JavaScript is disabled in your browser. Please enable JavaScript to view this website.
AB172634

重组Anti-SF3B1抗体[EPR11986]

Anti-SF3B1 antibody [EPR11986]

1

(1 Review)

|

(17 Publications)

Rabbit Recombinant Monoclonal SF3B1 antibody. Suitable for IHC-P, WB, ICC/IF, Flow Cyt (Intra) and reacts with Human, Mouse, Rat samples. Cited in 17 publications.

查看别名

SAP155, SF3B1, Splicing factor 3B subunit 1, Pre-mRNA-splicing factor SF3b 155 kDa subunit, Spliceosome-associated protein 155, SF3b155, SAP 155

9 Images
Immunocytochemistry/ Immunofluorescence - Anti-SF3B1 antibody [EPR11986] (AB172634)
  • ICC/IF

Lab

Immunocytochemistry/ Immunofluorescence - Anti-SF3B1 antibody [EPR11986] (AB172634)

Immunocytochemistry/ Immunofluorescence analysis of HeLa (human cervical adenocarcinoma epithelial cell) labeling SF3B1 with ab172634 at 1/200 dilution followed by ab150081 Goat Anti-Rabbit IgG H&L (Alexa Fluor® 488) preadsorbed at 1/1000 dilution. Cells were fixed with 4% Paraformaldehyde and permeabilised with 0.1% TritonX-100. Nuclear counterstain was DAPI. ab195889 Anti-alpha Tubulin mouse monoclonal antibody - Microtubule Marker (Alexa Fluor® 594) at 1/200 was used as counterstain antibody. Confocal image showing nuclear staining in Hela cell line. Image was taken with a confocal microscope (Leica-Microsystems, TCS SP8).

Flow Cytometry (Intracellular) - Anti-SF3B1 antibody [EPR11986] (AB172634)
  • Flow Cyt (Intra)

Unknown

Flow Cytometry (Intracellular) - Anti-SF3B1 antibody [EPR11986] (AB172634)

Intracellular Flow Cytometry analysis of HeLa (human cervix adenocarcinoma) cells labeling SF3B1 (red) with ab172634 at a 1/2000 dilution. Cells were fixed with 4% paraformaldehyde and permeabilized with 90% methanol. A goat anti-rabbit IgG (Alexa Fluor® 488) (ab150077) was used as the secondary antibody at a 1/2000 dilution. Black - Rabbit monoclonal IgG (ab172730). Blue (unlabeled control) - Cells without incubation with the primary and secondary antibodies.

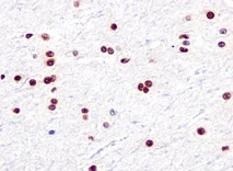
Immunohistochemistry (Formalin/PFA-fixed paraffin-embedded sections) - Anti-SF3B1 antibody [EPR11986] (AB172634)
  • IHC-P

Supplier Data

Immunohistochemistry (Formalin/PFA-fixed paraffin-embedded sections) - Anti-SF3B1 antibody [EPR11986] (AB172634)

Immunohistochemical analysis of Formalin-fixed, paraffin-embedded Human glioma tissue labeling SF3B1 with ab172634 at 1/100 dilution.

Perform heat mediated antigen retrieval with citrate buffer pH 6 before commencing with IHC staining protocol.

Immunohistochemistry (Formalin/PFA-fixed paraffin-embedded sections) - Anti-SF3B1 antibody [EPR11986] (AB172634)
  • IHC-P

Supplier Data

Immunohistochemistry (Formalin/PFA-fixed paraffin-embedded sections) - Anti-SF3B1 antibody [EPR11986] (AB172634)

Immunohistochemical analysis of Formalin-fixed, paraffin-embedded Human colon tissue labeling SF3B1 with ab172634 at 1/100 dilution.

Perform heat mediated antigen retrieval with citrate buffer pH 6 before commencing with IHC staining protocol.

Immunocytochemistry/ Immunofluorescence - Anti-SF3B1 antibody [EPR11986] (AB172634)
  • ICC/IF

Supplier Data

Immunocytochemistry/ Immunofluorescence - Anti-SF3B1 antibody [EPR11986] (AB172634)

Immunofluorescence analysis of HeLa cells labeling SF3B1 with ab172634 at 1/250 dilution.

