JavaScript is disabled in your browser. Please enable JavaScript to view this website.
AB177149

重组Anti-SFPQ抗体[EPR11847]

Anti-SFPQ antibody [EPR11847]

5

(3 Reviews)

|

(26 Publications)

Anti-SFPQ antibody [EPR11847] (ab177149) is a rabbit monoclonal antibody detecting SFPQ in Western Blot, Flow Cytometry, IHC-P, ICC/IF. Suitable for Human, Mouse, Rat.

- Biophysical QC for unrivalled batch-batch consistency
- Over 10 publications

查看别名

PSF, SFPQ, 100 kDa DNA-pairing protein, Polypyrimidine tract-binding protein-associated-splicing factor, hPOMp100, PTB-associated-splicing factor

6 Images
Flow Cytometry - Anti-SFPQ antibody [EPR11847] (AB177149)
  • Flow Cyt

Lab

Flow Cytometry - Anti-SFPQ antibody [EPR11847] (AB177149)

Flow Cytometry analysis of HeLa (Human cervix adenocarcinoma epithelial cell) cells labelling SFPQ with purified ab177149 at 1/50 dilution (10 µg/mL) (Red). Cells were fixed with 4% Paraformaldehyde and permeabilised with 90% Methanol. A Goat anti rabbit IgG (Alexa Fluor® 488, ab150077) secondary antibody was used at 1/2000. Isotype control - Rabbit monoclonal IgG (Black). Unlabelled control - Cell without incubation with primary antibody and secondary antibody (Blue).

Immunohistochemistry (Formalin/PFA-fixed paraffin-embedded sections) - Anti-SFPQ antibody [EPR11847] (AB177149)
  • IHC-P

Lab

Immunohistochemistry (Formalin/PFA-fixed paraffin-embedded sections) - Anti-SFPQ antibody [EPR11847] (AB177149)

Immunohistochemistry (Formalin/PFA-fixed paraffin-embedded sections) analysis of human colon tissue sections labeling SFPQ with purified ab177149 at 1/10000 dilution (0.05 μg/mL). Heat mediated antigen retrieval was performed using Heat mediated antigen retrieval using Bond™ Epitope Retrieval Solution 2 (pH 9.0). Tissue was counterstained with Hematoxylin. Rabbit specific IHC polymer detection kit HRP/DAB (ab209101) secondary antibody was used at 1/0 dilution. PBS instead of the primary antibody was used as the negative control.

The immunostaining was performed on a Leica Biosystems BOND® RX instrument

Immunocytochemistry/ Immunofluorescence - Anti-SFPQ antibody [EPR11847] (AB177149)
  • ICC/IF

Supplier Data

Immunocytochemistry/ Immunofluorescence - Anti-SFPQ antibody [EPR11847] (AB177149)

Immunocytochemistry analysis of NIH/3T3 (Mouse embryonic fibroblast) cells labeling SFPQ with purified ab177149 at 1/50 dilution (9.7 μg/mL). Cells were fixed in 4% paraformaldehyde and permeabilized with 0.1% TritonX-100. Cells were counterstained with ab195889 Anti-alpha Tubulin antibody [DM1A] - Microtubule Marker (Alexa Fluor® 594) 1/200 (2.5 μg/mL). Goat anti rabbit IgG (Alexa Fluor® 488, ab150077) was used as the secondary antibody at 1/1000 (2 μg/mL) dilution. DAPI (blue) was used as nuclear counterstain. PBS instead of the primary antibody was used as the secondary antibody only control.

Immunohistochemistry (Formalin/PFA-fixed paraffin-embedded sections) - Anti-SFPQ antibody [EPR11847] (AB177149)
  • IHC-P

Lab

Immunohistochemistry (Formalin/PFA-fixed paraffin-embedded sections) - Anti-SFPQ antibody [EPR11847] (AB177149)

Immunohistochemistry (Formalin/PFA-fixed paraffin-embedded sections) analysis of mouse testis tissue sections labeling SFPQ with purified ab177149 at 1/10000 dilution (0.05 μg/mL). Heat mediated antigen retrieval was performed using Heat mediated antigen retrieval using Bond™ Epitope Retrieval Solution 2 (pH 9.0). Tissue was counterstained with Hematoxylin. Rabbit specific IHC polymer detection kit HRP/DAB (ab209101) secondary antibody was used at 1/0 dilution. PBS instead of the primary antibody was used as the negative control.

