JavaScript is disabled in your browser. Please enable JavaScript to view this website.
AB247250

重组Anti-RAP1GAP抗体[Y134] - BSA and Azide free

Anti-RAP1GAP antibody [Y134] - BSA and Azide free

Be the first to review this product! Submit a review

|

(1 Publication)

Rabbit Recombinant Monoclonal RAP1GAP antibody. Carrier free. Suitable for ICC/IF, IP, WB, IHC-P, Flow Cyt (Intra) and reacts with Human, Rat, Mouse samples. Cited in 1 publication.

查看别名

KIAA0474, RAP1GA1, RAP1GAP, Rap1 GTPase-activating protein 1, Rap1GAP, Rap1GAP1

12 Images
Immunohistochemistry (Formalin/PFA-fixed paraffin-embedded sections) - Anti-RAP1GAP antibody [Y134] - BSA and Azide free (AB247250)
  • IHC-P

Supplier Data

Immunohistochemistry (Formalin/PFA-fixed paraffin-embedded sections) - Anti-RAP1GAP antibody [Y134] - BSA and Azide free (AB247250)

This data was developed using ab32373, the same antibody clone in a different buffer formulation.Immunohistochemical staining of paraffin embedded human cerebral cortex with purified ab32373 at a working dilution of 1/1000. The secondary antibody used is ab97051, a goat anti-rabbit IgG (H&L) at a dilution of 1/500. The sample is counter-stained with hematoxylin. Antigen retrieval was perfomed using Tris-EDTA buffer, pH 9.0. PBS was used instead of the primary antibody as the negative control, and is shown in the inset.

Immunohistochemistry (Formalin/PFA-fixed paraffin-embedded sections) - Anti-RAP1GAP antibody [Y134] - BSA and Azide free (AB247250)
  • IHC-P

Supplier Data

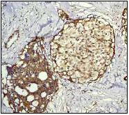
Immunohistochemistry (Formalin/PFA-fixed paraffin-embedded sections) - Anti-RAP1GAP antibody [Y134] - BSA and Azide free (AB247250)

This data was developed using ab32373, the same antibody clone in a different buffer formulation.

Immunohistochemical staining of paraffin-embedded human breast cancer tissue using unpurified ab32373 at 1/100 dilution.

Flow Cytometry (Intracellular) - Anti-RAP1GAP antibody [Y134] - BSA and Azide free (AB247250)
  • Flow Cyt (Intra)

Lab

Flow Cytometry (Intracellular) - Anti-RAP1GAP antibody [Y134] - BSA and Azide free (AB247250)

This data was developed using ab32373, the same antibody clone in a different buffer formulation.

Overlay histogram showing SH-SY5Y cells stained with unpurified ab32373 (red line). The cells were fixed with 4% paraformaldehyde (10 min) and then permeabilized with 0.1% PBS-Tween for 20 min. The cells were then incubated in 1x PBS / 10% normal goat serum / 0.3M glycine to block non-specific protein-protein interactions followed by the antibody (ab32373, 1/100) for 30 min at 22°C. The secondary antibody used was DyLight® 488 goat anti-rabbit IgG (H+L) (ab96899) at 1/500 dilution for 30 min at 22°C. Isotype control antibody (black line) was rabbit IgG (monoclonal) (1μg/1x106 cells) used under the same conditions. Acquisition of >5,000 events was performed.

Immunocytochemistry/ Immunofluorescence - Anti-RAP1GAP antibody [Y134] - BSA and Azide free (AB247250)
  • ICC/IF

Unknown

Immunocytochemistry/ Immunofluorescence - Anti-RAP1GAP antibody [Y134] - BSA and Azide free (AB247250)

This data was developed using ab32373, the same antibody clone in a different buffer formulation.

Immunofluorescence staining of HeLa cells with purified ab32373 at a working dilution of 1/250, counter-stained with DAPI. The secondary antibody was Alexa Fluor® 488 goat anti-rabbit (ab150077), used at a dilution of 1/1000. ab7291, a mouse anti-tubulin antibody (1/1000), was used to stain tubulin along with ab150120 (Alexa Fluor® 594 goat anti-mouse, 1/1000), shown in the top right hand panel. The cells were fixed in 4 % PFA and permeabilized using 0.1% Triton X 100. The negative controls are shown in bottom middle and right hand panels - for negative control 1, purified ab32373 was used at a dilution of 1/500 followed by an Alexa Fluor® 594 goat anti-mouse antibody (ab150120) at a dilution of 1/500. For negative control 2, ab7291 (mouse anti-tubulin) was used at a dilution of 1/500 followed by an Alexa Fluor® 488 goat anti-rabbit antibody (ab150077) at a dilution of 1/400.

