JavaScript is disabled in your browser. Please enable JavaScript to view this website.
AB249646

重组Anti-RPS3A抗体[EPR11982(B)] - BSA and Azide free

Anti-RPS3A antibody [EPR11982(B)] - BSA and Azide free

Be the first to review this product! Submit a review

|

(0 Publication)

Rabbit Recombinant Monoclonal RPS3A antibody. Carrier free. Suitable for IHC-P, WB and reacts with Human samples.

查看别名

FTE1, MFTL, RPS3A, Small ribosomal subunit protein eS1, 40S ribosomal protein S3a, v-fos transformation effector protein, Fte-1

3 Images
Western blot - Anti-RPS3A antibody [EPR11982(B)] - BSA and Azide free (AB249646)
  • WB

Supplier Data

Western blot - Anti-RPS3A antibody [EPR11982(B)] - BSA and Azide free (AB249646)

This data was developed using ab171742, the same antibody clone in a different buffer formulation.

All lanes:

Western blot - Anti-RPS3A antibody [EPR11982(B)] (<a href='/products/primary-antibodies/rps3a-antibody-epr11982b-ab171742'>ab171742</a>) at 1/10000 dilution

Lane 1:

HeLa cell lysate at 10 µg

Lane 2:

293T cell lysate at 10 µg

Lane 3:

HepG2 cell lysate at 10 µg

Lane 4:

A431 cell lysate at 10 µg

Predicted band size: 30 kDa

false

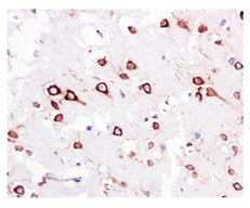
Immunohistochemistry (Formalin/PFA-fixed paraffin-embedded sections) - Anti-RPS3A antibody [EPR11982(B)] - BSA and Azide free (AB249646)
  • IHC-P

Supplier Data

Immunohistochemistry (Formalin/PFA-fixed paraffin-embedded sections) - Anti-RPS3A antibody [EPR11982(B)] - BSA and Azide free (AB249646)

This data was developed using ab171742, the same antibody clone in a different buffer formulation.

Immunohistochemistry of paraffin-embedded Human brain tissue labeling RPS3A using ab171742 at 1/250 dilution.

Perform heat mediated antigen retrieval with citrate buffer pH 6 before commencing with IHC staining protocol.

Immunohistochemistry (Formalin/PFA-fixed paraffin-embedded sections) - Anti-RPS3A antibody [EPR11982(B)] - BSA and Azide free (AB249646)
  • IHC-P

Supplier Data

Immunohistochemistry (Formalin/PFA-fixed paraffin-embedded sections) - Anti-RPS3A antibody [EPR11982(B)] - BSA and Azide free (AB249646)

This data was developed using ab171742, the same antibody clone in a different buffer formulation.

Immunohistochemistry of paraffin-embedded Human pancreas tissue labeling RPS3A using ab171742 at 1/250 dilution.

Perform heat mediated antigen retrieval with citrate buffer pH 6 before commencing with IHC staining protocol.

不同偶联物与剂型 (1)

关键信息

宿主种属

Rabbit

克隆

Monoclonal

克隆号

EPR11982(B)

亚型

IgG

不含载体蛋白

Yes

反应种属

Human

应用

IHC-P, WB

applications

免疫原

The exact immunogen used to generate this antibody is proprietary information.