Immunocytochemistry/ Immunofluorescence - Anti-SF3B1 antibody [EPR11986] (AB172634)
  • ICC/IF

Lab

Immunocytochemistry/ Immunofluorescence - Anti-SF3B1 antibody [EPR11986] (AB172634)

Immunocytochemistry/ Immunofluorescence analysis of NIH/3T3 (mouse embryonic fibroblast) labeling SF3B1 with ab172634 at 1/200 dilution followed by ab150081 Goat Anti-Rabbit IgG H&L (Alexa Fluor® 488) preadsorbed at 1/1000 dilution. Cells were fixed with 4% Paraformaldehyde and permeabilised with 0.1% TritonX-100. Nuclear counterstain was DAPI. ab195889 Anti-alpha Tubulin mouse monoclonal antibody - Microtubule Marker (Alexa Fluor® 594) at 1/200 was used as counterstain antibody. Confocal image showing nuclear staining in NIH/3T3 cell line. Image was taken with a confocal microscope (Leica-Microsystems, TCS SP8).

Western blot - Anti-SF3B1 antibody [EPR11986] (AB172634)
  • WB

Supplier Data

Western blot - Anti-SF3B1 antibody [EPR11986] (AB172634)

All lanes:

Western blot - Anti-SF3B1 antibody [EPR11986] (ab172634) at 1/1000 dilution

Lane 1:

HeLa lysate at 10 µg

Lane 2:

Jurkat lysate at 10 µg

Lane 3:

K562 lysate at 10 µg

Lane 4:

Ramos lysate at 10 µg

Predicted band size: 146 kDa

false

Western blot - Anti-SF3B1 antibody [EPR11986] (AB172634)
  • WB

Lab

Western blot - Anti-SF3B1 antibody [EPR11986] (AB172634)

Blocking/Diluting buffer and concentration : 5% NFDM/TBST Exposure time : Lane 1-4 : 1 second Lane 5-6 : 10 seconds In Western blot, anti- H3 antibody (ab176842) loading control staining at 1/100000 dilution and anti-GAPDH antibody (ab181602) loading control staining at 1/200000 dilution. Exposure time : Lane 1-3 : 3.25 seconds Lane 4 : 15 seconds

All lanes:

Western blot - Anti-SF3B1 antibody [EPR11986] (ab172634) at 1/1000 dilution

Lane 1:

HeLa (human cervical adenocarcinoma epithelial cell) nuclear fraction at 20 µg

Lane 2:

HeLa (human cervical adenocarcinoma epithelial cell) cytoplasmic fraction at 20 µg

Lane 3:

PC-12 (rat adrenal gland pheochromocytoma cell) nuclear fraction at 20 µg

Lane 4:

PC-12 (rat adrenal gland pheochromocytoma cell) cytoplasmic fraction at 20 µg

Lane 5:

RAW 264.7 (mouse Abelson murine leukemia virus-induced tumor macrophage) nuclear fraction at 20 µg

Lane 6:

RAW 264.7 (mouse Abelson murine leukemia virus-induced tumor macrophage) cytoplasmic fraction at 20 µg

Secondary

All lanes:

Western blot - Goat Anti-Rabbit IgG H&L (HRP) (<a href='/products/secondary-antibodies/goat-rabbit-igg-h-l-hrp-ab97051'>ab97051</a>) at 1/20000 dilution

Observed band size: 145 kDa

false

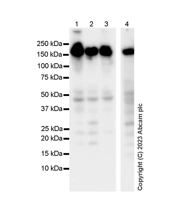
Western blot - Anti-SF3B1 antibody [EPR11986] (AB172634)
  • WB

Lab

Western blot - Anti-SF3B1 antibody [EPR11986] (AB172634)

Blocking/Diluting buffer and concentration : 5% NFDM/TBST Exposure time : Lane 1-3 : 3.25 seconds Lane 4 : 15 seconds

All lanes:

