JavaScript is disabled in your browser. Please enable JavaScript to view this website.
AB251065

重组Anti-Septin 8抗体[EPR16099] - BSA and Azide free

Anti-Septin 8 antibody [EPR16099] - BSA and Azide free

Be the first to review this product! Submit a review

|

(1 Publication)

Rabbit Recombinant Monoclonal Septin 8 antibody. Carrier free. Suitable for ICC/IF, IP, WB, Flow Cyt (Intra), IHC-P and reacts with Rat, Human, Mouse samples. Cited in 1 publication.

查看别名

KIAA0202, SEPT8, SEPTIN8, Septin-8

8 Images
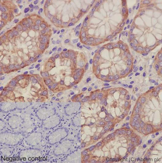
Immunohistochemistry (Formalin/PFA-fixed paraffin-embedded sections) - Anti-Septin 8 antibody [EPR16099] - BSA and Azide free (AB251065)
  • IHC-P

Supplier Data

Immunohistochemistry (Formalin/PFA-fixed paraffin-embedded sections) - Anti-Septin 8 antibody [EPR16099] - BSA and Azide free (AB251065)

This data was developed using ab191404, the same antibody clone in a different buffer formulation.

Immunohistochemical analysis of paraffin-embedded, Human stomach tissue labeling Septin 8 with ab191404 at 1/200 dilution, followed by prediluted HRP Polymer for Rabbit/Mouse IgG. Counter stained with Hematoxylin. In the negative control PBS was used instead of primary antibody.

Perform heat mediated antigen retrieval with Tris/EDTA buffer pH 9.0 before commencing with IHC staining protocol.

Flow Cytometry (Intracellular) - Anti-Septin 8 antibody [EPR16099] - BSA and Azide free (AB251065)
  • Flow Cyt (Intra)

Supplier Data

Flow Cytometry (Intracellular) - Anti-Septin 8 antibody [EPR16099] - BSA and Azide free (AB251065)

This data was developed using ab191404, the same antibody clone in a different buffer formulation.

Intracellular flow cytometric analysis of 2% paraformaldehyde-fixed K562 cells labeling Septin 8 with ab191404 at 1/150 dilution (pink), compared to a Rabbit monoclonal IgG isotype control (green). Goat anti-rabbit IgG (FITC) was used as secondary antibody at 1/150 dilution.

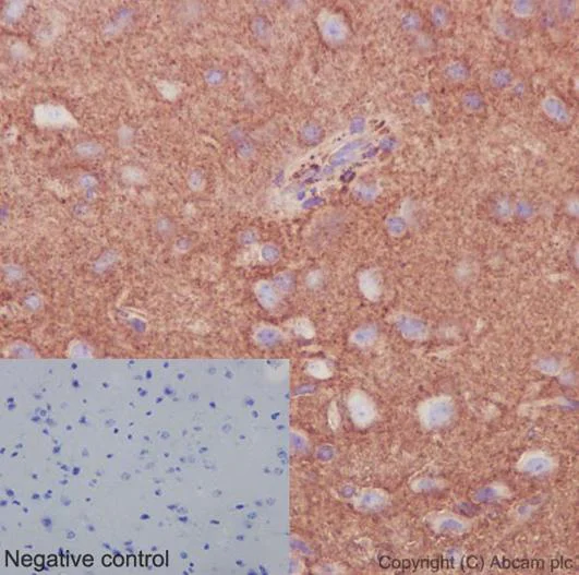
Immunohistochemistry (Formalin/PFA-fixed paraffin-embedded sections) - Anti-Septin 8 antibody [EPR16099] - BSA and Azide free (AB251065)
  • IHC-P

Supplier Data

Immunohistochemistry (Formalin/PFA-fixed paraffin-embedded sections) - Anti-Septin 8 antibody [EPR16099] - BSA and Azide free (AB251065)

This data was developed using ab191404, the same antibody clone in a different buffer formulation.

Immunohistochemical analysis of paraffin-embedded mouse brain tissue labeling Septin 8 with ab191404 at 1/200 dilution, followed by prediluted HRP Polymer for Rabbit/Mouse IgG. Counter stained with Hematoxylin. In the negative control PBS was used instead of primary antibody.

