JavaScript is disabled in your browser. Please enable JavaScript to view this website.
AB12325

Anti-RBM14抗体

Anti-RBM14 antibody

Be the first to review this product! Submit a review

|

(2 Publications)

Rabbit Polyclonal RBM14 antibody. Suitable for IHC-P, WB and reacts with Human samples. Cited in 2 publications. Immunogen corresponding to Synthetic Peptide within Human RBM14 aa 150-200.

查看别名

SIP, RBM14, RNA-binding protein 14, Paraspeckle protein 2, RNA-binding motif protein 14, RRM-containing coactivator activator/modulator, Synaptotagmin-interacting protein, PSP2, SYT-interacting protein

2 Images
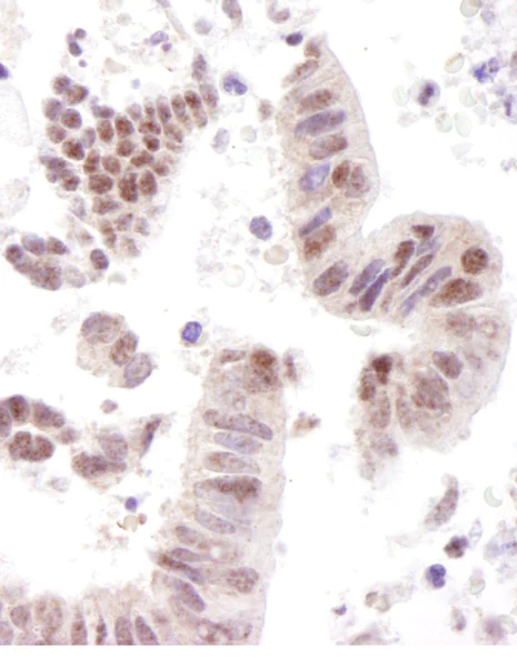
Immunohistochemistry (Formalin/PFA-fixed paraffin-embedded sections) - Anti-RBM14 antibody (AB12325)
  • IHC-P

Unknown

Immunohistochemistry (Formalin/PFA-fixed paraffin-embedded sections) - Anti-RBM14 antibody (AB12325)

Immunohistochemistry (Formalin/PFA-fixed paraffin-embedded sections) analysis of human stomach carcinoma tissue labelling RBM14 with ab12325 at 1/1000 (1µg/ml). Detection : DAB.

Western blot - Anti-RBM14 antibody (AB12325)
  • WB

Unknown

Western blot - Anti-RBM14 antibody (AB12325)

Detection of Human CoAA by Western Blot.

Samples : Nuclear extract (NE) from HeLa cells.

Antibody : ab12325 used at 0.3 mcg/ml. Detection : Chemiluminescence with an exposure time of 30 seconds.

Detection of Human CoAA by Western Blot. Samples : Nuclear extract (NE) from HeLa cells. Antibody : ab12325 used at 0.3 mcg/ml. Detection : Chemiluminescence with an exposure time of 30 seconds.

All lanes:

Western blot - Anti-RBM14 antibody (ab12325)

Predicted band size: 69 kDa

false

关键信息

宿主种属

Rabbit

克隆

Polyclonal

亚型

IgG

不含载体蛋白

No

反应种属

Human

应用

WB, IHC-P

applications

免疫原

Synthetic Peptide within Human RBM14 aa 150-200. The exact immunogen used to generate this antibody is proprietary information.

