JavaScript is disabled in your browser. Please enable JavaScript to view this website.
AB108981

重组Anti-SENP1抗体[EPR3844]

Anti-SENP1 antibody [EPR3844]

5

(7 Reviews)

|

(55 Publications)

Rabbit Recombinant Monoclonal SENP1 antibody. Suitable for IHC-P, WB, ICC/IF, Flow Cyt (Intra) and reacts with Human samples. Cited in 55 publications.

查看别名

Sentrin-specific protease 1, Sentrin/SUMO-specific protease SENP1, SENP1

8 Images
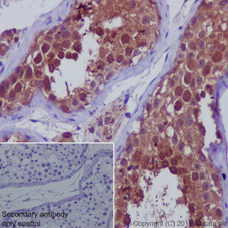
Immunohistochemistry (Formalin/PFA-fixed paraffin-embedded sections) - Anti-SENP1 antibody [EPR3844] (AB108981)
  • IHC-P

Unknown

Immunohistochemistry (Formalin/PFA-fixed paraffin-embedded sections) - Anti-SENP1 antibody [EPR3844] (AB108981)

Immunohistochemical staining of paraffin embedded human testis with purified ab108981 at a working dilution of 1/300. The secondary antibody used is HRP goat anti-rabbit IgG H&L (ab97051) at 1/500. The sample is counter-stained with hematoxylin. Antigen retrieval was perfomed using Tris-EDTA buffer, pH 9.0. PBS was used instead of the primary antibody as the negative control, and is shown in the inset.

Immunocytochemistry/ Immunofluorescence - Anti-SENP1 antibody [EPR3844] (AB108981)
  • ICC/IF

Unknown

Immunocytochemistry/ Immunofluorescence - Anti-SENP1 antibody [EPR3844] (AB108981)

Immunofluorescence staining of Jurkat cells with purified ab108981 at a working dilution of 1/100, counter-stained with DAPI. The secondary antibody was Alexa Fluor® 488 goat anti-rabbit (ab150077), used at a dilution of 1/1000. ab7291, a mouse anti-tubulin antibody (1/1000), was used to stain tubulin along with ab150120 (Alexa Fluor® 594 goat anti-mouse, 1/1000), shown in the top right hand panel. The cells were fixed in 4% PFA and permeabilized using 0.1% Triton X 100. The negative controls are shown in bottom middle and right hand panels - for negative control 1, purified ab108981 was used at a dilution of 1/500 followed by an Alexa Fluor® 594 goat anti-mouse antibody (ab150120) at a dilution of 1/500. For negative control 2, ab7291 (mouse anti-tubulin) was used at a dilution of 1/500 followed by an Alexa Fluor® 488 goat anti-rabbit antibody (ab150077) at a dilution of 1/400.

Immunocytochemistry/ Immunofluorescence - Anti-SENP1 antibody [EPR3844] (AB108981)
  • ICC/IF

AbReview29250****

Immunocytochemistry/ Immunofluorescence - Anti-SENP1 antibody [EPR3844] (AB108981)

Unpurified ab108981 (1/500) staining SENP1 in HeLa cells (green). Cells were fixed in paraformaldehyde, permeabilised with 0.5% Triton X-100/PBS and counterstained with DAPI in order to highlight the nucleus (red). For further experimental details please refer to Abreview.

Image courtesy of an Abreview submitted by Dr. Kirk McManus, Univ. of Manitoba/Cancer Care MICB, Canada

Flow Cytometry (Intracellular) - Anti-SENP1 antibody [EPR3844] (AB108981)
  • Flow Cyt (Intra)

Unknown

Flow Cytometry (Intracellular) - Anti-SENP1 antibody [EPR3844] (AB108981)

Intracellular Flow Cytometry analysis of HeLa cells labelling SENP1 with purified ab108981 at a dilution of 1/20 (red). Cells were fixed with 4% paraformaldehyde and permeabilized with 90% methanol. An Alexa Flour® 488-conjugated goat anti-rabbit IgG (1/2000) was used as the secondary antibody. Black - Isotype control, rabbit monoclonal IgG. Blue - Unlabelled control, cells without incubation with primary and secondary antibodies.

