JavaScript is disabled in your browser. Please enable JavaScript to view this website.
AB3625

Anti-SERCA2 ATPase 抗体

Anti-SERCA2 ATPase antibody

4

(6 Reviews)

|

(58 Publications)

Anti-SERCA2 ATPase antibody (ab3625) is a rabbit polyclonal antibody detecting SERCA2 ATPase in Western Blot, IP, IHC-P, ICC/IF. Suitable for Human, Mouse, Pig, Rabbit, Rat.

- Over 40 publications
- Trusted since 2003

查看别名

ATP2B, ATP2A2, Sarcoplasmic/endoplasmic reticulum calcium ATPase 2, SERCA2, SR Ca(2+)-ATPase 2, Calcium pump 2, Endoplasmic reticulum class 1/2 Ca(2+) ATPase

6 Images
Western blot - Anti-SERCA2 ATPase antibody (AB3625)
  • WB

Supplier Data

Western blot - Anti-SERCA2 ATPase antibody (AB3625)

All lanes:

Western blot - Anti-SERCA2 ATPase antibody (ab3625) at 0.1 µg/mL

Lane 1:

HeLa (human epithelial cell line from cervix adenocarcinoma) whole cell lysate at 50 µg

Lane 2:

HEK-293T (human epithelial cell line from embryonic kidney transformed with large T antigen) whole cell lysate at 50 µg

Lane 3:

NIH/3T3 (mouse embryo fibroblast cell line) whole cell lysate at 50 µg

Predicted band size: 115 kDa

true

Exposure time: 30s

Immunohistochemistry (Formalin/PFA-fixed paraffin-embedded sections) - Anti-SERCA2 ATPase antibody (AB3625)
  • IHC-P

Unknown

Immunohistochemistry (Formalin/PFA-fixed paraffin-embedded sections) - Anti-SERCA2 ATPase antibody (AB3625)

ab3625 staining human heart. Staining is localised to the cytoplasm/sarcoplasm.
Left panel : with primary antibody at 1 ug/ml. Right panel : isotype control.
Sections were stained using an automated system DAKO Autostainer Plus , at room temperature. Sections were rehydrated and antigen retrieved with the DAKO 3-in-1 antigen retrieval buffer citrate pH 6.0 in a DAKO PT Link. Slides were peroxidase blocked in 3% H2O2 in methanol for 10 minutes. They were then blocked with Dako Protein block for 10 minutes (containing casein 0.25% in PBS) then incubated with primary antibody for 20 minutes and detected with Dako Envision Flex amplification kit for 30 minutes. Colorimetric detection was completed with diaminobenzidine for 5 minutes. Slides were counterstained with Haematoxylin and coverslipped under DePeX. Please note that for manual staining we recommend to optimize the primary antibody concentration and incubation time (overnight incubation), and amplification may be required.

Immunocytochemistry/ Immunofluorescence - Anti-SERCA2 ATPase antibody (AB3625)
  • ICC/IF

Unknown

Immunocytochemistry/ Immunofluorescence - Anti-SERCA2 ATPase antibody (AB3625)

ICC/IF image of ab3625 stained HeLa cells. The cells were 4% formaldehyde fixed (10 min) and then incubated in 1%BSA / 10% normal goat serum / 0.3M glycine in 0.1% PBS-Tween for 1h to permeabilise the cells and block non-specific protein-protein interactions. The cells were then incubated with the antibody (ab3625, 1µg/ml) overnight at +4°C. The secondary antibody (green) was Alexa Fluor® 488 goat anti-rabbit IgG (H+L) used at a 1/1000 dilution for 1h. Alexa Fluor® 594 WGA was used to label plasma membranes (red) at a 1/200 dilution for 1h. DAPI was used to stain the cell nuclei (blue) at a concentration of 1.43µM.

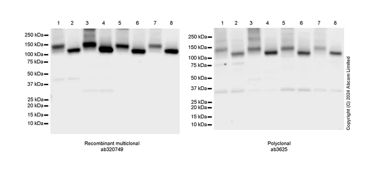
Western blot - Anti-SERCA2 ATPase antibody (AB3625)
  • WB

Supplier Data

Western blot - Anti-SERCA2 ATPase antibody (AB3625)

Blocking and diluting buffer and concentration : 5% NFDM/TBST. Anti-SERCA2 ATPase antibody (ab320749, Left) staining at 1/1000 dilution showed similar expression profile/ molecular weight with Anti-SERCA2 ATPase antibody (ab3625, Right) at 1/1000 dilution. Suggest to use non-boiled samples, as boiling process could cause membrane protein aggregates (PMID : 16023741 and PMID : 8670158).