Q96PK6

反应性数据

{ "title": "Reactivity Data", "filters": { "stats": ["", "Species", "Dilution Info", "Notes"], "tabs": { "all-applications": {"fullname" : "All Applications", "shortname": "All Applications"}, "IHCP" : {"fullname" : "Immunohistochemistry (Formalin/PFA-fixed paraffin-embedded sections)", "shortname":"IHC-P"}, "WB" : {"fullname" : "Western blot", "shortname":"WB"} }, "product-promise": { "all": "all", "testedAndGuaranteed": "tested", "guaranteed": "expected", "predicted": "predicted", "notRecommended": "not-recommended" } }, "values": { "Human": { "IHCP-species-checked": "testedAndGuaranteed", "IHCP-species-dilution-info": "1/250 - 1/2000", "IHCP-species-notes": "<p></p> Perform heat-mediated antigen retrieval with citrate buffer pH 6 before commencing with IHC staining protocol.", "WB-species-checked": "testedAndGuaranteed", "WB-species-dilution-info": "1/1000 - 1/10000", "WB-species-notes": "<p>Prepare working dilutions immediately before use.</p>" }, "Chimpanzee": { "IHCP-species-checked": "predicted", "IHCP-species-dilution-info": "", "IHCP-species-notes": "", "WB-species-checked": "predicted", "WB-species-dilution-info": "", "WB-species-notes": "" }, "Gorilla": { "IHCP-species-checked": "predicted", "IHCP-species-dilution-info": "", "IHCP-species-notes": "", "WB-species-checked": "predicted", "WB-species-dilution-info": "", "WB-species-notes": "" }, "Guinea pig": { "IHCP-species-checked": "predicted", "IHCP-species-dilution-info": "", "IHCP-species-notes": "", "WB-species-checked": "predicted", "WB-species-dilution-info": "", "WB-species-notes": "" }, "Orangutan": { "IHCP-species-checked": "predicted", "IHCP-species-dilution-info": "", "IHCP-species-notes": "", "WB-species-checked": "predicted", "WB-species-dilution-info": "", "WB-species-notes": "" }, "Rhesus monkey": { "IHCP-species-checked": "predicted", "IHCP-species-dilution-info": "", "IHCP-species-notes": "", "WB-species-checked": "predicted", "WB-species-dilution-info": "", "WB-species-notes": "" } } }

性能和储存信息

形式
Liquid
纯化工艺
Affinity purification Immunogen
纯化说明
Purified using the peptide immobilized on solid support.
存储溶液
pH: 7 - 8 Preservative: 0.1% Sodium azide Constituents: 1.815% Tris, 1.764% Sodium citrate, 0.021% PBS
运输条件
Blue Ice
推荐的短期储存条件
+4°C
推荐的长期储存条件
-20°C
分装信息
Upon delivery aliquot
储存信息
Avoid freeze / thaw cycle

产品实验方案

For this product, it's our understanding that no specific protocols are required. You can visit:

靶点信息

Isoform 1 may function as a nuclear receptor coactivator, enhancing transcription through other coactivators such as NCOA6 and CITED1. Isoform 2, functions as a transcriptional repressor, modulating transcriptional activities of coactivators including isoform 1, NCOA6 and CITED1 (PubMed : 11443112). Regulates centriole biogenesis by suppressing the formation of aberrant centriolar protein complexes in the cytoplasm and thus preserving mitotic spindle integrity. Prevents the formation of the STIL-CENPJ complex (which can induce the formation of aberrant centriolar protein complexes) by interfering with the interaction of STIL with CENPJ (PubMed : 25385835). Plays a role in the regulation of DNA virus-mediated innate immune response by assembling into the HDP-RNP complex, a complex that serves as a platform for IRF3 phosphorylation and subsequent innate immune response activation through the cGAS-STING pathway (PubMed : 28712728). Also involved in the regulation of pre-mRNA alternative splicing (PubMed : 37548402).
See full target information RBM14

文献 (2)

Recent publications for all applications. Explore the full list and refine your search

The EMBO journal 34:97-114 PubMed25385835

2014

RBM14 prevents assembly of centriolar protein complexes and maintains mitotic spindle integrity.

Applications

Unspecified application

Species

Human

Gen Shiratsuchi,Katsuyoshi Takaoka,Tomoko Ashikawa,Hiroshi Hamada,Daiju Kitagawa

Journal of cellular biochemistry 108:378-87 PubMed19585539

2009

Co-activator activator (CoAA) prevents the transcriptional activity of Runt domain transcription factors.

Applications

Unspecified application

Species

Unspecified reactive species

Xiaodong Li,Luke H Hoeppner,Eric D Jensen,Rajaram Gopalakrishnan,Jennifer J Westendorf
View all publications

Abcam Product Promise

我们致力于为您的研究提供高质量的试剂,为您科研的每一步提供支持。若我们的产品未能达到预期性能,我们向您提供 Abcam Product Promise 保障。
详情请参阅我们的条款与条件。

关联产品

Select an associated product type
Alternative Product
Primary Antibodies

AB228692

Anti-RBM14 antibody - N-terminal

primary-antibodies

rbm14-antibody-n-terminal-ab228692

0

(0 reviews)

Alternative Product
Primary Antibodies

AB70636

Anti-RBM14 antibody

primary-antibodies

rbm14-antibody-ab70636

4

(2 reviews)

Please note: All products are 'FOR RESEARCH USE ONLY. NOT FOR USE IN DIAGNOSTIC OR THERAPEUTIC PROCEDURES'.

For licensing inquiries, please contact partnerships@abcam.com