JavaScript is disabled in your browser. Please enable JavaScript to view this website.
AB179436

重组Anti-Septin 2抗体[EPR12123]

Anti-Septin 2 antibody [EPR12123]

Be the first to review this product! Submit a review

|

(5 Publications)

Rabbit Recombinant Monoclonal Septin 2 antibody. Suitable for IHC-P, IP, WB, ICC/IF, Flow Cyt (Intra) and reacts with Human, Mouse, Rat samples. Cited in 5 publications.

查看别名

DIFF6, KIAA0158, NEDD5, SEPT2, SEPTIN2, Septin-2, Neural precursor cell expressed developmentally down-regulated protein 5, NEDD-5

6 Images
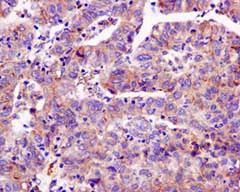
Immunohistochemistry (Formalin/PFA-fixed paraffin-embedded sections) - Anti-Septin 2 antibody [EPR12123] (AB179436)
  • IHC-P

Supplier Data

Immunohistochemistry (Formalin/PFA-fixed paraffin-embedded sections) - Anti-Septin 2 antibody [EPR12123] (AB179436)

Immunohistochemical analysis of paraffin-embedded Human hepatocellular carcinoma tissue labeling Septin 2 with ab179436 at 1/50 dilution.

Perform heat mediated antigen retrieval with citrate buffer pH 6 before commencing with IHC staining protocol.

Immunocytochemistry/ Immunofluorescence - Anti-Septin 2 antibody [EPR12123] (AB179436)
  • ICC/IF

Supplier Data

Immunocytochemistry/ Immunofluorescence - Anti-Septin 2 antibody [EPR12123] (AB179436)

Immunofluorescent analysis of MCF-7 cells labeling Septin 2 with ab179436 at 1/50 dilution (red). DAPI nuclear staining (blue).

Immunohistochemistry (Formalin/PFA-fixed paraffin-embedded sections) - Anti-Septin 2 antibody [EPR12123] (AB179436)
  • IHC-P

Supplier Data

Immunohistochemistry (Formalin/PFA-fixed paraffin-embedded sections) - Anti-Septin 2 antibody [EPR12123] (AB179436)

Immunohistochemical analysis of paraffin-embedded Human pancreas tissue labeling Septin 2 with ab179436 at 1/50 dilution.

Perform heat mediated antigen retrieval with citrate buffer pH 6 before commencing with IHC staining protocol.

Flow Cytometry (Intracellular) - Anti-Septin 2 antibody [EPR12123] (AB179436)
  • Flow Cyt (Intra)

Supplier Data

Flow Cytometry (Intracellular) - Anti-Septin 2 antibody [EPR12123] (AB179436)

Intracellular flow cytometric analysis of permeabilized Jurkat cellslabeling Septin 2 with ab179436 at 1/10 dilution (red) compared toa rabbit IgG negative control (green).

Immunoprecipitation - Anti-Septin 2 antibody [EPR12123] (AB179436)
  • IP

Supplier Data

Immunoprecipitation - Anti-Septin 2 antibody [EPR12123] (AB179436)

Western blot analysis on immunoprecipitation pellet from (1) MCF-7 cell lysate or (2) 1XPBS (negative control) using ab179436 at a 1/10 dilution for IP, and HRP-conjugated anti-rabbit IgG preferentially detecting the non-reduced form of rabbit IgG.

All lanes:

Immunoprecipitation - Anti-Septin 2 antibody [EPR12123] (ab179436)

Predicted band size: 41 kDa

false

Western blot - Anti-Septin 2 antibody [EPR12123] (AB179436)
  • WB

Supplier Data

Western blot - Anti-Septin 2 antibody [EPR12123] (AB179436)

All lanes:

Western blot - Anti-Septin 2 antibody [EPR12123] (ab179436) at 1/1000 dilution

Lane 1:

Human fetal brain lysate at 10 µg

Lane 2:

U87-MG lysate at 10 µg

Lane 3:

Jurkat lysate at 10 µg

Lane 4:

MCF-7 lysate at 10 µg

Predicted band size: 41 kDa

false

不同偶联物与剂型 (1)

  • Carrier free

    Anti-Septin 2 antibody [EPR12123] - BSA and Azide free

关键信息

宿主种属

Rabbit

克隆

Monoclonal

克隆号

EPR12123

亚型

IgG

不含载体蛋白

No

反应种属

Human

应用

ICC/IF, WB, IHC-P, Flow Cyt (Intra), IP

applications

免疫原

The exact immunogen used to generate this antibody is proprietary information.

