JavaScript is disabled in your browser. Please enable JavaScript to view this website.
AB62344

Anti-RIP3抗体

Anti-RIP3 antibody

5

(5 Reviews)

|

(57 Publications)

Rabbit Polyclonal RIP3 antibody. Suitable for WB, IHC-P and reacts with Mouse, Rat samples. Cited in 57 publications. Immunogen corresponding to Synthetic Peptide within Mouse Ripk3.

查看别名

Rip3, Ripk3, Receptor-interacting serine/threonine-protein kinase 3, RIP-like protein kinase 3, Receptor-interacting protein 3, RIP-3, mRIP3

4 Images
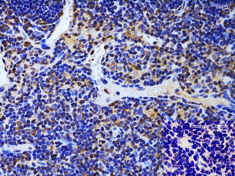
Immunohistochemistry (Formalin/PFA-fixed paraffin-embedded sections) - Anti-RIP3 antibody (AB62344)
  • IHC-P

Supplier Data

Immunohistochemistry (Formalin/PFA-fixed paraffin-embedded sections) - Anti-RIP3 antibody (AB62344)

Immunohistochemical analysis of paraffin-embedded mouse thymus tissue using anti-RIP3 antibody (ab62344) at 1 µg/ml. Tissue was fixed with formaldehyde and blocked with 10% serum for 1 h at RT; antigen retrieval was by heat mediation with a citrate buffer (pH6). Samples were incubated with primary antibody overnight at 4°C. A goat anti-rabbit IgG H&L (HRP) at 1/250 was used as secondary. Counter stained with Hematoxylin.

Western blot - Anti-RIP3 antibody (AB62344)
  • WB

Supplier Data

Western blot - Anti-RIP3 antibody (AB62344)

Primary antibody incubation : 1h incubation at Room Temperature in 5% NFDM/TBST.

Lanes 1 - 2:

Western blot - Anti-RIP3 antibody (ab62344) at 0.1 µg/mL

Lane 3:

Western blot - Anti-RIP3 antibody (ab62344) at 0.2 µg/mL

Lane 4:

Western blot - Anti-RIP3 antibody (ab62344) at 0.5 µg/mL

Lane 1:

C2C12 (mouse myoblast cell line) cell lysate at 15 µg with Peptide blocking

Lanes 2 - 4:

C2C12 (mouse myoblast cell line) cell lysate at 15 µg

Secondary

All lanes:

Goat anti-rabbit IgG HRP conjugate at 1/10000 dilution

Predicted band size: 57 kDa

false

Western blot - Anti-RIP3 antibody (AB62344)
  • WB

Supplier Data

Western blot - Anti-RIP3 antibody (AB62344)

1h incubation at RT in 5% NFDM/TBST

All lanes:

Western blot - Anti-RIP3 antibody (ab62344) at 0.5 µg/mL

All lanes:

Rat thymus tissue lysates at 15 µg

Secondary

All lanes:

