JavaScript is disabled in your browser. Please enable JavaScript to view this website.
AB9465

Anti-Sarcomeric Alpha Actinin 抗体 [EA-53]

Anti-Sarcomeric Alpha Actinin antibody [EA-53]

4

(12 Reviews)

|

(343 Publications)

Anti-Sarcomeric Alpha Actinin antibody [EA-53] (ab9465) is a mouse monoclonal antibody detecting Sarcomeric Alpha Actinin in Western Blot, IHC-P, ICC/IF. Suitable for Human, Mouse, Rat.

- Clone EA-53 is the most cited clone to Sarcomeric Alpha Actinin
- Over 270 publications
- Trusted since 2002

查看别名

Alpha-actinin-2, Alpha-actinin skeletal muscle isoform 2, F-actin cross-linking protein, ACTN2

4 Images
Western blot - Anti-Sarcomeric Alpha Actinin antibody [EA-53] (AB9465)
  • WB

Supplier Data

Western blot - Anti-Sarcomeric Alpha Actinin antibody [EA-53] (AB9465)

Lane 1:

Western blot - Anti-Sarcomeric Alpha Actinin antibody [EA-53] (ab9465) at 1/500 dilution

Lane 2:

Western blot - Anti-Sarcomeric Alpha Actinin antibody [EA-53] (ab9465) at 1/1000 dilution

Lane 3:

Western blot - Anti-Sarcomeric Alpha Actinin antibody [EA-53] (ab9465) at 1/2000 dilution

Lane 4:

Western blot - Anti-Sarcomeric Alpha Actinin antibody [EA-53] (ab9465)

All lanes:

Rat skeletal muscle extract

Secondary

All lanes:

Goat Anti-Mouse IgG (Fab) (HRP) at 1/4000 dilution

Predicted band size: 103 kDa

false

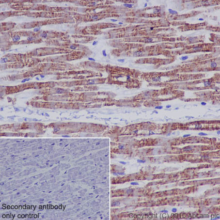
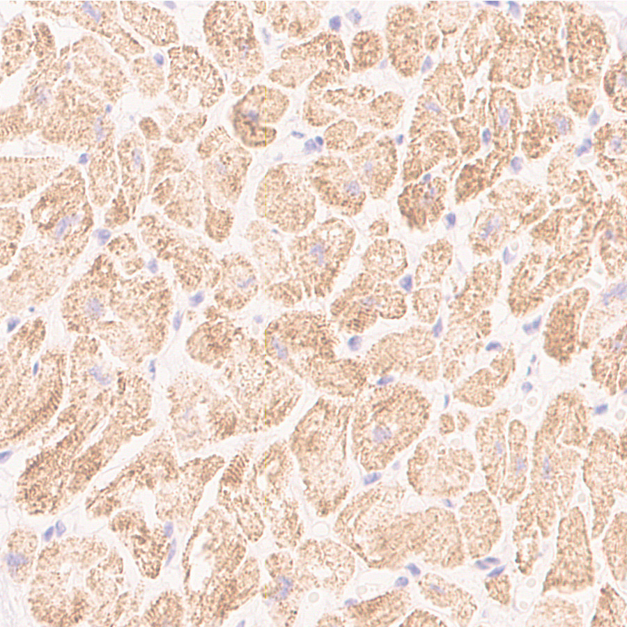
Immunohistochemistry (Formalin/PFA-fixed paraffin-embedded sections) - Anti-Sarcomeric Alpha Actinin antibody [EA-53] (AB9465)
  • IHC-P

Supplier Data

Immunohistochemistry (Formalin/PFA-fixed paraffin-embedded sections) - Anti-Sarcomeric Alpha Actinin antibody [EA-53] (AB9465)

Immunohistochemistry formalin-fixed, paraffin-embedded human tongue labeling Alpha Actinin with ab9465 at 12 μg/mL.

