JavaScript is disabled in your browser. Please enable JavaScript to view this website.
AB184796

重组Anti-Rb (phospho S807)抗体[EPR17732]

Anti-Rb (phospho S807) antibody [EPR17732]

5

(2 Reviews)

|

(36 Publications)

Anti-Rb (phospho S807) antibody [EPR17732] (ab184796) is a rabbit monoclonal antibody detecting Rb in Western Blot, IHC-P, ICC/IF, Dot Blot. Suitable for Human, Mouse, Rat.

- Biophysical QC for unrivalled batch-batch consistency
- Over 20 publications

查看别名

Retinoblastoma-associated protein, p105-Rb, p110-RB1, pRb, pp110, Rb, RB1

14 Images
Immunocytochemistry/ Immunofluorescence - Anti-Rb (phospho S807) antibody [EPR17732] (AB184796)
  • ICC/IF

Lab

Immunocytochemistry/ Immunofluorescence - Anti-Rb (phospho S807) antibody [EPR17732] (AB184796)

Immunofluorescent analysis of 4% Paraformaldehyde-fixed, 0.1% tritonX-100 permeabilized MCF7 (human breast adenocarcinoma cell line) cells, Serum starved and non-starved, labeling Rb (phospho S807) with ab184796 at 1/200 dilution followed by Goat anti-Rabbit secondary IgG AlexaFluor®488 (ab150077) secondary antibody at 1/1000 dilution (green).

Confocal image showing positive staining on MCF7 cells. The number of positive cells increased after treatment with FBS (fetal bovine serum) for 48 hours, then decreased after Lambda Protein Phosphatase treatment (31℃ for 2 hours ).

Immunohistochemistry (Formalin/PFA-fixed paraffin-embedded sections) - Anti-Rb (phospho S807) antibody [EPR17732] (AB184796)
  • IHC-P

Supplier Data

Immunohistochemistry (Formalin/PFA-fixed paraffin-embedded sections) - Anti-Rb (phospho S807) antibody [EPR17732] (AB184796)

Immunohistochemical analysis of paraffin-embedded human Squamous cells carcinoma of lung tissue labeling Rb (phospho S807) with ab184796 at 1/500 dilution, followed by Goat Anti-Rabbit IgG H&L (HRP) (ab97051) secondary antibody at 1/500 dilution. Nucleus staining on squamous cells carcinoma of lung is observed. Counter stained with Hematoxylin.

Secondary antibody only control : Used PBS instead of primary antibody, secondary antibody is Goat Anti-Rabbit IgG H&L (HRP) (ab97051) at 1/500 dilution.

Perform heat mediated antigen retrieval with Tris/EDTA buffer pH 9.0 before commencing with IHC staining protocol.

Immunohistochemistry (Formalin/PFA-fixed paraffin-embedded sections) - Anti-Rb (phospho S807) antibody [EPR17732] (AB184796)
  • IHC-P

Supplier Data

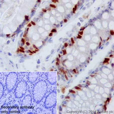
Immunohistochemistry (Formalin/PFA-fixed paraffin-embedded sections) - Anti-Rb (phospho S807) antibody [EPR17732] (AB184796)

Immunohistochemical analysis of paraffin-embedded Human colon tissue labeling Rb (phospho S807) with ab184796 at 1/500 dilution, followed by Goat Anti-Rabbit IgG H&L (HRP) (ab97051) secondary antibody at 1/500 dilution. Nucleus staining on epithelial cells of Human colon is observed. Counter stained with Hematoxylin.

Secondary antibody only control : Used PBS instead of primary antibody, secondary antibody is Goat Anti-Rabbit IgG H&L (HRP) (ab97051) at 1/500 dilution.

Perform heat mediated antigen retrieval with Tris/EDTA buffer pH 9.0 before commencing with IHC staining protocol.

