JavaScript is disabled in your browser. Please enable JavaScript to view this website.
AB33770

重组Anti-SHC抗体[EP332Y]

Anti-SHC antibody [EP332Y]

Be the first to review this product! Submit a review

|

(19 Publications)

Rabbit Recombinant Monoclonal SHC antibody. Suitable for IHC-P, WB and reacts with Human, Rat, Mouse samples. Cited in 19 publications.

查看别名

SHC, SHCA, SHC1, SHC-transforming protein 1, SHC-transforming protein 3, SHC-transforming protein A, Src homology 2 domain-containing-transforming protein C1, SH2 domain protein C1

5 Images
Immunohistochemistry (Formalin/PFA-fixed paraffin-embedded sections) - Anti-SHC antibody [EP332Y] (AB33770)
  • IHC-P

Unknown

Immunohistochemistry (Formalin/PFA-fixed paraffin-embedded sections) - Anti-SHC antibody [EP332Y] (AB33770)

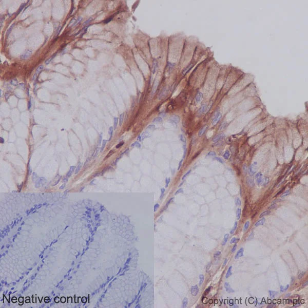
ab33770 staining SHC in Human stomach tissue sections by Immunohistochemistry (IHC-P - paraformaldehyde-fixed, paraffin-embedded sections). Tissue was fixed and paraffin-embedded, antigen retrieval was by heat mediation in Tris/EDTA buffer pH9. Samples were incubated with primary antibody (1/300). An undiluted HRP-conjugated mouse anti-rabbit IgG was used as the secondary antibody. Tissue counterstained with Hematoxylin. PBS was used in the negative control rather than the Primary antibody.

Immunohistochemistry (Formalin/PFA-fixed paraffin-embedded sections) - Anti-SHC antibody [EP332Y] (AB33770)
  • IHC-P

Supplier Data

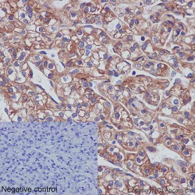
Immunohistochemistry (Formalin/PFA-fixed paraffin-embedded sections) - Anti-SHC antibody [EP332Y] (AB33770)

ab33770 staining SHC in Human renal carcinoma tissue sections by Immunohistochemistry (IHC-P - paraformaldehyde-fixed, paraffin-embedded sections). Tissue was fixed and paraffin-embedded, antigen retrieval was by heat mediation in Tris/EDTA buffer pH9. Samples were incubated with primary antibody (1/300). An undiluted HRP-conjugated mouse anti-rabbit IgG was used as the secondary antibody. Tissue counterstained with Hematoxylin. PBS was used in the negative control rather than the Primary antibody.

Western blot - Anti-SHC antibody [EP332Y] (AB33770)
  • WB

Unknown

Western blot - Anti-SHC antibody [EP332Y] (AB33770)

All lanes:

Western blot - Anti-SHC antibody [EP332Y] (ab33770) at 1/2000 dilution

All lanes:

MCF 7 cell lysate

Predicted band size: 62 kDa

Observed band size: 46 kDa,52 kDa,66 kDa

false

Western blot - Anti-SHC antibody [EP332Y] (AB33770)
  • WB

Supplier Data

Western blot - Anti-SHC antibody [EP332Y] (AB33770)

Blocking buffer and concentration : 5% NFDM/TBST.

Diluting buffer and concentration : 5% NFDM /TBST.

All lanes:

Western blot - Anti-SHC antibody [EP332Y] (ab33770) at 1/1000 dilution

Lane 1:

C6 Cell lysate at 20 µg

Lane 2:

RAW264.7 Cell lysate at 20 µg

Lane 3:

NIH/3T3 Cell lysate at 20 µg

Secondary

All lanes:

Goat Anti-Rabbit IgG, (H+L), HRP-conjugated at 1/1000 dilution

Predicted band size: 62 kDa

false

Western blot - Anti-SHC antibody [EP332Y] (AB33770)
  • WB

Supplier Data

Western blot - Anti-SHC antibody [EP332Y] (AB33770)

Blocking buffer and concentration : 5% NFDM/TBST.

Diluting buffer and concentration : 5% NFDM /TBST.

