JavaScript is disabled in your browser. Please enable JavaScript to view this website.
AB140644

重组Anti-SEC62抗体[EPR9213]

Anti-SEC62 antibody [EPR9213]

Be the first to review this product! Submit a review

|

(12 Publications)

Rabbit Recombinant Monoclonal SEC62 antibody. Suitable for IHC-P, WB, ICC/IF and reacts with Human, Mouse, Rat samples. Cited in 12 publications.

查看别名

TLOC1, SEC62, Translocation protein SEC62, Translocation protein 1, TP-1, hTP-1

7 Images
Immunohistochemistry (Formalin/PFA-fixed paraffin-embedded sections) - Anti-SEC62 antibody [EPR9213] (AB140644)
  • IHC-P

Unknown

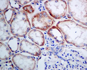
Immunohistochemistry (Formalin/PFA-fixed paraffin-embedded sections) - Anti-SEC62 antibody [EPR9213] (AB140644)

Immunohistochemical analysis of paraffin embedded Human kidney tissue labelling SEC62 with ab140644 at a 1/100 dilution.

Perform heat mediated antigen retrieval with citrate buffer pH 6 before commencing with IHC staining protocol.

Immunohistochemistry (Formalin/PFA-fixed paraffin-embedded sections) - Anti-SEC62 antibody [EPR9213] (AB140644)
  • IHC-P

Unknown

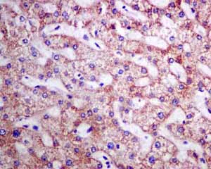
Immunohistochemistry (Formalin/PFA-fixed paraffin-embedded sections) - Anti-SEC62 antibody [EPR9213] (AB140644)

Immunohistochemical analysis of paraffin embedded Normal Human Liver tissue using ab140644 showing +ve staining.

Perform heat mediated antigen retrieval with citrate buffer pH 6 before commencing with IHC staining protocol.

Immunohistochemistry (Formalin/PFA-fixed paraffin-embedded sections) - Anti-SEC62 antibody [EPR9213] (AB140644)
  • IHC-P

Unknown

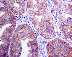
Immunohistochemistry (Formalin/PFA-fixed paraffin-embedded sections) - Anti-SEC62 antibody [EPR9213] (AB140644)

Immunohistochemical analysis of paraffin embedded Human Ovarian carcinoma tissue using ab140644 showing +ve staining.

Perform heat mediated antigen retrieval with citrate buffer pH 6 before commencing with IHC staining protocol.

Immunocytochemistry/ Immunofluorescence - Anti-SEC62 antibody [EPR9213] (AB140644)
  • ICC/IF

Unknown

Immunocytochemistry/ Immunofluorescence - Anti-SEC62 antibody [EPR9213] (AB140644)

Immunocytochemistry/ Immunofluorescence analysis of HeLa cells labelling SEC62 with ab140644 at a 1/250 dilution.

Immunohistochemistry (Formalin/PFA-fixed paraffin-embedded sections) - Anti-SEC62 antibody [EPR9213] (AB140644)
  • IHC-P

Unknown

Immunohistochemistry (Formalin/PFA-fixed paraffin-embedded sections) - Anti-SEC62 antibody [EPR9213] (AB140644)

Immunohistochemical analysis of paraffin embedded Human Breast carcinoma tissue using ab140644 showing +ve staining.

Perform heat mediated antigen retrieval with citrate buffer pH 6 before commencing with IHC staining protocol.

Immunohistochemistry (Formalin/PFA-fixed paraffin-embedded sections) - Anti-SEC62 antibody [EPR9213] (AB140644)
  • IHC-P

Unknown

Immunohistochemistry (Formalin/PFA-fixed paraffin-embedded sections) - Anti-SEC62 antibody [EPR9213] (AB140644)

Immunohistochemical analysis of paraffin embedded Normal Human Colon tissue using ab140644 showing +ve staining.

Perform heat mediated antigen retrieval with citrate buffer pH 6 before commencing with IHC staining protocol.

