JavaScript is disabled in your browser. Please enable JavaScript to view this website.
AB254590

Anti-RASA2抗体

Anti-RASA2 antibody

Be the first to review this product! Submit a review

|

(1 Publication)

Rabbit Polyclonal RASA2 antibody. Suitable for IHC-P, WB, ICC/IF and reacts with Human samples. Cited in 1 publication. Immunogen corresponding to Recombinant Fragment Protein within Human RASA2 aa 750 to C-terminus.

查看别名

GAP1M, RASGAP, RASA2, Ras GTPase-activating protein 2, GTPase-activating protein 1m, GAP1m

6 Images
Immunohistochemistry (Formalin/PFA-fixed paraffin-embedded sections) - Anti-RASA2 antibody (AB254590)
  • IHC-P

Unknown

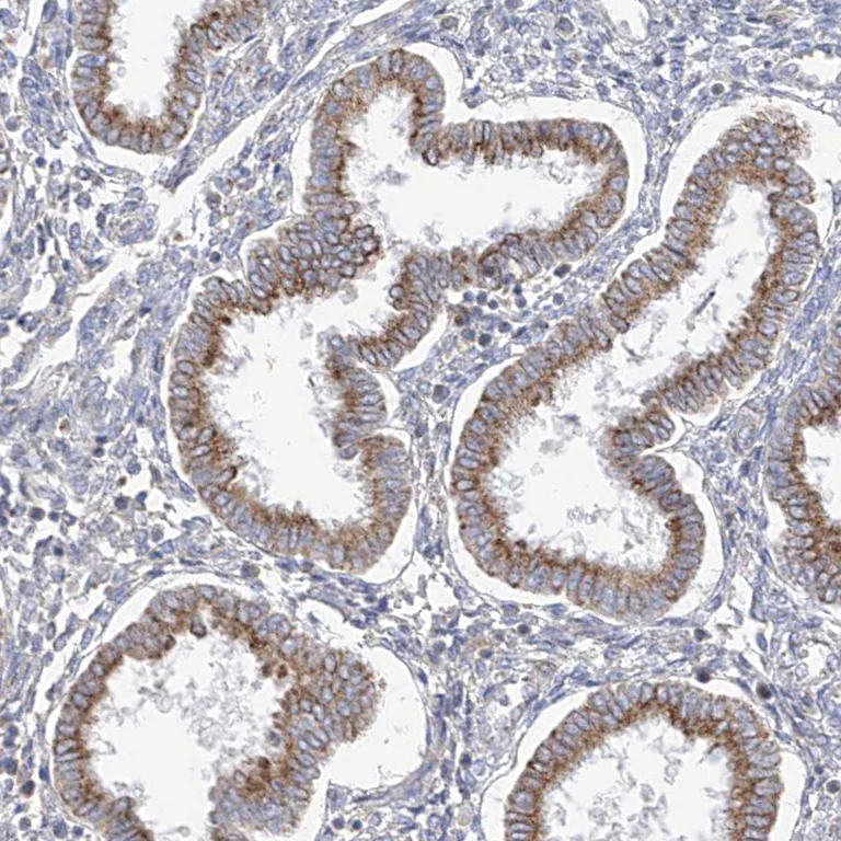
Immunohistochemistry (Formalin/PFA-fixed paraffin-embedded sections) - Anti-RASA2 antibody (AB254590)

Paraffin-embedded human small intestine tissue stained for RASA2 using ab254590 at 1/50 dilution in immunohistochemical analysis.

Immunohistochemistry (Formalin/PFA-fixed paraffin-embedded sections) - Anti-RASA2 antibody (AB254590)
  • IHC-P

Unknown

Immunohistochemistry (Formalin/PFA-fixed paraffin-embedded sections) - Anti-RASA2 antibody (AB254590)

Paraffin-embedded human endometrium tissue stained for RASA2 using ab254590 at 1/50 dilution in immunohistochemical analysis.

