JavaScript is disabled in your browser. Please enable JavaScript to view this website.
AB3611

Anti-RAGE 抗体

Anti-RAGE antibody

4

(16 Reviews)

|

(188 Publications)

Anti-RAGE antibody (ab3611) is a rabbit polyclonal antibody detecting RAGE in Western Blot, IHC-P, IHC-Fr. Suitable for Mouse.

- Over 160 publications
- Trusted since 2003

查看别名

Rage, Ager, Advanced glycosylation end product-specific receptor, Receptor for advanced glycosylation end products

5 Images
Immunohistochemistry (Formalin/PFA-fixed paraffin-embedded sections) - Anti-RAGE antibody (AB3611)
  • IHC-P

Unknown

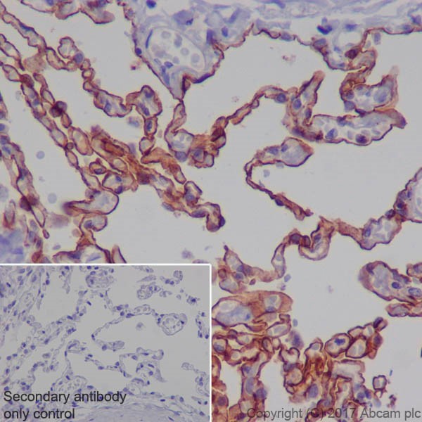
Immunohistochemistry (Formalin/PFA-fixed paraffin-embedded sections) - Anti-RAGE antibody (AB3611)

Immunohistochemistry was performed on normal biopsies of deparaffinized Mouse lymph node tissue . To expose target proteins heat induced antigen retrieval was performed using 10mM sodium citrate (pH6.0) buffer microwaved for 8-15 minutes. Following antigen retrieval tissues were blocked in 3% BSA-PBS for 30 minutes at room temperature. Tissues were then probed at a dilution of 1 : 20 with a rabbit polyclonal antibody recognizing RAGE ab3611 or without primary antibody (negative control) overnight at 4°C in a humidified chamber. Tissues were washed extensively with PBST and endogenous peroxidase activity was quenched with a peroxidase suppressor. Detection was performed using a biotin-conjugated secondary antibody and SA-HRP followed by colorimetric detection using DAB. Tissues were counterstained with hematoxylin and prepped for mounting.

Immunohistochemistry (Formalin/PFA-fixed paraffin-embedded sections) - Anti-RAGE antibody (AB3611)
  • IHC-P

Unknown

Immunohistochemistry (Formalin/PFA-fixed paraffin-embedded sections) - Anti-RAGE antibody (AB3611)

Immunohistochemistry was performed on normal biopsies of deparaffinized Mouse heart tissue. To expose target proteins heat induced antigen retrieval was performed using 10mM sodium citrate (pH6.0) buffer microwaved for 8-15 minutes. Following antigen retrieval tissues were blocked in 3% BSA-PBS for 30 minutes at room temperature. Tissues were then probed at a dilution of 1 : 20 with a rabbit polyclonal antibody recognizing RAGE ab3611 or without primary antibody (negative control) overnight at 4°C in a humidified chamber. Tissues were washed extensively with PBST and endogenous peroxidase activity was quenched with a peroxidase suppressor. Detection was performed using a biotin-conjugated secondary antibody and SA-HRP followed by colorimetric detection using DAB. Tissues were counterstained with hematoxylin and prepped for mounting.

Immunohistochemistry (Frozen sections) - Anti-RAGE antibody (AB3611)
  • IHC-Fr

Supplier Data

Immunohistochemistry (Frozen sections) - Anti-RAGE antibody (AB3611)

ab3611 used in IHC (frozen) in transgenic mouse retinas.

Immunohistochemistry (Formalin/PFA-fixed paraffin-embedded sections) - Anti-RAGE antibody (AB3611)
  • IHC-P

Unknown

Immunohistochemistry (Formalin/PFA-fixed paraffin-embedded sections) - Anti-RAGE antibody (AB3611)

Immunohistochemistry was performed on normal biopsies of deparaffinized Mouse kidney tissue. To expose target proteins heat induced antigen retrieval was performed using 10mM sodium citrate (pH6.0) buffer microwaved for 8-15 minutes. Following antigen retrieval tissues were blocked in 3% BSA-PBS for 30 minutes at room temperature. Tissues were then probed at a dilution of 1 : 20 with a rabbit polyclonal antibody recognizing RAGE ab3611 or without primary antibody (negative control) overnight at 4°C in a humidified chamber. Tissues were washed extensively with PBST and endogenous peroxidase activity was quenched with a peroxidase suppressor. Detection was performed using a biotin-conjugated secondary antibody and SA-HRP followed by colorimetric detection using DAB. Tissues were counterstained with hematoxylin and prepped for mounting.

