JavaScript is disabled in your browser. Please enable JavaScript to view this website.
AB214791

重组Anti-Ret抗体[EPR2871] - BSA and Azide free

Anti-Ret antibody [EPR2871] - BSA and Azide free

Be the first to review this product! Submit a review

|

(7 Publications)

Rabbit Recombinant Monoclonal RET antibody. Carrier free. Suitable for IHC-P, IP, ELISA, WB, ICC/IF and reacts with Human, Mouse, Synthetic peptide, Rat samples. Cited in 7 publications.

查看别名

CDHF12, CDHR16, PTC, RET, RET51, Proto-oncogene tyrosine-protein kinase receptor Ret, Cadherin family member 12, Proto-oncogene c-Ret

7 Images
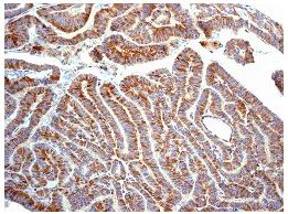
Immunohistochemistry (Formalin/PFA-fixed paraffin-embedded sections) - Anti-Ret antibody [EPR2871] - BSA and Azide free (AB214791)
  • IHC-P

Lab

Immunohistochemistry (Formalin/PFA-fixed paraffin-embedded sections) - Anti-Ret antibody [EPR2871] - BSA and Azide free (AB214791)

Immunohistochemistry (Formalin/PFA-fixed paraffin-embedded sections) analysis of human gastric carcinoma tissue labelling Ret with purified ab134100 at a dilution of 1/50. Heat mediated antigen retrieval was performed using EDTA buffer pH 9. ab97051, a HRP-conjugated goat anti-rabbit IgG (H+L) was used as the secondary antibody (1/500). Negative control using PBS instead of primary antibody. Counterstained with hematoxylin.

This data was developed using the same antibody clone in a different buffer formulation containing PBS, BSA, glycerol, and sodium azide (ab134100).

Immunohistochemistry (Formalin/PFA-fixed paraffin-embedded sections) - Anti-Ret antibody [EPR2871] - BSA and Azide free (AB214791)
  • IHC-P

Unknown

Immunohistochemistry (Formalin/PFA-fixed paraffin-embedded sections) - Anti-Ret antibody [EPR2871] - BSA and Azide free (AB214791)

Immunohistochemistry (Formalin/PFA-fixed paraffin-embedded sections) analysis of human thyroid gland carcinoma tissue labelling Ret with unpurified ab134100 at a dilution of 1/250.

This data was developed using the same antibody clone in a different buffer formulation containing PBS, BSA, glycerol, and sodium azide (ab134100).

Perform heat mediated antigen retrieval before commencing with IHC staining protocol.

Immunocytochemistry/ Immunofluorescence - Anti-Ret antibody [EPR2871] - BSA and Azide free (AB214791)
  • ICC/IF

Lab

Immunocytochemistry/ Immunofluorescence - Anti-Ret antibody [EPR2871] - BSA and Azide free (AB214791)

Immunocytochemistry/Immunofluorescence analysis of TT (human thyroid carcinoma epithelial cell) cells labelling Ret with purified ab134100 at a dilution of 1/200. Cells were fixed with 4% paraformaldehyde and permeabilized with 0.1% Triton X-100. ab150077, an Alexa Fluor® 488-conjugated goat anti-rabbit IgG (1/1000) was used as the secondary antibody. DAPI (blue) was used as the nuclear counterstain. ab195889  Anti-alpha Tubulin antibody [DM1A] - Microtubule Marker (Alexa Fluor® 594) (1/200) was used as a counter stain.

-ve control : Caco-2 (PMID : 10811228) cells stained with primary antibody (1/100) and secondary antibody, ab150077, an Alexa Fluor® 488-conjugated goat anti-rabbit IgG (1/1000).

This data was developed using the same antibody clone in a different buffer formulation containing PBS, BSA, glycerol, and sodium azide (ab134100).

Immunocytochemistry/ Immunofluorescence - Anti-Ret antibody [EPR2871] - BSA and Azide free (AB214791)
  • ICC/IF

Lab

Immunocytochemistry/ Immunofluorescence - Anti-Ret antibody [EPR2871] - BSA and Azide free (AB214791)

Immunocytochemistry/Immunofluorescence analysis of Neuro-2a cells labelling Ret with purified ab134100 at a dilution of 1/100. Cells were fixed with 4% paraformaldehyde and permeabilized with 0.1% Triton X-100. ab150077, an Alexa Fluor® 488-conjugated goat anti-rabbit IgG (1/1000) was used as the secondary antibody. DAPI (blue) was used as the nuclear counterstain. ab7291, a mouse anti-tubulin (1/1000) and ab150120, an Alexa Fluor® 594-conjugated goat anti-mouse IgG (1/1000) were also used.