Immunohistochemistry (Formalin/PFA-fixed paraffin-embedded sections) - Anti-RASA2 antibody (AB254590)
  • IHC-P

Unknown

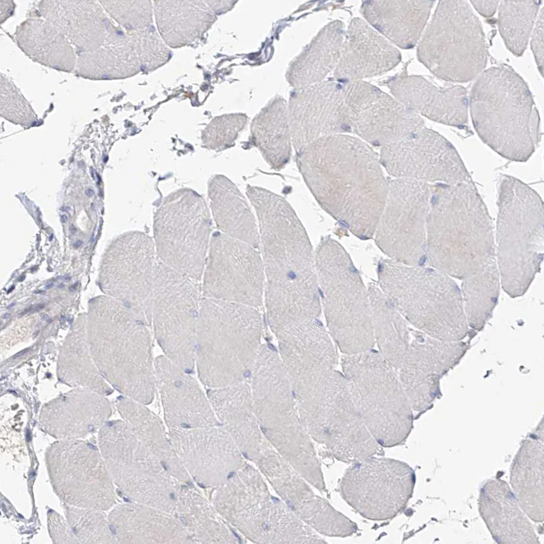
Immunohistochemistry (Formalin/PFA-fixed paraffin-embedded sections) - Anti-RASA2 antibody (AB254590)

Paraffin-embedded human skeletal muscle tissue stained for RASA2 using ab254590 at 1/50 dilution in immunohistochemical analysis. Low expression, as expected.

Immunocytochemistry/ Immunofluorescence - Anti-RASA2 antibody (AB254590)
  • ICC/IF

Unknown

Immunocytochemistry/ Immunofluorescence - Anti-RASA2 antibody (AB254590)

PFA fixed, Triton X-100 permeabilized A431 (Human epidermoid carcinoma cell line) cells labeling RASA2 using ab254590 at 4μg/ml (green) in ICC/IF.

Immunohistochemistry (Formalin/PFA-fixed paraffin-embedded sections) - Anti-RASA2 antibody (AB254590)
  • IHC-P

Unknown

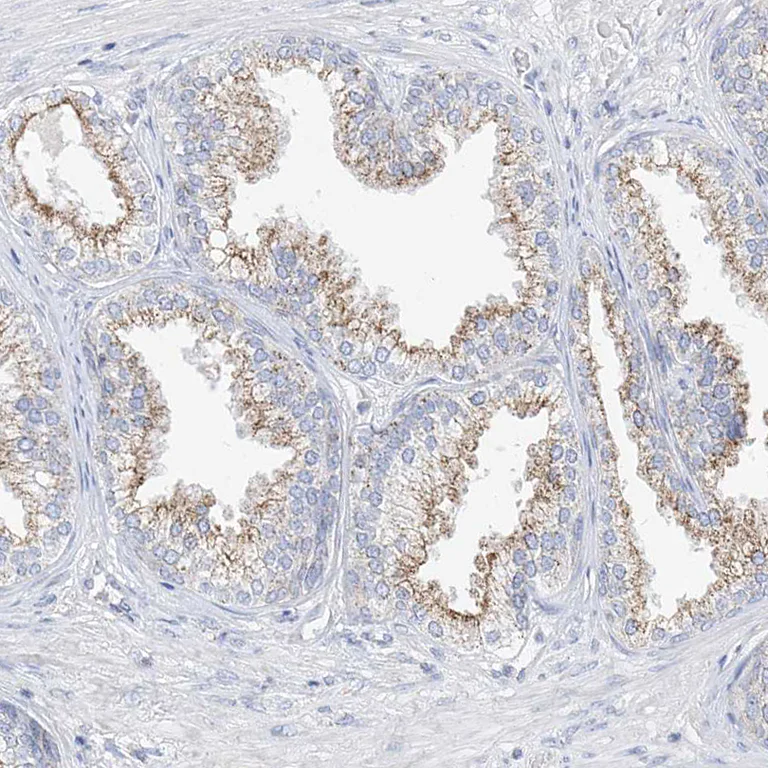
Immunohistochemistry (Formalin/PFA-fixed paraffin-embedded sections) - Anti-RASA2 antibody (AB254590)

Paraffin-embedded human prostate tissue stained for RASA2 using ab254590 at 1/50 dilution in immunohistochemical analysis.

