JavaScript is disabled in your browser. Please enable JavaScript to view this website.
AB170105

重组Anti-RALY抗体[EPR10121]

Anti-RALY antibody [EPR10121]

Be the first to review this product! Submit a review

|

(8 Publications)

Rabbit Recombinant Monoclonal RALY antibody. Suitable for IHC-P, WB, ICC/IF and reacts with Human samples. Cited in 8 publications.

查看别名

HNRPCL2, P542, RALY, RNA-binding protein Raly, Autoantigen p542, Heterogeneous nuclear ribonucleoprotein C-like 2, hnRNP associated with lethal yellow protein homolog, hnRNP core protein C-like 2

4 Images
Immunocytochemistry/ Immunofluorescence - Anti-RALY antibody [EPR10121] (AB170105)
  • ICC/IF

Unknown

Immunocytochemistry/ Immunofluorescence - Anti-RALY antibody [EPR10121] (AB170105)

Immunofluorescence analysis of HepG2 cells labeling RALY with ab170105 at a 1/250 dilution.

Immunohistochemistry (Formalin/PFA-fixed paraffin-embedded sections) - Anti-RALY antibody [EPR10121] (AB170105)
  • IHC-P

Unknown

Immunohistochemistry (Formalin/PFA-fixed paraffin-embedded sections) - Anti-RALY antibody [EPR10121] (AB170105)

Immunohistochemical analysis of paraffin embedded Human heart tissue labeling RALY with ab170105 at a 1/100 dilution.

Perform heat mediated antigen retrieval before commencing with IHC staining protocol.

Immunohistochemistry (Formalin/PFA-fixed paraffin-embedded sections) - Anti-RALY antibody [EPR10121] (AB170105)
  • IHC-P

Unknown

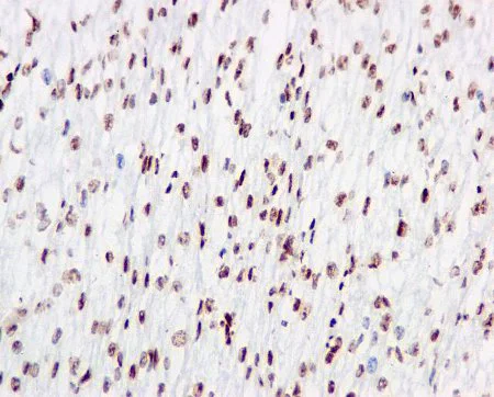
Immunohistochemistry (Formalin/PFA-fixed paraffin-embedded sections) - Anti-RALY antibody [EPR10121] (AB170105)

Immunohistochemical analysis of paraffin embedded Human brain tissue labeling RALY with ab170105 at a 1/100 dilution.

Perform heat mediated antigen retrieval before commencing with IHC staining protocol.

Western blot - Anti-RALY antibody [EPR10121] (AB170105)
  • WB

Unknown

Western blot - Anti-RALY antibody [EPR10121] (AB170105)

All lanes:

Western blot - Anti-RALY antibody [EPR10121] (ab170105) at 1/1000 dilution

Lane 1:

HeLa cell lysate at 10 µg

Lane 2:

HepG2 cell lysate at 10 µg

Lane 3:

Jurkat cell lysate at 10 µg

Lane 4:

A549 cell lysate at 10 µg

Secondary

All lanes:

Goat anti-rabbit HRP at 1/2000 dilution

Predicted band size: 32 kDa

false

不同偶联物与剂型 (1)

  • Carrier free

    Anti-RALY antibody [EPR10121] - BSA and Azide free

关键信息

宿主种属

Rabbit

克隆

Monoclonal

克隆号

EPR10121

亚型

IgG

不含载体蛋白

No

反应种属

Human

应用

ICC/IF, IHC-P, WB

applications

免疫原

The exact immunogen used to generate this antibody is proprietary information.

