JavaScript is disabled in your browser. Please enable JavaScript to view this website.
AB154172

重组Anti-RGS10抗体[EPR10657(B)]

Anti-RGS10 antibody [EPR10657(B)]

Be the first to review this product! Submit a review

|

(3 Publications)

Rabbit Recombinant Monoclonal RGS10 antibody. Suitable for IHC-P, WB, ICC/IF and reacts with Human samples. Cited in 3 publications.

查看别名

Regulator of G-protein signaling 10, RGS10

6 Images
Immunocytochemistry/ Immunofluorescence - Anti-RGS10 antibody [EPR10657(B)] (AB154172)
  • ICC/IF

Unknown

Immunocytochemistry/ Immunofluorescence - Anti-RGS10 antibody [EPR10657(B)] (AB154172)

Immunofluorescent analysis of K562 cells labeling RGS10 with ab154172 at 1/50 dilution.

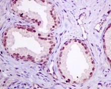
Immunohistochemistry (Formalin/PFA-fixed paraffin-embedded sections) - Anti-RGS10 antibody [EPR10657(B)] (AB154172)
  • IHC-P

Unknown

Immunohistochemistry (Formalin/PFA-fixed paraffin-embedded sections) - Anti-RGS10 antibody [EPR10657(B)] (AB154172)

Immunohistochemical analysis of paraffin-embedded Human prostate tissue labeling RGS10 with ab154172 at 1/50 dilution.

Perform heat mediated antigen retrieval before commencing with IHC staining protocol.

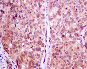
Immunohistochemistry (Formalin/PFA-fixed paraffin-embedded sections) - Anti-RGS10 antibody [EPR10657(B)] (AB154172)
  • IHC-P

Unknown

Immunohistochemistry (Formalin/PFA-fixed paraffin-embedded sections) - Anti-RGS10 antibody [EPR10657(B)] (AB154172)

Immunohistochemical analysis of paraffin embedded Human cervical carcinoma tissue using ab154172 showing +ve staining.

Perform heat mediated antigen retrieval before commencing with IHC staining protocol.

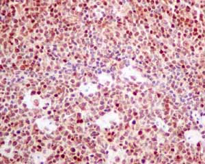
Immunohistochemistry (Formalin/PFA-fixed paraffin-embedded sections) - Anti-RGS10 antibody [EPR10657(B)] (AB154172)
  • IHC-P

Unknown

Immunohistochemistry (Formalin/PFA-fixed paraffin-embedded sections) - Anti-RGS10 antibody [EPR10657(B)] (AB154172)

Immunohistochemical analysis of paraffin embedded Human gastric adenocarcinoma tissue using ab154172 showing +ve staining.

Perform heat mediated antigen retrieval before commencing with IHC staining protocol.

Immunohistochemistry (Formalin/PFA-fixed paraffin-embedded sections) - Anti-RGS10 antibody [EPR10657(B)] (AB154172)
  • IHC-P

Unknown

Immunohistochemistry (Formalin/PFA-fixed paraffin-embedded sections) - Anti-RGS10 antibody [EPR10657(B)] (AB154172)

Immunohistochemical analysis of paraffin embedded Human normal tonsil tissue using ab154172 showing +ve staining.

Perform heat mediated antigen retrieval before commencing with IHC staining protocol.

Western blot - Anti-RGS10 antibody [EPR10657(B)] (AB154172)
  • WB

Unknown

Western blot - Anti-RGS10 antibody [EPR10657(B)] (AB154172)

All lanes:

Western blot - Anti-RGS10 antibody [EPR10657(B)] (ab154172) at 1/1000 dilution

Lane 1:

Jurkat cell lysates at 10 µg

Lane 2:

K562 cell lysates at 10 µg

Secondary

All lanes:

Goat anti-rabbit HRP at 1/2000 dilution

Predicted band size: 20 kDa

false

不同偶联物与剂型 (1)

  • Carrier free

    Anti-RGS10 antibody [EPR10657(B)] - BSA and Azide free

关键信息

宿主种属

Rabbit

克隆

Monoclonal

克隆号

EPR10657(B)

亚型

IgG

不含载体蛋白

No

反应种属

Human

应用

IHC-P, WB, ICC/IF

applications

免疫原

The exact immunogen used to generate this antibody is proprietary information.