All lanes:

Western blot - Anti-SHC antibody [EP332Y] (ab33770) at 1/1000 dilution

Lane 1:

MCF-7 cell lysate at 20 µg

Lane 2:

HeLa cell lysate at 20 µg

Lane 3:

Jurkat cell lysate at 20 µg

Secondary

All lanes:

Goat Anti-Rabbit IgG, (H+L), HRP-conjugated at 1/1000 dilution

Predicted band size: 62 kDa

false

不同偶联物与剂型 (1)

  • Carrier free

    Anti-SHC antibody [EP332Y] - BSA and Azide free

关键信息

宿主种属

Rabbit

克隆

Monoclonal

克隆号

EP332Y

亚型

IgG

不含载体蛋白

No

反应种属

Mouse, Rat, Human

应用

IHC-P, WB

applications

免疫原

The exact immunogen used to generate this antibody is proprietary information.

特异性

This antibody detects p46, p52 and p66 -three isoforms of SHC.

反应性数据

{ "title": "Reactivity Data", "filters": { "stats": ["", "Species", "Dilution Info", "Notes"], "tabs": { "all-applications": {"fullname" : "All Applications", "shortname": "All Applications"}, "IHCP" : {"fullname" : "Immunohistochemistry (Formalin/PFA-fixed paraffin-embedded sections)", "shortname":"IHC-P"}, "IP" : {"fullname" : "Immunoprecipitation", "shortname":"IP"}, "FlowCyt" : {"fullname" : "Flow Cytometry", "shortname":"Flow Cyt"}, "WB" : {"fullname" : "Western blot", "shortname":"WB"}, "ICCIF" : {"fullname" : "Immunocytochemistry/ Immunofluorescence", "shortname":"ICC/IF"} }, "product-promise": { "all": "all", "testedAndGuaranteed": "tested", "guaranteed": "expected", "predicted": "predicted", "notRecommended": "not-recommended" } }, "values": { "Human": { "IHCP-species-checked": "testedAndGuaranteed", "IHCP-species-dilution-info": "1/300", "IHCP-species-notes": "<p></p>", "IP-species-checked": "notRecommended", "IP-species-dilution-info": "1/50", "IP-species-notes": "<p></p>", "FlowCyt-species-checked": "notRecommended", "FlowCyt-species-dilution-info": "", "FlowCyt-species-notes": "<p><strong>For unpurified use at 1/80.</strong> <a href='/products/primary-antibodies/rabbit-igg-monoclonal-epr25a-isotype-control-ab172730'>ab172730</a> - Rabbit monoclonal IgG, is suitable for use as an isotype control with this antibody.</p>", "WB-species-checked": "testedAndGuaranteed", "WB-species-dilution-info": "1/1000 - 1/2000", "WB-species-notes": "<p><strong>For unpurified use at 1/2000.</strong></p>", "ICCIF-species-checked": "notRecommended", "ICCIF-species-dilution-info": "", "ICCIF-species-notes": "<p></p>" }, "Mouse": { "IHCP-species-checked": "guaranteed", "IHCP-species-dilution-info": "", "IHCP-species-notes": "", "IP-species-checked": "notRecommended", "IP-species-dilution-info": "1/50", "IP-species-notes": "<p></p>", "FlowCyt-species-checked": "notRecommended", "FlowCyt-species-dilution-info": "", "FlowCyt-species-notes": "<p><strong>For unpurified use at 1/80.</strong> <a href='/products/primary-antibodies/rabbit-igg-monoclonal-epr25a-isotype-control-ab172730'>ab172730</a> - Rabbit monoclonal IgG, is suitable for use as an isotype control with this antibody.</p>", "WB-species-checked": "testedAndGuaranteed", "WB-species-dilution-info": "1/1000 - 1/2000", "WB-species-notes": "<p><strong>For unpurified use at 1/2000.</strong></p>", "ICCIF-species-checked": "notRecommended", "ICCIF-species-dilution-info": "", "ICCIF-species-notes": "<p></p>" }, "Rat": { "IHCP-species-checked": "guaranteed", "IHCP-species-dilution-info": "", "IHCP-species-notes": "", "IP-species-checked": "notRecommended", "IP-species-dilution-info": "1/50", "IP-species-notes": "<p></p>", "FlowCyt-species-checked": "notRecommended", "FlowCyt-species-dilution-info": "", "FlowCyt-species-notes": "<p><strong>For unpurified use at 1/80.</strong> <a href='/products/primary-antibodies/rabbit-igg-monoclonal-epr25a-isotype-control-ab172730'>ab172730</a> - Rabbit monoclonal IgG, is suitable for use as an isotype control with this antibody.</p>", "WB-species-checked": "testedAndGuaranteed", "WB-species-dilution-info": "1/1000 - 1/2000", "WB-species-notes": "<p><strong>For unpurified use at 1/2000.</strong></p>", "ICCIF-species-checked": "notRecommended", "ICCIF-species-dilution-info": "", "ICCIF-species-notes": "<p></p>" } } }

产品详情

Patented technology
Our RabMAb® technology is a patented hybridoma-based technology for making rabbit monoclonal antibodies. For details on our patents, please refer to RabMAb® patents.

