JavaScript is disabled in your browser. Please enable JavaScript to view this website.
AB109363

重组Anti-RENT1/hUPF1抗体[EPR4681]

Anti-RENT1/hUPF1 antibody [EPR4681]

5

(2 Reviews)

|

(31 Publications)

Rabbit Recombinant Monoclonal RENT1/hUPF1 antibody. Suitable for IHC-P, IP, WB, ICC/IF, Flow Cyt (Intra) and reacts with Human, Mouse samples. Cited in 31 publications.

查看别名

KIAA0221, RENT1, UPF1, Regulator of nonsense transcripts 1, ATP-dependent helicase RENT1, Nonsense mRNA reducing factor 1, Up-frameshift suppressor 1 homolog, NORF1, hUpf1

12 Images
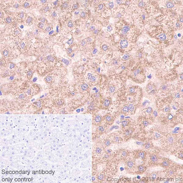
Immunohistochemistry (Formalin/PFA-fixed paraffin-embedded sections) - Anti-RENT1/hUPF1 antibody [EPR4681] (AB109363)
  • IHC-P

Unknown

Immunohistochemistry (Formalin/PFA-fixed paraffin-embedded sections) - Anti-RENT1/hUPF1 antibody [EPR4681] (AB109363)

Immunohistochemistry (Formalin/PFA-fixed paraffin-embedded sections) analysis of Human liver tissue sections labeling RENT1/hUPF1 with Purified ab109363 at 1 : 100 dilution (5.14 μg/ml). Heat mediated antigen retrieval was performed using ab93684 (Tris/EDTA buffer, pH 9.0). ImmunoHistoProbe one step HRP Polymer (ready to use) was used as the secondary antibody. Negative control : PBS instead of the primary antibody. Hematoxylin was used as a counterstain.

Immunocytochemistry/ Immunofluorescence - Anti-RENT1/hUPF1 antibody [EPR4681] (AB109363)
  • ICC/IF

Unknown

Immunocytochemistry/ Immunofluorescence - Anti-RENT1/hUPF1 antibody [EPR4681] (AB109363)

Immunocytochemistry/ Immunofluorescence analysis of HeLa (Human cervix adenocarcinoma epithelial cell) cells labeling RENT1/hUPF1 with Purified ab109363 at 1 : 100 dilution (5.1 μg/ml). Cells were fixed in 100% Methanol and permeabilized with None. Cells were counterstained with ab195889 Anti-alpha Tubulin antibody [DM1A] - Microtubule Marker (Alexa Fluor® 594) 1 : 200 (2.5 μg/ml). Goat anti rabbit IgG (Alexa Fluor® 488, ab150077) was used as the secondary antibody at 1 : 1000 (2 μg/ml) dilution. DAPI nuclear counterstain. PBS instead of the primary antibody was used as the secondary antibody only control.

Flow Cytometry (Intracellular) - Anti-RENT1/hUPF1 antibody [EPR4681] (AB109363)
  • Flow Cyt (Intra)

Unknown

Flow Cytometry (Intracellular) - Anti-RENT1/hUPF1 antibody [EPR4681] (AB109363)

Intracellular Flow Cytometry analysis of HeLa (Human cervix adenocarcinoma epithelial cell) cells labeling RENT1/hUPF1 with Purified ab109363 at 1/50 dilution (10μg/ml) (red). Cells were fixed with 4% Paraformaldehyde. A Goat anti rabbit IgG (Alexa Fluorr® 488, ab150077) secondary antibody was used at 1/2000. Isotype control - Rabbit monoclonal IgG (Black). Unlabeled control - Cell without incubation with primary antibody and secondary antibody (Blue).