Immunocytochemistry/ Immunofluorescence - Anti-Sarcomeric Alpha Actinin antibody [EA-53] (AB9465)
  • ICC/IF

Lab

Immunocytochemistry/ Immunofluorescence - Anti-Sarcomeric Alpha Actinin antibody [EA-53] (AB9465)

Immunofluorescent analysis of 4% Paraformaldehyde-fixed, 0.1% TritonX-100 permeabilized rat cardiomyocyte cells labelling Natriuretic peptides A with ab225844 at 1/100 dilution, followed by Goat Anti-Rabbit IgG H&L (Alexa Fluor® : 488) preadsorbed (ab150081) secondary antibody at 1/1000 dilution.

Confocal image showing cytoplasmic staining in a subset of rat cardiomyocytes (shown in green). The counterstain was observed in magenta. Nuclear DNA was labelled with DAPI (shown in blue). Image was taken with a confocal microscope (Leica-Microsystems, TCS SP8).

ab9465 Anti-Sarcomeric Alpha Actinin mouse monoclonal antibody was used to counterstain Sarcomeric Alpha Actinin at 1/200 (show in magenta).

The negative controls are as follows :
-ve control 1 : ab225844 at 1/100 dilution, followed by Goat Anti-Mouse IgG H&L (Alexa Fluor® 594) (ab150120) secondary at 1/1000 dilution.
-ve control 2 : ab9465 at 1/200 dilution, followed by Goat Anti-Rabbit IgG H&L (Alexa Fluor® 488) preadsorbed (ab150081) secondary at 1/1000 dilution.

Immunocytochemistry/ Immunofluorescence - Anti-Sarcomeric Alpha Actinin antibody [EA-53] (AB9465)
  • ICC/IF

Lab

Immunocytochemistry/ Immunofluorescence - Anti-Sarcomeric Alpha Actinin antibody [EA-53] (AB9465)

Immunofluorescent analysis of 4% Paraformaldehyde-fixed, 0.1% TritonX-100 permeabilized mouse cardiomyocyte cells labelling Natriuretic peptides A with ab225844 at 1/100 dilution, followed by Goat Anti-Rabbit IgG H&L (Alexa Fluor® : 488) preadsorbed (ab150081) secondary antibody at 1/1000 dilution.

Confocal image showing cytoplasmic staining in a subset of mouse cardiomyocytes (shown in green). The counterstain was observed in magenta. Nuclear DNA was labelled with DAPI (shown in blue). Image was taken with a confocal microscope (Leica-Microsystems, TCS SP8).

ab9465 Anti-Sarcomeric Alpha Actinin mouse monoclonal antibody was used to counterstain Sarcomeric Alpha Actinin at 1/200 (show in magenta).

The negative controls are as follows :
-ve control 1 : ab225844 at 1/100 dilution, followed by ab150120 Goat Anti-Mouse IgG H&L (Alexa Fluor® 594) secondary antibody name (ab150120) secondary at 1/1000 dilution.
-ve control 2 : Primary (ab9465) at 1/200 dilution, followed by Goat Anti-Rabbit IgG H&L (Alexa Fluor® 488) preadsorbed (ab150081) secondary at 1/200 dilution.

