JavaScript is disabled in your browser. Please enable JavaScript to view this website.
AB314313

重组Anti-SCP3抗体[EPR27086-101]

Anti-SCP3 antibody [EPR27086-101]

Be the first to review this product! Submit a review

|

(0 Publication)

Rabbit Recombinant Monoclonal SCP3 antibody. Suitable for IHC-P, WB and reacts with Human, Rat, Mouse samples.

查看别名

SCP3, SYCP3, Synaptonemal complex protein 3, SCP-3

10 Images
Immunohistochemistry (Formalin/PFA-fixed paraffin-embedded sections) - Anti-SCP3 antibody [EPR27086-101] (AB314313)
  • IHC-P

Supplier Data

Immunohistochemistry (Formalin/PFA-fixed paraffin-embedded sections) - Anti-SCP3 antibody [EPR27086-101] (AB314313)

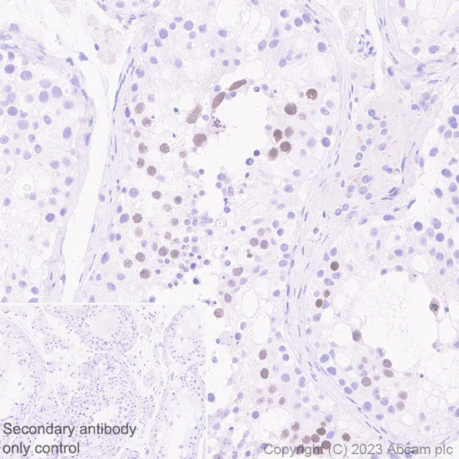
Immunohistochemical analysis of paraffin-embedded human testis tissue labeling SCP3 with ab314313 at 1/100 (5.02 ug/ml) followed by a ready to use Goat Anti-Rabbit IgG H&L (HRP polymer) (ab214880). Positive staining on human testis. The section was incubated with ab314313 at 4°C overnight. Counterstained with Hematoxylin. Secondary antibody only control : Secondary antibody is a ready to use Goat Anti-Rabbit IgG H&L (HRP polymer) (ab214880). Heat mediated antigen retrieval was performed using ab93684 (Tris/EDTA buffer, pH 9.0).

Immunohistochemistry (Formalin/PFA-fixed paraffin-embedded sections) - Anti-SCP3 antibody [EPR27086-101] (AB314313)
  • IHC-P

Supplier Data

Immunohistochemistry (Formalin/PFA-fixed paraffin-embedded sections) - Anti-SCP3 antibody [EPR27086-101] (AB314313)

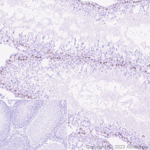
Immunohistochemical analysis of paraffin-embedded mouse testis tissue labeling SCP3 with ab314313 at 1/100 (5.02 ug/ml) followed by a ready to use Goat Anti-Rabbit IgG H&L (HRP polymer). Positive staining on mouse testis. The section was incubated with ab314313 at 4°C overnight. Counterstained with Hematoxylin. Secondary antibody only control : Secondary antibody is a ready to use Goat Anti-Rabbit IgG H&L (HRP polymer). Heat mediated antigen retrieval was performed using ab93684 (Tris/EDTA buffer, pH 9.0).

Immunohistochemistry (Formalin/PFA-fixed paraffin-embedded sections) - Anti-SCP3 antibody [EPR27086-101] (AB314313)
  • IHC-P

Supplier Data

Immunohistochemistry (Formalin/PFA-fixed paraffin-embedded sections) - Anti-SCP3 antibody [EPR27086-101] (AB314313)

Immunohistochemical analysis of paraffin-embedded rat testis tissue labeling SCP3 with ab314313 at 1/100 (5.02 ug/ml) followed by a ready to use Goat Anti-Rabbit IgG H&L (HRP polymer) (ab214880). Positive staining on rat testis. The section was incubated with ab314313 at 4°C overnight. Counterstained with Hematoxylin. Secondary antibody only control : Secondary antibody is a ready to use Goat Anti-Rabbit IgG H&L (HRP polymer) (ab214880). Heat mediated antigen retrieval was performed using ab93684 (Tris/EDTA buffer, pH 9.0).