Western blot - Anti-SF3B1 antibody [EPR11986] (ab172634) at 1/1000 dilution

Lane 1:

RAW 264.7 (mouse Abelson murine leukemia virus-induced tumor macrophage) whole cell lysate at 20 µg

Lane 2:

PC-12 (rat adrenal gland pheochromocytoma cell) whole cell lysate at 20 µg

Lane 3:

NIH/3T3 (mouse embryonic fibroblast) whole cell lysate at 20 µg

Lane 4:

C6 (rat glial tumor glial cell) whole cell lysate at 20 µg

Secondary

All lanes:

Western blot - Goat Anti-Rabbit IgG H&L (HRP) (<a href='/products/secondary-antibodies/goat-rabbit-igg-h-l-hrp-ab97051'>ab97051</a>) at 1/20000 dilution

Observed band size: 146 kDa

false

不同偶联物与剂型 (9)

  • HRP

    HRP Anti-SF3B1 antibody [EPR11986]

  • Carrier free

    Anti-SF3B1 antibody [EPR11986] - BSA and Azide free

  • 519 Alexa Fluor® 488

    Alexa Fluor® 488 Anti-SF3B1 antibody [EPR11986]

  • 665 Alexa Fluor® 647

    Alexa Fluor® 647 Anti-SF3B1 antibody [EPR11986]

  • 565 Alexa Fluor® 555

    Alexa Fluor® 555 Anti-SF3B1 antibody [EPR11986]

  • 617 Alexa Fluor® 594

    Alexa Fluor® 594 Anti-SF3B1 antibody [EPR11986]

  • 578 PE

    PE Anti-SF3B1 antibody [EPR11986]

  • 660 APC

    APC Anti-SF3B1 antibody [EPR11986]

  • 775 Alexa Fluor® 750

    Alexa Fluor® 750 Anti-SF3B1 antibody [EPR11986]

关键信息

宿主种属

Rabbit

克隆

Monoclonal

克隆号

EPR11986

亚型

IgG

不含载体蛋白

No

反应种属

Mouse, Rat, Human

应用

ICC/IF, IHC-P, WB, Flow Cyt (Intra)

applications

免疫原

The exact immunogen used to generate this antibody is proprietary information.

反应性数据

{ "title": "Reactivity Data", "filters": { "stats": ["", "Species", "Dilution Info", "Notes"], "tabs": { "all-applications": {"fullname" : "All Applications", "shortname": "All Applications"}, "IHCP" : {"fullname" : "Immunohistochemistry (Formalin/PFA-fixed paraffin-embedded sections)", "shortname":"IHC-P"}, "IP" : {"fullname" : "Immunoprecipitation", "shortname":"IP"}, "WB" : {"fullname" : "Western blot", "shortname":"WB"}, "ICCIF" : {"fullname" : "Immunocytochemistry/ Immunofluorescence", "shortname":"ICC/IF"}, "FlowCytIntra" : {"fullname" : "Flow Cytometry (Intracellular)", "shortname":"Flow Cyt (Intra)"} }, "product-promise": { "all": "all", "testedAndGuaranteed": "tested", "guaranteed": "expected", "predicted": "predicted", "notRecommended": "not-recommended" } }, "values": { "Human": { "IHCP-species-checked": "testedAndGuaranteed", "IHCP-species-dilution-info": "1/100 - 1/250", "IHCP-species-notes": "<p></p>", "IP-species-checked": "notRecommended", "IP-species-dilution-info": "", "IP-species-notes": "<p></p>", "WB-species-checked": "testedAndGuaranteed", "WB-species-dilution-info": "1/1000 - 1/10000", "WB-species-notes": "<p></p>", "ICCIF-species-checked": "testedAndGuaranteed", "ICCIF-species-dilution-info": "1/200 - 1/500", "ICCIF-species-notes": "<p></p>", "FlowCytIntra-species-checked": "testedAndGuaranteed", "FlowCytIntra-species-dilution-info": "1/2000", "FlowCytIntra-species-notes": "<p></p>" }, "Mouse": { "IHCP-species-checked": "guaranteed", "IHCP-species-dilution-info": "", "IHCP-species-notes": "", "IP-species-checked": "notRecommended", "IP-species-dilution-info": "", "IP-species-notes": "", "WB-species-checked": "testedAndGuaranteed", "WB-species-dilution-info": "1/1000", "WB-species-notes": "<p></p>", "ICCIF-species-checked": "testedAndGuaranteed", "ICCIF-species-dilution-info": "1/200", "ICCIF-species-notes": "<p></p>", "FlowCytIntra-species-checked": "guaranteed", "FlowCytIntra-species-dilution-info": "", "FlowCytIntra-species-notes": "" }, "Rat": { "IHCP-species-checked": "guaranteed", "IHCP-species-dilution-info": "", "IHCP-species-notes": "", "IP-species-checked": "notRecommended", "IP-species-dilution-info": "", "IP-species-notes": "", "WB-species-checked": "testedAndGuaranteed", "WB-species-dilution-info": "", "WB-species-notes": "<p></p>", "ICCIF-species-checked": "guaranteed", "ICCIF-species-dilution-info": "", "ICCIF-species-notes": "", "FlowCytIntra-species-checked": "guaranteed", "FlowCytIntra-species-dilution-info": "", "FlowCytIntra-species-notes": "" } } }

