JavaScript is disabled in your browser. Please enable JavaScript to view this website.
AB217678

重组Anti-Rad21抗体[EPR22506-15] - ChIP Grade

Anti-Rad21 antibody [EPR22506-15] - ChIP Grade

  • BOND RX™ Validated
  • RabMAb
  • Advanced Validation
  • Recombinant
  • 了解详情

4

(2 Reviews)

|

(17 Publications)

Anti-Rad21 antibody [EPR22506-15] - ChIP Grade (ab217678) is a rabbit monoclonal antibody detecting Rad21 in Western Blot, Flow Cytometry (Intra), Flow Cytometry, IP, IHC-P, ICC/IF, ChIP. Suitable for Human, Mouse, Rat.

- Biophysical QC for unrivalled batch-batch consistency

查看别名

HR21, KIAA0078, NXP1, SCC1, RAD21, Double-strand-break repair protein rad21 homolog, hHR21, Nuclear matrix protein 1, SCC1 homolog, NXP-1

16 Images
Immunohistochemistry (Formalin/PFA-fixed paraffin-embedded sections) - Anti-Rad21 antibody [EPR22506-15] - ChIP Grade (AB217678)
  • IHC-P

Unknown

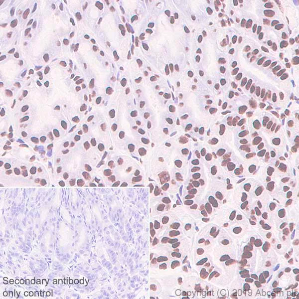
Immunohistochemistry (Formalin/PFA-fixed paraffin-embedded sections) - Anti-Rad21 antibody [EPR22506-15] - ChIP Grade (AB217678)

Immunohistochemical analysis of paraffin-embedded human breast carcinoma tissue labeling Rad21 using ab217678 at 1/1000 dilution for 30 minutes at room temperature, followed by a ready to use Rabbit specific IHC polymer detection kit HRP/DAB (ab209101). Nuclear staining on the human breast carcinoma (PMID : 21255398) is observed. Counterstained with Hematoxylin. The immunostaining was performed on a Leica Biosystems BOND® RX instrument.

Secondary antibody only control : Used PBS instead of primary antibody, secondary antibody is a ready to use Rabbit specific IHC polymer detection kit HRP/DAB (ab209101).

Perform heat mediated antigen retrieval with Tris/EDTA buffer pH 9.0 before commencing with IHC staining protocol.

Immunocytochemistry/ Immunofluorescence - Anti-Rad21 antibody [EPR22506-15] - ChIP Grade (AB217678)
  • ICC/IF

Unknown

Immunocytochemistry/ Immunofluorescence - Anti-Rad21 antibody [EPR22506-15] - ChIP Grade (AB217678)

Immunofluorescent analysis of 4% paraformaldehyde-fixed, 0.1% Triton X-100 permeabilized HeLa (human cervix adenocarcinoma epithelial cell) cells labeling Rad21 with ab217678 at 1/100 dilution, followed by an AlexaFluor®488 Goat anti-Rabbit secondary antibody (ab150077) at 1/1000 dilution (green). Confocal image showing nuclear staining in HeLa cell line is observed. The nuvlear counterstain is DAPI (Blue). Tubulin is counterstained using ab195889 Anti-alpha Tubulin antibody [DM1A] - Microtubule Marker (Alexa Fluor® 594) at 1/200 dilution.

Secondary antibody only control : Used PBS instead of primary antibody, secondary antibody is an AlexaFluor®488 Goat anti-Rabbit secondary (ab150077) at 1/1000 dilution.

Immunohistochemistry (Formalin/PFA-fixed paraffin-embedded sections) - Anti-Rad21 antibody [EPR22506-15] - ChIP Grade (AB217678)
  • IHC-P

Unknown

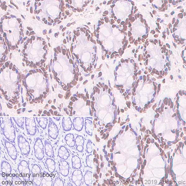
Immunohistochemistry (Formalin/PFA-fixed paraffin-embedded sections) - Anti-Rad21 antibody [EPR22506-15] - ChIP Grade (AB217678)

Immunohistochemical analysis of paraffin-embedded human stomach tissue labeling Rad21 using ab217678 at 1/1000 dilution for 30 minutes at room temperature, followed by a ready to use Rabbit specific IHC polymer detection kit HRP/DAB (ab209101). Nuclear staining on human stomach (PMID : 25575569) is observed. Counterstained with Hematoxylin. The immunostaining was performed on a Leica Biosystems BOND® RX instrument.