反应性数据

{ "title": "Reactivity Data", "filters": { "stats": ["", "Species", "Dilution Info", "Notes"], "tabs": { "all-applications": {"fullname" : "All Applications", "shortname": "All Applications"}, "IHCP" : {"fullname" : "Immunohistochemistry (Formalin/PFA-fixed paraffin-embedded sections)", "shortname":"IHC-P"}, "IP" : {"fullname" : "Immunoprecipitation", "shortname":"IP"}, "WB" : {"fullname" : "Western blot", "shortname":"WB"}, "ICCIF" : {"fullname" : "Immunocytochemistry/ Immunofluorescence", "shortname":"ICC/IF"}, "FlowCytIntra" : {"fullname" : "Flow Cytometry (Intracellular)", "shortname":"Flow Cyt (Intra)"} }, "product-promise": { "all": "all", "testedAndGuaranteed": "tested", "guaranteed": "expected", "predicted": "predicted", "notRecommended": "not-recommended" } }, "values": { "Human": { "IHCP-species-checked": "testedAndGuaranteed", "IHCP-species-dilution-info": "1/50 - 1/100", "IHCP-species-notes": "<p></p>", "IP-species-checked": "testedAndGuaranteed", "IP-species-dilution-info": "1/10 - 1/100", "IP-species-notes": "<p></p>", "WB-species-checked": "testedAndGuaranteed", "WB-species-dilution-info": "1/1000 - 1/10000", "WB-species-notes": "<p></p>", "ICCIF-species-checked": "testedAndGuaranteed", "ICCIF-species-dilution-info": "1/50 - 1/100", "ICCIF-species-notes": "<p></p>", "FlowCytIntra-species-checked": "testedAndGuaranteed", "FlowCytIntra-species-dilution-info": "1/10 - 1/100", "FlowCytIntra-species-notes": "<p><a href='/products/primary-antibodies/rabbit-igg-monoclonal-epr25a-isotype-control-ab172730'>ab172730</a> - Rabbit monoclonal IgG, is suitable for use as an isotype control with this antibody.</p>" }, "Mouse": { "IHCP-species-checked": "predicted", "IHCP-species-dilution-info": "", "IHCP-species-notes": "", "IP-species-checked": "predicted", "IP-species-dilution-info": "", "IP-species-notes": "", "WB-species-checked": "guaranteed", "WB-species-dilution-info": "", "WB-species-notes": "<p></p>", "ICCIF-species-checked": "predicted", "ICCIF-species-dilution-info": "", "ICCIF-species-notes": "", "FlowCytIntra-species-checked": "predicted", "FlowCytIntra-species-dilution-info": "", "FlowCytIntra-species-notes": "" }, "Rat": { "IHCP-species-checked": "predicted", "IHCP-species-dilution-info": "", "IHCP-species-notes": "", "IP-species-checked": "predicted", "IP-species-dilution-info": "", "IP-species-notes": "", "WB-species-checked": "guaranteed", "WB-species-dilution-info": "", "WB-species-notes": "<p></p>", "ICCIF-species-checked": "predicted", "ICCIF-species-dilution-info": "", "ICCIF-species-notes": "", "FlowCytIntra-species-checked": "predicted", "FlowCytIntra-species-dilution-info": "", "FlowCytIntra-species-notes": "" }, "Xenopus laevis": { "IHCP-species-checked": "predicted", "IHCP-species-dilution-info": "", "IHCP-species-notes": "", "IP-species-checked": "predicted", "IP-species-dilution-info": "", "IP-species-notes": "", "WB-species-checked": "predicted", "WB-species-dilution-info": "", "WB-species-notes": "", "ICCIF-species-checked": "predicted", "ICCIF-species-dilution-info": "", "ICCIF-species-notes": "", "FlowCytIntra-species-checked": "predicted", "FlowCytIntra-species-dilution-info": "", "FlowCytIntra-species-notes": "" } } }

产品详情

Patented technology
Our RabMAb® technology is a patented hybridoma-based technology for making rabbit monoclonal antibodies. For details on our patents, please refer to RabMAb® patents.

What are the advantages of a recombinant monoclonal antibody?
This product is a recombinant monoclonal antibody, which offers several advantages including:

  • - High batch-to-batch consistency and reproducibility
  • - Improved sensitivity and specificity
  • - Long-term security of supply
  • - Animal-free batch production

For more information, read more on recombinant antibodies.

性能和储存信息

形式
Liquid
纯度
Tissue culture supernatant
存储溶液
pH: 7.2 - 7.4 Preservative: 0.01% Sodium azide Constituents: PBS, 50% Tissue culture supernatant, 40% Glycerol (glycerin, glycerine), 0.05% BSA
运输条件
Blue Ice
推荐的短期储存时间
1-2 weeks
推荐的短期储存条件
+4°C
推荐的长期储存条件
-20°C
分装信息
Upon delivery aliquot
储存信息
Avoid freeze / thaw cycle

补充信息

This supplementary information is collated from multiple sources and compiled automatically.

Septin 2 also known as septin-2 or SEPT2 is a GTP-binding protein with a molecular mass of approximately 41 kDa. It functions mechanically as a major component of the cytoskeletal structure playing an essential role in cellular organization and division. Septin 2 is expressed across various human tissues and cell types indicative of its fundamental role in maintaining cellular integrity. It participates in organizing the actin cytoskeleton and is necessary for cytokinesis.
Biological function summary

Septin 2 integrates into a filamentous network interacting closely with other septins to form hetero-oligomeric complexes essential for cellular dynamics. The protein contributes to the formation of diffusion barriers within membranes facilitating compartmentalization in the cells. As a structural element it supports cellular morphogenesis polarity and vesicle trafficking. The collaborative action within septin complexes ensures effective cell cycle progression and signal transduction.

