JavaScript is disabled in your browser. Please enable JavaScript to view this website.
AB76420

重组Anti-RPA32/RPA2抗体[EPR2877Y]

Anti-RPA32/RPA2 antibody [EPR2877Y]

5

(1 Review)

|

(44 Publications)

Anti-RPA32/RPA2 antibody [EPR2877Y] (ab76420) is a rabbit monoclonal antibody detecting RPA32/RPA2 in Western Blot, Flow Cytometry (Intra), Flow Cytometry, IP, IHC-P, ICC/IF. Suitable for Human, Mouse, Rat.

- Biophysical QC for unrivalled batch-batch consistency
- Over 20 publications
- Trusted since 2009

查看别名

REPA2, RPA32, RPA34, RPA2, Replication protein A 32 kDa subunit, RP-A p32, Replication factor A protein 2, Replication protein A 34 kDa subunit, RF-A protein 2, RP-A p34

14 Images
Immunocytochemistry/ Immunofluorescence - Anti-RPA32/RPA2 antibody [EPR2877Y] (AB76420)
  • ICC/IF

Unknown

Immunocytochemistry/ Immunofluorescence - Anti-RPA32/RPA2 antibody [EPR2877Y] (AB76420)

Immunocytochemistry/ Immunofluorescence analysis of HeLa (human cervix adenocarcinoma epithelial cell) cells labeling RPA32/RPA2 with purified ab76420 at 1 : 50 (2.28 µg/ml). Cells were fixed in 4% paraformaldehyde and permeabilized with 0.1% Triton X-100. Cells were counterstained with ab195889 Anti-alpha Tubulin antibody [DM1A] - Microtubule Marker (Alexa Fluor® 594) 1 : 200 (2.5 µg/ml). Goat anti rabbit IgG (Alexa Fluor® 488, ab150077) was used as the secondary antibody at 1 : 1000 (2 µg/ml) dilution. DAPI nuclear counterstain. PBS instead of the primary antibody was used as the secondary antibody only control.

Immunohistochemistry (Formalin/PFA-fixed paraffin-embedded sections) - Anti-RPA32/RPA2 antibody [EPR2877Y] (AB76420)
  • IHC-P

Supplier Data

Immunohistochemistry (Formalin/PFA-fixed paraffin-embedded sections) - Anti-RPA32/RPA2 antibody [EPR2877Y] (AB76420)

Immunohistochemical analysis of paraffin-embedded human breast carcinoma using ab76420 (unpurified) at 1/250 dilution.

Flow Cytometry (Intracellular) - Anti-RPA32/RPA2 antibody [EPR2877Y] (AB76420)
  • Flow Cyt (Intra)

Unknown

Flow Cytometry (Intracellular) - Anti-RPA32/RPA2 antibody [EPR2877Y] (AB76420)

Intracellular Flow Cytometry analysis of HeLa (human cervix adenocarcinoma epithelial cell) cells labeling RPA32/RPA2 with purified ab76420 at 1/200 dilution (0.58 μg/ml) - Red. Cells were fixed with 4% paraformaldehyde . A Goat anti rabbit IgG (Alexa Fluor® 488, ab150077) secondary antibody was used at 1/2000 dilution. Isotype control - Rabbit monoclonal IgG (ab172730) - Black. Unlabeled control - Blue. Untreated cells - Green

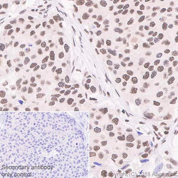
Immunohistochemistry (Formalin/PFA-fixed paraffin-embedded sections) - Anti-RPA32/RPA2 antibody [EPR2877Y] (AB76420)
  • IHC-P

Unknown

Immunohistochemistry (Formalin/PFA-fixed paraffin-embedded sections) - Anti-RPA32/RPA2 antibody [EPR2877Y] (AB76420)

Immunohistochemistry (Formalin/PFA-fixed paraffin-embedded sections) analysis of Human breast cancer tissue sections labeling RPA32/RPA2 with purified ab76420 at 1/100 dilution (1 μg/ml). Heat mediated antigen retrieval was performed using ab93684 (Tris/EDTA buffer, pH 9.0). ImmunoHistoProbe one step HRP Polymer (ready to use) was used as the secondary antibody. Negative control : PBS instead of the primary antibody. Hematoxylin was used as a counterstain.