产品详情

Patented technology
Our RabMAb® technology is a patented hybridoma-based technology for making rabbit monoclonal antibodies. For details on our patents, please refer to RabMAb® patents.

What are the advantages of a recombinant monoclonal antibody?
This product is a recombinant monoclonal antibody, which offers several advantages including:

  • - High batch-to-batch consistency and reproducibility
  • - Improved sensitivity and specificity
  • - Long-term security of supply
  • - Animal-free batch production

For more information, read more on recombinant antibodies.

性能和储存信息

形式
Liquid
纯化工艺
Affinity purification Protein A
存储溶液
pH: 7.2 - 7.4 Preservative: 0.01% Sodium azide Constituents: PBS, 50% Tissue culture supernatant, 40% Glycerol (glycerin, glycerine), 0.05% BSA
运输条件
Blue Ice
推荐的短期储存时间
1-2 weeks
推荐的短期储存条件
+4°C
推荐的长期储存条件
-20°C
分装信息
Upon delivery aliquot
储存信息
Avoid freeze / thaw cycle

补充信息

This supplementary information is collated from multiple sources and compiled automatically.

SF3B1 also known as Splicing Factor 3B subunit 1 plays an important role in the mRNA splicing process. This protein participates in the splicing machinery as part of the spliceosome contributing to the removal of introns from pre-mRNA. SF3B1 has a molecular weight of approximately 160 kDa. It is ubiquitously expressed yet shows a high level of activity in tissues with rapid cell division such as the bone marrow and lymphatic tissue reflecting its central involvement in gene expression regulation.
Biological function summary

SF3B1 is an essential component of the spliceosomal complex specifically the U2 snRNP component. It helps establish the branchpoint recognition complex ensuring accurate RNA splicing necessary for producing functional mRNA molecules. This process is important for the expression of diverse protein-coding genes affecting multiple aspects of cellular function and identity. The protein interacts with other spliceosomal proteins like SF3A and U2AF to guide the precise removal of non-coding sequences enabling proper translation into proteins.

Pathways

SF3B1 is involved in the mRNA processing pathway and influences the cell cycle pathway. During mRNA processing SF3B1 aids in assembling the spliceosome facilitating the excision of introns. The protein interacts with components like SF3B2 in coordinating splicing with other RNA processing events. In the cell cycle pathway SF3B1 indirectly affects gene expression and stability influencing cell cycle progression and serving as a regulatory node by modulating the splicing of key regulators active during cell division.

Several studies associate SF3B1 mutations with certain types of cancer including myelodysplastic syndrome and chronic lymphocytic leukemia. These mutations often result in aberrant splicing events leading to altered gene expression profiles that can promote tumorigenesis. Within these disease contexts SF3B1 abnormalities can influence interactions with related proteins like SRSF2 contributing to misregulated splicing patterns of genes that drive cancerous transformations and affect patient prognosis.

