JavaScript is disabled in your browser. Please enable JavaScript to view this website.
AB12865

Anti-RPS6 (phospho S244 + S247)抗体

Anti-RPS6 (phospho S244 + S247) antibody

Be the first to review this product! Submit a review

|

(1 Publication)

Rabbit Polyclonal RPS6 phospho S244 + S247 antibody. Suitable for WB and reacts with Human samples. Cited in 1 publication.

查看别名

OK/SW-cl.2, RPS6, Small ribosomal subunit protein eS6, 40S ribosomal protein S6, Phosphoprotein NP33

1 Images
Western blot - Anti-RPS6 (phospho S244 + S247) antibody (AB12865)
  • WB

Unknown

Western blot - Anti-RPS6 (phospho S244 + S247) antibody (AB12865)

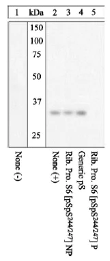
Lysates prepared from HeLa cells left untreated (1) or treated with TNF-alpha (2-5) were resolved by SDS-PAGE on a 14% polyacrylamide gel and transferred to PVDF. Membranes were blocked with a 5% BSA-TBST buffer for one hour at room temperature, and incubated with ab12865 for two hours at room temperature in a 3% BSA-TBST buffer, following prior incubation with : no peptide (1, 2), the non-phosphopeptide corresponding to the immunogen (3), a generic phosphoserine-containing peptide (4), or the phosphopeptide immunogen (5). After washing, membranes were incubated with goat anti-rabbit IgG HRP conjugate and bands were detected. The data show that only the peptide corresponding to RPS6 [phospho S244 & phospho S247] blocks the signal, verifying the specificity of the antibody.
Lysates prepared from HeLa cells left untreated (1) or treated with TNF-alpha (2-5) were resolved by SDS-PAGE on a 14% polyacrylamide gel and transferred to PVDF. Membranes were blocked with a 5% BSA-TBST

All lanes:

Western blot - Anti-RPS6 (phospho S244 + S247) antibody (ab12865)

Predicted band size: 29 kDa

false

关键信息

宿主种属

Rabbit

克隆

Polyclonal

亚型

IgG

不含载体蛋白

No

反应种属

Human

应用

WB

applications

免疫原

The exact immunogen used to generate this antibody is proprietary information.

反应性数据

{ "title": "Reactivity Data", "filters": { "stats": ["", "Species", "Dilution Info", "Notes"], "tabs": { "all-applications": {"fullname" : "All Applications", "shortname": "All Applications"}, "WB" : {"fullname" : "Western blot", "shortname":"WB"} }, "product-promise": { "all": "all", "testedAndGuaranteed": "tested", "guaranteed": "expected", "predicted": "predicted", "notRecommended": "not-recommended" } }, "values": { "Human": { "WB-species-checked": "testedAndGuaranteed", "WB-species-dilution-info": "1/1000", "WB-species-notes": "<p></p>" }, "Mouse": { "WB-species-checked": "predicted", "WB-species-dilution-info": "", "WB-species-notes": "" }, "Rat": { "WB-species-checked": "predicted", "WB-species-dilution-info": "", "WB-species-notes": "" } } }

性能和储存信息

形式
Liquid
纯化工艺
Affinity purification Immunogen
纯化说明
Purified from rabbit serum by sequential epitope-specific chromatography. The antibody has been negatively preadsorbed using a non-phosphopeptide corresponding to the site of phosphorylation to remove antibody that is reactive with non-phosphorylated RPS6. The final product is generated byaffinity chromatography using a RPS6-derived peptide that is phosphorylated at serines 244 and 247.
存储溶液
pH: 7.3 Preservative: 0.05% Sodium azide Constituents: PBS, 50% Glycerol (glycerin, glycerine), 0.1% BSA
运输条件
Blue Ice
推荐的短期储存时间
1-2 weeks
推荐的短期储存条件
+4°C
推荐的长期储存条件
-20°C
分装信息
Upon delivery aliquot
储存信息
Avoid freeze / thaw cycle

补充信息

This supplementary information is collated from multiple sources and compiled automatically.

RPS6 also known as Ribosomal Protein S6 is a component of the 40S ribosomal subunit with a molecular weight of approximately 28 kDa. This protein mainly localizes in the cytoplasm where ribosomes are fixed during protein synthesis. The ribosomal machinery uses RPS6 to translate mRNA into polypeptides operating as an essential part of protein biosynthesis. It expresses in various tissues with higher levels in highly proliferative cells which need extensive protein production for growth.
Biological function summary

RPS6 is integral to the formation of the ribosomal complex. This complex is essential for the translation initiation process. RPS6 controls the translation capacity of ribosomes and functions in growth and development by regulating protein synthesis rates. Alterations in RPS6 activity can impact cellular growth and size due to its role in ribosome biogenesis.

Pathways

RPS6 plays a significant role in the mTOR and PI3K/AKT signaling pathways. These pathways link nutrient availability to protein synthesis influencing cellular growth and metabolism. RPS6 interacts with proteins like S6K1 which is a downstream target in the mTOR pathway to modulate translation and cell growth processes.

RPS6 has connections to cancer and metabolic syndromes. Abnormal RPS6 activation can lead to dysregulated cell growth contributing to oncogenesis. In the context of cancer mTOR signaling where RPS6 functions is often upregulated leading to uncontrolled proliferation. Moreover in metabolic disorders the disrupted pathway activity involves other proteins like AKT fostering insulin resistance and metabolic imbalance.

产品实验方案

For this product, it's our understanding that no specific protocols are required. You can visit:

靶点信息

Component of the 40S small ribosomal subunit (PubMed : 23636399, PubMed : 8706699). Plays an important role in controlling cell growth and proliferation through the selective translation of particular classes of mRNA (PubMed : 17220279). Part of the small subunit (SSU) processome, first precursor of the small eukaryotic ribosomal subunit. During the assembly of the SSU processome in the nucleolus, many ribosome biogenesis factors, an RNA chaperone and ribosomal proteins associate with the nascent pre-rRNA and work in concert to generate RNA folding, modifications, rearrangements and cleavage as well as targeted degradation of pre-ribosomal RNA by the RNA exosome (PubMed : 34516797).
See full target information RPS6 phospho S244 + S247

文献 (1)

Recent publications for all applications. Explore the full list and refine your search

The Journal of experimental medicine 211:605-12 PubMed24616378

2014

Csnk1a1 inhibition has p53-dependent therapeutic efficacy in acute myeloid leukemia.

Applications

WB

Species

Human

Marcus Järås,Peter G Miller,Lisa P Chu,Rishi V Puram,Emma C Fink,Rebekka K Schneider,Fatima Al-Shahrour,Pablo Peña,L Jordan Breyfogle,Kimberly A Hartwell,Marie E McConkey,Glenn S Cowley,David E Root,Michael G Kharas,Ann Mullally,Benjamin L Ebert
View all publications

Abcam Product Promise

我们致力于为您的研究提供高质量的试剂,为您科研的每一步提供支持。若我们的产品未能达到预期性能,我们向您提供 Abcam Product Promise 保障。
详情请参阅我们的条款与条件。

Please note: All products are 'FOR RESEARCH USE ONLY. NOT FOR USE IN DIAGNOSTIC OR THERAPEUTIC PROCEDURES'.

For licensing inquiries, please contact partnerships@abcam.com