What are the advantages of a recombinant monoclonal antibody?
This product is a recombinant monoclonal antibody, which offers several advantages including:

  • - High batch-to-batch consistency and reproducibility
  • - Improved sensitivity and specificity
  • - Long-term security of supply
  • - Animal-free batch production

For more information, read more on recombinant antibodies.

性能和储存信息

形式
Liquid
纯化工艺
Affinity purification Protein A
存储溶液
pH: 7.2 - 7.4 Preservative: 0.01% Sodium azide Constituents: PBS, 40% Glycerol (glycerin, glycerine), 0.05% BSA
运输条件
Blue Ice
推荐的短期储存条件
+4°C
推荐的长期储存条件
-20°C
分装信息
Upon delivery aliquot
储存信息
Avoid freeze / thaw cycle

补充信息

This supplementary information is collated from multiple sources and compiled automatically.

SHC also known as Src homology 2 domain-containing transforming protein or p52Shc is an adaptor protein involved in signal transduction pathways. It has a molecular mass of approximately 52 kDa. SHC contains an SH2 domain which facilitates its binding to tyrosine-phosphorylated activated receptors. This protein is ubiquitously expressed with notable levels in tissues like the brain heart and melanocytes. Its role as a signaling adaptor makes it an important component for cell communication and function.
Biological function summary

The SHC protein transmits signals from cell surface receptors to downstream effectors. It does so by linking activated receptors to the Ras-MAPK signaling cascade. SHC often part of larger protein complexes interacts with proteins such as Grb2 and SOS to relay signals necessary for cell growth and differentiation. This interaction leads to the activation of Ras and subsequent mitogen-activated protein kinase pathways influencing various cellular responses.

Pathways

SHC is a central component of the MAPK/ERK and PI3K/AKT pathways which are important for cell growth and survival. In these pathways SHC mediates signals from receptor tyrosine kinases like the epidermal growth factor receptor (EGFR). By interacting with EGFR and other receptors SHC helps propagate signals essential for cellular proliferation and survival. SHC associates with proteins like Grb2 and SOS linking RTKs to the Ras signaling cascade.

SHC has been linked to cancer and cardiovascular diseases. In cancer abnormal SHC-mediated signaling can result from overexpression or mutation leading to unregulated cell proliferation. This abnormal activity often involves interactions with proteins like EGFR and Grb2 which drive oncogenic pathways. Regarding cardiovascular diseases changes in SHC expression or function can contribute to conditions like hypertrophy where SHC-associated pathways influence heart muscle growth and stress responses.

产品实验方案

For this product, it's our understanding that no specific protocols are required. You can visit:

靶点信息

Signaling adapter that couples activated growth factor receptors to signaling pathways. Participates in a signaling cascade initiated by activated KIT and KITLG/SCF. Isoform p46Shc and isoform p52Shc, once phosphorylated, couple activated receptor tyrosine kinases to Ras via the recruitment of the GRB2/SOS complex and are implicated in the cytoplasmic propagation of mitogenic signals. Isoform p46Shc and isoform p52Shc may thus function as initiators of the Ras signaling cascade in various non-neuronal systems. Isoform p66Shc does not mediate Ras activation, but is involved in signal transduction pathways that regulate the cellular response to oxidative stress and life span. Isoform p66Shc acts as a downstream target of the tumor suppressor p53 and is indispensable for the ability of stress-activated p53 to induce elevation of intracellular oxidants, cytochrome c release and apoptosis. The expression of isoform p66Shc has been correlated with life span (By similarity). Participates in signaling downstream of the angiopoietin receptor TEK/TIE2, and plays a role in the regulation of endothelial cell migration and sprouting angiogenesis.
See full target information SHC1

文献 (19)

Recent publications for all applications. Explore the full list and refine your search

iScience 27:110846 PubMed39310759

2024

AXL and SHC1 confer crizotinib resistance in patient-derived xenograft model of ALK-driven lung cancer.

Applications

Unspecified application

Species

Unspecified reactive species

Yerong Hu,Yangzhao Zhou,Wenliang Liu,Mingjiu Chen,Yimei Hao,Guojun Qu,Zhenkun Xia,Xinmin Zhou,Yu Li,Ling Tan

Scientific reports 14:20150 PubMed39209911

2024

SHC1 serves as a prognostic and immunological biomarker in clear cell renal cell carcinoma: a comprehensive bioinformatics and experimental analysis.