Western blot - Anti-SENP1 antibody [EPR3844] (AB108981)
  • WB

Lab

Western blot - Anti-SENP1 antibody [EPR3844] (AB108981)

Blocking buffer : 5% NFDM/TBST
Dilution buffer : 5% NFDM/TBST

All lanes:

Western blot - Anti-SENP1 antibody [EPR3844] (ab108981) at 1/20000 dilution

All lanes:

Daudi cell lysate at 10 µg

Secondary

All lanes:

HRP goat anti-rabbit IgG (H+L) at 1/20000 dilution

Predicted band size: 73 kDa

Observed band size: 73 kDa

false

Western blot - Anti-SENP1 antibody [EPR3844] (AB108981)
  • WB

Lab

Western blot - Anti-SENP1 antibody [EPR3844] (AB108981)

Blocking buffer : 5% NFDM/TBST
Dilution buffer : 5% NFDM/TBST

All lanes:

Western blot - Anti-SENP1 antibody [EPR3844] (ab108981) at 1/20000 dilution

All lanes:

U87-MG cell lysate at 10 µg

Secondary

All lanes:

HRP goat anti-rabbit IgG (H+L) at 1/20000 dilution

Predicted band size: 73 kDa

Observed band size: 73 kDa

false

Western blot - Anti-SENP1 antibody [EPR3844] (AB108981)
  • WB

AbReview48238****

Western blot - Anti-SENP1 antibody [EPR3844] (AB108981)

Blocked with 3% milk for 1 hour at 25°C.

Incubated with the primary antibody for 18 hours at 4°C.

All lanes:

Western blot - Anti-SENP1 antibody [EPR3844] (ab108981) at 1/1000 dilution

Lane 1:

COS-1 cell lysate at 20000 Cells

Lane 2:

COS-1 cell lysate transfected with SENP1 at 20000 Cells

Lane 3:

COS-1 cell lysate transfected with SENP1 mutant at 20000 Cells

Secondary

All lanes:

HRP-conjugated donkey anti-rabbit IgG polyclonal at 1/10000 dilution

Predicted band size: 73 kDa

Observed band size: 75 kDa

true

Exposure time: 6min

This image is courtesy of an Abreview submitted by Ragnhild Eskeland

Western blot - Anti-SENP1 antibody [EPR3844] (AB108981)
  • WB

Unknown

Western blot - Anti-SENP1 antibody [EPR3844] (AB108981)

All lanes:

Western blot - Anti-SENP1 antibody [EPR3844] (ab108981) at 1/1000 dilution

Lane 1:

HeLa cell lysates at 10 µg

Lane 2:

HUVEC cell lysates at 10 µg

Lane 3:

Jurkat cell lysates at 10 µg

Lane 4:

Daudi cell lysates at 10 µg

Lane 5:

U87-MG cell lysates at 10 µg

Secondary

All lanes:

Standard HRP labelled goat anti-rabbit at 1/2000 dilution

Predicted band size: 73 kDa

false

不同偶联物与剂型 (2)

  • HRP

    HRP Anti-SENP1 antibody [EPR3844]

  • Carrier free

    Anti-SENP1 antibody [EPR3844] - BSA and Azide free

关键信息

宿主种属

Rabbit

克隆

Monoclonal

克隆号

EPR3844

亚型

IgG

不含载体蛋白

No

反应种属

Human

应用

Flow Cyt (Intra), WB, IHC-P, ICC/IF

applications

免疫原

The exact immunogen used to generate this antibody is proprietary information.

