JavaScript is disabled in your browser. Please enable JavaScript to view this website.
AB200202

重组Anti-RBMY1A1抗体[R12508(2)]

Anti-RBMY1A1 antibody [R12508(2)]

Be the first to review this product! Submit a review

|

(1 Publication)

Rabbit Recombinant Monoclonal RBMY1A1 antibody. Suitable for WB, IHC-P and reacts with Human samples. Cited in 1 publication.

查看别名

RBM1, RBM2, YRRM1, YRRM2, RBMY1A1, RNA-binding motif protein 1, RNA-binding motif protein 2, Y chromosome RNA recognition motif 1, hRBMY

3 Images
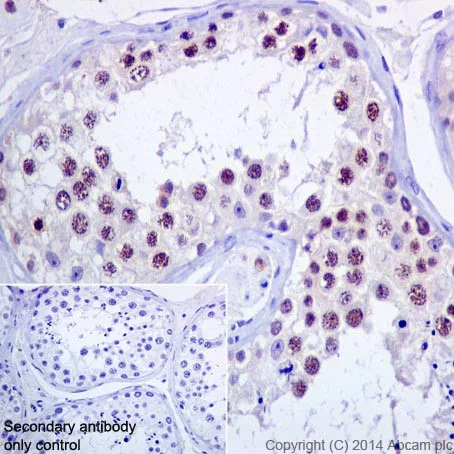
Immunohistochemistry (Formalin/PFA-fixed paraffin-embedded sections) - Anti-RBMY1A1 antibody [R12508(2)] (AB200202)
  • IHC-P

Supplier Data

Immunohistochemistry (Formalin/PFA-fixed paraffin-embedded sections) - Anti-RBMY1A1 antibody [R12508(2)] (AB200202)

Immunohistochemical analysis of paraffin-embedded Human testis tissue labeling RBMY1A1 with ab200202 at 1/4000 dilution followed by Goat Anti-Rabbit IgG H&L (HRP) (ab97051) at 1/500 dilution. Nucleus staining of Human testis tissue is observed. Counter stained with Hematoxylin.

Secondary antibody only control : Used PBS instead of primary antibody secondary antibody is Goat Anti-Rabbit IgG H&L (HRP) (ab97051) at 1/500 dilution.

Perform heat mediated antigen retrieval with Tris/EDTA buffer pH 9.0 before commencing with IHC staining protocol.

Immunohistochemistry (Formalin/PFA-fixed paraffin-embedded sections) - Anti-RBMY1A1 antibody [R12508(2)] (AB200202)
  • IHC-P

Supplier Data

Immunohistochemistry (Formalin/PFA-fixed paraffin-embedded sections) - Anti-RBMY1A1 antibody [R12508(2)] (AB200202)

Immunohistochemical analysis of paraffin-embedded Human liver tissue with ab200202 at 1/4000 dilution followed by Goat Anti-Rabbit IgG H&L (HRP) (ab97051) at 1/500 dilution. Counter stained with Hematoxylin.

Secondary antibody only control : Used PBS instead of primary antibody secondary antibody is Goat Anti-Rabbit IgG H&L (HRP) (ab97051) at 1/500 dilution.

Please note Human liver tissue represents a RBMY1A1 negative control.

Perform heat mediated antigen retrieval with Tris/EDTA buffer pH 9.0 before commencing with IHC staining protocol.

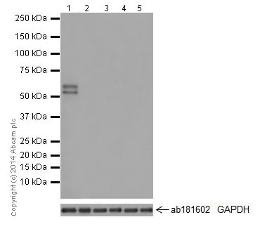
Western blot - Anti-RBMY1A1 antibody [R12508(2)] (AB200202)
  • WB

Supplier Data

Western blot - Anti-RBMY1A1 antibody [R12508(2)] (AB200202)

Please note lanes 2-5 represent RBMY1A1 negative lysates.

Based on sequence analysis, ab200202 recognizes 2 isoforms with the predicted MWs of 56KDa and 51KDa respectively. Sequence analysis also showed a 100% homology with RBY1F, RBY1E, RBY1D, RBY1C and RBY1B.

Blocking/Dilution buffer : 5% NFDM/TBST.

All lanes:

Western blot - Anti-RBMY1A1 antibody [R12508(2)] (ab200202) at 1/1000 dilution

Lane 1:

Human testis lysate at 10 µg

Lane 2:

Human fetal brain tissue lysate at 10 µg

Lane 3:

Human fetal heart tissue lysate at 10 µg

Lane 4:

Human fetal kidney tissue lysate at 10 µg

Lane 5:

Human fetal spleen tissue lysate at 10 µg

Secondary

All lanes:

Anti-Rabbit IgG (HRP), specific to the non-reduced form of IgG at 1/1000 dilution

Predicted band size: 56 kDa

Observed band size: 51 kDa,56 kDa

false

Exposure time: 5s

关键信息

宿主种属

Rabbit

克隆

Monoclonal

克隆号

R12508(2)

亚型

IgG

不含载体蛋白

No

反应种属

Human

应用

WB, IHC-P

applications

免疫原

The exact immunogen used to generate this antibody is proprietary information.

