JavaScript is disabled in your browser. Please enable JavaScript to view this website.
AB97594

Anti-RPA32/RPA2 抗体

Anti-RPA32/RPA2 antibody

Be the first to review this product! Submit a review

|

(3 Publications)

Rabbit Polyclonal RPA32/RPA2 antibody. Suitable for WB, IHC-P, ICC/IF and reacts with Human samples. Cited in 3 publications. Immunogen corresponding to Recombinant Fragment Protein within Human RPA2 aa 1-200.

查看别名

REPA2, RPA32, RPA34, RPA2, Replication protein A 32 kDa subunit, RP-A p32, Replication factor A protein 2, Replication protein A 34 kDa subunit, RF-A protein 2, RP-A p34

3 Images
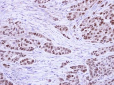
Immunohistochemistry (Formalin/PFA-fixed paraffin-embedded sections) - Anti-RPA32/RPA2 antibody (AB97594)
  • IHC-P

Unknown

Immunohistochemistry (Formalin/PFA-fixed paraffin-embedded sections) - Anti-RPA32/RPA2 antibody (AB97594)

ab97594, at a 1/100 dilution, staining human RPA32/RPA2 in A549 xenograft, using Immunohistochemistry, Formalin/PFA-fixed paraffin-embedded tissue.

Immunocytochemistry/ Immunofluorescence - Anti-RPA32/RPA2 antibody (AB97594)
  • ICC/IF

Supplier Data

Immunocytochemistry/ Immunofluorescence - Anti-RPA32/RPA2 antibody (AB97594)

Immunofluorescence analysis of HeLa cells fixed in 4% paraformaldehyde at RT for 15 min labelling RPA32 protein at nucleus using ab97594 at a 1/500 dilution (Green).
alpha Tubulin, a cytoskeleton marker, stained by alpha Tubulin antibody at a 1/1000 dilution (Red).

Western blot - Anti-RPA32/RPA2 antibody (AB97594)
  • WB

Supplier Data

Western blot - Anti-RPA32/RPA2 antibody (AB97594)

Samples were separated by 12% SDS-PAGE.

All lanes:

Western blot - Anti-RPA32/RPA2 antibody (ab97594) at 1/1000 dilution

All lanes:

293T Whole cell extract at 30 µg

Secondary

All lanes:

HRP-conjugated anti-rabbit IgG antibody

Predicted band size: 29 kDa

false

关键信息

宿主种属

Rabbit

克隆

Polyclonal

亚型

IgG

不含载体蛋白

No

反应种属

Human

应用

IHC-P, ICC/IF, WB

applications

免疫原

Recombinant Fragment Protein within Human RPA2 aa 1-200. The exact immunogen used to generate this antibody is proprietary information.

P15927

反应性数据

{ "title": "Reactivity Data", "filters": { "stats": ["", "Species", "Dilution Info", "Notes"], "tabs": { "all-applications": {"fullname" : "All Applications", "shortname": "All Applications"}, "WB" : {"fullname" : "Western blot", "shortname":"WB"}, "IHCP" : {"fullname" : "Immunohistochemistry (Formalin/PFA-fixed paraffin-embedded sections)", "shortname":"IHC-P"}, "ICCIF" : {"fullname" : "Immunocytochemistry/ Immunofluorescence", "shortname":"ICC/IF"} }, "product-promise": { "all": "all", "testedAndGuaranteed": "tested", "guaranteed": "expected", "predicted": "predicted", "notRecommended": "not-recommended" } }, "values": { "Human": { "WB-species-checked": "testedAndGuaranteed", "WB-species-dilution-info": "1/500 - 1/3000", "WB-species-notes": "<p></p>", "IHCP-species-checked": "testedAndGuaranteed", "IHCP-species-dilution-info": "1/100 - 1/1000", "IHCP-species-notes": "<p></p>", "ICCIF-species-checked": "testedAndGuaranteed", "ICCIF-species-dilution-info": "1/100 - 1/1000", "ICCIF-species-notes": "<p></p>" }, "Mouse": { "WB-species-checked": "predicted", "WB-species-dilution-info": "", "WB-species-notes": "", "IHCP-species-checked": "predicted", "IHCP-species-dilution-info": "", "IHCP-species-notes": "", "ICCIF-species-checked": "predicted", "ICCIF-species-dilution-info": "", "ICCIF-species-notes": "" }, "Rat": { "WB-species-checked": "predicted", "WB-species-dilution-info": "", "WB-species-notes": "", "IHCP-species-checked": "predicted", "IHCP-species-dilution-info": "", "IHCP-species-notes": "", "ICCIF-species-checked": "predicted", "ICCIF-species-dilution-info": "", "ICCIF-species-notes": "" }, "Cow": { "WB-species-checked": "predicted", "WB-species-dilution-info": "", "WB-species-notes": "", "IHCP-species-checked": "predicted", "IHCP-species-dilution-info": "", "IHCP-species-notes": "", "ICCIF-species-checked": "predicted", "ICCIF-species-dilution-info": "", "ICCIF-species-notes": "" } } }