Control 1 : primary antibody (1/100) and secondary antibody, ab150120, an Alexa Fluor® 594-conjugated goat anti-mouse IgG (1/1000).

Control 2 : ab7291 (1/1000) and secondary antibody, ab150077, an Alexa Fluor® 488-conjugated goat anti-rabbit IgG (1/1000).

This data was developed using the same antibody clone in a different buffer formulation containing PBS, BSA, glycerol, and sodium azide (ab134100).

Immunohistochemistry (Formalin/PFA-fixed paraffin-embedded sections) - Anti-Ret antibody [EPR2871] - BSA and Azide free (AB214791)
  • IHC-P

Supplier Data

Immunohistochemistry (Formalin/PFA-fixed paraffin-embedded sections) - Anti-Ret antibody [EPR2871] - BSA and Azide free (AB214791)

Immunohistochemistry (Formalin/PFA-fixed paraffin-embedded sections) analysis of mouse colon tissue labelling Ret with unpurified ab134100 at a dilution of 1/50 followed by HRP-conjugated goat anti-rabbit IgG (H&L) (ab97051, 1/500). Counter stained with hematoxylin.

This data was developed using the same antibody clone in a different buffer formulation containing PBS, BSA, glycerol, and sodium azide (ab134100).

Perform heat mediated antigen retrieval before commencing with IHC staining protocol.

Immunoprecipitation - Anti-Ret antibody [EPR2871] - BSA and Azide free (AB214791)
  • IP

Lab

Immunoprecipitation - Anti-Ret antibody [EPR2871] - BSA and Azide free (AB214791)

ab134100 (purified) at 1/40 immunoprecipitating Ret in Neuro-2a whole cell lysate.

Lane 1 (input) : Neuro-2a whole cell lysate (10µg)

Lane 2 (+) : ab134100 + Neuro-2a whole cell lysate.

Lane 3 (-) : Rabbit monoclonal IgG (ab172730) instead of ab134100 in Neuro-2a whole cell lysate.

For western blotting, ab134100 was used at 1/1000 followed by a HRP-conjugated anti-rabbit IgG (specific to the non-reduced form of IgG, 1/1500).

Blocking buffer and dilution concentration : 5% NFDM/TBST.

We are unsure about the nature of 40kDa to 60kDa bands, they might be the intracellular fragments of Ret.

This data was developed using the same antibody clone in a different buffer formulation containing PBS, BSA, glycerol, and sodium azide (ab134100).

All lanes:

Immunoprecipitation - Anti-Ret antibody [EPR2871] (<a href='/products/primary-antibodies/ret-antibody-epr2871-ab134100'>ab134100</a>)

Predicted band size: 124 kDa

false

Exposure time: 30s

ELISA - Anti-Ret antibody [EPR2871] - BSA and Azide free (AB214791)
  • ELISA

Lab

ELISA - Anti-Ret antibody [EPR2871] - BSA and Azide free (AB214791)

ELISA antigen dose-response curve using purified ab134100 at 0-1000 ng/ml. Antigen concentration of 1000 ng/mL. An Alkaline-Phosphatase-conjugated goat anti-rabbit IgG (H+L) (1/2500) was used as the secondary antibody.This data was developed using the same antibody clone in a different buffer formulation containing PBS, BSA, glycerol, and sodium azide (ab134100).

关键信息

宿主种属

Rabbit

克隆

Monoclonal

克隆号

EPR2871

亚型

IgG

不含载体蛋白

Yes

反应种属

Mouse, Rat, Human

应用

IHC-P, IP, ELISA, ICC/IF, WB

applications

免疫原

The exact immunogen used to generate this antibody is proprietary information.