Western blot - Anti-SEC62 antibody [EPR9213] (AB140644)
  • WB

Unknown

Western blot - Anti-SEC62 antibody [EPR9213] (AB140644)

All lanes:

Western blot - Anti-SEC62 antibody [EPR9213] (ab140644) at 1/1000 dilution

Lane 1:

HeLa cell lysates at 10 µg

Lane 2:

SH-SY5Y cell lysates at 10 µg

Lane 3:

HepG2 cell lysates at 10 µg

Lane 4:

NIH/3T3 cell lysates at 10 µg

Lane 5:

C6 cell lysates at 10 µg

Secondary

All lanes:

HRP conjugated goat anti-rabbit at 1/2000 dilution

Predicted band size: 46 kDa

false

不同偶联物与剂型 (8)

关键信息

宿主种属

Rabbit

克隆

Monoclonal

克隆号

EPR9213

亚型

IgG

不含载体蛋白

No

反应种属

Mouse, Rat, Human

应用

WB, IHC-P, ICC/IF

applications

免疫原

The exact immunogen used to generate this antibody is proprietary information.

反应性数据

{ "title": "Reactivity Data", "filters": { "stats": ["", "Species", "Dilution Info", "Notes"], "tabs": { "all-applications": {"fullname" : "All Applications", "shortname": "All Applications"}, "IHCP" : {"fullname" : "Immunohistochemistry (Formalin/PFA-fixed paraffin-embedded sections)", "shortname":"IHC-P"}, "IP" : {"fullname" : "Immunoprecipitation", "shortname":"IP"}, "FlowCyt" : {"fullname" : "Flow Cytometry", "shortname":"Flow Cyt"}, "WB" : {"fullname" : "Western blot", "shortname":"WB"}, "ICCIF" : {"fullname" : "Immunocytochemistry/ Immunofluorescence", "shortname":"ICC/IF"} }, "product-promise": { "all": "all", "testedAndGuaranteed": "tested", "guaranteed": "expected", "predicted": "predicted", "notRecommended": "not-recommended" } }, "values": { "Human": { "IHCP-species-checked": "testedAndGuaranteed", "IHCP-species-dilution-info": "1/100 - 1/250", "IHCP-species-notes": "<p>Antigen retrieval is recommended.</p>", "IP-species-checked": "notRecommended", "IP-species-dilution-info": "", "IP-species-notes": "<p></p>", "FlowCyt-species-checked": "notRecommended", "FlowCyt-species-dilution-info": "", "FlowCyt-species-notes": "<p></p>", "WB-species-checked": "testedAndGuaranteed", "WB-species-dilution-info": "1/1000 - 1/10000", "WB-species-notes": "<p></p>", "ICCIF-species-checked": "testedAndGuaranteed", "ICCIF-species-dilution-info": "1/250 - 1/500", "ICCIF-species-notes": "<p></p>" }, "Mouse": { "IHCP-species-checked": "testedAndGuaranteed", "IHCP-species-dilution-info": "1/100 - 1/250", "IHCP-species-notes": "<p>Antigen retrieval is recommended.</p>", "IP-species-checked": "notRecommended", "IP-species-dilution-info": "", "IP-species-notes": "<p></p>", "FlowCyt-species-checked": "notRecommended", "FlowCyt-species-dilution-info": "", "FlowCyt-species-notes": "<p></p>", "WB-species-checked": "testedAndGuaranteed", "WB-species-dilution-info": "1/1000 - 1/10000", "WB-species-notes": "<p></p>", "ICCIF-species-checked": "guaranteed", "ICCIF-species-dilution-info": "", "ICCIF-species-notes": "" }, "Rat": { "IHCP-species-checked": "testedAndGuaranteed", "IHCP-species-dilution-info": "1/100 - 1/250", "IHCP-species-notes": "<p>Antigen retrieval is recommended.</p>", "IP-species-checked": "notRecommended", "IP-species-dilution-info": "", "IP-species-notes": "<p></p>", "FlowCyt-species-checked": "notRecommended", "FlowCyt-species-dilution-info": "", "FlowCyt-species-notes": "<p></p>", "WB-species-checked": "testedAndGuaranteed", "WB-species-dilution-info": "1/1000 - 1/10000", "WB-species-notes": "<p></p>", "ICCIF-species-checked": "guaranteed", "ICCIF-species-dilution-info": "", "ICCIF-species-notes": "" } } }

产品详情

Patented technology
Our RabMAb® technology is a patented hybridoma-based technology for making rabbit monoclonal antibodies. For details on our patents, please refer to RabMAb® patents.

