JavaScript is disabled in your browser. Please enable JavaScript to view this website.
AB175213

重组Anti-Ribosomal蛋白S11/RPS11抗体[EPR11487]

Anti-Ribosomal protein S11/RPS11 antibody [EPR11487]

Be the first to review this product! Submit a review

|

(5 Publications)

Rabbit Recombinant Monoclonal Ribosomal protein S11/RPS11 antibody. Suitable for IHC-P, WB, ICC/IF, Flow Cyt (Intra) and reacts with Human, Mouse, Rat samples. Cited in 5 publications.

查看别名

Small ribosomal subunit protein uS17, 40S ribosomal protein S11, RPS11

5 Images
Immunocytochemistry/ Immunofluorescence - Anti-Ribosomal protein S11/RPS11 antibody [EPR11487] (AB175213)
  • ICC/IF

Supplier Data

Immunocytochemistry/ Immunofluorescence - Anti-Ribosomal protein S11/RPS11 antibody [EPR11487] (AB175213)

Immunofluorescent staining of MCF7 cells labeling Ribosomal protein S11/RPS11 with ab175213 at 1/100 dilution (red). DAPI nuclear staining (blue).

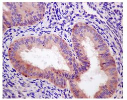
Immunohistochemistry (Formalin/PFA-fixed paraffin-embedded sections) - Anti-Ribosomal protein S11/RPS11 antibody [EPR11487] (AB175213)
  • IHC-P

Supplier Data

Immunohistochemistry (Formalin/PFA-fixed paraffin-embedded sections) - Anti-Ribosomal protein S11/RPS11 antibody [EPR11487] (AB175213)

Immunohistochemical analysis of paraffin-embedded Human uterus tissue labeling Ribosomal protein S11/RPS11 with ab175213 at 1/50 dilution.

Perform heat mediated antigen retrieval with citrate buffer pH 6 before commencing with IHC staining protocol.

Immunohistochemistry (Formalin/PFA-fixed paraffin-embedded sections) - Anti-Ribosomal protein S11/RPS11 antibody [EPR11487] (AB175213)
  • IHC-P

Supplier Data

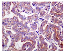
Immunohistochemistry (Formalin/PFA-fixed paraffin-embedded sections) - Anti-Ribosomal protein S11/RPS11 antibody [EPR11487] (AB175213)

Immunohistochemical analysis of paraffin-embedded Human thyroid carcinoma tissue labeling Ribosomal protein S11/RPS11 with ab175213 at 1/50 dilution.

Perform heat mediated antigen retrieval with citrate buffer pH 6 before commencing with IHC staining protocol.

Flow Cytometry (Intracellular) - Anti-Ribosomal protein S11/RPS11 antibody [EPR11487] (AB175213)
  • Flow Cyt (Intra)

Supplier Data

Flow Cytometry (Intracellular) - Anti-Ribosomal protein S11/RPS11 antibody [EPR11487] (AB175213)

Intracellular flow cytometric analysis of permeabilized HeLacells labeling Ribosomal protein S11/RPS11 with ab175213at 1/10 dilution (red) compared toa Rabbit IgGnegative control (green).

Western blot - Anti-Ribosomal protein S11/RPS11 antibody [EPR11487] (AB175213)
  • WB

Supplier Data

Western blot - Anti-Ribosomal protein S11/RPS11 antibody [EPR11487] (AB175213)

All lanes:

Western blot - Anti-Ribosomal protein S11/RPS11 antibody [EPR11487] (ab175213) at 1/1000 dilution

Lane 1:

Jurkat cell lysate at 10 µg

Lane 2:

MCF7 cell lysate at 10 µg

Lane 3:

HeLa cell lysate at 10 µg

Lane 4:

293T cell lysate at 10 µg

Predicted band size: 18 kDa

false

不同偶联物与剂型 (1)

  • Carrier free

    Anti-Ribosomal protein S11/RPS11 antibody [EPR11487] - BSA and Azide free

关键信息

宿主种属

Rabbit

克隆

Monoclonal

克隆号

EPR11487

亚型

IgG

不含载体蛋白

No

反应种属

Human

应用

Flow Cyt (Intra), WB, ICC/IF, IHC-P

applications

免疫原

The exact immunogen used to generate this antibody is proprietary information.