反应性数据

{ "title": "Reactivity Data", "filters": { "stats": ["", "Species", "Dilution Info", "Notes"], "tabs": { "all-applications": {"fullname" : "All Applications", "shortname": "All Applications"}, "IHCP" : {"fullname" : "Immunohistochemistry (Formalin/PFA-fixed paraffin-embedded sections)", "shortname":"IHC-P"}, "IP" : {"fullname" : "Immunoprecipitation", "shortname":"IP"}, "FlowCyt" : {"fullname" : "Flow Cytometry", "shortname":"Flow Cyt"}, "WB" : {"fullname" : "Western blot", "shortname":"WB"} }, "product-promise": { "all": "all", "testedAndGuaranteed": "tested", "guaranteed": "expected", "predicted": "predicted", "notRecommended": "not-recommended" } }, "values": { "Human": { "IHCP-species-checked": "testedAndGuaranteed", "IHCP-species-dilution-info": "", "IHCP-species-notes": "<p></p> Perform heat-mediated antigen retrieval with citrate buffer pH 6 before commencing with IHC staining protocol.", "IP-species-checked": "notRecommended", "IP-species-dilution-info": "", "IP-species-notes": "<p></p>", "FlowCyt-species-checked": "notRecommended", "FlowCyt-species-dilution-info": "", "FlowCyt-species-notes": "<p></p>", "WB-species-checked": "testedAndGuaranteed", "WB-species-dilution-info": "", "WB-species-notes": "<p></p>" }, "Mouse": { "IHCP-species-checked": "predicted", "IHCP-species-dilution-info": "", "IHCP-species-notes": "", "IP-species-checked": "notRecommended", "IP-species-dilution-info": "", "IP-species-notes": "", "FlowCyt-species-checked": "notRecommended", "FlowCyt-species-dilution-info": "", "FlowCyt-species-notes": "", "WB-species-checked": "predicted", "WB-species-dilution-info": "", "WB-species-notes": "" }, "Rat": { "IHCP-species-checked": "predicted", "IHCP-species-dilution-info": "", "IHCP-species-notes": "", "IP-species-checked": "notRecommended", "IP-species-dilution-info": "", "IP-species-notes": "", "FlowCyt-species-checked": "notRecommended", "FlowCyt-species-dilution-info": "", "FlowCyt-species-notes": "", "WB-species-checked": "predicted", "WB-species-dilution-info": "", "WB-species-notes": "" } } }

产品详情

性能和储存信息

形式
Liquid
纯化工艺
Affinity purification Protein A
存储溶液
pH: 7.2 - 7.4 Constituents: PBS
运输条件
Blue Ice
推荐的短期储存条件
+4°C
推荐的长期储存条件
+4°C
储存信息
Do Not Freeze

补充信息

This supplementary information is collated from multiple sources and compiled automatically.

RPS3A also known as Ribosomal Protein S3A is a component of the 40S subunit of the ribosome and has a molecular mass of approximately 29 kDa. The protein interacts directly with mRNA and transfer RNA during protein synthesis. RPS3A is expressed in various tissues including the liver spleen and muscle indicating its widespread presence where protein synthesis is highly active.
Biological function summary

Ribosomal Protein S3A plays a role in the assembly and stability of the small ribosomal subunit. It forms part of the ribosomal complex important for decoding mRNA into polypeptides. RPS3A is also involved in regulating cell growth and proliferation cell cycle progression and apoptosis linking it to cell survival and maintenance. As a ribosomal protein it associates with other ribosomal proteins and rRNA within the ribosome.

Pathways

Ribosomal Protein S3A engages in processes like the mRNA translation pathway and the ribosome biogenesis pathway. It interacts with proteins such as eukaryotic translation initiation factors ensuring the correct initiation and regulation of translation. RPS3A also associates with proteins involved in the mTOR signaling pathway which influences cell growth and metabolism by regulating protein synthesis.

Ribosomal Protein S3A has been implicated in cancer especially hepatocellular carcinoma suggesting a potential role in tumorigenesis. Abnormal expression levels of RPS3A may lead to dysregulated cell proliferation. Additionally RPS3A is associated with Diamond-Blackfan Anemia where changes in its expression could contribute to impaired ribosome function. In these contexts it may interact with proteins like RPL11 and p53 known for their roles in cellular growth regulation and genomic stability.

产品实验方案

For this product, it's our understanding that no specific protocols are required. You can visit:

靶点信息

Component of the small ribosomal subunit. The ribosome is a large ribonucleoprotein complex responsible for the synthesis of proteins in the cell (PubMed : 23636399). Part of the small subunit (SSU) processome, first precursor of the small eukaryotic ribosomal subunit. During the assembly of the SSU processome in the nucleolus, many ribosome biogenesis factors, an RNA chaperone and ribosomal proteins associate with the nascent pre-rRNA and work in concert to generate RNA folding, modifications, rearrangements and cleavage as well as targeted degradation of pre-ribosomal RNA by the RNA exosome (PubMed : 34516797). May play a role during erythropoiesis through regulation of transcription factor DDIT3 (By similarity).
See full target information RPS3A

Abcam Product Promise

我们致力于为您的研究提供高质量的试剂,为您科研的每一步提供支持。若我们的产品未能达到预期性能,我们向您提供 Abcam Product Promise 保障。
详情请参阅我们的条款与条件。

关联产品

Select an associated product type
Alternative Product
Primary Antibodies

AB264368

Anti-RPS3A antibody

primary-antibodies

rps3a-antibody-ab264368

0

(0 reviews)

Please note: All products are 'FOR RESEARCH USE ONLY. NOT FOR USE IN DIAGNOSTIC OR THERAPEUTIC PROCEDURES'.

For licensing inquiries, please contact partnerships@abcam.com