JavaScript is disabled in your browser. Please enable JavaScript to view this website.
AB213

Anti-Rad51 抗体 [14B4]

Anti-Rad51 antibody [14B4]

4

(9 Reviews)

|

(96 Publications)

Mouse Monoclonal Rad51 antibody. Carrier free. Suitable for WB, IHC-P, ICC/IF and reacts with Human samples. Cited in 96 publications. Immunogen corresponding to Recombinant Full Length Protein corresponding to Human RAD51.

查看别名

RAD51A, RECA, RAD51, DNA repair protein RAD51 homolog 1, HsRAD51, hRAD51, RAD51 homolog A

6 Images
Immunohistochemistry (Formalin/PFA-fixed paraffin-embedded sections) - Anti-Rad51 antibody [14B4] (AB213)
  • IHC-P

AbReview37189****

Immunohistochemistry (Formalin/PFA-fixed paraffin-embedded sections) - Anti-Rad51 antibody [14B4] (AB213)

ab213 staining Rad51 in Human Lovo xenograft tissue sections by Immunohistochemistry (IHC-P - paraformaldehyde-fixed, paraffin-embedded sections). Tissue was fixed with formaldehyde and blocked with 20% serum for 20 minutes at room temperature; antigen retrieval was by heat mediation. Samples were incubated with primary antibody (1/100 in TBST) for 1 hour. An undiluted HRP-conjugated Donkey anti-mouse IgG polyclonal was used as the secondary antibody.

This image is courtesy of an anonymous Abreview

Immunohistochemistry (Formalin/PFA-fixed paraffin-embedded sections) - Anti-Rad51 antibody [14B4] (AB213)
  • IHC-P

Supplier Data

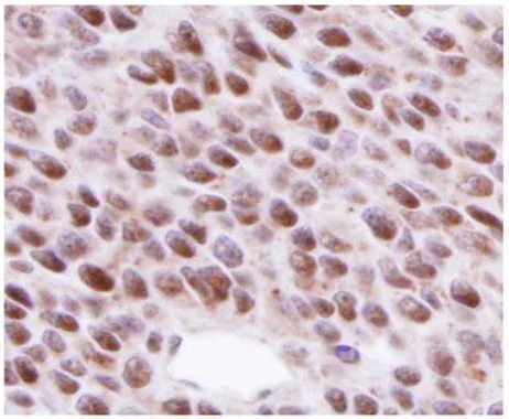
Immunohistochemistry (Formalin/PFA-fixed paraffin-embedded sections) - Anti-Rad51 antibody [14B4] (AB213)

Immunohistochemical analysis of paraffin-embedded BT483 xenoograft tissue labeling RAD51 with ab213 at 1/200 dilution. Nuclear staining is observed. Antigen Retrieval : EDTA based, pH 8.0 buffer, 15min.

Immunohistochemistry (Formalin/PFA-fixed paraffin-embedded sections) - Anti-Rad51 antibody [14B4] (AB213)
  • IHC-P

Supplier Data

Immunohistochemistry (Formalin/PFA-fixed paraffin-embedded sections) - Anti-Rad51 antibody [14B4] (AB213)

Immunohistochemical analysis of paraffin-embedded human esophagus tissue labeling Rad51 with ab213 at 1/100 dilution at 4°C overnight. Antigen Retrieval : Citrate buffer, pH 6.0, 15 min (Cuisinart Electric Pressure Cooker #EPC-1200, choose "high pressure"). Endogenous peroxidase blocking : 3% H2O2, RT, 30minutes. Blocking : 1.5% goat serum (dilute goat serum by 1xPBS), RT, 30 min. Secondary antibody : ABC HRP Kit (Mouse IgG), 1 : 200, RT, 30min. Washing : PBS, 2 x 5 mins. Chromogen system : DAB.

Immunocytochemistry/ Immunofluorescence - Anti-Rad51 antibody [14B4] (AB213)
  • ICC/IF

Supplier Data

Immunocytochemistry/ Immunofluorescence - Anti-Rad51 antibody [14B4] (AB213)

Immunofluorescent analysis of 4% Paraformaldehyde-fixed Mock and treated HeLa cells labelling Rad51 with ab213 at 1/500 dilution (Green). Blue : Fluoroshield with DAPI

Western blot - Anti-Rad51 antibody [14B4] (AB213)
  • WB

Supplier Data

Western blot - Anti-Rad51 antibody [14B4] (AB213)

10% SDS-PAGE

All lanes:

Western blot - Anti-Rad51 antibody [14B4] (ab213) at 1/500 dilution

Lane 1:

