedded sections) - Anti-SHMT1 antibody (AB186130)
  • IHC-P

Supplier Data

Immunohistochemistry (Formalin/PFA-fixed paraffin-embedded sections) - Anti-SHMT1 antibody (AB186130)

Immunohistochemistry analysis of formalin-fixed, paraffin-embedded mouse teratoma tissue labeling SHMT1 with ab186130 at a 1/1000 dilution.

Western blot - Anti-SHMT1 antibody (AB186130)
  • WB

Supplier Data

Western blot - Anti-SHMT1 antibody (AB186130)

All lanes:

Western blot - Anti-SHMT1 antibody (ab186130) at 1 µg/mL

All lanes:

Jurkat whole cell lysate at 50 µg

Predicted band size: 53 kDa

true

Exposure time: 3min

Western blot - Anti-SHMT1 antibody (AB186130)
  • WB

Supplier Data

Western blot - Anti-SHMT1 antibody (AB186130)

All lanes:

Western blot - Anti-SHMT1 antibody (ab186130) at 1 µg/mL

All lanes:

NIH 3T3 whole cell lysate at 50 µg

Predicted band size: 53 kDa

true

Exposure time: 3min

关键信息

宿主种属

Rabbit

克隆

Polyclonal

亚型

IgG

不含载体蛋白

No

反应种属

Mouse, Human

应用

IHC-P, WB, IP

applications

免疫原

Synthetic Peptide within Human SHMT1 aa 450 to C-terminus. The exact immunogen used to generate this antibody is proprietary information.

P34896

反应性数据

{ "title": "Reactivity Data", "filters": { "stats": ["", "Species", "Dilution Info", "Notes"], "tabs": { "all-applications": {"fullname" : "All Applications", "shortname": "All Applications"}, "IHCP" : {"fullname" : "Immunohistochemistry (Formalin/PFA-fixed paraffin-embedded sections)", "shortname":"IHC-P"}, "IP" : {"fullname" : "Immunoprecipitation", "shortname":"IP"}, "WB" : {"fullname" : "Western blot", "shortname":"WB"} }, "product-promise": { "all": "all", "testedAndGuaranteed": "tested", "guaranteed": "expected", "predicted": "predicted", "notRecommended": "not-recommended" } }, "values": { "Human": { "IHCP-species-checked": "testedAndGuaranteed", "IHCP-species-dilution-info": "1/500 - 1/2500", "IHCP-species-notes": "<p></p> Perform heat-mediated antigen retrieval with citrate buffer pH 6 before commencing with IHC staining protocol.", "IP-species-checked": "testedAndGuaranteed", "IP-species-dilution-info": "2-10 µg/mg of lysate", "IP-species-notes": "<p></p>", "WB-species-checked": "testedAndGuaranteed", "WB-species-dilution-info": "1/500 - 1/2500", "WB-species-notes": "<p></p>" }, "Mouse": { "IHCP-species-checked": "testedAndGuaranteed", "IHCP-species-dilution-info": "1/500 - 1/2500", "IHCP-species-notes": "<p></p> Perform heat-mediated antigen retrieval with citrate buffer pH 6 before commencing with IHC staining protocol.", "IP-species-checked": "guaranteed", "IP-species-dilution-info": "", "IP-species-notes": "", "WB-species-checked": "testedAndGuaranteed", "WB-species-dilution-info": "1/500 - 1/2500", "WB-species-notes": "<p></p>" }, "Chimpanzee": { "IHCP-species-checked": "predicted", "IHCP-species-dilution-info": "", "IHCP-species-notes": "", "IP-species-checked": "predicted", "IP-species-dilution-info": "", "IP-species-notes": "", "WB-species-checked": "predicted", "WB-species-dilution-info": "", "WB-species-notes": "" }, "Cynomolgus monkey": { "IHCP-species-checked": "predicted", "IHCP-species-dilution-info": "", "IHCP-species-notes": "", "IP-species-checked": "predicted", "IP-species-dilution-info": "", "IP-species-notes": "", "WB-species-checked": "predicted", "WB-species-dilution-info": "", "WB-species-notes": "" }, "Dog": { "IHCP-species-checked": "predicted", "IHCP-species-dilution-info": "", "IHCP-species-notes": "", "IP-species-checked": "predicted", "IP-species-dilution-info": "", "IP-species-notes": "", "WB-species-checked": "predicted", "WB-species-dilution-info": "", "WB-species-notes": "" }, "Gorilla": { "IHCP-species-checked": "predicted", "IHCP-species-dilution-info": "", "IHCP-species-notes": "", "IP-species-checked": "predicted", "IP-species-dilution-info": "", "IP-species-notes": "", "WB-species-checked": "predicted", "WB-species-dilution-info": "", "WB-species-notes": "" }, "Orangutan": { "IHCP-species-checked": "predicted", "IHCP-species-dilution-info": "", "IHCP-species-notes": "", "IP-species-checked": "predicted", "IP-species-dilution-info": "", "IP-species-notes": "", "WB-species-checked": "predicted", "WB-species-dilution-info": "", "WB-species-notes": "" }, "Rhesus monkey": { "IHCP-species-checked": "predicted", "IHCP-species-dilution-info": "", "IHCP-species-notes": "", "IP-species-checked": "predicted", "IP-species-dilution-info": "", "IP-species-notes": "", "WB-species-checked": "predicted", "WB-species-dilution-info": "", "WB-species-notes": "" } } }

