JavaScript is disabled in your browser. Please enable JavaScript to view this website.
AB19860

Anti-S100A8抗体[2C5/4]

Anti-S100A8 antibody [2C5/4]

Be the first to review this product! Submit a review

|

(2 Publications)

Mouse Monoclonal MRP8 antibody. Suitable for Flow Cyt, IHC-P and reacts with Human samples. Cited in 2 publications. Immunogen corresponding to Recombinant Full Length Protein corresponding to Human S100A8.

查看别名

CAGA, CFAG, MRP8, S100A8, Protein S100-A8, Calgranulin-A, Calprotectin L1L subunit, Cystic fibrosis antigen, Leukocyte L1 complex light chain, Migration inhibitory factor-related protein 8, S100 calcium-binding protein A8, Urinary stone protein band A, MRP-8, p8

2 Images
Flow Cytometry - Anti-S100A8 antibody [2C5/4] (AB19860)
  • Flow Cyt

Unknown

Flow Cytometry - Anti-S100A8 antibody [2C5/4] (AB19860)

Overlay histogram showing THP1 cells stained with ab19860 (red line). The cells were fixed with 80% methanol (5 min) and then permeabilized with 0.1% PBS-Tween for 20 min. The cells were then incubated in 1x PBS / 10% normal goat serum / 0.3M glycine to block non-specific protein-protein interactions. The cells were then incubated with the antibody (ab19860, 1μg/1x106 cells) for 30 min at 22°C. The secondary antibody used was DyLight® 488 goat anti-mouse IgG (H+L) (ab96879) at 1/500 dilution for 30 min at 22°C. Isotype control antibody (black line) was mouse IgG1 [ICIGG1] (ab91353, 2μg/1x106 cells) used under the same conditions. Acquisition of >5,000 events was performed. This antibody gave a positive signal in THP1 cells fixed with 4% paraformaldehyde/permeabilized in 0.1% PBS-Tween used under the same conditions.

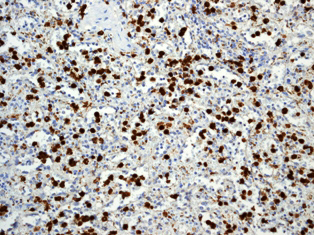
Immunohistochemistry (Formalin/PFA-fixed paraffin-embedded sections) - Anti-S100A8 antibody [2C5/4] (AB19860)
  • IHC-P

Unknown

Immunohistochemistry (Formalin/PFA-fixed paraffin-embedded sections) - Anti-S100A8 antibody [2C5/4] (AB19860)

IHC image of ab19860 staining in human normal lymphoid formalin fixed paraffin embedded tissue section, performed on a Leica BondTM system using the standard protocol F. The section was pre-treated using heat mediated antigen retrieval with EDTA (pH9, epitope retrieval solution 2) for 20 mins. The section was then incubated with ab19860, 1µg/ml, for 15 mins at room temperature and detected using an HRP conjugated compact polymer system. DAB was used as the chromogen. The section was then counterstained with haematoxylin and mounted with DPX.

For other IHC staining systems (automated and non-automated) customers should optimize variable parameters such as antigen retrieval conditions, primary antibody concentration and antibody incubation times.

关键信息

宿主种属

Mouse

克隆

Monoclonal

克隆号

2C5/4

亚型

IgG1

不含载体蛋白

No

反应种属

Human

应用

IHC-P, Flow Cyt

applications

免疫原

Recombinant Full Length Protein corresponding to Human S100A8.

P05109

反应性数据

{ "title": "Reactivity Data", "filters": { "stats": ["", "Species", "Dilution Info", "Notes"], "tabs": { "all-applications": {"fullname" : "All Applications", "shortname": "All Applications"}, "FlowCyt" : {"fullname" : "Flow Cytometry", "shortname":"Flow Cyt"}, "IHCP" : {"fullname" : "Immunohistochemistry (Formalin/PFA-fixed paraffin-embedded sections)", "shortname":"IHC-P"} }, "product-promise": { "all": "all", "testedAndGuaranteed": "tested", "guaranteed": "expected", "predicted": "predicted", "notRecommended": "not-recommended" } }, "values": { "Human": { "FlowCyt-species-checked": "testedAndGuaranteed", "FlowCyt-species-dilution-info": "1 µg for 10^6 Cells", "FlowCyt-species-notes": "<p><a href='/products/primary-antibodies/mouse-igg1-kappa-monoclonal-15-6e10a7-isotype-control-ab170190'>ab170190</a> - Mouse monoclonal IgG1, is suitable for use as an isotype control with this antibody.</p>", "IHCP-species-checked": "testedAndGuaranteed", "IHCP-species-dilution-info": "1 µg/mL", "IHCP-species-notes": "<p></p>" } } }

性能和储存信息

形式
Liquid
纯化工艺
Affinity purification Protein A/G
存储溶液
Preservative: 0.02% Sodium azide Constituents: PBS
运输条件
Blue Ice
推荐的短期储存时间
1-2 weeks
推荐的短期储存条件
+4°C
推荐的长期储存条件
-20°C
分装信息
Upon delivery aliquot
储存信息
Avoid freeze / thaw cycle

补充信息

This supplementary information is collated from multiple sources and compiled automatically.