Flow Cytometry (Intracellular) - Anti-RENT1/hUPF1 antibody [EPR4681] (AB109363)
  • Flow Cyt (Intra)

Unknown

Flow Cytometry (Intracellular) - Anti-RENT1/hUPF1 antibody [EPR4681] (AB109363)

Overlay histogram showing HeLa cells stained with ab109363 (red line). The cells were fixed with 4% paraformaldehyde (10 min) and then permeabilized with 0.1% PBS-Tween for 20 min. The cells were then incubated in 1x PBS / 10% normal goat serum / 0.3M glycine to block non-specific protein-protein interactions followed by the antibody (ab109363, 1/100 dilution) for 30 min at 22°C. The secondary antibody used was DyLight® 488 goat anti-rabbit IgG (H+L) (ab96899) at 1/500 dilution for 30 min at 22°C. Isotype control antibody (black line) was rabbit IgG (monoclonal) (1μg/1x106 cells) used under the same conditions. Acquisition of >5,000 events was performed. This antibody gave a positive signal in HeLa cells fixed with 80% methanol (5 min)/permeabilized with 0.1% PBS-Tween for 20 min used under the same conditions.

This image was generated using the unpurified version of the product.

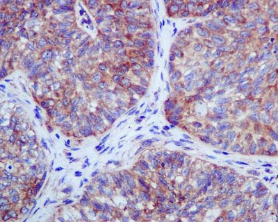
Immunohistochemistry (Formalin/PFA-fixed paraffin-embedded sections) - Anti-RENT1/hUPF1 antibody [EPR4681] (AB109363)
  • IHC-P

Unknown

Immunohistochemistry (Formalin/PFA-fixed paraffin-embedded sections) - Anti-RENT1/hUPF1 antibody [EPR4681] (AB109363)

ab109363, at 1/100, staining RENT1/hUPF1 in Human transitional cell carcinoma tissue by immunohistochemistry.

This image was generated using the unpurified version of the product.

Heat mediated antigen retrieval was performed with citrate buffer pH 6 before commencing with IHC staining protocol.

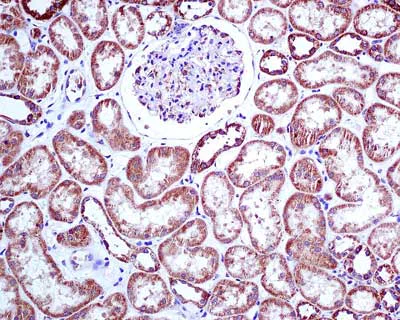
Immunohistochemistry (Formalin/PFA-fixed paraffin-embedded sections) - Anti-RENT1/hUPF1 antibody [EPR4681] (AB109363)
  • IHC-P

Unknown

Immunohistochemistry (Formalin/PFA-fixed paraffin-embedded sections) - Anti-RENT1/hUPF1 antibody [EPR4681] (AB109363)

ab109363, at 1/100, staining RENT1/hUPF1 in Human kidney tissue by immunohistochemistry.

This image was generated using the unpurified version of the product.

Heat mediated antigen retrieval was performed with citrate buffer pH 6 before commencing with IHC staining protocol.

Immunocytochemistry/ Immunofluorescence - Anti-RENT1/hUPF1 antibody [EPR4681] (AB109363)
  • ICC/IF

Unknown

Immunocytochemistry/ Immunofluorescence - Anti-RENT1/hUPF1 antibody [EPR4681] (AB109363)

ab109363, at 1/100, staining RENT1/hUPF1 in HeLa cells by immunofluorescence.

This image was generated using the unpurified version of the product.

Immunocytochemistry/ Immunofluorescence - Anti-RENT1/hUPF1 antibody [EPR4681] (AB109363)
  • ICC/IF

Lab

Immunocytochemistry/ Immunofluorescence - Anti-RENT1/hUPF1 antibody [EPR4681] (AB109363)

Immunocytochemistry/Immunofluorescence analysis of HeLa (human cervix adenocarcinoma) cells labelling RENT1/hUPF1 with purified ab109363 at 1/500. Cells were fixed with 100% methanol. ab150077 Alexa Fluor® 488-conjugated goat anti-rabbit IgG (1/1000) was used as the secondary antibody. Nuclei were counterstained with DAPI (blue).