Applications

Unspecified application

Species

Unspecified reactive species

Zhuangyu Guo,Congbo Cai,Kena Zhou,Lingmin Song,Xue Wang,Dongying Chen,Guobin Weng,Shuaishuai Huang

Journal of nanobiotechnology 22:489 PubMed39143532

2024

M2 macrophage-polarized anti-inflammatory microneedle patch for accelerating biofilm-infected diabetic wound healing via modulating the insulin pathway.

Applications

Unspecified application

Species

Unspecified reactive species

Yushan Yang,Limin Fan,Jingsi Jiang,Jiuyuan Sun,Liangyi Xue,Xiaoyi Ma,Le Kuai,Bin Li,Yongyong Li

Redox report : communications in free radical research 29:2324234 PubMed38444386

2024

Hyperglycemic stress induces oxidative damage of enteric glial cells by triggering redoxosomes/p66SHC activation.

Applications

Unspecified application

Species

Unspecified reactive species

Yanmin Jiang,Lan Xu,Xue Zhu,Xiaowei Zhu,Xiang Xu,Jianbo Li

World journal of diabetes 14:1249-1258 PubMed37664479

2023

Impact of bariatric surgery on glucose and lipid metabolism and liver and kidney function in food-induced obese diabetic rats.

Applications

Unspecified application

Species

Unspecified reactive species

Hong Long,Lei Zhao,Zhong-Sheng Xiao,Shu-Xiang Li,Qiu-Lin Huang,Shuai Xiao,Liang-Liang Wu

The FEBS journal 290:4562-4576 PubMed37255287

2023

PTPN22 activates the PI3K pathway via 14-3-3τ in T cells.

Applications

Unspecified application

Species

Unspecified reactive species

Bin Bai,Tao Wang,Xiaonan Zhang,Xinlei Ba,Na Zhang,Yanjiao Zhao,Xipeng Wang,Yang Yu,Bing Wang

Medicine and science in sports and exercise 55:1770-1780 PubMed37144632

2023

Aerobic Exercise in Male Mice Prevents Ventilator-Induced Lung Injury by Inhibiting Mitochondrial Damage from sirt1 Dysregulation.

Applications

Unspecified application

Species

Unspecified reactive species

Jie Yan,Changping Gu,G E Liu,Yaqiang Zhang,L I Yang,Tao Zhao,Cuicui Cao,Liang Zhao,Guanghan Wu,Yuelan Wang

Frontiers in pharmacology 13:1035755 PubMed36686673

2023

Grape seed proanthocyanidin extract targets p66Shc to regulate mitochondrial biogenesis and dynamics in diabetic kidney disease.

Applications

Unspecified application

Species

Unspecified reactive species

Yiyun Song,Hui Yu,Qiaoling Sun,Fei Pei,Qing Xia,Zhaoli Gao,Xianhua Li

Cellular and molecular gastroenterology and hepatology 15:197-211 PubMed36122677

2022

Shc Is Implicated in Calreticulin-Mediated Sterile Inflammation in Alcoholic Hepatitis.

Applications

Unspecified application

Species

Unspecified reactive species

Yuan Li,Joy X Jiang,Weiguo Fan,Sarah R Fish,Suvarthi Das,Parul Gupta,Gergely Mozes,Lorand Vancza,Sutapa Sarkar,Koshi Kunimoto,Dongning Chen,Hyesuk Park,Dahn Clemens,Alexey Tomilov,Gino Cortopassi,Natalie J Török

Experimental and therapeutic medicine 22:951 PubMed34335893

2021

extract protects human neuroblastoma SH-SY5Y cells against oxidative glutamate toxicity by activating redoxosome-p66Shc.

Applications

Unspecified application

Species

Unspecified reactive species

Ke Wang,Jing Ni,Xue Zhu,Ling Zhu,Yue Li,Fanfan Zhou
View all publications

Abcam Product Promise

我们致力于为您的研究提供高质量的试剂,为您科研的每一步提供支持。若我们的产品未能达到预期性能,我们向您提供 Abcam Product Promise 保障。
详情请参阅我们的条款与条件。

Please note: All products are 'FOR RESEARCH USE ONLY. NOT FOR USE IN DIAGNOSTIC OR THERAPEUTIC PROCEDURES'.

For licensing inquiries, please contact partnerships@abcam.com