Immunocytochemistry/ Immunofluorescence - Anti-RPA32/RPA2 antibody [EPR2877Y] (AB76420)
  • ICC/IF

Unknown

Immunocytochemistry/ Immunofluorescence - Anti-RPA32/RPA2 antibody [EPR2877Y] (AB76420)

Immunocytochemistry/ Immunofluorescence analysis of HeLa (Human cervix adenocarcinoma epithelial cell) cells labeling RPA32/RPA2 with purified ab76420 at 1/50 dilution (2.0 μg/ml). Cells were fixed in 4% Paraformaldehyde and permeabilized with 0.1% tritonX-100. Cells were counterstained with ab195889 Anti-alpha Tubulin antibody [DM1A] - Microtubule Marker (Alexa Fluor® 594) at 1/200 (2.5 μg/ml). Goat anti rabbit IgG (Alexa Fluor® 488, ab150077) was used as the secondary antibody at 1/1000 (2 μg/ml) dilution. DAPI (blue) was used as nuclear counterstain. PBS instead of the primary antibody was used as the secondary antibody only control.

Immunoprecipitation - Anti-RPA32/RPA2 antibody [EPR2877Y] (AB76420)
  • IP

Unknown

Immunoprecipitation - Anti-RPA32/RPA2 antibody [EPR2877Y] (AB76420)

ab76420 (purified) at 1/20 dilution (0.5ug) immunoprecipitating RPA32/RPA2 in HeLa whole cell lysate. HeLa (Human cervix adenocarcinoma epithelial cell) whole cell lysate 10ug
Lane 2 (+) : ab76420 & HeLa whole cell lysate
Lane 3 (-) : Rabbit monoclonal IgG (ab172730) instead of ab76420 in HeLa whole cell lysate
For western blotting, VeriBlot for IP secondary antibody (HRP) (ab131366) was at 1/1000 dilution.
Blocking and diluting buffer : 5% NFDM/TBST.

All lanes:

Immunoprecipitation - Anti-RPA32/RPA2 antibody [EPR2877Y] (ab76420)

Predicted band size: 29 kDa

false

Immunocytochemistry/ Immunofluorescence - Anti-RPA32/RPA2 antibody [EPR2877Y] (AB76420)
  • ICC/IF

Unknown

Immunocytochemistry/ Immunofluorescence - Anti-RPA32/RPA2 antibody [EPR2877Y] (AB76420)

Immunocytochemistry/ Immunofluorescence analysis of C6 (rat glial tumor glial cell) cells labeling RPA32/RPA2 with purified ab76420 at 1 : 50 (2.28 µg/ml). Cells were fixed in 4% paraformaldehyde and permeabilized with 0.1% Triton X-100. Cells were counterstained with ab195889 Anti-alpha Tubulin antibody [DM1A] - Microtubule Marker (Alexa Fluor® 594) 1 : 200 (2.5 µg/ml). Goat anti rabbit IgG (Alexa Fluor® 488, ab150077) was used as the secondary antibody at 1 : 1000 (2 µg/ml) dilution. DAPI nuclear counterstain. PBS instead of the primary antibody was used as the secondary antibody only control.

Immunocytochemistry/ Immunofluorescence - Anti-RPA32/RPA2 antibody [EPR2877Y] (AB76420)
  • ICC/IF

Unknown

Immunocytochemistry/ Immunofluorescence - Anti-RPA32/RPA2 antibody [EPR2877Y] (AB76420)

Immunocytochemistry/ Immunofluorescence analysis of NIH/3T3 (mouse embryonic fibroblast) cells labeling RPA32/RPA2 with purified ab76420 at 1 : 50 (2.28 µg/ml). Cells were fixed in 4% paraformaldehyde and permeabilized with 0.1% Triton X-100. Cells were counterstained with ab195889 Anti-alpha Tubulin antibody [DM1A] - Microtubule Marker (Alexa Fluor® 594) 1 : 200 (2.5 µg/ml). Goat anti rabbit IgG (Alexa Fluor® 488, ab150077) was used as the secondary antibody at 1 : 1000 (2 µg/ml) dilution. DAPI nuclear counterstain. PBS instead of the primary antibody was used as the secondary antibody only control.