Secondary Only Control : PBS was used instead of the primary antibody as the negative control

This image was generated using the unpurified version of the product.

Immunoprecipitation - Anti-RENT1/hUPF1 antibody [EPR4681] (AB109363)
  • IP

Unknown

Immunoprecipitation - Anti-RENT1/hUPF1 antibody [EPR4681] (AB109363)

ab109363 (purified) at 1 : 30 dilution (2μg) immunoprecipitating RENT1/hUPF1 in Raji whole cell lysate.
Lane 1 (input) : Raji (Human Burkitt's lymphoma B lymphocyte) whole cell lysate 10μg
Lane 2 (+) : ab109363 & Raji whole cell lysate
Lane 3 (-) : Rabbit monoclonal IgG (ab172730) instead of ab109363 in Raji whole cell lysate
For western blotting, VeriBlot for IP Detection Reagent (HRP) (ab131366) was used for detection at 1 : 1000 dilution.
Blocking and diluting buffer : 5% NFDM/TBST.

All lanes:

Immunoprecipitation - Anti-RENT1/hUPF1 antibody [EPR4681] (ab109363)

Predicted band size: 124 kDa

false

Western blot - Anti-RENT1/hUPF1 antibody [EPR4681] (AB109363)
  • WB

Unknown

Western blot - Anti-RENT1/hUPF1 antibody [EPR4681] (AB109363)

This image was generated using the unpurified version of the product.

All lanes:

Western blot - Anti-RENT1/hUPF1 antibody [EPR4681] (ab109363) at 1/10000 dilution

Lane 1:

HuT-78 cell lysate at 10 µg

Lane 2:

Raji cell lysate at 10 µg

Lane 3:

SH-SY5Y cell lysate at 10 µg

Lane 4:

HeLa cell lysate at 10 µg

Predicted band size: 124 kDa

false

Western blot - Anti-RENT1/hUPF1 antibody [EPR4681] (AB109363)
  • WB

Lab

Western blot - Anti-RENT1/hUPF1 antibody [EPR4681] (AB109363)

All lanes:

Western blot - Anti-RENT1/hUPF1 antibody [EPR4681] (ab109363) at 1/10000 dilution

Lane 1:

HuT-78 (Human Sezary syndrome cutaneous T lymphocyte) whole cell lysates at 20 µg

Lane 2:

NIH/3T3 (Mouse embryonic fibroblast) whole cell lysates at 20 µg

Secondary

All lanes:

Western blot - Goat Anti-Rabbit IgG H&L (HRP) (<a href='/products/secondary-antibodies/goat-rabbit-igg-h-l-hrp-ab97051'>ab97051</a>) at 1/20000 dilution

Predicted band size: 124 kDa

Observed band size: 130 kDa

false

Western blot - Anti-RENT1/hUPF1 antibody [EPR4681] (AB109363)
  • WB

CiteAb

Western blot - Anti-RENT1/hUPF1 antibody [EPR4681] (AB109363)

RENT1/hUPF1 western blot using anti-RENT1/hUPF1 antibody [EPR4681] ab109363. Publication image and figure legend from Mooney, C. M., Jiménez-Mateos, E. M., et al., 2017, Sci Rep, PubMed 28128343.

ab109363 was used in this publication in western blot. This may not be the same as the application(s) guaranteed by Abcam. For a full list of applications guaranteed by Abcam for ab109363 please see the product overview.

