JavaScript is disabled in your browser. Please enable JavaScript to view this website.
AB251058

重组Anti-RNF40抗体[EPR18511] - BSA and Azide free

Anti-RNF40 antibody [EPR18511] - BSA and Azide free

Be the first to review this product! Submit a review

|

(1 Publication)

Rabbit Recombinant Monoclonal RNF40 antibody. Carrier free. Suitable for IP, WB, IHC-P and reacts with Human, Rat, Mouse samples. Cited in 1 publication.

查看别名

BRE1B, KIAA0661, RNF40, E3 ubiquitin-protein ligase BRE1B, BRE1-B, 95 kDa retinoblastoma-associated protein, RING finger protein 40, RING-type E3 ubiquitin transferase BRE1B, RBP95

7 Images
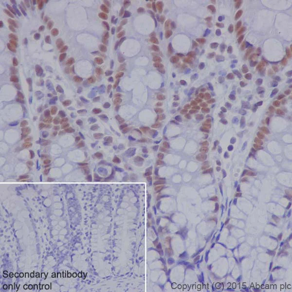
Immunohistochemistry (Formalin/PFA-fixed paraffin-embedded sections) - Anti-RNF40 antibody [EPR18511] - BSA and Azide free (AB251058)
  • IHC-P

Supplier Data

Immunohistochemistry (Formalin/PFA-fixed paraffin-embedded sections) - Anti-RNF40 antibody [EPR18511] - BSA and Azide free (AB251058)

This data was developed using ab191309, the same antibody clone in a different buffer formulation.

Immunohistochemical analysis of paraffin-embedded human colon tissue labeling RNF40 with ab191309 at 1/100 dilution, followed by Goat Anti-Rabbit IgG H&L (HRP) (ab97051) at 1/500 dilution. Nuclear staining on epithelial cells of human colon is observed. Counter stained with Hematoxylin.

Secondary antibody only control : Used PBS instead of primary antibody, followed by Goat Anti-Rabbit IgG H&L (HRP) (ab97051) secondary antibody at 1/500 dilution.

Perform heat mediated antigen retrieval with Tris/EDTA buffer pH 9.0 before commencing with IHC staining protocol.

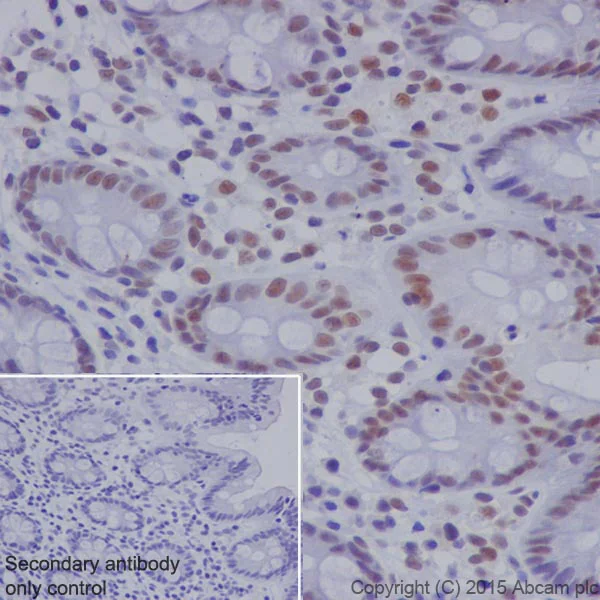
Immunohistochemistry (Formalin/PFA-fixed paraffin-embedded sections) - Anti-RNF40 antibody [EPR18511] - BSA and Azide free (AB251058)
  • IHC-P

Supplier Data

Immunohistochemistry (Formalin/PFA-fixed paraffin-embedded sections) - Anti-RNF40 antibody [EPR18511] - BSA and Azide free (AB251058)

This data was developed using ab191309, the same antibody clone in a different buffer formulation.

Immunohistochemical analysis of paraffin-embedded mouse colon tissue labeling RNF40 with ab191309 at 1/100 dilution, followed by Goat Anti-Rabbit IgG H&L (HRP) (ab97051) at 1/500 dilution. Nuclear staining on epithelial cells of mouse colon is observed. Counter stained with Hematoxylin.