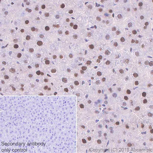
Immunohistochemistry (Formalin/PFA-fixed paraffin-embedded sections) - Anti-RPA32/RPA2 antibody [EPR2877Y] (AB76420)
  • IHC-P

Unknown

Immunohistochemistry (Formalin/PFA-fixed paraffin-embedded sections) - Anti-RPA32/RPA2 antibody [EPR2877Y] (AB76420)

Immunohistochemistry (Formalin/PFA-fixed paraffin-embedded sections) analysis of Mouse liver tissue sections labeling RPA32/RPA2 with purified ab76420 at 1/100 dilution (1 μg/ml). Heat mediated antigen retrieval was performed using ab93684 (Tris/EDTA buffer, pH 9.0). ImmunoHistoProbe one step HRP Polymer (ready to use) was used as the secondary antibody. Negative control : PBS instead of the primary antibody. Hematoxylin was used as a counterstain.

Flow Cytometry (Intracellular) - Anti-RPA32/RPA2 antibody [EPR2877Y] (AB76420)
  • Flow Cyt (Intra)

Unknown

Flow Cytometry (Intracellular) - Anti-RPA32/RPA2 antibody [EPR2877Y] (AB76420)

Intracellular Flow Cytometry analysis of C6 (rat glial tumor glial cell) cells labeling RPA32/RPA2 with purified ab76420 at 1/200 dilution (0.58 μg/ml) - Red. Cells were fixed with 4% paraformaldehyde . A Goat anti rabbit IgG (Alexa Fluor® 488, ab150077) secondary antibody was used at 1/2000 dilution. Isotype control - Rabbit monoclonal IgG (ab172730) - Black. Unlabeled control - Blue. Untreated cells - Green

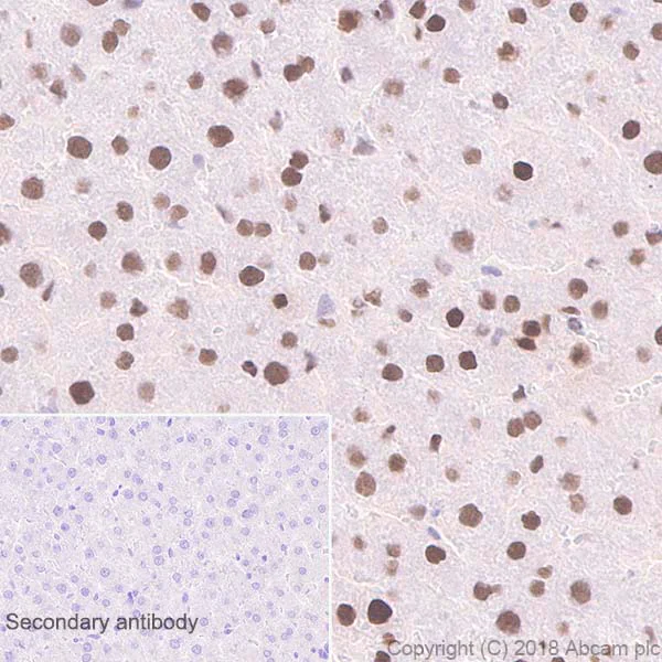
Immunohistochemistry (Formalin/PFA-fixed paraffin-embedded sections) - Anti-RPA32/RPA2 antibody [EPR2877Y] (AB76420)
  • IHC-P

Unknown

Immunohistochemistry (Formalin/PFA-fixed paraffin-embedded sections) - Anti-RPA32/RPA2 antibody [EPR2877Y] (AB76420)

Immunohistochemistry (Formalin/PFA-fixed paraffin-embedded sections) analysis of Rat liver tissue sections labeling RPA32/RPA2 with purified ab76420 at 1/100 dilution (1 μg/ml). Heat mediated antigen retrieval was performed ab93684 (Tris/EDTA buffer, pH 9.0). ImmunoHistoProbe one step HRP Polymer (ready to use) was used as the secondary antibody. Negative control : PBS instead of the primary antibody. Hematoxylin was used as a counterstain.

