JavaScript is disabled in your browser. Please enable JavaScript to view this website.
AB315150

重组Anti-Serotonin抗体[EPR24431-201]

Anti-Serotonin antibody [EPR24431-201]

  • BOND RX™ Validated
  • Advanced Validation
  • 20ul selling size
  • RabMAb
  • Recombinant
  • 了解详情

Be the first to review this product! Submit a review

|

(0 Publication)

Anti-Serotonin antibody [EPR24431-201] (ab315150) is a rabbit monoclonal antibody detecting Serotonin in Western Blot, IHC-P, ELISA, mIHC.

- Multiplex IHC validated on the Leica BOND® MAX using Opal reagents
- Biophysical QC for unrivalled batch-batch consistency

查看别名

5 hydroxytryptamine, 5HT

9 Images
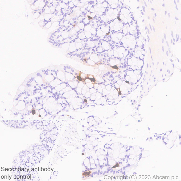
Immunohistochemistry (Formalin/PFA-fixed paraffin-embedded sections) - Anti-Serotonin antibody [EPR24431-201] (AB315150)
  • IHC-P

Supplier Data

Immunohistochemistry (Formalin/PFA-fixed paraffin-embedded sections) - Anti-Serotonin antibody [EPR24431-201] (AB315150)

Immunohistochemical analysis of paraffin-embedded Human colon tissue labeling Serotonin with ab315150 at 1/4000 (0.132 ug/ml) dilution, followed by a ready to use LeicaDS9800 (Bond™ Polymer Refine Detection).

Positive staining on enterochromaffin cells of human colon (PMID : 17195902).The section was incubated with ab315150 for 30 mins at room temperature.The immunostaining was performed on a Leica Biosystems BOND® RX instrumentIncubate slides with 3% Hydrogen Peroxide for 10 mins at room temperature after secondary antibody incubation to reduce the background Counterstained with Hematoxylin.

Secondary antibody only control : Secondary antibody is a ready to use LeicaDS9800 (Bond™ Polymer Refine Detection).

Heat mediated antigen retrieval was performed with Tris-EDTA buffer (pH 9.0, Epitope Retrieval Solution2) for 20 mins

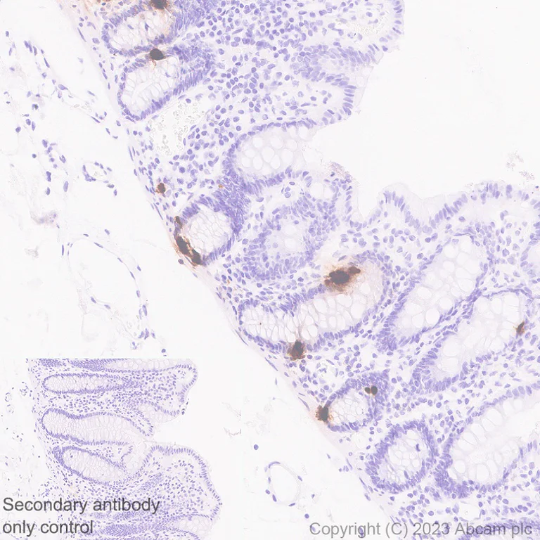
Immunohistochemistry (Formalin/PFA-fixed paraffin-embedded sections) - Anti-Serotonin antibody [EPR24431-201] (AB315150)
  • IHC-P

Supplier Data

Immunohistochemistry (Formalin/PFA-fixed paraffin-embedded sections) - Anti-Serotonin antibody [EPR24431-201] (AB315150)

Immunohistochemical analysis of paraffin-embedded Mouse colon tissue labeling Serotonin with ab315150 at 1/4000 (0.132 ug/ml) dilution, followed by a ready to use LeicaDS9800 (Bond™ Polymer Refine Detection).

Positive staining on enterochromaffin cells of mouse colon (PMID : 18192499).The section was incubated with ab315150 for 30 mins at room temperature.The immunostaining was performed on a Leica Biosystems BOND® RX instrumentIncubate slides with 3% Hydrogen Peroxide for 10 mins at room temperature after secondary antibody incubation to reduce the background Counterstained with Hematoxylin.