反应性数据

{ "title": "Reactivity Data", "filters": { "stats": ["", "Species", "Dilution Info", "Notes"], "tabs": { "all-applications": {"fullname" : "All Applications", "shortname": "All Applications"}, "IHCP" : {"fullname" : "Immunohistochemistry (Formalin/PFA-fixed paraffin-embedded sections)", "shortname":"IHC-P"}, "IP" : {"fullname" : "Immunoprecipitation", "shortname":"IP"}, "FlowCyt" : {"fullname" : "Flow Cytometry", "shortname":"Flow Cyt"}, "ELISA" : {"fullname" : "ELISA", "shortname":"ELISA"}, "WB" : {"fullname" : "Western blot", "shortname":"WB"}, "ICCIF" : {"fullname" : "Immunocytochemistry/ Immunofluorescence", "shortname":"ICC/IF"} }, "product-promise": { "all": "all", "testedAndGuaranteed": "tested", "guaranteed": "expected", "predicted": "predicted", "notRecommended": "not-recommended" } }, "values": { "Human": { "IHCP-species-checked": "testedAndGuaranteed", "IHCP-species-dilution-info": "", "IHCP-species-notes": "<p></p>", "IP-species-checked": "guaranteed", "IP-species-dilution-info": "", "IP-species-notes": "", "FlowCyt-species-checked": "notRecommended", "FlowCyt-species-dilution-info": "", "FlowCyt-species-notes": "<p></p>", "ELISA-species-checked": "guaranteed", "ELISA-species-dilution-info": "", "ELISA-species-notes": "", "WB-species-checked": "guaranteed", "WB-species-dilution-info": "", "WB-species-notes": "<p></p>", "ICCIF-species-checked": "testedAndGuaranteed", "ICCIF-species-dilution-info": "", "ICCIF-species-notes": "<p></p>" }, "Mouse": { "IHCP-species-checked": "guaranteed", "IHCP-species-dilution-info": "", "IHCP-species-notes": "", "IP-species-checked": "testedAndGuaranteed", "IP-species-dilution-info": "", "IP-species-notes": "<p></p>", "FlowCyt-species-checked": "notRecommended", "FlowCyt-species-dilution-info": "", "FlowCyt-species-notes": "<p></p>", "ELISA-species-checked": "guaranteed", "ELISA-species-dilution-info": "", "ELISA-species-notes": "", "WB-species-checked": "guaranteed", "WB-species-dilution-info": "", "WB-species-notes": "<p></p>", "ICCIF-species-checked": "guaranteed", "ICCIF-species-dilution-info": "", "ICCIF-species-notes": "" }, "Rat": { "IHCP-species-checked": "predicted", "IHCP-species-dilution-info": "", "IHCP-species-notes": "", "IP-species-checked": "predicted", "IP-species-dilution-info": "", "IP-species-notes": "", "FlowCyt-species-checked": "notRecommended", "FlowCyt-species-dilution-info": "", "FlowCyt-species-notes": "<p></p>", "ELISA-species-checked": "predicted", "ELISA-species-dilution-info": "", "ELISA-species-notes": "", "WB-species-checked": "guaranteed", "WB-species-dilution-info": "", "WB-species-notes": "<p></p>", "ICCIF-species-checked": "predicted", "ICCIF-species-dilution-info": "", "ICCIF-species-notes": "" }, "Synthetic peptide": { "IHCP-species-checked": "notRecommended", "IHCP-species-dilution-info": "", "IHCP-species-notes": "", "IP-species-checked": "notRecommended", "IP-species-dilution-info": "", "IP-species-notes": "", "FlowCyt-species-checked": "notRecommended", "FlowCyt-species-dilution-info": "", "FlowCyt-species-notes": "", "ELISA-species-checked": "testedAndGuaranteed", "ELISA-species-dilution-info": "", "ELISA-species-notes": "<p></p>", "WB-species-checked": "notRecommended", "WB-species-dilution-info": "", "WB-species-notes": "", "ICCIF-species-checked": "notRecommended", "ICCIF-species-dilution-info": "", "ICCIF-species-notes": "" } } }

产品详情

ab214791 is the carrier-free version of ab134100.

Patented technology
Our RabMAb® technology is a patented hybridoma-based technology for making rabbit monoclonal antibodies. For details on our patents, please refer to RabMAb® patents.

What are the advantages of a recombinant monoclonal antibody?
This product is a recombinant monoclonal antibody, which offers several advantages including:

  • - High batch-to-batch consistency and reproducibility
  • - Improved sensitivity and specificity
  • - Long-term security of supply
  • - Animal-free batch production

For more information, read more on recombinant antibodies.

Conjugation ready
Our carrier-free antibodies are typically supplied in a PBS-only formulation, purified and free of BSA, sodium azide and glycerol. This conjugation-ready format is designed for use with fluorochromes, metal isotopes, oligonucleotides, and enzymes, which makes them ideal for antibody labelling, functional and cell-based assays, flow-based assays (e.g. mass cytometry) and Multiplex Imaging applications.

Use our conjugation kits for antibody conjugates that are ready-to-use in as little as 20 minutes with 1 minute hands-on-time and 100% antibody recovery: available for fluorescent dyes, HRP, biotin and gold.