Goat anti-rabbit IgG HRP conjugate at 1/10000 dilution

Predicted band size: 57 kDa

false

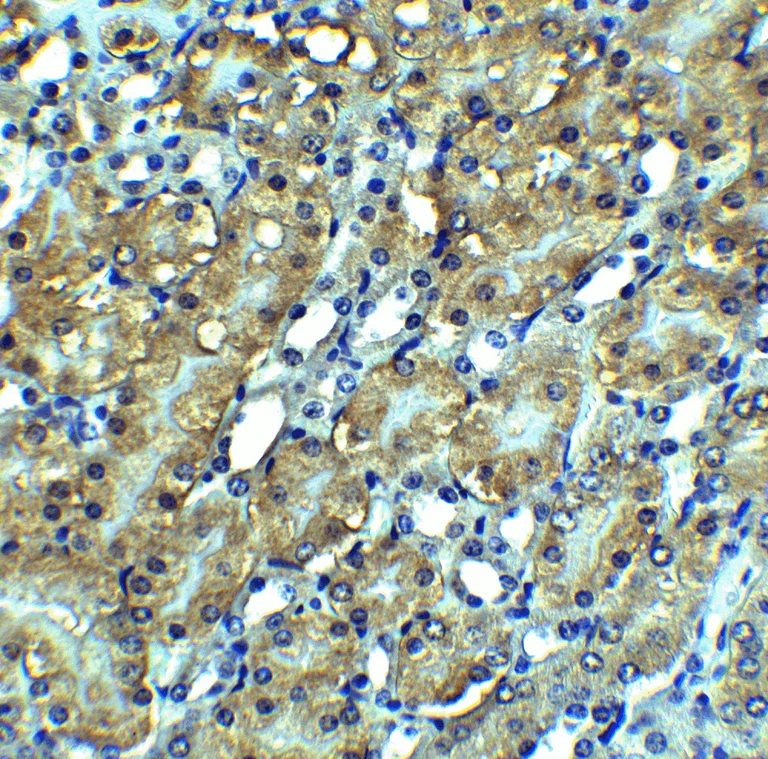
Immunohistochemistry (Formalin/PFA-fixed paraffin-embedded sections) - Anti-RIP3 antibody (AB62344)
  • IHC-P

Supplier Data

Immunohistochemistry (Formalin/PFA-fixed paraffin-embedded sections) - Anti-RIP3 antibody (AB62344)

Immunohistochemical analysis of paraffin-embedded mouse kidney tissue with ab62344 at 2.5 μg/mL. Sections were fixed with formaldehyde and blocked with 10% serum for 1 h at RT; antigen retrieval was by heat mediation with a citrate buffer (pH 6.0). Samples were incubated with primary antibody overnight at 4˚C. A goat anti-rabbit IgG H&L (HRP) at 1/250 was used as secondary. Counter stained with Hematoxylin.

关键信息

宿主种属

Rabbit

克隆

Polyclonal

亚型

IgG

不含载体蛋白

No

反应种属

Mouse, Rat

应用

IHC-P, WB

applications

免疫原

Synthetic Peptide within Mouse Ripk3. The exact immunogen used to generate this antibody is proprietary information.

Q9QZL0

反应性数据

{ "title": "Reactivity Data", "filters": { "stats": ["", "Species", "Dilution Info", "Notes"], "tabs": { "all-applications": {"fullname" : "All Applications", "shortname": "All Applications"}, "WB" : {"fullname" : "Western blot", "shortname":"WB"}, "IHCP" : {"fullname" : "Immunohistochemistry (Formalin/PFA-fixed paraffin-embedded sections)", "shortname":"IHC-P"} }, "product-promise": { "all": "all", "testedAndGuaranteed": "tested", "guaranteed": "expected", "predicted": "predicted", "notRecommended": "not-recommended" } }, "values": { "Mouse": { "WB-species-checked": "testedAndGuaranteed", "WB-species-dilution-info": "0.1-0.5 µg/mL", "WB-species-notes": "<p>Primary antibody incubation: 1h incubation at Room Temperature in 5% NFDM/TBST.</p><p><strong>Observed: 53kD for mouse RIP3</strong></p>", "IHCP-species-checked": "testedAndGuaranteed", "IHCP-species-dilution-info": "1-5 µg/mL", "IHCP-species-notes": "<p></p>" }, "Rat": { "WB-species-checked": "testedAndGuaranteed", "WB-species-dilution-info": "0.1-0.5 µg/mL", "WB-species-notes": "<p>Primary antibody incubation: 1h incubation at Room Temperature in 5% NFDM/TBST.</p><p><strong>Observed: 53kD for mouse RIP3</strong></p>", "IHCP-species-checked": "guaranteed", "IHCP-species-dilution-info": "", "IHCP-species-notes": "" } } }

性能和储存信息

形式
Liquid
纯化工艺
Affinity purification Immunogen
存储溶液
pH: 7.2 Preservative: 0.02% Sodium azide Constituents: PBS
运输条件
Blue Ice
推荐的短期储存条件
+4°C
推荐的长期储存条件
+4°C

补充信息

This supplementary information is collated from multiple sources and compiled automatically.