关键信息

宿主种属

Mouse

克隆

Monoclonal

克隆号

EA-53

亚型

IgG1

轻链类型

unknown

不含载体蛋白

No

反应种属

Rat, Human, Mouse

应用

WB, IHC-P, ICC/IF

applications

反应性数据

{ "title": "Reactivity Data", "filters": { "stats": ["", "Species", "Dilution Info", "Notes"], "tabs": { "all-applications": {"fullname" : "All Applications", "shortname": "All Applications"}, "WB" : {"fullname" : "Western blot", "shortname":"WB"}, "IHCP" : {"fullname" : "Immunohistochemistry (Formalin/PFA-fixed paraffin-embedded sections)", "shortname":"IHC-P"}, "ICCIF" : {"fullname" : "Immunocytochemistry/ Immunofluorescence", "shortname":"ICC/IF"} }, "product-promise": { "all": "all", "testedAndGuaranteed": "tested", "guaranteed": "expected", "predicted": "predicted", "notRecommended": "not-recommended" } }, "values": { "Human": { "WB-species-checked": "guaranteed", "WB-species-dilution-info": "", "WB-species-notes": "", "IHCP-species-checked": "testedAndGuaranteed", "IHCP-species-dilution-info": "10-20 µg/mL", "IHCP-species-notes": "<p>ABC method. We suggest an incubation period of 60 minutes at room temperature. However, depending upon the fixation conditions and the staining system employed, optimal incubation and dilutions should be determined by the user.</p>", "ICCIF-species-checked": "guaranteed", "ICCIF-species-dilution-info": "", "ICCIF-species-notes": "" }, "Mouse": { "WB-species-checked": "guaranteed", "WB-species-dilution-info": "", "WB-species-notes": "", "IHCP-species-checked": "guaranteed", "IHCP-species-dilution-info": "", "IHCP-species-notes": "", "ICCIF-species-checked": "testedAndGuaranteed", "ICCIF-species-dilution-info": "1/200", "ICCIF-species-notes": "<p></p>" }, "Rat": { "WB-species-checked": "testedAndGuaranteed", "WB-species-dilution-info": "2-4 µg/mL", "WB-species-notes": "<p></p>", "IHCP-species-checked": "guaranteed", "IHCP-species-dilution-info": "", "IHCP-species-notes": "", "ICCIF-species-checked": "testedAndGuaranteed", "ICCIF-species-dilution-info": "1/200", "ICCIF-species-notes": "<p></p>" }, "Rabbit": { "WB-species-checked": "predicted", "WB-species-dilution-info": "", "WB-species-notes": "", "IHCP-species-checked": "predicted", "IHCP-species-dilution-info": "", "IHCP-species-notes": "", "ICCIF-species-checked": "predicted", "ICCIF-species-dilution-info": "", "ICCIF-species-notes": "" } } }

产品详情

Anti-Sarcomeric Alpha Actinin antibody [EA-53] (ab9465) is a House Mouse Monoclonal antibody and is validated for use in IHC-P, WB in human, mouse, rat samples.

Anti-Sarcomeric Alpha Actinin antibody [EA-53] (ab9465) has been cited over 277 times in peer reviewed journals and is trusted by the scientific community.

Abcams high quality validation processes ensure Anti-Sarcomeric Alpha Actinin antibody [EA-53] (ab9465) has high sensitivity and specificity.

Anti-Sarcomeric Alpha Actinin antibody [EA-53] (ab9465) has 12 independent reviews from customers.

Anti-Sarcomeric Alpha Actinin antibody [EA-53] (ab9465) specifically detects Sarcomeric Alpha Actinin (UniProt ID: P35609; Molecular weight: 104kDa) and is sold in 100 uL selling sizes.

Sarcomeric Alpha Actinin is a crucial protein in the muscle cytoskeleton, specifically localized at the Z-disc. The alpha actinin molecular weight is approximately 100 kDa, and it plays a vital role in maintaining sarcomere integrity. The a-actinin (ACTN2) antibody is essential tools for studying this protein's function. Abnormalities in alpha actinin are linked to various muscle diseases, including hypertrophic cardiomyopathy and nemaline myopathy, highlighting its disease relevance.

This product was changed from ascites to tissue culture supernatant on 9th September 2019. Lot numbers higher than GR3258034 are from tissue culture supernatant. Please note that the dilutions may need to be adjusted accordingly. If you have any questions, please do not hesitate to contact our scientific support team.

Storage in "frost-free" freezers, is not recommended. If slight turbidity occurs upon prolonged storage, clarify the solution by centrifugation before use. Working dilution samples should be discarded if not used within 12 hours.

性能和储存信息

形式
Liquid
纯化工艺
Proprietary technique
纯化说明
Purified from tissue culture supernatant.
存储溶液
pH: 7.4 Preservative: 0.09% Sodium azide Constituents: PBS
运输条件
Blue Ice
推荐的短期储存时间
1-2 weeks
推荐的短期储存条件
+4°C
推荐的长期储存条件
-20°C
分装信息
Upon delivery aliquot
储存信息
Avoid freeze / thaw cycle

补充信息

This supplementary information is collated from multiple sources and compiled automatically.