产品实验方案

For this product, it's our understanding that no specific protocols are required. You can visit:

靶点信息

Component of the 17S U2 SnRNP complex of the spliceosome, a large ribonucleoprotein complex that removes introns from transcribed pre-mRNAs (PubMed : 12234937, PubMed : 27720643, PubMed : 32494006, PubMed : 34822310). The 17S U2 SnRNP complex (1) directly participates in early spliceosome assembly and (2) mediates recognition of the intron branch site during pre-mRNA splicing by promoting the selection of the pre-mRNA branch-site adenosine, the nucleophile for the first step of splicing (PubMed : 32494006, PubMed : 34822310). Within the 17S U2 SnRNP complex, SF3B1 is part of the SF3B subcomplex, which is required for 'A' complex assembly formed by the stable binding of U2 snRNP to the branchpoint sequence in pre-mRNA (PubMed : 12234937). Sequence independent binding of SF3A and SF3B subcomplexes upstream of the branch site is essential, it may anchor U2 snRNP to the pre-mRNA (PubMed : 12234937). May also be involved in the assembly of the 'E' complex (PubMed : 10882114). Also acts as a component of the minor spliceosome, which is involved in the splicing of U12-type introns in pre-mRNAs (PubMed : 15146077, PubMed : 33509932). Together with other U2 snRNP complex components may also play a role in the selective processing of microRNAs (miRNAs) from the long primary miRNA transcript, pri-miR-17-92 (By similarity).
See full target information SF3B1

文献 (17)

Recent publications for all applications. Explore the full list and refine your search

Cellular and molecular life sciences : CMLS 82:18 PubMed39725737

2024

The splicing machinery is dysregulated and represents a therapeutic vulnerability in breast cancer.

Applications

Unspecified application

Species

Unspecified reactive species

Natalia Hermán-Sánchez,Miguel E G-García,Juan M Jiménez-Vacas,Elena M Yubero-Serrano,Laura M López-Sánchez,Sara Romero-Martín,Jose L Raya-Povedano,Marina Álvarez-Benito,Justo P Castaño,Raúl M Luque,Manuel D Gahete

Open life sciences 19:20220943 PubMed39220589

2024

LL37-mtDNA regulates viability, apoptosis, inflammation, and autophagy in lipopolysaccharide-treated RLE-6TN cells by targeting Hsp90aa1.

Applications

Unspecified application

Species

Unspecified reactive species

Yunlong Zuo,Run Dang,Hongyan Peng,Peidan Hu,Yiyu Yang

Cell reports 40:111266 PubMed36001976

2022

SF3B1 facilitates HIF1-signaling and promotes malignancy in pancreatic cancer.

Applications

Unspecified application

Species

Unspecified reactive species

Patrik Simmler,Cédric Cortijo,Lisa Maria Koch,Patricia Galliker,Silvia Angori,Hella Anna Bolck,Christina Mueller,Ana Vukolic,Peter Mirtschink,Yann Christinat,Natalie R Davidson,Kjong-Van Lehmann,Giovanni Pellegrini,Chantal Pauli,Daniela Lenggenhager,Ilaria Guccini,Till Ringel,Christian Hirt,Kim Fabiano Marquart,Moritz Schaefer,Gunnar Rätsch,Matthias Peter,Holger Moch,Markus Stoffel,Gerald Schwank

The Journal of biological chemistry 298:102106 PubMed35671824

2022

Neural stemness unifies cell tumorigenicity and pluripotent differentiation potential.

Applications

Unspecified application

Species

Unspecified reactive species

Min Zhang,Yang Liu,Lihua Shi,Lei Fang,Liyang Xu,Ying Cao

Journal of experimental & clinical cancer research : CR 41:39 PubMed35086552

2022

SF3B1 inhibition disrupts malignancy and prolongs survival in glioblastoma patients through BCL2L1 splicing and mTOR/ß-catenin pathways imbalances.