'Receptor-interacting protein kinase 3' (RIP3) also known as RIPK3 is a serine/threonine-protein kinase with a molecular weight of approximately 57 kDa. Mechanically it contains a kinase domain that allows it to phosphorylate specific substrates which is important for mediating its function within the cell. RIP3 is expressed in various tissues with notable presence in the spleen heart and adipose tissue. The protein localizes predominantly in the cytoplasm where it interacts with other cellular proteins to initiate downstream signaling events.
Biological function summary

RIP3 facilitates the execution of necroptosis a form of programmed cell death distinct from apoptosis. It becomes activated upon binding with RIP1 forming a necrosome complex that is essential for this pathway. This complex promotes phosphorylation events that subsequently lead to membrane rupture and cell death. Apart from its role in necroptosis RIP3 also engages in metabolic regulation processes linking energy status and cell death under conditions of stress.

Pathways

RIP3 is a principal component of the necroptotic pathway interacting closely with RIP1 to trigger cell death in conditions where caspase activation is inhibited. Alternatively it integrates into metabolic pathways participating in sensing and responding to changes in cellular energy states. The interplay between RIP3 and RIP1 within these pathways illustrates their shared involvement in maintaining cellular homeostasis and triggering cell death when necessary.

RIP3 has significant implications for conditions involving excessive or dysfunctional cell death such as inflammatory diseases and reperfusion injury. The necroptotic activity of RIP3 can exacerbate inflammation by promoting the release of pro-inflammatory factors upon cell death. Furthermore during ischemia-reperfusion injury increased RIP3 activity in conjunction with MLKL another necroptosis-associated protein contributes to tissue damage highlighting its potential as a therapeutic target for reducing cell death-related tissue damage.

产品实验方案

For this product, it's our understanding that no specific protocols are required. You can visit:

靶点信息

Serine/threonine-protein kinase that activates necroptosis and apoptosis, two parallel forms of cell death (PubMed : 27321907, PubMed : 27746097, PubMed : 27917412, PubMed : 28607035, PubMed : 32200799, PubMed : 32296175). Necroptosis, a programmed cell death process in response to death-inducing TNF-alpha family members, is triggered by RIPK3 following activation by ZBP1 (PubMed : 19590578, PubMed : 22423968, PubMed : 24012422, PubMed : 24019532, PubMed : 24095729, PubMed : 24557836, PubMed : 27321907, PubMed : 27746097, PubMed : 27819681, PubMed : 27819682, PubMed : 32200799, PubMed : 32296175). Activated RIPK3 forms a necrosis-inducing complex and mediates phosphorylation of MLKL, promoting MLKL localization to the plasma membrane and execution of programmed necrosis characterized by calcium influx and plasma membrane damage (PubMed : 24813849, PubMed : 24813850, PubMed : 27321907). In addition to TNF-induced necroptosis, necroptosis can also take place in the nucleus in response to orthomyxoviruses infection : following ZBP1 activation, which senses double-stranded Z-RNA structures, nuclear RIPK3 catalyzes phosphorylation and activation of MLKL, promoting disruption of the nuclear envelope and leakage of cellular DNA into the cytosol (PubMed : 32200799, PubMed : 32296175). Also regulates apoptosis : apoptosis depends on RIPK1, FADD and CASP8, and is independent of MLKL and RIPK3 kinase activity (PubMed : 27321907). Phosphorylates RIPK1 : RIPK1 and RIPK3 undergo reciprocal auto- and trans-phosphorylation (By similarity). In some cell types, also able to restrict viral replication by promoting cell death-independent responses (PubMed : 30635240). In response to flavivirus infection in neurons, promotes a cell death-independent pathway that restricts viral replication : together with ZBP1, promotes a death-independent transcriptional program that modifies the cellular metabolism via up-regulation expression of the enzyme ACOD1/IRG1 and production of the metabolite itaconate (PubMed : 30635240). Itaconate inhibits the activity of succinate dehydrogenase, generating a metabolic state in neurons that suppresses replication of viral genomes (PubMed : 30635240). RIPK3 binds to and enhances the activity of three metabolic enzymes : GLUL, GLUD1, and PYGL (By similarity). These metabolic enzymes may eventually stimulate the tricarboxylic acid cycle and oxidative phosphorylation, which could result in enhanced ROS production (By similarity).
See full target information Ripk3