反应性数据

{ "title": "Reactivity Data", "filters": { "stats": ["", "Species", "Dilution Info", "Notes"], "tabs": { "all-applications": {"fullname" : "All Applications", "shortname": "All Applications"}, "IP" : {"fullname" : "Immunoprecipitation", "shortname":"IP"}, "IHCP" : {"fullname" : "Immunohistochemistry (Formalin/PFA-fixed paraffin-embedded sections)", "shortname":"IHC-P"}, "WB" : {"fullname" : "Western blot", "shortname":"WB"}, "ICCIF" : {"fullname" : "Immunocytochemistry/ Immunofluorescence", "shortname":"ICC/IF"}, "FlowCytIntra" : {"fullname" : "Flow Cytometry (Intracellular)", "shortname":"Flow Cyt (Intra)"} }, "product-promise": { "all": "all", "testedAndGuaranteed": "tested", "guaranteed": "expected", "predicted": "predicted", "notRecommended": "not-recommended" } }, "values": { "Human": { "IP-species-checked": "notRecommended", "IP-species-dilution-info": "", "IP-species-notes": "<p></p>", "IHCP-species-checked": "testedAndGuaranteed", "IHCP-species-dilution-info": "1/100 - 1/300", "IHCP-species-notes": "<p></p> Perform heat-mediated antigen retrieval before commencing with IHC staining protocol.", "WB-species-checked": "testedAndGuaranteed", "WB-species-dilution-info": "1/1000 - 1/20000", "WB-species-notes": "<p></p>", "ICCIF-species-checked": "testedAndGuaranteed", "ICCIF-species-dilution-info": "1/100 - 1/500", "ICCIF-species-notes": "<p></p>", "FlowCytIntra-species-checked": "testedAndGuaranteed", "FlowCytIntra-species-dilution-info": "1/20", "FlowCytIntra-species-notes": "<p></p>" } } }

产品详情

Species reactivity
Mouse, Rat: We have preliminary internal testing data to indicate this antibody may not react with these species.
Please contact us for more information.

Patented technology
Our RabMAb® technology is a patented hybridoma-based technology for making rabbit monoclonal antibodies. For details on our patents, please refer to RabMAb® patents.

What are the advantages of a recombinant monoclonal antibody?
This product is a recombinant monoclonal antibody, which offers several advantages including:

  • - High batch-to-batch consistency and reproducibility
  • - Improved sensitivity and specificity
  • - Long-term security of supply
  • - Animal-free batch production

For more information, read more on recombinant antibodies.

性能和储存信息

形式
Liquid
纯化工艺
Affinity purification Protein A
存储溶液
pH: 7.2 - 7.4 Preservative: 0.01% Sodium azide Constituents: PBS, 50% Glycerol (glycerin, glycerine), 0.05% BSA
运输条件
Blue Ice
推荐的短期储存时间
1-2 weeks
推荐的短期储存条件
+4°C
推荐的长期储存条件
-20°C
分装信息
Upon delivery aliquot
储存信息
Avoid freeze / thaw cycle

补充信息

This supplementary information is collated from multiple sources and compiled automatically.

SENP1 also known as SUMO-specific protease 1 is an enzyme involved in the process of sumoylation a post-translational modification mechanism affecting various proteins. This enzyme has an approximate molecular mass of 73 kDa. SENP1 specifically cleaves SUMO (Small Ubiquitin-like Modifier) from target proteins regulating their function and localization. It shows strong expression in tissues with high cellular turnover like the thymus spleen and testis indicating its significant role in cell growth and development processes.
Biological function summary

SENP1 contributes to cellular homeostasis by modifying and controlling protein interactions and functions. This enzyme facilitates the recycling of SUMO proteins and affects transcription factors such as HIF1α which are vital for cellular response to hypoxia. SENP1 interacts closely with SUMO E3 ligases in complexes coordinating the addition or removal of SUMO groups from target proteins. Its activity is essential for maintaining the balance between protein sumoylation and desumoylation which impacts numerous cellular processes including cell cycle progression and stress response.

Pathways

SENP1 modulates key regulatory pathways related to its sumoylation mechanism. Major pathways where SENP1 plays a role include the HIF-1 signaling pathway where it affects the stability and activity of HIF1α under low oxygen conditions and the p53 signaling pathway influencing cell cycle and apoptosis. SENP1's interactivity with proteins like Ubc9 a SUMO-conjugating enzyme and PIAS3 a SUMO E3 ligase indicates its broad involvement and regulation within these pathways emphasizing its impact on maintaining cellular function and adaptation.