The immunostaining was performed on a Leica Biosystems BOND® RX instrument

Immunohistochemistry (Formalin/PFA-fixed paraffin-embedded sections) - Anti-SFPQ antibody [EPR11847] (AB177149)
  • IHC-P

Lab

Immunohistochemistry (Formalin/PFA-fixed paraffin-embedded sections) - Anti-SFPQ antibody [EPR11847] (AB177149)

Immunohistochemistry (Formalin/PFA-fixed paraffin-embedded sections) analysis of rat colon tissue sections labeling SFPQ with purified ab177149 at 1/10000 dilution (0.05 μg/mL). Heat mediated antigen retrieval was performed using Heat mediated antigen retrieval using Bond™ Epitope Retrieval Solution 2 (pH 9.0). Tissue was counterstained with Hematoxylin. Rabbit specific IHC polymer detection kit HRP/DAB (ab209101) secondary antibody was used at 1/0 dilution. PBS instead of the primary antibody was used as the negative control.

The immunostaining was performed on a Leica Biosystems BOND® RX instrument

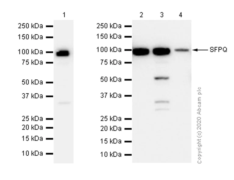
Western blot - Anti-SFPQ antibody [EPR11847] (AB177149)
  • WB

Unknown

Western blot - Anti-SFPQ antibody [EPR11847] (AB177149)

All lanes:

Western blot - Anti-SFPQ antibody [EPR11847] (ab177149) at 1/10000 dilution

Lane 1:

HeLa (Human cervix adenocarcinoma epithelial cell) whole cell lysate

Lane 2:

NIH/3T3 (Mouse embryonic fibroblast) whole cell lysate

Lane 3:

C2C12 (Mouse myoblasts myoblast) whole cell lysate

Lane 4:

Rat brain lysate

Secondary

All lanes:

Western blot - Goat Anti-Rabbit IgG H&L (HRP) (<a href='/products/secondary-antibodies/goat-rabbit-igg-h-l-hrp-ab97051'>ab97051</a>) at 1/20000 dilution

Predicted band size: 76 kDa

false

关键信息

宿主种属

Rabbit

克隆

Monoclonal

克隆号

EPR11847

亚型

IgG

不含载体蛋白

No

反应种属

Mouse, Rat, Human

应用

IHC-P, ICC/IF, WB, Flow Cyt

applications

免疫原

The exact immunogen used to generate this antibody is proprietary information.

反应性数据

{ "title": "Reactivity Data", "filters": { "stats": ["", "Species", "Dilution Info", "Notes"], "tabs": { "all-applications": {"fullname" : "All Applications", "shortname": "All Applications"}, "IHCP" : {"fullname" : "Immunohistochemistry (Formalin/PFA-fixed paraffin-embedded sections)", "shortname":"IHC-P"}, "ICCIF" : {"fullname" : "Immunocytochemistry/ Immunofluorescence", "shortname":"ICC/IF"}, "FlowCyt" : {"fullname" : "Flow Cytometry", "shortname":"Flow Cyt"}, "WB" : {"fullname" : "Western blot", "shortname":"WB"} }, "product-promise": { "all": "all", "testedAndGuaranteed": "tested", "guaranteed": "expected", "predicted": "predicted", "notRecommended": "not-recommended" } }, "values": { "Human": { "IHCP-species-checked": "testedAndGuaranteed", "IHCP-species-dilution-info": "1/10000", "IHCP-species-notes": "<p><strong>For unpurified use at 1/100 - 1/250.</strong></p>", "ICCIF-species-checked": "guaranteed", "ICCIF-species-dilution-info": "", "ICCIF-species-notes": "", "FlowCyt-species-checked": "testedAndGuaranteed", "FlowCyt-species-dilution-info": "1/50", "FlowCyt-species-notes": "<p></p>", "WB-species-checked": "guaranteed", "WB-species-dilution-info": "", "WB-species-notes": "" }, "Mouse": { "IHCP-species-checked": "testedAndGuaranteed", "IHCP-species-dilution-info": "1/10000", "IHCP-species-notes": "<p><strong>For unpurified use at 1/100 - 1/250.</strong></p>", "ICCIF-species-checked": "testedAndGuaranteed", "ICCIF-species-dilution-info": "1/50 - 1/100", "ICCIF-species-notes": "<p></p>", "FlowCyt-species-checked": "guaranteed", "FlowCyt-species-dilution-info": "", "FlowCyt-species-notes": "", "WB-species-checked": "testedAndGuaranteed", "WB-species-dilution-info": "1/10000 - 1/50000", "WB-species-notes": "<p></p>" }, "Rat": { "IHCP-species-checked": "testedAndGuaranteed", "IHCP-species-dilution-info": "1/10000", "IHCP-species-notes": "<p><strong>For unpurified use at 1/100 - 1/250.</strong></p>", "ICCIF-species-checked": "guaranteed", "ICCIF-species-dilution-info": "", "ICCIF-species-notes": "", "FlowCyt-species-checked": "guaranteed", "FlowCyt-species-dilution-info": "", "FlowCyt-species-notes": "", "WB-species-checked": "testedAndGuaranteed", "WB-species-dilution-info": "1/10000 - 1/50000", "WB-species-notes": "<p></p>" } } }