Non-transfected 293T (-) whole cell extracts at 30 µg

Lane 2:

RAD51 shRNA transfected (+) 293T whole cell extracts at 30 µg

Secondary

All lanes:

HRP-conjugated anti-mouse IgG antibody

Predicted band size: 36 kDa

true

Western blot - Anti-Rad51 antibody [14B4] (AB213)
  • WB

AbReview17020****

Western blot - Anti-Rad51 antibody [14B4] (AB213)

All lanes:

Western blot - Anti-Rad51 antibody [14B4] (ab213) at 1/500 dilution

All lanes:

lysate prepared from murine NIH3T3 cells at 20 µg

Secondary

All lanes:

HRP conjugated anti-mouse IgG at 1/5000 dilution

Predicted band size: 36 kDa

Observed band size: 42 kDa,45 kDa

true

Exposure time: 5min

Image courtesy of an anonymous Abreview.

关键信息

宿主种属

Mouse

克隆

Monoclonal

克隆号

14B4

亚型

IgG2a

轻链类型

kappa

不含载体蛋白

Yes

反应种属

Human

应用

IHC-P, WB, ICC/IF

applications

免疫原

Recombinant Full Length Protein corresponding to Human RAD51.

Q06609

反应性数据

{ "title": "Reactivity Data", "filters": { "stats": ["", "Species", "Dilution Info", "Notes"], "tabs": { "all-applications": {"fullname" : "All Applications", "shortname": "All Applications"}, "WB" : {"fullname" : "Western blot", "shortname":"WB"}, "IHCP" : {"fullname" : "Immunohistochemistry (Formalin/PFA-fixed paraffin-embedded sections)", "shortname":"IHC-P"}, "ICCIF" : {"fullname" : "Immunocytochemistry/ Immunofluorescence", "shortname":"ICC/IF"} }, "product-promise": { "all": "all", "testedAndGuaranteed": "tested", "guaranteed": "expected", "predicted": "predicted", "notRecommended": "not-recommended" } }, "values": { "Human": { "WB-species-checked": "testedAndGuaranteed", "WB-species-dilution-info": "1/500 - 1/3000", "WB-species-notes": "<p>Please see WB protocol in image legend.</p>", "IHCP-species-checked": "testedAndGuaranteed", "IHCP-species-dilution-info": "1/100 - 1/1000", "IHCP-species-notes": "<p></p>", "ICCIF-species-checked": "testedAndGuaranteed", "ICCIF-species-dilution-info": "1/100 - 1/1000", "ICCIF-species-notes": "<p></p>" }, "Mouse": { "WB-species-checked": "predicted", "WB-species-dilution-info": "", "WB-species-notes": "", "IHCP-species-checked": "predicted", "IHCP-species-dilution-info": "", "IHCP-species-notes": "", "ICCIF-species-checked": "predicted", "ICCIF-species-dilution-info": "", "ICCIF-species-notes": "" }, "Rat": { "WB-species-checked": "predicted", "WB-species-dilution-info": "", "WB-species-notes": "", "IHCP-species-checked": "predicted", "IHCP-species-dilution-info": "", "IHCP-species-notes": "", "ICCIF-species-checked": "predicted", "ICCIF-species-dilution-info": "", "ICCIF-species-notes": "" } } }

产品详情

This product was changed from ascites to tissue culture supernatant on 17th September 2018. Please note that the dilutions may need to be adjusted accordingly. If you have any questions, please do not hesitate to contact our scientific support team.

The production method has changed from hybridoma to recombinant on 22nd March 2024

What are the advantages of a recombinant monoclonal antibody?
This product is a recombinant monoclonal antibody, which offers several advantages including:

  • - High batch-to-batch consistency and reproducibility
  • - Improved sensitivity and specificity
  • - Long-term security of supply
  • - Animal-free batch production

For more information, read more on recombinant antibodies.

性能和储存信息

形式
Liquid
纯化工艺
Affinity purification Immunogen
存储溶液
pH: 7.4 Constituents: PBS
运输条件
Blue Ice
推荐的短期储存条件
+4°C
推荐的长期储存条件
-20°C
分装信息
Upon delivery aliquot
储存信息
Avoid freeze / thaw cycle

补充信息

This supplementary information is collated from multiple sources and compiled automatically.