反应性数据

{ "title": "Reactivity Data", "filters": { "stats": ["", "Species", "Dilution Info", "Notes"], "tabs": { "all-applications": {"fullname" : "All Applications", "shortname": "All Applications"}, "IHCP" : {"fullname" : "Immunohistochemistry (Formalin/PFA-fixed paraffin-embedded sections)", "shortname":"IHC-P"}, "IP" : {"fullname" : "Immunoprecipitation", "shortname":"IP"}, "WB" : {"fullname" : "Western blot", "shortname":"WB"}, "ICCIF" : {"fullname" : "Immunocytochemistry/ Immunofluorescence", "shortname":"ICC/IF"}, "FlowCytIntra" : {"fullname" : "Flow Cytometry (Intracellular)", "shortname":"Flow Cyt (Intra)"} }, "product-promise": { "all": "all", "testedAndGuaranteed": "tested", "guaranteed": "expected", "predicted": "predicted", "notRecommended": "not-recommended" } }, "values": { "Human": { "IHCP-species-checked": "testedAndGuaranteed", "IHCP-species-dilution-info": "1/50 - 1/100", "IHCP-species-notes": "<p></p> Perform heat-mediated antigen retrieval with citrate buffer pH 6 before commencing with IHC staining protocol.", "IP-species-checked": "notRecommended", "IP-species-dilution-info": "", "IP-species-notes": "<p></p>", "WB-species-checked": "testedAndGuaranteed", "WB-species-dilution-info": "1/1000 - 1/5000", "WB-species-notes": "<p></p>", "ICCIF-species-checked": "testedAndGuaranteed", "ICCIF-species-dilution-info": "1/100 - 1/250", "ICCIF-species-notes": "<p></p>", "FlowCytIntra-species-checked": "testedAndGuaranteed", "FlowCytIntra-species-dilution-info": "1/10 - 1/100", "FlowCytIntra-species-notes": "<p><a href='/products/primary-antibodies/rabbit-igg-monoclonal-epr25a-isotype-control-ab172730'>ab172730</a> - Rabbit monoclonal IgG, is suitable for use as an isotype control with this antibody.</p>" }, "Mouse": { "IHCP-species-checked": "predicted", "IHCP-species-dilution-info": "", "IHCP-species-notes": "", "IP-species-checked": "notRecommended", "IP-species-dilution-info": "", "IP-species-notes": "", "WB-species-checked": "guaranteed", "WB-species-dilution-info": "", "WB-species-notes": "<p></p>", "ICCIF-species-checked": "predicted", "ICCIF-species-dilution-info": "", "ICCIF-species-notes": "", "FlowCytIntra-species-checked": "predicted", "FlowCytIntra-species-dilution-info": "", "FlowCytIntra-species-notes": "" }, "Rat": { "IHCP-species-checked": "predicted", "IHCP-species-dilution-info": "", "IHCP-species-notes": "", "IP-species-checked": "notRecommended", "IP-species-dilution-info": "", "IP-species-notes": "", "WB-species-checked": "guaranteed", "WB-species-dilution-info": "", "WB-species-notes": "<p></p>", "ICCIF-species-checked": "predicted", "ICCIF-species-dilution-info": "", "ICCIF-species-notes": "", "FlowCytIntra-species-checked": "predicted", "FlowCytIntra-species-dilution-info": "", "FlowCytIntra-species-notes": "" } } }

产品详情

Patented technology
Our RabMAb® technology is a patented hybridoma-based technology for making rabbit monoclonal antibodies. For details on our patents, please refer to RabMAb® patents.

What are the advantages of a recombinant monoclonal antibody?
This product is a recombinant monoclonal antibody, which offers several advantages including:

  • - High batch-to-batch consistency and reproducibility
  • - Improved sensitivity and specificity
  • - Long-term security of supply
  • - Animal-free batch production

For more information, read more on recombinant antibodies.

性能和储存信息

形式
Liquid
纯化工艺
Affinity purification Protein A
存储溶液
pH: 7.2 - 7.4 Preservative: 0.01% Sodium azide Constituents: PBS, 50% Tissue culture supernatant, 40% Glycerol (glycerin, glycerine), 0.05% BSA
运输条件
Blue Ice
推荐的短期储存时间
1-2 weeks
推荐的短期储存条件
+4°C
推荐的长期储存条件
-20°C
分装信息
Upon delivery aliquot
储存信息
Avoid freeze / thaw cycle

补充信息

This supplementary information is collated from multiple sources and compiled automatically.