All lanes:

Western blot - Anti-SERCA2 ATPase antibody [RM1176] (<a href='/products/primary-antibodies/serca2-atpase-antibody-rm1176-ab320749'>ab320749</a>) at 1/1000 dilution

Lane 1:

HeLa (human cervical adenocarcinoma epithelial cell) whole cell lysate boiled at 20 µg

Lane 2:

HeLa (human cervical adenocarcinoma epithelial cell) whole cell lysate unboiled at 20 µg

Lane 3:

HepG2 (human hepatocellular carcinoma epithelial cell) whole cell lysate boiled at 20 µg

Lane 4:

HepG2 (human hepatocellular carcinoma epithelial cell) whole cell lysate unboiled at 20 µg

Lane 5:

NIH/3T3 (mouse embryonic fibroblast) whole cell lysate boiled at 20 µg

Lane 6:

NIH/3T3 (mouse embryonic fibroblast) whole cell lysate unboiled at 20 µg

Lane 7:

H9c2 (2-1) (rat cardiomyoblast) whole cell lysate boiled at 20 µg

Lane 8:

H9c2 (2-1) (rat cardiomyoblast) whole cell lysate unboiled at 20 µg

Secondary

All lanes:

Western blot - Goat Anti-Rabbit IgG H&L (HRP) (<a href='/products/secondary-antibodies/goat-rabbit-igg-h-l-hrp-ab97051'>ab97051</a>) at 1/100000 dilution

Observed band size: 115 kDa,140 kDa

false

Exposure time: 26s

Immunoprecipitation - Anti-SERCA2 ATPase antibody (AB3625)
  • IP

Supplier Data

Immunoprecipitation - Anti-SERCA2 ATPase antibody (AB3625)

SERCA2 ATPase was immunoprecipitated from HEK-293T (human epithelial cell line from embryonic kidney transformed with large T antigen) whole cell lysate (1 mg for IP, 20% of IP loaded) with ab3625 at 6 μg/mg lysate. Western blot was performed from the immunoprecipitate using ab3625 at 1 μg/ml.

Lane 1 : ab3625 IP in HEK-293T whole cell lysate.

Lane 3 : ab3625 IP in HEK-293T whole cell lysate.

Lane 2 : Control IgG IP in HEK-293T whole cell lysate.

Detection : Chemiluminescence with exposure time of 3 minutes.

All lanes:

Immunoprecipitation - Anti-SERCA2 ATPase antibody (ab3625)

Predicted band size: 115 kDa

true

Western blot - Anti-SERCA2 ATPase antibody (AB3625)
  • WB

Unknown

Western blot - Anti-SERCA2 ATPase antibody (AB3625)

Sample : Homogenate from Pig (lanes 1 and 2) or Rabbit (lane 4) aorta or lysate from cultured Rat aortic smooth muscle cells (lane 3)

Affinity purified Rabbit anti-SERCA2 (ab3625) (lanes 2, 3 and IP for lane 4) or control (ctrl) monoclonal anti-SERCA2 (lanes 1 and WB for lane 4).

Dilutions : 1 : 1,000 (lanes 1, 2 and 4) or 1 : 2,500 (lane 3)

All lanes:

Western blot - Anti-SERCA2 ATPase antibody (ab3625)

Predicted band size: 115 kDa

false

关键信息

宿主种属

Rabbit

克隆

Polyclonal

亚型

IgG

不含载体蛋白

No

反应种属

Mouse, Rat, Rabbit, Human, Pig

应用

IHC-P, ICC/IF, IP, WB

applications

免疫原

Synthetic Peptide within Human ATP2A2 aa 250-550. The exact immunogen used to generate this antibody is proprietary information.