反应性数据

{ "title": "Reactivity Data", "filters": { "stats": ["", "Species", "Dilution Info", "Notes"], "tabs": { "all-applications": {"fullname" : "All Applications", "shortname": "All Applications"}, "IHCP" : {"fullname" : "Immunohistochemistry (Formalin/PFA-fixed paraffin-embedded sections)", "shortname":"IHC-P"}, "FlowCyt" : {"fullname" : "Flow Cytometry", "shortname":"Flow Cyt"}, "WB" : {"fullname" : "Western blot", "shortname":"WB"}, "ICCIF" : {"fullname" : "Immunocytochemistry/ Immunofluorescence", "shortname":"ICC/IF"} }, "product-promise": { "all": "all", "testedAndGuaranteed": "tested", "guaranteed": "expected", "predicted": "predicted", "notRecommended": "not-recommended" } }, "values": { "Human": { "IHCP-species-checked": "testedAndGuaranteed", "IHCP-species-dilution-info": "1/50 - 1/100", "IHCP-species-notes": "<p></p>", "FlowCyt-species-checked": "notRecommended", "FlowCyt-species-dilution-info": "", "FlowCyt-species-notes": "<p></p>", "WB-species-checked": "testedAndGuaranteed", "WB-species-dilution-info": "1/1000 - 1/10000", "WB-species-notes": "<p></p>", "ICCIF-species-checked": "testedAndGuaranteed", "ICCIF-species-dilution-info": "1/50 - 1/100", "ICCIF-species-notes": "<p></p>" } } }

产品详情

Species reactivity
Mouse, Rat: We have preliminary internal testing data to indicate this antibody may not react with these species.
Please contact us for more information.

Patented technology
Our RabMAb® technology is a patented hybridoma-based technology for making rabbit monoclonal antibodies. For details on our patents, please refer to RabMAb® patents.

What are the advantages of a recombinant monoclonal antibody?
This product is a recombinant monoclonal antibody, which offers several advantages including:

  • - High batch-to-batch consistency and reproducibility
  • - Improved sensitivity and specificity
  • - Long-term security of supply
  • - Animal-free batch production

For more information, read more on recombinant antibodies.

性能和储存信息

形式
Liquid
纯化工艺
Affinity purification Protein A
存储溶液
pH: 7.2 - 7.4 Preservative: 0.01% Sodium azide Constituents: PBS, 50% Tissue culture supernatant, 40% Glycerol (glycerin, glycerine), 0.05% BSA
运输条件
Blue Ice
推荐的短期储存条件
+4°C
推荐的长期储存条件
-20°C

补充信息

This supplementary information is collated from multiple sources and compiled automatically.

RGS10 also known as Regulator of G-protein Signaling 10 is a 20 kDa protein that regulates G-protein signaling. This protein accelerates the GTPase activity of the G alpha subunits leading to termination of the G-protein signaling. RGS10 expresses mainly in the brain and immune cells where it modulates signal transduction processes. It influences cellular responses significantly due to its ability to deactivate active G-proteins by increasing their GTPase activity.
Biological function summary

RGS10 plays a role in immune responses and neural function. It is not typically part of larger protein complexes but it interacts independently with other proteins in cellular signaling pathways. In the immune system RGS10 influences various processes such as cytokine production and leukocyte function. In neurons RGS10 contributes to maintaining neural signaling by regulating neurotransmitter-related G-protein coupled receptor pathways.