Immunohistochemistry (Formalin/PFA-fixed paraffin-embedded sections) - Anti-Rb (phospho S807) antibody [EPR17732] (AB184796)
  • IHC-P

Supplier Data

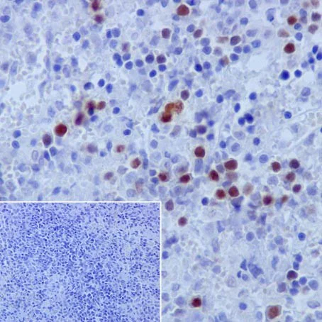
Immunohistochemistry (Formalin/PFA-fixed paraffin-embedded sections) - Anti-Rb (phospho S807) antibody [EPR17732] (AB184796)

Immunohistochemical analysis of paraffin-embedded rat spleen tissue labeling Rb (phospho S807) with ab184796 at 1/500 dilution, followed by Goat Anti-Rabbit IgG H&L (HRP) (ab97051) secondary antibody at 1/500 dilution. Nucleus staining on lymphocytes of rat spleen is observed. Counter stained with Hematoxylin.

Negative control : Used PBS instead of primary antibody, secondary antibody is Goat Anti-Rabbit IgG H&L (HRP) (ab97051) at 1/500 dilution.

Perform heat mediated antigen retrieval with Tris/EDTA buffer pH 9.0 before commencing with IHC staining protocol.

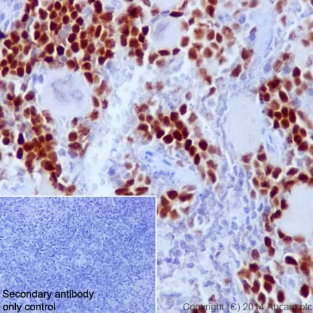
Immunohistochemistry (Formalin/PFA-fixed paraffin-embedded sections) - Anti-Rb (phospho S807) antibody [EPR17732] (AB184796)
  • IHC-P

Supplier Data

Immunohistochemistry (Formalin/PFA-fixed paraffin-embedded sections) - Anti-Rb (phospho S807) antibody [EPR17732] (AB184796)

Immunohistochemical analysis of paraffin-embedded mouse spleen tissue labeling Rb (phospho S807) with ab184796 at 1/500 dilution, followed by Goat Anti-Rabbit IgG H&L (HRP) (ab97051) secondary antibody at 1/500 dilution. Nucleus staining on lymphocytes of mouse spleen is observed. Counter stained with Hematoxylin.

Secondary antibody only control : Used PBS instead of primary antibody, secondary antibody is Goat Anti-Rabbit IgG H&L (HRP) (ab97051) at 1/500 dilution.

Perform heat mediated antigen retrieval with Tris/EDTA buffer pH 9.0 before commencing with IHC staining protocol.

Western blot - Anti-Rb (phospho S807) antibody [EPR17732] (AB184796)
  • WB

Supplier Data

Western blot - Anti-Rb (phospho S807) antibody [EPR17732] (AB184796)

Blocking/Dilution buffer : 5% NFDM/TBST.

All lanes:

Western blot - Anti-Rb (phospho S807) antibody [EPR17732] (ab184796) at 1/1000 dilution

All lanes:

MCF7 (human breast adenocarcinoma cell line) whole cell lysate at 10 µg

Secondary

All lanes:

Goat Anti-Rabbit IgG, (H+L),Peroxidase conjugated at 1/1000 dilution

Predicted band size: 106 kDa

Observed band size: 106 kDa

false

Exposure time: 3min

Western blot - Anti-Rb (phospho S807) antibody [EPR17732] (AB184796)
  • WB

Lab

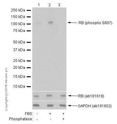
Western blot - Anti-Rb (phospho S807) antibody [EPR17732] (AB184796)

Blocking and diluting buffer and concentration : 5% NFDM/TBST.

All lanes:

Western blot - Anti-Rb (phospho S807) antibody [EPR17732] (ab184796) at 1/20000 dilution

Lane 1:

Jurkat (human T cell leukemia cell line from peripheral blood) serum starved for 44 h. Whole cell lysates at 15 µg

Lane 2:

Jurkat (human T cell leukemia cell line from peripheral blood) serum starved for 24 h. Then 10% FBS incubated for 20 h. Whole cell lysates at 15 µg

Lane 3:

Jurkat (human T cell leukemia cell line from peripheral blood) serum starved for 24 h. Then 10% FBS incubated for 20 h. Whole cell lysates. Then the membrane was incubated with phosphatase. at 15 µg

Secondary

All lanes:

Western blot - Goat Anti-Rabbit IgG H&L (HRP) (<a href='/products/secondary-antibodies/goat-rabbit-igg-h-l-hrp-ab97051'>ab97051</a>) at 1/20000 dilution

Predicted band size: 106 kDa

Observed band size: 106 kDa

false

Exposure time: 10s

Western blot - Anti-Rb (phospho S807) antibody [EPR17732] (AB184796)
  • WB

Supplier Data

Western blot - Anti-Rb (phospho S807) antibody [EPR17732] (AB184796)

Blocking/Dilution buffer : 5% NFDM/TBST.