产品详情

What is this antibody validated in?
Anti-SFPQ antibody [EPR11847] (ab177149) is a rabbit recombinant monoclonal antibody and is validated for use in Western Blot (WB), Flow Cytometry (Flow Cyt), Immunohistochemistry (IHC-P), Immunocytochemistry/immunofluorescence (ICC/IF) in Human, Mouse, Rat samples.

What is the molecular weight of SFPQ?
Anti-SFPQ [EPR11847] (ab177149) specifically detects a band for SFPQ (UniProt: P23246) at a molecular weight of 76kDa.

Trusted by the scientific community
Anti-SFPQ [EPR11847] (ab177149) was first used in a scientific publication in 2013 and has been cited over 10 times in peer-reviewed journals.

Trial sizes available!
Test your antibody or perform pre-screening before committing to a larger quantity. Sold in 10µl. Discover our selection of trial-size antibodies.

Other related products
We have a range of other formats of antibody clone [EPR11847] also available for your convenience: ab177149, Alexa Fluor® 488 - ab206742, Carrier free - ab246358, PE - ab303128, APC - ab303129, HRP - ab303130, Alkaline Phosphatase - ab308758, Alexa Fluor® 647 - ab310074, Alexa Fluor® 594 - ab310473, Alexa Fluor® 555 - ab312003, Alexa Fluor® 568 - ab312479, Alexa Fluor® 750 - ab321192

Patented technology
Our RabMAb® technology is a patented hybridoma-based technology for making rabbit monoclonal antibodies. For details on our patents, please refer to RabMAb® patents.

What are the advantages of a recombinant monoclonal antibody?
This product is a recombinant monoclonal antibody, which offers several advantages including:

  • - High batch-to-batch consistency and reproducibility
  • - Improved sensitivity and specificity
  • - Long-term security of supply
  • - Animal-free batch production

For more information, read more on recombinant antibodies.

性能和储存信息

形式
Liquid
纯化工艺
Affinity purification Protein A
存储溶液
pH: 7.2 - 7.4 Preservative: 0.01% Sodium azide Constituents: PBS, 40% Glycerol (glycerin, glycerine), 0.05% BSA
运输条件
Blue Ice
推荐的短期储存时间
1-2 weeks
推荐的短期储存条件
+4°C
推荐的长期储存条件
-20°C
分装信息
Upon delivery aliquot
储存信息
Avoid freeze / thaw cycle

补充信息

This supplementary information is collated from multiple sources and compiled automatically.

SFPQ also known as splicing factor proline and glutamine-rich (PSF) is a multifunctional protein serving in various cellular processes. The protein weighs approximately 76 kDa and is ubiquitously expressed across different tissues. It mainly localizes in the nucleus where it interacts with RNA and other proteins. SFPQ plays essential roles in RNA splicing and transcription regulation among others.
Biological function summary

SFPQ takes part in multiple cellular processes including RNA processing gene expression regulation and DNA repair. SFPQ forms complexes with other proteins such as NONO which enhances its ability in transcriptional control and RNA splicing. By binding to DNA and RNA SFPQ acts as a bridge that connects various molecular events important for cell function and survival.

Pathways

The protein is actively involved in the modulation of RNA metabolic pathways and signal transduction. In particular SFPQ participates in the regulation of alternative splicing processes which can influence the diversity of the proteome. Functionally related proteins like FUS show interactions with SFPQ within these pathways jointly affecting gene expression dynamics.