What are the advantages of a recombinant monoclonal antibody?
This product is a recombinant monoclonal antibody, which offers several advantages including:

  • - High batch-to-batch consistency and reproducibility
  • - Improved sensitivity and specificity
  • - Long-term security of supply
  • - Animal-free batch production

For more information, read more on recombinant antibodies.

性能和储存信息

形式
Liquid
纯化工艺
Affinity purification Protein A
存储溶液
pH: 7.2 - 7.4 Preservative: 0.01% Sodium azide Constituents: PBS, 50% Tissue culture supernatant, 40% Glycerol (glycerin, glycerine), 0.05% BSA
运输条件
Blue Ice
推荐的短期储存条件
+4°C
推荐的长期储存条件
-20°C
分装信息
Upon delivery aliquot
储存信息
Avoid freeze / thaw cycle

补充信息

This supplementary information is collated from multiple sources and compiled automatically.

SEC62 also known as translocation protein SEC62 is an essential component of the protein translocation machinery in cells. It is part of the Sec61 complex and helps with the translocation of nascent polypeptides across the endoplasmic reticulum (ER) membrane. SEC62 has a molecular mass of approximately 24 kilodaltons. It is expressed widely in tissues with higher expression levels observed in the pancreas and liver which are essential for protein synthesis and secretion.
Biological function summary

Beyond its role in the ER SEC62 contributes to the maintenance of calcium homeostasis and cellular stress responses. It forms a part of the SEC63 complex working alongside SEC63 and SEC61 to facilitate protein folding and assembly. This protein also plays a role in the response to ER stress where it assists in relieving the burden by managing calcium leakage across the ER membrane which is important for maintaining cell health under stress conditions.

Pathways

SEC62 plays a significant role in the signal recognition particle (SRP) pathway and the unfolded protein response (UPR). It interacts with other proteins in these pathways including SEC63 and BIP to regulate protein processing and transport. The SEC61 complex which includes SEC62 integrates signals for targeting nascent proteins to the ER membrane and aids in managing misfolded protein accumulation through UPR therefore ensuring cellular homeostasis.

SEC62 has been linked to various types of cancer including prostate and thyroid cancer where its overexpression correlates with tumor progression and metastasis. It interacts with proteins like BIP in cancer cells contributing to the ER stress response that supports cancer cell survival. Additionally alterations in SEC62 are associated with congenital disorders like congenital disorders of glycosylation (CDG) where dysfunctional protein translocation and glycosylation processes impact cellular function.

产品实验方案

For this product, it's our understanding that no specific protocols are required. You can visit:

靶点信息

Mediates post-translational transport of precursor polypeptides across endoplasmic reticulum (ER). Proposed to act as a targeting receptor for small presecretory proteins containing short and apolar signal peptides. Targets and properly positions newly synthesized presecretory proteins into the SEC61 channel-forming translocon complex, triggering channel opening for polypeptide translocation to the ER lumen.
See full target information SEC62

文献 (12)

Recent publications for all applications. Explore the full list and refine your search

The Journal of biological chemistry 301:108292 PubMed39952409

2025

Nanobody fusion enhances production of difficult-to-produce secretory proteins.

Applications

Unspecified application

Species

Unspecified reactive species

Runchuan Yan,Yan Zhang,Hui Zhang,Jiyan Ma

PLoS pathogens 20:e1012766 PubMed39621795

2024

Flaviviruses induce ER-specific remodelling of protein synthesis.

Applications

Unspecified application

Species

Unspecified reactive species

Ho Him Wong,Dorian Richard Kenneth Crudgington,Lewis Siu,Sumana Sanyal

Methods in molecular biology (Clifton, N.J.) 2845:109-126 PubMed39115661

2024

Methods for Monitoring ER-Phagy.