Sarcomeric Alpha Actinin often referred to as alpha-actinin or A-actinin is a protein that functions mechanically as a cross-linker of actin filaments in the sarcomere. It plays a critical role in organizing the actin cytoskeleton providing structural integrity and facilitating muscle contraction. The protein typically has a molecular mass of approximately 100 kDa. It is expressed in a variety of tissues including skeletal and cardiac muscle where it establishes the architecture of the Z-disc by anchoring actin filaments.
Biological function summary

Sarcomeric alpha actinin associates with multiple proteins to form a complex that coordinates muscle function. It not only serves as a structural component but also participates in signaling processes influencing muscle repair and growth. Alpha actinin connects to other cytoskeletal proteins and adaptors coordinating with integrin pathways to transmit external mechanical signals into cellular responses. The ability of alpha actinin to interact with a range of proteins like filamin and spectrin enhances its role in maintaining cellular architecture.

Pathways

Alpha actinin is critical in both the integrin and dystrophin-glycoprotein complex pathways facilitating signal transduction and maintaining muscle stability. Its interaction with actin filaments is important for pathways involving cell adhesion and motility. Within these pathways actin-related proteins such as ACTN2 and titin partner with alpha actinin to sustain cellular structure and function during dynamic processes including muscle contraction and relaxation.

Mutations or defects in alpha actinin have implications in muscular dystrophy and cardiomyopathy. These conditions often involve disruptions in the muscle's structural framework and mechanical signaling where alpha actinin's interaction with dystrophin becomes significant. Additionally such disorders may showcase altered connectivity between alpha actinin and spectrin further affecting muscle integrity and function in pathological conditions.

产品实验方案

For this product, it's our understanding that no specific protocols are required. You can visit:

靶点信息

F-actin cross-linking protein which is thought to anchor actin to a variety of intracellular structures. This is a bundling protein.
See full target information ACTN2

文献 (343)

Recent publications for all applications. Explore the full list and refine your search

Europace : European pacing, arrhythmias, and cardiac electrophysiology : journal of the working groups on cardiac pacing, arrhythmias, and cardiac cellular electrophysiology of the European Society of Cardiology 27: PubMed40879390

2025

Comprehensive analysis of desmosomal protein remodelling identifies desmocollin-2 as potential biomarker for arrhythmogenic cardiomyopathy.

Applications

Unspecified application

Species

Unspecified reactive species

Jie Ren,Zhenliang Hu,Lingmin Wu,Deniz Akdis,Weiquan Ye,Ardan M Saguner,Mingming Su,Hongbin Dong,Zhongli Chen,Dan Hu,Shengshou Hu,Firat Duru,Liang Chen

Theranostics 15:8587-8608 PubMed40860162

2025

Single-cell RNA sequencing reveals that myeloid S100A8/A9 is a novel regulator of the transition from adaptive hypertrophy to heart failure after pressure overload.

Applications

Unspecified application

Species

Unspecified reactive species

Wei-Jia Yu,Wen-Xi Jiang,Shu-Jing Liu,Hui-Hua Li,Qiu-Yue Lin

Journal of cellular and molecular medicine 29:e70741 PubMed40842073

2025

Sirt4 Deficiency Promotes Cardiomyocyte Proliferation and Cardiac Repair.

Applications

Unspecified application

Species

Unspecified reactive species

Weijing Liu,Jie Feng,Yuan Zhang,Yanyan Hao,Jiajun Zhong,Xinchang Liu,Dongcheng Cai,Haorui Liu,Lina Bai,Miaoqing Hu,Hong Lian,Yu Nie,Houzao Chen,Yuyao Wang

Molecular cell 85:3057-3073.e10 PubMed40803325

2025

Distinct specificity and functions of PRC2 subcomplexes in human stem cells and cardiac differentiation.