Secondary antibody only control : Secondary antibody is a ready to use LeicaDS9800 (Bond™ Polymer Refine Detection).

Heat mediated antigen retrieval was performed with Tris-EDTA buffer (pH 9.0, Epitope Retrieval Solution2) for 20 mins

Immunohistochemistry (Formalin/PFA-fixed paraffin-embedded sections) - Anti-Serotonin antibody [EPR24431-201] (AB315150)
  • IHC-P

Supplier Data

Immunohistochemistry (Formalin/PFA-fixed paraffin-embedded sections) - Anti-Serotonin antibody [EPR24431-201] (AB315150)

Immunohistochemical analysis of paraffin-embedded Rat colon tissue labeling Serotonin with ab315150 at 1/4000 (0.132 ug/ml) dilution, followed by a ready to use LeicaDS9800 (Bond™ Polymer Refine Detection).

Positive staining on enterochromaffin cells of rat colon (PMID : 27840918).The section was incubated with ab315150 for 30 mins at room temperature.The immunostaining was performed on a Leica Biosystems BOND® RX instrumentIncubate slides with 3% Hydrogen Peroxide for 10 mins at room temperature after secondary antibody incubation to reduce the background Counterstained with Hematoxylin.

Secondary antibody only control : Secondary antibody is a ready to use LeicaDS9800 (Bond™ Polymer Refine Detection).

Heat mediated antigen retrieval was performed with Tris-EDTA buffer (pH 9.0, Epitope Retrieval Solution2) for 20 mins

Multiplex immunohistochemistry - Anti-Serotonin antibody [EPR24431-201] (AB315150)
  • mIHC

Lab

Multiplex immunohistochemistry - Anti-Serotonin antibody [EPR24431-201] (AB315150)

Immunohistochemistry analysis of (Formalin/PFA-fixed paraffin-embedded sections) analysis of Mouse colon tissue labelling Eph receptor B2 with ab252935 at 1/500 dilution (B), GSDMC2 + GSDMC3 with ab229896 at 1/500 dilution (C) and Serotonin with ab315150 at 1/500 dilution (D). Opal Polymer HRP Ms + Rb was used as a secondary antibody, and DAPI was used for a nuclear counter stain. Heat mediated antigen retrieval with Tris-EDTA buffer (pH 9.0, epitope retrieval solution2) for 20 mins.

Panel A : merged staining of anti-Eph receptor B2 (green; Opal™520), anti-GSDMC2/3 (magenta; Opal™690) and anti-Serotonin (gray; Opal™570) on mouse stomach.

Panel B : anti-Eph receptor B2 staining stem cells in mouse stomach.

Panel C : anti-GSDMC2/3 staining epithelium in mouse stomach.

Panel D : anti-Serotonin staining enterochromaffin cells in mouse stomach.

Nuclear DNA was labeled with DAPI (shown in blue).

The section was incubated in three rounds of staining : in the order of ab252935, ab229896 and ab315150 for 30 mins at room temperature. Each round was followed by a separate fluorescent tyramide signal amplification system.

Multiplex immunohistochemistry - Anti-Serotonin antibody [EPR24431-201] (AB315150)
  • mIHC

Lab

Multiplex immunohistochemistry - Anti-Serotonin antibody [EPR24431-201] (AB315150)

Multiplex immunohistochemistry analysis of formalin/PFA-fixed paraffin-embedded mouse small intestine tissue staining CaMKII beta with ab314897 at a 1/5000 dilution, ab315150 anti-Serotonin used at 1/5000 dilution and ab238123 anti-MPTX used at a 1/2000 dilution. Opal Polymer HRP Ms + Rb was used as a secondary antibody.

Panel A : merged staining of anti-CaMKII beta (green; Opal690), anti-Serotonin (magenta; Opal520) and anti-MPTX (grey; Opal570) on mouse small intestine.
Panel B : anti-CaMKII beta staining myenteric nerve plexus and endocrine cells in mouse small intestine.
Panel C : anti-Serotonin staining enterochromaffin cells in mouse small intestine.
Panel D : anti-MPTX staining membrane of Paneth cells in mouse small intestine.
Nuclear DNA was labeled with DAPI (shown in blue).
The section was incubated in three rounds of staining : in the order of ab314897, ab315150 and ab238123 for 30 mins at room temperature. Each round was followed by a separate fluorescent tyramide signal amplification system.