Flow Cytometry (Intracellular) - Anti-RPA32/RPA2 antibody [EPR2877Y] (AB76420)
  • Flow Cyt (Intra)

Unknown

Flow Cytometry (Intracellular) - Anti-RPA32/RPA2 antibody [EPR2877Y] (AB76420)

Intracellular Flow Cytometry analysis of NIH/3T3 (mouse embryonic fibroblast) cells labeling RPA32/RPA2 with purified ab76420 at 1/200 dilution (0.58 μg/ml) - Red. Cells were fixed with 4% paraformaldehyde . A Goat anti rabbit IgG (Alexa Fluor® 488, ab150077) secondary antibody was used at 1/2000 dilution. Isotype control - Rabbit monoclonal IgG (ab172730) - Black. Unlabeled control - Blue. Untreated cells - Green

Western blot - Anti-RPA32/RPA2 antibody [EPR2877Y] (AB76420)
  • WB

Unknown

Western blot - Anti-RPA32/RPA2 antibody [EPR2877Y] (AB76420)

All lanes:

Western blot - Anti-RPA32/RPA2 antibody [EPR2877Y] (ab76420) at 1/10000 dilution

Lane 1:

HeLa cell lysate at 10 µg

Lane 2:

HUVEC lysate at 10 µg

Lane 3:

NIH 3T3 cell lysate at 10 µg

Lane 4:

C6 cell lysate at 10 µg

Secondary

All lanes:

HRP labelled goat anti-rabbit at 1/1000 dilution

Predicted band size: 29 kDa

Observed band size: 29 kDa

false

Western blot - Anti-RPA32/RPA2 antibody [EPR2877Y] (AB76420)
  • WB

Lab

Western blot - Anti-RPA32/RPA2 antibody [EPR2877Y] (AB76420)

All lanes:

Western blot - Anti-RPA32/RPA2 antibody [EPR2877Y] (ab76420) at 1/1000 dilution

Lane 1:

HeLa (Human cervix adenocarcinoma epithelial cell) whole cell lysate at 15 µg

Lane 2:

C6 (Rat glial tumor glial cell) whole cell lysates at 15 µg

Lane 3:

NIH/3T3 (Mouse embryonic fibroblast) whole cell lysates at 15 µg

Secondary

All lanes:

Western blot - Goat Anti-Rabbit IgG H&L (HRP) (<a href='/products/secondary-antibodies/goat-rabbit-igg-h-l-hrp-ab97051'>ab97051</a>) at 1/20000 dilution

Predicted band size: 29 kDa

Observed band size: 29 kDa

false

不同偶联物与剂型 (11)

  • 665 Alexa Fluor® 647

    Alexa Fluor® 647 Anti-RPA32/RPA2 antibody [EPR2877Y]

  • 519 Alexa Fluor® 488

    Alexa Fluor® 488 Anti-RPA32/RPA2 antibody [EPR2877Y]

  • Carrier free

    Anti-RPA32/RPA2 antibody [EPR2877Y] - BSA and Azide free

  • 578 PE

    PE Anti-RPA32/RPA2 antibody [EPR2877Y]

  • 660 APC

    APC Anti-RPA32/RPA2 antibody [EPR2877Y]

  • 617 Alexa Fluor® 594

    Alexa Fluor® 594 Anti-RPA32/RPA2 antibody [EPR2877Y]

  • 565 Alexa Fluor® 555

    Alexa Fluor® 555 Anti-RPA32/RPA2 antibody [EPR2877Y]

  • 603 Alexa Fluor® 568

    Alexa Fluor® 568 Anti-RPA32/RPA2 antibody [EPR2877Y]

  • HRP

    HRP Anti-RPA32/RPA2 antibody [EPR2877Y]

  • 775 Alexa Fluor® 750

    Alexa Fluor® 750 Anti-RPA32/RPA2 antibody [EPR2877Y]

  • Unconjugated

    Anti-RPA32/RPA2 antibody [EPR2877Y] - Mouse IgG1 (Chimeric)

关键信息

宿主种属

Rabbit

克隆

Monoclonal

克隆号

EPR2877Y

亚型

IgG

不含载体蛋白

No

反应种属

Mouse, Rat, Human

应用

WB, Flow Cyt (Intra), IHC-P, ICC/IF, IP

applications

免疫原

The exact immunogen used to generate this antibody is proprietary information.