All lanes:

Western blot - Anti-Rb (phospho S807) antibody [EPR17732] (ab184796) at 1/5000 dilution

Lane 1:

K562 (human chronic myelogenous leukemia cells from bone marrow) whole cell lysates at 10 µg

Lane 2:

K562 (human chronic myelogenous leukemia cells from bone marrow) whole cell lysates treated with Lambda Phosphatase at 10 µg

Secondary

Lane 1:

Goat Anti-Rabbit IgG (H+L), Peroxidase conjugated at 1/1000 dilution

Lane 2:

Goat Anti-Rabbit IgG, (H+L),Peroxidase conjugated at 1/1000 dilution

Predicted band size: 106 kDa

Observed band size: 106 kDa

false

Exposure time: 30s

Western blot - Anti-Rb (phospho S807) antibody [EPR17732] (AB184796)
  • WB

Supplier Data

Western blot - Anti-Rb (phospho S807) antibody [EPR17732] (AB184796)

Blocking/Dilution buffer : 5% NFDM/TBST.

All lanes:

Western blot - Anti-Rb (phospho S807) antibody [EPR17732] (ab184796) at 1/20000 dilution

Lane 1:

K562 (human chronic myelogenous leukemia cells from bone marrow) whole cell lysates at 10 µg

Lane 2:

K562 (human chronic myelogenous leukemia cells from bone marrow) whole cell lysates serum starved for 2 days at 10 µg

Secondary

All lanes:

Goat Anti-Rabbit IgG, (H+L),Peroxidase conjugated at 1/1000 dilution

Predicted band size: 106 kDa

Observed band size: 106 kDa

false

Exposure time: 3min

Western blot - Anti-Rb (phospho S807) antibody [EPR17732] (AB184796)
  • WB

Supplier Data

Western blot - Anti-Rb (phospho S807) antibody [EPR17732] (AB184796)

Blocking/Dilution buffer : 5% NFDM/TBST.

All lanes:

Western blot - Anti-Rb (phospho S807) antibody [EPR17732] (ab184796) at 1/2000 dilution

All lanes:

C6 (rat glial tumor cell line) whole cell lysate at 10 µg

Secondary

All lanes:

Goat Anti-Rabbit IgG, (H+L),Peroxidase conjugated at 1/1000 dilution

Predicted band size: 106 kDa

Observed band size: 106 kDa

false

Exposure time: 30s

Western blot - Anti-Rb (phospho S807) antibody [EPR17732] (AB184796)
  • WB

Supplier Data

Western blot - Anti-Rb (phospho S807) antibody [EPR17732] (AB184796)

Blocking/Dilution buffer : 5% NFDM/TBST.

All lanes:

Western blot - Anti-Rb (phospho S807) antibody [EPR17732] (ab184796) at 1/2000 dilution

All lanes:

Mouse embryo lysate at 10 µg

Secondary

All lanes:

Goat Anti-Rabbit IgG, (H+L),Peroxidase conjugated at 1/1000 dilution

Predicted band size: 106 kDa

Observed band size: 106 kDa

false

Exposure time: 3min

Western blot - Anti-Rb (phospho S807) antibody [EPR17732] (AB184796)
  • WB

Supplier Data

Western blot - Anti-Rb (phospho S807) antibody [EPR17732] (AB184796)

Blocking/Dilution buffer : 5% NFDM/TBST.