Secondary antibody only control : Used PBS instead of primary antibody, secondary antibody is a ready to use Rabbit specific IHC polymer detection kit HRP/DAB (ab209101).

Perform heat mediated antigen retrieval with Tris/EDTA buffer pH 9.0 before commencing with IHC staining protocol.

Flow Cytometry (Intracellular) - Anti-Rad21 antibody [EPR22506-15] - ChIP Grade (AB217678)
  • Flow Cyt (Intra)

Unknown

Flow Cytometry (Intracellular) - Anti-Rad21 antibody [EPR22506-15] - ChIP Grade (AB217678)

Intracellular flow cytometric analysis of 4% paraformaldehyde-fixed HeLa (human cervix adenocarcinoma epithelial cell) cell line labeling Rad21 using ab217678 at 1/500 dilution (red) compared with a Rabbit monoclonal IgG (ab172730, Black) isotype control and an unlabelled control (cells without incubation with primary antibody and secondary antibody) (blue). Goat Anti-Rabbit IgG H&L (Alexa Fluor® 488) at 1/2000 dilution was used as the secondary antibody.

ChIP - Anti-Rad21 antibody [EPR22506-15] - ChIP Grade (AB217678)
  • ChIP

Unknown

ChIP - Anti-Rad21 antibody [EPR22506-15] - ChIP Grade (AB217678)

Chromatin was prepared from MCF7 cells according to the Abcam X-ChIP protocol. Cells were fixed with formaldehyde for 10min.

The ChIP was performed with 25 μg of chromatin, 5 μg of ab217678 (red), and 20 μl of Protein A/G sepharose beads. 5 μg of rabbit normal IgG was added to the beads control (gray). The immunoprecipitated DNA was quantified by real time PCR (sybr green approach).

Primers and probes are located in the first kb of the transcribed region.

The observed enrichment profile of Rad21 binding is consistent with what has been described in the literature (PMID : 23145106)

Immunohistochemistry (Formalin/PFA-fixed paraffin-embedded sections) - Anti-Rad21 antibody [EPR22506-15] - ChIP Grade (AB217678)
  • IHC-P

Unknown

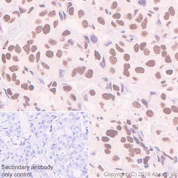
Immunohistochemistry (Formalin/PFA-fixed paraffin-embedded sections) - Anti-Rad21 antibody [EPR22506-15] - ChIP Grade (AB217678)

Immunohistochemical analysis of paraffin-embedded rat colon tissue labeling Rad21 using ab217678 at 1/1000 dilution for 30 minutes at room temperature, followed by a ready to use Rabbit specific IHC polymer detection kit HRP/DAB (ab209101). Nuclear staining on rat colon (PMID : 25575569) is observed. Counterstained with Hematoxylin. The immunostaining was performed on a Leica Biosystems BOND® RX instrument.

Secondary antibody only control : Used PBS instead of primary antibody, secondary antibody is a ready to use Rabbit specific IHC polymer detection kit HRP/DAB (ab209101).

Perform heat mediated antigen retrieval with Tris/EDTA buffer pH 9.0 before commencing with IHC staining protocol.

Immunohistochemistry (Formalin/PFA-fixed paraffin-embedded sections) - Anti-Rad21 antibody [EPR22506-15] - ChIP Grade (AB217678)
  • IHC-P

Unknown

Immunohistochemistry (Formalin/PFA-fixed paraffin-embedded sections) - Anti-Rad21 antibody [EPR22506-15] - ChIP Grade (AB217678)

Immunohistochemical analysis of paraffin-embedded mouse stomach tissue labeling Rad21 using ab217678 at 1/1000 dilution for 30 minutes at room temperature, followed by a ready to use Rabbit specific IHC polymer detection kit HRP/DAB (ab209101). Nuclear staining on mouse stomach (PMID : 25575569) is observed. Counterstained with Hematoxylin. The immunostaining was performed on a Leica Biosystems BOND® RX instrument.