Heat mediated antigen retrieval with Tris-EDTA buffer (pH 9.0, epitope retrieval solution2) for 20 mins.

Multiplex immunohistochemistry - Anti-Serotonin antibody [EPR24431-201] (AB315150)
  • mIHC

Lab

Multiplex immunohistochemistry - Anti-Serotonin antibody [EPR24431-201] (AB315150)

Multiplex immunohistochemistry analysis of formalin/PFA-fixed paraffin-embedded mouse stomach tissue staining CaMKII beta with ab314897 at 1/5000 dilution, ab315150 anti-Serotonin used at 1/5000 dilution and ab209790 anti-Ghrelin used at a 1/40000 dilution. Opal Polymer HRP Ms + Rb was used as a secondary antibody, and DAPI was used for a nuclear counter stain. Heat mediated antigen retrieval with Tris-EDTA buffer (pH 9.0, epitope retrieval solution2) for 20 mins.

Panel A : merged staining of anti-CaMKII beta (magenta; Opal690), anti-Serotonin (green; Opal520) and anti-Ghrelin (gray; Opal570) on mouse stomach.
Panel B : anti-CaMKII beta staining endocrine cells in mouse stomach.
Panel C : anti-Serotonin staining enterochromaffin cells in mouse stomach.
Panel D : anti-Ghrelin staining ghrelin in mouse stomach.
Nuclear DNA was labeled with DAPI (shown in blue).

The section was incubated in three rounds of staining : in the order of ab314897, ab315150 and ab209790 for 30 mins at room temperature. Each round was followed by a separate fluorescent tyramide signal amplification system.

The immunostaining was performed on a Leica Biosystems BOND® RX instrument with an Opal 4-color kit. Image acquisition was performed with Leica SP8 confocal microscope.

Multiplex immunohistochemistry - Anti-Serotonin antibody [EPR24431-201] (AB315150)
  • mIHC

Lab

Multiplex immunohistochemistry - Anti-Serotonin antibody [EPR24431-201] (AB315150)

Multiplex immunohistochemistry analysis of formalin/PFA-fixed paraffin-embedded mouse stomach tissue staining CaMKII beta with ab314897 at 1/5000 dilution, ab315150 anti-Serotonin used at 1/5000 dilution and ab287960 anti-Aurora B used at a 1/300 dilution. Opal Polymer HRP Ms + Rb was used as a secondary antibody, and DAPI was used for a nuclear counter stain. Heat mediated antigen retrieval with Tris-EDTA buffer (pH 9.0, epitope retrieval solution2) for 20 mins.

Panel A : merged staining of anti-CaMKII beta (magenta; Opal690), anti-Serotonin (green; Opal520) and anti-Aurora B (gray; Opal570) on mouse stomach.
Panel B : anti-CaMKII beta staining endocrine cells in mouse stomach.
Panel C : anti-Serotonin staining enterochromaffin cells in mouse stomach.
Panel D : anti-Aurora B staining proliferating cells in mouse stomach.
Nuclear DNA was labeled with DAPI (shown in blue).

The section was incubated in three rounds of staining : in the order of ab314897, ab315150 and ab287960 for 30 mins at room temperature. Each round was followed by a separate fluorescent tyramide signal amplification system.

The immunostaining was performed on a Leica Biosystems BOND® RX instrument with an Opal 4-color kit. Image acquisition was performed with Leica SP8 confocal microscope.

Indirect ELISA - Anti-Serotonin antibody [EPR24431-201] (AB315150)
  • I-ELISA

Supplier Data

Indirect ELISA - Anti-Serotonin antibody [EPR24431-201] (AB315150)

Indirect ELISA analysis of ab315150 at 1000-0 ng/ml. The Secondary antibody used was Alkaline Phosphatase-conjugated AffiniPure Goat Anti-Rabbit IgG (H+L) at 1 : 2500 dilution.

Antigen : Serotonin cross-linked to BSA.

Antigen concentration : 1000 ng/ml

Western blot - Anti-Serotonin antibody [EPR24431-201] (AB315150)
  • WB

Supplier Data

Western blot - Anti-Serotonin antibody [EPR24431-201] (AB315150)

Blocking and diluting buffer and concentration : 5% NFDM/TBST.