反应性数据

{ "title": "Reactivity Data", "filters": { "stats": ["", "Species", "Dilution Info", "Notes"], "tabs": { "all-applications": {"fullname" : "All Applications", "shortname": "All Applications"}, "IP" : {"fullname" : "Immunoprecipitation", "shortname":"IP"}, "WB" : {"fullname" : "Western blot", "shortname":"WB"}, "ICCIF" : {"fullname" : "Immunocytochemistry/ Immunofluorescence", "shortname":"ICC/IF"}, "FlowCytIntra" : {"fullname" : "Flow Cytometry (Intracellular)", "shortname":"Flow Cyt (Intra)"}, "IHCP" : {"fullname" : "Immunohistochemistry (Formalin/PFA-fixed paraffin-embedded sections)", "shortname":"IHC-P"} }, "product-promise": { "all": "all", "testedAndGuaranteed": "tested", "guaranteed": "expected", "predicted": "predicted", "notRecommended": "not-recommended" } }, "values": { "Human": { "IP-species-checked": "testedAndGuaranteed", "IP-species-dilution-info": "1/20", "IP-species-notes": "<p><strong>For unpurified format use at 1/40.</strong></p>", "WB-species-checked": "testedAndGuaranteed", "WB-species-dilution-info": "1/1000", "WB-species-notes": "<p><strong>For unpurified format use at 1/5000 - 1/10000.</strong></p>", "ICCIF-species-checked": "testedAndGuaranteed", "ICCIF-species-dilution-info": "1/50", "ICCIF-species-notes": "<p></p>", "FlowCytIntra-species-checked": "testedAndGuaranteed", "FlowCytIntra-species-dilution-info": "", "FlowCytIntra-species-notes": "<p></p>", "IHCP-species-checked": "testedAndGuaranteed", "IHCP-species-dilution-info": "1/100", "IHCP-species-notes": "<p></p>" }, "Mouse": { "IP-species-checked": "guaranteed", "IP-species-dilution-info": "", "IP-species-notes": "", "WB-species-checked": "guaranteed", "WB-species-dilution-info": "", "WB-species-notes": "", "ICCIF-species-checked": "testedAndGuaranteed", "ICCIF-species-dilution-info": "1/50", "ICCIF-species-notes": "<p></p>", "FlowCytIntra-species-checked": "testedAndGuaranteed", "FlowCytIntra-species-dilution-info": "", "FlowCytIntra-species-notes": "<p></p>", "IHCP-species-checked": "testedAndGuaranteed", "IHCP-species-dilution-info": "1/100", "IHCP-species-notes": "<p></p>" }, "Rat": { "IP-species-checked": "guaranteed", "IP-species-dilution-info": "", "IP-species-notes": "", "WB-species-checked": "guaranteed", "WB-species-dilution-info": "", "WB-species-notes": "", "ICCIF-species-checked": "testedAndGuaranteed", "ICCIF-species-dilution-info": "1/50", "ICCIF-species-notes": "<p></p>", "FlowCytIntra-species-checked": "testedAndGuaranteed", "FlowCytIntra-species-dilution-info": "", "FlowCytIntra-species-notes": "<p></p>", "IHCP-species-checked": "testedAndGuaranteed", "IHCP-species-dilution-info": "1/100", "IHCP-species-notes": "<p></p>" } } }

产品详情

What is this antibody validated in?
Anti-RPA32/RPA2 antibody [EPR2877Y] (ab76420) is a rabbit recombinant monoclonal antibody and is validated for use in Western Blot (WB), Flow Cytometry (Intra), Flow Cytometry (Flow Cyt), Immunoprecipitation (IP), Immunohistochemistry (IHC-P), Immunocytochemistry/immunofluorescence (ICC/IF) in Human, Mouse, Rat samples.

What is the molecular weight of RPA32/RPA2?
Anti-RPA32/RPA2 [EPR2877Y] (ab76420) specifically detects a band for RPA32/RPA2 (UniProt: P15927) at a molecular weight of 29kDa.

Trusted by the scientific community
Anti-RPA32/RPA2 [EPR2877Y] (ab76420) was first used in a scientific publication in 2009 and has been cited over 20 times in peer-reviewed journals.

Trial sizes available!
Test your antibody or perform pre-screening before committing to a larger quantity. Sold in 10µl. Discover our selection of trial-size antibodies.