P16615

反应性数据

{ "title": "Reactivity Data", "filters": { "stats": ["", "Species", "Dilution Info", "Notes"], "tabs": { "all-applications": {"fullname" : "All Applications", "shortname": "All Applications"}, "IHCP" : {"fullname" : "Immunohistochemistry (Formalin/PFA-fixed paraffin-embedded sections)", "shortname":"IHC-P"}, "IP" : {"fullname" : "Immunoprecipitation", "shortname":"IP"}, "WB" : {"fullname" : "Western blot", "shortname":"WB"}, "ICCIF" : {"fullname" : "Immunocytochemistry/ Immunofluorescence", "shortname":"ICC/IF"} }, "product-promise": { "all": "all", "testedAndGuaranteed": "tested", "guaranteed": "expected", "predicted": "predicted", "notRecommended": "not-recommended" } }, "values": { "Human": { "IHCP-species-checked": "testedAndGuaranteed", "IHCP-species-dilution-info": "1 µg/mL", "IHCP-species-notes": "<p></p> Perform heat-mediated antigen retrieval before commencing with IHC staining protocol.", "IP-species-checked": "testedAndGuaranteed", "IP-species-dilution-info": "1-4 µg/mL", "IP-species-notes": "<p></p>", "WB-species-checked": "testedAndGuaranteed", "WB-species-dilution-info": "1/1000 - 1/5000", "WB-species-notes": "<p></p>", "ICCIF-species-checked": "testedAndGuaranteed", "ICCIF-species-dilution-info": "1 µg/mL", "ICCIF-species-notes": "<p></p>" }, "Mouse": { "IHCP-species-checked": "guaranteed", "IHCP-species-dilution-info": "", "IHCP-species-notes": "", "IP-species-checked": "guaranteed", "IP-species-dilution-info": "", "IP-species-notes": "", "WB-species-checked": "testedAndGuaranteed", "WB-species-dilution-info": "1/1000 - 1/5000", "WB-species-notes": "<p></p>", "ICCIF-species-checked": "guaranteed", "ICCIF-species-dilution-info": "", "ICCIF-species-notes": "" }, "Rat": { "IHCP-species-checked": "guaranteed", "IHCP-species-dilution-info": "", "IHCP-species-notes": "", "IP-species-checked": "guaranteed", "IP-species-dilution-info": "", "IP-species-notes": "", "WB-species-checked": "testedAndGuaranteed", "WB-species-dilution-info": "1/1000 - 1/5000", "WB-species-notes": "<p></p>", "ICCIF-species-checked": "guaranteed", "ICCIF-species-dilution-info": "", "ICCIF-species-notes": "" }, "Cat": { "IHCP-species-checked": "predicted", "IHCP-species-dilution-info": "", "IHCP-species-notes": "", "IP-species-checked": "predicted", "IP-species-dilution-info": "", "IP-species-notes": "", "WB-species-checked": "predicted", "WB-species-dilution-info": "", "WB-species-notes": "", "ICCIF-species-checked": "predicted", "ICCIF-species-dilution-info": "", "ICCIF-species-notes": "" }, "Chicken": { "IHCP-species-checked": "predicted", "IHCP-species-dilution-info": "", "IHCP-species-notes": "", "IP-species-checked": "predicted", "IP-species-dilution-info": "", "IP-species-notes": "", "WB-species-checked": "predicted", "WB-species-dilution-info": "", "WB-species-notes": "", "ICCIF-species-checked": "predicted", "ICCIF-species-dilution-info": "", "ICCIF-species-notes": "" }, "Dog": { "IHCP-species-checked": "predicted", "IHCP-species-dilution-info": "", "IHCP-species-notes": "", "IP-species-checked": "predicted", "IP-species-dilution-info": "", "IP-species-notes": "", "WB-species-checked": "predicted", "WB-species-dilution-info": "", "WB-species-notes": "", "ICCIF-species-checked": "predicted", "ICCIF-species-dilution-info": "", "ICCIF-species-notes": "" }, "Pig": { "IHCP-species-checked": "guaranteed", "IHCP-species-dilution-info": "", "IHCP-species-notes": "", "IP-species-checked": "guaranteed", "IP-species-dilution-info": "", "IP-species-notes": "", "WB-species-checked": "testedAndGuaranteed", "WB-species-dilution-info": "1/1000 - 1/5000", "WB-species-notes": "<p></p>", "ICCIF-species-checked": "guaranteed", "ICCIF-species-dilution-info": "", "ICCIF-species-notes": "" }, "Rabbit": { "IHCP-species-checked": "guaranteed", "IHCP-species-dilution-info": "", "IHCP-species-notes": "", "IP-species-checked": "guaranteed", "IP-species-dilution-info": "", "IP-species-notes": "", "WB-species-checked": "testedAndGuaranteed", "WB-species-dilution-info": "1/1000 - 1/5000", "WB-species-notes": "<p></p>", "ICCIF-species-checked": "guaranteed", "ICCIF-species-dilution-info": "", "ICCIF-species-notes": "" } } }

产品详情

What is this antibody validated in?
Anti-SERCA2 ATPase antibody (ab3625) is a rabbit polyclonal antibody and is validated for use in Western Blot (WB), Immunoprecipitation (IP), Immunohistochemistry (IHC-P), Immunocytochemistry/immunofluorescence (ICC/IF) in Human, Mouse, Pig, Rabbit, Rat samples.

What is the molecular weight of SERCA2 ATPase?
Anti-SERCA2 ATPase (ab3625) specifically detects a band for SERCA2 ATPase (UniProt: P16615) at a molecular weight of 115kDa.