Immunocytochemistry/ Immunofluorescence - Anti-RAP1GAP antibody [Y134] - BSA and Azide free (AB247250)
  • ICC/IF

Unknown

Immunocytochemistry/ Immunofluorescence - Anti-RAP1GAP antibody [Y134] - BSA and Azide free (AB247250)

This data was developed using ab32373, the same antibody clone in a different buffer formulation.

ICC/IF image of unpurified ab32373 stained HeLa cells. The cells were 4% formaldehyde fixed (10 min) and then incubated in 1%BSA / 10% normal goat serum / 0.3M glycine in 0.1% PBS-Tween for 1h to permeabilise the cells and block non-specific protein-protein interactions. The cells were then incubated with the antibody (ab32373, 1μg/ml) overnight at +4°C. The secondary antibody (green) was ab96899, DyLight® 488 goat anti-rabbit IgG (H+L) used at a 1/250 dilution for 1h.Alexa Fluor® 594 WGA was used to label plasma membranes (red) at a 1/200 dilution for 1h. DAPI was used to stain the cell nuclei (blue) at a concentration of 1.43μM.

Flow Cytometry (Intracellular) - Anti-RAP1GAP antibody [Y134] - BSA and Azide free (AB247250)
  • Flow Cyt (Intra)

Unknown

Flow Cytometry (Intracellular) - Anti-RAP1GAP antibody [Y134] - BSA and Azide free (AB247250)

This data was developed using ab32373, the same antibody clone in a different buffer formulation.

Overlay histogram showing Jurkat cells fixed in 4% PFA and stained with purified ab32373 at a dilution of 1/30 (red line). The secondary antibody used was Alexa Fluor® 488 goat anti-rabbit at a dilution of 1/500. Rabbit monoclonal IgG was used as an isotype control (black line) and cells incubated in the absence of both primary and secondary antibody were used as a negative control (blue line).

Immunoprecipitation - Anti-RAP1GAP antibody [Y134] - BSA and Azide free (AB247250)
  • IP

Unknown

Immunoprecipitation - Anti-RAP1GAP antibody [Y134] - BSA and Azide free (AB247250)

This data was developed using ab32373, the same antibody clone in a different buffer formulation.

ab32373 (purified) at 1/20 immunoprecipitating RAP1GAP in 10 μg C6 cell lysate (Lanes 1 and 2, observed at 82-95 kDa). Lane 3 - Rabbit monoclonal IgG (ab172730). For western blotting, HRP Veriblot for IP Detection Reagent (ab131366) was used for detection (1/1000). Blocking buffer and concentration : 5% NFDM/TBST Dilution buffer and concentration : 5% NFDM/TBST

All lanes:

Immunoprecipitation - Anti-RAP1GAP antibody [Y134] (<a href='/products/primary-antibodies/rap1gap-antibody-y134-ab32373'>ab32373</a>)

Predicted band size: 73 kDa

false

Western blot - Anti-RAP1GAP antibody [Y134] - BSA and Azide free (AB247250)
  • WB

Lab

Western blot - Anti-RAP1GAP antibody [Y134] - BSA and Azide free (AB247250)

This data was developed using ab32373, the same antibody clone in a different buffer formulation.

Western blot : Anti-RAP1GAP antibody [Y134] ab32373 staining at 1/10000 dilution, shown in green; Mouse anti GAPDH (ab8245) loading control staining at 1/20,000 dilution, shown in magenta. A band was observed at 90 kDa in Wild-type A549 cell lysates with no signal observed at this size in RAP1GAP knockout A549 cell line.

To generate this image, samples were run on an SDS-PAGE gel then transferred onto a nitrocellulose membrane. Membranes were blocked in 3pc Milk in TBS-0.1 % Tween® 20 (TBS-T) before incubation with primary antibodies overnight at 4 °C. Blots were washed four times in TBS-T, incubated with secondary antibodies for 1 h at room temperature, washed again four times then imaged. Secondary antibodies used were Goat anti-Rabbit 800CW & Goat anti-Mouse 680RD at 1/20,000 dilution.

Lanes 1 - 4:

Western blot - Anti-RAP1GAP antibody [Y134] (<a href='/products/primary-antibodies/rap1gap-antibody-y134-ab32373'>ab32373</a>) at 1/10000 dilution

Lanes 1 - 4:

Western blot - Anti-RAP1GAP antibody [Y134] - BSA and Azide free (ab247250) at 1/10000 dilution

Lane 1:

Wild-type A549 at 20 µg

Lane 2:

RAP1GAP knockout A549 at 20 µg

Lane 3:

HT-29 at 20 µg

Lane 4:

Ramos at 20 µg

Secondary

All lanes:

Goat anti-Rabbit 800CW & Goat anti-Mouse 680RD at 1/20000 dilution

Predicted band size: 73 kDa

Observed band size: 90 kDa

false

Western blot - Anti-RAP1GAP antibody [Y134] - BSA and Azide free (AB247250)
  • WB

Unknown

Western blot - Anti-RAP1GAP antibody [Y134] - BSA and Azide free (AB247250)

This data was developed using ab32373, the same antibody clone in a different buffer formulation.