Other related products
We have a range of other formats of antibody clone [EPR2877Y] also available for your convenience: ab76420, Alexa Fluor® 647 - ab225034, Alexa Fluor® 488 - ab225035, Carrier free - ab236044, PE - ab305805, APC - ab305806, HRP - ab305807, Alkaline Phosphatase - ab308696, Alexa Fluor® 594 - ab310406, Alexa Fluor® 555 - ab311933, Alexa Fluor® 568 - ab312404, Alexa Fluor® 750 - ab321727

Patented technology
Our RabMAb® technology is a patented hybridoma-based technology for making rabbit monoclonal antibodies. For details on our patents, please refer to RabMAb® patents.

What are the advantages of a recombinant monoclonal antibody?
This product is a recombinant monoclonal antibody, which offers several advantages including:

  • - High batch-to-batch consistency and reproducibility
  • - Improved sensitivity and specificity
  • - Long-term security of supply
  • - Animal-free batch production

For more information, read more on recombinant antibodies.

性能和储存信息

形式
Liquid
纯化工艺
Affinity purification Protein A
存储溶液
pH: 7.2 - 7.4 Preservative: 0.01% Sodium azide Constituents: PBS, 40% Glycerol (glycerin, glycerine), 0.05% BSA
运输条件
Blue Ice
推荐的短期储存时间
1-2 weeks
推荐的短期储存条件
+4°C
推荐的长期储存条件
-20°C
分装信息
Upon delivery aliquot
储存信息
Avoid freeze / thaw cycle

产品实验方案

For this product, it's our understanding that no specific protocols are required. You can visit:

靶点信息

As part of the heterotrimeric replication protein A complex (RPA/RP-A), binds and stabilizes single-stranded DNA intermediates that form during DNA replication or upon DNA stress. It prevents their reannealing and in parallel, recruits and activates different proteins and complexes involved in DNA metabolism. Thereby, it plays an essential role both in DNA replication and the cellular response to DNA damage. In the cellular response to DNA damage, the RPA complex controls DNA repair and DNA damage checkpoint activation. Through recruitment of ATRIP activates the ATR kinase a master regulator of the DNA damage response. It is required for the recruitment of the DNA double-strand break repair factors RAD51 and RAD52 to chromatin in response to DNA damage. Also recruits to sites of DNA damage proteins like XPA and XPG that are involved in nucleotide excision repair and is required for this mechanism of DNA repair. Also plays a role in base excision repair (BER) probably through interaction with UNG. Also recruits SMARCAL1/HARP, which is involved in replication fork restart, to sites of DNA damage. May also play a role in telomere maintenance. RPA stimulates 5'-3' helicase activity of BRIP1/FANCJ (PubMed : 17596542).
See full target information RPA2

文献 (44)

Recent publications for all applications. Explore the full list and refine your search

Nature communications 16:8836 PubMed41044090

2025

Mitotic DNA repair by TMEJ suppresses replication stress-induced nuclear envelope reassembly defect.

Applications

Unspecified application

Species

Unspecified reactive species

Guojun Ye,Yide He,Yihui Zhang,Dongchen Li,Fuhai Liu,Yi Li,Qinglian Ge,Qiong Guo,Shuya Han,Chunyu Song,Weiping Chang,Haoyue Zhang,Qin Peng,Kun Sun,Weike Ji,Lin Deng

Cell discovery 11:74 PubMed40921762

2025

Intrauterine hyperglycemia impairs mouse primordial germ cell development and fertility by sex-specific epigenetic reprogramming interference.

Applications

Unspecified application

Species

Unspecified reactive species

Jiangshan Cong,Qing Li,Yangyang Li,Minghao Li,Yan Shi,Peiran Hu,Xidi Yin,Qianyun Zhang,Jianzhong Sheng,Jinsong Li,Guolian Ding,Yu Zhang,Hefeng Huang

iScience 28:112878 PubMed40686610

2025

UBE2J2 is essential for the progression of meiosis prophase I during spermatogenesis in mice.

Applications

Unspecified application

Species

Unspecified reactive species

Xiaochen Yu,Jie Cen,Yaxuan Zhang,Tongtong Li,Mingyu Zhang,Fei Gao,Hongbin Liu,Yongzhi Cao

Cell death discovery 11:292 PubMed40593474

2025

MCM9 deficiency impairs DNA damage repair during spermatogenesis, leading to Sertoli cell-only syndrome in humans.