Secondary antibody only control : Used PBS instead of primary antibody, secondary antibody is a ready to use Rabbit specific IHC polymer detection kit HRP/DAB (ab209101).

Perform heat mediated antigen retrieval with Tris/EDTA buffer pH 9.0 before commencing with IHC staining protocol.

Flow Cytometry (Intracellular) - Anti-Rad21 antibody [EPR22506-15] - ChIP Grade (AB217678)
  • Flow Cyt (Intra)

Unknown

Flow Cytometry (Intracellular) - Anti-Rad21 antibody [EPR22506-15] - ChIP Grade (AB217678)

Intracellular flow cytometric analysis of 4% paraformaldehyde-fixed NIH/3T3 (mouse embryonic fibroblast) cell line labeling Rad21 using ab217678 at 1/500 dilution (red) compared with a Rabbit monoclonal IgG (ab172730, Black) isotype control and an unlabelled control (cells without incubation with primary antibody and secondary antibody) (blue). Goat Anti-Rabbit IgG H&L (Alexa Fluor® 488) at 1/2000 dilution was used as the secondary antibody.

Immunocytochemistry/ Immunofluorescence - Anti-Rad21 antibody [EPR22506-15] - ChIP Grade (AB217678)
  • ICC/IF

Unknown

Immunocytochemistry/ Immunofluorescence - Anti-Rad21 antibody [EPR22506-15] - ChIP Grade (AB217678)

Immunofluorescent analysis of 4% paraformaldehyde-fixed, 0.1% Triton X-100 permeabilized NIH/3T3 (mouse embryonic fibroblast) cells labeling Rad21 with ab217678 at 1/100 dilution, followed by an AlexaFluor®488 Goat anti-Rabbit secondary antibody (ab150077) at 1/1000 dilution (green). Confocal image showing nuclear staining in NIH/3T3 cell line is observed. The nuvlear counterstain is DAPI (Blue). Tubulin is counterstained using ab195889 Anti-alpha Tubulin antibody [DM1A] - Microtubule Marker (Alexa Fluor® 594) at 1/200 dilution.

Secondary antibody only control : Used PBS instead of primary antibody, secondary antibody is an AlexaFluor®488 Goat anti-Rabbit secondary (ab150077) at 1/1000 dilution.

ChIC/CUT&RUN sequencing - Anti-Rad21 antibody [EPR22506-15] - ChIP Grade (AB217678)
  • ChIC/CUT&RUN-seq

Lab

ChIC/CUT&RUN sequencing - Anti-Rad21 antibody [EPR22506-15] - ChIP Grade (AB217678)

ChIC/CUT&RUN was performed using a pAG-MNase at a final concentration of 700 ng/mL, 2.5 x 10^5 HeLa (Human epithelial cells from cervix adenocarcinoma) cells and 5 µg of ab217678 [EPR22506-15]. The resulting DNA was sequenced on the Illumina NovaSeq 6000 to a depth of 10 million reads. The negative IgG control ab172730 is also shown. The University of Geneva owns patents relevant to ChIC (Chromatin Immuno-Cleavage) methods.

ChIC/CUT&RUN sequencing - Anti-Rad21 antibody [EPR22506-15] - ChIP Grade (AB217678)
  • ChIC/CUT&RUN-seq

Lab

ChIC/CUT&RUN sequencing - Anti-Rad21 antibody [EPR22506-15] - ChIP Grade (AB217678)

ChIC/CUT&RUN was performed using a pAG-MNase at a final concentration of 700 ng/mL, 2.5 x 10^5 HeLa (Human epithelial cells from cervix adenocarcinoma) cells and 5 µg of ab217678 [EPR22506-15]. The resulting DNA was sequenced on the Illumina NovaSeq 6000 to a depth of 10 million reads. The negative IgG control ab172730 is also shown. The University of Geneva owns patents relevant to ChIC (Chromatin Immuno-Cleavage) methods.

ChIC/CUT&RUN sequencing - Anti-Rad21 antibody [EPR22506-15] - ChIP Grade (AB217678)
  • ChIC/CUT&RUN-seq

Lab

ChIC/CUT&RUN sequencing - Anti-Rad21 antibody [EPR22506-15] - ChIP Grade (AB217678)

ChIC/CUT&RUN was performed using a pAG-MNase at a final concentration of 700 ng/mL, 2.5 x 10^5 HeLa (Human epithelial cells from cervix adenocarcinoma) cells and 5 µg of ab217678 [EPR22506-15]. The resulting DNA was sequenced on the Illumina NovaSeq 6000 to a depth of 10 million reads. The negative IgG control ab172730 is also shown. The University of Geneva owns patents relevant to ChIC (Chromatin Immuno-Cleavage) methods.