Applications

Unspecified application

Species

Unspecified reactive species

Marisa Di Monaco,Marian Peteri,Jin Rui Liang

Autophagy 20:2000-2016 PubMed38762757

2024

ROS-mediated lysosomal membrane permeabilization and autophagy inhibition regulate bleomycin-induced cellular senescence.

Applications

Unspecified application

Species

Unspecified reactive species

Zhangyang Qi,Weiqi Yang,Baibing Xue,Tingjun Chen,Xianjie Lu,Rong Zhang,Zhichao Li,Xiaoqing Zhao,Yang Zhang,Fabin Han,Xiaohong Kong,Ruikang Liu,Xue Yao,Rui Jia,Shiqing Feng

Nature communications 15:3113 PubMed38600097

2024

Integrated proteomics reveals autophagy landscape and an autophagy receptor controlling PKA-RI complex homeostasis in neurons.

Applications

Unspecified application

Species

Unspecified reactive species

Xiaoting Zhou,You-Kyung Lee,Xianting Li,Henry Kim,Carlos Sanchez-Priego,Xian Han,Haiyan Tan,Suiping Zhou,Yingxue Fu,Kerry Purtell,Qian Wang,Gay R Holstein,Beisha Tang,Junmin Peng,Nan Yang,Zhenyu Yue

Journal of pineal research 74:e12859 PubMed36732085

2023

Melatonin restores endoplasmic reticulum homeostasis to protect injured neurons in a rat model of chronic cervical cord compression.

Applications

Unspecified application

Species

Unspecified reactive species

Min Yao,Pei-Min Pu,Zhuo-Yao Li,Ke Zhu,Long-Yun Zhou,Yue-Li Sun,Yu-Xiang Dai,Xue-Jun Cui,Yong-Jun Wang

Cell proliferation 55:e13253 PubMed36200182

2022

Endoplasmic reticulum-resident protein Sec62 drives colorectal cancer metastasis via MAPK/ATF2/UCA1 axis.

Applications

Unspecified application

Species

Unspecified reactive species

Yirong Jin,Yuying Han,Suzhen Yang,Jiayi Cao,Mingzuo Jiang,Jie Liang

Communications biology 5:173 PubMed35217767

2022

ATase inhibition rescues age-associated proteotoxicity of the secretory pathway.

Applications

Unspecified application

Species

Unspecified reactive species

Maeghan Murie,Yajing Peng,Michael J Rigby,Inca A Dieterich,Mark A Farrugia,Andreas Endresen,Anita Bhattacharyya,Luigi Puglielli

Frontiers in cellular and infection microbiology 11:707107 PubMed34532300

2021

Sec62 Regulates Endoplasmic Reticulum Stress and Autophagy Balance to Affect Foot-and-Mouth Disease Virus Replication.

Applications

Unspecified application

Species

Unspecified reactive species

Jin'en Wu,Zhihui Zhang,Zhidong Teng,Sahibzada Waheed Abdullah,Shiqi Sun,Huichen Guo

Communications biology 4:454 PubMed33846551

2021

Endoplasmic reticulum acetyltransferases Atase1 and Atase2 differentially regulate reticulophagy, macroautophagy and cellular acetyl-CoA metabolism.

Applications

Unspecified application

Species

Unspecified reactive species

Michael J Rigby,Alexis J Lawton,Gulpreet Kaur,Varuna C Banduseela,William E Kamm,Aparna Lakkaraju,John M Denu,Luigi Puglielli
View all publications

Abcam Product Promise

我们致力于为您的研究提供高质量的试剂,为您科研的每一步提供支持。若我们的产品未能达到预期性能,我们向您提供 Abcam Product Promise 保障。
详情请参阅我们的条款与条件。

Please note: All products are 'FOR RESEARCH USE ONLY. NOT FOR USE IN DIAGNOSTIC OR THERAPEUTIC PROCEDURES'.

For licensing inquiries, please contact partnerships@abcam.com