Applications

Unspecified application

Species

Unspecified reactive species

Antonio C Fuentes-Fayos,Jesús M Pérez-Gómez,Miguel E G-García,Juan M Jiménez-Vacas,Cristóbal Blanco-Acevedo,Rafael Sánchez-Sánchez,Juan Solivera,Joshua J Breunig,Manuel D Gahete,Justo P Castaño,Raúl M Luque

Journal of experimental & clinical cancer research : CR 40:382 PubMed34857016

2021

Dysregulated splicing factor SF3B1 unveils a dual therapeutic vulnerability to target pancreatic cancer cells and cancer stem cells with an anti-splicing drug.

Applications

Unspecified application

Species

Unspecified reactive species

Emilia Alors-Perez,Ricardo Blázquez-Encinas,Sonia Alcalá,Cristina Viyuela-García,Sergio Pedraza-Arevalo,Vicente Herrero-Aguayo,Juan M Jiménez-Vacas,Andrea Mafficini,Marina E Sánchez-Frías,María T Cano,Fernando Abollo-Jiménez,Juan A Marín-Sanz,Pablo Cabezas-Sainz,Rita T Lawlor,Claudio Luchini,Laura Sánchez,Juan M Sánchez-Hidalgo,Sebastián Ventura,Laura Martin-Hijano,Manuel D Gahete,Aldo Scarpa,Álvaro Arjona-Sánchez,Alejandro Ibáñez-Costa,Bruno Sainz,Raúl M Luque,Justo P Castaño

Molecular oncology 15:3076-3090 PubMed33932092

2021

SF3B1 mutation in pancreatic cancer contributes to aerobic glycolysis and tumor growth through a PP2A-c-Myc axis.

Applications

Unspecified application

Species

Unspecified reactive species

Jian-Yu Yang,Yan-Miao Huo,Min-Wei Yang,Yang Shen,De-Jun Liu,Xue-Liang Fu,Ling-Ye Tao,Rui-Zhe He,Jun-Feng Zhang,Rong Hua,Shu-Heng Jiang,Yong-Wei Sun,Wei Liu

Communications biology 4:386 PubMed33753867

2021

Targeting natural splicing plasticity of APOBEC3B restricts its expression and mutagenic activity.

Applications

Unspecified application

Species

Unspecified reactive species

A Rouf Banday,Olusegun O Onabajo,Seraph Han-Yin Lin,Adeola Obajemu,Joselin M Vargas,Krista A Delviks-Frankenberry,Philippe Lamy,Ariunaa Bayanjargal,Clara Zettelmeyer,Oscar Florez-Vargas,Vinay K Pathak,Lars Dyrskjøt,Ludmila Prokunina-Olsson

Cells 9: PubMed33317029

2020

U2AF65-Dependent SF3B1 Function in SMN Alternative Splicing.

Applications

Unspecified application

Species

Unspecified reactive species

Namjeong Choi,Yongchao Liu,Jagyeong Oh,Jiyeon Ha,Xuexiu Zheng,Haihong Shen

Cancer letters 496:72-83 PubMed33038489

2020

Splicing factor SF3B1 is overexpressed and implicated in the aggressiveness and survival of hepatocellular carcinoma.

Applications

Unspecified application

Species

Unspecified reactive species

Juan L López-Cánovas,Mercedes Del Rio-Moreno,Helena García-Fernandez,Juan M Jiménez-Vacas,M Trinidad Moreno-Montilla,Marina E Sánchez-Frias,Víctor Amado,Fernando L-López,Marcos F Fondevila,Rubén Ciria,Irene Gómez-Luque,Javier Briceño,Rubén Nogueiras,Manuel de la Mata,Justo P Castaño,Manuel Rodriguez-Perálvarez,Raúl M Luque,Manuel D Gahete
View all publications

Abcam Product Promise

我们致力于为您的研究提供高质量的试剂,为您科研的每一步提供支持。若我们的产品未能达到预期性能,我们向您提供 Abcam Product Promise 保障。
详情请参阅我们的条款与条件。

Please note: All products are 'FOR RESEARCH USE ONLY. NOT FOR USE IN DIAGNOSTIC OR THERAPEUTIC PROCEDURES'.

For licensing inquiries, please contact partnerships@abcam.com