JavaScript is disabled in your browser. Please enable JavaScript to view this website.
AB214183

Anti-Senataxin抗体

Anti-Senataxin antibody

Be the first to review this product! Submit a review

|

(0 Publication)

Rabbit Polyclonal Senataxin antibody. Suitable for IHC-P and reacts with Mouse samples. Immunogen corresponding to Synthetic Peptide within Human SETX aa 300-400 conjugated to Keyhole Limpet Haemocyanin.

查看别名

ALS4, KIAA0625, SCAR1, SETX, Probable helicase senataxin, Amyotrophic lateral sclerosis 4 protein, SEN1 homolog, Senataxin

1 Images
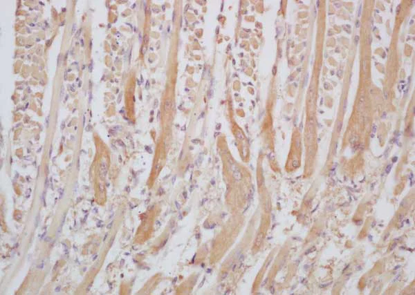
Immunohistochemistry (Formalin/PFA-fixed paraffin-embedded sections) - Anti-Senataxin antibody (AB214183)
  • IHC-P

Supplier Data

Immunohistochemistry (Formalin/PFA-fixed paraffin-embedded sections) - Anti-Senataxin antibody (AB214183)

Immunohistochemical analysis of formalin-fixed, paraffin-embedded muscle of mouse embryo tissue labeling Senataxin with ab214183 at 1/200 dilution, followed by secondary antibody detection and DAB staining.

关键信息

宿主种属

Rabbit

克隆

Polyclonal

亚型

IgG

不含载体蛋白

No

反应种属

Mouse

应用

IHC-P

applications

免疫原

Synthetic Peptide within Human SETX aa 300-400 conjugated to Keyhole Limpet Haemocyanin. The exact immunogen used to generate this antibody is proprietary information.

Q7Z333

反应性数据

{ "title": "Reactivity Data", "filters": { "stats": ["", "Species", "Dilution Info", "Notes"], "tabs": { "all-applications": {"fullname" : "All Applications", "shortname": "All Applications"}, "IHCP" : {"fullname" : "Immunohistochemistry (Formalin/PFA-fixed paraffin-embedded sections)", "shortname":"IHC-P"} }, "product-promise": { "all": "all", "testedAndGuaranteed": "tested", "guaranteed": "expected", "predicted": "predicted", "notRecommended": "not-recommended" } }, "values": { "Human": { "IHCP-species-checked": "predicted", "IHCP-species-dilution-info": "", "IHCP-species-notes": "" }, "Mouse": { "IHCP-species-checked": "testedAndGuaranteed", "IHCP-species-dilution-info": "1/100.00000 - 1/500.00000", "IHCP-species-notes": "<p></p> Perform heat-mediated antigen retrieval with citrate buffer pH 6 before commencing with IHC staining protocol." }, "Rat": { "IHCP-species-checked": "predicted", "IHCP-species-dilution-info": "", "IHCP-species-notes": "" } } }

性能和储存信息

形式
Liquid
纯化工艺
Affinity purification Protein A
存储溶液
pH: 7.4 Preservative: 0.02% Proclin 300 Constituents: 50% Glycerol (glycerin, glycerine), 48.98% TBS, 1X, 1% BSA
运输条件
Blue Ice
推荐的短期储存时间
1-2 weeks
推荐的短期储存条件
+4°C
推荐的长期储存条件
-20°C
分装信息
Upon delivery aliquot
储存信息
Avoid freeze / thaw cycle

补充信息

This supplementary information is collated from multiple sources and compiled automatically.

Senataxin also known as SETX is an RNA/DNA helicase enzyme that manages the resolution of R-loops during transcription. The protein has a molecular mass of approximately 302 kDa. SETX is expressed widely across various tissues including high levels in neural tissue. As a helicase it ensures the proper maintenance and stability of the genome by unwinding nucleic acid structures which is essential for transcription replication and DNA repair processes.
Biological function summary

SETX plays an important role in preventing genomic instability. It participates in RNA processing events and transcription termination where it helps resolve R-loop structures that can impede transcription. SETX also functions within protein complexes involved in the regulation of oxidative stress responses. Its interactions with other RNA-binding proteins facilitate its role in these processes ensuring efficient gene expression and cellular homeostasis.

Pathways

SETX contributes significantly to transcriptional regulation and DNA damage response pathways. In the transcription termination pathway it works alongside exonucleases and other helicases to prevent aberrant transcriptional readthrough. SETX is related to proteins like RNAPII assisting in the resolution of transcription-associated R-loops and also associating with factors involved in the DNA damage response pathway to repair transcription-blocking lesions.

SETX mutations have links to neurological conditions such as Amyotrophic Lateral Sclerosis 4 (ALS4) and Ataxia Oculomotor Apraxia 2 (AOA2). These diseases relate to disrupted helicase activity leading to genomic instability and neuronal damage. In ALS4 altered interactions between SETX and other proteins like TDP-43 can contribute to motor neuron degeneration while in AOA2 the impaired role of SETX in DNA repair results in neurological symptoms.

产品实验方案

For this product, it's our understanding that no specific protocols are required. You can visit:

靶点信息

Probable RNA/DNA helicase involved in diverse aspects of RNA metabolism and genomic integrity. Plays a role in transcription regulation by its ability to modulate RNA Polymerase II (Pol II) binding to chromatin and through its interaction with proteins involved in transcription (PubMed : 19515850, PubMed : 21700224). Contributes to the mRNA splicing efficiency and splice site selection (PubMed : 19515850). Required for the resolution of R-loop RNA-DNA hybrid formation at G-rich pause sites located downstream of the poly(A) site, allowing XRN2 recruitment and XRN2-mediated degradation of the downstream cleaved RNA and hence efficient RNA polymerase II (RNAp II) transcription termination (PubMed : 19515850, PubMed : 21700224, PubMed : 26700805). Required for the 3' transcriptional termination of PER1 and CRY2, thus playing an important role in the circadian rhythm regulation (By similarity). Involved in DNA double-strand breaks damage response generated by oxidative stress (PubMed : 17562789). In association with RRP45, targets the RNA exosome complex to sites of transcription-induced DNA damage (PubMed : 24105744). Plays a role in the development and maturation of germ cells : essential for male meiosis, acting at the interface of transcription and meiotic recombination, and in the process of gene silencing during meiotic sex chromosome inactivation (MSCI) (By similarity). May be involved in telomeric stability through the regulation of telomere repeat-containing RNA (TERRA) transcription (PubMed : 21112256). Plays a role in neurite outgrowth in hippocampal cells through FGF8-activated signaling pathways. Inhibits retinoic acid-induced apoptosis (PubMed : 21576111).
See full target information SETX

Abcam Product Promise

我们致力于为您的研究提供高质量的试剂,为您科研的每一步提供支持。若我们的产品未能达到预期性能,我们向您提供 Abcam Product Promise 保障。
详情请参阅我们的条款与条件。

关联产品

Select an associated product type
Alternative Product
Primary Antibodies

AB220827

Anti-Senataxin antibody

primary-antibodies

senataxin-antibody-ab220827

3

(3 reviews)

Please note: All products are 'FOR RESEARCH USE ONLY. NOT FOR USE IN DIAGNOSTIC OR THERAPEUTIC PROCEDURES'.

For licensing inquiries, please contact partnerships@abcam.com