Perform heat mediated antigen retrieval with Tris/EDTA buffer pH 9.0 before commencing with IHC staining protocol.

Immunocytochemistry/ Immunofluorescence - Anti-Septin 8 antibody [EPR16099] - BSA and Azide free (AB251065)
  • ICC/IF

Supplier Data

Immunocytochemistry/ Immunofluorescence - Anti-Septin 8 antibody [EPR16099] - BSA and Azide free (AB251065)

This data was developed using ab191404, the same antibody clone in a different buffer formulation.

Immunofluorescent analysis of 4% paraformaldehyde-fixed, 0.1% tritonX-100 permeabilized C6 cells labeling Septin 8 with ab191404 at 1/200 dilution, followed by Goat anti-rabbit IgG (Alexa Fluor®488) secondary antibody (ab150077) at 1/200 dilution. Nuclear counter stain DAPI (blue).

The two negative controls used anti-Septin 8 primary antibody at 1/200 dilution followed by Goat anti-mouse IgG (Alexa Fluor®594) secondary antibody at 1/400 dilution.

Western blot - Anti-Septin 8 antibody [EPR16099] - BSA and Azide free (AB251065)
  • WB

Supplier Data

Western blot - Anti-Septin 8 antibody [EPR16099] - BSA and Azide free (AB251065)

This data was developed using ab191404, the same antibody clone in a different buffer formulation.

Blocking and dilution buffer : 5% NFDM/TBST.

All lanes:

Western blot - Anti-Septin 8 antibody [EPR16099] (<a href='/products/primary-antibodies/septin-8-antibody-epr16099-ab191404'>ab191404</a>) at 1/1000 dilution

Lane 1:

HCT-116 cell lysate at 20 µg

Lane 2:

U-87 MG cell lysate at 20 µg

Secondary

All lanes:

Goat anti-rabbit IgG, (H+L), peroxidase conjugated at 1/1000 dilution

Predicted band size: 56 kDa

Observed band size: 56 kDa

false

Western blot - Anti-Septin 8 antibody [EPR16099] - BSA and Azide free (AB251065)
  • WB

Supplier Data

Western blot - Anti-Septin 8 antibody [EPR16099] - BSA and Azide free (AB251065)

This data was developed using ab191404, the same antibody clone in a different buffer formulation.

Blocking and dilution buffer : 5% NFDM/TBST.

All lanes:

Western blot - Anti-Septin 8 antibody [EPR16099] (<a href='/products/primary-antibodies/septin-8-antibody-epr16099-ab191404'>ab191404</a>) at 1/10000 dilution

Lane 1:

K562 cell lysate at 20 µg

Lane 2:

HeLa cell lysate at 20 µg

Secondary

All lanes:

Goat anti-rabbit IgG, (H+L), peroxidase conjugated at 1/1000 dilution

Predicted band size: 56 kDa

Observed band size: 56 kDa

false

Western blot - Anti-Septin 8 antibody [EPR16099] - BSA and Azide free (AB251065)
  • WB

Supplier Data

Western blot - Anti-Septin 8 antibody [EPR16099] - BSA and Azide free (AB251065)

This data was developed using ab191404, the same antibody clone in a different buffer formulation.

Blocking and dilution buffer : 5% NFDM/TBST.

All lanes:

Western blot - Anti-Septin 8 antibody [EPR16099] (<a href='/products/primary-antibodies/septin-8-antibody-epr16099-ab191404'>ab191404</a>) at 1/1000 dilution

Lane 1:

C6 cell lysate at 10 µg

Lane 2:

PC-12 cell lysate at 10 µg

Lane 3:

NIH/3T3 cell lysate at 10 µg

Secondary

All lanes:

Goat anti-rabbit IgG, (H+L), peroxidase conjugated at 1/1000 dilution

Predicted band size: 56 kDa

Observed band size: 56 kDa

false

Immunoprecipitation - Anti-Septin 8 antibody [EPR16099] - BSA and Azide free (AB251065)
  • IP

Supplier Data

Immunoprecipitation - Anti-Septin 8 antibody [EPR16099] - BSA and Azide free (AB251065)

This data was developed using ab191404, the same antibody clone in a different buffer formulation.