All lanes:

Western blot - Anti-Rb (phospho S807) antibody [EPR17732] (ab184796) at 1/1000 dilution

All lanes:

L-929 (mouse connective tissue fibroblast cell line) whole cell lysate at 10 µg

Secondary

All lanes:

Goat Anti-Rabbit IgG, (H+L),Peroxidase conjugated at 1/1000 dilution

Predicted band size: 106 kDa

Observed band size: 106 kDa

false

Exposure time: 3min

Dot Blot - Anti-Rb (phospho S807) antibody [EPR17732] (AB184796)
  • Dot

Supplier Data

Dot Blot - Anti-Rb (phospho S807) antibody [EPR17732] (AB184796)

Dot blot analysis of Rb (phospho S807) peptide (Lane 1), and non-phospho peptide (Lane 2), labeled using ab184796 at 1/1000 dilution, followed by Goat Anti-Rabbit IgG, (H+L), Peroxidase conjugated secondary antibody at 1/1000 dilution.

Blocking/Dilution buffer : 5% NFDM/TBST.

Western blot - Anti-Rb (phospho S807) antibody [EPR17732] (AB184796)
  • WB

CiteAb

Western blot - Anti-Rb (phospho S807) antibody [EPR17732] (AB184796)

Rb (phospho S807) western blot using anti-Rb (phospho S807) antibody [EPR17732] ab184796. Publication image and figure legend from Bouclier, C., Simon, M., et al., 2020, Theranostics, PubMed 32104498.

ab184796 was used in this publication in western blot. This may not be the same as the application(s) guaranteed by Abcam. For a full list of applications guaranteed by Abcam for ab184796 please see the product overview.

P2short inhibits CDK4 activity and NSCLC proliferation but does not block cell cycle arrest. A. p107Rb phosphorylation (Ser807/811) was determined by Western blot of A549 cell extracts prepared following treatment with Abemaciclib or P2short peptide. Actin levels were detected to control constant protein loading. Left panel : Rb phosphorylation after 24 and 48 h, following treatment with 20 μM Abemaciclib or P2short peptide. Right panel : quantification of the relative Rb phosphorylation/actin levels in after 24 h following treatment with 20 μM Ctrl stapled peptide or different μM concentrations of P2short peptide. B-E.Proliferation assays.B. A549 cells were treated with different concentrations of Ctrl stapled peptide, P2, P2shortA and Abemaciclib. C. A549 cells were treated with combined administrations of P2shortA peptide (10 μM) and Abemaciclib (500 nM) Bars are averages of three independent experiments (n=4/experiment) ± SD. Means were compared with t test, * p<0.05,** p<0.02, *** p<0.01. D-E. PC9, H358 and A549 cells were treated with different concentrations of P2shortA (D) or Abemaciclib (E). Results are presented as average of at least two independent experiments (n = 4/experiment) ± standard deviation. F. Flow cytometry of A549 cells treated with DMSO, 0.5 or 5 μM Abemaciclib (Abe) and/or 1 or 10 μM Ctrl stapled or P2shortA peptide for 24 h. Means were compared with t test, * p<0.2,** p<0.1, *** p<0.05.

false

不同偶联物与剂型 (5)

  • 617 Alexa Fluor® 594

    Alexa Fluor® 594 Anti-Rb (phospho S807) antibody [EPR17732]

  • 519 Alexa Fluor® 488

    Alexa Fluor® 488 Anti-Rb (phospho S807) antibody [EPR17732]

  • 565 Alexa Fluor® 555

    Alexa Fluor® 555 Anti-Rb (phospho S807) antibody [EPR17732]

  • Carrier free

    Anti-Rb (phospho S807) antibody [EPR17732] - BSA and Azide free

  • 665 Alexa Fluor® 647

    Alexa Fluor® 647 Anti-Rb (phospho S807) antibody [EPR17732]

关键信息

宿主种属

Rabbit

克隆

Monoclonal

克隆号

EPR17732

亚型

IgG

不含载体蛋白

No

反应种属

Mouse, Rat, Human

应用

Dot, WB, ICC/IF, IHC-P

applications

免疫原

The exact immunogen used to generate this antibody is proprietary information.