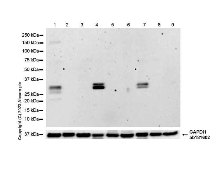
Western blot - Anti-SCP3 antibody [EPR27086-101] (AB314313)
  • WB

Supplier Data

Western blot - Anti-SCP3 antibody [EPR27086-101] (AB314313)

Blocking and diluting buffer and concentration : 5% NFDM/TBST Negative control : liver (PMID : 14643120; PMID : 31671664), lung (PMID : 14643120; PMID : 31671664). The molecular weight observed is consistent with what has been described in the literature (PMID : 32232159). In Western blot, Anti-GAPDH antibody [EPR16891] - Loading Control (ab181602) staining at 1/200000 dilution.

All lanes:

Western blot - Anti-SCP3 antibody [EPR27086-101] (ab314313) at 1/1000 dilution

Lane 1:

Human testis tissue lysate at 60 µg

Lane 2:

Human lung tissue lysate at 60 µg

Lane 3:

Human liver tissue lysate at 60 µg

Lane 4:

Mouse testis tissue lysate at 60 µg

Lane 5:

Mouse lung tissue lysate at 60 µg

Lane 6:

Mouse liver tissue lysate at 60 µg

Lane 7:

Rat testis tissue lysate at 60 µg

Lane 8:

Rat lung tissue lysate at 60 µg

Lane 9:

Rat liver tissue lysate at 60 µg

Secondary

All lanes:

Goat Anti-Rabbit IgG (HRP) with minimal cross-reactivity with human IgG at 1/2000 dilution

Observed band size: 30 kDa,33 kDa

false

Exposure time: 180s

Immunohistochemistry (Formalin/PFA-fixed paraffin-embedded sections) - Anti-SCP3 antibody [EPR27086-101] (AB314313)
  • IHC-P

Supplier Data

Immunohistochemistry (Formalin/PFA-fixed paraffin-embedded sections) - Anti-SCP3 antibody [EPR27086-101] (AB314313)

Immunohistochemical analysis of paraffin-embedded human liver tissue labeling SCP3 with ab314313 at 1/100 (5.02 ug/ml) followed by a ready to use Goat Anti-Rabbit IgG H&L (HRP polymer) (ab214880). Negative control : no staining on human liver. The section was incubated with ab314313 at 4°C overnight. Counterstained with Hematoxylin. Secondary antibody only control : Secondary antibody is a ready to use Goat Anti-Rabbit IgG H&L (HRP polymer) (ab214880). Heat mediated antigen retrieval was performed using ab93684 (Tris/EDTA buffer, pH 9.0).

Immunohistochemistry (Formalin/PFA-fixed paraffin-embedded sections) - Anti-SCP3 antibody [EPR27086-101] (AB314313)
  • IHC-P

Supplier Data

Immunohistochemistry (Formalin/PFA-fixed paraffin-embedded sections) - Anti-SCP3 antibody [EPR27086-101] (AB314313)

Immunohistochemical analysis of paraffin-embedded mouse lung tissue labeling SCP3 with ab314313 at 1/100 (5.02 ug/ml) followed by a ready to use Goat Anti-Rabbit IgG H&L (HRP polymer) (ab214880). Negative control : no staining on mouse lung. The section was incubated with ab314313 at 4°C overnight. Counterstained with Hematoxylin. Secondary antibody only control : Secondary antibody is a ready to use Goat Anti-Rabbit IgG H&L (HRP polymer) (ab214880). Heat mediated antigen retrieval was performed using ab93684 (Tris/EDTA buffer, pH 9.0).

Immunohistochemistry (Formalin/PFA-fixed paraffin-embedded sections) - Anti-SCP3 antibody [EPR27086-101] (AB314313)
  • IHC-P

Supplier Data

Immunohistochemistry (Formalin/PFA-fixed paraffin-embedded sections) - Anti-SCP3 antibody [EPR27086-101] (AB314313)

Immunohistochemical analysis of paraffin-embedded rat lung tissue labeling SCP3 with ab314313 at 1/100 (5.02 ug/ml) followed by a ready to use Goat Anti-Rabbit IgG H&L (HRP polymer) (ab214880). Negative control : no staining on rat lung. The section was incubated with ab314313 at 4°C overnight. Counterstained with Hematoxylin. Secondary antibody only control : Secondary antibody is a ready to use Goat Anti-Rabbit IgG H&L (HRP polymer) (ab214880). Heat mediated antigen retrieval was performed using ab93684 (Tris/EDTA buffer, pH 9.0).