NMD proteins are increased after SE in mice and Upf1 is increased in human TLE samples.(a–d) Protein levels of Upf1, phosho-Upf1 (p-Upf1), Upf2 and Upf3b in the ipsilateral hippocampus in control (C) mice and at 1, 4, 8 and 24 hours (h) after SE were analysed by western blot and semi-quantified. (a) Upf1 levels significantly increased 8 and 24 h after SE (n = 4/group; ANOVA, Dunnett's posthoc test ***p < 0.001, **p < 0.01). (b) p-Upf1 levels significantly increased 8 and 24 h after SE (n = 5/group; ANOVA, Dunnett's posthoc test *p < 0.05 compared to control. (c) Upf2 levels were increased 8 h after SE (n = 4/group; ANOVA, Dunnett's posthoc test *p < 0.05 compared to control). (d) Upf3b levels did not change after SE (n = 4/group; ANOVA, Dunnett's posthoc test p = 0.88). (e) Upf1 protein levels were significantly higher in TLE patients with hippocampal sclerosis (HS) compared to post-mortem controls and TLE patients without HS (Controls n = 6; TLE without HS n = 3, TLE with HS n = 3; ANOVA with Bonferroni post-hoc test comparing all columns; p = 0.0072). Representative blots have been cropped to reduce unnecessary area.

false

不同偶联物与剂型 (4)

  • 665 Alexa Fluor® 647

    Alexa Fluor® 647 Anti-RENT1/hUPF1 antibody [EPR4681]

  • HRP

    HRP Anti-RENT1/hUPF1 antibody [EPR4681]

  • 519 Alexa Fluor® 488

    Alexa Fluor® 488 Anti-RENT1/hUPF1 antibody [EPR4681]

  • Carrier free

    Anti-RENT1/hUPF1 antibody [EPR4681] - BSA and Azide free

关键信息

宿主种属

Rabbit

克隆

Monoclonal

克隆号

EPR4681

亚型

IgG

不含载体蛋白

No

反应种属

Mouse, Human

应用

ICC/IF, IHC-P, WB, Flow Cyt (Intra), IP

applications

免疫原

The exact immunogen used to generate this antibody is proprietary information.

特异性

The mouse recommendation is based on the WB results. We do not guarantee IHC-P for mouse.

反应性数据

{ "title": "Reactivity Data", "filters": { "stats": ["", "Species", "Dilution Info", "Notes"], "tabs": { "all-applications": {"fullname" : "All Applications", "shortname": "All Applications"}, "IHCP" : {"fullname" : "Immunohistochemistry (Formalin/PFA-fixed paraffin-embedded sections)", "shortname":"IHC-P"}, "IP" : {"fullname" : "Immunoprecipitation", "shortname":"IP"}, "WB" : {"fullname" : "Western blot", "shortname":"WB"}, "ICCIF" : {"fullname" : "Immunocytochemistry/ Immunofluorescence", "shortname":"ICC/IF"}, "FlowCytIntra" : {"fullname" : "Flow Cytometry (Intracellular)", "shortname":"Flow Cyt (Intra)"} }, "product-promise": { "all": "all", "testedAndGuaranteed": "tested", "guaranteed": "expected", "predicted": "predicted", "notRecommended": "not-recommended" } }, "values": { "Human": { "IHCP-species-checked": "testedAndGuaranteed", "IHCP-species-dilution-info": "1/100 - 1/250", "IHCP-species-notes": "<p>The mouse recommendation is based on the WB results. We do not guarantee IHC-P for mouse.</p>", "IP-species-checked": "testedAndGuaranteed", "IP-species-dilution-info": "1/10 - 1/100", "IP-species-notes": "<p></p>", "WB-species-checked": "testedAndGuaranteed", "WB-species-dilution-info": "1/10000 - 1/50000", "WB-species-notes": "<p></p>", "ICCIF-species-checked": "testedAndGuaranteed", "ICCIF-species-dilution-info": "1/500", "ICCIF-species-notes": "<p><strong>For unpurified use at 1/100 - 1/250. </strong></p>", "FlowCytIntra-species-checked": "testedAndGuaranteed", "FlowCytIntra-species-dilution-info": "1/10 - 1/100", "FlowCytIntra-species-notes": "<p><a href='/products/primary-antibodies/rabbit-igg-monoclonal-epr25a-isotype-control-ab172730'>ab172730</a> - Rabbit monoclonal IgG, is suitable for use as an isotype control with this antibody.</p>" }, "Mouse": { "IHCP-species-checked": "guaranteed", "IHCP-species-dilution-info": "", "IHCP-species-notes": "", "IP-species-checked": "guaranteed", "IP-species-dilution-info": "", "IP-species-notes": "", "WB-species-checked": "testedAndGuaranteed", "WB-species-dilution-info": "1/10000 - 1/50000", "WB-species-notes": "<p></p>", "ICCIF-species-checked": "guaranteed", "ICCIF-species-dilution-info": "", "ICCIF-species-notes": "", "FlowCytIntra-species-checked": "guaranteed", "FlowCytIntra-species-dilution-info": "", "FlowCytIntra-species-notes": "" } } }