Secondary antibody only control : Used PBS instead of primary antibody, followed by Goat Anti-Rabbit IgG H&L (HRP) (ab97051) secondary antibody at 1/500 dilution.

Perform heat mediated antigen retrieval with Tris/EDTA buffer pH 9.0 before commencing with IHC staining protocol.

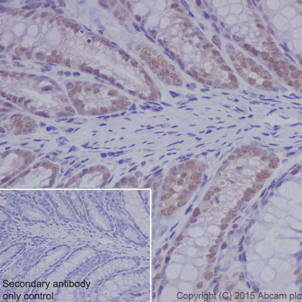
Immunohistochemistry (Formalin/PFA-fixed paraffin-embedded sections) - Anti-RNF40 antibody [EPR18511] - BSA and Azide free (AB251058)
  • IHC-P

Supplier Data

Immunohistochemistry (Formalin/PFA-fixed paraffin-embedded sections) - Anti-RNF40 antibody [EPR18511] - BSA and Azide free (AB251058)

This data was developed using ab191309, the same antibody clone in a different buffer formulation.

Immunohistochemical analysis of paraffin-embedded rat colon tissue labeling RNF40 with ab191309 at 1/100 dilution, followed by Goat Anti-Rabbit IgG H&L (HRP) (ab97051) at 1/500 dilution. Nuclear staining on epithelial cells of rat colon is observed. Counter stained with Hematoxylin.

Secondary antibody only control : Used PBS instead of primary antibody, followed by Goat Anti-Rabbit IgG H&L (HRP) (ab97051) secondary antibody at 1/500 dilution.

Perform heat mediated antigen retrieval with Tris/EDTA buffer pH 9.0 before commencing with IHC staining protocol.

Western blot - Anti-RNF40 antibody [EPR18511] - BSA and Azide free (AB251058)
  • WB

Supplier Data

Western blot - Anti-RNF40 antibody [EPR18511] - BSA and Azide free (AB251058)

This data was developed using ab191309, the same antibody clone in a different buffer formulation.

Blocking and dilution buffer : 5% NFDM/TBST.

Exposure times : Lane 1-3 : 30 seconds; Lane 4-6 : 15 seconds.

The molecular weight observed is consistent with the MW shown by commercial antibodies from other suppliers.

All lanes:

Western blot - Anti-RNF40 antibody [EPR18511] (<a href='/products/primary-antibodies/rnf40-antibody-epr18511-ab191309'>ab191309</a>) at 1/1000 dilution

Lane 1:

HeLa (Human epithelial cells from cervix adenocarcinoma) whole cell lysate at 20 µg

Lane 2:

HEK-293 (Human epithelial cells from embryonic kidney) whole cell lysate at 20 µg

Lane 3:

mESC (Mouse embryonic stem cell) whole cell lysate at 20 µg

Lane 4:

MCF7 (Human breast adenocarcinoma cell line) whole cell lysate at 20 µg

Lane 5:

A-375 (Human malignant melanoma cell line) whole cell lysate at 20 µg

Lane 6:

HepG2 (Human liver hepatocellular carcinoma) whole cell lysate at 20 µg

Secondary

All lanes:

Western blot - Goat Anti-Rabbit IgG H&L (HRP) (<a href='/products/secondary-antibodies/goat-rabbit-igg-h-l-hrp-ab97051'>ab97051</a>) at 1/100000 dilution

Predicted band size: 113 kDa

Observed band size: 130 kDa

false

Immunoprecipitation - Anti-RNF40 antibody [EPR18511] - BSA and Azide free (AB251058)
  • IP

Supplier Data

Immunoprecipitation - Anti-RNF40 antibody [EPR18511] - BSA and Azide free (AB251058)

This data was developed using ab191309, the same antibody clone in a different buffer formulation.

RNF40 was immunoprecipitated from 1mg of HeLa (Human epithelial cells from cervix adenocarcinoma) whole cell lysate with ab191309 at 1/80 dilution. Western blot was performed from the immunoprecipitate using ab191309 at 1/1000 dilution. VeriBlot for IP Detection Reagent (HRP) (ab131366), was used for detection at 1/10000 dilution.

Lane 1 : HeLa whole cell lysate 10ug (Input).
Lane 2 : ab191309 IP in HeLa whole cell lysate.
Lane 3 : Rabbit monoclonal IgG (ab172730) instead of ab191309 in HeLa whole cell lysate.