RAD51 also known as recombination protein A or Novus RAD51 is a DNA repair protein with a molecular mass of approximately 37 kDa. This protein plays a significant role in homologous recombination and is active in the repair of double-strand breaks in DNA. It is expressed in various tissues with high levels seen in rapidly dividing cells. RAD51 acts by forming nucleoprotein filaments on single-stranded DNA and facilitates the search for homology and strand pairing during the repair process.
Biological function summary

Processes involving RAD51 are essential for genomic stability and cellular response to DNA damage. RAD51 often functions as part of a repair complex along with other proteins such as BRCA2 and RPA. This complex binds and stabilizes single-stranded DNA during search and strand invasion which is vital for successful recombination repair. Such repair mechanisms are important for preventing chromosomal aberrations and maintaining genetic integrity.

Pathways

RAD51's activity fits into the broader context of DNA damage repair pathways notably the homologous recombination (HR) pathway. This pathway is important for repairing double-strand breaks utilizing other proteins such as ATM and ATR to signal repair processes. Furthermore RAD51 interacts with various members of the BRCA protein family combining efforts to ensure proper DNA damage response and repair.

RAD51 mutations or dysregulation are linked to various types of cancer including breast and ovarian cancers. These cancers may involve mutations in BRCA1 and BRCA2 genes which affect RAD51's ability to effectively perform homologous recombination. Additionally disruptions in RAD51 function are associated with Fanconi anemia a disorder characterized by DNA repair defects. This condition demonstrates the importance of RAD51's interaction with FA pathway proteins in maintaining genomic stability and preventing disease.

产品实验方案

For this product, it's our understanding that no specific protocols are required. You can visit:

靶点信息

The protein expressed by the RAD51 gene plays an important role in homologous strand exchange, a critical step in DNA repair through homologous recombination (HR). It binds to single and double-stranded DNA and exhibits DNA-dependent ATPase activity, catalyzing the recognition of homology and strand exchange between homologous DNA partners to form a joint molecule between a processed DNA break and the repair template. RAD51 binds to single-stranded DNA in an ATP-dependent manner to form nucleoprotein filaments essential for the homology search and strand exchange. It is part of a PALB2-scaffolded HR complex containing BRCA2 and RAD51C, which is thought to play a role in DNA repair by HR. RAD51 also plays a role in regulating mitochondrial DNA copy number under conditions of oxidative stress in the presence of RAD51C and XRCC3 and is involved in interstrand cross-link repair. This supplementary information is collated from multiple sources and compiled automatically.
See full target information RAD51

文献 (96)

Recent publications for all applications. Explore the full list and refine your search

iScience 27:110567 PubMed39184446

2024

A high-throughput screening identifies MCM chromatin loading inhibitors targeting cells with increased replication origins.

Applications

Unspecified application

Species

Unspecified reactive species

Lucia Falbo,Hervé Técher,Vincenzo Sannino,Michela Robusto,Giovanni Fagà,Federica Pezzimenti,Francesco Romeo,Luca Gabriele Colombo,Stefania Vultaggio,Daniele Fancelli,Silvia Monzani,Valentina Cecatiello,Sebastiano Pasqualato,Mario Varasi,Ciro Mercurio,Vincenzo Costanzo

Genes & development 38:614-630 PubMed39038850

2024

SUMO promotes DNA repair protein collaboration to support alternative telomere lengthening in the absence of PML.

Applications

Unspecified application

Species

Unspecified reactive species

Rongwei Zhao,Meng Xu,Xiaoyang Yu,Anne R Wondisford,Rachel M Lackner,Jayme Salsman,Graham Dellaire,David M Chenoweth,Roderick J O'Sullivan,Xiaolan Zhao,Huaiying Zhang

International journal of radiation oncology, biology, physics 121:768-779 PubMed38997095

2024

Increased Synthetic Cytotoxicity of Combinatorial Chemoradiation Therapy in Homologous Recombination Deficient Tumors.

Applications

Unspecified application

Species

Unspecified reactive species

Jennifer Ma,Rachna Shah,Andrew C Bell,Niamh McDermott,Xin Pei,Pier Selenica,Justin Haseltine,Robert Delsite,Atif J Khan,Benjamin H Lok,Matthew J Ellis,Rebecca F Aft,Jeremy Setton,Jorge S Reis-Filho,Nadeem Riaz,Simon N Powell

Nature communications 15:5237 PubMed38898005

2024

Therapy-induced secretion of spliceosomal components mediates pro-survival crosstalk between ovarian cancer cells.