SENP1 associates with certain cancers and neurodegenerative disorders due to its regulatory influence on protein stability and gene expression. Overexpression of SENP1 is often observed in prostate cancer where it desumoylates HIF1α enhancing its transcriptional activity and promoting tumorigenesis. Additionally alterations in SENP1 function might connect to neurodegenerative diseases like Alzheimer's where protein turnover and cellular stress responses are disrupted. Through these disorders SENP1 connects with proteins such as AR (androgen receptor) in cancer contexts and Tau in Alzheimer's underlying its role in disease pathology.

产品实验方案

For this product, it's our understanding that no specific protocols are required. You can visit:

靶点信息

Protease that catalyzes two essential functions in the SUMO pathway (PubMed : 10652325, PubMed : 15199155, PubMed : 15487983, PubMed : 16253240, PubMed : 16553580, PubMed : 21829689, PubMed : 21965678, PubMed : 23160374, PubMed : 24943844, PubMed : 25406032, PubMed : 29506078, PubMed : 34048572, PubMed : 37257451). The first is the hydrolysis of an alpha-linked peptide bond at the C-terminal end of the small ubiquitin-like modifier (SUMO) propeptides, SUMO1, SUMO2 and SUMO3 leading to the mature form of the proteins (PubMed : 15487983). The second is the deconjugation of SUMO1, SUMO2 and SUMO3 from targeted proteins, by cleaving an epsilon-linked peptide bond between the C-terminal glycine of the mature SUMO and the lysine epsilon-amino group of the target protein (PubMed : 15199155, PubMed : 16253240, PubMed : 21829689, PubMed : 21965678, PubMed : 23160374, PubMed : 24943844, PubMed : 25406032, PubMed : 29506078, PubMed : 34048572, PubMed : 37257451). Deconjugates SUMO1 from HIPK2 (PubMed : 16253240). Deconjugates SUMO1 from HDAC1 and BHLHE40/DEC1, which decreases its transcriptional repression activity (PubMed : 15199155, PubMed : 21829689). Deconjugates SUMO1 from CLOCK, which decreases its transcriptional activation activity (PubMed : 23160374). Deconjugates SUMO2 from MTA1 (PubMed : 21965678). Inhibits N(6)-methyladenosine (m6A) RNA methylation by mediating SUMO1 deconjugation from METTL3 and ALKBH5 : METTL3 inhibits the m6A RNA methyltransferase activity, while ALKBH5 desumoylation promotes m6A demethylation (PubMed : 29506078, PubMed : 34048572, PubMed : 37257451). Desumoylates CCAR2 which decreases its interaction with SIRT1 (PubMed : 25406032). Deconjugates SUMO1 from GPS2 (PubMed : 24943844).
See full target information SENP1

文献 (55)

Recent publications for all applications. Explore the full list and refine your search

Nature communications 16:7308 PubMed40774970

2025

PABPC1 SUMOylation enhances cell survival by promoting mitophagy through stabilizing U-rich mRNAs within stress granules.

Applications

Unspecified application

Species

Unspecified reactive species

Caihu Huang,Jiayi Huang,Runhui Lu,Ari Jiazhuo Yu,Arno Shengzhuo Yu,Yingting Cao,Lian Li,Junya Li,Hongyan Li,Zihan Zhou,Yixin Zhang,Anan Xu,Ran Chen,Yanli Wang,Xian Zhao,Jian Huang,Yujie Fu,Ming Xu,Hailong Zhang,Jianxiu Yu

International journal of molecular medicine 56: PubMed40682835

2025

SENP1 promotes p27kip1 nuclear export though enhanced SUMOylation in cholangiocarcinoma leading to increased cell proliferation and chemoresistance.

Applications

Unspecified application

Species

Unspecified reactive species

Kainian Jiang,Wei Yang,Jie Huang,Xiaolong Tan,Yan Liu,Saiya Tu,Jian Luo

Nature communications 15:10805 PubMed39737943

2024

Human ANP32A/B are SUMOylated and utilized by avian influenza virus NS2 protein to overcome species-specific restriction.