Western blot analysis of Septin 8 in K562 cell lysate immunoprecipitated using ab191404 at 1/50 dilution (Lane 1). Lane 2 : PBS instead of K562 lysates.

Secondary antibody : Anti-Rabbit IgG (HRP), specific to the non-reduced form of IgG at 1/1500 dilution.

All lanes:

Immunoprecipitation - Anti-Septin 8 antibody [EPR16099] (<a href='/products/primary-antibodies/septin-8-antibody-epr16099-ab191404'>ab191404</a>)

Predicted band size: 56 kDa

Observed band size: 56 kDa

false

关键信息

宿主种属

Rabbit

克隆

Monoclonal

克隆号

EPR16099

亚型

IgG

不含载体蛋白

Yes

反应种属

Mouse, Rat, Human

应用

WB, Flow Cyt (Intra), IHC-P, ICC/IF, IP

applications

免疫原

The exact immunogen used to generate this antibody is proprietary information.

反应性数据

{ "title": "Reactivity Data", "filters": { "stats": ["", "Species", "Dilution Info", "Notes"], "tabs": { "all-applications": {"fullname" : "All Applications", "shortname": "All Applications"}, "ICCIF" : {"fullname" : "Immunocytochemistry/ Immunofluorescence", "shortname":"ICC/IF"}, "IP" : {"fullname" : "Immunoprecipitation", "shortname":"IP"}, "WB" : {"fullname" : "Western blot", "shortname":"WB"}, "FlowCytIntra" : {"fullname" : "Flow Cytometry (Intracellular)", "shortname":"Flow Cyt (Intra)"}, "IHCP" : {"fullname" : "Immunohistochemistry (Formalin/PFA-fixed paraffin-embedded sections)", "shortname":"IHC-P"} }, "product-promise": { "all": "all", "testedAndGuaranteed": "tested", "guaranteed": "expected", "predicted": "predicted", "notRecommended": "not-recommended" } }, "values": { "Human": { "ICCIF-species-checked": "guaranteed", "ICCIF-species-dilution-info": "", "ICCIF-species-notes": "", "IP-species-checked": "testedAndGuaranteed", "IP-species-dilution-info": "", "IP-species-notes": "<p></p>", "WB-species-checked": "testedAndGuaranteed", "WB-species-dilution-info": "", "WB-species-notes": "<p></p>", "FlowCytIntra-species-checked": "testedAndGuaranteed", "FlowCytIntra-species-dilution-info": "", "FlowCytIntra-species-notes": "<p></p>", "IHCP-species-checked": "testedAndGuaranteed", "IHCP-species-dilution-info": "", "IHCP-species-notes": "<p></p>" }, "Mouse": { "ICCIF-species-checked": "guaranteed", "ICCIF-species-dilution-info": "", "ICCIF-species-notes": "", "IP-species-checked": "guaranteed", "IP-species-dilution-info": "", "IP-species-notes": "", "WB-species-checked": "testedAndGuaranteed", "WB-species-dilution-info": "", "WB-species-notes": "<p></p>", "FlowCytIntra-species-checked": "guaranteed", "FlowCytIntra-species-dilution-info": "", "FlowCytIntra-species-notes": "", "IHCP-species-checked": "testedAndGuaranteed", "IHCP-species-dilution-info": "", "IHCP-species-notes": "<p></p>" }, "Rat": { "ICCIF-species-checked": "testedAndGuaranteed", "ICCIF-species-dilution-info": "", "ICCIF-species-notes": "<p></p>", "IP-species-checked": "guaranteed", "IP-species-dilution-info": "", "IP-species-notes": "", "WB-species-checked": "testedAndGuaranteed", "WB-species-dilution-info": "", "WB-species-notes": "<p></p>", "FlowCytIntra-species-checked": "guaranteed", "FlowCytIntra-species-dilution-info": "", "FlowCytIntra-species-notes": "", "IHCP-species-checked": "guaranteed", "IHCP-species-dilution-info": "", "IHCP-species-notes": "" } } }

产品详情

ab251065 is the carrier-free version of ab191404.

Patented technology
Our RabMAb® technology is a patented hybridoma-based technology for making rabbit monoclonal antibodies. For details on our patents, please refer to RabMAb® patents.