反应性数据

{ "title": "Reactivity Data", "filters": { "stats": ["", "Species", "Dilution Info", "Notes"], "tabs": { "all-applications": {"fullname" : "All Applications", "shortname": "All Applications"}, "IHCP" : {"fullname" : "Immunohistochemistry (Formalin/PFA-fixed paraffin-embedded sections)", "shortname":"IHC-P"}, "FlowCyt" : {"fullname" : "Flow Cytometry", "shortname":"Flow Cyt"}, "WB" : {"fullname" : "Western blot", "shortname":"WB"}, "ICCIF" : {"fullname" : "Immunocytochemistry/ Immunofluorescence", "shortname":"ICC/IF"} }, "product-promise": { "all": "all", "testedAndGuaranteed": "tested", "guaranteed": "expected", "predicted": "predicted", "notRecommended": "not-recommended" } }, "values": { "Human": { "IHCP-species-checked": "testedAndGuaranteed", "IHCP-species-dilution-info": "1/100 - 1/250", "IHCP-species-notes": "<p>Use of an HRP/AP polymerized secondary antibody recommended.</p>", "FlowCyt-species-checked": "notRecommended", "FlowCyt-species-dilution-info": "", "FlowCyt-species-notes": "<p></p>", "WB-species-checked": "testedAndGuaranteed", "WB-species-dilution-info": "1/1000 - 1/5000", "WB-species-notes": "<p></p>", "ICCIF-species-checked": "testedAndGuaranteed", "ICCIF-species-dilution-info": "1/250 - 1/500", "ICCIF-species-notes": "<p></p>" }, "Mouse": { "IHCP-species-checked": "predicted", "IHCP-species-dilution-info": "", "IHCP-species-notes": "", "FlowCyt-species-checked": "notRecommended", "FlowCyt-species-dilution-info": "", "FlowCyt-species-notes": "", "WB-species-checked": "predicted", "WB-species-dilution-info": "", "WB-species-notes": "", "ICCIF-species-checked": "predicted", "ICCIF-species-dilution-info": "", "ICCIF-species-notes": "" }, "Rat": { "IHCP-species-checked": "predicted", "IHCP-species-dilution-info": "", "IHCP-species-notes": "", "FlowCyt-species-checked": "notRecommended", "FlowCyt-species-dilution-info": "", "FlowCyt-species-notes": "", "WB-species-checked": "predicted", "WB-species-dilution-info": "", "WB-species-notes": "", "ICCIF-species-checked": "predicted", "ICCIF-species-dilution-info": "", "ICCIF-species-notes": "" } } }

产品详情

Patented technology
Our RabMAb® technology is a patented hybridoma-based technology for making rabbit monoclonal antibodies. For details on our patents, please refer to RabMAb® patents.

What are the advantages of a recombinant monoclonal antibody?
This product is a recombinant monoclonal antibody, which offers several advantages including:

  • - High batch-to-batch consistency and reproducibility
  • - Improved sensitivity and specificity
  • - Long-term security of supply
  • - Animal-free batch production

For more information, read more on recombinant antibodies.

性能和储存信息

形式
Liquid
纯度
Tissue culture supernatant
存储溶液
pH: 7.2 - 7.4 Preservative: 0.01% Sodium azide Constituents: PBS, 50% Tissue culture supernatant, 40% Glycerol (glycerin, glycerine), 0.05% BSA
运输条件
Blue Ice
推荐的短期储存时间
1-2 weeks
推荐的短期储存条件
+4°C
推荐的长期储存条件
-20°C
分装信息
Upon delivery aliquot

产品实验方案

For this product, it's our understanding that no specific protocols are required. You can visit:

靶点信息

RNA-binding protein that acts as a transcriptional cofactor for cholesterol biosynthetic genes in the liver. Binds the lipid-responsive non-coding RNA LeXis and is required for LeXis-mediated effect on cholesterogenesis (By similarity). May be a heterogeneous nuclear ribonucleoprotein (hnRNP) (PubMed : 9376072).
See full target information RALY

文献 (8)

Recent publications for all applications. Explore the full list and refine your search

Acta pharmaceutica Sinica. B 15:1552-1570 PubMed40370540

2025

BRD4 regulates mA of ESPL1 mRNA interaction with ALKBH5 to modulate breast cancer progression.

Applications

Unspecified application

Species

Unspecified reactive species

Haisheng Zhang,Linlin Lu,Cheng Yi,Tao Jiang,Yunqing Lu,Xianyuan Yang,Ke Zhong,Jiawang Zhou,Jiexin Li,Guoyou Xie,Zhuojia Chen,Zongpei Jiang,Gholamreza Asadikaram,Yanxi Peng,Dan Zhou,Hongsheng Wang

Nucleic acids research 52:9463-9480 PubMed38989615

2024

BOD1L mediates chromatin binding and non-canonical function of H3K4 methyltransferase SETD1A.

Applications

Unspecified application

Species

Unspecified reactive species

Takayuki Hoshii,Sota Kikuchi,Tomoya Kujirai,Takeshi Masuda,Tomoko Ito,Satoshi Yasuda,Makoto Matsumoto,Bahityar Rahmutulla,Masaki Fukuyo,Takeshi Murata,Hitoshi Kurumizaka,Atsushi Kaneda

iScience 26:106701 PubMed37207277

2023

Using brain cell-type-specific protein interactomes to interpret neurodevelopmental genetic signals in schizophrenia.