Compatibility
This product is compatible with the Maxpar® Antibody Labeling Kit from Fluidigm, without the need for antibody preparation. Maxpar® is a trademark of Fluidigm Canada Inc.

性能和储存信息

形式
Liquid
纯化工艺
Affinity purification Protein A
存储溶液
pH: 7.2 - 7.4 Constituents: PBS
运输条件
Blue Ice
推荐的短期储存条件
+4°C
推荐的长期储存条件
+4°C
储存信息
Do Not Freeze

补充信息

This supplementary information is collated from multiple sources and compiled automatically.

Ret also known as "rearranged during transfection" is a receptor tyrosine kinase with a mass of approximately 170-175 kDa. Scientists often study Ret because of its key role in cellular signaling pathways. It is primarily expressed in neural crest-derived cells and tissues including the kidneys and the enteric nervous system. Ret is also found in various other cell types throughout the body such as endocrine and hematopoietic tissues.
Biological function summary

The Ret protein facilitates several critical processes within the body. It functions as part of a complex with co-receptors called GFRα (GDNF family receptor alpha) which are required for binding ligands such as GDNF (glial cell line-derived neurotrophic factor). This binding activates downstream signaling pathways that influence cell growth differentiation and survival particularly within the nervous system. The proper functioning of Ret is essential for the development and maintenance of these cellular environments.

Pathways

Ret is an important component of the MAPK/ERK and PI3K/AKT signaling pathways. These pathways mediate various cellular responses including cell proliferation survival and apoptosis. The interactions of Ret with other proteins like SHC and GRB2 within these pathways create ripple effects that impact larger cellular networks. Through these pathways Ret connects with multiple proteins to modulate essential biological processes.

Ret's dysregulation is closely associated with multiple endocrine neoplasia type 2 (MEN2) and Hirschsprung's disease. These conditions arise due to mutations affecting Ret's signaling capabilities. In MEN2 Ret mutations lead to uncontrolled cell growth often resulting in medullary thyroid carcinoma. Hirschsprung's disease on the other hand involves a failure in neural crest cell migration leading to congenital gut motility issues. Researchers explore Ret's interactions with other proteins such as endothelin receptor B (EDNRB) to further understand these diseases.

产品实验方案

For this product, it's our understanding that no specific protocols are required. You can visit:

靶点信息

Receptor tyrosine-protein kinase involved in numerous cellular mechanisms including cell proliferation, neuronal navigation, cell migration, and cell differentiation in response to glia cell line-derived growth family factors (GDNF, NRTN, ARTN, PSPN and GDF15) (PubMed : 20064382, PubMed : 20616503, PubMed : 20702524, PubMed : 21357690, PubMed : 21454698, PubMed : 24560924, PubMed : 28846097, PubMed : 28846099, PubMed : 28953886, PubMed : 31118272). In contrast to most receptor tyrosine kinases, RET requires not only its cognate ligands but also coreceptors, for activation (PubMed : 21994944, PubMed : 23333276, PubMed : 28846097, PubMed : 28846099, PubMed : 28953886). GDNF ligands (GDNF, NRTN, ARTN, PSPN and GDF15) first bind their corresponding GDNFR coreceptors (GFRA1, GFRA2, GFRA3, GFRA4 and GFRAL, respectively), triggering RET autophosphorylation and activation, leading to activation of downstream signaling pathways, including the MAPK- and AKT-signaling pathways (PubMed : 21994944, PubMed : 23333276, PubMed : 24560924, PubMed : 25242331, PubMed : 28846097, PubMed : 28846099, PubMed : 28953886). Acts as a dependence receptor via the GDNF-GFRA1 signaling : in the presence of the ligand GDNF in somatotrophs within pituitary, promotes survival and down regulates growth hormone (GH) production, but triggers apoptosis in absence of GDNF (PubMed : 20616503, PubMed : 21994944). Required for the molecular mechanisms orchestration during intestine organogenesis via the ARTN-GFRA3 signaling : involved in the development of enteric nervous system and renal organogenesis during embryonic life, and promotes the formation of Peyer's patch-like structures, a major component of the gut-associated lymphoid tissue (By similarity). Mediates, through interaction with GDF15-receptor GFRAL, GDF15-induced cell-signaling in the brainstem which triggers an aversive response, characterized by nausea, vomiting, and/or loss of appetite in response to various stresses (PubMed : 28846097, PubMed : 28846099, PubMed : 28953886). Modulates cell adhesion via its cleavage by caspase in sympathetic neurons and mediates cell migration in an integrin (e.g. ITGB1 and ITGB3)-dependent manner (PubMed : 20702524, PubMed : 21357690). Also active in the absence of ligand, triggering apoptosis through a mechanism that requires receptor intracellular caspase cleavage (PubMed : 21357690). Triggers the differentiation of rapidly adapting (RA) mechanoreceptors (PubMed : 20064382). Involved in the development of the neural crest (By similarity). Regulates nociceptor survival and size (By similarity). Phosphorylates PTK2/FAK1 (PubMed : 21454698).. Isoform 1. Isoform 1 in complex with GFRAL induces higher activation of MAPK-signaling pathway than isoform 2 in complex with GFRAL.
See full target information RET