In lane 1, anti-BSA could not detect the total level of cross-linked BSA due to the blocking of epitopes by serotonin.

In Western blot, Anti-Bovine Serum Albumin antibody [EPR12774] (ab192603) staining at 1/1000 dilution.

All lanes:

Western blot - Anti-Serotonin antibody [EPR24431-201] (ab315150) at 1/1000 dilution

Lane 1:

Serotonin cross-linked to BSA at 20 ng

Lane 2:

BSA

Secondary

All lanes:

Western blot - Goat Anti-Rabbit IgG H&L (HRP) (<a href='/products/secondary-antibodies/goat-rabbit-igg-h-l-hrp-ab97051'>ab97051</a>) at 1/20000 dilution

Observed band size: 69 kDa

false

Exposure time: 70s

不同偶联物与剂型 (4)

  • 665 Alexa Fluor® 647

    Alexa Fluor® 647 Anti-Serotonin antibody [EPR24431-201]

  • 519 Alexa Fluor® 488

    Alexa Fluor® 488 Anti-Serotonin antibody [EPR24431-201]

  • Carrier free

    Anti-Serotonin antibody [EPR24431-201] - BSA and Azide free

  • Carrier free

    Anti-Serotonin antibody [EPR24431-201] - BSA and Azide free

关键信息

宿主种属

Rabbit

克隆

Monoclonal

克隆号

EPR24431-201

亚型

IgG

不含载体蛋白

No

应用

WB, mIHC, IHC-P, I-ELISA

applications

免疫原

The exact immunogen used to generate this antibody is proprietary information.

特异性

WB applications are recommended for testing serotonin cross-linking proteins. We do not guarantee detection of endogenous serotonin in WB.

反应性数据

{ "title": "Reactivity Data", "filters": { "stats": ["", "Species", "Dilution Info", "Notes"], "tabs": { "all-applications": {"fullname" : "All Applications", "shortname": "All Applications"}, "mIHC" : {"fullname" : "Multiplex immunohistochemistry", "shortname":"mIHC"}, "IHCP" : {"fullname" : "Immunohistochemistry (Formalin/PFA-fixed paraffin-embedded sections)", "shortname":"IHC-P"}, "WB" : {"fullname" : "Western blot", "shortname":"WB"}, "IELISA" : {"fullname" : "Indirect ELISA", "shortname":"I-ELISA"}, "IHCFr" : {"fullname" : "Immunohistochemistry (Frozen sections)", "shortname":"IHC-Fr"}, "ICCIF" : {"fullname" : "Immunocytochemistry/ Immunofluorescence", "shortname":"ICC/IF"}, "IP" : {"fullname" : "Immunoprecipitation", "shortname":"IP"} }, "product-promise": { "all": "all", "testedAndGuaranteed": "tested", "guaranteed": "expected", "predicted": "predicted", "notRecommended": "not-recommended" } }, "values": { "Chemical": { "mIHC-species-checked": "testedAndGuaranteed", "mIHC-species-dilution-info": "1/5000", "mIHC-species-notes": "<p></p> Perform heat-mediated antigen retrieval with Tris/EDTA buffer pH 9.0 before commencing with IHC staining protocol.", "IHCP-species-checked": "testedAndGuaranteed", "IHCP-species-dilution-info": "1/4000", "IHCP-species-notes": "<p></p> Perform heat-mediated antigen retrieval with Tris/EDTA buffer pH 9.0 before commencing with IHC staining protocol.", "WB-species-checked": "testedAndGuaranteed", "WB-species-dilution-info": "1/1000", "WB-species-notes": "<p></p>", "IELISA-species-checked": "testedAndGuaranteed", "IELISA-species-dilution-info": "1000 ng/mL", "IELISA-species-notes": "<p></p>", "IHCFr-species-checked": "notRecommended", "IHCFr-species-dilution-info": "", "IHCFr-species-notes": "<p></p>", "ICCIF-species-checked": "notRecommended", "ICCIF-species-dilution-info": "", "ICCIF-species-notes": "<p></p>", "IP-species-checked": "notRecommended", "IP-species-dilution-info": "", "IP-species-notes": "<p></p>" } } }

产品详情

What is this antibody validated in?
Anti-Serotonin antibody [EPR24431-201] (ab315150) is a rabbit recombinant monoclonal antibody and is validated for use in Western Blot (WB), Immunohistochemistry (IHC-P), ELISA, Multiplex IHC (mIHC). Trial sizes available!
Test your antibody or perform pre-screening before committing to a larger quantity. Sold in 10µl. Discover our selection of trial-size antibodies.