特异性

Based on sequence analysis, ab200202 recognizes 2 isoforms with the predicted MWs of 56KDa and 51KDa respectively. Sequence analysis also showed a 100% homology with RBY1F, RBY1E, RBY1D, RBY1C and RBY1B.

反应性数据

{ "title": "Reactivity Data", "filters": { "stats": ["", "Species", "Dilution Info", "Notes"], "tabs": { "all-applications": {"fullname" : "All Applications", "shortname": "All Applications"}, "WB" : {"fullname" : "Western blot", "shortname":"WB"}, "IHCP" : {"fullname" : "Immunohistochemistry (Formalin/PFA-fixed paraffin-embedded sections)", "shortname":"IHC-P"} }, "product-promise": { "all": "all", "testedAndGuaranteed": "tested", "guaranteed": "expected", "predicted": "predicted", "notRecommended": "not-recommended" } }, "values": { "Human": { "WB-species-checked": "testedAndGuaranteed", "WB-species-dilution-info": "1/1000", "WB-species-notes": "<p></p>", "IHCP-species-checked": "testedAndGuaranteed", "IHCP-species-dilution-info": "1/4000", "IHCP-species-notes": "<p></p>" } } }

产品详情

Patented technology
Our RabMAb® technology is a patented hybridoma-based technology for making rabbit monoclonal antibodies. For details on our patents, please refer to RabMAb® patents.

What are the advantages of a recombinant monoclonal antibody?
This product is a recombinant monoclonal antibody, which offers several advantages including:

  • - High batch-to-batch consistency and reproducibility
  • - Improved sensitivity and specificity
  • - Long-term security of supply
  • - Animal-free batch production

For more information, read more on recombinant antibodies.

性能和储存信息

形式
Liquid
纯化工艺
Affinity purification Protein A
存储溶液
pH: 7.2 - 7.4 Preservative: 0.01% Sodium azide Constituents: PBS, 40% Glycerol (glycerin, glycerine), 0.05% BSA
运输条件
Blue Ice
推荐的短期储存时间
1-2 weeks
推荐的短期储存条件
+4°C
推荐的长期储存条件
-20°C
分装信息
Upon delivery aliquot
储存信息
Avoid freeze / thaw cycle

补充信息

This supplementary information is collated from multiple sources and compiled automatically.

RBMY1A1 also known as RNA-binding motif protein Y chromosome family 1 member A1 is a protein with a molecular mass of about 47 kDa. It is expressed predominantly in the testis playing an important role in male germ cell development. The protein functions mechanically by binding to RNA featuring an RNA recognition motif that facilitates its role in RNA processing. Its localization to the nucleus highlights its function in post-transcriptional regulation.
Biological function summary

RBMY1A1 contributes to spermatogenesis by participating in the regulation of RNA splicing and stability. It is part of a larger complex of proteins that associate with RNA impacting gene expression in male germ cells. The protein interacts with other splicing factors influencing the alternative splicing of pre-mRNAs essential for spermatogenic processes. This highlights RBMY1A1's specific role in sperm development and functioning.

Pathways

The involvement of RBMY1A1 is significant in the mRNA processing pathway. It connects with proteins like hnRNPGT and other spliceosomal components. RBMY1A1’s interaction in this pathway helps in the formation of messenger ribonucleoprotein complexes which are necessary for the maturation and transport of mRNA molecules. Its activity is important in maintaining the integrity of gene expression regulation in spermatogenic cells intertwining with broader pathways of male fertility.

RBMY1A1 has been implicated in cases of azoospermia a condition characterized by the absence of sperm in semen. This condition associates with its critical role in fertility where loss or malfunction correlates with impaired sperm production. Moreover RBMY1A1 has links to testicular germ cell tumors where abnormal expression and mutations have been observed. It also interacts with other proteins like DAZL which is another factor associated with reproductive health emphasizing its relevance in male reproductive disorders.

产品实验方案

For this product, it's our understanding that no specific protocols are required. You can visit:

靶点信息

RNA-binding protein involved in pre-mRNA splicing. Required for sperm development. Acts additively with TRA2B to promote exon 7 inclusion of the survival motor neuron SMN. Binds non-specifically to mRNAs.
See full target information RBMY1A1

文献 (1)

Recent publications for all applications. Explore the full list and refine your search

Molecular metabolism 90:102047 PubMed39419476

2024

Distinct roles for the domains of the mitochondrial aspartate/glutamate carrier citrin in organellar localization and substrate transport.

Applications

Unspecified application

Species

Unspecified reactive species

Sotiria Tavoulari,Denis Lacabanne,Gonçalo C Pereira,Chancievan Thangaratnarajah,Martin S King,Jiuya He,Suvagata R Chowdhury,Lisa Tilokani,Shane M Palmer,Julien Prudent,John E Walker,Edmund R S Kunji
View all publications

Abcam Product Promise

我们致力于为您的研究提供高质量的试剂,为您科研的每一步提供支持。若我们的产品未能达到预期性能,我们向您提供 Abcam Product Promise 保障。
详情请参阅我们的条款与条件。

Please note: All products are 'FOR RESEARCH USE ONLY. NOT FOR USE IN DIAGNOSTIC OR THERAPEUTIC PROCEDURES'.

For licensing inquiries, please contact partnerships@abcam.com