Blocking and dilution buffer and concentration : 5% NFDM/TBST.
Exposure time : 3 minutes.

All lanes:

Immunoprecipitation - Anti-RNF40 antibody [EPR18511] (<a href='/products/primary-antibodies/rnf40-antibody-epr18511-ab191309'>ab191309</a>)

Predicted band size: 113 kDa

false

Western blot - Anti-RNF40 antibody [EPR18511] - BSA and Azide free (AB251058)
  • WB

Supplier Data

Western blot - Anti-RNF40 antibody [EPR18511] - BSA and Azide free (AB251058)

This data was developed using ab191309, the same antibody clone in a different buffer formulation.

Blocking and dilution buffer : 5% NFDM/TBST.

The molecular weight observed is consistent with the MW shown by commercial antibodies from other suppliers.

All lanes:

Western blot - Anti-RNF40 antibody [EPR18511] (<a href='/products/primary-antibodies/rnf40-antibody-epr18511-ab191309'>ab191309</a>) at 1/1000 dilution

Lane 1:

Human fetal liver lysate at 10 µg

Lane 2:

Human fetal heart lysate at 10 µg

Lane 3:

Human fetal kidney lysate at 10 µg

Secondary

All lanes:

Anti-Rabbit IgG (HRP), specific to the non-reduced form of IgG at 1/10000 dilution

Predicted band size: 113 kDa

Observed band size: 130 kDa

false

Exposure time: 15s

Western blot - Anti-RNF40 antibody [EPR18511] - BSA and Azide free (AB251058)
  • WB

Supplier Data

Western blot - Anti-RNF40 antibody [EPR18511] - BSA and Azide free (AB251058)

This data was developed using ab191309, the same antibody clone in a different buffer formulation.

Blocking and dilution buffer : 5% NFDM/TBST.

The molecular weight observed is consistent with the MW shown by commercial antibodies from other suppliers.

All lanes:

Western blot - Anti-RNF40 antibody [EPR18511] (<a href='/products/primary-antibodies/rnf40-antibody-epr18511-ab191309'>ab191309</a>) at 1/1000 dilution

Lane 1:

C6 (Rat glial tumor cells) whole cell lysate at 10 µg

Lane 2:

RAW 264.7 (Mouse macrophage cells transformed with Abelson murine leukemia virus) whole cell lysate at 10 µg

Lane 3:

PC-12 (Rat adrenal gland pheochromocytoma) whole cell lysate at 10 µg

Secondary

All lanes:

Western blot - Goat Anti-Rabbit IgG H&L (HRP) (<a href='/products/secondary-antibodies/goat-rabbit-igg-h-l-hrp-ab97051'>ab97051</a>) at 1/100000 dilution

Predicted band size: 113 kDa

Observed band size: 130 kDa

false

Exposure time: 15s

关键信息

宿主种属

Rabbit

克隆

Monoclonal

克隆号

EPR18511

亚型

IgG

不含载体蛋白

Yes

反应种属

Mouse, Rat, Human

应用

IP, WB, IHC-P

applications

免疫原

The exact immunogen used to generate this antibody is proprietary information.

反应性数据

{ "title": "Reactivity Data", "filters": { "stats": ["", "Species", "Dilution Info", "Notes"], "tabs": { "all-applications": {"fullname" : "All Applications", "shortname": "All Applications"}, "IP" : {"fullname" : "Immunoprecipitation", "shortname":"IP"}, "WB" : {"fullname" : "Western blot", "shortname":"WB"}, "IHCP" : {"fullname" : "Immunohistochemistry (Formalin/PFA-fixed paraffin-embedded sections)", "shortname":"IHC-P"} }, "product-promise": { "all": "all", "testedAndGuaranteed": "tested", "guaranteed": "expected", "predicted": "predicted", "notRecommended": "not-recommended" } }, "values": { "Human": { "IP-species-checked": "testedAndGuaranteed", "IP-species-dilution-info": "", "IP-species-notes": "<p></p>", "WB-species-checked": "guaranteed", "WB-species-dilution-info": "", "WB-species-notes": "", "IHCP-species-checked": "guaranteed", "IHCP-species-dilution-info": "", "IHCP-species-notes": "" }, "Mouse": { "IP-species-checked": "guaranteed", "IP-species-dilution-info": "", "IP-species-notes": "", "WB-species-checked": "guaranteed", "WB-species-dilution-info": "", "WB-species-notes": "", "IHCP-species-checked": "testedAndGuaranteed", "IHCP-species-dilution-info": "", "IHCP-species-notes": "<p></p>" }, "Rat": { "IP-species-checked": "guaranteed", "IP-species-dilution-info": "", "IP-species-notes": "", "WB-species-checked": "testedAndGuaranteed", "WB-species-dilution-info": "", "WB-species-notes": "<p></p>", "IHCP-species-checked": "guaranteed", "IHCP-species-dilution-info": "", "IHCP-species-notes": "" } } }