Western blot - Anti-Rad21 antibody [EPR22506-15] - ChIP Grade (AB217678)
  • WB

Unknown

Western blot - Anti-Rad21 antibody [EPR22506-15] - ChIP Grade (AB217678)

Full length Rad21 is approximately 130kDa, cleaved Rad21 is approximately 75 kDa. The molecular weight observed are consistent with what has been described in the literature (PMID : 12417729, PMID 21876002).

Blocking/Diluting buffer and concentration : 5% NFDM/TBST

Exposure time : 3 minutes.

All lanes:

Western blot - Anti-Rad21 antibody [EPR22506-15] - ChIP Grade (ab217678) at 1/1000 dilution

Lane 1:

Rat Brain tissue lysate at 20 µg

Lane 2:

Mouse Brain tissue lysate at 20 µg

Lane 3:

Mouse heart tissue lysate at 20 µg

Secondary

All lanes:

Western blot - Goat Anti-Rabbit IgG H&L (HRP) (<a href='/products/secondary-antibodies/goat-rabbit-igg-h-l-hrp-ab97051'>ab97051</a>) at 1/100000 dilution

Predicted band size: 72 kDa

Observed band size: 130-75 kDa

false

Immunoprecipitation - Anti-Rad21 antibody [EPR22506-15] - ChIP Grade (AB217678)
  • IP

Unknown

Immunoprecipitation - Anti-Rad21 antibody [EPR22506-15] - ChIP Grade (AB217678)

Rad21 was immunoprecipitated from 0.35mg HeLa (human cervix adenocarcinoma epithelial cell) whole cell lysate with ab217678 at 1/30 dilution. Western blot was performed on the immunoprecipitate using ab217678 at 1/1000 dilution. VeriBlot for IP secondary antibody (HRP) (ab131366) was used as the secondary antibody at 1/5000 dilution.

Lane 1 : HeLa whole cell lysate 10μg (input)
Lane 2 : ab217678 IP in HeLa whole cell lysate.
Lane 3 : Rabbit monoclonal IgG (ab172730) instead of ab217678 in HeLa whole cell lysate.

Blocking and dilution buffer and concentration : 5% NFDM/TBST.

Exposure time : 3 seconds.

Faint band below 75kDa in lane 2 could be Rad21 cleavage product as described in the literature (PMID : 28854249).

All lanes:

Immunoprecipitation - Anti-Rad21 antibody [EPR22506-15] - ChIP Grade (ab217678)

Predicted band size: 72 kDa

Observed band size: 70-135 kDa

false

Western blot - Anti-Rad21 antibody [EPR22506-15] - ChIP Grade (AB217678)
  • WB

Unknown

Western blot - Anti-Rad21 antibody [EPR22506-15] - ChIP Grade (AB217678)

Full length Rad21 is approximately 130 kDa, cleaved Rad21 is approximately 75 kDa. The molecular weight observed are consistent with what has been described in the literature (PMID : 12417729, PMID 21876002).

Blocking/Diluting buffer and concentration : 5% NFDM/TBST

Exposure times :

Lanes1-2 : 37 seconds

Lane 3 : 5.5 seconds

Lane 4 : 48 seconds

All lanes:

Western blot - Anti-Rad21 antibody [EPR22506-15] - ChIP Grade (ab217678) at 1/1000 dilution

Lane 1:

Human heart tissue lysate at 20 µg

Lane 2:

Human fetal kidney tissue lysate at 20 µg

Lane 3:

HeLa (human cervix adenocarcinoma epithelial cell), whole cell lysate at 20 µg

Lane 4:

MCF7 (human breast adenocarcinoma epithelial cell), whole cell lysate at 20 µg

Secondary

Lanes 1 - 2:

Western blot - VeriBlot for IP Detection Reagent (HRP) (<a href='/products/reagents/veriblot-for-ip-detection-reagent-hrp-ab131366'>ab131366</a>) at 1/1000 dilution