Applications

Unspecified application

Species

Unspecified reactive species

Victoria O Shender,Ksenia S Anufrieva,Polina V Shnaider,Georgij P Arapidi,Marat S Pavlyukov,Olga M Ivanova,Irina K Malyants,Grigory A Stepanov,Evgenii Zhuravlev,Rustam H Ziganshin,Ivan O Butenko,Olga N Bukato,Ksenia M Klimina,Vladimir A Veselovsky,Tatiana V Grigorieva,Sergey Y Malanin,Olga I Aleshikova,Andrey V Slonov,Nataliya A Babaeva,Lev A Ashrafyan,Elena Khomyakova,Evgeniy G Evtushenko,Maria M Lukina,Zixiang Wang,Artemiy S Silantiev,Anna A Nushtaeva,Daria D Kharlampieva,Vassili N Lazarev,Arseniy I Lashkin,Lorine K Arzumanyan,Irina Yu Petrushanko,Alexander A Makarov,Olga S Lebedeva,Alexandra N Bogomazova,Maria A Lagarkova,Vadim M Govorun

Frontiers in cell and developmental biology 11:1239138 PubMed38089884

2023

Adaptive changes in the DNA damage response during skeletal muscle cell differentiation.

Applications

Unspecified application

Species

Unspecified reactive species

Inês Faleiro,Ana I Afonso,André Balsinha,Beatriz Lucas,Robert M Martin,Edgar R Gomes,Sérgio F de Almeida

EMBO molecular medicine 15:e17836 PubMed37766669

2023

Propionate reinforces epithelial identity and reduces aggressiveness of lung carcinoma.

Applications

Unspecified application

Species

Unspecified reactive species

Vignesh Ramesh,Paradesi Naidu Gollavilli,Luisa Pinna,Mohammad Aarif Siddiqui,Adriana Martinez Turtos,Francesca Napoli,Yasmin Antonelli,Aldo Leal-Egaña,Jesper Foged Havelund,Simon Toftholm Jakobsen,Elisa Le Boiteux,Marco Volante,Nils Joakim Faergeman,Ole N Jensen,Rasmus Siersbaek,Kumar Somyajit,Paolo Ceppi

Molecular cell 83:2925-2940.e8 PubMed37499663

2023

Visualization of direct and diffusion-assisted RAD51 nucleation by full-length human BRCA2 protein.

Applications

Unspecified application

Species

Unspecified reactive species

Ondrej Belan,Luke Greenhough,Lucas Kuhlen,Roopesh Anand,Artur Kaczmarczyk,Dominika T Gruszka,Hasan Yardimci,Xiaodong Zhang,David S Rueda,Stephen C West,Simon J Boulton

Nature communications 14:4445 PubMed37488098

2023

RAD51C-XRCC3 structure and cancer patient mutations define DNA replication roles.

Applications

Unspecified application

Species

Unspecified reactive species

Michael A Longo,Sunetra Roy,Yue Chen,Karl-Heinz Tomaszowski,Andrew S Arvai,Jordan T Pepper,Rebecca A Boisvert,Selvi Kunnimalaiyaan,Caezanne Keshvani,David Schild,Albino Bacolla,Gareth J Williams,John A Tainer,Katharina Schlacher

Journal of pharmaceutical analysis 13:603-615 PubMed37440910

2023

Cocktail hepatocarcinoma therapy by a super-assembled nano-pill targeting XPO1 and ATR synergistically.

Applications

Unspecified application

Species

Unspecified reactive species

Liuyun Gong,Yinliang Lu,Jing Wang,Xinyue Li,Jing Zhao,Yuetong Chen,Rongze Ma,Jinlu Ma,Tianya Liu,Suxia Han

Molecular cell 83:1429-1445.e8 PubMed37044098

2023

The APE2 nuclease is essential for DNA double-strand break repair by microhomology-mediated end joining.

Applications

Unspecified application

Species

Unspecified reactive species

Hubert Fleury,Myles K MacEachern,Clara M Stiefel,Roopesh Anand,Colin Sempeck,Benjamin Nebenfuehr,Kelper Maurer-Alcalá,Kerri Ball,Bruce Proctor,Ondrej Belan,Erin Taylor,Raquel Ortega,Benjamin Dodd,Laila Weatherly,Djelika Dansoko,Justin W Leung,Simon J Boulton,Nausica Arnoult
View all publications

Abcam Product Promise

我们致力于为您的研究提供高质量的试剂,为您科研的每一步提供支持。若我们的产品未能达到预期性能,我们向您提供 Abcam Product Promise 保障。
详情请参阅我们的条款与条件。

Please note: All products are 'FOR RESEARCH USE ONLY. NOT FOR USE IN DIAGNOSTIC OR THERAPEUTIC PROCEDURES'.

For licensing inquiries, please contact partnerships@abcam.com