Other related products
We have a range of other formats of antibody clone [EPR24431-201] also available for your convenience: ab315150, Carrier free - ab315151, Carrier free - ab317525, Alexa Fluor® 647 - ab320779, Alexa Fluor® 488 - ab321853

Patented technology
Our RabMAb® technology is a patented hybridoma-based technology for making rabbit monoclonal antibodies. For details on our patents, please refer to RabMAb® patents.

What are the advantages of a recombinant monoclonal antibody?
This product is a recombinant monoclonal antibody, which offers several advantages including:

  • - High batch-to-batch consistency and reproducibility
  • - Improved sensitivity and specificity
  • - Long-term security of supply
  • - Animal-free batch production

For more information, read more on recombinant antibodies.

性能和储存信息

形式
Liquid
纯化工艺
Affinity purification Protein A
存储溶液
pH: 7.2 - 7.4 Preservative: 0.01% Sodium azide Constituents: PBS, 40% Glycerol (glycerin, glycerine), 0.05% BSA
运输条件
Blue Ice
推荐的短期储存时间
1-2 weeks
推荐的短期储存条件
+4°C
推荐的长期储存条件
-20°C
分装信息
Upon delivery aliquot
储存信息
Avoid freeze / thaw cycle

补充信息

This supplementary information is collated from multiple sources and compiled automatically.

Serotonin also known as 5-hydroxytryptamine (5-HT) is a neurotransmitter mainly involved in modulating mood emotion and behavior. It weighs approximately 176.2 Da and appears in several body tissues including the central nervous system gastrointestinal tract and blood platelets. Neurons within the raphe nuclei of the brainstem predominantly synthesize serotonin influencing various physiological processes. Its mechanical role involves binding to and activating specific serotonin receptors classified into seven different types each mediating distinct signaling pathways.
Biological function summary

Serotonin regulates multiple bodily functions beyond mood such as appetite sleep and circadian rhythm. It forms part of a complex system interacting with various receptor subtypes which include the anti-serotonergic pathways inhibiting its action. Each receptor subtype leads to different downstream effects in cells contributing to the diversity of serotonin's biological roles. For research purposes scientists often use an ELISA kit to measure serotonin levels and this can influence the ELISA test cost based on the specificity and sensitivity required.

Pathways

Serotonin participates in both the serotonergic and dopaminergic pathways illustrating its central role in neurotransmission. The serotonergic pathway is essential for transmitting nerve impulses while its interaction with the dopaminergic system significantly affects mood and reward-related behaviors. Key proteins such as tryptophan hydroxylase for serotonin synthesis and the vesicular monoamine transporter are involved within these pathways and may alter serotonin's functional availability.

Serotonin is closely linked to depression and anxiety disorders where its imbalance can lead to mood disturbances. Antidepressant treatments often target serotonin receptors or its transporters restoring its levels within synapses. Serotonin's connection to these conditions extends through its relationship with proteins like the serotonin transporter (SERT) which recycles serotonin in the synaptic cleft. Understanding these dynamics presents potential targets for interventions and anti-serotonergic agents may offer therapeutic options for managing such disorders.

产品实验方案

For this product, it's our understanding that no specific protocols are required. You can visit:

Abcam Product Promise

我们致力于为您的研究提供高质量的试剂,为您科研的每一步提供支持。若我们的产品未能达到预期性能,我们向您提供 Abcam Product Promise 保障。
详情请参阅我们的条款与条件。

Please note: All products are 'FOR RESEARCH USE ONLY. NOT FOR USE IN DIAGNOSTIC OR THERAPEUTIC PROCEDURES'.

For licensing inquiries, please contact partnerships@abcam.com