Applications

Unspecified application

Species

Unspecified reactive species

Liuke Sun,Xing Guo,Mengmeng Yu,Xue-Feng Wang,Huiling Ren,Xiaojun Wang

Cell communication and signaling : CCS 22:465 PubMed39350261

2024

SUMOylation-induced membrane localization of TRPV1 suppresses proliferation and migration in gastric cancer cells.

Applications

Unspecified application

Species

Unspecified reactive species

Yang Yang,Xiaokun Gu,Weiji Weng,Jinke Cheng,Ou Huang,Si-Jian Pan,Yong Li

Clinical and translational medicine 14:e1753 PubMed38967349

2024

KMT2D-mediated H3K4me1 recruits YBX1 to facilitate triple-negative breast cancer progression through epigenetic activation of c-Myc.

Applications

Unspecified application

Species

Unspecified reactive species

Bing Yao,Mengying Xing,Xiangwei Zeng,Ming Zhang,Que Zheng,Zhi Wang,Bo Peng,Shuang Qu,Lingyun Li,Yucui Jin,Haitao Li,Hongyan Yuan,Quan Zhao,Changyan Ma

Cellular oncology (Dordrecht, Netherlands) 48:67-81 PubMed38954215

2024

Suppressing SENP1 inhibits esophageal squamous carcinoma cell growth via SIRT6 SUMOylation.

Applications

Unspecified application

Species

Unspecified reactive species

Jianmin Gu,Shaoyuan Zhang,Dong Lin,Wenhan Wang,Jinke Cheng,Quan Zheng,Hao Wang,Lijie Tan

Nature communications 14:5688 PubMed37709794

2023

N-terminal α-amino SUMOylation of cofilin-1 is critical for its regulation of actin depolymerization.

Applications

Unspecified application

Species

Unspecified reactive species

Weiji Weng,Xiaokun Gu,Yang Yang,Qiao Zhang,Qi Deng,Jie Zhou,Jinke Cheng,Michael X Zhu,Junfeng Feng,Ou Huang,Yong Li

The Journal of biological chemistry 299:105062 PubMed37468105

2023

MYB regulates the SUMO protease SENP1 and its novel interaction partner UXT, modulating MYB target genes and the SUMO landscape.

Applications

Unspecified application

Species

Unspecified reactive species

Roza Berhanu Lemma,Marit Ledsaak,Bettina Maria Fuglerud,Fernando Rodríguez-Castañeda,Ragnhild Eskeland,Odd Stokke Gabrielsen

Biomedicines 11: PubMed36979893

2023

Knockdown Suppressed the Angiogenic Potential of Mesenchymal Stem Cells by Impacting CXCR4-Regulated MRTF-A SUMOylation and CCN1 Expression.

Applications

Unspecified application

Species

Unspecified reactive species

Rui Zhang,Qingxi Liu,Cuicui Lyu,Xing Gao,Wenjian Ma

Nature communications 13:7153 PubMed36414671

2022

SENP1 prevents steatohepatitis by suppressing RIPK1-driven apoptosis and inflammation.

Applications

Unspecified application

Species

Unspecified reactive species

Lingjie Yan,Tao Zhang,Kai Wang,Zezhao Chen,Yuanxin Yang,Bing Shan,Qi Sun,Mengmeng Zhang,Yichi Zhang,Yedan Zhong,Nan Liu,Jinyang Gu,Daichao Xu
View all publications

Abcam Product Promise

我们致力于为您的研究提供高质量的试剂,为您科研的每一步提供支持。若我们的产品未能达到预期性能,我们向您提供 Abcam Product Promise 保障。
详情请参阅我们的条款与条件。

Please note: All products are 'FOR RESEARCH USE ONLY. NOT FOR USE IN DIAGNOSTIC OR THERAPEUTIC PROCEDURES'.

For licensing inquiries, please contact partnerships@abcam.com