Lanes 3 - 4:

Western blot - Goat Anti-Rabbit IgG H&L (HRP) (<a href='/products/secondary-antibodies/goat-rabbit-igg-h-l-hrp-ab97051'>ab97051</a>) at 1/100000 dilution

Predicted band size: 72 kDa

Observed band size: 130-75 kDa

false

Western blot - Anti-Rad21 antibody [EPR22506-15] - ChIP Grade (AB217678)
  • WB

Unknown

Western blot - Anti-Rad21 antibody [EPR22506-15] - ChIP Grade (AB217678)

Full length Rad21 is approximately 130kDa, cleaved Rad21 is approximately 75 kDa. The molecular weight observed are consistent with what has been described in the literature (PMID : 12417729, PMID 21876002).

Exposure time : 7.7 seconds

Blocking/diluting buffer and concentration : 5% NFDM/TBST

All lanes:

Western blot - Anti-Rad21 antibody [EPR22506-15] - ChIP Grade (ab217678) at 1/1000 dilution

Lane 1:

RAW264.7 (mouse Abelson murine leukemia virus-induced tumor macrophage), whole cell lysate at 20 µg

Lane 2:

NIH/3T3 (mouse embryonic fibroblast) whole cell lysate at 20 µg

Lane 3:

C6 (rat glial tumor glial cell), whole cell lysate whole cell lysate at 20 µg

Secondary

All lanes:

Western blot - Goat Anti-Rabbit IgG H&L (HRP) (<a href='/products/secondary-antibodies/goat-rabbit-igg-h-l-hrp-ab97051'>ab97051</a>) at 1/100000 dilution

Predicted band size: 72 kDa

Observed band size: 130-75 kDa

false

关键信息

宿主种属

Rabbit

克隆

Monoclonal

克隆号

EPR22506-15

亚型

IgG

不含载体蛋白

No

反应种属

Mouse, Rat, Human

应用

Flow Cyt (Intra), IP, ICC/IF, ChIC/CUT&RUN-seq, IHC-P, ChIP, WB

applications

免疫原

The exact immunogen used to generate this antibody is proprietary information.