Applications

Unspecified application

Species

Unspecified reactive species

Yu-Han H Hsu,Greta Pintacuda,Ruize Liu,Eugeniu Nacu,April Kim,Kalliopi Tsafou,Natalie Petrossian,William Crotty,Jung Min Suh,Jackson Riseman,Jacqueline M Martin,Julia C Biagini,Daya Mena,Joshua K T Ching,Edyta Malolepsza,Taibo Li,Tarjinder Singh,Tian Ge,Shawn B Egri,Benjamin Tanenbaum,Caroline R Stanclift,Annie M Apffel,Steven A Carr,Monica Schenone,Jake Jaffe,Nadine Fornelos,Hailiang Huang,Kevin C Eggan,Kasper Lage

Cells 11: PubMed36010613

2022

New Insights on the Regulation of the Insulin-Degrading Enzyme: Role of microRNAs and RBPs.

Applications

Unspecified application

Species

Unspecified reactive species

Yolanda Martín-Martín,Ana Pérez-García,Marta Torrecilla-Parra,Mario Fernández-de Frutos,Virginia Pardo-Marqués,María José Casarejos,Rebeca Busto,Cristina M Ramírez

The Journal of biological chemistry 298:102190 PubMed35753351

2022

Nuclear ribonucleoprotein RALY targets virus nucleocapsid protein and induces autophagy to restrict porcine epidemic diarrhea virus replication.

Applications

Unspecified application

Species

Unspecified reactive species

Wenzhen Qin,Ning Kong,Yu Zhang,Sujie Dong,Huanjie Zhai,Xueying Zhai,Xinyu Yang,Chenqian Ye,Manqing Ye,Changlong Liu,Lingxue Yu,Hao Zheng,Hai Yu,Wen Zhang,Guangzhi Tong,Daoliang Lan,Wu Tong,Tongling Shan

Gut 70:1698-1712 PubMed33219048

2020

RNA-binding protein RALY reprogrammes mitochondrial metabolism via mediating miRNA processing in colorectal cancer.

Applications

Unspecified application

Species

Unspecified reactive species

Lei Sun,Arabella Wan,Zhuolong Zhou,Dongshi Chen,Heng Liang,Chuwei Liu,Shijia Yan,Yi Niu,Ziyou Lin,Siyue Zhan,Shanfeng Wang,Xianzhang Bu,Weiling He,Xiongbin Lu,Anlong Xu,Guohui Wan

Nature communications 11:4755 PubMed32958772

2020

Regulation of cellular sterol homeostasis by the oxygen responsive noncoding RNA lincNORS.

Applications

Unspecified application

Species

Unspecified reactive species

Xue Wu,Cristina M Niculite,Mihai Bogdan Preda,Annalisa Rossi,Toma Tebaldi,Elena Butoi,Mattie K White,Oana M Tudoran,Daniela N Petrusca,Amber S Jannasch,William P Bone,Xingyue Zong,Fang Fang,Alexandrina Burlacu,Michelle T Paulsen,Brad A Hancock,George E Sandusky,Sumegha Mitra,Melissa L Fishel,Aaron Buechlein,Cristina Ivan,Spyros Oikonomopoulos,Myriam Gorospe,Amber Mosley,Milan Radovich,Utpal P Davé,Jiannis Ragoussis,Kenneth P Nephew,Bernard Mari,Alan McIntyre,Heiko Konig,Mats Ljungman,Diana L Cousminer,Paolo Macchi,Mircea Ivan

Nature communications 11:984 PubMed32080181

2020

Collaborative interactions of heterogenous ribonucleoproteins contribute to transcriptional regulation of sterol metabolism in mice.

Applications

Unspecified application

Species

Unspecified reactive species

Zhengyi Zhang,An-Chieh Feng,David Salisbury,Xin Liu,Xiaohui Wu,Jason Kim,Irina Lapina,Dan Wang,Brennan Lee,Josue Fraga,Calvin Pan,Kevin J Williams,Aldons J Lusis,Phil Scumpia,Tamer Sallam
View all publications

Abcam Product Promise

我们致力于为您的研究提供高质量的试剂,为您科研的每一步提供支持。若我们的产品未能达到预期性能,我们向您提供 Abcam Product Promise 保障。
详情请参阅我们的条款与条件。

Please note: All products are 'FOR RESEARCH USE ONLY. NOT FOR USE IN DIAGNOSTIC OR THERAPEUTIC PROCEDURES'.

For licensing inquiries, please contact partnerships@abcam.com