S100A8 also known as calprotectin or MRP8 is a calcium-binding protein with a molecular weight of around 10.8 kDa. It is a member of the S100 protein family and is found expressed in myeloid cells such as neutrophils and monocytes. This protein often forms a heterodimer complex with S100A9 together referred to as calprotectin which plays a critical role in the immune response. Researchers frequently utilize calprotectin fecal ELISA MRP8 ELISA or calprotectin serum immunoassay to measure its levels in various biological samples.
Biological function summary

The S100A8/S100A9 complex modulates inflammatory processes and immune responses. It acts as a pro-inflammatory mediator and is associated with leukocyte recruitment to sites of inflammation. This complex plays an important role in protecting cells from infections by inhibiting bacterial growth through sequestration of nutrient metals showcasing antimicrobial properties. Calprotectin significantly impacts immune responses and has become an interesting target for calprotectin ELISA kits to quantify its presence in plasma and other bodily fluids indicating inflammation.

Pathways

S100A8 and its partner S100A9 are involved in toll-like receptor and receptor for advanced glycation end-products (RAGE) signaling pathways. These pathways are key in mediating inflammatory responses and linking to innate immunity. The calgranulin A ELISA is often used to evaluate their involvement in these pathways helping to elucidate interactions with other proteins like calmodulin that play a role in cellular regulation processes.

S100A8 is strongly associated with inflammatory conditions such as rheumatoid arthritis and inflammatory bowel disease. Its elevated expression levels serve as a biomarker for these conditions highlighting its potential for diagnostic use via calprotectin ELISA kits. S100A8's relationship with S100A9 supports its connection to these diseases reflecting the complex's significant presence and functional role in chronic inflammation and immune dysregulation.

产品实验方案

For this product, it's our understanding that no specific protocols are required. You can visit:

靶点信息

S100A8 is a calcium- and zinc-binding protein which plays a prominent role in the regulation of inflammatory processes and immune response. It can induce neutrophil chemotaxis and adhesion. Predominantly found as calprotectin (S100A8/A9) which has a wide plethora of intra- and extracellular functions. The intracellular functions include : facilitating leukocyte arachidonic acid trafficking and metabolism, modulation of the tubulin-dependent cytoskeleton during migration of phagocytes and activation of the neutrophilic NADPH-oxidase. Participates also in regulatory T-cell differentiation together with CD69 (PubMed : 26296369). Activates NADPH-oxidase by facilitating the enzyme complex assembly at the cell membrane, transferring arachidonic acid, an essential cofactor, to the enzyme complex and S100A8 contributes to the enzyme assembly by directly binding to NCF2/P67PHOX. The extracellular functions involve pro-inflammatory, antimicrobial, oxidant-scavenging and apoptosis-inducing activities. Its pro-inflammatory activity includes recruitment of leukocytes, promotion of cytokine and chemokine production, and regulation of leukocyte adhesion and migration. Acts as an alarmin or a danger associated molecular pattern (DAMP) molecule and stimulates innate immune cells via binding to pattern recognition receptors such as Toll-like receptor 4 (TLR4) and receptor for advanced glycation endproducts (AGER). Binding to TLR4 and AGER activates the MAP-kinase and NF-kappa-B signaling pathways resulting in the amplification of the pro-inflammatory cascade. Has antimicrobial activity towards bacteria and fungi and exerts its antimicrobial activity probably via chelation of Zn(2+) which is essential for microbial growth. Can induce cell death via autophagy and apoptosis and this occurs through the cross-talk of mitochondria and lysosomes via reactive oxygen species (ROS) and the process involves BNIP3. Can regulate neutrophil number and apoptosis by an anti-apoptotic effect; regulates cell survival via ITGAM/ITGB and TLR4 and a signaling mechanism involving MEK-ERK. Its role as an oxidant scavenger has a protective role in preventing exaggerated tissue damage by scavenging oxidants. Can act as a potent amplifier of inflammation in autoimmunity as well as in cancer development and tumor spread. The iNOS-S100A8/A9 transnitrosylase complex directs selective inflammatory stimulus-dependent S-nitrosylation of GAPDH and probably multiple targets such as ANXA5, EZR, MSN and VIM by recognizing a [IL]-x-C-x-x-[DE] motif; S100A8 seems to contribute to S-nitrosylation site selectivity.. (Microbial infection) Upon infection by human coronavirus SARS-CoV-2, may induce expansion of aberrant immature neutrophils in a TLR4-dependent manner.
See full target information S100A8

文献 (2)

Recent publications for all applications. Explore the full list and refine your search

Nature communications 16:8647 PubMed41028752

2025

Cell-type-specific functionality encoded within the intrinsically disordered regions of OCT4.

Applications

Unspecified application

Species

Unspecified reactive species

Burak Ozkan,Mitzy Rios de Anda,Elisa Hall-Ponsele,Maria Rosa Portero Migueles,Amani Alshaikh,Marta Hanzevacki,Moriyah Naama,Katharine Furlong,Gareth A Roberts,Meryam Beniazza,My Linh Huynh,Michael R O'Dwyer,Sonia Yiakoumi,Christos Spanos,Hazar Yassen,Keisuke Kaji,Hitoshi Niwa,Yosef Buganim,Sally Lowell,Abdenour Soufi

PloS one 6:e27063 PubMed22069487

2011

CD44 upregulation in E-cadherin-negative esophageal cancers results in cell invasion.

Applications

Unspecified application

Species

Unspecified reactive species

Grégoire F Le Bras,Gillian L Allison,Nicole F Richards,Shazia S Ansari,M Kay Washington,Claudia D Andl
View all publications

Abcam Product Promise

我们致力于为您的研究提供高质量的试剂,为您科研的每一步提供支持。若我们的产品未能达到预期性能,我们向您提供 Abcam Product Promise 保障。
详情请参阅我们的条款与条件。

Please note: All products are 'FOR RESEARCH USE ONLY. NOT FOR USE IN DIAGNOSTIC OR THERAPEUTIC PROCEDURES'.

For licensing inquiries, please contact partnerships@abcam.com