性能和储存信息

形式
Liquid
纯化工艺
Affinity purification Immunogen
纯化说明
ab186130 was affinity purified using an epitope specific to SHMT1 immobilized on solid support.
存储溶液
pH: 7 - 8 Preservative: 0.09% Sodium azide Constituents: 99% Tris citrate/phosphate
运输条件
Blue Ice
推荐的短期储存时间
1-2 weeks
推荐的短期储存条件
+4°C
推荐的长期储存条件
+4°C
分装信息
Upon delivery aliquot
储存信息
Avoid freeze / thaw cycle|Do Not Freeze

补充信息

This supplementary information is collated from multiple sources and compiled automatically.

Serine hydroxymethyltransferase 1 (SHMT1) is an enzyme that facilitates the conversion of serine to glycine while simultaneously producing 510-methylenetetrahydrofolate. It's also known by some as cytoplasmic SHMT. The enzyme mass is approximately 53 kDa. SHMT1 is mainly expressed in the cytoplasm of cells though expression can vary across different tissues with significant levels observed in liver and placenta.
Biological function summary

Serine hydroxymethyltransferase 1 plays a significant role in one-carbon metabolism. Particularly it is important for the synthesis of nucleotides which are the building blocks of DNA and RNA. SHMT1 exists in a homotetrameric form implying four SHMT1 units form a single functional enzyme complex. This homotetramer configuration allows it to effectively mediate the important reactions in the cytoplasm contributing to the maintenance of cellular function and proliferation.

Pathways

SHMT1 serves a pivotal role in both the folate and methionine cycles. These pathways are essential for cellular methylation reactions and DNA synthesis. SHMT1 is closely linked to the folate pathway interacting with proteins like methylene tetrahydrofolate reductase (MTHFR) that further utilize 510-methylenetetrahydrofolate produced by SHMT1. Its participation in these pathways highlights its importance in maintaining nucleotide balance and cellular methylation status.

Alterations in SHMT1 levels have been linked to cancer and neural tube defects. In cancer abnormal SHMT1 expression is associated with increased cell proliferation due to its impact on nucleotide synthesis and methylation status. Additionally the interplay between SHMT1 and proteins like thymidylate synthase can influence chemotherapy efficacy. In cases of neural tube defects maternal SHMT1 function can affect embryonic folate metabolism interacting with other proteins such as cystathionine beta-synthase (CBS) impacting folate homeostasis and fetal development.

产品实验方案

For this product, it's our understanding that no specific protocols are required. You can visit:

靶点信息

Interconversion of serine and glycine (PubMed : 24698160, PubMed : 8505317).
See full target information SHMT1

文献 (9)

Recent publications for all applications. Explore the full list and refine your search

In vitro cellular & developmental biology. Animal 61:656-668 PubMed40442541

2025

miR-944 inhibits malignant progression of bladder cancer through ATIC/AKT/FOXO3 A axis mediated by SHMT1.

Applications

Unspecified application

Species

Unspecified reactive species

Zhiming Liu,Zhao Chen,Haibei Yang,Junning Liu,Maorong Cui,Weisheng Wang

Genes & diseases 11:101330 PubMed39286657

2024

Cancer-associated fibroblasts derived fibronectin extra domain A promotes sorafenib resistance in hepatocellular carcinoma cells by activating SHMT1.