Aberrations in SFPQ expression or function associate with neurodegenerative diseases and cancers. Mislocalization of SFPQ and its altered expression have been observed in conditions like amyotrophic lateral sclerosis (ALS) and certain leukemia types. In these disorders proteins like TDP-43 have shown associations with SFPQ contributing to the pathology through disrupted RNA processing and cellular stress responses.

产品实验方案

For this product, it's our understanding that no specific protocols are required. You can visit:

靶点信息

DNA- and RNA binding protein, involved in several nuclear processes. Essential pre-mRNA splicing factor required early in spliceosome formation and for splicing catalytic step II, probably as a heteromer with NONO. Binds to pre-mRNA in spliceosome C complex, and specifically binds to intronic polypyrimidine tracts. Involved in regulation of signal-induced alternative splicing. During splicing of PTPRC/CD45, a phosphorylated form is sequestered by THRAP3 from the pre-mRNA in resting T-cells; T-cell activation and subsequent reduced phosphorylation is proposed to lead to release from THRAP3 allowing binding to pre-mRNA splicing regulatotry elements which represses exon inclusion. Interacts with U5 snRNA, probably by binding to a purine-rich sequence located on the 3' side of U5 snRNA stem 1b. May be involved in a pre-mRNA coupled splicing and polyadenylation process as component of a snRNP-free complex with SNRPA/U1A. The SFPQ-NONO heteromer associated with MATR3 may play a role in nuclear retention of defective RNAs. SFPQ may be involved in homologous DNA pairing; in vitro, promotes the invasion of ssDNA between a duplex DNA and produces a D-loop formation. The SFPQ-NONO heteromer may be involved in DNA unwinding by modulating the function of topoisomerase I/TOP1; in vitro, stimulates dissociation of TOP1 from DNA after cleavage and enhances its jumping between separate DNA helices. The SFPQ-NONO heteromer binds DNA (PubMed : 25765647). The SFPQ-NONO heteromer may be involved in DNA non-homologous end joining (NHEJ) required for double-strand break repair and V(D)J recombination and may stabilize paired DNA ends; in vitro, the complex strongly stimulates DNA end joining, binds directly to the DNA substrates and cooperates with the Ku70/G22P1-Ku80/XRCC5 (Ku) dimer to establish a functional preligation complex. SFPQ is involved in transcriptional regulation. Functions as a transcriptional activator (PubMed : 25765647). Transcriptional repression is mediated by an interaction of SFPQ with SIN3A and subsequent recruitment of histone deacetylases (HDACs). The SFPQ-NONO-NR5A1 complex binds to the CYP17 promoter and regulates basal and cAMP-dependent transcriptional activity. SFPQ isoform Long binds to the DNA binding domains (DBD) of nuclear hormone receptors, like RXRA and probably THRA, and acts as a transcriptional corepressor in absence of hormone ligands. Binds the DNA sequence 5'-CTGAGTC-3' in the insulin-like growth factor response element (IGFRE) and inhibits IGF1-stimulated transcriptional activity. Regulates the circadian clock by repressing the transcriptional activator activity of the CLOCK-BMAL1 heterodimer. Required for the transcriptional repression of circadian target genes, such as PER1, mediated by the large PER complex through histone deacetylation (By similarity). Required for the assembly of nuclear speckles (PubMed : 25765647). Plays a role in the regulation of DNA virus-mediated innate immune response by assembling into the HDP-RNP complex, a complex that serves as a platform for IRF3 phosphorylation and subsequent innate immune response activation through the cGAS-STING pathway (PubMed : 28712728).
See full target information SFPQ

文献 (26)

Recent publications for all applications. Explore the full list and refine your search

Nature communications 16:8712 PubMed41027885

2025

RNA-mediated condensation of TFE3 oncofusions facilitates transcriptional hub formation to promote translocation renal cell carcinoma.

Applications

Unspecified application

Species

Unspecified reactive species

Lei Guo,Rongjie Zhao,Yi-Tsang Lee,Junhua Huang,James Wengler,Logan Rivera,Tingting Hong,Tianlu Wang,Kunjal Rathod,Ashley Suris,Yitian Wu,Xiaoli Cai,Rui Wang,Yubin Zhou,Yun Huang

Science advances 11:eadt4814 PubMed40845103

2025

An alternative cytoplasmic SFPQ isoform with reduced phase separation potential is up-regulated in ALS.