Pathways

G-protein signaling pathways and the MAPK signaling pathway include RGS10 as an important regulatory protein. It modulates the G-protein coupled receptor signaling pathway an important aspect of cellular response to external stimuli. RGS10 also influences the PI3K-Akt signaling pathway by regulating upstream signaling events. These pathways involve proteins such as G alpha subunits and PI3 kinase which interact with RGS10 to control diverse physiological processes.

Individuals with altered RGS10 expression may have neurodegenerative diseases and inflammatory disorders. Alzheimer's disease is one condition where RGS10's regulatory control affects neuronal cell survival and tau phosphorylation a process implicated in disease progression. Regarding inflammation its interaction with NLRP3 inflammasome proteins connects RGS10 to inflammatory pathways which can lead to disorders like rheumatoid arthritis. Adjusting RGS10 levels might modulate disease mechanisms highlighting its potential therapeutic interest.

产品实验方案

For this product, it's our understanding that no specific protocols are required. You can visit:

靶点信息

Regulates G protein-coupled receptor signaling cascades, including signaling downstream of the muscarinic acetylcholine receptor CHRM2. Inhibits signal transduction by increasing the GTPase activity of G protein alpha subunits, thereby driving them into their inactive GDP-bound form (PubMed : 10608901, PubMed : 11443111, PubMed : 18434541, PubMed : 8774883, PubMed : 9353196). Modulates the activity of potassium channels that are activated in response to CHRM2 signaling (PubMed : 11443111). Activity on GNAZ is inhibited by palmitoylation of the G-protein (PubMed : 9353196).
See full target information RGS10

文献 (3)

Recent publications for all applications. Explore the full list and refine your search

Inflammation 48:3446-3457 PubMed40053057

2025

USP5 Deletion Inhibits KD Serum Induced-Human Coronary Artery Endothelial Cell Dysfunction by Regulating the NFATC1/TLR4-Mediated NF-κB Signaling Pathway in Kawasaki Disease.

Applications

Unspecified application

Species

Unspecified reactive species

Lidan Yao,Yupeng Lai,Heng Li,Sihan Chen,Xianjia Yu,Ni Zhou,Dandan Lang

eLife 13: PubMed39145770

2024

RGS10 deficiency facilitates distant metastasis by inducing epithelial-mesenchymal transition in breast cancer.

Applications

Unspecified application

Species

Unspecified reactive species

Yang Liu,Yi Jiang,Peng Qiu,Tie Ma,Yang Bai,Jiawen Bu,Yueting Hu,Ming Jin,Tong Zhu,Xi Gu

Nature communications 14:6774 PubMed37891180

2023

N-terminal acetylation shields proteins from degradation and promotes age-dependent motility and longevity.

Applications

Unspecified application

Species

Unspecified reactive species

Sylvia Varland,Rui Duarte Silva,Ine Kjosås,Alexandra Faustino,Annelies Bogaert,Maximilian Billmann,Hadi Boukhatmi,Barbara Kellen,Michael Costanzo,Adrian Drazic,Camilla Osberg,Katherine Chan,Xiang Zhang,Amy Hin Yan Tong,Simonetta Andreazza,Juliette J Lee,Lyudmila Nedyalkova,Matej Ušaj,Alexander J Whitworth,Brenda J Andrews,Jason Moffat,Chad L Myers,Kris Gevaert,Charles Boone,Rui Gonçalo Martinho,Thomas Arnesen
View all publications

Abcam Product Promise

我们致力于为您的研究提供高质量的试剂,为您科研的每一步提供支持。若我们的产品未能达到预期性能,我们向您提供 Abcam Product Promise 保障。
详情请参阅我们的条款与条件。

Please note: All products are 'FOR RESEARCH USE ONLY. NOT FOR USE IN DIAGNOSTIC OR THERAPEUTIC PROCEDURES'.

For licensing inquiries, please contact partnerships@abcam.com