文献 (57)

Recent publications for all applications. Explore the full list and refine your search

International journal of molecular sciences 24: PubMed37834141

2023

Involvement of IL-1β-Mediated Necroptosis in Neurodevelopment Impairment after Neonatal Sepsis in Rats.

Applications

Unspecified application

Species

Unspecified reactive species

Zhimin Liao,Qing Zhu,Han Huang

iScience 26:107787 PubMed37731606

2023

Chronic carbon disulfide exposure induces parkinsonian pathology via α-synuclein aggregation and necrosome complex interaction.

Applications

Unspecified application

Species

Unspecified reactive species

Zhidan Liu,Kang Kang,Shulin Shan,Shuai Wang,Xianjie Li,Hui Yong,Zhengcheng Huang,Yiyu Yang,Zhaoxiong Liu,Yanan Sun,Yao Bai,Fuyong Song

International journal of developmental neuroscience : the official journal of the International Society for Developmental Neuroscience 83:552-570 PubMed37503701

2023

Effect of sex differences and time of oxytocin administration on treatment of rat model of autism spectrum disorder: Focused on necroptosis markers.

Applications

Unspecified application

Species

Unspecified reactive species

Marjan Shariatpanahi,Zahra Sojoudi,Fariba Khodagholi,Hiva Rahmati,Seyed Behnamedin Jameie,Mina Eftekharzadeh,Maryam Soleimani Karizmeh,Mostafa Shabani,Ehsan Zamani

Journal of periodontal research 58:919-931 PubMed37334934

2023

Regulation of RIP1-Mediated necroptosis via necrostatin-1 in periodontitis.

Applications

Unspecified application

Species

Unspecified reactive species

Liangyu Tan,Weicheng Chan,Jing Zhang,Jiajia Wang,Zizheng Wang,Jie Liu,Jiaxin Li,Xinran Liu,Min Wang,Liang Hao,Yuan Yue

Redox biology 62:102687 PubMed36989574

2023

Pathologically high intraocular pressure induces mitochondrial dysfunction through Drp1 and leads to retinal ganglion cell PANoptosis in glaucoma.

Applications

Unspecified application

Species

Unspecified reactive species

Zhou Zeng,Mengling You,Cong Fan,Rong Rong,Haibo Li,Xiaobo Xia

Frontiers in immunology 14:1135014 PubMed36993980

2023

KW2449 ameliorates collagen-induced arthritis by inhibiting RIPK1-dependent necroptosis.

Applications

Unspecified application

Species

Unspecified reactive species

Qiong Wang,Qinbin Ye,Xiaoyu Xi,Xiaoxue Cao,Xing Wang,Mengxiao Zhang,Yuan Xu,Tingting Deng,Xiaobing Deng,Guoqiang Zhang,Cheng Xiao

Journal of translational medicine 21:179 PubMed36879273

2023

TREM-1 triggers necroptosis of macrophages through mTOR-dependent mitochondrial fission during acute lung injury.