反应性数据

{ "title": "Reactivity Data", "filters": { "stats": ["", "Species", "Dilution Info", "Notes"], "tabs": { "all-applications": {"fullname" : "All Applications", "shortname": "All Applications"}, "Dot" : {"fullname" : "Dot Blot", "shortname":"Dot"}, "WB" : {"fullname" : "Western blot", "shortname":"WB"}, "ICCIF" : {"fullname" : "Immunocytochemistry/ Immunofluorescence", "shortname":"ICC/IF"}, "IHCP" : {"fullname" : "Immunohistochemistry (Formalin/PFA-fixed paraffin-embedded sections)", "shortname":"IHC-P"} }, "product-promise": { "all": "all", "testedAndGuaranteed": "tested", "guaranteed": "expected", "predicted": "predicted", "notRecommended": "not-recommended" } }, "values": { "Human": { "Dot-species-checked": "guaranteed", "Dot-species-dilution-info": "", "Dot-species-notes": "", "WB-species-checked": "testedAndGuaranteed", "WB-species-dilution-info": "1/1000", "WB-species-notes": "<p></p>", "ICCIF-species-checked": "testedAndGuaranteed", "ICCIF-species-dilution-info": "1/500", "ICCIF-species-notes": "<p></p>", "IHCP-species-checked": "testedAndGuaranteed", "IHCP-species-dilution-info": "1/500", "IHCP-species-notes": "<p></p>" }, "Mouse": { "Dot-species-checked": "guaranteed", "Dot-species-dilution-info": "", "Dot-species-notes": "", "WB-species-checked": "testedAndGuaranteed", "WB-species-dilution-info": "1/1000", "WB-species-notes": "<p></p>", "ICCIF-species-checked": "guaranteed", "ICCIF-species-dilution-info": "", "ICCIF-species-notes": "", "IHCP-species-checked": "testedAndGuaranteed", "IHCP-species-dilution-info": "1/500", "IHCP-species-notes": "<p></p>" }, "Rat": { "Dot-species-checked": "guaranteed", "Dot-species-dilution-info": "", "Dot-species-notes": "", "WB-species-checked": "testedAndGuaranteed", "WB-species-dilution-info": "1/1000", "WB-species-notes": "<p></p>", "ICCIF-species-checked": "guaranteed", "ICCIF-species-dilution-info": "", "ICCIF-species-notes": "", "IHCP-species-checked": "testedAndGuaranteed", "IHCP-species-dilution-info": "1/500", "IHCP-species-notes": "<p></p>" }, "Synthetic peptide": { "Dot-species-checked": "testedAndGuaranteed", "Dot-species-dilution-info": "1/1000", "Dot-species-notes": "<p></p>", "WB-species-checked": "notRecommended", "WB-species-dilution-info": "", "WB-species-notes": "", "ICCIF-species-checked": "notRecommended", "ICCIF-species-dilution-info": "", "ICCIF-species-notes": "", "IHCP-species-checked": "notRecommended", "IHCP-species-dilution-info": "", "IHCP-species-notes": "" } } }

产品详情

What is this antibody validated in?
Anti-Rb (phospho S807) antibody [EPR17732] (ab184796) is a rabbit recombinant monoclonal antibody and is validated for use in Western Blot (WB), Immunohistochemistry (IHC-P), Immunocytochemistry/immunofluorescence (ICC/IF), Dot Blot in Human, Mouse, Rat samples.

What is the molecular weight of Rb?
Anti-Rb (phospho S807) [EPR17732] (ab184796) specifically detects a band for Rb (UniProt: P06400) at a molecular weight of 106kDa.

Trusted by the scientific community
Anti-Rb (phospho S807) [EPR17732] (ab184796) was first used in a scientific publication in 2015 and has been cited over 20 times in peer-reviewed journals.

Trial sizes available!
Test your antibody or perform pre-screening before committing to a larger quantity. Sold in 10µl. Discover our selection of trial-size antibodies.

Other related products
We have a range of other formats of antibody clone [EPR17732] also available for your convenience: ab184796, Alexa Fluor® 488 - ab214949, Carrier free - ab215530, Alexa Fluor® 647 - ab215947, Alexa Fluor® 594 - ab277935, Alexa Fluor® 555 - ab280855

Patented technology
Our RabMAb® technology is a patented hybridoma-based technology for making rabbit monoclonal antibodies. For details on our patents, please refer to RabMAb® patents.

What are the advantages of a recombinant monoclonal antibody?
This product is a recombinant monoclonal antibody, which offers several advantages including:

  • - High batch-to-batch consistency and reproducibility
  • - Improved sensitivity and specificity
  • - Long-term security of supply
  • - Animal-free batch production

For more information, read more on recombinant antibodies.