产品详情

Patented technology
Our RabMAb® technology is a patented hybridoma-based technology for making rabbit monoclonal antibodies. For details on our patents, please refer to RabMAb® patents.

What are the advantages of a recombinant monoclonal antibody?
This product is a recombinant monoclonal antibody, which offers several advantages including:

  • - High batch-to-batch consistency and reproducibility
  • - Improved sensitivity and specificity
  • - Long-term security of supply
  • - Animal-free batch production

For more information, read more on recombinant antibodies.

Species reactivity
Rat: We have preliminary internal testing data to indicate this antibody may not react with this species.
Please contact us for more information.

性能和储存信息

形式
Liquid
纯化工艺
Affinity purification Protein A
存储溶液
pH: 7.2 - 7.4 Preservative: 0.01% Sodium azide Constituents: PBS, 40% Glycerol (glycerin, glycerine), 0.05% BSA
运输条件
Blue Ice
推荐的短期储存时间
1-2 weeks
推荐的短期储存条件
+4°C
推荐的长期储存条件
-20°C
分装信息
Upon delivery aliquot
储存信息
Stable for 12 months at -20°C

补充信息

This supplementary information is collated from multiple sources and compiled automatically.

RENT1/hUPF1 also known as regulator of nonsense transcripts 1 or human UPF1 is an important factor in RNA surveillance mechanisms. It is an ATP-dependent helicase with a molecular mass of approximately 130 kDa. This protein is ubiquitously expressed in various tissues highlighting its importance across different biological systems. Mechanically UPF1 plays an essential role in the nonsense-mediated mRNA decay (NMD) pathway where it interacts with other core NMD factors to identify and degrade mRNAs containing premature stop codons.
Biological function summary

RENT1/hUPF1 ensures the quality control of mRNA by facilitating the rapid degradation of defective transcripts and thereby preventing the synthesis of potentially harmful truncated proteins. As part of the NMD complex UPF1 partners with proteins like UPF2 and UPF3 to form a surveillance mechanism that maintains cellular homeostasis. The complex cooperates to distinguish transcripts that require elimination from those necessary for normal cellular function.

Pathways

RENT1/hUPF1 integrates into essential cellular pathways beyond just NMD. The protein also links to the mRNA decay and translation initiation pathways playing significant roles alongside proteins such as SMG1 and eRF1. In these pathways UPF1 regulates gene expression by modulating mRNA stability and protein synthesis ensuring that only correctly processed mRNAs translate into proteins.

RENT1/hUPF1 connects to conditions like neurodevelopmental disorders and cancer. Dysregulation of UPF1 activity can lead to improper mRNA decay contributing to the accumulation of faulty transcripts which may drive disease pathogenesis. In particular UPF1 alterations are linked to the disruption of pathways involving key proteins like p53 which are critical in tumor suppression. Understanding UPF1's role in these disorders could present opportunities for therapeutic interventions.