Trusted by the scientific community
Anti-SERCA2 ATPase (ab3625) was first used in a scientific publication in 2003 and has been cited over 40 times in peer-reviewed journals.

Reviewed by scientists
Anti-SERCA2 ATPase (ab3625) has over 5 independent reviews from customers.

性能和储存信息

形式
Liquid
纯化工艺
Affinity purification Immunogen
存储溶液
pH: 7 - 8 Preservative: 0.1% Sodium azide Constituents: PBS, 1.815% Tris, 1.764% Sodium citrate
运输条件
Blue Ice
推荐的短期储存条件
+4°C
推荐的长期储存条件
-20°C
分装信息
Upon delivery aliquot
储存信息
Avoid freeze / thaw cycle

补充信息

This supplementary information is collated from multiple sources and compiled automatically.

SERCA2 ATPase also known as sarco/endoplasmic reticulum CaІ?-ATPase 2 or ATP2A2 is an important pump responsible for the active transport of calcium ions from the cytosol into the sarcoplasmic or endoplasmic reticulum. This protein has a molecular weight of 110 kDa. It plays an important role in maintaining calcium homeostasis in muscle cells and is expressed in various tissues but particularly in cardiac and skeletal muscle. This pump uses energy from ATP hydrolysis to move calcium ions against their concentration gradient.
Biological function summary

The proper regulation of calcium ion levels by SERCA2 ATPase is essential for muscle contraction and relaxation cycles. SERCA2 exists as a part of the complex machinery in muscle cells closely interacting with phospholamban in the cardiac muscle to regulate its activity. Efficient functioning of SERCA2 directly influences calcium ion storage in the sarcoplasmic reticulum affecting muscle physiology and performance.

Pathways

The involvement of SERCA2 ATPase in the calcium signaling pathway and excitation-contraction coupling is significant. The protein's function is intimately linked with RYR2 (ryanodine receptor 2) as they both participate in the regulation of calcium ion flow in muscle cells. This interaction is necessary for the proper release and uptake of calcium ions during muscle contraction and relaxation cycles.

SERCA2 ATPase mutations or dysregulation can lead to cardiac diseases such as heart failure and muscle disorders like Brody myopathy. Heart failure often results from impaired calcium handling due to disruptions in the interaction between SERCA2 and associated proteins like phospholamban. Abnormalities in SERCA2 expression or function can lead to either excessive storage or insufficient release of calcium contributing to the pathological state of these conditions.

产品实验方案

For this product, it's our understanding that no specific protocols are required. You can visit:

靶点信息

This magnesium-dependent enzyme catalyzes the hydrolysis of ATP coupled with the translocation of calcium from the cytosol to the sarcoplasmic reticulum lumen (PubMed : 12542527, PubMed : 16402920). Involved in autophagy in response to starvation. Upon interaction with VMP1 and activation, controls ER-isolation membrane contacts for autophagosome formation (PubMed : 28890335). Also modulates ER contacts with lipid droplets, mitochondria and endosomes (PubMed : 28890335). In coordination with FLVCR2 mediates heme-stimulated switching from mitochondrial ATP synthesis to thermogenesis (By similarity).. Isoform 2. Involved in the regulation of the contraction/relaxation cycle. Acts as a regulator of TNFSF11-mediated Ca(2+) signaling pathways via its interaction with TMEM64 which is critical for the TNFSF11-induced CREB1 activation and mitochondrial ROS generation necessary for proper osteoclast generation. Association between TMEM64 and SERCA2 in the ER leads to cytosolic Ca(2+) spiking for activation of NFATC1 and production of mitochondrial ROS, thereby triggering Ca(2+) signaling cascades that promote osteoclast differentiation and activation.
See full target information ATP2A2

文献 (58)

Recent publications for all applications. Explore the full list and refine your search

Communications biology 8:1351 PubMed40993245

2025

Site-1 protease is a negative regulator of sarcolipin promoter activity.

Applications

Unspecified application

Species

Unspecified reactive species

Isha Sharma,Meredith O Kelly,Katelyn Hanners,Ella S Shin,Muhammad G Mousa,Shelby Ek,Gretchen A Meyer,Rita T Brookheart

Journal of molecular and cellular cardiology plus 12:100454 PubMed40485774

2025

Glyoxal is a superior fixative to formaldehyde in promoting antigenicity and structural integrity in murine cardiac tissues.

