JavaScript is disabled in your browser. Please enable JavaScript to view this website.
AB238830

Anti-SCGF抗体

Anti-SCGF antibody

Be the first to review this product! Submit a review

|

(1 Publication)

Rabbit Polyclonal SCGF antibody. Suitable for IHC-P, ICC/IF and reacts with Human samples. Cited in 1 publication. Immunogen corresponding to Recombinant Full Length Protein corresponding to Human CLEC11A.

查看别名

CLECSF3, LSLCL, SCGF, CLEC11A, C-type lectin domain family 11 member A, C-type lectin superfamily member 3, Lymphocyte secreted C-type lectin, Osteolectin, Stem cell growth factor, p47

3 Images
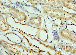
Immunohistochemistry (Formalin/PFA-fixed paraffin-embedded sections) - Anti-SCGF antibody (AB238830)
  • IHC-P

Supplier Data

Immunohistochemistry (Formalin/PFA-fixed paraffin-embedded sections) - Anti-SCGF antibody (AB238830)

Paraffin-embedded human kidney tissue stained for SCGF using ab238830 at 1/100 dilution in immunohistochemical analysis.

Immunohistochemistry (Formalin/PFA-fixed paraffin-embedded sections) - Anti-SCGF antibody (AB238830)
  • IHC-P

Supplier Data

Immunohistochemistry (Formalin/PFA-fixed paraffin-embedded sections) - Anti-SCGF antibody (AB238830)

Paraffin-embedded human brain tissue stained for SCGF using ab238830 at 1/100 dilution in immunohistochemical analysis.

Immunocytochemistry/ Immunofluorescence - Anti-SCGF antibody (AB238830)
  • ICC/IF

Supplier Data

Immunocytochemistry/ Immunofluorescence - Anti-SCGF antibody (AB238830)

HepG2 (Human liver hepatocellular carcinoma cell line) cells stained for SCGF (green) using ab238830 at 1/100 dilution in ICC/IF, followed by Alexa Fluor®488 conjugated Goat Anti-Rabbit IgG (H+L).

关键信息

宿主种属

Rabbit

克隆

Polyclonal

亚型

IgG

不含载体蛋白

No

反应种属

Human

应用

IHC-P, ICC/IF

applications

免疫原

Recombinant Full Length Protein corresponding to Human CLEC11A.

Q9Y240

反应性数据

{ "title": "Reactivity Data", "filters": { "stats": ["", "Species", "Dilution Info", "Notes"], "tabs": { "all-applications": {"fullname" : "All Applications", "shortname": "All Applications"}, "IHCP" : {"fullname" : "Immunohistochemistry (Formalin/PFA-fixed paraffin-embedded sections)", "shortname":"IHC-P"}, "ICCIF" : {"fullname" : "Immunocytochemistry/ Immunofluorescence", "shortname":"ICC/IF"} }, "product-promise": { "all": "all", "testedAndGuaranteed": "tested", "guaranteed": "expected", "predicted": "predicted", "notRecommended": "not-recommended" } }, "values": { "Human": { "IHCP-species-checked": "testedAndGuaranteed", "IHCP-species-dilution-info": "1/20 - 1/200", "IHCP-species-notes": "<p></p>", "ICCIF-species-checked": "testedAndGuaranteed", "ICCIF-species-dilution-info": "1/50 - 1/200", "ICCIF-species-notes": "<p></p>" } } }

性能和储存信息

形式
Liquid
纯化工艺
Affinity purification Immunogen
存储溶液
pH: 7.3 Preservative: 0.02% Sodium azide Constituents: PBS, 50% Glycerol (glycerin, glycerine)
运输条件
Blue Ice
推荐的短期储存时间
1-2 weeks
推荐的短期储存条件
+4°C
推荐的长期储存条件
-20°C
分装信息
Upon delivery aliquot
储存信息
Avoid freeze / thaw cycle

补充信息

This supplementary information is collated from multiple sources and compiled automatically.

Stem Cell Growth Factor (SCGF) also known as C-type lectin domain family 11 member A (CLEC11A) is a glycoprotein with a mass around 38 kDa. It mechanically functions by promoting mitogenic and survival activities on hematopoietic progenitors which are essential for blood cell formation. SCGF is mainly expressed in the bone marrow as well as in several other tissues such as the pancreas and liver where it plays significant roles.
Biological function summary

SCGF plays a significant role in the development and regulation of the hematopoietic system. It supports the proliferation and differentiation of a variety of blood cell lineages. SCGF does not belong to a complex but interacts with other soluble factors like cytokines and growth factors to exert its functions. It enhances the actions of colony-stimulating factors emphasizing its role in hematopoiesis.

Pathways

SCGF is important in the regulation of the hematopoietic growth pathways. It is involved in the cytokine-cytokine receptor interaction pathway which assists in signaling and communication between cells. SCGF shows interactions with proteins like FLT3 which play a role in the development and survival of blood cell precursors. This intricate network bolsters the adaptive and innate immune systems by promoting the production and function of necessary blood cells.

Disruptions in SCGF activity can influence both hematological and autoimmune disorders. Alterations in SCGF expression have connections to leukemia where abnormal proliferation of blood cells occurs. Additionally its dysregulation may contribute to autoimmune diseases where the immune system mistakenly attacks the body. In these contexts SCGF relates with the cytokine IL-6 which is also involved in immune responses and inflammation further underlining SCGF's influence on disease mechanisms.

产品实验方案

For this product, it's our understanding that no specific protocols are required. You can visit:

靶点信息

Promotes osteogenesis by stimulating the differentiation of mesenchymal progenitors into mature osteoblasts (PubMed : 27976999). Important for repair and maintenance of adult bone (By similarity).
See full target information CLEC11A

文献 (1)

Recent publications for all applications. Explore the full list and refine your search

Heliyon 10:e27772 PubMed38510035

2024

The oncogene MYBL2 promotes the malignant phenotype and suppresses apoptosis through hedgehog signaling pathway in clear cell renal cell carcinoma.

Applications

Unspecified application

Species

Unspecified reactive species

Wenjie Yang,Hualin Chen,Lin Ma,Mengchao Wei,Xiaoqiang Xue,Yingjie Li,Zhaoheng Jin,Jie Dong,He Xiao
View all publications

Abcam Product Promise

我们致力于为您的研究提供高质量的试剂,为您科研的每一步提供支持。若我们的产品未能达到预期性能,我们向您提供 Abcam Product Promise 保障。
详情请参阅我们的条款与条件。

Please note: All products are 'FOR RESEARCH USE ONLY. NOT FOR USE IN DIAGNOSTIC OR THERAPEUTIC PROCEDURES'.

For licensing inquiries, please contact partnerships@abcam.com