反应性数据

{ "title": "Reactivity Data", "filters": { "stats": ["", "Species", "Dilution Info", "Notes"], "tabs": { "all-applications": {"fullname" : "All Applications", "shortname": "All Applications"}, "IP" : {"fullname" : "Immunoprecipitation", "shortname":"IP"}, "ChIP" : {"fullname" : "ChIP", "shortname":"ChIP"}, "WB" : {"fullname" : "Western blot", "shortname":"WB"}, "ICCIF" : {"fullname" : "Immunocytochemistry/ Immunofluorescence", "shortname":"ICC/IF"}, "FlowCytIntra" : {"fullname" : "Flow Cytometry (Intracellular)", "shortname":"Flow Cyt (Intra)"}, "IHCP" : {"fullname" : "Immunohistochemistry (Formalin/PFA-fixed paraffin-embedded sections)", "shortname":"IHC-P"}, "ChICCUTRUNseq" : {"fullname" : "ChIC/CUT&RUN sequencing", "shortname":"ChIC/CUT&RUN-seq"} }, "product-promise": { "all": "all", "testedAndGuaranteed": "tested", "guaranteed": "expected", "predicted": "predicted", "notRecommended": "not-recommended" } }, "values": { "Human": { "IP-species-checked": "testedAndGuaranteed", "IP-species-dilution-info": "1/30", "IP-species-notes": "<p></p>", "ChIP-species-checked": "testedAndGuaranteed", "ChIP-species-dilution-info": "5 µg", "ChIP-species-notes": "<p>5 μg</p>", "WB-species-checked": "testedAndGuaranteed", "WB-species-dilution-info": "1/1000", "WB-species-notes": "<p></p>", "ICCIF-species-checked": "testedAndGuaranteed", "ICCIF-species-dilution-info": "1/100", "ICCIF-species-notes": "<p></p>", "FlowCytIntra-species-checked": "testedAndGuaranteed", "FlowCytIntra-species-dilution-info": "1/500", "FlowCytIntra-species-notes": "<p></p>", "IHCP-species-checked": "testedAndGuaranteed", "IHCP-species-dilution-info": "1/1000", "IHCP-species-notes": "<p>Heat mediated antigen retrieval with Tris-EDTA buffer (pH 9.0, epitope retrieval solution 2) for 20 mins.</p>", "ChICCUTRUNseq-species-checked": "testedAndGuaranteed", "ChICCUTRUNseq-species-dilution-info": "5 µg", "ChICCUTRUNseq-species-notes": "<p></p>" }, "Mouse": { "IP-species-checked": "guaranteed", "IP-species-dilution-info": "", "IP-species-notes": "", "ChIP-species-checked": "guaranteed", "ChIP-species-dilution-info": "", "ChIP-species-notes": "", "WB-species-checked": "testedAndGuaranteed", "WB-species-dilution-info": "1/1000", "WB-species-notes": "<p></p>", "ICCIF-species-checked": "testedAndGuaranteed", "ICCIF-species-dilution-info": "1/100", "ICCIF-species-notes": "<p></p>", "FlowCytIntra-species-checked": "testedAndGuaranteed", "FlowCytIntra-species-dilution-info": "1/500", "FlowCytIntra-species-notes": "<p></p>", "IHCP-species-checked": "testedAndGuaranteed", "IHCP-species-dilution-info": "1/1000", "IHCP-species-notes": "<p>Heat mediated antigen retrieval with Tris-EDTA buffer (pH 9.0, epitope retrieval solution 2) for 20 mins.</p>", "ChICCUTRUNseq-species-checked": "guaranteed", "ChICCUTRUNseq-species-dilution-info": "", "ChICCUTRUNseq-species-notes": "" }, "Rat": { "IP-species-checked": "guaranteed", "IP-species-dilution-info": "", "IP-species-notes": "", "ChIP-species-checked": "guaranteed", "ChIP-species-dilution-info": "", "ChIP-species-notes": "", "WB-species-checked": "testedAndGuaranteed", "WB-species-dilution-info": "1/1000", "WB-species-notes": "<p></p>", "ICCIF-species-checked": "guaranteed", "ICCIF-species-dilution-info": "", "ICCIF-species-notes": "", "FlowCytIntra-species-checked": "guaranteed", "FlowCytIntra-species-dilution-info": "", "FlowCytIntra-species-notes": "", "IHCP-species-checked": "testedAndGuaranteed", "IHCP-species-dilution-info": "1/1000", "IHCP-species-notes": "<p>Heat mediated antigen retrieval with Tris-EDTA buffer (pH 9.0, epitope retrieval solution 2) for 20 mins.</p>", "ChICCUTRUNseq-species-checked": "guaranteed", "ChICCUTRUNseq-species-dilution-info": "", "ChICCUTRUNseq-species-notes": "" } } }

产品详情

What is this antibody validated in?
Anti-Rad21 antibody [EPR22506-15] - ChIP Grade (ab217678) is a rabbit recombinant monoclonal antibody and is validated for use in Western Blot (WB), Flow Cytometry (Intra), Flow Cytometry (Flow Cyt), Immunoprecipitation (IP), Immunohistochemistry (IHC-P), Immunocytochemistry/immunofluorescence (ICC/IF), ChIP in Human, Mouse, Rat samples.

What is the molecular weight of Rad21?
Anti-Rad21 [EPR22506-15] - ChIP Grade (ab217678) specifically detects a band for Rad21 (UniProt: O60216) at a molecular weight of 72kDa.

Trial sizes available!
Test your antibody or perform pre-screening before committing to a larger quantity. Sold in 10µl. Discover our selection of trial-size antibodies.

Other related products
We have a range of other formats of antibody clone [EPR22506-15] also available for your convenience: ab217678, Carrier free - ab254483, APC - ab305774, HRP - ab305775, Alkaline Phosphatase - ab308643, Alexa Fluor® 488 - ab309618, Alexa Fluor® 647 - ab309984, Alexa Fluor® 594 - ab310345, Alexa Fluor® 555 - ab311867, Alexa Fluor® 568 - ab312336, Alexa Fluor® 750 - ab321393

Patented technology
Our RabMAb® technology is a patented hybridoma-based technology for making rabbit monoclonal antibodies. For details on our patents, please refer to RabMAb® patents.