What are the advantages of a recombinant monoclonal antibody?
This product is a recombinant monoclonal antibody, which offers several advantages including:

  • - High batch-to-batch consistency and reproducibility
  • - Improved sensitivity and specificity
  • - Long-term security of supply
  • - Animal-free batch production

For more information, read more on recombinant antibodies.

Conjugation ready
Our carrier-free antibodies are typically supplied in a PBS-only formulation, purified and free of BSA, sodium azide and glycerol. This conjugation-ready format is designed for use with fluorochromes, metal isotopes, oligonucleotides, and enzymes, which makes them ideal for antibody labelling, functional and cell-based assays, flow-based assays (e.g. mass cytometry) and Multiplex Imaging applications.

Use our conjugation kits for antibody conjugates that are ready-to-use in as little as 20 minutes with 1 minute hands-on-time and 100% antibody recovery: available for fluorescent dyes, HRP, biotin and gold.

Compatibility
This product is compatible with the Maxpar® Antibody Labeling Kit from Fluidigm, without the need for antibody preparation. Maxpar® is a trademark of Fluidigm Canada Inc.

性能和储存信息

形式
Liquid
纯化工艺
Affinity purification Protein A
存储溶液
pH: 7.2 - 7.4 Constituents: PBS
运输条件
Blue Ice
推荐的短期储存条件
+4°C
推荐的长期储存条件
+4°C
储存信息
Do Not Freeze

补充信息

This supplementary information is collated from multiple sources and compiled automatically.

Septin 8 often referred to as SEPT8 belongs to the septin family of GTPase proteins. It participates in filament formation by polymerizing with other septins. This protein has a molecular weight of around 52 kDa. SEPT8 is expressed in various tissues with significant presence in the brain and heart. Its function depends on cell type and developmental stage exhibiting dynamic patterns of expression which make it integral to cellular processes.
Biological function summary

The protein is involved in maintaining cell structure and polarity. SEPT8 is part of larger septin complexes necessary for correct cytokinesis. It regulates cell division by contributing to the formation of cleavage furrow during mitosis. SEPT8 also influences membrane dynamics and vesicle trafficking showcasing a role in transport within cells.

Pathways

Septin 8 contributes to cytoskeleton organization and vesicle trafficking pathways. It associates with proteins such as actin and myosin playing roles in cell shape changes and intracellular transport. SEPT8 functions alongside other septins in the septin ring structures which are essential for several processes including cell cycle progression and vesicle sorting.

Septin 8 has been linked to neurodegenerative conditions and cancer. Abnormal SEPT8 expression or mutations might lead to Alzheimer's disease due to its impact on neuronal transport systems. SEPT8 is also observed in tumorigenesis interfering with normal cell cycle control. In cancer its interaction with other septins could disrupt normal cell proliferation suggesting it as a potential therapeutic target.

产品实验方案

For this product, it's our understanding that no specific protocols are required. You can visit:

靶点信息

Filament-forming cytoskeletal GTPase (By similarity). May play a role in platelet secretion (PubMed : 15116257). Seems to participate in the process of SNARE complex formation in synaptic vesicles (By similarity).. Isoform 4. Stabilizes BACE1 protein levels and promotes the sorting and accumulation of BACE1 to the recycling or endosomal compartments, modulating the beta-amyloidogenic processing of APP.
See full target information SEPTIN8

文献 (1)

Recent publications for all applications. Explore the full list and refine your search

Journal of cellular and molecular medicine 25:8127-8139 PubMed34350711

2021

Overexpression of let-7d explains down-regulated KDM3A and ENO2 in the pathogenesis of preeclampsia.

Applications

Unspecified application

Species

Unspecified reactive species

Qian Xu,Yonghui Song,Lili Lu
View all publications

Abcam Product Promise

我们致力于为您的研究提供高质量的试剂,为您科研的每一步提供支持。若我们的产品未能达到预期性能,我们向您提供 Abcam Product Promise 保障。
详情请参阅我们的条款与条件。

Please note: All products are 'FOR RESEARCH USE ONLY. NOT FOR USE IN DIAGNOSTIC OR THERAPEUTIC PROCEDURES'.

For licensing inquiries, please contact partnerships@abcam.com