Western blot - Anti-RAGE antibody (AB3611)
  • WB

Supplier Data

Western blot - Anti-RAGE antibody (AB3611)

ab3611 at a 2μg/ml concentration staining ~ 45 kDa RAGE in mouse lung lysate by Western blot (ECL).This antibody detects two bands in the 45 kDa range representing the RAGE protein pre and post-glycosylation in mouse lung extract. This antibody also detects an ~25 kDa protein that is believed to be proteolytic degradation product.

All lanes:

Western blot - Anti-RAGE antibody (ab3611)

Predicted band size: 42 kDa

false

关键信息

宿主种属

Rabbit

克隆

Polyclonal

亚型

IgG

不含载体蛋白

No

反应种属

Mouse

应用

IHC-P, IHC-Fr, WB

applications

免疫原

Synthetic Peptide within Rat Ager aa 350-400. The exact immunogen used to generate this antibody is proprietary information.

Q63495

特异性

By Western blot, this antibody detects two bands in the 45 kDa range representing the RAGE protein pre and post glycosylation in Mouse lung extract. This antibody also detects an ~25 kDa protein that is believed to be proteolytic degradation product. Immunohistochemical staining of RAGE in transgenic Mouse retina results in staining of the retinal pigmented epithelium and photo receptor cell layers.

反应性数据

{ "title": "Reactivity Data", "filters": { "stats": ["", "Species", "Dilution Info", "Notes"], "tabs": { "all-applications": {"fullname" : "All Applications", "shortname": "All Applications"}, "WB" : {"fullname" : "Western blot", "shortname":"WB"}, "IHCP" : {"fullname" : "Immunohistochemistry (Formalin/PFA-fixed paraffin-embedded sections)", "shortname":"IHC-P"}, "IHCFr" : {"fullname" : "Immunohistochemistry (Frozen sections)", "shortname":"IHC-Fr"} }, "product-promise": { "all": "all", "testedAndGuaranteed": "tested", "guaranteed": "expected", "predicted": "predicted", "notRecommended": "not-recommended" } }, "values": { "Mouse": { "WB-species-checked": "testedAndGuaranteed", "WB-species-dilution-info": "1 µg/mL", "WB-species-notes": "<p></p>", "IHCP-species-checked": "testedAndGuaranteed", "IHCP-species-dilution-info": "1/10 - 1/100", "IHCP-species-notes": "<p></p>", "IHCFr-species-checked": "testedAndGuaranteed", "IHCFr-species-dilution-info": "1-2 µg/mL", "IHCFr-species-notes": "<p></p>" } } }

产品详情

What is this antibody validated in?
Anti-RAGE antibody (ab3611) is a rabbit polyclonal antibody and is validated for use in Western Blot (WB), Immunohistochemistry (IHC-P), Immunohistochemistry (IHC-Fr) in Mouse samples.

What is the molecular weight of RAGE?
Anti-RAGE (ab3611) specifically detects a band for RAGE (UniProt: Q15109) at a molecular weight of 42.6kDa.

Trusted by the scientific community
Anti-RAGE (ab3611) was first used in a scientific publication in 2003 and has been cited over 160 times in peer-reviewed journals.

Reviewed by scientists
Anti-RAGE (ab3611) has over 15 independent reviews from customers.

性能和储存信息

形式
Liquid
纯化工艺
Affinity purification Immunogen
存储溶液
Preservative: 0.05% Sodium azide Constituents: PBS, 0.1% BSA
运输条件
Blue Ice
推荐的短期储存时间
1-2 weeks
推荐的短期储存条件
+4°C
推荐的长期储存条件
-20°C
分装信息
Upon delivery aliquot
储存信息
Avoid freeze / thaw cycle

补充信息

This supplementary information is collated from multiple sources and compiled automatically.

RAGE also known as Receptor for Advanced Glycation End-products is a multi-ligand cell surface receptor with a molecular weight of approximately 45 kDa. It belongs to the immunoglobulin superfamily consisting of three extracellular immunoglobulin-like domains a transmembrane domain and a cytoplasmic tail. RAGE is widely expressed in various tissues throughout the body with high expression levels in the lungs heart and cells of the nervous system. The receptor can interact with several ligands such as advanced glycation end-products (AGEs) amyloid beta and S100/calgranulin proteins facilitating signal transduction into the cells.
Biological function summary

RAGE functions in the immune and inflammatory response where it mediates cell signaling that leads to cellular activation and the release of pro-inflammatory cytokines. It acts as part of complexes with different proteins contributing to cellular processes such as proliferation and migration. RAGE also plays roles in the regulation of oxidative stress and apoptosis impacting cellular health and survival. Researchers employ tools like 'anti-RAGE' antibodies and 'RAGER ELISA' assays to measure and study RAGE expression levels and its interactions in various experimental setups.