Western blot - Anti-RASA2 antibody (AB254590)
  • WB

Supplier Data

Western blot - Anti-RASA2 antibody (AB254590)

All lanes:

Western blot - Anti-RASA2 antibody (ab254590) at 0.4 µg/mL

Lane 1:

A431 (human epidermoid carcinoma cell line) cell lysate

Lane 2:

PC-3 cell lysate

Predicted band size: 97 kDa

false

关键信息

宿主种属

Rabbit

克隆

Polyclonal

亚型

IgG

不含载体蛋白

No

反应种属

Human

应用

IHC-P, WB, ICC/IF

applications

免疫原

Recombinant Fragment Protein within Human RASA2 aa 750 to C-terminus. The exact immunogen used to generate this antibody is proprietary information.

Q15283

反应性数据

{ "title": "Reactivity Data", "filters": { "stats": ["", "Species", "Dilution Info", "Notes"], "tabs": { "all-applications": {"fullname" : "All Applications", "shortname": "All Applications"}, "IHCP" : {"fullname" : "Immunohistochemistry (Formalin/PFA-fixed paraffin-embedded sections)", "shortname":"IHC-P"}, "WB" : {"fullname" : "Western blot", "shortname":"WB"}, "ICCIF" : {"fullname" : "Immunocytochemistry/ Immunofluorescence", "shortname":"ICC/IF"} }, "product-promise": { "all": "all", "testedAndGuaranteed": "tested", "guaranteed": "expected", "predicted": "predicted", "notRecommended": "not-recommended" } }, "values": { "Human": { "IHCP-species-checked": "testedAndGuaranteed", "IHCP-species-dilution-info": "1/50 - 1/200", "IHCP-species-notes": "<p></p> Perform heat-mediated antigen retrieval with citrate buffer pH 6 before commencing with IHC staining protocol.", "WB-species-checked": "testedAndGuaranteed", "WB-species-dilution-info": "0.04-0.4 µg/mL", "WB-species-notes": "<p></p>", "ICCIF-species-checked": "testedAndGuaranteed", "ICCIF-species-dilution-info": "0.25-2 µg/mL", "ICCIF-species-notes": "<p>Fixation/Permeabilization: PFA/Triton X-100.</p>" } } }

性能和储存信息

形式
Liquid
纯化工艺
Affinity purification Immunogen
存储溶液
pH: 7.2 Preservative: 0.02% Sodium azide Constituents: PBS, 40% Glycerol (glycerin, glycerine)
运输条件
Blue Ice
推荐的短期储存时间
1-2 weeks
推荐的短期储存条件
+4°C
推荐的长期储存条件
-20°C
分装信息
Upon delivery aliquot
储存信息
Avoid freeze / thaw cycle

产品实验方案

For this product, it's our understanding that no specific protocols are required. You can visit:

靶点信息

Inhibitory regulator of the Ras-cyclic AMP pathway. Binds inositol tetrakisphosphate (IP4).
See full target information RASA2

文献 (1)

Recent publications for all applications. Explore the full list and refine your search

Cancers 13: PubMed34771722

2021

VISTA Is a Diagnostic Biomarker and Immunotherapy Target of Aggressive Feline Mammary Carcinoma Subtypes.

Applications

Unspecified application

Species

Unspecified reactive species

Andreia Gameiro,Catarina Nascimento,Jorge Correia,Fernando Ferreira
View all publications

Abcam Product Promise

我们致力于为您的研究提供高质量的试剂,为您科研的每一步提供支持。若我们的产品未能达到预期性能,我们向您提供 Abcam Product Promise 保障。
详情请参阅我们的条款与条件。

Please note: All products are 'FOR RESEARCH USE ONLY. NOT FOR USE IN DIAGNOSTIC OR THERAPEUTIC PROCEDURES'.

For licensing inquiries, please contact partnerships@abcam.com