性能和储存信息

形式
Liquid
纯化工艺
Affinity purification Immunogen
存储溶液
pH: 7 Preservative: 0.01% Thimerosal (merthiolate) Constituents: 10% Glycerol (glycerin, glycerine), 1.21% Tris, 0.75% Glycine
运输条件
Blue Ice
推荐的短期储存条件
+4°C
推荐的长期储存条件
-20°C
分装信息
Upon delivery aliquot
储存信息
Avoid freeze / thaw cycle

产品实验方案

For this product, it's our understanding that no specific protocols are required. You can visit:

靶点信息

As part of the heterotrimeric replication protein A complex (RPA/RP-A), binds and stabilizes single-stranded DNA intermediates that form during DNA replication or upon DNA stress. It prevents their reannealing and in parallel, recruits and activates different proteins and complexes involved in DNA metabolism. Thereby, it plays an essential role both in DNA replication and the cellular response to DNA damage. In the cellular response to DNA damage, the RPA complex controls DNA repair and DNA damage checkpoint activation. Through recruitment of ATRIP activates the ATR kinase a master regulator of the DNA damage response. It is required for the recruitment of the DNA double-strand break repair factors RAD51 and RAD52 to chromatin in response to DNA damage. Also recruits to sites of DNA damage proteins like XPA and XPG that are involved in nucleotide excision repair and is required for this mechanism of DNA repair. Also plays a role in base excision repair (BER) probably through interaction with UNG. Also recruits SMARCAL1/HARP, which is involved in replication fork restart, to sites of DNA damage. May also play a role in telomere maintenance. RPA stimulates 5'-3' helicase activity of BRIP1/FANCJ (PubMed : 17596542).
See full target information RPA2

文献 (3)

Recent publications for all applications. Explore the full list and refine your search

Molecular cell 84:3044-3060.e11 PubMed39142279

2024

HLTF resolves G4s and promotes G4-induced replication fork slowing to maintain genome stability.

Applications

Unspecified application

Species

Unspecified reactive species

Gongshi Bai,Theresa Endres,Ulrike Kühbacher,Valentina Mengoli,Briana H Greer,Emma M Peacock,Matthew D Newton,Tyler Stanage,Maria Rosaria Dello Stritto,Roxana Lungu,Magdalena P Crossley,Ataya Sathirachinda,David Cortez,Simon J Boulton,Petr Cejka,Brandt F Eichman,Karlene A Cimprich

Cells 8: PubMed31035352

2019

Telomere Function and the G-Quadruplex Formation are Regulated by hnRNP U.

Applications

Unspecified application

Species

Unspecified reactive species

Hiroto Izumi,Keiko Funa

Nature cell biology 20:92-103 PubMed29255170

2017

Unresolved recombination intermediates lead to ultra-fine anaphase bridges, chromosome breaks and aberrations.

Applications

Unspecified application

Species

Unspecified reactive species

Ying Wai Chan,Kasper Fugger,Stephen C West
View all publications

Abcam Product Promise

我们致力于为您的研究提供高质量的试剂,为您科研的每一步提供支持。若我们的产品未能达到预期性能,我们向您提供 Abcam Product Promise 保障。
详情请参阅我们的条款与条件。

Please note: All products are 'FOR RESEARCH USE ONLY. NOT FOR USE IN DIAGNOSTIC OR THERAPEUTIC PROCEDURES'.

For licensing inquiries, please contact partnerships@abcam.com