Immunohistochemistry (Formalin/PFA-fixed paraffin-embedded sections) - Anti-SCP3 antibody [EPR27086-101] (AB314313)
  • IHC-P

Supplier Data

Immunohistochemistry (Formalin/PFA-fixed paraffin-embedded sections) - Anti-SCP3 antibody [EPR27086-101] (AB314313)

Immunohistochemical analysis of paraffin-embedded mouse liver tissue labeling SCP3 with ab314313 at 1/100 (5.02 ug/ml) followed by a ready to use Goat Anti-Rabbit IgG H&L (HRP polymer) (ab214880). Negative control : no staining on mouse liver. The section was incubated with ab314313 at 4°C overnight. Counterstained with Hematoxylin. Secondary antibody only control : Secondary antibody is a ready to use Goat Anti-Rabbit IgG H&L (HRP polymer) (ab214880). Heat mediated antigen retrieval was performed using ab93684 (Tris/EDTA buffer, pH 9.0).

Immunohistochemistry (Formalin/PFA-fixed paraffin-embedded sections) - Anti-SCP3 antibody [EPR27086-101] (AB314313)
  • IHC-P

Supplier Data

Immunohistochemistry (Formalin/PFA-fixed paraffin-embedded sections) - Anti-SCP3 antibody [EPR27086-101] (AB314313)

Immunohistochemical analysis of paraffin-embedded rat liver tissue labeling SCP3 with ab314313 at 1/100 (5.02 ug/ml) followed by a ready to use Goat Anti-Rabbit IgG H&L (HRP polymer) (ab214880). Negative control : no staining on rat liver. The section was incubated with ab314313 at 4°C overnight. Counterstained with Hematoxylin. Secondary antibody only control : Secondary antibody is a ready to use Goat Anti-Rabbit IgG H&L (HRP polymer) (ab214880). Heat mediated antigen retrieval was performed using ab93684 (Tris/EDTA buffer, pH 9.0).

Immunohistochemistry (Formalin/PFA-fixed paraffin-embedded sections) - Anti-SCP3 antibody [EPR27086-101] (AB314313)
  • IHC-P

Supplier Data

Immunohistochemistry (Formalin/PFA-fixed paraffin-embedded sections) - Anti-SCP3 antibody [EPR27086-101] (AB314313)

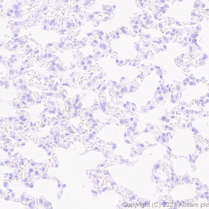
Immunohistochemical analysis of paraffin-embedded human lung tissue labeling SCP3 with ab314313 at 1/100 (5.02 ug/ml) followed by a ready to use Goat Anti-Rabbit IgG H&L (HRP polymer) (ab214880). Negative control : no staining on human lung. The section was incubated with ab314313 at 4°C overnight. Counterstained with Hematoxylin. Secondary antibody only control : Secondary antibody is a ready to use Goat Anti-Rabbit IgG H&L (HRP polymer) (ab214880). Heat mediated antigen retrieval was performed using ab93684 (Tris/EDTA buffer, pH 9.0).

关键信息

宿主种属

Rabbit

克隆

Monoclonal

克隆号

EPR27086-101

亚型

IgG

不含载体蛋白

No

反应种属

Human, Rat, Mouse

应用

WB, IHC-P

applications

免疫原

The exact immunogen used to generate this antibody is proprietary information.

反应性数据

{ "title": "Reactivity Data", "filters": { "stats": ["", "Species", "Dilution Info", "Notes"], "tabs": { "all-applications": {"fullname" : "All Applications", "shortname": "All Applications"}, "IHCP" : {"fullname" : "Immunohistochemistry (Formalin/PFA-fixed paraffin-embedded sections)", "shortname":"IHC-P"}, "WB" : {"fullname" : "Western blot", "shortname":"WB"}, "IP" : {"fullname" : "Immunoprecipitation", "shortname":"IP"} }, "product-promise": { "all": "all", "testedAndGuaranteed": "tested", "guaranteed": "expected", "predicted": "predicted", "notRecommended": "not-recommended" } }, "values": { "Human": { "IHCP-species-checked": "testedAndGuaranteed", "IHCP-species-dilution-info": "1/100", "IHCP-species-notes": "<p></p> Perform heat-mediated antigen retrieval with Tris/EDTA buffer pH 9.0 before commencing with IHC staining protocol.", "WB-species-checked": "testedAndGuaranteed", "WB-species-dilution-info": "1/1000", "WB-species-notes": "<p></p>", "IP-species-checked": "notRecommended", "IP-species-dilution-info": "", "IP-species-notes": "<p></p>" }, "Mouse": { "IHCP-species-checked": "testedAndGuaranteed", "IHCP-species-dilution-info": "1/100", "IHCP-species-notes": "<p></p> Perform heat-mediated antigen retrieval with Tris/EDTA buffer pH 9.0 before commencing with IHC staining protocol.", "WB-species-checked": "testedAndGuaranteed", "WB-species-dilution-info": "1/1000", "WB-species-notes": "<p></p>", "IP-species-checked": "notRecommended", "IP-species-dilution-info": "", "IP-species-notes": "" }, "Rat": { "IHCP-species-checked": "testedAndGuaranteed", "IHCP-species-dilution-info": "1/100", "IHCP-species-notes": "<p></p> Perform heat-mediated antigen retrieval with Tris/EDTA buffer pH 9.0 before commencing with IHC staining protocol.", "WB-species-checked": "testedAndGuaranteed", "WB-species-dilution-info": "1/1000", "WB-species-notes": "<p></p>", "IP-species-checked": "notRecommended", "IP-species-dilution-info": "", "IP-species-notes": "" } } }