产品实验方案

For this product, it's our understanding that no specific protocols are required. You can visit:

靶点信息

RNA-dependent helicase required for nonsense-mediated decay (NMD) of aberrant mRNAs containing premature stop codons and modulates the expression level of normal mRNAs (PubMed : 11163187, PubMed : 16086026, PubMed : 18172165, PubMed : 21145460, PubMed : 21419344, PubMed : 24726324). Is recruited to mRNAs upon translation termination and undergoes a cycle of phosphorylation and dephosphorylation; its phosphorylation appears to be a key step in NMD (PubMed : 11544179, PubMed : 25220460). Recruited by release factors to stalled ribosomes together with the SMG1C protein kinase complex to form the transient SURF (SMG1-UPF1-eRF1-eRF3) complex (PubMed : 19417104). In EJC-dependent NMD, the SURF complex associates with the exon junction complex (EJC) (located 50-55 or more nucleotides downstream from the termination codon) through UPF2 and allows the formation of an UPF1-UPF2-UPF3 surveillance complex which is believed to activate NMD (PubMed : 21419344). Phosphorylated UPF1 is recognized by EST1B/SMG5, SMG6 and SMG7 which are thought to provide a link to the mRNA degradation machinery involving exonucleolytic and endonucleolytic pathways, and to serve as adapters to protein phosphatase 2A (PP2A), thereby triggering UPF1 dephosphorylation and allowing the recycling of NMD factors (PubMed : 12554878). UPF1 can also activate NMD without UPF2 or UPF3, and in the absence of the NMD-enhancing downstream EJC indicative for alternative NMD pathways (PubMed : 18447585). Plays a role in replication-dependent histone mRNA degradation at the end of phase S; the function is independent of UPF2 (PubMed : 16086026, PubMed : 18172165). For the recognition of premature termination codons (PTC) and initiation of NMD a competitive interaction between UPF1 and PABPC1 with the ribosome-bound release factors is proposed (PubMed : 18447585, PubMed : 25220460). The ATPase activity of UPF1 is required for disassembly of mRNPs undergoing NMD (PubMed : 21145460). Together with UPF2 and dependent on TDRD6, mediates the degradation of mRNA harboring long 3'UTR by inducing the NMD machinery (By similarity). Also capable of unwinding double-stranded DNA and translocating on single-stranded DNA (PubMed : 30218034).
See full target information UPF1

文献 (31)

Recent publications for all applications. Explore the full list and refine your search

The Journal of biological chemistry 301:110418 PubMed40570961

2025

Functional investigation of the RNA helicase MOV10 with respect to its interplay with factors involved in nonsense-mediated mRNA decay.

Applications

Unspecified application

Species

Unspecified reactive species

Guangpu Xue,Gabriel P Faber,Lea S Pommerening,Megha Mallick,Aditi Gupta,Markus C Wahl,Yaron Shav-Tal,Sutapa Chakrabarti

Molecular medicine (Cambridge, Mass.) 30:155 PubMed39300342

2024

CircMAPK1 induces cell pyroptosis in sepsis-induced lung injury by mediating KDM2B mRNA decay to epigenetically regulate WNK1.

Applications

Unspecified application

Species

Unspecified reactive species

Min Li,Hanjing Lu,Chujun Ruan,Qiao Ke,Longhui Hu,Zhao Li,Xiaoran Liu

Andrology 13:1270-1284 PubMed38847152

2024

Homozygous deleterious variants in the C-terminal of TDRD5 impair spermiogenesis, causing severe oligoasthenoteratozoospermia in humans.

Applications

Unspecified application

Species

Unspecified reactive species

Rui Guo,Biao Ding,Kaiqin Hu,Kai Wang,Dongdong Tang,Xuegu Wang,Junpei Sun,KuoKuo Li,Huiru Cheng,Chuan Xu,Miao Sun,Likui Lu,Mingxi Liu,Yunxia Cao,Xiaoyu Yang,Xiaojin He

Nucleic acids research 52:6036-6048 PubMed38709891

2024

UPF1 helicase orchestrates mutually exclusive interactions with the SMG6 endonuclease and UPF2.