Applications

Unspecified application

Species

Unspecified reactive species

Jacob Neeves,Marija Petrić Howe,Oliver J Ziff,Beth Callaghan,Daniel Jutzi,Koustav Pal,Theodoros I Roumeliotis,Jyoti Choudhary,Adrian M Isaacs,Frank Rigo,C Frank Bennett,Marc-David Ruepp,Rickie Patani

Cancer biology & medicine 22: PubMed40200809

2025

MDM1 overexpression promotes p53 expression and cell apoptosis to enhance therapeutic sensitivity to chemoradiotherapy in patients with colorectal cancer.

Applications

Unspecified application

Species

Unspecified reactive species

Ningxin Ren,Hongxia Chen,Ying Huang,Jing Jin,Shaosen Zhang,Ruoqing Yan,Mengjie Li,Linlin Zheng,Shuangmei Zou,Yexiong Li,Wen Tan,Dongxin Lin

iScience 27:110937 PubMed39391721

2024

C9orf72 poly-PR forms anisotropic condensates causative of nuclear TDP-43 pathology.

Applications

Unspecified application

Species

Unspecified reactive species

Rachel E Hodgson,Jessica A Rayment,Wan-Ping Huang,Anna Sanchez Avila,Brittany C S Ellis,Ya-Hui Lin,Nikita Soni,Guillaume M Hautbergue,Tatyana A Shelkovnikova

Virus research 349:199456 PubMed39214388

2024

The cellular paraspeckle component SFPQ associates with the viral processivity factor ORF59 during lytic replication of Kaposi's Sarcoma-associated herpesvirus (KSHV).

Applications

Unspecified application

Species

Unspecified reactive species

Shannon Harger Payen,Kayla Andrada,Evelyn Tara,Juli Petereit,Subhash C Verma,Cyprian C Rossetto

British journal of cancer 131:271-282 PubMed38862740

2024

Tumour cell-derived serglycin promotes IL-8 secretion of CAFs in gastric cancer.

Applications

Unspecified application

Species

Unspecified reactive species

Xiang Li,Guiping Xie,Jia Chen,Yaohui Wang,Jing Zhai,Lizong Shen

Oncogene 43:2199-2214 PubMed38802648

2024

MUC1-C regulates NEAT1 lncRNA expression and paraspeckle formation in cancer progression.

Applications

Unspecified application

Species

Unspecified reactive species

Atrayee Bhattacharya,Keyi Wang,Johany Penailillo,Chi Ngai Chan,Atsushi Fushimi,Nami Yamashita,Tatsuaki Daimon,Naoki Haratake,Hiroki Ozawa,Ayako Nakashoji,Keisuke Shigeta,Yoshihiro Morimoto,Masaaki Miyo,Donald W Kufe

Science advances 9:eadi4565 PubMed37851801

2023

Self-assembly of promoter DNA and RNA Pol II machinery into transcriptionally active biomolecular condensates.

Applications

Unspecified application

Species

Unspecified reactive species

Brian A Lewis,Subhendu Kumar Das,Rajiv Kumar Jha,David Levens

American journal of cancer research 13:2488-2503 PubMed37424803

2023

The splicing factor proline and glutamine rich promotes the growth of osteosarcoma via the c-Myc signaling pathway.

Applications

Unspecified application

Species

Unspecified reactive species

Lianghao Mao,Pan Jiang,Xuan Lei,Bing Zhang,Xinyu Zhong,Zhengyu Yin,Yongjie Wang,Dapeng Li,Yiming Zhang,Qiping Zheng

Nucleic acids research 50:e119 PubMed36099417

2022

A toolkit for the identification of NEAT1_2/paraspeckle modulators.

Applications

Unspecified application

Species

Unspecified reactive species

Haiyan An,Karen T Elvers,Jason A Gillespie,Kimberley Jones,John R Atack,Olivera Grubisha,Tatyana A Shelkovnikova
View all publications

Abcam Product Promise

我们致力于为您的研究提供高质量的试剂,为您科研的每一步提供支持。若我们的产品未能达到预期性能,我们向您提供 Abcam Product Promise 保障。
详情请参阅我们的条款与条件。

Please note: All products are 'FOR RESEARCH USE ONLY. NOT FOR USE IN DIAGNOSTIC OR THERAPEUTIC PROCEDURES'.

For licensing inquiries, please contact partnerships@abcam.com