Pathways

Septin 2 plays a part in key cellular pathways including the cell cycle and apoptosis pathways. The interaction of Septin 2 with proteins like Cdc42 and Rac1 impacts signaling cascades pivotal for actin cytoskeleton organization. The septin complex is important for modulating these pathways as it influences cellular responses to environmental cues. Through these pathways Septin 2 contributes to critical processes such as mitotic spindle positioning and stability.

Altered expression or function of Septin 2 is linked to cancer including gliomas where septin dysregulation affects tumor growth and metastasis. Additionally the protein has connections to neurodegenerative disorders such as Alzheimer's disease. Within these contexts proteins like Cdc42 and Rac1 further influence Septin 2's role modulating disease progression through pathways involved in cell migration and proliferation. Understanding Septin 2 in these disorders provides insight into potential therapeutic targets for intervention.

产品实验方案

For this product, it's our understanding that no specific protocols are required. You can visit:

靶点信息

Filament-forming cytoskeletal GTPase. Forms a filamentous structure with SEPTIN12, SEPTIN6, SEPTIN2 and probably SEPTIN4 at the sperm annulus which is required for the structural integrity and motility of the sperm tail during postmeiotic differentiation (PubMed : 25588830). Required for normal organization of the actin cytoskeleton. Plays a role in the biogenesis of polarized columnar-shaped epithelium by maintaining polyglutamylated microtubules, thus facilitating efficient vesicle transport, and by impeding MAP4 binding to tubulin. Required for the progression through mitosis. Forms a scaffold at the midplane of the mitotic splindle required to maintain CENPE localization at kinetochores and consequently chromosome congression. During anaphase, may be required for chromosome segregation and spindle elongation. Plays a role in ciliogenesis and collective cell movements. In cilia, required for the integrity of the diffusion barrier at the base of the primary cilium that prevents diffusion of transmembrane proteins between the cilia and plasma membranes : probably acts by regulating the assembly of the tectonic-like complex (also named B9 complex) by localizing TMEM231 protein. May play a role in the internalization of 2 intracellular microbial pathogens, Listeria monocytogenes and Shigella flexneri.
See full target information SEPTIN2

文献 (5)

Recent publications for all applications. Explore the full list and refine your search

Biophysical journal 122:3768-3782 PubMed37533259

2023

Nanoscale details of mitochondrial constriction revealed by cryoelectron tomography.

Applications

Unspecified application

Species

Unspecified reactive species

Shrawan Kumar Mageswaran,Danielle Ann Grotjahn,Xiangrui Zeng,Benjamin Asher Barad,Michaela Medina,My Hanh Hoang,Megan J Dobro,Yi-Wei Chang,Min Xu,Wei Yuan Yang,Grant J Jensen

Scientific reports 10:3241 PubMed32094384

2020

Development of Potent Forchlorfenuron Analogs and Their Cytotoxic Effect in Cancer Cell Lines.

Applications

Unspecified application

Species

Unspecified reactive species

Kyu Kwang Kim,Rakesh K Singh,Negar Khazan,Arif Kodza,Niloy A Singh,Aaron Jones,Umayal Sivagnanalingam,Mary Towner,Hiroaki Itamochi,Rachael Turner,Richard G Moore

Oncology letters 18:2376-2383 PubMed31402940

2019

Expression of septin 2 and association with clinicopathological parameters in colorectal cancer.

Applications

Unspecified application

Species

Unspecified reactive species

Haoyu He,Junjun Li,Meng Xu,Ziliang Kan,Yang Gao,Caijun Yuan

Cancer science 110:540-549 PubMed30444001

2018

Coupling function of cyclin-dependent kinase 2 and Septin2 in the promotion of hepatocellular carcinoma.

Applications

Unspecified application

Species

Unspecified reactive species

Chenzhou Xu,Wei Zhang,Xuening Zhang,Danhua Zhou,Lishuai Qu,Jinxia Liu,Mingbing Xiao,Runzhou Ni,Feng Jiang,Wenkai Ni,Cuihua Lu

Journal of cell science 131: PubMed30072438

2018

Sorting nexin-21 is a scaffold for the endosomal recruitment of huntingtin.

Applications

Unspecified application

Species

Unspecified reactive species

Chris M Danson,Neil Pearson,Kate J Heesom,Peter J Cullen
View all publications

Abcam Product Promise

我们致力于为您的研究提供高质量的试剂,为您科研的每一步提供支持。若我们的产品未能达到预期性能,我们向您提供 Abcam Product Promise 保障。
详情请参阅我们的条款与条件。

Please note: All products are 'FOR RESEARCH USE ONLY. NOT FOR USE IN DIAGNOSTIC OR THERAPEUTIC PROCEDURES'.

For licensing inquiries, please contact partnerships@abcam.com