性能和储存信息

形式
Liquid
纯化工艺
Affinity purification Protein A
存储溶液
pH: 7.2 Preservative: 0.01% Sodium azide Constituents: PBS, 40% Glycerol (glycerin, glycerine), 0.05% BSA
运输条件
Blue Ice
推荐的短期储存时间
1-2 weeks
推荐的短期储存条件
+4°C
推荐的长期储存条件
-20°C
分装信息
Upon delivery aliquot
储存信息
Avoid freeze / thaw cycle

补充信息

This supplementary information is collated from multiple sources and compiled automatically.

Retinoblastoma protein (Rb) also known as pRb is an important regulatory protein with a molecular weight of approximately 110 kDa. It is mainly expressed in the nucleus of cells. Rb functions as a tumor suppressor by controlling the cell cycle progression from G1 to S phase. Rb becomes active when it is dephosphorylated allowing it to bind and inhibit E2F transcription factors consequently preventing the transcription of genes essential for S phase entry.
Biological function summary

Retinoblastoma protein influences cellular proliferation differentiation and apoptosis. It acts within a larger protein complex modulating various cellular responses. When functional Rb halts uncontrolled cell division important for maintaining normal tissue homeostasis. In its phosphorylated state known as phospho-Rb or phospho-Rb E182 it loses its regulatory capabilities which can lead to unrestrained cell cycle progression.

Pathways

Several involve the retinoblastoma protein. One key pathway is the p53 pathway which Rb interacts with to influence cellular outcomes like cell-cycle arrest and apoptosis. Rb cooperates with proteins like p21 to implement these processes. Additionally it is involved in the cyclin D-dependent kinase 4 (CDK4) pathway which modulates its phosphorylation state influencing binding interactions and cell cycle control.

Dysregulation of retinoblastoma protein is commonly associated with cancer particularly retinoblastoma and breast cancer. In retinoblastoma mutations in the Rb gene directly lead to uncontrolled cell proliferation due to the absence of functional Rb protein. Additionally Rb's connection to the E2F family of transcription factors can become disrupted contributing to oncogenesis in other cancers.

产品实验方案

For this product, it's our understanding that no specific protocols are required. You can visit:

靶点信息

Tumor suppressor that is a key regulator of the G1/S transition of the cell cycle (PubMed : 10499802). The hypophosphorylated form binds transcription regulators of the E2F family, preventing transcription of E2F-responsive genes (PubMed : 10499802). Both physically blocks E2Fs transactivating domain and recruits chromatin-modifying enzymes that actively repress transcription (PubMed : 10499802). Cyclin and CDK-dependent phosphorylation of RB1 induces its dissociation from E2Fs, thereby activating transcription of E2F responsive genes and triggering entry into S phase (PubMed : 10499802). RB1 also promotes the G0-G1 transition upon phosphorylation and activation by CDK3/cyclin-C (PubMed : 15084261). Directly involved in heterochromatin formation by maintaining overall chromatin structure and, in particular, that of constitutive heterochromatin by stabilizing histone methylation. Recruits and targets histone methyltransferases SUV39H1, KMT5B and KMT5C, leading to epigenetic transcriptional repression. Controls histone H4 'Lys-20' trimethylation. Inhibits the intrinsic kinase activity of TAF1. Mediates transcriptional repression by SMARCA4/BRG1 by recruiting a histone deacetylase (HDAC) complex to the c-FOS promoter. In resting neurons, transcription of the c-FOS promoter is inhibited by BRG1-dependent recruitment of a phospho-RB1-HDAC1 repressor complex. Upon calcium influx, RB1 is dephosphorylated by calcineurin, which leads to release of the repressor complex (By similarity).. (Microbial infection) In case of viral infections, interactions with SV40 large T antigen, HPV E7 protein or adenovirus E1A protein induce the disassembly of RB1-E2F1 complex thereby disrupting RB1's activity.
See full target information RB1 phospho S807

文献 (36)

Recent publications for all applications. Explore the full list and refine your search

Cellular oncology (Dordrecht, Netherlands) 48:815-834 PubMed40327295

2025

High extracellular matrix stiffness upregulates TNNT1 to awaken dormant tumor cells in liver metastatic niches of gastric cancer.

Applications

Unspecified application

Species

Unspecified reactive species

Linhua Ji,Jie Peng,Yuxuan Lin,Yiqing Zhong,Bo Ni,Chunchao Zhu,Zizhen Zhang

Translational oncology 56:102382 PubMed40215679

2025

Raddeanin A exerts potent efficacy against non-small cell lung cancer by inhibiting cyclin-dependent kinase 6.