What are the advantages of a recombinant monoclonal antibody?
This product is a recombinant monoclonal antibody, which offers several advantages including:

  • - High batch-to-batch consistency and reproducibility
  • - Improved sensitivity and specificity
  • - Long-term security of supply
  • - Animal-free batch production

For more information, read more on recombinant antibodies.

性能和储存信息

形式
Liquid
纯化工艺
Affinity purification Protein A
存储溶液
pH: 7.2 - 7.4 Preservative: 0.01% Sodium azide Constituents: PBS, 40% Glycerol (glycerin, glycerine), 0.05% BSA
运输条件
Blue Ice
推荐的短期储存时间
1-2 weeks
推荐的短期储存条件
+4°C
推荐的长期储存条件
-20°C
分装信息
Upon delivery aliquot
储存信息
Avoid freeze / thaw cycle

补充信息

This supplementary information is collated from multiple sources and compiled automatically.

Rad21 also known as double-strand-break repair protein rad21 homolog serves as a component of the cohesin complex. This protein is approximately 123 kDa in size. Rad21 is expressed in a wide range of tissues and cell types particularly in those with high proliferative activity. The protein plays an essential mechanical role by facilitating the cohesion of sister chromatids during cell division ensuring successful chromosome segregation.
Biological function summary

Rad21 is essential in processes beyond chromatid cohesion. It forms part of the cohesin complex which also includes proteins like SMC1 SMC3 and SCC3/SA1 or SA2. This complex is central to maintaining genome stability by participating in DNA repair and regulating gene expression. Through these roles Rad21 contributes to cellular processes such as cell cycle progression and embryonic development.

Pathways

Rad21 integrates into the DNA damage response and cell cycle regulation pathways. The cohesin complex with Rad21 as an important factor acts alongside other proteins such as ATM and ATR in the DNA damage response ensuring the repair of double-strand breaks. Within the cell cycle Rad21 helps coordinate the timing and accuracy of cell division working with cyclin-dependent kinases.

Rad21 has been linked to cancer and Cornelia de Lange syndrome. Mutations or dysregulation of Rad21 can result in tumorigenesis due to errors in chromosome segregation and compromised DNA repair. In Cornelia de Lange syndrome cohesin-related proteins like NIPBL and SMC1A also play a role indicating a disruption in the cohesin pathway's function. Understanding Rad21's involvement helps in developing targeted therapies for these conditions.

产品实验方案

For this product, it's our understanding that no specific protocols are required. You can visit:

靶点信息

Double-strand-break repair protein rad21 homolog. As a member of the cohesin complex, involved in sister chromatid cohesion from the time of DNA replication in S phase to their segregation in mitosis, a function that is essential for proper chromosome segregation, post-replicative DNA repair, and the prevention of inappropriate recombination between repetitive regions (PubMed : 11509732). The cohesin complex may also play a role in spindle pole assembly during mitosis (PubMed : 11590136). In interphase, cohesins may function in the control of gene expression by binding to numerous sites within the genome (By similarity). May control RUNX1 gene expression (Probable). Binds to and represses APOB gene promoter (PubMed : 25575569). May play a role in embryonic gut development, possibly through the regulation of enteric neuron development (By similarity).. 64-kDa C-terminal product. May promote apoptosis.
See full target information RAD21

文献 (17)

Recent publications for all applications. Explore the full list and refine your search

PLoS pathogens 21:e1013029 PubMed40825050

2025

LANA-dependent transcription-replication conflicts and R-loops at the terminal repeats (TR) correlate with KSHV episome maintenance.

Applications

Unspecified application

Species

Unspecified reactive species

Asim Asghar,Olga Vladimirova,Asher Sobotka,James Hayden,Jayamanna Wickramasinghe,Jayaraju Dheekollu,Moeko Minakuchi,Leena Yoon,Maureen E Murphy,Kazuko Nishikura,Paul M Lieberman

Molecular cancer 24:217 PubMed40819058

2025

Jab1 regulates HRR mRNA stability to modulate PARP inhibitor sensitivity in triple-negative breast cancer.

Applications

Unspecified application

Species

Unspecified reactive species

Xin Peng,Yingying Wang,Zixiang Yu,Shengfan Huang,Shaolu Zhang,Zhenxing Zhong,Yongzhe Wang,Shanshan Liu,Kailin Wang,Christophe Nicot,Francois X Claret,Dexin Kong

Nucleic acids research 53: PubMed40613712

2025

CTCF binding landscape is shaped by the epigenetic state of the N-terminal nucleosome in relation to CTCF motif orientation.