Applications

Unspecified application

Species

Unspecified reactive species

Lukas M Langer,Katharina Kurscheidt,Jérôme Basquin,Fabien Bonneau,Iuliia Iermak,Claire Basquin,Elena Conti

Cell cycle (Georgetown, Tex.) 22:1900-1920 PubMed37603831

2023

is a key factor regulating reticulophagy-mediated ferroptosis in hepatocellular carcinoma.

Applications

Unspecified application

Species

Unspecified reactive species

Tao Bi,Qianqian Lu,Xiaohong Pan,Fenglin Dong,Yejia Hu,Zongzhen Xu,Peng Xiu,Zhiqian Liu,Jie Li

PLoS pathogens 19:e1011070 PubMed36603024

2023

Nuclear accumulation of host transcripts during Zika Virus Infection.

Applications

Unspecified application

Species

Unspecified reactive species

Kristoffer E Leon,Mir M Khalid,Ryan A Flynn,Krystal A Fontaine,Thong T Nguyen,G Renuka Kumar,Camille R Simoneau,Sakshi Tomar,David Jimenez-Morales,Mariah Dunlap,Julia Kaye,Priya S Shah,Steven Finkbeiner,Nevan J Krogan,Carolyn Bertozzi,Jan E Carette,Melanie Ott

Cell death & disease 13:645 PubMed35871061

2022

UPF1/circRPPH1/ATF3 feedback loop promotes the malignant phenotype and stemness of GSCs.

Applications

Unspecified application

Species

Unspecified reactive species

Jinkun Xu,Guoqing Zhang,Jinpeng Hu,Hao Li,Junshuang Zhao,Shengliang Zong,Zhengting Guo,Yang Jiang,Zhitao Jing

Technology in cancer research & treatment 20:15330338211064438 PubMed34939866

2021

Up-frameshift Protein 1 Promotes Tumor Progression by Regulating Apoptosis and Epithelial-Mesenchymal Transition of Colorectal Cancer.

Applications

Unspecified application

Species

Unspecified reactive species

Binlie Chen,Huaiming Wang,Danfeng Li,Xiaosheng Lin,Zhiyan Ma,Yongming Zeng

Cancer discovery 12:522-541 PubMed34615655

2021

Sex-Biased Mutations in Myeloid Malignancies Impair Plasmacytoid Dendritic Cell Activation and Apoptosis.

Applications

Unspecified application

Species

Unspecified reactive species

Katsuhiro Togami,Sun Sook Chung,Vikas Madan,Christopher A G Booth,Christopher M Kenyon,Lucia Cabal-Hierro,Justin Taylor,Sunhee S Kim,Gabriel K Griffin,Mahmoud Ghandi,Jia Li,Yvonne Y Li,Fanny Angelot-Delettre,Sabeha Biichle,Michael Seiler,Silvia Buonamici,Scott B Lovitch,Abner Louissaint,Elizabeth A Morgan,Fabrice Jardin,Pier Paolo Piccaluga,David M Weinstock,Peter S Hammerman,Henry Yang,Marina Konopleva,Naveen Pemmaraju,Francine Garnache-Ottou,Omar Abdel-Wahab,H Phillip Koeffler,Andrew A Lane

Cell cycle (Georgetown, Tex.) 20:1642-1652 PubMed34382908

2021

LncRNA APOA1-AS facilitates proliferation and migration and represses apoptosis of VSMCs through TAF15-mediated SMAD3 mRNA stabilization.

Applications

Unspecified application

Species

Unspecified reactive species

Jixiang Wang,Ying Cai,Hui Lu,Fugeng Zhang,Junyi Zheng
View all publications

Abcam Product Promise

我们致力于为您的研究提供高质量的试剂,为您科研的每一步提供支持。若我们的产品未能达到预期性能,我们向您提供 Abcam Product Promise 保障。
详情请参阅我们的条款与条件。

Please note: All products are 'FOR RESEARCH USE ONLY. NOT FOR USE IN DIAGNOSTIC OR THERAPEUTIC PROCEDURES'.

For licensing inquiries, please contact partnerships@abcam.com