JavaScript is disabled in your browser. Please enable JavaScript to view this website.
AB153981

Anti-SGK3 抗体

Anti-SGK3 antibody

Be the first to review this product! Submit a review

|

(3 Publications)

Rabbit Polyclonal SGK3 antibody. Suitable for IHC-P, WB, ICC/IF and reacts with Human samples. Cited in 3 publications. Immunogen corresponding to Recombinant Fragment Protein within Human SGK3 aa 1-300.

查看别名

CISK, SGKL, SGK3, Serine/threonine-protein kinase Sgk3, Cytokine-independent survival kinase, Serum/glucocorticoid-regulated kinase 3, Serum/glucocorticoid-regulated kinase-like

3 Images
Immunocytochemistry/ Immunofluorescence - Anti-SGK3 antibody (AB153981)
  • ICC/IF

Unknown

Immunocytochemistry/ Immunofluorescence - Anti-SGK3 antibody (AB153981)

Immunofluorescence analysis of methanol-fixed HeLa cells, labeling SGK3 with ab153981 at 1/200 dilution. Lower panel is costained with Hoechst 33342.

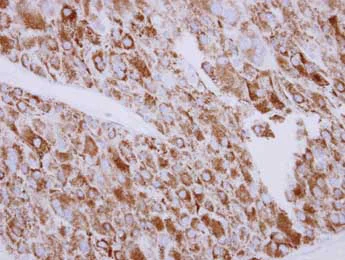
Immunohistochemistry (Formalin/PFA-fixed paraffin-embedded sections) - Anti-SGK3 antibody (AB153981)
  • IHC-P

Unknown

Immunohistochemistry (Formalin/PFA-fixed paraffin-embedded sections) - Anti-SGK3 antibody (AB153981)

Immunohistochemical analysis of paraffin-embedded Human adrenal gland tumor tissue labeling SGK3 with ab153981 at 1/500 dilution.

Western blot - Anti-SGK3 antibody (AB153981)
  • WB

Unknown

Western blot - Anti-SGK3 antibody (AB153981)

7.5% SDS PAGE

All lanes:

Western blot - Anti-SGK3 antibody (ab153981) at 1/1000 dilution

All lanes:

HepG2 whole cell lysate at 30 µg

Predicted band size: 57 kDa,60 kDa

false

关键信息

宿主种属

Rabbit

克隆

Polyclonal

亚型

IgG

不含载体蛋白

No

反应种属

Human

应用

WB, ICC/IF, IHC-P

applications

免疫原

Recombinant Fragment Protein within Human SGK3 aa 1-300. The exact immunogen used to generate this antibody is proprietary information.

Q96BR1

反应性数据

{ "title": "Reactivity Data", "filters": { "stats": ["", "Species", "Dilution Info", "Notes"], "tabs": { "all-applications": {"fullname" : "All Applications", "shortname": "All Applications"}, "IHCP" : {"fullname" : "Immunohistochemistry (Formalin/PFA-fixed paraffin-embedded sections)", "shortname":"IHC-P"}, "WB" : {"fullname" : "Western blot", "shortname":"WB"}, "ICCIF" : {"fullname" : "Immunocytochemistry/ Immunofluorescence", "shortname":"ICC/IF"} }, "product-promise": { "all": "all", "testedAndGuaranteed": "tested", "guaranteed": "expected", "predicted": "predicted", "notRecommended": "not-recommended" } }, "values": { "Human": { "IHCP-species-checked": "testedAndGuaranteed", "IHCP-species-dilution-info": "1/100 - 1/1000", "IHCP-species-notes": "<p></p> Perform heat-mediated antigen retrieval with citrate buffer pH 6 before commencing with IHC staining protocol.", "WB-species-checked": "testedAndGuaranteed", "WB-species-dilution-info": "1/500 - 1/3000", "WB-species-notes": "<p></p>", "ICCIF-species-checked": "testedAndGuaranteed", "ICCIF-species-dilution-info": "1/100 - 1/1000", "ICCIF-species-notes": "<p></p>" } } }

性能和储存信息

形式
Liquid
纯化工艺
Affinity purification Immunogen
存储溶液
pH: 7 Preservative: 0.01% Thimerosal (merthiolate) Constituents: 10% Glycerol (glycerin, glycerine), 1.21% Tris, 0.75% Glycine
运输条件
Blue Ice
推荐的短期储存条件
+4°C
推荐的长期储存条件
-20°C
分装信息
Upon delivery aliquot
储存信息
Avoid freeze / thaw cycle

补充信息

This supplementary information is collated from multiple sources and compiled automatically.

