JavaScript is disabled in your browser. Please enable JavaScript to view this website.
AB70810

Anti-Rad9 抗体

Anti-Rad9 antibody

4

(1 Review)

|

(7 Publications)

Rabbit Polyclonal Rad9 antibody. Suitable for IHC-P, IP, WB and reacts with Human samples. Cited in 7 publications. Immunogen corresponding to Synthetic Peptide within Human RAD9A.

查看别名

Cell cycle checkpoint control protein RAD9A, hRAD9, DNA repair exonuclease rad9 homolog A, RAD9A

4 Images
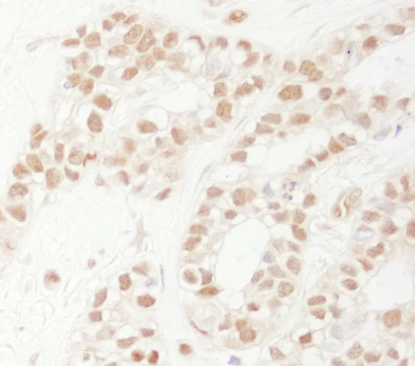
Immunohistochemistry (Formalin/PFA-fixed paraffin-embedded sections) - Anti-Rad9 antibody (AB70810)
  • IHC-P

Unknown

Immunohistochemistry (Formalin/PFA-fixed paraffin-embedded sections) - Anti-Rad9 antibody (AB70810)

Immunohistochemistry (Formalin/PFA-fixed paraffin-embedded sections) analysis of human breast carcinoma tissue labelling Rad9 with ab70810 at 1/1000 (1µg/ml). Detection : DAB.

Immunohistochemistry (Formalin/PFA-fixed paraffin-embedded sections) - Anti-Rad9 antibody (AB70810)
  • IHC-P

Unknown

Immunohistochemistry (Formalin/PFA-fixed paraffin-embedded sections) - Anti-Rad9 antibody (AB70810)

IHC image of ab70810 staining in human normal cervix formalin fixed paraffin embedded tissue section, performed on a Leica BondTM system using the standard protocol F. The section was pre-treated using heat mediated antigen retrieval with EDTA (pH9, epitope retrieval solution 2) for 20 mins. The section was then incubated with ab70810, 5µg/ml, for 15 mins at room temperature and detected using an HRP conjugated compact polymer system. DAB was used as the chromogen. The section was then counterstained with haematoxylin and mounted with DPX.

For other IHC staining systems (automated and non-automated) customers should optimize variable parameters such as antigen retrieval conditions, primary antibody concentration and antibody incubation times.

Immunoprecipitation - Anti-Rad9 antibody (AB70810)
  • IP

Unknown

Immunoprecipitation - Anti-Rad9 antibody (AB70810)

1mg whole cell lysate from HeLa cells was immunoprecipitated using ab70810 at 3ug/mg of lysate (lane 1) or a control rabbit Ig (lane 2). For the subsequent western blot, 20% of the immunoprecipitate was loaded per lane, and probed with ab70810 at 1ug/ml.
Detection : chemiluminescence with exposure time of 30 seconds.

All lanes:

Immunoprecipitation - Anti-Rad9 antibody (ab70810)

Predicted band size: 43 kDa

false

Western blot - Anti-Rad9 antibody (AB70810)
  • WB

Unknown

Western blot - Anti-Rad9 antibody (AB70810)

All lanes:

Western blot - Anti-Rad9 antibody (ab70810) at 0.1 µg/mL

Lane 1:

HeLa whole cell lysate at 50 µg

Lane 2:

HeLa whole cell lysate at 15 µg

Lane 3:

HeLa whole cell lysate at 5 µg

Lane 4:

293T whole cell lysate at 50 µg

Predicted band size: 43 kDa

Observed band size: 55 kDa

true

Exposure time: 3min

关键信息

宿主种属

Rabbit

克隆

Polyclonal

亚型

IgG

不含载体蛋白

No

反应种属

Human

应用

IHC-P, WB, IP

applications

免疫原

Synthetic Peptide within Human RAD9A. The exact immunogen used to generate this antibody is proprietary information.