The molecular weight observed is consistent with what has been described in the literature (PMID : 9346962, PMID : 15632203, PMID : 30144784).

All lanes:

Western blot - Anti-RAP1GAP antibody [Y134] (<a href='/products/primary-antibodies/rap1gap-antibody-y134-ab32373'>ab32373</a>) at 1/50000 dilution

All lanes:

Jurkat cell lysate

Predicted band size: 73 kDa

Observed band size: 95 kDa

false

Western blot - Anti-RAP1GAP antibody [Y134] - BSA and Azide free (AB247250)
  • WB

Lab

Western blot - Anti-RAP1GAP antibody [Y134] - BSA and Azide free (AB247250)

This data was developed using ab32373, the same antibody clone in a different buffer formulation.

Blocking and dilution buffer : 5% NFDM/TBST.

The molecular weight observed is consistent with what has been described in the literature (PMID : 9346962, PMID : 15632203, PMID : 30144784).

All lanes:

Western blot - Anti-RAP1GAP antibody [Y134] (<a href='/products/primary-antibodies/rap1gap-antibody-y134-ab32373'>ab32373</a>) at 1/10000 dilution

All lanes:

SH-SY5Y cell lysate at 20 µg

Secondary

All lanes:

Anti-rabbit IgG (HRP), specific to the non-reduced form of IgG at 1/1000 dilution

Predicted band size: 73 kDa

Observed band size: 95 kDa

false

Western blot - Anti-RAP1GAP antibody [Y134] - BSA and Azide free (AB247250)
  • WB

Lab

Western blot - Anti-RAP1GAP antibody [Y134] - BSA and Azide free (AB247250)

This data was developed using ab32373, the same antibody clone in a different buffer formulation.

Blocking and dilution buffer : 5% NFDM/TBST.

The molecular weight observed is consistent with what has been described in the literature (PMID : 9346962, PMID : 15632203, PMID : 30144784).

All lanes:

Western blot - Anti-RAP1GAP antibody [Y134] (<a href='/products/primary-antibodies/rap1gap-antibody-y134-ab32373'>ab32373</a>) at 1/10000 dilution

All lanes:

Jurkat cell lysate at 20 µg

Secondary

All lanes:

Western blot - Goat Anti-Rabbit IgG H&L (HRP) (<a href='/products/secondary-antibodies/goat-rabbit-igg-h-l-hrp-ab97051'>ab97051</a>) at 1/100000 dilution

Predicted band size: 73 kDa

Observed band size: 95 kDa

false

Western blot - Anti-RAP1GAP antibody [Y134] - BSA and Azide free (AB247250)
  • WB

Lab

Western blot - Anti-RAP1GAP antibody [Y134] - BSA and Azide free (AB247250)

This data was developed using ab32373, the same antibody clone in a different buffer formulation.

Blocking and dilution buffer : 5% NFDM/TBST.

The molecular weight observed is consistent with what has been described in the literature (PMID : 9346962, PMID : 15632203, PMID : 30144784).

All lanes:

Western blot - Anti-RAP1GAP antibody [Y134] (<a href='/products/primary-antibodies/rap1gap-antibody-y134-ab32373'>ab32373</a>) at 1/10000 dilution

Lane 1:

Mouse brain lysate at 20 µg

Lane 2:

Rat brain lysate at 20 µg

Secondary

All lanes:

Western blot - Goat Anti-Rabbit IgG H&L (HRP) (<a href='/products/secondary-antibodies/goat-rabbit-igg-h-l-hrp-ab97051'>ab97051</a>) at 1/20000 dilution

Predicted band size: 73 kDa

Observed band size: 95 kDa

false

不同偶联物与剂型 (2)

关键信息

宿主种属

Rabbit

克隆

Monoclonal

克隆号

Y134

亚型

IgG

不含载体蛋白

Yes

反应种属

Mouse, Rat, Human

应用

WB, ICC/IF, IHC-P, Flow Cyt (Intra), IP

applications

免疫原

The exact immunogen used to generate this antibody is proprietary information.

特异性

This antibody recognises Rap1 GTPase-activating protein 1.