文献 (7)

Recent publications for all applications. Explore the full list and refine your search

Oncotarget 6:4773-89 PubMed25749382

2015

The histone code reader SPIN1 controls RET signaling in liposarcoma.

Applications

Unspecified application

Species

Unspecified reactive species

Henriette Franz,Holger Greschik,Dominica Willmann,Luka Ozretić,Cordula Annette Jilg,Eva Wardelmann,Manfred Jung,Reinhard Buettner,Roland Schüle

Modern pathology : an official journal of the Unit 28:468-79 PubMed25234288

2014

Comprehensive analysis of RET and ROS1 rearrangement in lung adenocarcinoma.

Applications

Unspecified application

Species

Unspecified reactive species

Seung Eun Lee,Boram Lee,Mineui Hong,Ji-Young Song,Kyungsoo Jung,Maruja E Lira,Mao Mao,Joungho Han,Jhingook Kim,Yoon-La Choi

PloS one 9:e95964 PubMed24759995

2014

Effects of siRNA on RET/PTC3 junction oncogene in papillary thyroid carcinoma: from molecular and cellular studies to preclinical investigations.

Applications

WB

Species

Mouse

Hafiz Muhammad Ali,Giorgia Urbinati,Hubert Chapuis,Didier Desmaele,Jean-Rémi Bertrand,Patrick Couvreur,Liliane Massaad-Massade

Oncogene 34:436-44 PubMed24469049

2014

TFAP2C governs the luminal epithelial phenotype in mammary development and carcinogenesis.

Applications

Unspecified application

Species

Unspecified reactive species

A R Cyr,M V Kulak,J M Park,M V Bogachek,P M Spanheimer,G W Woodfield,L S White-Baer,Y Q O'Malley,S L Sugg,A K Olivier,W Zhang,F E Domann,R J Weigel

Nature communications 5:3116 PubMed24445538

2014

Kinase fusions are frequent in Spitz tumours and spitzoid melanomas.

Applications

Unspecified application

Species

Human

Thomas Wiesner,Jie He,Roman Yelensky,Rosaura Esteve-Puig,Thomas Botton,Iwei Yeh,Doron Lipson,Geoff Otto,Kristina Brennan,Rajmohan Murali,Maria Garrido,Vincent A Miller,Jeffrey S Ross,Michael F Berger,Alyssa Sparatta,Gabriele Palmedo,Lorenzo Cerroni,Klaus J Busam,Heinz Kutzner,Maureen T Cronin,Philip J Stephens,Boris C Bastian

The Journal of biological chemistry 288:29105-14 PubMed23960073

2013

FRAX597, a small molecule inhibitor of the p21-activated kinases, inhibits tumorigenesis of neurofibromatosis type 2 (NF2)-associated Schwannomas.

Applications

WB

Species

Mouse

Silvia Licciulli,Jasna Maksimoska,Chun Zhou,Scott Troutman,Smitha Kota,Qin Liu,Sergio Duron,David Campbell,Jonathan Chernoff,Jeffrey Field,Ronen Marmorstein,Joseph L Kissil

The Journal of cell biology 198:127-41 PubMed22753894

2012

c-Jun in Schwann cells promotes axonal regeneration and motoneuron survival via paracrine signaling.

Applications

Unspecified application

Species

Mouse

Xavier Fontana,Mariya Hristova,Clive Da Costa,Smriti Patodia,Laura Thei,Milan Makwana,Bradley Spencer-Dene,Morwena Latouche,Rhona Mirsky,Kristjan R Jessen,Rüdiger Klein,Gennadij Raivich,Axel Behrens
View all publications

Abcam Product Promise

我们致力于为您的研究提供高质量的试剂,为您科研的每一步提供支持。若我们的产品未能达到预期性能,我们向您提供 Abcam Product Promise 保障。
详情请参阅我们的条款与条件。

Please note: All products are 'FOR RESEARCH USE ONLY. NOT FOR USE IN DIAGNOSTIC OR THERAPEUTIC PROCEDURES'.

For licensing inquiries, please contact partnerships@abcam.com