Applications

Unspecified application

Species

Unspecified reactive species

Yan Dong,Yanrong Chen,Yijie Wang,Xiang Zhao,Ruiyang Zi,Jie Hao,Qiong Ding,Haoran Jiang,Xuesong Wang,Fanghao Lu,Houjie Liang,Zhihao Wei,Jianjun Li

Acta pharmaceutica Sinica. B 13:4273-4290 PubMed37799388

2023

Use of recombinant microRNAs as antimetabolites to inhibit human non-small cell lung cancer.

Applications

Unspecified application

Species

Unspecified reactive species

Yixin Chen,Mei-Juan Tu,Fangwei Han,Zhenzhen Liu,Neelu Batra,Primo N Lara,Hong-Wu Chen,Huichang Bi,Ai-Ming Yu

PloS one 18:e0281439 PubMed36735737

2023

Identification of AGXT2, SHMT1, and ACO2 as important biomarkers of acute kidney injury by WGCNA.

Applications

Unspecified application

Species

Unspecified reactive species

Jinshuang Wei,Junlin Zhang,Junyu Wei,Miaoyue Hu,Xiuqi Chen,Xuankai Qin,Jie Chen,Fengying Lei,Yuanhan Qin

Cell & bioscience 12:183 PubMed36371321

2022

mTORC1-c-Myc pathway rewires methionine metabolism for HCC progression through suppressing SIRT4 mediated ADP ribosylation of MAT2A.

Applications

Unspecified application

Species

Unspecified reactive species

Liang Zhao,Huizhao Su,Xiaomeng Liu,Hongquan Wang,Yukuan Feng,Yan Wang,Haiqiang Chen,Luo Dai,Shihui Lai,Siqi Xu,Chong Li,Jihui Hao,Bo Tang

Human molecular genetics 30:2012-2026 PubMed34169315

2021

Coordinated pyruvate kinase activity is crucial for metabolic adaptation and cell survival during mitochondrial dysfunction.

Applications

Unspecified application

Species

Unspecified reactive species

Xiaoshan Zhou,Flora Mikaeloff,Sophie Curbo,Qian Zhao,Raoul Kuiper,Ákos Végvári,Ujjwal Neogi,Anna Karlsson

Nature genetics 51:990-998 PubMed31133746

2019

MTHFD1 interaction with BRD4 links folate metabolism to transcriptional regulation.

Applications

Unspecified application

Species

Unspecified reactive species

Sara Sdelci,André F Rendeiro,Philipp Rathert,Wanhui You,Jung-Ming G Lin,Anna Ringler,Gerald Hofstätter,Herwig P Moll,Bettina Gürtl,Matthias Farlik,Sandra Schick,Freya Klepsch,Matthew Oldach,Pisanu Buphamalai,Fiorella Schischlik,Peter Májek,Katja Parapatics,Christian Schmidl,Michael Schuster,Thomas Penz,Dennis L Buckley,Otto Hudecz,Richard Imre,Shuang-Yan Wang,Hans Michael Maric,Robert Kralovics,Keiryn L Bennett,Andre C Müller,Karl Mechtler,Jörg Menche,James E Bradner,Georg E Winter,Kristaps Klavins,Emilio Casanova,Christoph Bock,Johannes Zuber,Stefan Kubicek

Journal of experimental & clinical cancer research 38:70 PubMed30755243

2019

SHMT1 inhibits the metastasis of HCC by repressing NOX1-mediated ROS production.

Applications

Unspecified application

Species

Unspecified reactive species

Changwei Dou,Qiuran Xu,Jie Liu,Yufeng Wang,Zhenyu Zhou,Weifeng Yao,Kai Jiang,Jian Cheng,Chengwu Zhang,Kangsheng Tu

Science advances 5:eaat0456 PubMed30613765

2019

IDH3α regulates one-carbon metabolism in glioblastoma.

Applications

Unspecified application

Species

Unspecified reactive species

Jasmine L May,Fotini M Kouri,Lisa A Hurley,Juan Liu,Serena Tommasini-Ghelfi,Yanrong Ji,Peng Gao,Andrea E Calvert,Andrew Lee,Navdeep S Chandel,Ramana V Davuluri,Craig M Horbinski,Jason W Locasale,Alexander H Stegh
View all publications

Abcam Product Promise

我们致力于为您的研究提供高质量的试剂,为您科研的每一步提供支持。若我们的产品未能达到预期性能,我们向您提供 Abcam Product Promise 保障。
详情请参阅我们的条款与条件。

Please note: All products are 'FOR RESEARCH USE ONLY. NOT FOR USE IN DIAGNOSTIC OR THERAPEUTIC PROCEDURES'.

For licensing inquiries, please contact partnerships@abcam.com