Q99638

反应性数据

{ "title": "Reactivity Data", "filters": { "stats": ["", "Species", "Dilution Info", "Notes"], "tabs": { "all-applications": {"fullname" : "All Applications", "shortname": "All Applications"}, "IHCP" : {"fullname" : "Immunohistochemistry (Formalin/PFA-fixed paraffin-embedded sections)", "shortname":"IHC-P"}, "IP" : {"fullname" : "Immunoprecipitation", "shortname":"IP"}, "WB" : {"fullname" : "Western blot", "shortname":"WB"} }, "product-promise": { "all": "all", "testedAndGuaranteed": "tested", "guaranteed": "expected", "predicted": "predicted", "notRecommended": "not-recommended" } }, "values": { "Human": { "IHCP-species-checked": "testedAndGuaranteed", "IHCP-species-dilution-info": "5 µg/mL", "IHCP-species-notes": "<p></p> Perform heat-mediated antigen retrieval before commencing with IHC staining protocol.", "IP-species-checked": "testedAndGuaranteed", "IP-species-dilution-info": "2-5 µg/mg of lysate", "IP-species-notes": "<p></p>", "WB-species-checked": "testedAndGuaranteed", "WB-species-dilution-info": "1/2000 - 1/10000", "WB-species-notes": "<p></p>" }, "Bat": { "IHCP-species-checked": "predicted", "IHCP-species-dilution-info": "", "IHCP-species-notes": "", "IP-species-checked": "predicted", "IP-species-dilution-info": "", "IP-species-notes": "", "WB-species-checked": "predicted", "WB-species-dilution-info": "", "WB-species-notes": "" }, "Cow": { "IHCP-species-checked": "predicted", "IHCP-species-dilution-info": "", "IHCP-species-notes": "", "IP-species-checked": "predicted", "IP-species-dilution-info": "", "IP-species-notes": "", "WB-species-checked": "predicted", "WB-species-dilution-info": "", "WB-species-notes": "" }, "Dog": { "IHCP-species-checked": "predicted", "IHCP-species-dilution-info": "", "IHCP-species-notes": "", "IP-species-checked": "predicted", "IP-species-dilution-info": "", "IP-species-notes": "", "WB-species-checked": "predicted", "WB-species-dilution-info": "", "WB-species-notes": "" }, "Ferret": { "IHCP-species-checked": "predicted", "IHCP-species-dilution-info": "", "IHCP-species-notes": "", "IP-species-checked": "predicted", "IP-species-dilution-info": "", "IP-species-notes": "", "WB-species-checked": "predicted", "WB-species-dilution-info": "", "WB-species-notes": "" }, "Gorilla": { "IHCP-species-checked": "predicted", "IHCP-species-dilution-info": "", "IHCP-species-notes": "", "IP-species-checked": "predicted", "IP-species-dilution-info": "", "IP-species-notes": "", "WB-species-checked": "predicted", "WB-species-dilution-info": "", "WB-species-notes": "" }, "Pig": { "IHCP-species-checked": "predicted", "IHCP-species-dilution-info": "", "IHCP-species-notes": "", "IP-species-checked": "predicted", "IP-species-dilution-info": "", "IP-species-notes": "", "WB-species-checked": "predicted", "WB-species-dilution-info": "", "WB-species-notes": "" }, "Rhesus monkey": { "IHCP-species-checked": "predicted", "IHCP-species-dilution-info": "", "IHCP-species-notes": "", "IP-species-checked": "predicted", "IP-species-dilution-info": "", "IP-species-notes": "", "WB-species-checked": "predicted", "WB-species-dilution-info": "", "WB-species-notes": "" } } }

性能和储存信息

形式
Liquid
纯化工艺
Affinity purification Immunogen
存储溶液
pH: 7 - 8 Preservative: 0.09% Sodium azide Constituents: PBS, 1.815% Tris, 1.764% Sodium citrate
运输条件
Blue Ice
推荐的短期储存时间
1-2 weeks
推荐的短期储存条件
+4°C
推荐的长期储存条件
+4°C
分装信息
Upon delivery aliquot
储存信息
Avoid freeze / thaw cycle

补充信息

This supplementary information is collated from multiple sources and compiled automatically.

Rad9 also known as RAD9A is an important component in the cell cycle checkpoint control and DNA repair mechanisms. The Rad9 protein has a molecular weight of approximately 48 kDa. It functions as a part of the 9-1-1 complex a sensor of DNA damage during cell cycle progression. Rad9 is expressed mainly in the nucleus of cells where it participates in recognizing and binding to DNA at sites of damage. Through its interaction with other checkpoint proteins it facilitates the recruitment and activation of enzymes involved in DNA repair.
Biological function summary

The Rad9 protein plays a central role in maintaining genomic stability. It acts as a DNA damage sensor and is part of the heterotrimeric 9-1-1 complex consisting of Rad9 Rad1 and Hus1. This complex helps signal the presence of DNA damage to halt the cell cycle allowing time for repair mechanisms to resolve issues. Rad9 helps prevent mutations that can lead to cell death or cancer development by ensuring effective DNA repair processes.

Pathways

The Rad9 protein functions in the DNA damage response and cell cycle checkpoint pathways. As part of these pathways it interacts with proteins such as ATR and Chk1 which are responsible for transmitting signals that initiate cell cycle arrest and DNA repair. The 9-1-1 complex with Rad9 as a critical component links the detection of DNA lesions to the activation of downstream effector proteins facilitating an appropriate cellular response to DNA damage.

Rad9 has been linked to cancer and other conditions involving genomic instability. Alterations in Rad9 function can impair the DNA damage response leading to the accumulation of mutations that predispose cells to cancerous transformations. Furthermore the protein's relationship with BRCA1 a well-known tumor suppressor gene highlights its role in breast cancer susceptibility. Disruptions in the Rad9 associated pathways may also contribute to other disorders where DNA repair is compromised such as certain types of anemias and other syndromes characterized by genomic instability.