Applications

Unspecified application

Species

Unspecified reactive species

Md Tajmul,Dharmendra Nath Bhatt,Luminita Ruje,Emma Price,Yon Ji,Dmitri Loukinov,Vladimir B Teif,Victor V Lobanenkov,Elena M Pugacheva

BMC biology 23:68 PubMed40025499

2025

CTCF-mediated insulation and chromatin environment modulate Car5b escape from X inactivation.

Applications

Unspecified application

Species

Unspecified reactive species

He Fang,Ana R Tronco,Giancarlo Bonora,Truong Nguyen,Jitendra Thakur,Joel B Berletch,Galina N Filippova,Steven Henikoff,Jay Shendure,William S Noble,Zhijun Duan,Christine M Disteche,Xinxian Deng

Science advances 11:eadp0855 PubMed39854464

2025

Mature chromatin packing domains persist after RAD21 depletion in 3D.

Applications

Unspecified application

Species

Unspecified reactive species

Wing Shun Li,Lucas M Carter,Luay Matthew Almassalha,Ruyi Gong,Emily M Pujadas-Liwag,Tiffany Kuo,Kyle L MacQuarrie,Marcelo Carignano,Cody Dunton,Vinayak Dravid,Masato T Kanemaki,Igal Szleifer,Vadim Backman

Science advances 10:eadq0987 PubMed39671497

2024

Transcription processes compete with loop extrusion to homogenize promoter and enhancer dynamics.

Applications

Unspecified application

Species

Unspecified reactive species

Angeliki Platania,Cathie Erb,Mariano Barbieri,Bastien Molcrette,Erwan Grandgirard,Marit A C de Kort,Wim Pomp,Karen Meaburn,Tiegh Taylor,Virlana M Shchuka,Silvia Kocanova,Mariia Nazarova,Guilherme Monteiro Oliveira,Jennifer A Mitchell,Evi Soutoglou,Tineke L Lenstra,Nacho Molina,Argyris Papantonis,Kerstin Bystricky,Tom Sexton

Molecular cell 84:3406-3422.e6 PubMed39173638

2024

Members of an array of zinc-finger proteins specify distinct Hox chromatin boundaries.

Applications

Unspecified application

Species

Unspecified reactive species

Havva Ortabozkoyun,Pin-Yao Huang,Edgar Gonzalez-Buendia,Hyein Cho,Sang Y Kim,Aristotelis Tsirigos,Esteban O Mazzoni,Danny Reinberg

Cell reports 43:114420 PubMed38954517

2024

DNA break induces rapid transcription repression mediated by proteasome-dependent RNAPII removal.

Applications

Unspecified application

Species

Unspecified reactive species

Shuaixin He,Zhiyuan Huang,Yang Liu,Taekjip Ha,Bin Wu

iScience 27:109875 PubMed38774716

2024

RAD21 deficiency drives corneal to scleral differentiation fate switching via upregulating WNT9B.

Applications

Unspecified application

Species

Unspecified reactive species

Hongyan Liu,Benxiang Qi,Guanghui Liu,Haoyun Duan,Zongyi Li,Zhaoying Shi,Yonglong Chen,Wai Kit Chu,Qingjun Zhou,Bi Ning Zhang

JCI insight 9: PubMed38592784

2024

Intergenic sequences harboring potential enhancer elements contribute to Axenfeld-Rieger syndrome by regulating PITX2.

Applications

Unspecified application

Species

Unspecified reactive species

Yizheng Jiang,Yu Peng,Qi Tian,Zhe Cheng,Bei Feng,Junping Hu,Lu Xia,Hui Guo,Kun Xia,Liang Zhou,Zhengmao Hu
View all publications

Abcam Product Promise

我们致力于为您的研究提供高质量的试剂,为您科研的每一步提供支持。若我们的产品未能达到预期性能,我们向您提供 Abcam Product Promise 保障。
详情请参阅我们的条款与条件。

Please note: All products are 'FOR RESEARCH USE ONLY. NOT FOR USE IN DIAGNOSTIC OR THERAPEUTIC PROCEDURES'.

For licensing inquiries, please contact partnerships@abcam.com