Applications

Unspecified application

Species

Unspecified reactive species

Xuan Sha,Xin Zhang,Hao Geng,Yuqian Li,Xun Xia,Guotong Li,Rong Hua,Kuokuo Li,Yang Gao,Qunshan Shen,Rui Guo,Yuping Xu,Xiaojin He,Yunxia Cao,Mingxi Liu,Huan Wu

Nature communications 16:3613 PubMed40240347

2025

Mouse MRE11-RAD50-NBS1 is needed to start and extend meiotic DNA end resection.

Applications

Unspecified application

Species

Unspecified reactive species

Soonjoung Kim,Shintaro Yamada,Tao Li,Claudia Canasto-Chibuque,Jun Hyun Kim,Marina Marcet-Ortega,Jiaqi Xu,Diana Y Eng,Laura Feeney,John H J Petrini,Scott Keeney

Nature neuroscience 28:457-469 PubMed39994409

2025

Astrocyte heterogeneity reveals region-specific astrogenesis in the white matter.

Applications

Unspecified application

Species

Unspecified reactive species

Riccardo Bocchi,Manja Thorwirth,Tatiana Simon-Ebert,Christina Koupourtidou,Solène Clavreul,Keegan Kolf,Patrizia Della Vecchia,Sara Bottes,Sebastian Jessberger,Jiafeng Zhou,Gulzar Wani,Gregor-Alexander Pilz,Jovica Ninkovic,Annalisa Buffo,Swetlana Sirko,Magdalena Götz,Judith Fischer-Sternjak

Advanced science (Weinheim, Baden-Wurttemberg, Germany) 12:e2410353 PubMed39574356

2024

Prenatal Silicon Dioxide Nanoparticles Exposure Reduces Female Offspring Fertility Without Affecting Males.

Applications

Unspecified application

Species

Unspecified reactive species

Min Lei,Zhenye Zhu,Chenlu Wei,Huihui Xie,Ruizhi Guo,Yanqing Zhao,Keer Wang,Mengchen Wang,Wenhui Chen,Xiqiao Xu,Xinxin Zeng,Yining Xu,Wandi Zhang,Yizhe Chu,Yingpu Sun,Qingling Yang

Advanced science (Weinheim, Baden-Wurttemberg, Germany) 11:e2402412 PubMed38958533

2024

HSF5 Deficiency Causes Male Infertility Involving Spermatogenic Arrest at Meiotic Prophase I in Humans and Mice.

Applications

Unspecified application

Species

Unspecified reactive species

Mohan Liu,Lingbo Wang,Yifei Li,Erlei Zhi,Gan Shen,Xiaohui Jiang,Dingming Li,Xinya Zhao,Tiechao Ruan,Chuan Jiang,Xiang Wang,Xueguang Zhang,Yanjiang Zheng,Bangguo Wu,Ningjing Ou,Guicheng Zhao,Siyu Dai,Ruixi Zhou,Li Yang,Yihong Yang,Hanmin Liu,Ying Shen

Nature communications 15:5294 PubMed38906885

2024

ATM inhibition exploits checkpoint defects and ATM-dependent double strand break repair in TP53-mutant glioblastoma.

Applications

Unspecified application

Species

Unspecified reactive species

Daniel J Laverty,Shiv K Gupta,Gary A Bradshaw,Alexander S Hunter,Brett L Carlson,Nery Matias Calmo,Jiajia Chen,Shulan Tian,Jann N Sarkaria,Zachary D Nagel

Advanced science (Weinheim, Baden-Wurttemberg, Germany) 11:e2309184 PubMed38868907

2024

Maternal Obesity Induces the Meiotic Defects and Epigenetic Alterations During Fetal Oocyte Development.

Applications

Unspecified application

Species

Unspecified reactive species

Shoubin Tang,Huihua Wu,Qiuzhen Chen,Tao Tang,Jiashuo Li,Huiqing An,Shuai Zhu,Longsen Han,Hongzheng Sun,Juan Ge,Xu Qian,Xi Wang,Qiang Wang
View all publications

Abcam Product Promise

我们致力于为您的研究提供高质量的试剂,为您科研的每一步提供支持。若我们的产品未能达到预期性能,我们向您提供 Abcam Product Promise 保障。
详情请参阅我们的条款与条件。

Please note: All products are 'FOR RESEARCH USE ONLY. NOT FOR USE IN DIAGNOSTIC OR THERAPEUTIC PROCEDURES'.

For licensing inquiries, please contact partnerships@abcam.com