Ribosomal protein S11 also known as RPS11 or BSA S11 is a component of the small 40S subunit of ribosomes. It has a mass of about 18.8 kDa. RPS11 is expressed across various tissues essential for protein synthesis in eukaryotic cells. It plays a mechanical role in facilitating the assembly and proper function of the ribosome which is critical for translating mRNA into protein.
Biological function summary

RPS11 serves as an important player in the ribosomal complex vital for maintaining the structure and function of the ribosome. It assists in the binding of mRNA and tRNA promoting the translation process. The precise arrangement of RPS11 and its interactions with other ribosomal proteins ensures efficient protein synthesis necessary for cell growth and function.

Pathways

RPS11 plays a significant role in the translation mechanism including the mTOR pathway which regulates cell growth in response to nutrients and growth factors. Through this pathway RPS11 works in conjunction with proteins like S6 kinase and 4E-BP1 modulating protein translation rates in various cellular conditions. Additionally RPS11 contributes to the ribosomal biogenesis pathway integrating signals for assembly and function of ribosomes.

Disruptions in RPS11 regulation or mutations can lead to conditions such as Diamond-Blackfan anemia characterized by reduced red blood cell production. RPS11's interaction with other ribosomal proteins like RPS19 has been implicated in this disorder. Moreover altered expression of RPS11 may play a role in various cancers influencing tumor growth and malignancy due to abnormal protein synthesis rates.

产品实验方案

For this product, it's our understanding that no specific protocols are required. You can visit:

靶点信息

Component of the small ribosomal subunit. The ribosome is a large ribonucleoprotein complex responsible for the synthesis of proteins in the cell. Part of the small subunit (SSU) processome, first precursor of the small eukaryotic ribosomal subunit. During the assembly of the SSU processome in the nucleolus, many ribosome biogenesis factors, an RNA chaperone and ribosomal proteins associate with the nascent pre-rRNA and work in concert to generate RNA folding, modifications, rearrangements and cleavage as well as targeted degradation of pre-ribosomal RNA by the RNA exosome (PubMed : 34516797).
See full target information 40S ribosomal protein S11

文献 (5)

Recent publications for all applications. Explore the full list and refine your search

RNA (New York, N.Y.) 30:1041-1057 PubMed38697667

2024

A novel reporter for helicase activity in translation uncovers DDX3X interactions.

Applications

Unspecified application

Species

Unspecified reactive species

Kevin C Wilkins,Till Schroeder,Sohyun Gu,Jezrael L Revalde,Stephen N Floor

Annals of translational medicine 8:466 PubMed32395510

2020

High RPS11 level in hepatocellular carcinoma associates with poor prognosis after curative resection.

Applications

Unspecified application

Species

Unspecified reactive species

Chenhao Zhou,Jialei Sun,Zhiyuan Zheng,Jialei Weng,Manar Atyah,Qiang Zhou,Wanyong Chen,Yuan Zhang,Jiaxing Huang,Yirui Yin,Huarong Mao,Ziping Zhang,Yong Yi,Ning Ren

Methods in molecular biology (Clifton, N.J.) 1649:473-488 PubMed29130217

2017

RAP-MS: A Method to Identify Proteins that Interact Directly with a Specific RNA Molecule in Cells.

Applications

Unspecified application

Species

Unspecified reactive species

Colleen A McHugh,Mitchell Guttman

Cancer cell 32:624-638.e5 PubMed29056426

2017

mTORC1 Couples Nucleotide Synthesis to Nucleotide Demand Resulting in a Targetable Metabolic Vulnerability.

Applications

Unspecified application

Species

Unspecified reactive species

Alexander J Valvezan,Marc Turner,Amine Belaid,Hilaire C Lam,Spencer K Miller,Molly C McNamara,Christian Baglini,Benjamin E Housden,Norbert Perrimon,David J Kwiatkowski,John M Asara,Elizabeth P Henske,Brendan D Manning

Molecular therapy : the journal of the American So 24:1760-1770 PubMed27434591

2016

Extracellular Antibody Drug Conjugates Exploiting the Proximity of Two Proteins.

Applications

WB

Species

Unspecified reactive species

David J Marshall,Scott S Harried,John L Murphy,Chad A Hall,Mohammed S Shekhani,Christophe Pain,Conner A Lyons,Antonella Chillemi,Fabio Malavasi,Homer L Pearce,Jon S Thorson,James R Prudent
View all publications

Abcam Product Promise

我们致力于为您的研究提供高质量的试剂,为您科研的每一步提供支持。若我们的产品未能达到预期性能,我们向您提供 Abcam Product Promise 保障。
详情请参阅我们的条款与条件。

Please note: All products are 'FOR RESEARCH USE ONLY. NOT FOR USE IN DIAGNOSTIC OR THERAPEUTIC PROCEDURES'.

For licensing inquiries, please contact partnerships@abcam.com