Pathways

RAGE is significantly involved in the NF-kB pathway and the MAPK signaling cascade. Its activation can lead to the release of NF-kB a transcription factor that plays an essential role in immune and inflammatory responses. RAGE interacts with proteins such as p38 MAPK leading to a cascade of events that regulate inflammation and stress responses. The signaling pathways involving RAGE are important in maintaining cell homeostasis and responding to cellular stressors and tools like 'anti-RAGE' and 'mouse RAGE' antibodies serve to elucidate these complex pathways further.

RAGE has strong associations with chronic diseases like diabetes and Alzheimer's disease. In diabetes RAGE binds to AGEs contributing to inflammation and vascular complications where it often interacts with proteins like iNOS and VEGF. In Alzheimer's disease RAGE is implicated in the accumulation and toxicity of amyloid-beta peptides interacting with proteins such as APP and tau. Understanding RAGE's role in these diseases can aid in developing therapeutic strategies employing reagents such as 'phen RAGE' and 'anti-RAGE' for targeted treatment approaches.

产品实验方案

For this product, it's our understanding that no specific protocols are required. You can visit:

靶点信息

Cell surface pattern recognition receptor that senses endogenous stress signals with a broad ligand repertoire including advanced glycation end products, S100 proteins, high-mobility group box 1 protein/HMGB1, amyloid beta/APP oligomers, nucleic acids, phospholipids and glycosaminoglycans (PubMed : 19910580, PubMed : 28627626). Advanced glycosylation end products are nonenzymatically glycosylated proteins which accumulate in vascular tissue in aging and at an accelerated rate in diabetes. These ligands accumulate at inflammatory sites during the pathogenesis of various diseases, including diabetes, vascular complications, neurodegenerative disorders, and cancers and RAGE transduces their binding into pro-inflammatory responses. Upon ligand binding, uses TIRAP and MYD88 as adapters to transduce the signal ultimately leading to the induction or inflammatory cytokines IL6, IL8 and TNFalpha through activation of NF-kappa-B. Interaction with S100A12 on endothelium, mononuclear phagocytes, and lymphocytes triggers cellular activation, with generation of key pro-inflammatory mediators (By similarity). Interaction with S100B after myocardial infarction may play a role in myocyte apoptosis by activating ERK1/2 and p53/TP53 signaling (By similarity). Contributes to the translocation of amyloid-beta peptide (ABPP) across the cell membrane from the extracellular to the intracellular space in cortical neurons. ABPP-initiated RAGE signaling, especially stimulation of p38 mitogen-activated protein kinase (MAPK), has the capacity to drive a transport system delivering ABPP as a complex with RAGE to the intraneuronal space. Participates in endothelial albumin transcytosis together with HMGB1 through the RAGE/SRC/Caveolin-1 pathway, leading to endothelial hyperpermeability. Mediates the loading of HMGB1 in extracellular vesicles (EVs) that shuttle HMGB1 to hepatocytes by transferrin-mediated endocytosis and subsequently promote hepatocyte pyroptosis by activating the NLRP3 inflammasome. Promotes also extracellular hypomethylated DNA (CpG DNA) uptake by cells via the endosomal route to activate inflammatory responses (By similarity).
See full target information Ager

文献 (188)

Recent publications for all applications. Explore the full list and refine your search

International journal of molecular sciences 26: PubMed41009351

2025

Inhibition of the HMGB1-RAGE Axis Attenuates Microglial Inflammation and Ameliorates Hypoxia-Induced Cognitive Impairment.

Applications

Unspecified application

Species

Unspecified reactive species

Chenlin Liu,Haowei Zhang,Ruili Guan,Yuankang Zou,Mengyu Chen,Mingrui Du,Wenjing Luo,Jianbin Zhang

Antioxidants (Basel, Switzerland) 14: PubMed40867796

2025

High-Fructose High-Fat Diet Renders the Retina More Susceptible to Blue Light Photodamage in Mice.

Applications

Unspecified application

Species

Unspecified reactive species

Meng-Wei Kao,Wan-Ju Yeh,Hsin-Yi Yang,Chi-Hao Wu

Nature communications 16:6807 PubMed40707439

2025

Renal tubular GSDME protects cisplatin nephrotoxicity by impeding OGT-STAT3-S100A7A axis in male mice.