Applications

Unspecified application

Species

Unspecified reactive species

Allen C T Teng,Dev Mehangrey,Ava Vandenbelt,Karl Vearncombe,Justin D Callahan,Priya Mistry,Wenping Li,Cristine J Reitz,Omar Hamed,Madison Roche,Uros Kuzmanov,Jason E Fish,Slava Epelman,Anthony O Gramolini

Communications biology 8:661 PubMed40274989

2025

Induction of cardiac fibulin-4 protects against pressure overload-induced cardiac hypertrophy and heart failure.

Applications

Unspecified application

Species

Unspecified reactive species

E D van Deel,M Snelders,N van Vliet,L Te Riet,T P P van den Bosch,L R Fiedler,A C C van Spreeuwel,N A M Bax,N Boontje,C M Halabi,T Sasaki,D P Reinhardt,J van der Velden,C V C Bouten,J H von der Thüsen,A H J Danser,D J Duncker,M D Schneider,I van der Pluijm,J Essers

Communications biology 8:596 PubMed40210720

2025

The gut microbiota metabolite trimethylamine N-oxide promotes cardiac hypertrophy by activating the autophagic degradation of SERCA2a.

Applications

Unspecified application

Species

Unspecified reactive species

Dongyu Lei,Yi Liu,Yuan Liu,Yujie Jiang,Yuyan Lei,Feilong Zhao,Wenqun Li,Zhonghua Ouyang,Lulu Chen,Siyuan Tang,Dongsheng Ouyang,Xiaohui Li,Ying Li

Scientific reports 15:4184 PubMed39905176

2025

The Sarcoplasmic/Endoplasmic reticulum Ca-ATPase (SERCA) is present in pig sperm and modulates their physiology over liquid preservation.

Applications

Unspecified application

Species

Unspecified reactive species

Ferran Garriga,Jesús Martínez-Hernández,Ainhoa Parra-Balaguer,Marc Llavanera,Marc Yeste

The Journal of biological chemistry 301:108235 PubMed39880095

2025

The Shab family potassium channels are highly enriched at the presynaptic terminals of human neurons.

Applications

Unspecified application

Species

Unspecified reactive species

Orion Benner,Charles H Karr,Astrid Quintero-Gonzalez,Michael M Tamkun,Soham Chanda

Forensic toxicology 43:62-73 PubMed39117988

2024

Silymarin ameliorates diazinon-induced subacute nephrotoxicity in rats via the Keap1-Nrf2/heme oxygenase-1 signaling pathway.

Applications

Unspecified application

Species

Unspecified reactive species

Eman Mohamed Fath,Hatem H Bakery,Ragab M El-Shawarby,Mohamed E S Abosalem,Samar S Ibrahim,Nesrine Ebrahim,Ahmed Medhat Hegazy

International journal of molecular sciences 25: PubMed38396828

2024

The Effects of Aging on Sarcoplasmic Reticulum-Related Factors in the Skeletal Muscle of Mice.

Applications

Unspecified application

Species

Unspecified reactive species

Yuji Kanazawa,Tatsuo Takahashi,Mamoru Nagano,Satoshi Koinuma,Yasufumi Shigeyoshi

Journal of lipid research 65:100519 PubMed38354857

2024

Decreased sarcoplasmic reticulum phospholipids in human skeletal muscle are associated with metabolic syndrome.

Applications

Unspecified application

Species

Unspecified reactive species

Samantha E Adamson,Sangeeta Adak,Max C Petersen,Dustin Higgins,Larry D Spears,Rong Mei Zhang,Andrea Cedeno,Alexis McKee,Aswathi Kumar,Sudhir Singh,Fong-Fu Hsu,Janet B McGill,Clay F Semenkovich

International heart journal 64:453-461 PubMed37258121

2023

Intravenous Semaphorin 3A Administration Maintains Cardiac Contractility and Improves Electrical Remodeling in a Mouse Model of Isoproterenol-Induced Heart Failure.

Applications

Unspecified application

Species

Unspecified reactive species

Sayaka Kurokawa,Miwa Kashimoto,Kazuhiro Hagikura,Sayaka Shimodai-Yamada,Naoto Otsuka,Yuji Wakamatsu,Koichi Nagashima,Taro Matsumoto,Hiroyuki Hao,Yasuo Okumura
View all publications

Abcam Product Promise

我们致力于为您的研究提供高质量的试剂,为您科研的每一步提供支持。若我们的产品未能达到预期性能,我们向您提供 Abcam Product Promise 保障。
详情请参阅我们的条款与条件。

Please note: All products are 'FOR RESEARCH USE ONLY. NOT FOR USE IN DIAGNOSTIC OR THERAPEUTIC PROCEDURES'.

For licensing inquiries, please contact partnerships@abcam.com