反应性数据

{ "title": "Reactivity Data", "filters": { "stats": ["", "Species", "Dilution Info", "Notes"], "tabs": { "all-applications": {"fullname" : "All Applications", "shortname": "All Applications"}, "ICCIF" : {"fullname" : "Immunocytochemistry/ Immunofluorescence", "shortname":"ICC/IF"}, "IP" : {"fullname" : "Immunoprecipitation", "shortname":"IP"}, "WB" : {"fullname" : "Western blot", "shortname":"WB"}, "IHCP" : {"fullname" : "Immunohistochemistry (Formalin/PFA-fixed paraffin-embedded sections)", "shortname":"IHC-P"}, "FlowCytIntra" : {"fullname" : "Flow Cytometry (Intracellular)", "shortname":"Flow Cyt (Intra)"} }, "product-promise": { "all": "all", "testedAndGuaranteed": "tested", "guaranteed": "expected", "predicted": "predicted", "notRecommended": "not-recommended" } }, "values": { "Human": { "ICCIF-species-checked": "testedAndGuaranteed", "ICCIF-species-dilution-info": "", "ICCIF-species-notes": "<p></p>", "IP-species-checked": "guaranteed", "IP-species-dilution-info": "", "IP-species-notes": "", "WB-species-checked": "testedAndGuaranteed", "WB-species-dilution-info": "", "WB-species-notes": "<p></p>", "IHCP-species-checked": "testedAndGuaranteed", "IHCP-species-dilution-info": "", "IHCP-species-notes": "<p></p>", "FlowCytIntra-species-checked": "testedAndGuaranteed", "FlowCytIntra-species-dilution-info": "", "FlowCytIntra-species-notes": "<p></p>" }, "Mouse": { "ICCIF-species-checked": "guaranteed", "ICCIF-species-dilution-info": "", "ICCIF-species-notes": "", "IP-species-checked": "guaranteed", "IP-species-dilution-info": "", "IP-species-notes": "", "WB-species-checked": "testedAndGuaranteed", "WB-species-dilution-info": "", "WB-species-notes": "<p></p>", "IHCP-species-checked": "guaranteed", "IHCP-species-dilution-info": "", "IHCP-species-notes": "", "FlowCytIntra-species-checked": "guaranteed", "FlowCytIntra-species-dilution-info": "", "FlowCytIntra-species-notes": "" }, "Rat": { "ICCIF-species-checked": "guaranteed", "ICCIF-species-dilution-info": "", "ICCIF-species-notes": "", "IP-species-checked": "testedAndGuaranteed", "IP-species-dilution-info": "", "IP-species-notes": "<p></p>", "WB-species-checked": "guaranteed", "WB-species-dilution-info": "", "WB-species-notes": "", "IHCP-species-checked": "guaranteed", "IHCP-species-dilution-info": "", "IHCP-species-notes": "", "FlowCytIntra-species-checked": "guaranteed", "FlowCytIntra-species-dilution-info": "", "FlowCytIntra-species-notes": "" } } }

产品详情

ab247250 is the carrier-free version of ab32373.

Conjugation ready
Our carrier-free antibodies are typically supplied in a PBS-only formulation, purified and free of BSA, sodium azide and glycerol. This conjugation-ready format is designed for use with fluorochromes, metal isotopes, oligonucleotides, and enzymes, which makes them ideal for antibody labelling, functional and cell-based assays, flow-based assays (e.g. mass cytometry) and Multiplex Imaging applications.

Use our conjugation kits for antibody conjugates that are ready-to-use in as little as 20 minutes with 1 minute hands-on-time and 100% antibody recovery: available for fluorescent dyes, HRP, biotin and gold.

Compatibility
This product is compatible with the Maxpar® Antibody Labeling Kit from Fluidigm, without the need for antibody preparation. Maxpar® is a trademark of Fluidigm Canada Inc.

性能和储存信息

形式
Liquid
纯化工艺
Affinity purification Protein A
存储溶液
pH: 7.2 - 7.4 Constituents: PBS
运输条件
Blue Ice
推荐的短期储存条件
+4°C
推荐的长期储存条件
+4°C
储存信息
Do Not Freeze

产品实验方案

For this product, it's our understanding that no specific protocols are required. You can visit:

靶点信息

GTPase activator for the nuclear Ras-related regulatory protein RAP-1A (KREV-1), converting it to the putatively inactive GDP-bound state.
See full target information RAP1GAP

文献 (1)

Recent publications for all applications. Explore the full list and refine your search

Medicine 102:e32862 PubMed36749274

2023

Urinary insulin signaling pathway related proteins may serve as potential biomarkers for monitoring diabetes mellitus without hypertension and hyperlipidemia.

Applications

Unspecified application

Species

Unspecified reactive species

Man Zhao,Qian Meng,Man Zhang
View all publications

Abcam Product Promise

我们致力于为您的研究提供高质量的试剂,为您科研的每一步提供支持。若我们的产品未能达到预期性能,我们向您提供 Abcam Product Promise 保障。
详情请参阅我们的条款与条件。

Please note: All products are 'FOR RESEARCH USE ONLY. NOT FOR USE IN DIAGNOSTIC OR THERAPEUTIC PROCEDURES'.

For licensing inquiries, please contact partnerships@abcam.com