Applications

Unspecified application

Species

Unspecified reactive species

Qingzhou Chen,Pengxiao Sun,Jiaxin Zhou,Tantan Long,An Xiao,Zhuoliang Liu,Shihui Xu,Wenjing Lei,Rui Zhang,Jianwei Tian,Miaomiao Zhou,Zheng Hu,Fengxin Zhu,Jing Nie

Alzheimer's research & therapy 17:139 PubMed40544243

2025

Edaravone-Dexborneol slows down pathological progression and cognitive decline via inhibiting S100A9 in APPswe/PS1dE9 mice.

Applications

Unspecified application

Species

Unspecified reactive species

Rui Mao,Shu Shu,Min Sun,Jiang Chen,Mengsha Hu,Lei Ye,Siyi Xu,Junqiu Jia,Wenxuan Shao,Xinyu Bao,Yun Xu,Xiaolei Zhu

International journal of molecular sciences 26: PubMed40141075

2025

A Soluble Epoxide Hydrolase Inhibitor Improves Cerebrovascular Dysfunction, Neuroinflammation, Amyloid Burden, and Cognitive Impairments in the hAPP/PS1 TgF344-AD Rat Model of Alzheimer's Disease.

Applications

Unspecified application

Species

Unspecified reactive species

Xing Fang,Jane J Border,Huawei Zhang,Lavanya Challagundla,Jasleen Kaur,Sung Hee Hwang,Bruce D Hammock,Fan Fan,Richard J Roman

Frontiers in aging neuroscience 17:1531628 PubMed40046779

2025

Adolescent binge alcohol exposure accelerates Alzheimer's disease-associated basal forebrain neuropathology through proinflammatory HMGB1 signaling.

Applications

Unspecified application

Species

Unspecified reactive species

Rachael P Fisher,Lindsay Matheny,Sarrah Ankeny,Liya Qin,Leon G Coleman,Ryan P Vetreno

Molecular neurobiology 62:7183-7204 PubMed39863743

2025

The Receptor for Advanced Glycation End-products in the Mouse Anterior Cingulate Cortex is Involved in Neuron‒Astrocyte Coupling in Chronic Inflammatory Pain and Anxiety Comorbidity.

Applications

Unspecified application

Species

Unspecified reactive species

Wei Jiang,Minmin Gong,Linlin Shen,Chenghui Yu,Huaizhen Ruan,Penghui Chen,Shihao Gao,Zhi Xiao

Kidney360 6:208-218 PubMed39636697

2024

Involvement of Mineralocorticoid Receptor Activation by High Mobility Group Box 1 and Receptor for Advanced Glycation End Products in the Development of Acute Kidney Injury.

Applications

Unspecified application

Species

Unspecified reactive species

Tomoyuki Otsuka,Seiji Ueda,Sho-Ichi Yamagishi,Hajime Nagasawa,Teruyuki Okuma,Keiichi Wakabayashi,Takashi Kobayashi,Maki Murakoshi,Masami Nakata,Tomohito Gohda,Takanori Matsui,Yuichiro Higashimoto,Yusuke Suzuki

Frontiers in pharmacology 15:1412169 PubMed39175545

2024

Pioglitazone treatment mitigates cardiovascular bioprosthetic degeneration in a chronic kidney disease model.

Applications

Unspecified application

Species

Unspecified reactive species

Shintaro Katahira,Mareike Barth,Robin Döpp,Yukiharu Sugimura,Vera Schmidt,Jessica Isabel Selig,Yoshikatsu Saiki,Joachim Jankowski,Nikolaus Marx,Willi Jahnen-Dechent,Artur Lichtenberg,Payam Akhyari

PloS one 19:e0307038 PubMed39150932

2024

Immunohistochemical analyses reveal FoxP3 expressions in spleen and colorectal cancer in mice treated with AOM/DSS, and their suppression by glycyrrhizin.

Applications

Unspecified application

Species

Unspecified reactive species

Guifeng Wang,Keiichi Hiramoto,Ning Ma,Shiho Ohnishi,Akihiro Morita,Yifei Xu,Nobuji Yoshikawa,Yasuo Chinzei,Mariko Murata,Shosuke Kawanishi
View all publications

Abcam Product Promise

我们致力于为您的研究提供高质量的试剂,为您科研的每一步提供支持。若我们的产品未能达到预期性能,我们向您提供 Abcam Product Promise 保障。
详情请参阅我们的条款与条件。

Please note: All products are 'FOR RESEARCH USE ONLY. NOT FOR USE IN DIAGNOSTIC OR THERAPEUTIC PROCEDURES'.

For licensing inquiries, please contact partnerships@abcam.com