产品详情

ab251058 is the carrier-free version of ab191309.

Patented technology
Our RabMAb® technology is a patented hybridoma-based technology for making rabbit monoclonal antibodies. For details on our patents, please refer to RabMAb® patents.

What are the advantages of a recombinant monoclonal antibody?
This product is a recombinant monoclonal antibody, which offers several advantages including:

  • - High batch-to-batch consistency and reproducibility
  • - Improved sensitivity and specificity
  • - Long-term security of supply
  • - Animal-free batch production

For more information, read more on recombinant antibodies.

Conjugation ready
Our carrier-free antibodies are typically supplied in a PBS-only formulation, purified and free of BSA, sodium azide and glycerol. This conjugation-ready format is designed for use with fluorochromes, metal isotopes, oligonucleotides, and enzymes, which makes them ideal for antibody labelling, functional and cell-based assays, flow-based assays (e.g. mass cytometry) and Multiplex Imaging applications.

Use our conjugation kits for antibody conjugates that are ready-to-use in as little as 20 minutes with 1 minute hands-on-time and 100% antibody recovery: available for fluorescent dyes, HRP, biotin and gold.

Compatibility
This product is compatible with the Maxpar® Antibody Labeling Kit from Fluidigm, without the need for antibody preparation. Maxpar® is a trademark of Fluidigm Canada Inc.

性能和储存信息

形式
Liquid
纯化工艺
Affinity purification Protein A
存储溶液
pH: 7.2 - 7.4 Constituents: PBS
运输条件
Blue Ice
推荐的短期储存条件
+4°C
推荐的长期储存条件
+4°C
储存信息
Do Not Freeze

产品实验方案

For this product, it's our understanding that no specific protocols are required. You can visit:

靶点信息

Component of the RNF20/40 E3 ubiquitin-protein ligase complex that mediates monoubiquitination of 'Lys-120' of histone H2B (H2BK120ub1). H2BK120ub1 gives a specific tag for epigenetic transcriptional activation and is also prerequisite for histone H3 'Lys-4' and 'Lys-79' methylation (H3K4me and H3K79me, respectively). It thereby plays a central role in histone code and gene regulation. The RNF20/40 complex forms a H2B ubiquitin ligase complex in cooperation with the E2 enzyme UBE2A or UBE2B; reports about the cooperation with UBE2E1/UBCH are contradictory. Required for transcriptional activation of Hox genes.. (Microbial infection) Promotes the human herpesvirus 8 (KSHV) lytic cycle by inducing the expression of lytic viral genes including the latency switch gene RTA/ORF50.
See full target information RNF40

文献 (1)

Recent publications for all applications. Explore the full list and refine your search

Molecular medicine reports 21:454-462 PubMed31746378

2019

Blueberry anthocyanin‑enriched extract ameliorates transverse aortic constriction‑induced myocardial dysfunction via the DDAH1/ADMA/NO signaling pathway in mice.

Applications

Unspecified application

Species

Unspecified reactive species

Weiqing Hu,Wenyue Wang,Qing Ma,Tao Liu,Jiefeng Zhang,Jicun Zhang
View all publications

Abcam Product Promise

我们致力于为您的研究提供高质量的试剂,为您科研的每一步提供支持。若我们的产品未能达到预期性能,我们向您提供 Abcam Product Promise 保障。
详情请参阅我们的条款与条件。

Please note: All products are 'FOR RESEARCH USE ONLY. NOT FOR USE IN DIAGNOSTIC OR THERAPEUTIC PROCEDURES'.

For licensing inquiries, please contact partnerships@abcam.com