产品详情

性能和储存信息

形式
Liquid
纯化工艺
Affinity purification Protein A
存储溶液
pH: 7.2 - 7.4 Preservative: 0.01% Sodium azide Constituents: PBS, 40% Glycerol (glycerin, glycerine), 0.05% BSA
运输条件
Blue Ice
推荐的短期储存时间
1-2 weeks
推荐的短期储存条件
+4°C
推荐的长期储存条件
-20°C
分装信息
Upon delivery aliquot
储存信息
Avoid freeze / thaw cycle

补充信息

This supplementary information is collated from multiple sources and compiled automatically.

The SCP3 protein also known as Synaptonemal complex protein 3 and COR1 plays an important role in cell division. It is a component of the synaptonemal complex which is essential during meiosis for chromosome pairing and recombination. SCP3 has a molecular mass of approximately 30 kDa. Researchers observe its expression in germline cells where it facilitates the accurate segregation of homologous chromosomes during the prophase I stage of meiosis.
Biological function summary

SCP3 serves an important function in organizing the scaffold of the synaptonemal complex a highly organized proteinaceous framework. This structure helps in stabilizing the pairing of homologous chromosomes and promoting synapsis. SCP3 does not work alone; it operates as part of a larger complex with other synaptonemal complex components including SCP1 and SCP2. This coordination ensures the successful exchange of genetic material between chromosomes enhancing genetic diversity in gametes.

Pathways

SCP3 integrates into the meiotic recombination process essential for gametogenesis. It aligns with the DNA repair pathway significantly impacting homologous recombination. Proteins like RAD51 and DMC1 are part of these pathways interacting indirectly with SCP3 to facilitate recombination repair processes. SCP3's role helps maintain genome integrity by ensuring faithful chromosome segregation which is critical in producing viable gametes.

SCP3 implicates reproductive issues and genetic schizophrenia predispositions. Abnormal or disrupted function of SCP3 often leads to infertility due to failed meiosis impacting gamete viability. This malfunction may associate with proteins like SPO11 which initiates meiotic recombination. Alterations in SCP3's function or expression have been studied for their potential connections to schizophrenia suggesting a role in neurological development related to errors during meiosis.

产品实验方案

For this product, it's our understanding that no specific protocols are required. You can visit:

靶点信息

Component of the synaptonemal complexes (SCS), formed between homologous chromosomes during meiotic prophase. Required for centromere pairing during meiosis in male germ cells (By similarity). Required for normal meiosis during spermatogenesis and male fertility (PubMed : 14643120). Plays a lesser role in female fertility. Required for efficient phosphorylation of HORMAD1 and HORMAD2 (By similarity).
See full target information SYCP3

Abcam Product Promise

我们致力于为您的研究提供高质量的试剂,为您科研的每一步提供支持。若我们的产品未能达到预期性能,我们向您提供 Abcam Product Promise 保障。
详情请参阅我们的条款与条件。

关联产品

Select an associated product type
Alternative Version
Primary Antibodies

AB314314

Anti-SCP3 antibody [EPR27086-101] - BSA and Azide free

primary-antibodies

scp3-antibody-epr27086-101-bsa-and-azide-free-ab314314

0

(0 reviews)

Please note: All products are 'FOR RESEARCH USE ONLY. NOT FOR USE IN DIAGNOSTIC OR THERAPEUTIC PROCEDURES'.

For licensing inquiries, please contact partnerships@abcam.com