Applications

Unspecified application

Species

Unspecified reactive species

Xian Wang,Xiao Lin,Yuxin Liu,Chunbo Ma,Mengchu Liu,Jiayu Bai,Yihan Ye,Chengguang Zhao,Lehe Yang,Xiaoying Huang,Liangxing Wang

Cell death & disease 15:822 PubMed39537605

2024

SPINK13 acts as a tumor suppressor in hepatocellular carcinoma by inhibiting Akt phosphorylation.

Applications

Unspecified application

Species

Unspecified reactive species

Yongzhi Lun,Jie Sun,Ling Wei,Ben Liu,Zhixue Li,Wen Dong,Wenqi Zhao

Biological research 57:30 PubMed38760850

2024

IDH1 mutation produces R-2-hydroxyglutarate (R-2HG) and induces mir-182-5p expression to regulate cell cycle and tumor formation in glioma.

Applications

Unspecified application

Species

Unspecified reactive species

Haiting Zhao,Li Meng,Peng Du,Xinbin Liao,Xin Mo,Mengqi Gong,Jiaxin Chen,Yiwei Liao

Cell death discovery 10:206 PubMed38693103

2024

The epigenetic regulators EP300/CREBBP represent promising therapeutic targets in MLL-rearranged acute myeloid leukemia.

Applications

Unspecified application

Species

Unspecified reactive species

Wenqi Wu,Yanan Jiang,Donghui Xing,Yixin Zhai,Huimeng Sun,Xiang He,Kaiping Luo,Pengpeng Xu,Feng Pan,Guolei Dong,Guibing Ren,Zhigang Zhao

Islets 15:2219105 PubMed37265106

2023

7-Ketocholesterol accelerates pancreatic β-cell senescence by inhibiting the SIRT1/CDK4-Rb-E2F1 signaling pathway.

Applications

Unspecified application

Species

Unspecified reactive species

Qiuping Zhu,Wei Wang,Nan Wu,Sunyue He,Xihua Lin,Wenjing Zhang,Jiaqiang Zhou

Journal of neuroendocrinology 35:e13257 PubMed36964649

2023

Expression of p53 and Rb reveal subtypes of gastric neuroendocrine carcinoma with distinct prognosis.

Applications

Unspecified application

Species

Unspecified reactive species

Jiazhang Xing,Jingci Chen,Tingting You,Zhao Sun,Tao Lu,Yuejuan Cheng,Huanwen Wu,Chunmei Bai

Journal of cellular and molecular medicine 27:991-1005 PubMed36915230

2023

Influence of cyclin D1 splicing variants expression on breast cancer chemoresistance via CDK4/CyclinD1-pRB-E2F1 pathway.

Applications

Unspecified application

Species

Unspecified reactive species

Jing Wang,Jiaxin Zhang,Qinglong Ma,Shasha Zhang,Fengdie Ma,Wei Su,Taotao Zhang,Xiaodong Xie,Cuixia Di

Thoracic cancer 14:983-991 PubMed36825764

2023

Carboxypeptidase vitellogenic like facilitates resistance to CDK4/6 inhibitors in breast cancer.

Applications

Unspecified application

Species

Unspecified reactive species

Xiang Zhu,Xiaojie Xu,Lin Zhang,Xuhui Yang

Frontiers in pharmacology 14:1124240 PubMed36874033

2023

Celastrol-regulated gut microbiota and bile acid metabolism alleviate hepatocellular carcinoma proliferation by regulating the interaction between FXR and RXRα and .

Applications

Unspecified application

Species

Unspecified reactive species

Dequan Zeng,Lipen Zhang,Qiang Luo
View all publications

Abcam Product Promise

我们致力于为您的研究提供高质量的试剂,为您科研的每一步提供支持。若我们的产品未能达到预期性能,我们向您提供 Abcam Product Promise 保障。
详情请参阅我们的条款与条件。

Please note: All products are 'FOR RESEARCH USE ONLY. NOT FOR USE IN DIAGNOSTIC OR THERAPEUTIC PROCEDURES'.

For licensing inquiries, please contact partnerships@abcam.com