产品实验方案

For this product, it's our understanding that no specific protocols are required. You can visit:

靶点信息

Component of the 9-1-1 cell-cycle checkpoint response complex that plays a major role in DNA repair (PubMed : 10713044, PubMed : 17575048, PubMed : 20545769, PubMed : 21659603, PubMed : 31135337). The 9-1-1 complex is recruited to DNA lesion upon damage by the RAD17-replication factor C (RFC) clamp loader complex (PubMed : 21659603). Acts then as a sliding clamp platform on DNA for several proteins involved in long-patch base excision repair (LP-BER) (PubMed : 21659603). The 9-1-1 complex stimulates DNA polymerase beta (POLB) activity by increasing its affinity for the 3'-OH end of the primer-template and stabilizes POLB to those sites where LP-BER proceeds; endonuclease FEN1 cleavage activity on substrates with double, nick, or gap flaps of distinct sequences and lengths; and DNA ligase I (LIG1) on long-patch base excision repair substrates (PubMed : 21659603). The 9-1-1 complex is necessary for the recruitment of RHNO1 to sites of double-stranded breaks (DSB) occurring during the S phase (PubMed : 21659603). RAD9A possesses 3'->5' double stranded DNA exonuclease activity (PubMed : 10713044).
See full target information RAD9A

文献 (7)

Recent publications for all applications. Explore the full list and refine your search

Cellular signalling 86:110091 PubMed34298089

2021

FOXP1 and NDRG1 act differentially as downstream effectors of RAD9-mediated prostate cancer cell functions.

Applications

Unspecified application

Species

Unspecified reactive species

Sunil K Panigrahi,Constantinos G Broustas,Ping Q Cuiper,Renu K Virk,Howard B Lieberman

Nature communications 11:123 PubMed31913317

2020

Treacle controls the nucleolar response to rDNA breaks via TOPBP1 recruitment and ATR activation.

Applications

Unspecified application

Species

Unspecified reactive species

Clémence Mooser,Ioanna-Eleni Symeonidou,Pia-Amata Leimbacher,Alison Ribeiro,Ann-Marie K Shorrocks,Stephanie Jungmichel,Sara C Larsen,Katja Knechtle,Arti Jasrotia,Diana Zurbriggen,Alain Jeanrenaud,Colin Leikauf,Daniel Fink,Michael L Nielsen,Andrew N Blackford,Manuel Stucki

Molecular cell 74:571-583.e8 PubMed30898438

2019

MDC1 Interacts with TOPBP1 to Maintain Chromosomal Stability during Mitosis.

Applications

Unspecified application

Species

Unspecified reactive species

Pia-Amata Leimbacher,Samuel E Jones,Ann-Marie K Shorrocks,Mara de Marco Zompit,Matthew Day,Jordy Blaauwendraad,Diana Bundschuh,Sarah Bonham,Roman Fischer,Daniel Fink,Benedikt M Kessler,Antony W Oliver,Laurence H Pearl,Andrew N Blackford,Manuel Stucki

Scientific reports 9:351 PubMed30674977

2019

Three Prime Repair Exonuclease 1 (TREX1) expression correlates with cervical cancer cells growth in vitro and disease progression in vivo.

Applications

Unspecified application

Species

Unspecified reactive species

Bruna Prati,Walason da Silva Abjaude,Lara Termini,Mirian Morale,Suellen Herbster,Adhemar Longatto-Filho,Rafaella Almeida Lima Nunes,Lizeth Carolina Córdoba Camacho,Silvia Helena Rabelo-Santos,Luiz Carlos Zeferino,Francisco Aguayo,Enrique Boccardo

Carcinogenesis 40:164-172 PubMed30295739

2018

RAD9A promotes metastatic phenotypes through transcriptional regulation of anterior gradient 2 (AGR2).

Applications

Unspecified application

Species

Unspecified reactive species

Constantinos G Broustas,Kevin M Hopkins,Sunil K Panigrahi,Li Wang,Renu K Virk,Howard B Lieberman

Genes & development 31:46-58 PubMed28115467

2017

PHF11 promotes DSB resection, ATR signaling, and HR.

Applications

WB

Species

Mouse

Yi Gong,Naofumi Handa,Stephen C Kowalczykowski,Titia de Lange

Nucleic acids research 43:4531-46 PubMed25873625

2015

Regulation of NEIL1 protein abundance by RAD9 is important for efficient base excision repair.

Applications

Unspecified application

Species

Unspecified reactive species

Sunil K Panigrahi,Kevin M Hopkins,Howard B Lieberman
View all publications

Abcam Product Promise

我们致力于为您的研究提供高质量的试剂,为您科研的每一步提供支持。若我们的产品未能达到预期性能,我们向您提供 Abcam Product Promise 保障。
详情请参阅我们的条款与条件。

Please note: All products are 'FOR RESEARCH USE ONLY. NOT FOR USE IN DIAGNOSTIC OR THERAPEUTIC PROCEDURES'.

For licensing inquiries, please contact partnerships@abcam.com