Applications

Unspecified application

Species

Unspecified reactive species

Wen-Jing Zhong,Jun Zhang,Jia-Xi Duan,Chen-Yu Zhang,Sheng-Chao Ma,Yu-Sheng Li,Nan-Shi-Yu Yang,Hui-Hui Yang,Jian-Bing Xiong,Cha-Xiang Guan,Zhi-Xing Jiang,Zhi-Jian You,Yong Zhou

Translational neuroscience 14:20220277 PubMed36895263

2023

Omega-3 polyunsaturated fatty acids alleviate early brain injury after traumatic brain injury by inhibiting neuroinflammation and necroptosis.

Applications

Unspecified application

Species

Unspecified reactive species

Yali Wu,Jing Zhang,Xiaoyan Feng,Wei Jiao

Inflammation research : official journal of the European Histamine Research Society ... [et al.] 72:703-713 PubMed36745209

2023

HMGB1/TLR4 signaling pathway enhances abdominal aortic aneurysm progression in mice by upregulating necroptosis.

Applications

Unspecified application

Species

Unspecified reactive species

Shuai Bian,Le Yang,Dongfang Zhao,Lizhi Lv,Tiezheng Wang,Hai Yuan

CNS neuroscience & therapeutics 29:1178-1191 PubMed36694328

2023

PERK-STING-RIPK3 pathway facilitates cognitive impairment by inducing neuronal necroptosis in sepsis-associated encephalopathy.

Applications

Unspecified application

Species

Unspecified reactive species

Guo Xiaofeng,Wu You,Jia Qi,Ma Hongwei,Fan Zhongmin,Wang Shiquan,Du Lixia,Peng Yuliang,Fang Zongping,Zhang Xijing
View all publications

Abcam Product Promise

我们致力于为您的研究提供高质量的试剂,为您科研的每一步提供支持。若我们的产品未能达到预期性能,我们向您提供 Abcam Product Promise 保障。
详情请参阅我们的条款与条件。

关联产品

Select an associated product type
Alternative Product
Primary Antibodies

AB205421

Anti-RIP3 (phospho T231 + S232) antibody [2D7]

primary-antibodies

rip3-phospho-t231-s232-antibody-2d7-ab205421

0

(1 reviews)

Alternative Product
Primary Antibodies

AB222320

Anti-RIP3 (phospho T231 + S232) antibody [EPR19403-52]

primary-antibodies

rip3-phospho-t231-s232-antibody-epr19403-52-ab222320

0

(0 reviews)

Alternative Product
Primary Antibodies

AB195117

Anti-RIP3 (phospho S232) antibody [EPR9516(N)-25]

primary-antibodies

rip3-phospho-s232-antibody-epr9516n-25-ab195117

3

(13 reviews)

Alternative Product
Primary Antibodies

AB240383

Anti-RIP3 (phospho S227) antibody [EPR9627] - BSA and Azide free

primary-antibodies

rip3-phospho-s227-antibody-epr9627-bsa-and-azide-free-ab240383

0

(0 reviews)

Alternative Product
Primary Antibodies

AB240336

Anti-RIP3 (phospho S232) antibody [EPR9516(N)-25] - BSA and Azide free

primary-antibodies

rip3-phospho-s232-antibody-epr9516n-25-bsa-and-azide-free-ab240336

0

(0 reviews)

Alternative Product
Primary Antibodies

AB209384

Anti-RIP3 (phospho S227) antibody [EPR9627]

primary-antibodies

rip3-phospho-s227-antibody-epr9627-ab209384

0

(0 reviews)

Alternative Product
Primary Antibodies

AB240399

Anti-RIP3 (phospho T231 + S232) antibody [EPR19403-52] - BSA and Azide free

primary-antibodies

rip3-phospho-t231-s232-antibody-epr19403-52-bsa-and-azide-free-ab240399

0

(0 reviews)

Please note: All products are 'FOR RESEARCH USE ONLY. NOT FOR USE IN DIAGNOSTIC OR THERAPEUTIC PROCEDURES'.

For licensing inquiries, please contact partnerships@abcam.com