SGK3 also known as Serum/Glucocorticoid Regulated Kinase Family Member 3 or CISK is a serine/threonine protein kinase with a molecular weight of approximately 56 kDa. It plays a role in the regulation of ion channels cell growth and survival by phosphorylating other proteins. SGK3 is expressed in various tissues including the brain kidney and liver. Expression is often responsive to changes in serum and glucocorticoid levels.
Biological function summary

SGK3 contributes to cellular growth and metabolism. This protein integrates signals involved in the response to oxidative stress and plays a part in the cellular response to environmental changes. As a member of the AGC kinase family SGK3 shares structural and functional similarities with AKT another significant kinase involved in growth regulation and apoptosis control.

Pathways

SGK3 functions within the PI3K/AKT signaling pathway and also interacts in the mTOR signaling network. These pathways are critical for regulating cell proliferation survival and metabolism. SGK3 can phosphorylate several downstream targets including FOXO3a and NDRG1 contributing to cellular resistance to stress and promoting survival pathways.

SGK3 has been linked to cancer and metabolic disorders. Its role in the PI3K/AKT pathway means that deregulated SGK3 activity can contribute to oncogenesis often through pathways shared with proteins such as AKT and mTOR. Aberrant SGK3 expression or function is also related to insulin resistance impacting glucose metabolism and associating it with contributors to type 2 diabetes.

产品实验方案

For this product, it's our understanding that no specific protocols are required. You can visit:

靶点信息

Serine/threonine-protein kinase which is involved in the regulation of a wide variety of ion channels, membrane transporters, cell growth, proliferation, survival and migration. Up-regulates Na(+) channels : SCNN1A/ENAC and SCN5A, K(+) channels : KCNA3/KV1.3, KCNE1, KCNQ1 and KCNH2/HERG, epithelial Ca(2+) channels : TRPV5 and TRPV6, chloride channel : BSND, creatine transporter : SLC6A8, Na(+)/dicarboxylate cotransporter : SLC13A2/NADC1, Na(+)-dependent phosphate cotransporter : SLC34A2/NAPI-2B, amino acid transporters : SLC1A5/ASCT2 and SLC6A19, glutamate transporters : SLC1A3/EAAT1, SLC1A6/EAAT4 and SLC1A7/EAAT5, glutamate receptors : GRIA1/GLUR1 and GRIK2/GLUR6, Na(+)/H(+) exchanger : SLC9A3/NHE3, and the Na(+)/K(+) ATPase. Plays a role in the regulation of renal tubular phosphate transport and bone density. Phosphorylates NEDD4L and GSK3B. Positively regulates ER transcription activity through phosphorylation of FLII. Negatively regulates the function of ITCH/AIP4 via its phosphorylation and thereby prevents CXCR4 from being efficiently sorted to lysosomes.
See full target information SGK3

文献 (3)

Recent publications for all applications. Explore the full list and refine your search

Reproductive biology and endocrinology : RB&E 19:167 PubMed34740363

2021

Circ_0043532 regulates miR-182/SGK3 axis to promote granulosa cell progression in polycystic ovary syndrome.

Applications

Unspecified application

Species

Unspecified reactive species

Lishuang Xu,Fang Xiong,Yinyang Bai,Juxia Xiao,Yun Zhang,Jie Chen,Qiuping Li

Brazilian journal of otorhinolaryngology 85:705-715 PubMed30108027

2018

Serum- and glucocorticoid-inducible kinase 3 is a potential oncogene in nasopharyngeal carcinoma.

Applications

Unspecified application

Species

Unspecified reactive species

Jing Chen,Hai Liang Li,Bo Bo Li,Wei Li,Dong Ma,Yong He Li,Tao Liu

Experimental and therapeutic medicine 12:1741-1749 PubMed27602089

2016

Lovastatin exerts protective effects on endothelial cells via upregulation of PTK2B.

Applications

Unspecified application

Species

Unspecified reactive species

Weiwei Chu,Lili Guan,Dihua Huang,Yuezhong Ren,Yan Zhou
View all publications

Abcam Product Promise

我们致力于为您的研究提供高质量的试剂,为您科研的每一步提供支持。若我们的产品未能达到预期性能,我们向您提供 Abcam Product Promise 保障。
详情请参阅我们的条款与条件。

Please note: All products are 'FOR RESEARCH USE ONLY. NOT FOR USE IN DIAGNOSTIC OR THERAPEUTIC PROCEDURES'.

For licensing inquiries, please contact partnerships@abcam.com