Applications

Unspecified application

Species

Unspecified reactive species

Christian Much,Sandy M Rajkumar,Liming Chen,John M Cohen,Aravind R Gade,Geoffrey S Pitt,Yicheng Long

Theranostics 15:7219-7241 PubMed40756345

2025

Phosphoserine aminotransferase 1 promotes serine synthesis pathway and cardiac repair after myocardial infarction.

Applications

Unspecified application

Species

Unspecified reactive species

Ajit Magadum,Vandana Mallaredy,Rajika Roy,Darukeshwara Joladarashi,Charan Thej,Zhongjian Cheng,Maria Cimini,May Truongcao,Adam Chatoff,Claudia V Crispim,Vagner O C Rigaud,Carolina Gonzalez,Cindy Benedict,Celio X C Santos,Nathaniel W Snyder,Mohsin Khan,Ajay M Shah,Walter J Koch,Raj Kishore

Nature communications 16:6935 PubMed40721583

2025

3D bioprinting of plant and animal cell-based hybrid food.

Applications

Unspecified application

Species

Unspecified reactive species

Sushila Maharjan,Camila Yamashita,Cheng Pau Lee,Alejandro Villalobos Zepeda,Ana Karen Michel Farias,Andrea Duarte Rivera,Francisco Javier Aguilar Rojas,David Sebastian Rendon Ruiz,Armando Martinez Hernandez,David Hyram Hernandez Medina,Carlos Ezio Garciamendez-Mijares,Julia Japo,Ludivina Bermea Jimenez,Sonia Golombek,Alessandro Bentivogli,Michinao Hashimoto,Yu Shrike Zhang

Journal of cardiovascular development and disease 12: PubMed40710794

2025

Viability and Longevity of Human Miniaturized Living Myocardial Slices.

Applications

Unspecified application

Species

Unspecified reactive species

Ziyu Zhou,Yvar P van Steenis,Surya Henry,Elisa C H van Doorn,Jorik H Amesz,Pieter C van de Woestijne,Natasja M S de Groot,Olivier C Manintveld,Beatrijs Bartelds,Yannick J H J Taverne

Communications biology 8:1069 PubMed40681845

2025

Myc overexpression improves recovery from myocardial infarction associated with cardiomyocyte hyperplasia in the mouse heart.

Applications

Unspecified application

Species

Unspecified reactive species

Cristina Villa Del Campo,Morena Raiola,Rocío Sierra,Ignacio Ms,Jorge Peña-Peña,Isaac Esteban,Miguel Torres

Current research in toxicology 8:100243 PubMed40519566

2025

Development of a workflow for in vitro on- and off-target cytotoxicity assessment of CAR T cell therapies to support first-in-human clinical trials: An orthogonal approach using human induced pluripotent stem cell-derived cells as a surrogate for normal vital organ systems.

Applications

Unspecified application

Species

Unspecified reactive species

Shari Price,Krista G Zindel,Joshua K Overcash,Elizabeth Glaze,Sandy Eldridge

Communications biology 8:736 PubMed40355528

2025

Selective serotonin reuptake inhibitors induce cardiac toxicity through dysfunction of mitochondria and sarcomeres.

Applications

Unspecified application

Species

Unspecified reactive species

Yawei Shen,Cameron E Brown,Xiao Li,Peng Zhang,Stacey R McGee,Søren C Spina,J Ricardo Loret de Mola,Joanna L Fiddler,Haodi Wu,Qing Liu
View all publications

Abcam Product Promise

我们致力于为您的研究提供高质量的试剂,为您科研的每一步提供支持。若我们的产品未能达到预期性能,我们向您提供 Abcam Product Promise 保障。
详情请参阅我们的条款与条件。

Please note: All products are 'FOR RESEARCH USE ONLY. NOT FOR USE IN DIAGNOSTIC OR THERAPEUTIC PROCEDURES'.

For licensing inquiries, please contact partnerships@abcam.com